The narrowest part of the ventricular system of the brain is…
Mesencephalic aqueduct
What structure is the black area pointing to?

Osseous tentorum cerebrii
What structures create the round ligaments of the bladder?
Umbilical arteries
Umbilical vein runs where?
To the liver - hilus
Bearded dragons have a what for their breathing anatomy?
Ceclomic cavity - rib muscles are the ones that let it breath not a diaphragm.
Passive transfer of oxygen
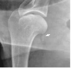
Name the sesamoid of the elbow joint?
Tendon of the supinator
What is the name of this area in a cat? Dog?
Sphenopalentine sinus - cat
Sphenopalentine recess - dog
The dew claw is what number phanlange?
1
Portal vasculature - divisions of the portal vein
What cranial nerves are involved in swallowing?
What structure is the asterik in?
Dorsal pouch of the distal interphangeal joint
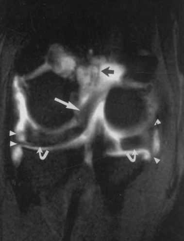
What structure separates the navicular bursa and the distal interphalangeal joint?
Distal sesamoidean impar ligament
Where does the extensor carpi radialis originate from?
Lateral epicondyle of the humerus
What is the difference between veno-occulssive disease, noncirrhotic portal hypertension and microvascular dyplasia?
They are all primary hypoplasia of the portal vein…. however, microvascular dyplasia does not cause portal hypertension. They others do.
What are these structures?
Caudal circumflex humeral artery
Axillobrachial vein
These are branches of the axillary artery and vein
What structure is the T2W hyperintensity in?
Basal ganglion
What two muscles make up the iliopsoas m?
Iliacus m
Psoas major
Where does the psoas major arise from and attach?
Arises from the transverse processes of L2-L4
Where does the iliacus m arise from?
Ilium
What arteries supply the head and neck of the femors?
The medial and lateral deep circumflex artery from the sacral (70%)
Gluteal arteries (30%)
Where are the celiac and cranial mesenteric arteries located on a sagitall MRI image?
Celiac is just ventral to L1
CrM is ventral to L1-L2
What are that supplies the brain of a dog does not arise from the circle of willis?
Caudal cerebellum which arise directly from the basilar artery

What ligament extends from the lateral meniscus and attaches to the medial femoral condyle in the stifle joint of a dog?
Meniscofemoral ligament
What do the curved lines represent and the arrow heads?
Meniscus - curved line
Meniscal struts - arrow heads