Random Learning Flashcards

(44 cards)

1
Q

What makes a foot at high risk?

A

PAD
LOPS
Deformity, history of ulcerations.

How well did you know this?
1
Not at all
2
3
4
5
Perfectly
2
Q

Topical anti-fungal

A

Terbinafine (brand name Lamisil)

How well did you know this?
1
Not at all
2
3
4
5
Perfectly
3
Q

Oral anti-fungal

A

Lamisil

How well did you know this?
1
Not at all
2
3
4
5
Perfectly
4
Q

Lamisil interacts/affects what?

A

Liver.

Maybe warfarin, cholesterol drugs, anti-seizure drugs (any drugs cleared by liver).

How well did you know this?
1
Not at all
2
3
4
5
Perfectly
5
Q

How does the body get rid of warfarin?

A

Metabolized by liver

How well did you know this?
1
Not at all
2
3
4
5
Perfectly
6
Q

indomethacine

A

oral NSAID for gouty attacks

How well did you know this?
1
Not at all
2
3
4
5
Perfectly
7
Q

colchicine

A

alkaloid anti inflammatory can be used to prevent gout attacks or address a gout attack

How well did you know this?
1
Not at all
2
3
4
5
Perfectly
8
Q

Diameter of lesion that causes suspicion for melanoma?

A

greater than 6mm

How well did you know this?
1
Not at all
2
3
4
5
Perfectly
9
Q

What is recommended daily intake of protein for wound healing?

A

1.5g/kg

How well did you know this?
1
Not at all
2
3
4
5
Perfectly
10
Q

compartment syndrome diagnosis needs a pressure measurement of

A

30 mmHG or higher

How well did you know this?
1
Not at all
2
3
4
5
Perfectly
11
Q

Remove the nail if subungual hematoma is

A

50% of nail or 25% of nail with fracture

How well did you know this?
1
Not at all
2
3
4
5
Perfectly
12
Q

Tendon…
transfer
transposition
transplantation
suspension

A

transfer = detachment at insertion and moved elsewhere

transposition = no detachment, but rerouted. AKA translocation.

transplantation = detachment at both ends & moved.

tendon suspension = procedures to support tendon; i.e. graft wrap.

How well did you know this?
1
Not at all
2
3
4
5
Perfectly
13
Q

According to CPMAgram, looking at ankle mortise view… Syndesmotic injury is suspected if tib fib clear space is ___ and tib fib overlap is ___

A

Syndesmotic injury is suspected if tib fib clear space is greater than 6mm and tib fib overlap is less than 1mm.

How well did you know this?
1
Not at all
2
3
4
5
Perfectly
14
Q

Cotton Stress Test

A

Used to test syndesmotic injury.
Syndesmotic injury occurs 1% of the time in ankle injuries.
Cotton stress test has 25% sensitivity. No specificity % noted.
Stabilize the leg and push the foot laterally. If >3-5mm translation, then suspect syndesmotic injury.

Source: https://www.physiotutors.com/wiki/cotton-test/

How well did you know this?
1
Not at all
2
3
4
5
Perfectly
15
Q

Vit D normal levels

A

20-40 ng/mL

How well did you know this?
1
Not at all
2
3
4
5
Perfectly
16
Q

Albumin

A

Albumin is protein in your plasma that can indicate liver/kidney function/ ability to heal. High usually means dehydration. Normal levels are 3.5-5.5 g/dL.

How well did you know this?
1
Not at all
2
3
4
5
Perfectly
17
Q

HA1c measurement of ___ means you should cancel surgery

A

Higher than 8%

How well did you know this?
1
Not at all
2
3
4
5
Perfectly
18
Q

Youngswick Austin is modified chevron that takes additional dorsal wedge out allowing for further correction in the sagital plane via

A

plantar displacement and 1st ray shortening

19
Q

Youngswick Austin plantar arm placement. How does angle of plantar arm affect plantar displacement?

A

The larger the angle of the plantar arm, the more plantar displacement achieved.

Plantar arm 0 degree angle will allow 0 plantar displacement.

20
Q

In Austin osteotomy, what direction should the saw blade be angulated to provide shortening and plantarflexion?

A

distal dorsal medial to proximal plantar lateral

21
Q

Presence of metatarsus adductus does what to the true IM angle?
What is formula?

A

Decreases the true IM angle. True IMA should be larger.
So true IMA = IMA + MAA - 15
Or true IMA = IMA + Engel’s - 24

22
Q

How do you measure Engel’s angle?

A

DP view of the foot. longitudinal axis of 2nd met and longitudinal axis of the intermediate cuneiform

23
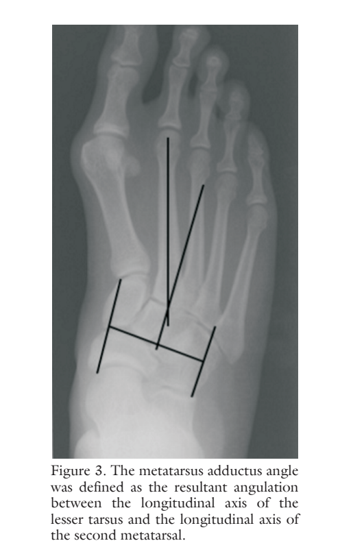
Q

How do you draw the metatarsus adductus angle?

24
Q

The presence
of metatarsus adductus was defined as

A

either a metatarsus adductus angle larger than 15 degrees or an Engel’s angle larger than 24 degrees

25
os interphalangeus
The os interphalangeus is found at the hallux interphalangeal joint; it is rare to see it at the interphalangeal joints of the lesser toes. The ossicle is located most commonly along the inferior aspect of the interphalangeal joint centrally and is round or oval in shape
26
dime sign
The “dime sign” is a radiographic marker best visualized on the ankle mortise view where a dime placed laterally should uniformly touch the peroneal groove of the distal fibula and the lateral talar process. Asymmetry is usually associated with fibular fracture shortening that must be reconstructed intraoperatively.
27
Pilon fracture
Tibial plafond fracture
28
Tillaux-Chaput
Avulsion of tibia attached to AITFL
29
Wagstaff
Avulsion of fibula attached to AITFL
30
Volkmann fracture
Avulsion of tibia attached to PITFL
31
Dupuytren fracture
talus wedged between tibia & fibula
32
Supination Adduction stages
1. lateral injury 2. medial injury
33
Supination External Rotation stages
1. syndesmosis 2. lateral; weber B, spiral/oblique fx 3. posterior injury 4. medial injury
34
Pronation Abduction
1. Medial; Transverse fracture/Widening of medial gutter 2. Syndesmosis 3. Lateral; Weber C
35
Pronation external rotation
1. Medial; transverse fx 2. Syndesmosis 3. Lateral; Weber C 4. posterior
36
How do you close reduce an ankle fracture?
Use Charnley principles. Increase deformity, distract, reverse the mechanism. Then cast/splint. Patient will need strong pain meds for procedure.
37
Which principles say that fixating the primary fragment, assuming soft tissue is intact and functioning, will help align everything else based on natural anatomic pull? Example: fixating the posterior malleolus when the PITFL is intact.
Vassal rule / ligamentotaxis
38
What is sequence for hammertoe surgery
Head Extensor Capsulotomy Arthrodesis Plantar plate
39
Principles of AO fixation
atraumatic technique anatomic reduction stable fixation early range of motion
40
Steps to screw fixation
1. Overdrill near cortex 2. Underdrill through far cortex 3. Countersink 4. Measure 5. Tap 6. Screw
41
Do you stop metformin before surgery?
You should stop metformin 2 days before and after surgery to prevent lactic acidosis. Bridge inbetween.
42
Hardcastle classification
Lisfranc injury A. total incongruity (entire forefoot dislocation) B. partial incongruity 1. medial (just 1st ray) 2. lateral C. divergent 1. partial 2. total
43
Percocet prescription
oxycodone/acetaminophen 5/325mg 1-2 tabs PO q4-6h PRN pain
44
Lisfranc displacement of larger than __ indicates instability and need for ORIF
2mm