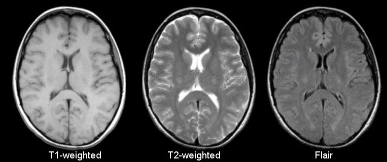
MRI T1 image characteristics + uses
1 tissue type is bright (fat) Anatomical MRI is T1 weighted Best for looking a brain structure

MRI T2 images characteristics + uses
2 tissue types are bright (fat + water) Functional MRI is T2 weighted Ideal for tissue oedema
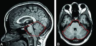
What tumours is MRI good for visualising, and what region of the brain is it good for visualising?
Soft tissue tumours
Good if PC is dizziness/ ataxia/ CN involvement - can see posterior fossa on MRI

How does a PET scan work?
Detects pairs of gamma rays emitted by postitron-emitting radionuclide = introduced into body on biologically active molecule

Use of FDG on PET scans - what is it, how does it work, what is it used to visualise + which cancers are show up well?
Fludeoxyglucose = conc of tracer imaged will indicate metabolic activity as it corresponds to regional glucose uptake Used to explore possibility of metastasis
Good for lymphomas + lung cancer
Other tracers used in PET scans
Acetate can be used for prostate cancer
How is a PET scan visualised?
Superimposed on CTs, which give anatomical landmarks

What is a DEXA scan used for + how are the results shown?
Gives you bone density - shown as a number or on a graph
How is a bone scan done + how does it work?
Technetium injected Excreted by kidneys Osteoblasts take up tracer

What does a bone scan show?
Tracer goes to site of increase bone remodelling (sclerotic bone mets, healing fractures, osteomyelitis)

What are the consequences of bone mets + how are they diagnosed?
Marrow involvement = increased fracture risk, anaemia + spinal cord compression
Bone scan
Management of bone mets + SE?
Bisphosphonates = increase density but cause hairline fractures
NSAIDs + RT
What are the types of bone mets + what cancers cause each type?
Lytic (kidney, lung cancer) Sclerotic (prostate)
Kidney bone mets - what do they look like?
Mainly lytic but can be a mix Very vascular - needs to be embolised before operated on
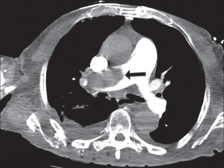
What is CTPA + what is it used for?
CT pulmonary angiogram Used to look for blood clots

What imaging is used for staging cancers?
CT used for chest + abdo cancer
Supplemented with PET-CT to detect areas of intense metabolic activity (especially for lung + oesophageal cancer)
What is the RECIST system + what are the responses?
Compares treatments in clinical trials
Complete response = no disease detectable radiologically
Partial response = all lesions shrunk by at least 30%
Stable disease = less than 20% increase or less than 30% decrease
Progressive disease = new lesions, or lesions increased >20%
How does a CT scan work?
Rotating X ray tube + opposing detector
Computer reconstruction of axial cross-sectional images, based on X rays

What is a CT with contrast and what is it used for, when is it to be used with caution?
Outlines GI tract, used to delineate vascular structures + demonstrate tumour enhancement
Can be nephrotoxic

What is the risk of developing malignancy from CT scans?
1 cancer per 1000-2000 scans
What is MRI used for in oncology - which cancers?
Neurospinal, rectal, prostate + MSK tumours Staging of head + neck cancer
How does US work?
Reflection of high frequency sound waves at soft tissue generates image
What 3 ways is US used for in oncology?
Detecting mets in solid visceral abdo organs
Used to assess tumour blood flow
Used to guide biopsy