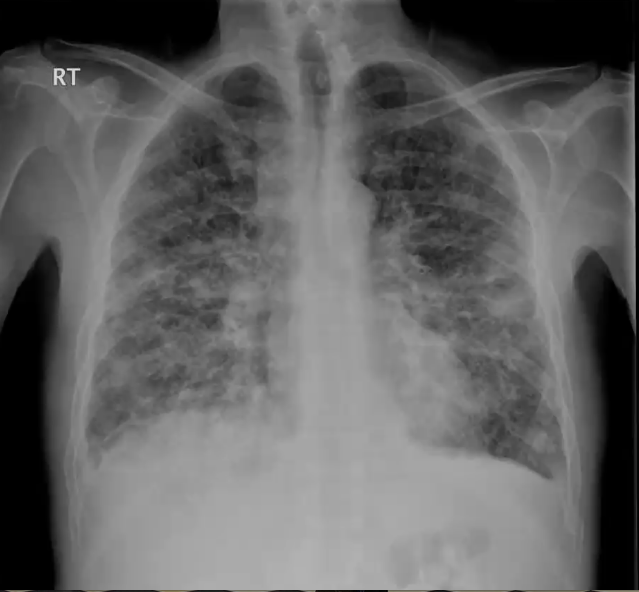
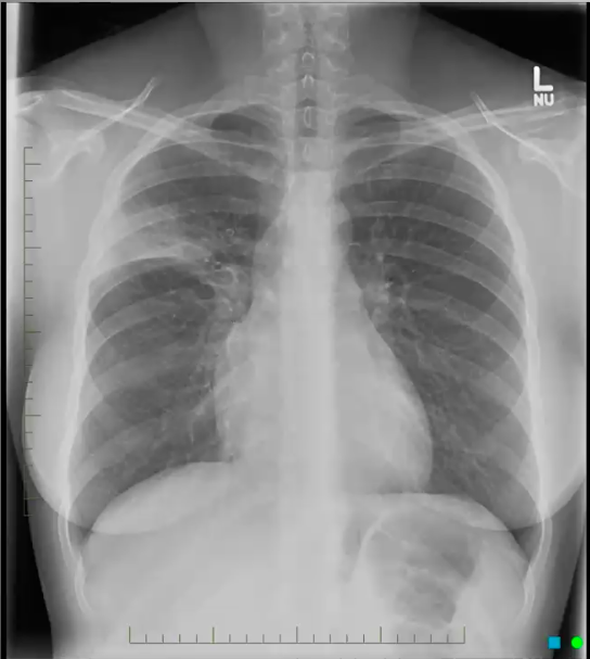
What’s your diagnosis?

Left lingula pneumonia because loss of left heart border (silouhette sign)
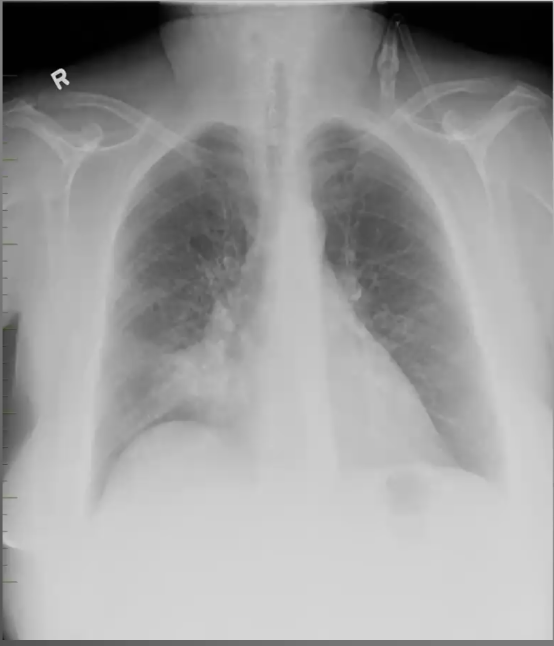
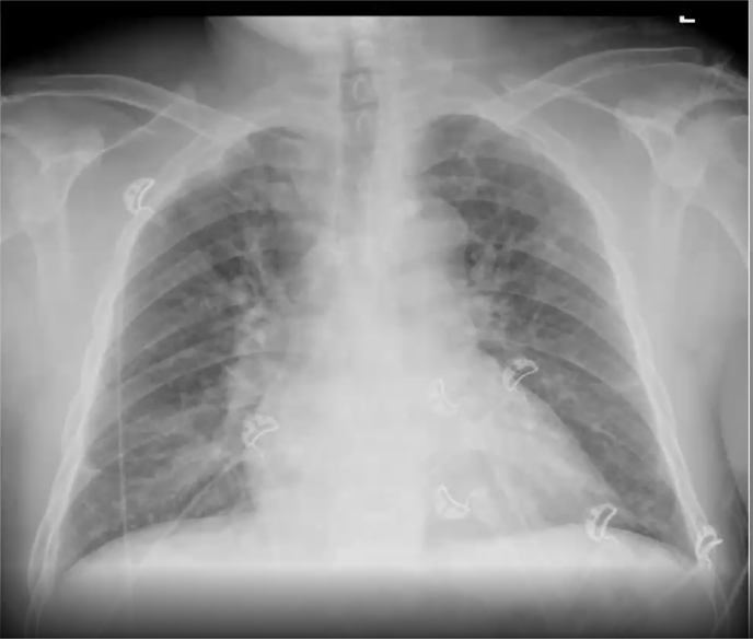
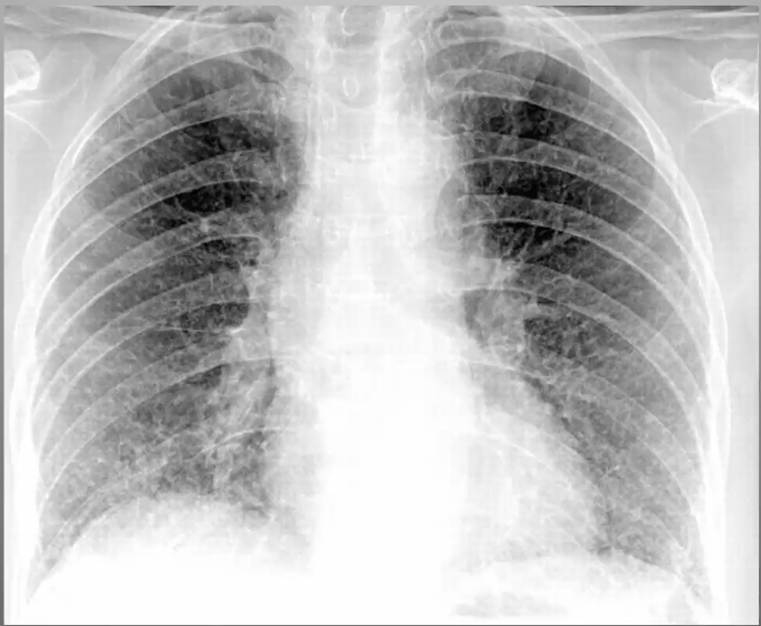
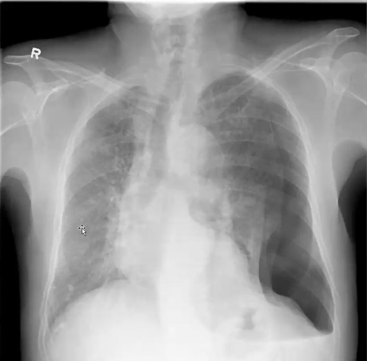
What’s your diagnosis?

Right middle lobe pneumonia because loss of right heart border (silouhette sign)
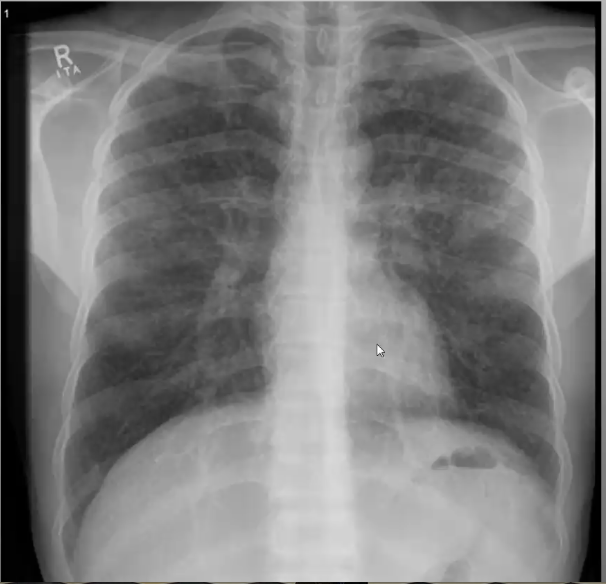
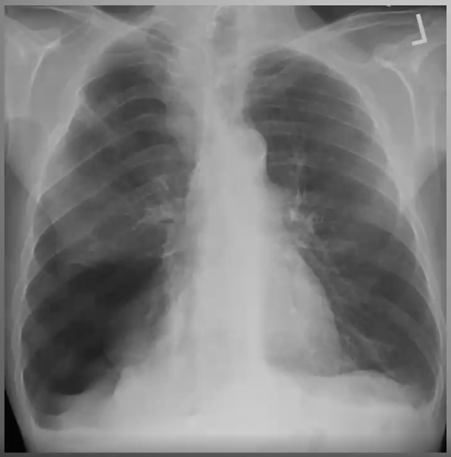
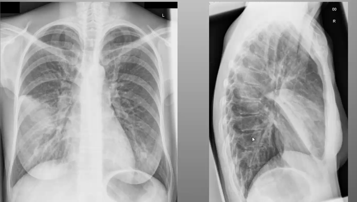
What’s your diagnosis?

Right lower lobe pneumonia because you have a right heart border (no silouhette sign) and a spine sign
What are the five basic disease patterns of interstitial lung disease?
What are the two important signs in the evaluation of lung consolidation?
What’s your diagnosis?

Ground Glass: Hypersensitivity Pneumonitis
What’s your diagnosis?

TB
What’s your diagnosis?

Pulmonary edema
What’s your diagnosis?

Reticulo-nodular: Lymphangitic carcinomatosis
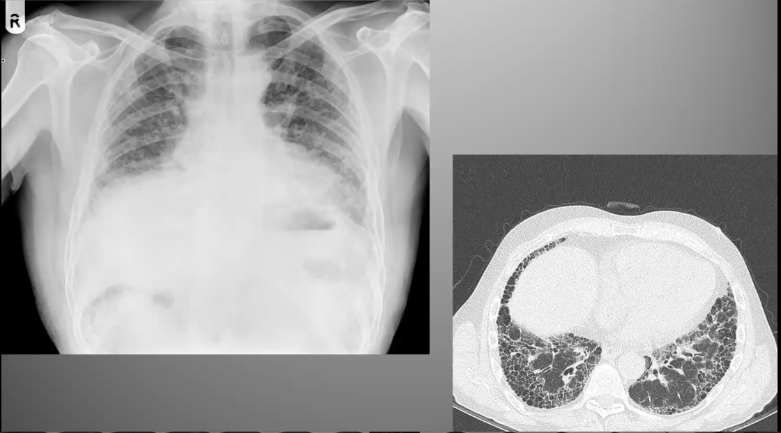
What’s your diagnosis?

Honeycombing: pulmonary fibrosis
What is Atelectasis?
Atelectasis means there is volume loss of the lung, it can involve an entire lung, a lobe, a segment or subsegment
Types of atelectasis:
What’s your diagnosis?

Passive atelectasis caused by pneumothorax

What’s your diagnosis?

Obstructive atelectasis because NO air bronchogram caused by bronchogenic carcinoma
Looks like pneumonia but there is NO air bronchogram

What are the 3 common patterns of pneumonia on CXR?
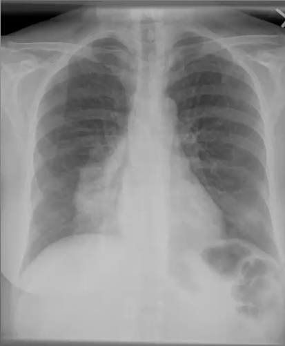
What’s your diagnosis?

Lobar Pneumonia: right middle lobe
What’s your diagnosis?

Interstitial pneumonia: viral
Could be interstitial fibrosis if chronic
What are the signs of pulmonary edema on a CXR?

What are the non-cardiogenic causes of pulmonary edema?
“NOT CARDIAC”
What’s your diagnosis?

ARDS
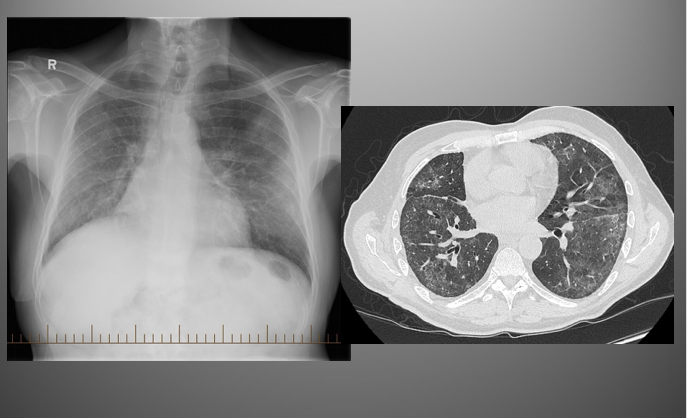
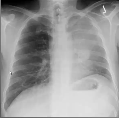
What’s your diagnosis?

Right upper lobe pneumonia
What’s your diagnosis?

Pneumothorax
What’s your diagnosis?

Tension pneumothorax: EMERGENCY
What are the possible causes of an anterior mediastinal mass?
What are the possible causes of a posterior mediastinal mass?