Radiolucencies Flashcards

(14 cards)

1
Q

how should you report on a radiograph?

A
  • the type of radiograph
  • the name of patient and date taken
  • grading of radiograph - is it acceptable or not
  • teeth present
  • any abnormalities and their description
How well did you know this?
1
Not at all
2
3
4
5
Perfectly
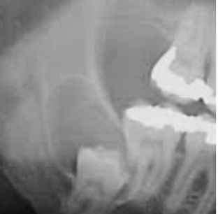
2
Q

what is this?

A

the maxillary sinus
lies above the premolar/molars

How well did you know this?
1
Not at all
2
3
4
5
Perfectly
3
Q

what is this?

A

mandible thinning on the lingual surface

How well did you know this?
1
Not at all
2
3
4
5
Perfectly
4
Q

what is this?

A

Stafne’s Idiopathic Bone Cavity
- looks like a cyst but isnt
- always in the posterior mandible
- usually below the IAD

  • well define with an opaque margin
  • doesn’t move or change shape in monitoring pics
  • caused by an indentation of the sublingual salivary gland
How well did you know this?
1
Not at all
2
3
4
5
Perfectly
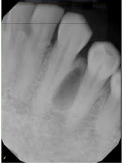
5
Q

what is this?

A

a dentigerous cyst
- a cyst forming around the crown of an unerupted tooth
- always forms from the CEJ of the tooth and follows the outline of the crown

How well did you know this?
1
Not at all
2
3
4
5
Perfectly
6
Q

what is this?

A

Lateral Periodontal Cyst - in-between the teeth and if the teeth are vital

if the tooth was non-vital, would be a Lateral Radicular Cyst

How well did you know this?
1
Not at all
2
3
4
5
Perfectly
7
Q

define Cyst

A

an epithelial lined cavity

How well did you know this?
1
Not at all
2
3
4
5
Perfectly
8
Q

can you distinguish a cyst from a granuloma on a radiograph?

A

no

How well did you know this?
1
Not at all
2
3
4
5
Perfectly
9
Q

which cyst is always related to non-vital teeth?

A

radicular cyst

How well did you know this?
1
Not at all
2
3
4
5
Perfectly
10
Q

what is a dentigerous cyst always associated with?

A

an unerupted tooth and beginning from the CEJ

How well did you know this?
1
Not at all
2
3
4
5
Perfectly
11
Q

what is a Giant Cell Granuloma?
- describe the features
- what disease is it linked to and what should be checked?

A

benign lesion with the potential of becoming aggressive
- can either be peripheral (gingiva or alveolar mucosa) or central (in the bone)

features:
- swelling of the gingivae or jaw
- tooth displacement or root resorption
- pain

it is linked to hyperparathyroid disease
- check the Ca levels

How well did you know this?
1
Not at all
2
3
4
5
Perfectly
12
Q

what is Cherubism?
- aetiology
- how does it appear on a radiograph

A

bilateral tumour in children

aetiology: autosomal dominant inheritance

radiograph: multi-oculated

How well did you know this?
1
Not at all
2
3
4
5
Perfectly
13
Q

what is an Ameloblastoma?
- how does it appear on a radiograph?

A

a locally aggressive odontogenic tumour

radiograph:
- multi-ocular
- well defined
- root resorption

How well did you know this?
1
Not at all
2
3
4
5
Perfectly
14
Q

what is the most common oral cancer?
- how does it appear on radiograph?

A

Primary Squamous Cell Carcinoma.

radiograph:
poorly define
no cortication
destroying bone

How well did you know this?
1
Not at all
2
3
4
5
Perfectly