What is the arrow pointing to?

Calcified aortic aneurysm. Calcification in the wall of the abdominal aortia is a common finding in atherosclerosis, especially if you also have DM. The aorta in this pt is enlarged and demonstrates RIMLIKE calcification (calcification that has occurred in the wall of a hollow viscus). An aneurysm is present when the diameter of the abdominal aorta exceeds its normal diameter by >50%.
What is abnormal here?

This is a calcified pericardial cyst. A rimlike calcification is seen in the right cardiophrenic angle, an ideal location for pericardial cysts. These are usually asymptomatic and discovered when a CXR is obtained for another reason.
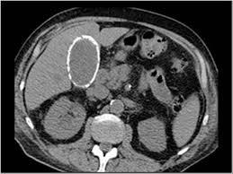
What does this patient have?

Porcelain gallbladder –rimlike calcification in RUQ. This condition occurs with chornic inflammation and stasis and is associated with both gallstones and an increased incidence of gallbladder CA.
What is abnormal about this radiograph? What is the most likely comorbidity?

This patient manifests two tracklike calcifications symmetrically on each side of the bladder that end in the urethra – the vas deferens! This occurs much more commonly and earlier in diabetics than as a natural degenerative process.
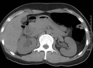
ID problem.

Hydronephrosis with overall enlargement, bilaterally.
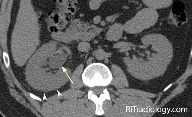
What do you see?

Mild enlargement of the right kidney, perinephric fat stranding on the right (sign of inflammation; arrowheads) and dilated right renal pelvis. Patient had ureteric stone.
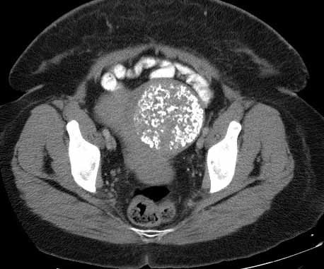
What is wrong with this pt?

Calcified uterine leiomyoma –amorphous calcification visible in the pelvis. This type of calcification suggests formation in a solid organ or tumor.
What is this?

Another calcified leiomyoma
What do you see? What does this MOST likely suggest?
Multiple amorphous calcifications within the liver and studding the peritoneal surface of the abdomen. This pt had a mucin-producing adenoCA of the ovary that metastasized to the peritoneum and liver. While mucin-producing tumors of the stomach and colin can also produced calcified mets, ovarian malignancy would be the most common to metastasize to the peritoneum.
This is pathognomic for what disease?

Cysticercosis. Classic findings are “rice grain” calcifications oriented along direction of muscle fibers.
What disease does this patient have?

This is classic Pagets disease. Areas of lysis, sclerosis, and calvarial thickening.