Random Flashcards

(44 cards)

1
Q

What is the Evans Index ?

A

The ratio of maximum width of a frontal herns to maximum inner skull diameter

  • 0.20-0.25»_space; normal
  • 0.25-0.30»_space; possible/early ventriculomegaly
  • > 0.30»_space; ventriculomegaly
How well did you know this?
1
Not at all
2
3
4
5
Perfectly
2
Q

What is the wallenberg syndrome?

A

Lateral medullary and posterior inferior cerebellar syndrome

How well did you know this?
1
Not at all
2
3
4
5
Perfectly
3
Q

Which is outcome worse vascular stroke or sinus stroke ?

A

Arterial

How well did you know this?
1
Not at all
2
3
4
5
Perfectly
4
Q

Why sinus venous thrombosis have hydrocephylus ?

A

Because the csf normal pass passively to vein due to low pressure in it , in venous thrombosis > pressure increases inside the vein and don’t allow csf to enter

How well did you know this?
1
Not at all
2
3
4
5
Perfectly
5
Q

What is the unintentional weight loss ?

A

defined as loss of more than 5 percent of usual body weight over 6 to 12 months [1,2].

How well did you know this?
1
Not at all
2
3
4
5
Perfectly
6
Q

What is the time taken by ICH hematoma to expand ?

A

Within 24 h

How well did you know this?
1
Not at all
2
3
4
5
Perfectly
7
Q

In vagal nerve stimulation done in white which’s side and why?

A

Done in the left vagus nerve only
As the rt vagus supply the sa node in heart so may lead to arrhythmia and arrest
Even if mother insists on the rt side u as a surgeon refuse

How well did you know this?
1
Not at all
2
3
4
5
Perfectly
8
Q

What si the Diastatic fractures ?

A

Diastatic fractures occur when there is a separation of the cranial sutures, most commonly with the lambdoid suture.

How well did you know this?
1
Not at all
2
3
4
5
Perfectly
9
Q

What is the distance in diastatic fracture

A

Diastasis was defined as sutural separation of a distance greater than 1 mm in comparison to the contralateral side.

How well did you know this?
1
Not at all
2
3
4
5
Perfectly
10
Q

What is the Todd’s paralysis ?

A

a neurological condition experienced by individuals with epilepsy, in which a seizure is followed by a brief period of temporary paralysis. The paralysis may be partial or complete but usually occurs on just one side of the body. , weakness

How well did you know this?
1
Not at all
2
3
4
5
Perfectly
11
Q

What is the difference bt contusion and concussions

A

contusion is another way to say bruise and is the bleeding on the brain due to localized trauma. A concussion refers to more widespread brain trauma from a blow to the head or swift shaking. Many assume that a concussion is just a more severe form of a contusion, but that is not th

الخلاصة
Contusion ~> كدمة ~< localized
Concussion ~> generalized

How well did you know this?
1
Not at all
2
3
4
5
Perfectly
12
Q

What is the use of procalcitonin

A

It’s use to early detection of the bacterial infection (it’s start increasing after 6-12 h after infection)

How well did you know this?
1
Not at all
2
3
4
5
Perfectly
13
Q

What is the half live of procalcitonin ?

A

20-24 h so after administrating the abx level gonna fall 50% after 24 h

How well did you know this?
1
Not at all
2
3
4
5
Perfectly
14
Q

How you can exam the brainstem ?

A
How well did you know this?
1
Not at all
2
3
4
5
Perfectly
15
Q

What is the triad of normal pressure hydrocephalus?

A
How well did you know this?
1
Not at all
2
3
4
5
Perfectly
16
Q

What is the type of hydrocephalus in NPH ?

A

Communicating hydrocephalus

How well did you know this?
1
Not at all
2
3
4
5
Perfectly
17
Q

Which case we can’t give mannitol and why ?

A

In Epidural hematoma the mannitol contraindicated if pt for conservative mx

How well did you know this?
1
Not at all
2
3
4
5
Perfectly
18
Q

What is the pathophysiology if sinking skin flap syndrome?

A

When the atmospheric pressure exceeds the intra cranial pressure, the skin flap presses on the brain tissue resulting in paradoxical herniation.

19
Q

If pt agitated what u think

A

Mean he have SAH

20
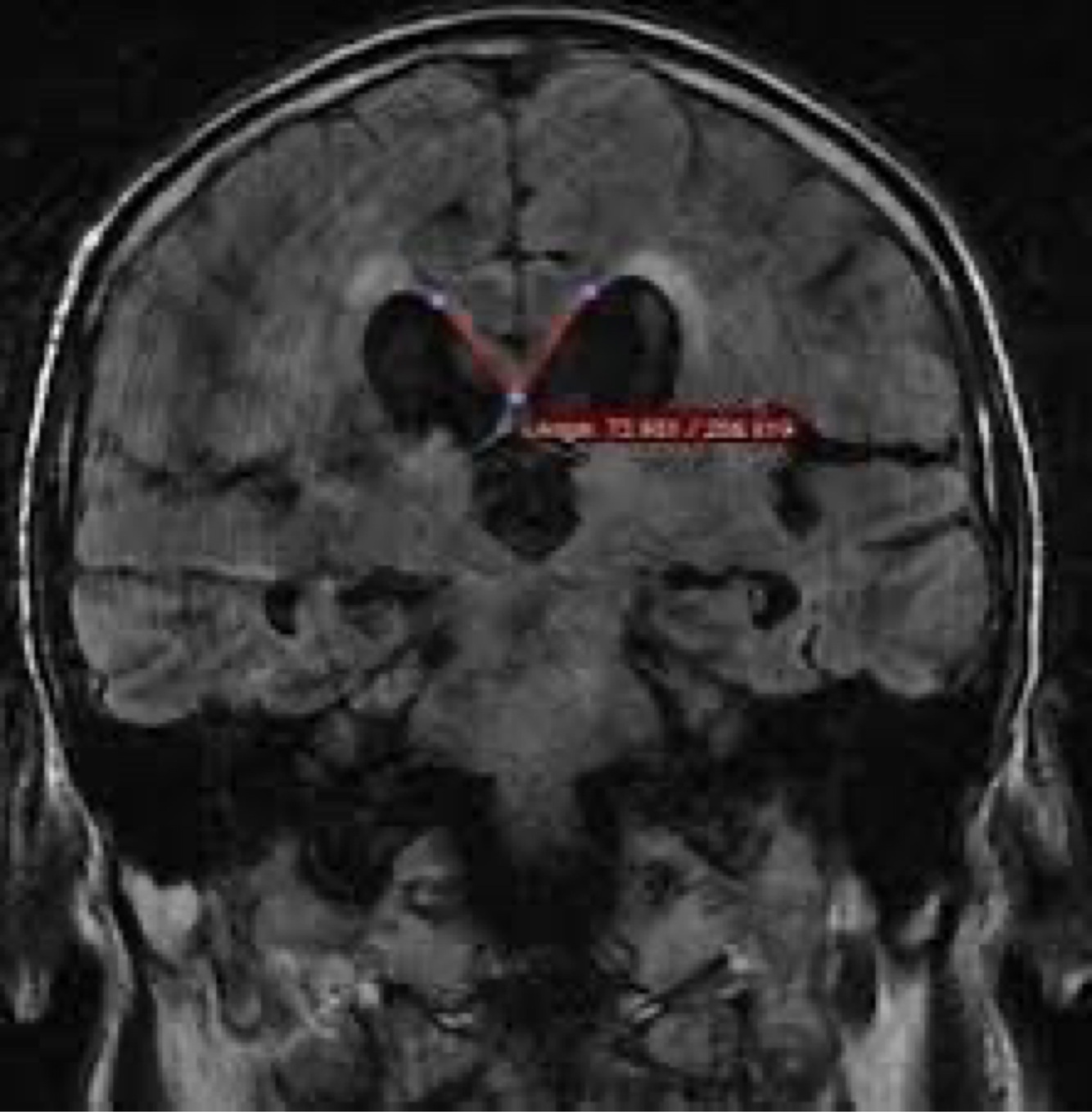
Q

In iNPH what you gonna see in sagital view ct ?

A

corpus callosum angle
The callosal angle has been proposed as a useful marker of patients with idiopathic normal pressure hydrocephalus (iNPH), helpful in distinguishing these patients from those with ex-vacuo ventriculomegaly (see hydrocephalus versus atrophy).

It should be noted that there is nothing magical about this measurement, but rather it is merely a quantifiable measurement of the morphology of iNPH characterized by enlarged widening of the Sylvian fissures and cisterns with crowding of the gyri at the vertex.

Measurement
Ideally, the angle should be measured on a coronal image perpendicular to the anterior commissure - posterior commissure (AC-PC) plane at the level of the posterior commissure 1,2.

Interpretation
In general patients with iNPH have smaller angles than those with ventriculomegaly from atrophy or normal controls.

A normal value is typically between 100-120°. In patients with iNPH that value is lower, between 50-80° 2.

21
Q

Sign suspect iNPH ?

A
  • empty sella
  • tourshity of the optic
22
Q

Low gcs how to know if this is real drop in gcs or non compulsive seizure ?

A

By pupillary hippus

Repeatitive construction and dilation of the pupil

23
Q

Why we use bromcriptine in head trauma ?

A
  • it’s dopamin agonist

Use to treat central fever
We start from 5 mg

24
Q

Can we use cortisone in septic shock and why ?

A

Yes
For 2 reasone :
1- inc the sensitivity of Beta receptors so norepenphren work best
2- improve the adrenal function

25
How much you need to decrease the BP in the Ich case ?
- decreased 15% in the first hour then nx the rest over 6-8 h U can use labetalol 10 or hydralzin 5 and see the b p
26
What u need to follow in pt taking mannitol ?
-plasma osm keep it 320
27
In pt taking hypertonic saline how much na is accepted ?
Upto 151
28
Phenytoin not given in Afib pt why ?
It’s cause shortining in physiological av node
29
How to diff bt positional edema and heart edema ?
Heart edema pitting Positional not pitting and improve after you elevate it
30
What is the diff bt steriod medications ?
- hydrocortson : fast action short duration - then methycorstson - dexam : long acting long duration stronger
31
When u gonna stop labetalol infusion ?
- after 48 h u cant use labetalol infuaion as receptor full and gonna be unusefull
32
Why trauma brain cause DI ?
- pt had dead brain tisssu And as the adh formed in hypothalamus and restore in pitutary and pituitary release it >>> so inj cause dead hypothalamus so no adh formation any more
33
Why we don’t give D5 water in brain edema ?
It’s hypoosmular solution will lead to further edema
34
Pt di and have brain edema how to mx ?
Give normal saline till euvolimia Then give half normal salin
35
Oressure support in mv and peep ?
P supp هو الضغط اللازم اللي ينقل الهواء من الاله الى صدر المريض يكون ٢٠ اذا قل وصل ٨ معناه ذا الضغط اللي ف الانبوب اللي قريب من المريض بس معناه المريض قادر انه يسوي ضغط ينقل العواء لصدره البيب الضغط اللي يحافظ على الالفيولاي مفتوحه بعد الاكسبايرين
36
If u have pt extibate in rad what u gonna do ?
- jaw thrust + put oropharmeal pece > ventilation - check chest mov and sat - try to use LMA or nob rebreather - give propofol not exceed .5-1 mg stat if there is stridor and laryngioscope
37
In dural tear in spine
1st good backing and avoid strain and meds like acetazolmide bed rest 3 days 2nd if still do lumbar drain above thr wound for 5 days 3rd if still operate for explorations and repair
38
How to diff bt arachnid cyst and epidermoid cyst ?
Arachnoid in mri is free diffusion
39
Is striaght leg in disc l3 positive or negative?
Gonna be negative
40
When you position the mayfeild , and don’t matter the rt from left mostly put the 2pins on the left side why
لان الوزن متوزع ع مسمارين مو ع مسمار ولان الدومنانت هو الايسر ما تبين يصير ضغط لو في حال انضغط وانكسر العظم
41
What is the tumors that disappear with medical mx ?
- lymphoma > with steriod - germinioma > radiation
42
43
What is the brain lesion in hiv ?
Depend on cd4 numbers Toxoplasmosis Cns lymphoma Cryptococcal abcess Pml
44