Radiology Flashcards

(51 cards)

1
Q

When is head CT with contrast an appropriate test? (2)

A

1.Evaluating for AV (arteriovenous) malformations 2. Evaluating for primary/metastatic tumors

How well did you know this?
1
Not at all
2
3
4
5
Perfectly
2
Q

When is an abdominal CT the best initial test?

A

Evaluating retroperitoneal structures (pancreas, nodal metastasis from colon/ prostate/ testicular/ renal cancer)

How well did you know this?
1
Not at all
2
3
4
5
Perfectly
3
Q

When is high resolution CT scan of the chest the test of choice? (2)

A
  1. Evaluating for parenchymal lung disease (interstitial fibrosis) 2. Evaluating bony structure
How well did you know this?
1
Not at all
2
3
4
5
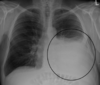
Perfectly
4
Q

What is the major contraindicator for a CT or MRI with contrast?

A

Renal failure (creatinine > 1.5)

How well did you know this?
1
Not at all
2
3
4
5
Perfectly
5
Q

What should be avoided when performing an CT to a pt with multiple myeloma?

A

IV contrast

How well did you know this?
1
Not at all
2
3
4
5
Perfectly
6
Q

Why should you avoid contrast with an MRI of a renal disease pt?

A

Can result in nephrogenic systemic fibrosis

How well did you know this?
1
Not at all
2
3
4
5
Perfectly
7
Q

What medication should be discontinued before CT scan with IV contrast and not restarted until 48 hours after the scan when renal failure has been ruled out?

A

Metformin

How well did you know this?
1
Not at all
2
3
4
5
Perfectly
8
Q

When is an MRI the best diagnostic test? (10)

A
  1. Demyelinating disease (multiple sclerosis, dementia) 2. Posterior fossa 3. Base of skull 4. Orbit 5. Brain Tumors (acoustic neuromas, pituitary tumor, small intraparenchymal tumor) 6. Bone Tumors 7. Bone and soft tissue infections 8. Joint spaces 9. Aseptic necrosis of femoral head 10. Diseases of spinal cord and spinal column (herniated disc, spinal tumor, degenerative disc disease)
How well did you know this?
1
Not at all
2
3
4
5
Perfectly
9
Q

When is the HIDA (hepatobiliary) scan useful? (3)

A
  1. Evaluating biliary obstruction vs. acute cholecystitis 2. Evaluating for biliary leaks postoperatively 3. Evaluating for congenital abnormalities of biliary tract (biliary atresia)
How well did you know this?
1
Not at all
2
3
4
5
Perfectly
10
Q

When is a bone scan useful? (4)

A
  1. Metastatic bone lesions 2. Evaluating delayed fractures 3. Evaluating osteomyelitis 4. A vascular necrosis of the femoral head
How well did you know this?
1
Not at all
2
3
4
5
Perfectly
11
Q

When is an adrenal scan the test of choice?

A

Localizing a pheochromocytoma (when MRI/CT nondiagnostic

How well did you know this?
1
Not at all
2
3
4
5
Perfectly
12
Q

When is a V/Q (ventilation-perfusion) scan the test of choice?

A

Evaluating for pulmonary embolism (Normal scan rules out PE; indeterminate needs further eval with CT angiogram)

How well did you know this?
1
Not at all
2
3
4
5
Perfectly
13
Q

When should you not order a V/Q scan (for the evaluation of pulmonary embolism)? (2)

A
  1. COPD 2. Extensive lung disease
How well did you know this?
1
Not at all
2
3
4
5
Perfectly
14
Q

When is a gallium scan the test of choice? (3)

A
  1. Localizing abscesses 2. Staging lymphomas 3. Melanomas
How well did you know this?
1
Not at all
2
3
4
5
Perfectly
15
Q

When is an ultrasound the best initial test? (4)

A
  1. Evaluating gallbladder for stones (pt with RUQ pain) 2. Assessing uterus, adnexa, ovaries (except cervical cancer) 3. Evaluate prostate and aids in obtaining biopsy 4. Evaluate for deep venous thrombosis (DVT)
How well did you know this?
1
Not at all
2
3
4
5
Perfectly
16
Q

What are likely causes of lyric lesions on a x-ray film of the bones? (3)

A
  1. Multiple myeloma 2. Primary bone tumor 3. Metastasis (lung, renal, thyroid, breast)
How well did you know this?
1
Not at all
2
3
4
5
Perfectly
17
Q

What are likely causes of blastic bone lesion on bone x-ray? (3)

A
  1. Metastasis (breast, prostate, lymphoma) 2. Paget’s disease 3. Medulloblastoma in kid
How well did you know this?
1
Not at all
2
3
4
5
Perfectly
18
Q

What are likely causes of large mediastinum on chest x-ray? (2)

A
  1. Aortic aneurysm 2. Lymphadenopathy
How well did you know this?
1
Not at all
2
3
4
5
Perfectly
19
Q

What are likely causes of lung infiltrated with effusion on chest x-ray? (4)

A
  1. Staphylococcus pneumoniae 2. Streptococcus pneumoniae 3. Lung infarct 4. Tuberculosis
How well did you know this?
1
Not at all
2
3
4
5
Perfectly
20
Q

What are likely causes of small bowel obstruction on abdominal/pelvic radiography? (5)

A
  1. Adhesions 2. Hernia 3. Intussusception in kid 4. Gallstone ileus 5. Carcinoma
How well did you know this?
1
Not at all
2
3
4
5
Perfectly
21
Q

What are likely causes of large bowel obstruction on abdominal/ pelvic radiography? (4)

A
  1. Carcinoma 2. Hernia 3. Diverticulitis 4. Intussusception in kids
22
Q

What are likely causes of gas in biliary system on abdominal/ pelvic radiography? (3)

A
  1. Gallstone ileus 2. Gas forming infection 3. Instrumentation
23
Q

What are likely causes of small kidneys detected by abdominal/ pelvic radiography? (4)

A
  1. Renal artery disease 2. Chronic hydronephrosis 3. Chronic glomerulonephritis 4. Chronic pyelonephritis
24
Q

What are likely causes of large kidneys detected on abdominal/ pelvic radiography? (5)

A
  1. Acute pyelonephritis 2. Acute glomerulonephritis 3. Renal vein thrombosis 4. Carcinoma (if unilateral) 5. Wilm’s tumor in kids
25
What are likely causes of ring enhancing lesions in the brain on brain imaging of an immunocompetent pt? (3)
1. Metastatic tumor 2. Demyelination disease 3. Pyogenic disease
26
What are the likely causes of ring enhancing lesions in brain on brain imaging of immunocompromised pt? (3)
1. Toxoplasma encephalitis (t. gondii) 2. Primary CNS lymphoma (EBV) 3. Tuberculosis (in endemic area)
27
What is the likely causes of hemorrhage into basal ganglia, cerebellum or pons on brain imaging?
Hypertensive brain hemorrhage
28
What are the likely causes of hemorrhage into the cerebral hemispheres on brain imaging? (7)
1. Arteriovenous (AV) malformations 2. Aneurysm 3. Trauma 4. Metastatic lesions 5. Vasculitis 6. Cocaine 7. Coagulation abnormalities
29
When is the noncontrast head CT the best initial test?
Rule out hemorrhage (trauma or acute neuro change)
30
What is the most likely diagnosis?
Pneumothorax
31
What is the likely diagnosis?
Pneumomediastinum
32
What is the likely diagnosis?
Pneumoperitoneum
33
What is the likely diagnosis?
COPD (Chronic obstructive pulmonary disorder)
34
What is the likely diagnosis?
Pleural Effusion
35
What is the likely diagnosis?
Bilateral pleural effusion
36
What is the likely diagnosis?
Pulmonary embolism
37
What is the likely diagnosis?
lobar pneumonia
38
What is the likely diagnosis?
Aortic Dissection
39
What is the likely diagnosis?
Aortic Dissection
40
What is the likely diagnosis?
Aortic Aneurysm
41
What is the likely diagnosis?
Small Bowel Obstruction
42
What is the likely diagnosis?
Cecal Volvulus
43
What is the likely diagnosis?
Toxic Megacolon
44
What is the most likely diagnosis?
Carcinoma of the Colon
45
What is the most likely diagnosis?
Epidural Hemorrhage
46
What is the most likely diagnosis?
Subdural Hemorrhage | (with shifting)
47
What is the most likely diagnosis?
Thalamic Hemorrhage
48
What is the likely diagnosis?
Cholecystitis
49
What is the likely diagnosis?
Congenital Diaphragmatic Hernia
50
What is the most likely diagnosis?
Duodenal Atresia | (double bubble sign)
51
What is the most likely diagnosis?
Foreign Body