Regional Flashcards

(38 cards)

1
Q

Superficial Cervical Plexus block

A

5 - 15 mL

How well did you know this?
1
Not at all
2
3
4
5
Perfectly
2
Q

Stellate Ganglion Block

A

5 mL

How well did you know this?
1
Not at all
2
3
4
5
Perfectly
3
Q

Interscalene Block

A

Supine, head turned contralateral
Depth 1 - 4 cm
22 G 50 mm needle
10 mL 0.2% for analgesia, 15 -20 mL 0.5% for anaesthesia
Ulnar sparing

How well did you know this?
1
Not at all
2
3
4
5
Perfectly
4
Q

Stellate Ganglion cross section

A
How well did you know this?
1
Not at all
2
3
4
5
Perfectly
5
Q

Supraclavicular BP

A

20 - 25 mL

How well did you know this?
1
Not at all
2
3
4
5
Perfectly
6
Q

Infraclav BP

A

Supine, head contralateral, Shoulder abduction elbow flexion
20 - 30 mL

How well did you know this?
1
Not at all
2
3
4
5
Perfectly
7
Q

Axillary BP

A

Supine, arm abducted + elbow flexed
22 G 50 - 100 mm needle
15 - 25 mL

How well did you know this?
1
Not at all
2
3
4
5
Perfectly
8
Q

ESPB

A

T5 for thoracic/breast surgery, T10 for abdominal, L3 for L-spine surgery
NB Lumbar level- much thicker ES muscle
30 mL ~8 thoracic or 4 lumbar levels

How well did you know this?
1
Not at all
2
3
4
5
Perfectly
9
Q

Midaxillary TAP

A

Block nerves prior to lateral cutaneous lateral cutaneous branch origin
Ensure LA reaches point where TA muscle ends
25 - 30 mL each side
SEnsory block below umbilicus to pubis

How well did you know this?
1
Not at all
2
3
4
5
Perfectly
10
Q

Subcostal TAP

A

Not very useful- doesn’t cover lateral cutaneous branches of intercostal nerves. Only get midline strip of anaesthesia- not useful e.g. Chevron, nephrectomy

How well did you know this?
1
Not at all
2
3
4
5
Perfectly
11
Q

PECS I and II

A

PECS 1: Muscle implants or tissue expanders, Pec muscle surgery, minimally invasive cardiac surgery
PECS II: breast surgery T2 -T6
Arm abducted 90 deg
Probe oblique parasaggital over 3rd and 4rth ribs
10 mL in PECS I, 20 mL PECS II. Do PECS II first

How well did you know this?
1
Not at all
2
3
4
5
Perfectly
12
Q

Serratus Anterior Plane

A

Block lateral cutanous branches T2-9 intercostal nerves, LTN (winged scapula), TDN, ICBN
Anterior cutaneous branches spared
Supine, shoulder abducted. Probe transverse, 5th and 6th ribs Mid axillary line at nipple level. Needle anterior to posterior, inject beetween LD and SA muscles (Shallow) or deep to serratus. No evidence for one vs other
Up to 40 mL LA

How well did you know this?
1
Not at all
2
3
4
5
Perfectly
13
Q

Paravertebral Block

A

Combined USS and LORS technique
Out of plane easier with hydrodissection
Breast surgical anaesthesia do every level T2-6 4 - 5 mL. Analgesia: T4 25 mL 0.5% ropi
Catheter 3 -4 cm max

How well did you know this?
1
Not at all
2
3
4
5
Perfectly
14
Q

Rectus Sheath block

A

avoid inferior and superior epigastric arteries. Posterior sheath
In plane lateral to medial
20 mL each side 2 at level of umbilicus, 2 at midpoint between umbilicus and xiphoid
Arcuate line- posterior rectus sheath terminates- . 1/3 below umbi.

How well did you know this?
1
Not at all
2
3
4
5
Perfectly
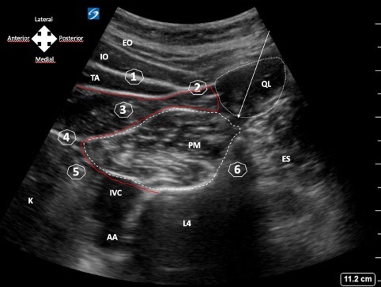
15
Q

Quadratus Lumborum Block

A

30 mL each side should block most of anterolateral abdominal wall
Curvilinear probe transverse just cephalad to iliac crest
Hip flexed
Needle medial to lateral

How well did you know this?
1
Not at all
2
3
4
5
Perfectly
16
Q

QL approaches

A

Lateral similar to TAP
Posterior: fascial plane posterior to QL (hope local spreads anteromedially)
Anterior: LA between QL and PM. Most effective/best spread cephalad

17
Q

Lumbar plexus

18
Q

Suprainguinal FIB

A

probe parasagital just medial to ASIS, slide inferomedially along ligamient
AIIS forms back ponbe of recturs fermoris- bow tie
avoid DCIA
Needle below Ingional ligmaent (IL)

20
Q

Obturator block

21
Q

Subgluteal Sciatic nerve

A

PCFN block not guaranteed but can block in same region
Inferior gluteal artery good landmark for plane
Hip flex

22
Q

Popliteal Sciatic nerve

A

20 mL
Save 5 -10 for saphenous

23
Q

Ankle block

A

PT- Posterior to MM, TDANH, inject from post to ant
Saphenous- field block above MM
SPN- Field block over dorsum of foot
DPN- Lateral to DPA
Sural- by short saphenous

24
Q

Wrist block

A
  • 25 G needle
    • Median nerve
      ○ 3 -5 mL between PL and FCR
      ○ <1 cm deep
      ○ Just proximal to wrist crease
    • Ulnar nerve
      ○ 5 mL just below FCU (most medial tendon) (aspirate- near ulnar artery
      ○ Subcutaneous dorsal 2 mL more dorsally (Reidrect from initial hole)
    • Radial
      ○ Radial styloid process
      ○ 5 mL subcutaneous just proximal to radial styloid, palpate to spread around
      ○ Ring block around lateral wrist
    • Lateral cutaneous nerve of foreram
      ○ May extend onto thenar eminence
      ○ Infiltrate across lateral wrist crease

Nerve injury - main concern
Motor blcok minimial as most muscles are innervated higher

25
Adductor canal
26
PENG
Interfascial plain block. Does not cover LFC 100 mm needle 20 mL LA
27
Abdominal wall innervation
28
L spine Transverse section
29
Deep blocks
Stellate ganglion/deep CP Infraclavicular Paravertebral QL/Lumbar plexus, PENG Proximal sciatic block (above subgluteal!!) NA
30
Superficial Blocks
Peribulbar/ST SCP ISB/Supraclav/axilla SAP ESB/intercostal II/IH/TAP/Rectus sheath Femora/FIB Subgluteal or popliteal sciatic Ankle
31
Breast Innervation
Lateral and anterior cutaneous branches of T2 - 6 intercostal nerves (including ICBN). Travel via paravertebral space Supraclavicular nerve (SCP)
32
Bier's block
Bilateral IV access Double tourniquet, elevate/exsanguinate limb, tourniquet inflation 100 mmHg > SBP 3 mg/kg lignocaine Surgical procedure. Manage tourniquet pain by inflating distal cuff then deflate prox Tourniquet time must be >20 min and <45 min Cycled deflation- 5s down, 1 min up, 5s down, 1 min up, deflate
33
Penile block
The technique involves inserting the needle until it touches the pubic symphysis. This gives a guide to depth. The needle is then withdrawn and redirected to pass below the symphysis and 3-5 millimetres deeper depending on the size of the patient. It is preferable to direct it slightly laterally into the pear shaped space and then to re-insert in on the other side depositing equal volumes on each side. Avoiding the midline injection reduces the chance of penetrating the dorsal vessels of the penis and causing haematoma. If a short beveled needle the fascia may be felt as a slight resistance when it is penetrated, but in small children this is not always felt as it is thin and may offer little resistance
34
Ilioingional and iliohypogastric
probe oblique from line joining ASIS and umbilicus 10 - 20 mL
35
Intercostal blocks
3 -5 mL vol per level between internal and innermost intercostal (can't tell which plane actuall'y) Posterior chest wall Innermost and internal intecostal muscles disappear medial to scapula angle!. Only EIM and a membrane
36
Eye innervation
Sensory - CNII- sensory to retina -V1: --Nasociliary- long and short - ciliary- sensation to cornea/limbus/superonasal- intraconal --Lacrimal and frontal- remaining conjunctiva. Extraconal Motor - CN3: LPS, S/M/I rectus, IO -CN6 abducens LR -SO 4 trochlear
37
NA USS transverse interspinous/interlaminar
38
NA USS PSO