Radiology Class Flashcards

(53 cards)

1
Q
A
How well did you know this?
1
Not at all
2
3
4
5
Perfectly
2
Q
A

Tumours can compress the optic chiasm (loss of vision)

How well did you know this?
1
Not at all
2
3
4
5
Perfectly
3
Q
A
How well did you know this?
1
Not at all
2
3
4
5
Perfectly
4
Q
A
How well did you know this?
1
Not at all
2
3
4
5
Perfectly
5
Q

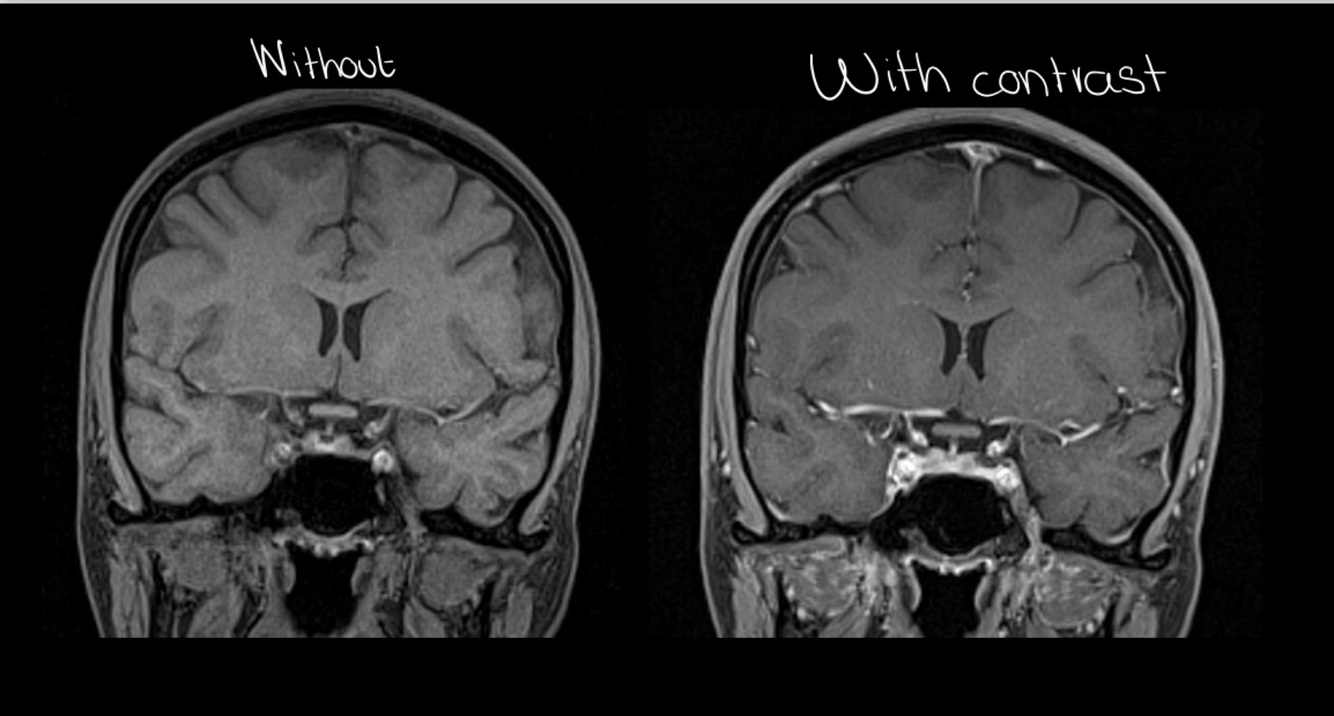
Normally, we use contrast in the brain (T/F)

A

FALSE: it stays the same after contrast
Only pituitary glands and vessels enhance

How well did you know this?
1
Not at all
2
3
4
5
Perfectly
6
Q
A
How well did you know this?
1
Not at all
2
3
4
5
Perfectly
7
Q
A
How well did you know this?
1
Not at all
2
3
4
5
Perfectly
8
Q

Wernicke is related to… speech
Broca is related to … speech

A
  • understanding
  • motor (knowing how to speak). If there is a problem here: AFASIA

They are connected, if there is a problem in the connection, no habrá congruencia entre lo que dice y lo que entiende.

How well did you know this?
1
Not at all
2
3
4
5
Perfectly
9
Q
A
How well did you know this?
1
Not at all
2
3
4
5
Perfectly
10
Q

Representación esquemática HOMUNCULO MOTOR

A
How well did you know this?
1
Not at all
2
3
4
5
Perfectly
11
Q

A lesion in this area might cause, problems in the contralateral… (hand/leg)

A

HAND (more lateral)

How well did you know this?
1
Not at all
2
3
4
5
Perfectly
12
Q

Broca and Wernicke areas are only located in the… hemisphere

A

DOMINANT

How well did you know this?
1
Not at all
2
3
4
5
Perfectly
13
Q

With MRI we can do functional imaging and identify the different areas of the brain (T/F)

A

True: to identify primary motor areas of the hand for example, if we have a tumour we do not see it.
We need the patient to cooperate, to see which area of the brain controls the movement (either speaking for Broca, or moving something for motor cortex).

How well did you know this?
1
Not at all
2
3
4
5
Perfectly
14
Q

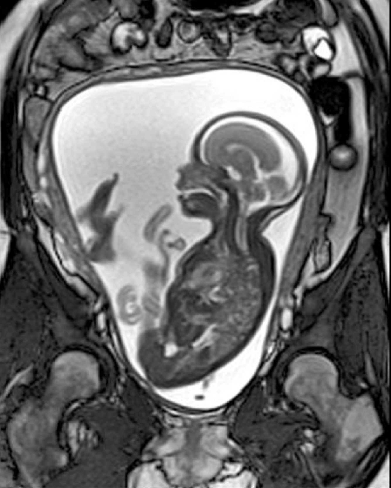
What can we see in this image?

A

A fetal MRI for CNS evaluation

How well did you know this?
1
Not at all
2
3
4
5
Perfectly
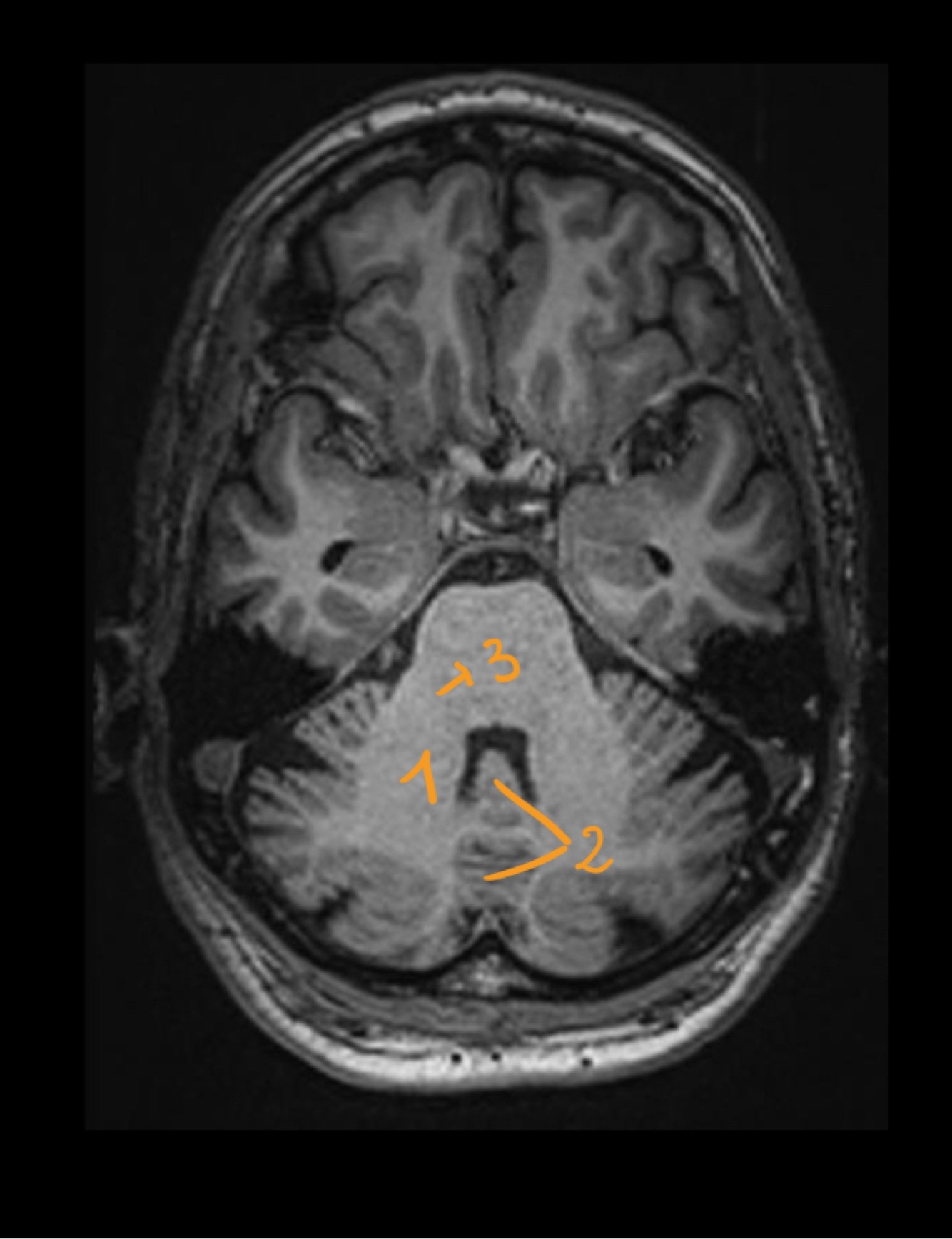
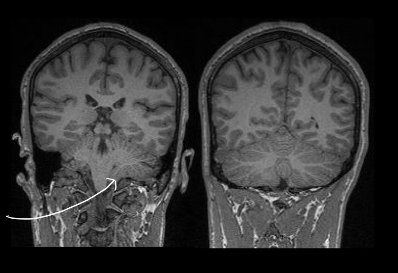
15
Q

What is the arrow pointing at?

A

Cerebellar tonsils

How well did you know this?
1
Not at all
2
3
4
5
Perfectly
16
Q
A
How well did you know this?
1
Not at all
2
3
4
5
Perfectly
17
Q
A
How well did you know this?
1
Not at all
2
3
4
5
Perfectly
18
Q
A
How well did you know this?
1
Not at all
2
3
4
5
Perfectly
19
Q
A
How well did you know this?
1
Not at all
2
3
4
5
Perfectly
20
Q
A
How well did you know this?
1
Not at all
2
3
4
5
Perfectly
21
Q
A
How well did you know this?
1
Not at all
2
3
4
5
Perfectly
25
26
27
28
Name the structure
Hypophisis
29
Hypophisis
30
4th ventricle
31
¿Qué técnica observamos?
RESONANCIA MAGNÉTICA
32
For spinal cord imaging, we mainly use…
MRI (we see almost nothing with CT)
33
What can we see in this image?
Iodinated contrast CT
34
Techniques used in vascular radiological anatomy of the head and neck
1. Doppler ultrasound: mostly for extracranial arteries (carotid arteries in the neck) 2. Conventional angiography 3. CT angiography (CTA, with iv contrast) 4. MRI angiography (MRA) - No contrast: TOF and phase contrast (PC) - With iv contrast.
35
Technique used
Doppler ultrasound
36
Technique used
Direct arteriography (contrast is used), only for treatment (for stenosis or thrombus) IT IS NOT AN STATIC IMAGE, BUT A DYNAMIC STUDY
37
For intracranial vessels, we usually use…
CT (mostly) with contrast, and MRI
38
Cerebral arterial irrigation divided into: - anterior circulation: … - posterior circulation: … Both originate from arterial branches of the …
- CAROTID AXIS - VERTEBRO-BASILAR AXIS aortic arch.
39
40
41
Vertebral arteries enter in transverse processes of…
C6
42
Why does the artery have this form?
So that it does not get compressed during rotation.
43
Most important type of stroke occurs in…
Medial cerebral artery
44
Suture we mostly see in babies:
METOPIC SUTURE
45
In this image we can see the…
Sylvian sulcus
46
INTERNAL AUDITORY CANAL RADIOLOGY
47
THALAMUS IN ULTRASOUND
48
CN … pass through superior orbital fissure
III, IV, VI
49
Trigeminal nerve passes through…
Foramen ovale
50
Through internal auditory canal … CN
pass VII, VIII
51
CN … pass through yugular foramen
IX, X, XI
52
XI CN passes through…
Hypoglossal foramen
53
Patients with memory problems might have a malformation in … gyrus
CINGULATE