Typically the walls of cryptococcal aggregates contain melanin. What stain is best for highlighting this feature?
*Image: crytococcus aggregates with gelatinous capsules.

Fontana-Masson stain

What is the differential diagnosis for neutrophils in the stratum corneum?
“PTICS”
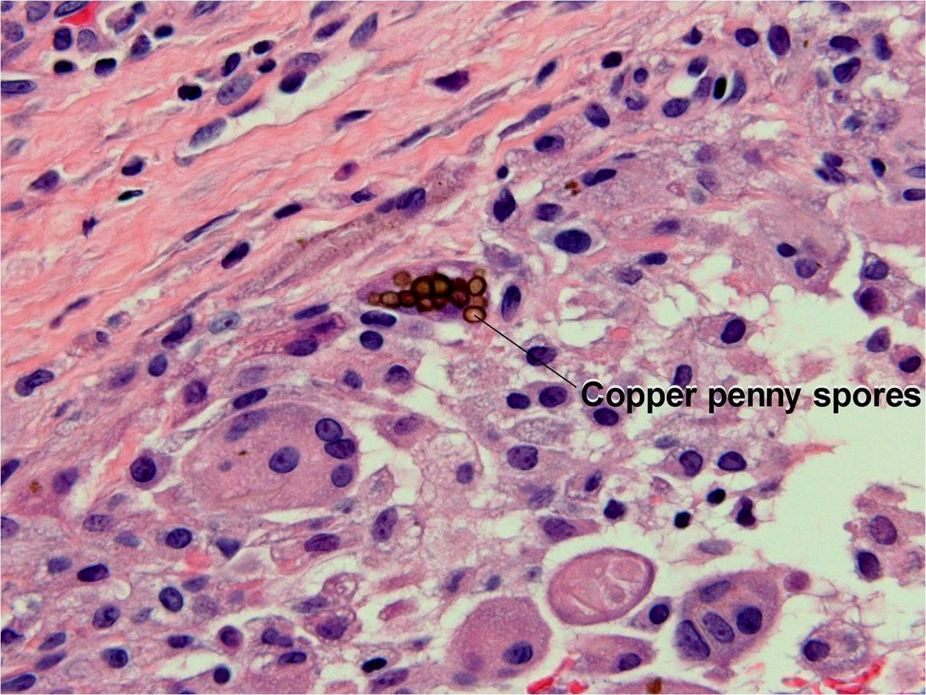
The image below depicts Medlar bodies (“copper penny spores”). What fungus is this characteristic of?

Chromomycosis
This is crazy!

That is all.
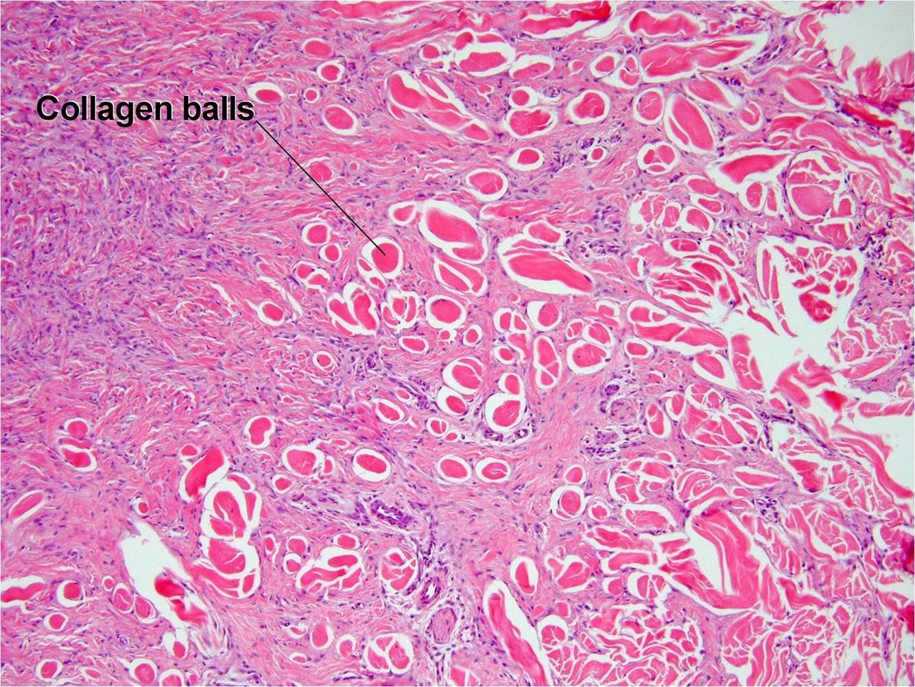
Collagen trapping (often seen as collagen balls) is characteristic of which fibrous tumor?

Dermatofibroma
*Other features include: acanthosis, follicular induction, and ringed siderophages.
When Touton giant cells (lipid-laden histiocyte with multiple nuclei grouped around a small island of cytoplasm) contain hemosiderin, they are called ringed siderophages. These are pathognomonic of which fibrous tumor?

Dermatofibroma
An asteroid body is a collection of eosinophilic material. If an asteroid body is present, what infectious disease might you think of? What about if the asteroid body is found within a giant cell?

What type of collagen is found within caterpillar bodies (seen in porphyria cutanea tarda)?
Type IV
A Cowdry A body is also known as a Lipshutz body. What type of infection are Cowdry bodies seen in?
Herpes virus infections
What type of infections are Cowdry B bodies seen in?
Adenovirus and poliovirus infections
In what infectious condition are Donovan bodies (intracellular organisms) seen in?

Granuloma inguinale (Donovanosis)

This term refers to lymphocytes in the epidermis with relative absence of spongiosis. This term is usually reserved for mycosis fungoides.
Epidermotropism
This term refers to the presence of lymphocytes in the epidermis with associated spongiosis. This term is typically used when referring to spongiotic dermatitis.
Exocytosis
In what two conditions are papillary mesenchymal bodies seen?

Trichoblastoma and trichoepithelioma
In what condition are verocay bodies seen?

Schwanommas
Why are the cells in clear cell acanthoms (pale cell acanthomas) pale in appearance?
Because they lack phosphorylase, which results in an accumulation of glycogen.
*Note: classically there’s an abrupt transition between the pale cells and normal cells.

Cutaneous melanoacanthomas are a type of seborrheic keratosis composed of both small cuboidal keratinocytes and pigmented dendritic melanocytes. Are oral melanoacanthomas related to seborrheic keratoses?
*Image: cutaneous melanoacanthoma.

No, they are not related. Oral melanoacanthomas are reactive proliferations unrelated to seborrheic keratoses.
What does the following image represent? Note the endophytic nature of the lesion, resembling an expanded hair follicle.

Inverted follicular keratosis
*Note: squamous eddies are often present.

The lesion below is endophytic in nature and displays acantholytic dyskeratosis. The lesion does NOT represent Darier’s disease or Hailey-Hailey (these would not be endophytic, although they tyipcally display acantholytic dyskeratosis). What is it?

A warty dyskeratoma
*Note: some warty dyskeratomas are crateriform; however, some resemble dilated hair follicles.

The lesion below is composed of bland keratinocytes. Acanthosis is also present, and the lesion closely resembles the “dilapidated brick wall” of Hailey-Hailey. What is it?

Acantholytic acanthoma
Clinically, the following lesion resembles a seborrheic keratosis. Histologically, they are crateriform and display epidermolytic hyperkeratosis (note: this is different than acantholytic dyskeratosis).

Epidermolytic acanthoma
True or false: histologically, inflammatory linear verrucous epidermal nevus (ILVEN) lesions typically have intense dermal inflammation.
False; the word “inflammatory” refers to the erythematous clinical appearance of these lesions.
*Histologically these have variable acanthosis, and a stratum corneum with alternating ortho- and parakeratosis.

Blashkoid epidermolytic hyperkeratosis resembles an epidermal nevus clinically, but histologically displays epidermolytic hyperkeratosis. How should the patient be counselled with respect to the risk for genetic inheritance in their offspring?
These lesions represent mosaic mutations in keratin 1 and 10. If the gonads are affected, the patient can pass on the mutation, and have a child with generalized epidermolytic hyperkeratosis (bullous congenital ichthyosiform erythroderma).
What two conditions has vellus hair cysts been associated with?

Renal failure and Lowe syndrome (Fanconi-type renal failure, mental retardation, and eye abnormalities)