What are unicameral bone cysts?

What is the prognosis of unicameral bone cysts?
What are the classification of unicameral bone cysts?

What are the symptoms of unicameral bone cysts?
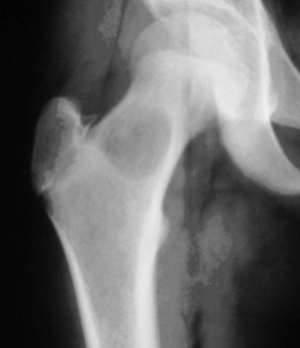
What is seen on radiographs with unicameral bone cysts?

What is seen on histology of unicameral bone cysts?

What is the ddx if a unicameral bone cysts?
What is the tx of unicameral bone cysts?
Non operative
Operative
What is an aneurysmal bone cyst?

Any associated conditions of aneurysmal bone cyst?
what is the prognosis of aneurysmal bone cyst?
Prognosis
Describe the symptoms of aneurysmal bone cyst?
What is seen on imaging of aneurysmal bone cyst

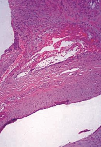
What is the histology of aneurysmal bone cyst?

What is the tx for aneurysmal bone cyst?
Non operative
Operative