renal Flashcards

(458 cards)

1
Q

What indicates poor prognosis with pancreatitis

A

Hypocalcaemia

How well did you know this?
1
Not at all
2
3
4
5
Perfectly
2
Q

Scoring systems for acute pancreatitis

A

Ransom
Glasgow
APACHE II

How well did you know this?
1
Not at all
2
3
4
5
Perfectly
3
Q

What medications makes renal function worse and should be stopped in acute kidney injury

A

ACEi
NSAIDs
Aminoglycosides
Angiotensin II receptor antagonists
Diuretics

How well did you know this?
1
Not at all
2
3
4
5
Perfectly
4
Q

Reasons for increasing incidence of AKI in high-income demographics

A

Drug use

How well did you know this?
1
Not at all
2
3
4
5
Perfectly
5
Q

definition of AKI

A

An abrupt (<48hours) reduction in kidney function defines as

An absolute increase serum creatinine by >26.4umol/l
OR
Increase in creatinine by >50%
OR
Reduction in UO

Refer to KDIGO staging classification

How well did you know this?
1
Not at all
2
3
4
5
Perfectly
6
Q

what is this

A

KDIGO classification for AKI

How well did you know this?
1
Not at all
2
3
4
5
Perfectly
7
Q

Risk factors for AKI

A

Old age
CKD
Diabetes
Cardiac Failure
Liver disease
PVD
Previous AKI

How well did you know this?
1
Not at all
2
3
4
5
Perfectly
8
Q

Exposure to what can make you more at risk to an AKI

A

Hypotension
Hypovoleamia
Sepsis
Deteriorating NEWS
Recent contact
Certain medications

How well did you know this?
1
Not at all
2
3
4
5
Perfectly
9
Q

Pre-renal causes of AKI

A

Hypovoleamia - haemorrhage, volume depletion

Hypotension - cardiogenic shock, distributive shock

Renal hypoperfusion - NSAIDs / COX-2 / ACEi / ARBs

How well did you know this?
1
Not at all
2
3
4
5
Perfectly
10
Q

Features of pre-Renal AKI

A

Reversible volumes depletion leads to oliguria and increase in creatinine

How well did you know this?
1
Not at all
2
3
4
5
Perfectly
11
Q

What percent of the kidneys receive cardiac output ?

A

20%

(But are overall 0.5% of body weight)

How well did you know this?
1
Not at all
2
3
4
5
Perfectly
12
Q

What happens if you leave pre-renal AKI untreated ?

A

Acute tubular necrosis

How well did you know this?
1
Not at all
2
3
4
5
Perfectly
13
Q

What is acute tubular necrosis

A

Commonest form of AKI

Due to usually decreased renal perfusion - other causes include sepsis and severe dehydration

How well did you know this?
1
Not at all
2
3
4
5
Perfectly
14
Q

Treatment of pre-renal AKI

A

Assess for hydration: clinical observations, JVP, CRT, oedema/pul. Oedema

Fluid challenge for Hypovoleamia:
Administer crystalloid (NaCl 0.9) or colloid (gelofusion)
DO NOT USE DEXTROSE
Give bolus of fluid then reassess and repeat as necessary

*if >1000mls IN and no improvement then seek help

How well did you know this?
1
Not at all
2
3
4
5
Perfectly
15
Q

What is renal AKI

A

A disease causing inflammation and damage to cells causing an AKI

Split by structures ie blood vessels, glomerular disease, interstitial injury and tubular injury

How well did you know this?
1
Not at all
2
3
4
5
Perfectly
16
Q

Causes of renal AKI

A

Vascular - vasculitis
Glomerular - glomerulonephritis
Interstitial nephritis - drugs (flucloxacillin, PPIs, NSAIDs), infection
Tubular injury - ischaemia, drugs (gentamicin), contrast, rhabdomyolysis

How well did you know this?
1
Not at all
2
3
4
5
Perfectly
17
Q

Signs and symptoms of AKI

A

Non-specifics = anorexia, wt loss, fatigue, lethargy
Nausea, vomiting, itch, fluid overload - oedema + SOB

Signs - fluid overload incl HTN, oedema, pulmonary oedema, effusions
Uraemia incl itch, pericarditis
Oliguria

How well did you know this?
1
Not at all
2
3
4
5
Perfectly
18
Q

Clues to renal cause

A

Sore throat - strept. = post strept. Gen
Rash = vasculitis , LUPUS
Joint pain = LUPUS, vasculitis
D&V = fluid loss
Haemoptysis = good pastures, GPA (anca)

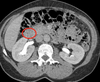
How well did you know this?
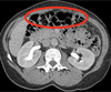
1
Not at all
2
3
4
5
Perfectly
19
Q

Raised creatinine kinase ?

A

Rhabdomyolysis

How well did you know this?
1
Not at all
2
3
4
5
Perfectly
20
Q

Initial investigation for AKI

A

U&Es - look at K, is it high ?
FBC + coag. - abnormal clotting , anaemia
Urinalysis - haematoproteinuria
USS - obstruction / size (one kidney larger than the other ? Renal artery stenosis. Both kidneys are small? End disease.)
Immunology - ANA (lupus), ANCA (GPA), GBM (GoodPasture’s)
Protein electrophoresis & BJP - in an older person, rule out myeloma.

How well did you know this?
1
Not at all
2
3
4
5
Perfectly
21
Q

Hypercalcaemia, anaemia and bone pain in an older person with an AKI ?

A

Myeloma

How well did you know this?
1
Not at all
2
3
4
5
Perfectly
22
Q

Further management of AKI

A

Establish good perfusion pressure

Treat underlying cause

Stop nephrotoxics

Dialysis if they remain anuric and uraemia

How well did you know this?
1
Not at all
2
3
4
5
Perfectly
23
Q

What are the life-threatening complications of AKI

A

Hyperkalaemia
Fluid overload (pulmonary oedema)
Severe acidosis (pH <7.15)
Uraemia pericardial effusion
Severe uraemia (ur > 40 )

How well did you know this?
1
Not at all
2
3
4
5
Perfectly
24
Q

What is post renal AKI

A

OBSTRUCTION

AKI due to back flow > back pressure and thus loss of concentrating ability

How well did you know this?
1
Not at all
2
3
4
5
Perfectly
25
*dilated renal pelvis on CT / USS
Post-renal AKI Renal pelvis is dilated due to backflow of urine
26
Treatment of post renal AKI
Relieve obstruction
27
What is hyperkalaemia
Life threatening complication associated with cardiac arrhythmias Hyperkalaemia > 5.5 ‘legs feel weak’ (muscle weakness) Life threatening Hyperkalaemia = >6.5
28
ECG Changes in Hyperkalaemia
29
What does calcium gluconate do
Stabilises cardiac membrane
30
Medical treatment of hyperkalaemia
Cardia monitor and iv access Protect myocardium - 10mls 10% calcium gluconate Move K+ back into the cells - insulin with 50mls 50% dextrose Salbutamol Neb. Prevent absorption from the GI tract - calcium resonium
31
Urgent indications for dialysis
Hyperkalaemia >6.5 or >7 Severely acidotic pH <7.15 Fluid overload Urea >40, pericardial rub/effusion
32
Is the prognosis for AKI good ?
NOOOO AKI alone mortality = 10-30% AKI w multi organ failure = 70-90%
33
40 year old male presenting with general malaise and haemoptysis (urea 28, creatinine 600, elevated anti-GBM) What is the likely cause ?
GoodPasture’s
34
25 year old IVDA found collapsed at home - what is the likely diagnosis ?
Rhabdomyolysis
35
82 year old man admitted with: BP @ 70/30, Temp @ 39 degrees, pulse @ 140bpm , K+ 7.0, urea 48, Creatinine 789, CRP 250, CXR left basal consolidation
36
72 year old man presenting with difficulty passing urine and reduced urine output
Acute tubular necrosis
37
Which drugs cause Hyperkalaemia
Diuretics, ACEi, amiloride, beta-blockers can cause hyperkalaemia, NSAIDs
38
Can furosemide cause Hyperkalaemia ?
No it causes low potassium levels
39
80yr old male admitted with a 4-5 day history of diarrhoea. On admission BP 80/40, pulse 30bpm. Bloods phone back with Na 135, K+ 8.0, Urea 50, Cr 1000, bicarbonate 9 Which of the following drugs would you administer first ?
Calcium gluconate
40
What are indication for emergency dialysis (4 things)
Pulmonary oedema (in context of AKI) Life threatening hyperkalaemia Uraemic pericarditis Severe acidosis
41
What is this patient likely to have: 80yr old female presents with 3 days of diarrhoea PMH = HBP, CKD, HF Meds = ramipril, furosemide, spironolactone, ranitidine, amlodipine BP = 80/40, HR 100, Temp = 36.5 degrees Na 140, K 7.0, Bic 10, Urea 40, creatinine 450
Pre-renal AKI which has lead to acute tubular necrosis
42
What are the features seen in Nephritic syndrome
Haematuria - micro or macroscopic Oliguria Proteinuria - < 3g / 24 hours Fluid retention
43
What are the features of nephrotic syndrome
Peripheral oedema Proteinuria > 3g / 24 hours Serum albumin < 25g / L Hypercholesterolaemia
44
Most common cause of nephrotic syndrome in adults
Focal segmental glomerulosclerosis
45
Most common cause of nephrotic syndrome in children
Minimal change disease
46
What would you seen in histology for IgA nephropathy
IgA deposits and glomerular mesangial proliferation
47
What is the antibody associated with Good Pastures?
Anti - GBM antibodies - (glomerular basement membrane)
48
Patient presents with acute renal failure and haemoptysis ?
GoodPasture’s or Granulomatosis with polyangiitis (Wegener’s) GoodPasture’s = anti - GBM Wegeners = anca
49
*epithelial crescents in the glomeruli
= rapidly progressive glomerulonephritis They are crescent shaped scars
50
Definition of rapidity progressive glomerulonephritis
Is it a spectrum of conditions associated with severe glomerular injury It is characterised by a nephritis picture associated with a rapid and progressive loss of renal function Patients are often significantly oliguric
51
A 40 year old patient, started on penicillin, IV fluids, NSAIDs, and furosemides - for pneumonia (not all) the next day the nurse reports oliguria, fever and raised BP There is a diffuse rash all over, and also proteinuria and raised eosinophils What is the likely diagnosis
Drug induced interstitial nephritis
52
Drug induced nephritis
Presents acutely after the commencement of penicillins > acute renal failure associated with fever, arthralgia, rash and eosinophils in blood and urine
53
Drug causes of acute interstitial nephritis
Antibiotics NSAIDs Diuretics Rifampicin Allopurinol PPIs
54
What are all the conditions that can cause a nephritic picture (presence of haematuria and high BP)
SHARP AIM SLE Henoch-schonlein purpura Anti - GBM (GoodPasture’s) Rapidly progressive GN Post - strept GN Alport’s syndrome IgA nephropathy Membranoproliferative GN
55
Investigation for post-strept nephritis
1st = urinalysis, microscopy, culture and sensitive Then: bloods and immunoglobulins
56
Gold standard investigation for suspected IgA nephropathy
Renal biopsy
57
Definitive diagnosis investigation for nephrotic syndrome
Renal biopsy
58
An 8-year-old boy is brought to the paediatric outpatient clinic with a two-day history of dramatic weight gain and swelling of his legs. His mother noted puffy eyes a few days ago, which did not subside even after giving him antihistamine syrup. He has no medical problems and is in the 50th percentile on all his growth charts. There is no significant family history of renal disorders. Urine analysis reveals marked proteinuria. What is the most appropriate investigation to confirm his diagnosis?
Serum albumin Proteinuria + = minimal change disease which nearly always presents as nephrotic syndrome (children)
59
What happens in nephrotic syndrome
Podocytes which prevent the excretion of protein into the glomerular filtrate are disrupted > resulting in excess protein excretion The loss of proteins such as endogenous anti-coagulants like anti-thrombin III result in hypercoagulability, which can predispose patients to venous thromboembolic events ie DVT
60
A 30-year-old athlete presents to his GP with pain and swelling in his left leg. His past medical history is significant for Wilson's disease, for which he takes regular Penicillamine. On examination, his left calf appears erythematous and oedematous, and is exquisitely tender when squeezed over the posterior aspect. He is noted to have significant peri-orbital oedema which has occurred over the past week. Additionally, the patient reports that his urine has been slightly more frothy during this time. What is the most likely cause of his leg symptoms?
DVT - the nephrotic syndrome likely caused by Penicillamine use (copper-chelating agent in Wilson’s disease)
61
First line treatment for Minimal change disease
Oral corticosteroids - prednisolone
62
55 year old man comes in with 1 month history of gradually worsening swelling in his lower extremities. Frothy urine and has recently noticed puffiness around his eye. Has developed SEVERE LEFT SIDED FLANK PAIN* and complains of haematuria. Has T2DM and RA. There is periorbital oedema and pitting oedema bilaterally. He has a raised RR, and proteinuria. Light microscopy = prominent spike and dome pattern on silver staining. What is the most likely diagnosis
Membranous glomerulopathy *what happening here is renal vein thrombosis = severe flank pain - causing hyperventilation, and haematuria secondary membranous glomerulopathy
63
Features of membranous nephropathy
Associated with: cancers (Lung, colon, breast), infections (SLE, thyroid disease), Hepatitis B and drugs (penicillamine and gold) Biopsy = subepithelial immune complex deposits
64
*haematuria, haemoptysis, hypertension (nephritic features)
= GoodPasture’s
65
Why do you get haemoptysis in GoodPasture’s
The autoantibodies (anti-GBM) are generated against type IV collagen - which is enriched in the lung and glomerular basement membrane > damage to these structures results in haemoptysis and haematuria respectively
66
*peripheral oedema in children
Nephrotic syndrome
67
Test for post-streptococcal glomerulonephritis
Anti-DNase antibody +
68
A 15 year old boy presents to the general practitioner with cola-coloured urine. He has no past medical history of note but reports suffering from a sore throat 3 weeks ago. Physical examination reveals no abnormalities. Urine dipstick reveals 2+ blood and 1+ protein. What is the likely diagnosis and which investigation will confirm diagnosis?
Post - strept. Glomerulonephritis Positive anti-DNase antibody (This typically presents 2-3 weeks after group A beta-haemolytic streptococcal infection - other investigation for this = red cell casts in urine and low C3/C4)
69
IgA nephropathy vs post-strept glomerulopathy
IgA nephropathy symptoms occurs much more quickly than post - strept. Glomerulopathy (2-3 weeks)
70
*saddle nose deformity
GPA
71
*recurrent sinusitis, haemoptysis, rapidly progressive glomerulonephritis
= GPA
72
What is GPA
A necrotising small-vessel vasculitis which often presents as recurrent sinusitis, haemoptysis, and rapidly progressive glomerulonephritis
73
What investigation is required to diagnose GPA
c-anca
74
MoA monoclonal antibodies
Block IL-2 receptor on CD4 T-cells In this way they prevent activation of these cells therefore preventing rejection *not useful if rejection has already started Eg Basiliximab or Dacluzimab
75
MoA glucocorticoids
Inhibit lymphocyte proliferation, survival and activation They suppress cytokines *side effects = weight gain, diabetes, osteoporosis
76
MoA calcineurin inhibitors
Act by inhibiting activation of T-cells They prevent cytokine release *side effects = renal dysfunction, hypertension, diabetes, tremor Eg tacrolimus and ciclosporin
77
MoA anti-metabolites
Blocks purine synthesis and suppression of proliferation of lymphocytes Eg Azathioprine and mycophenolate mofetil
78
Contraindications to transplant
Malignancy Active infection Severe IHD (surgery) Severe airways disease Active vasculitis Severe PVD Hostile bladder
79
Why is tissue typing / HLA matching important so important for transplantation
Some alleles form epitopes that elicit strong antibody and cell-mediated immune response - mismatches for these alleles threaten the transplant So good to know as drastically affects the outcome ! Good HLA match = better graft survival
80
What is a sensitising event
Things like: blood transfusion, pregnancy/miscarriage, previous transplant that lead to the formation of antibodies to non-self antigens making transplant rejection more likely
81
What is PTLD
Post - transplant lymphoproliferative disease This occurs in all forms of transplantation and depends on the level of immunosuppressive Usually related to EBV infection
82
A 59-year-old man is recovering on the colorectal ward following an elective right hemicolectomy four hours ago. On review by the junior doctor, the patient remains somewhat drowsy and appears to be in pain. His catheter bag contains approximately 100 ml of concentrated dark urine. His observations are: temperature 37.1, blood pressure 105/60 mmHg, heart rate 110 bpm, respiratory rate 18 bpm and a capillary refill time of five seconds. Measurement of serum urea and electrolytes show a Urea of 8.0 (2.5-6.7 mmol/L), Creatinine 230 (from a normal baseline), Sodium of 150 (135-145 mmol/L) and a Potassium of 4.8 (3.5-4.5 mmol/L). The patient weighs 90 kg. Which of the following is the most appropriate management for this patient?
Intravenous bolus of 500mL crystalloid
83
What are features of AKI
Oliguria, raised serum UREA and Creatinine, hypotension and tachycardia
84
Why are people having recently undergone surgery more susceptible to pre-renal AKI ?
Nil-by-mouth pre-opt etc
85
What is AKI
A rapid and sustained reduction in renal function resulting in oliguria and a rise in serum urea and creatinine AKI is usually reversible
86
What is the classification system for AKIs
KDIGO Stage 1: creatinine rise of 1.5x compared to baseline OR urine output <0.5ml/kg/hour for 6hours Stage 2: creatinine rise of 2x compared to baseline OR <0.5ml/kg/12hours Stage 3: creatinine rise of 3x compared to baseline OR < 0.3ml/kg/24 hours OR serum creatinine > 354umol/dl
87
Renal causes for AKI
Dysfunction of glomeruli Tubules Interstitial Renal vessels
88
Post renal causes of AKI
Caused by obstruction to urinary outflow : kidney stone , tumour , due to external compression
89
Pre - renal causes of AKI
Shock Renovascular disease (Renal artery stenosis)
90
Management of AKI
DR ABCDE Diagnosis what is the cause ie pre renal = IV crystalloid Medication review - pretty much suspend lots of drugs
91
What would a raised creatinine kinase be suggestive of ?
Muscle damage ie rhabdomyolysis
92
What is rhabdomyolysis
Occurs when there is breakdown of skeletal muscle and myoglobin is released into the blood This is nephrotoxic and causes AKI
93
Common causes of rhabdomyolysis
A long lie after a fall Seizures
94
An 83-year-old man is brought into the emergency department after being found on the floor after a fall yesterday. He has no significant injuries but was unable to get himself up due to frailty. The patient's main symptoms are nausea and weakness and he also mentions he has hardly passed any urine today. To monitor his urine output, he is catheterised and his urine is found to be dark brown in colour. Blood tests reveal an acute kidney injury and a very high creatinine kinase. What is the most likely diagnosis?
Rhabdomyolysis
95
Management of rhabdomyolysis
Supportive therapy ie IV fluids and management of hyperkalaemia
96
When would a fractional excretion of sodium investigation be appropriate
To differentiate between pre-renal AKI and acute tubular necrosis A raised sodium indicates acute tubular necrosis In pre-renal AKI there is reduced sodium in the urine as sodium is re-absorbed to maintain circulating blood volume
97
Why can Hypovoleamia cause GFR to drop
It causes vascoconstriction of renal arterioles leading to decreased blood flow to kidneys and subsequent decline in GFR
98
What colour is ureamic tinge
Greyish brown Build of urea in kidneys (which normally excretes it)
99
What type of renal tubular acidosis is Fanoconi’s syndrome
Type 2
100
What is Fanconi’s syndrome
Disturbance of proximal collecting tubule function - leading to generalised impaired reabsorption of amino acids, K+, HCO3 phosphate and glucose
101
What is renal tubular acidosis
It is impaired acid excretion leading to hyperchoraemic metabolic acidosis > this leads to activation of the renin - angiotensin system leading to potassium wasting and hypokalaemia
102
What is the function of dialysis
Removal of toxins which build up in ESKD :urea, creatinine, potassium, sodium And allows for the infusion of bicarbonate Does this via diffusion
103
What is haemodialysis
‘Artificial kidney’
104
What is the dialysis flow rate
500ml/min
105
What is ultrafiltration in dialysis
The movement of water, and all solutes dissolved in it - known as the convective solute drag - across a semi-permeable membrane in response to a pressure gradietn
106
Factors affecting haemodiafiltration
Water flux Membrane pore size The pressure difference Viscosity of the fluid Size shape and electrical charge (of each molecule)
107
What is the different between haemodialysis and haemodiafiltration
The replacement of extra-convective ultrafiltrate
108
What is high volume HDF (haemodiafiltration)
>21 litres of replacement volumes
109
What is the gold standard for dialysis vascular access
The arteriovenous fistula Pros = good blood flow, less likely to cause infection (compared to TCVC - tunnelled central venous catheter) Cons = require surgery, can limit blood flow to distal arm ‘steal syndrome’
110
Types of peritoneal diffusion
Continuous ambulatory peritoneal dialysis (CAPD) Automated peritoneal dialysis (APD)
111
what’s the main thing that can go wrong in peritoneal dialysis ?
Infection Staph, strep, diptheroids E.coli, klebsiella (gut infections) And Peritoneal membrane failure + hernias
112
What is peritoneal membrane failure
Inability to remove enough water >> fluid overload
113
When to start dialysis (based on blood tests)
Resistant hyperkalaemia EFGR <7ml/min Urea > 40mmol Unresponsive metabolic acidosis
114
When to start dialysis (based on symptoms)
Nausea Vomitting Anorexia Profound fatigue Itch Unresponsive fluid overload
115
What is disequilibrium syndrome
When there is too rapid a correction of uraemic toxin levels >> cerebral oedema confusion seizures sudden death
116
Definition of CKD
Reduction in kidney function Structural damage Or both Present for more than 3 months with associated health implications
117
When to diagnose CKD ?
THE ASS Transplant Histological - abnormalities Electrolyte imbalance ACR > 3mg/mol Sediment abnormalities in urine Structural - abnormalities in imaging And/or persisting reduction in renal function EGFR < 60mL/min/1.73m2
118
Stages of CKD
119
What is the main cause of CKD
1. Diabetes 2. High blood pressure
120
What type of inheritance is poly cystic kidney disease
Autosomal dominant - the main one Can also be autosomal recessive
121
What chromosomes is mutated in ADPKD (autosomal dominant poly cystic kidney disease) ?
16 and 4 (16 = common) PKD1 gene and PKD2 (respectively)
122
describe the pathology of ADPKD
Massive cyst enlargement - large kidneys Epithelial lined cysts arise from a small population of renal tubules A lot of patients with PKD develop ESKF and at a faster rate
123
What are the clinical features of ADPKD
Reduced urine concentration ability Chronic pain Hypertension Haematuria Cyst infection Renal failure Hepatic cysts Intracranial-cranial aneurysms
124
Investigation for ADPKD
US - presence of multiple bilateral cysts, renal enlargement Genetic - linkage analysis, mutation analysis
125
What disease is this ?
ADPKD
126
What are the odds of offspring of a parent with ADPKD having it too ?
50% risk
127
Mxm ADPKD
Symptomatic control ie Hypertension, hydration, proteinuria, cyst haemorrhage + infection TOLVAPTAN Renal failure = dialysis, transplant
128
What is Alports syndrome
Hereditary nephritis X-linked inheritance Mutation in COL4A5 gene > leads to deficient collagen opus matrix deposition
129
What type of collagen disorder is Alport’s
Type IV
130
What are the clinical features of Alports
Haematuria ! Proteinuria - seen later but confers a bad prognosis Extra renal = sensorineural deafness, ocular defects, leiomyomatosis of oesophagus
131
Diagnosis of Alport’s
-microscopic haematuria +/- hearing loss -renal biopsy shows glomerular basement membrane thickness
132
*thickness of GBM
Alport’s syndrome
133
Treatment of Alport’s
No specific tx - HPT + proteinuria treated - dialysis, transplantation
134
What is Anderson-Fabrys disease
An inborn error of glycosphingolipid metabolism due to deficiency of a-galactosidase A Is an X-linked disease, lysosomal storage disease Affects kidneys, liver, lungs, erythrocytes
135
What are the clinical features of Anderson Fabrys ?
136
Diagnosis of Anderson Fabrys
Leukocyte a - GAL activity Renal biopsy and skin biopsy
137
Treatment of Anderson Fabrys
Enzyme replacement (FABRYZYME) + management of complications
138
What type of inheritance is medullary cystic kidney
Autosomal dominant
139
Pathology of medullary cystic kidney
Morphologically abnormal renal tubules leading to fibrosis
140
At what age does medullary cystic kidney present
28
141
Diagnosis of medullary cystic kidney
Family history + CT
142
A 66 year old woman recently diagnosed with end-stage renal disease complains of decreased urination. She is currently taking medication for hypertension and type 2 diabetes mellitus. On examination, she has a temperature of 37.7 C, a pulse rate of 100 bpm, a blood pressure of 190/100 mmHg, and a respiratory rate of 26 breaths/min. Results of arterial blood gas are as follows: pH 7.15 (7.35-7.45) Bicarbonate 15 mEq/L (22-26 mEq/L) PaCO2 25 mmHg (35-45 mmHg) What is the electrolytes abnormality observed ?
Hyperkalaemia =common electrolyte abnormality in CKD characterised by oliguria and reduced EGFR In renal failure there is low sodium delivery to the distal tubule leading to decreased renal excretion of potassium Acidosis increases the plasma K concentration by inducing a net shift of K from the intracellular to the extracellular compartment in exchange for Hydrogen
143
A 40-year-old man recently diagnosed with hypertension now complains of painless haematuria and flank pain. Past medical history is significant for mitral valve prolapse. His father had a berry aneurysm. His blood pressure is 160/100 mmHg with a normal heart rate. What is the single most likely diagnosis?
Adult poly cystic kidney disease
144
*flank pain and haemturia
= cyst rupture
145
*flank pain, haematuria, fever, urinary symptoms
=cyst infection
146
Mitral valve prolapse and aortic regurgitation is associated with what hereditary renal disease
Poly cystic kidney disease
147
What type of haemorrhage is associated with ADPKD
Subarachnoid haemorrhage
148
What drug can stop progression of microalbuminuria becoming nephropathy or CKD
If albumin:creatinine ratio >2.5mg/mol (Men) or >3.5 (women) then start on RAMIPRIL to slow progression *microalbuminuria developed due to diabetic nephropathy
149
What do people with T1DM need to be screened for annually once they are over the age of 12
Spot urinary albumin
150
How is CKD diagnosed
Made when egfr is below 60 on 2 blood tests 3 months apart
151
If you have CKD what your most likely cause of death
CVD - CKD accelerates atherosclerosis
152
What is a complication of CKD
Hypocalcaemia As the kidneys play a role in the activation of vit. D
153
Electron microscopy for post-strep glomerulo.
Subepithelial humps
154
What is the causative organism of HUS
E.coli O157
155
What is this
Glomerulus (healthy)
156
Nephritic vs nephrotic
Nephritic = haematuria + hypertension Nephrotic = hyperlipidaemia, proteinuria
157
What investigation for glomerulonephritis
Renal biopsy - light microscopy, immunofluorescence, electron microscopy
158
what would glomerulonephritis look like on light microscopy
Sclerosis Cellular crescents in Bowman’s (bad) Vasculitis Hyper-cellularity Granulomas
159
What is this (crescent image glomerulonephritis)
160
What kind of antibodies are involved in glomerulonephritis
IgM, IgA, IgG
161
what is seen with glomerulonephritis on electron microscopy
Podocyte foot processes
162
What is anti-GBM disease
It is immune-mediated IgG to a3 subunit of type IV collagen (found in basement membrane of glomerular and lung) (attacks antibody in Glomerulus) Part of GoodPasture’s syndrome Nephritic Causes rapidly progressive GN
163
What will you seen on light microscopy of anti-GBM
Cellular necrosis and focal lesion(?)
164
Causes of membranous glomerulonephritis
infection = Hep B, malaria, syphillis, Drugs = penicillamine, NSAIDs, gold, captopril Malignancy = cancer
165
Features of membranous glomerulonephritis
Seen in adults Nephrotic presentation Sub-epithelial immune deposits LM - thick membranes, membrane spikes IF - granular deposits Prognosis = 30% develop ESKF
166
IgA nephropathy features
Most common GN Follows a cold/cough usually Genetic defect > high IgA in serum > immune complexes gather in mesangium Nephritic pattern Mesangial hypercellularity IgA deposits
167
MPGN - membranoproliferative GN features
Causes = idiopathic, secondary to infection, SLE Immune complexes deposited under epithelial cells > new GBM forms overs them > reduplication of membrane Nephritic + nephrotic pattern Appearance = big lobulated hyper cellular glomeruli with thick membranes (tram tracks)
168
What are the 2 types of ANCA antibodies
MPO + PR3 >bind to granulocytes > damaged to epithelial cells > crescents
169
What is the ANCA associated with GPA
MPO ANCA
170
What is the ANCA associated with microscopic polyangiitis
PR3 ANCA
171
Minimal change features
Children Nephrotic pattern See : effacements of foot processes (loss of space) Excellent prognosis with steroids
172
FSGS features ( focal segmental glomerulosclerosis )
Idiopathic - also associated with obesity Nephrotic pattern Can progress into ESKF
173
Diabetic nephrotic histology features
Expansion / thickening of GBM and mesangial matrix Diffuse and nodular glomerulosclerosis Nodules - Kimmelstiel Wilson lesions
174
*kimmelstein Wilson nodules
Diabetic nephropathy
175
What is the Bosniak score
How likely is a cyst being cancerous
176
Are acquired cysts scary
No Very common - often seen on autopsy Associated with long term dialysis Nothing to worry about
177
ADPKD features
Kidney can become huge - mass effect symptoms
178
Haemorrhage associated with ADPKD
Subarachnoid haemorrhage
179
ADPKD
Smoother surface to ADPKD Several subtypes all occurring in children
180
Wilm’s tumour
Renal tumour occurring in children
181
Common benign renal tumour
Oncocytoma: Small, oval, circumscribed Mahogany brown with a central, stellate scar Microscopy = very pink and granular cytoplasm, central round nucleus
182
Chromophobe renal cell carcinoma
Uncommon Malignant Looks very similar to oncocytoma > raisin nuclei Looks like plant cells
183
Papillary renal cell carcinoma
2nd most common type of renal tumour Generally low grade Papillary - finger like projections
184
Collecting duct carcinoma
Nasty Least common - high grade Poor survival
185
Clear cell renal cell carcinoma
Most common tumour Risk factors = obesity !! + genetic influence Presenting complaint = haematuria, mass effect, hypertension Features : often partly cystic, heterogenous surface, yellow/orange solid tumour areas
186
Genetics involved with renal tumours
VHL - Von hippo landau sporadic mutation of ccRCC > leads to inactivation of VHL protein > leads to accumulation of HIF > HIF promotes tumurogenesis Renal cell Cerebellar haemanigioblastoma
187
What are staghorn calcului made up of
Struvite - magnesium ammonium phosphate Super fast growing > so can get very large in size Associated with recurrent UTIs
188
Tenderness and dull percussion over the suprapubic region + oliguria Confusion in a senior What is the best investigation
Bladder scan first
189
What is urothelium
Specialised epithelium lines the bladder
190
What is cystitis
Inflammation of the bladder Very common Usually due to infection - UTIs (bacterial) Not usually biopsied
191
What is schistosomiasis
Water bourne infection > larvae penetrate skin and ova deposited in the bladder Endemic in eastern Mediterranean and sub-Sahara Africa Presents with haematuria Untreated > hydronephrosis, renal failure, RCC
192
What is interstitial cystitis
Symptoms = dysprosium, frequency Persistently negative cultures and urinalysis Almost always in middle-aged and older females.
193
Cystitis cystica
A descriptive term A reactive phenomenon involving in the infolding of bladder mucosa of cysts Can mimic a carcinoma on histology
194
Bladder diverticula
Outpouring of mucosa that penetrates muscle layer = stagnant urine, infection stones and cancer
195
Bladder obstruction
Muscle has to work harder with an obstruction > hypertrophy > eventual back pressure > back up the tract = kidney starts to dilate > renal parenchyma atrophy (Hydronephrosis) Obstruction can be a renal stone etc
196
Urothelial neoplasia
Common Middle aged and elderly population Smoking !! Beta-napthyline associated (used in dye industry)
197
Big 3 bladder neoplasms
Urothelial carcinoma in situ - flat lesion Papillary Urothelial carcinoma - Non-invasive Urothelial carcinoma - invasive, can develop from above 2
198
Bladder adenocarcinoma
Can occur on a background of metaplasia Difficult to distinguish between colonic cancer
199
What is the urachus
Embryological remnant of urogenital sinus and allatois - connect bladder dome to umbilicus Usually involutes - rarely some parts remain patent Poor prognosis
200
Squamous cell carcinoma in bladder
Can arise due to persistent inflammation > metaplastic change
201
Benign prostatic hyperplasia
Enlarging prostate > increase in no. Of cells Under hormonal influence Affects central and transitional zones - obstructs the flow or urine Treated by a transurethral resection
202
Prostate cancer
At 70 years old 70% have prostate cancer (at 90 years 90%) Many are low grade and slow growing What causes it ? We are not sure - perhaps hormonal
203
Types of prostate cancer can you get ?
Adenocarcioma (Acinar cells) (most common) Ductal carcinoma Small cell
204
What is PSA
Prostate specific antigen Glycoprotein enzyme - Kallikrein 3 Many things can raise PSA - so lacks specificity and sensitivity - therefore not a great indicate for prostate cancer but is used initially Also high grade tumours do not even produce PSA (poorly differentiated)
205
Diagnosis of prostate canc er
Core biopsies - can do a lot with these Peripheral location Transrectal US (TRUS)
206
what is Gleason grading system
Histological pattern of the tumour of prostate - predicts - how bad is this tumour
207
What is the appropriate management for a renal stone <2cm
Lithoscope thing - when you blast it with pressure to break it into smaller bits
208
What is the appropriate management for a renal stone >4cm
Percutaneous nephrolithostomy
209
Side effect of nitrofurantoin long-term
Precipitates restrictive lung disease
210
How to treat GoodPasture’s / Anti-GBM disease
Early recognition = !! High dose corticosteroids, cyclophosphamide, and plasmapheresis
211
What is the function of = plasmapheresis
Removes circulating anti-GBM antibodies as well as other immunological mediators of injury
212
What collagen type is GoodPasture’s / anti-GBM disease
IV
213
Management of GoodPasture’s
Removing circulating antibody - plasmapheresis Immunosuppression - high doses prednisolone or cyclophosphamide
214
Penis anatomy :
215
What is lichen sclerosus
A Chronic inflammatory condition that affects glans, coronal sulcus and foreskin Usually occurs in middle aged men but can also occur in children Can cause phimosis (inability to retract foreskin) Is associated with squamous cell carcinoma
216
clinical features of lichen sclerosis
White patches with petechia Erosion Ulceration Pearly areas
217
Microscopy of lichen sclerosus
218
What is condyloma
Genital warts !!! = papillomatous proliferation of squamous epithelium Occurs on glans, coronal sulcus, foreskin, meatus
219
What causes condyloma
HPV infection - 16 and 18 Transmitted via direct skin contact
220
*cauliflower like, papillary, exophytic growth
=genital warts
221
*wrinkled nuclei, koilocytes, hyperkeratosis on microscopy
222
Most common type of penis cancer
Squamous cell
223
Where is sperm made ?
Seminiferous tubules
224
Function of leydig cells
produce testosterone in response to LH
225
Function of serotoli cells
Stimulated by FSH Control environment within the tubules
226
Inside the testes !
227
What is a hydro elé
Accumulation of fluid around the testes > unicystic, smooth and fluid-filled and so light will pass through
228
What is a spermatocele
Cystic change within the epididymis
229
What is a varicocoele
Varicose veins but in the penis - the venous plexus that drains into the testis
230
*bag of worms appearance
Varicocele
231
What can increase risk of testicular torsion
Bell clapper deformity
232
Management of testicular torsion
EMERGENCY >6 hours left untreated = poor prognosis Requires surgery to detort and orchidopexy
233
What is a seminoma
The most common germ cell tumour Risk factor = undescended tests Prognosis is very good
234
What are the non-seminomatous GCTs?
Mature teratoma Yolk sac tumour Embryonal carcinoma Choriocarcinoma - bizarre cells
235
Histology of non-seminomatous GCTs
236
Tumour marker for yolk sac tumour
AFP
237
Tumour marker for hCG
Choriocarcinoma
238
*berry aneurysm
Poly cystic kidney disease
239
Define glomerular filtration rate
The volume of fluid filtered from the glomerular capillaries into the Bowman’s capsule per unit time
240
Where is the majority of renin secreted from
Juxtoglomerular cells
241
What does the posterior pituitary secrete
ADH Oxytocin
242
What is released in response reduced renal perfusion
Renin
243
Effects of angiotensin II
Stimulates thirst, aldosterone and ADH release Increases proximal tubule Na/H activity Causes vasoconstriction of vascular smooth muscle > increased filtration fraction
244
Function of aldosterone
Released by Zona glomerulosa Causes retention of Na
245
Where does furosemide act
Ascending loop of henle
246
What is the lymphatic drainage of the testes
Para-aortic lymph nodes (level L2)
247
Most common chromosome mutation on for ADPKD
16 (yes this was an actual question) Chromosome 4 also but not as common
248
What is the tracer marker used for measuring total body water ?
249
T/F is the ascending loop of Henle impermeable to water
T - it is impermeable to water but actively reabsorbs salt
250
T/F the descending loop of Henle is impermeable to water
F - the descending loop is permeable to water but does not actively or passively reabsorb salt
251
Name the circled in red
252
ARPKD is associated with a mutation on which chromosome ?
6
253
What is the measure for total body water
3H2O
254
What is insulin
The tracer marker for extra cellular fluid
255
Albumin is the tracer marker for what ?
Plasma levels
256
What is the gold standard imaging fro investigation local staging of cancer of transitional cell bladder cell cancer ?
MRI
257
what mode of imaging would you use to see distal metastasis for transitional cell bladder cancer ?
CT
258
What imaging would you use to see bladder wall tears?
Cystography
259
At what point would you see an increase in creatinine and urea in contrast induced nephropathy ?
Would see renal function decrease 3 days post contrast (72-96 hours)
260
What is found where ?
261
Hyperventilation causes what pattern on ABG?
Respiratory alkalosis
262
What are all the parasympathetic nerves
III VII IX X Also S2, 3, 4
263
Gentamicin causing acute tubular necrosis is a what type of adverse drug reaction ?
Type A (dose dependent and predictable)
264
A drug induced rash is what type of adverse drug reaction ?
Type B = dose dependent and unpredictable
265
Long term steroid use causing Cushings is an example of what type of drug reaction ?
Type C = chronic effects
266
Secondary malignancy post chemotherapy is what type of drug reaction
Type D = delayed effects
267
Abrupt withdrawal of steroids causing Addisonian crisis is what type of drug reaction ?
Type E = end-of- treatment effects
268
Bleeding right at the end of urination —> what structure affected ?
Bladder neck
269
Bleeding during the start of urination —> what structure affected ?
Prostate or urethra
270
Bleeding during the full length of urination —-> what structures involved ?
Kidney ureter or bladder
271
First line imaging for suspected renal malignancy ?
US
272
What structured is circled in red here ›
Transverse colon
273
What structures is circled in red
Duodenum
274
What are the consequences or uraemia ?
Encephalopathy Nausea Anorexia Pericarditis Neuropathy Asterixis
275
How are 5-alpha reductase inhibitors helpful in BPH
They shrink the prostate
276
How are alpha-1 antagonists helpful in BPH
Relax the prostate
277
How are anti-cholinergics helpful in BPH
Relax the bladder muscles
278
What do thiazide diuretics block in the nephron
Na/Cl co transport
279
What do diuretics block
280
What organisms is cefalexin active against ?
Coliforms and staph aureus
281
KDIGO for AKI
282
What is inulin
An exogenous substance > must be injected into a patient > not easy to measure clinically
283
Does Urea under or overestimate GFR ?
Underestimates GFR since it is reabsorbed in the renal tubule
284
does creatinine under or overestimate GFR ?
Overestimates , it is secreted into the renal tubule
285
Black triangle in BNF ?
Medication is no longer in use
286
What happens in phase 1 of drug reactions
Oxidation, reduction, hydrolysis Via cyp450 (adverse drug reaction are almost always phase 1)
287
what happens in phase 2 drug metabolism
Conjugation - make water soluble
288
*mahogany brown with central stellate scar ?
Oncocytoma
289
*partly cystic, heterogenous surface, bright yellow Homer Simpson
Clear cell carcinoma
290
*raisonoid nuclei + perinuclear haloes
Chromophobe
291
*high grade , very desmoplastic stroma
Collecting duct carcinoma
292
What is the equation fro calculating net filtration pressure ?
293
What is the nerve supply of the structures within the perineum
Somatic motor fibres (Levator ani, distal urethra, external urethral sphincter)
294
What are the 2 indications for acute dialysis
Oliguria pH at 7.15
295
What is the blood supply to the scrotum ?
Internal pudendal and branches from external iliac artery
296
What is the blood supply of the penis >
Deep arteries of the penis and branches of internal pudendal artery (from internal iliac)
297
what hormone decreases sodium re absorption in the nephron ?
Atrial natriuretic hormone
298
What effects of aldosterone on reabsopriton
Increases sodium re absorption and increases hydrogen and potassium secretion
299
What does anti-diuretic hormone do?
Increase water reabsopriton
300
What does parathyroid hormone do ?
Increase calcium reabsorption whilst decreasing phosphate reabsorption
301
Pathway of urine drainage
302
Difference between SGLT-1 and SGLT-2
SGLT-1 =. Expressed in intestine and kidney , reabsorbs only 10% of glucose , high affinity for glucose but low capacity SGLT - 2 = expressed in kidney only, reabsorbs 90% glucose , low affinity for glucose but high capacity
303
What are the most common type of nephrons ?
Cortical
304
which nephrons have vasa recta instead of peritubular capillaries
Juxtamedullary nephrons
305
which nephrons have a shorter loop of Henle
Cortical nephrons
306
Benign renal tumours
Angiomyolipoma Adenoma Oncocytoma Simple cysts
307
Malignant type of renal tumour
Lymphoma
308
What is myeloma due to
Collection of abnormal plasma cells
309
‘Necrotising polyangiitis that affects capillaries, venues and arterioles’ describes what disease
Small vessel vasculitis
310
Name a drug with a wide therapeutic index
Aspirin
311
contraindication of omeprazole
Clopidogrel
312
Just know
313
Bactiruria in pregnant women in 3rd trimester
Trimethoprim (Nitrofurantoin in 1st and 2nd)
314
Where do carbonic anhydride inhibitors work?
Proximal convoluted tube + distal convoluted tube
315
Where do loop diuretics act ?
Thick ascending loop of henle
316
Where do thiazide diuretic act ?
Distal convoluted tubule
317
Where do potassium sparing diuretics act ?
Collecting tubule and duct
318
When must you fill out the yellow card scheme
When you experience a suspected or confirmed adverse drug reaction
319
Which part of the prostate is felt in a digital rectal exam ?
Peripheral zone (Also the area most common for cancer to develop)
320
Which part of the prostate is BPH most likely to develop ?
Transition zone
321
Gold standard for vascular access in dialysis
Arteriovenous fistula
322
what CT scan best to see kidney stones ?
Non-contrast
323
> in a contrast CT these are the best times to visualise certain pathologies
324
What is 100% reabsorbed in kidneys
Glucose adn amino acids
325
what is 99% reabsorpbed in kidneys ?
Fluid and Salt
326
What is 50% reabsorbed in kidneys ?
Urea
327
What % of creatinine is reabsorbed in kidneys ?
0%
328
Development of hyperkalaemia ecg
Tall tented t waves > P wave depression > prolonged QRS > sine wave
329
Define chronic kidney disease
Reduction in kidney function or structural kidney damage for more than 3 months with associated health problems
330
Common causative organism of infection when on peritoneal dialysis
Strep. Epidermis
331
Management for henoch-schonlein purpura
Painkillers Usually self-liming
332
What makes up the triad of HUS
Acute kidney injury Microangiopathic haemolytic anaemia Thrombocytopenia
333
What is the main cause of HUS
Shiga toxin E.coli (0157:H7)
334
Investigations for HUS
FBC UE Stool ( PCR )
335
Treatment of HUS
Supportive = fluids Plasma exchange ? Eculizumab
336
If a patient has a urine output of <0.5ml/kg/hr post-op what is the initial management ?
Fluid challenge —> administer 500mL fluid bolus
337
What is preferred first : HD or PD
Usually PD but if the patient has something like Crohns then HD is better
338
Use of 0.9% sodium chloride for fluid therapy in patients requiring large volumes can result in what ?
Hyperchloraemic metabolic acidosis
339
ECG features of hypokalamia
Flattened t waves and u waves
340
Symptoms of hypokalaemia
Weakness Leg cramps Palpitations secondary to arrhythmias Ascending paralysis
341
How to treat hypokalaemia
IV replacement - with cardiac monitoring Ie transfer to high care area with cardiac monitoring , 3 x 1litres bags of 0.9% saline with 40mmol KCL per bag over 24 hours
342
*poor response to fluid challenge
Acute tubular necrosis
343
Most common cause of acute tubular necrosis
Haemorrhage
344
Proteinuria of >3mg/mol ? What treatment
Commence ACEi
345
eGFR categories
346
Gold standard investigation for bladder cancer
Cytoscopy
347
Management of ADPKD
Tolvaptan
348
Investigation for anti-GBM
Renal biopsy = would show linear IgG deposits
349
Management of anti-GBM
Plasmapheresis Steroids Cyclophosphamide
350
What kidney diseases are worsened on administration of ACEi
Renovascular disease and renal artery stenosis
351
*flash pulmonary oedema having started an ACEi
Bilateral renal artery stenosis
352
What is the gold standard procedure of suspicion of bilateral renal artery stenosis
Renal angiography
353
Management of Reno vascular disease / renal artery stenosis
Transluminal angioplasty +/- stunting
354
T/F a creatinine level rise of 25% after starting an ACEi is ok ?
T - baseline creatinine is expected to rise about 30% after starting an ACEi before levelling out again , beyond 30% is a cause for concern
355
Which blood test confirms rhabdomyolysis ?
Creatinine kinase - this is released by damaged muscle fibres and had a longer half life than myoglobin
356
Why can CKD cause anaemia ?
In CKD there are reduced levels of erythropoietin which results in normocytic, normochromic anaemia
357
How would you treat an elderly woman with CKD presenting with anaemia ?
Subcutaneous erythropoietin injection
358
What are the causes of Acute tubular necrosis
ATN can occur after a prolonged ischaemic event Hypotensive shock > hypoperfusion > post-ishaemic injury (Increased creatinine) Sepsis, nephrotoxins, radiological contrast, rhabdomyolsis as well are causes
359
Treatment of Lupus nephritis
Rapid control with cyclophosphamide and methylprednisolone
360
What can be seen on renal biopsy for post-strept. Glomerulonephritis
Subepithelial humps in the glomeruli
361
Renal biopsy of anti-GBM
Linear deposition of antibodies along the glomerular basement membrane
362
*basket weave appearance on renal biopsy (Longitudinal splitting of lamina densa of the glomerular basement membrane)
Alports
363
Renal biopsy of RPGN
Epithelial crescents in the glomeruli
364
What is the most appropriate first line management for rhabdomyolysis
IV fluids
365
Where is prostate cancer felt in a digital rectal examination
Peripheral zone
366
Where does BPH occur in the rectum
Transition zone
367
Which one part of the urinary tract found in the perineum
Distal urethra
368
What is the serum creatinine criteria in KDIGO classification
369
When would impairment from contrast induced nephropathy begin ?
3 days following intravascular administration of contrast medium
370
Why are 5-alpha reductase inhibitors useful in the treatment of BPH
Shrinks the prostate
371
What do alpha-1 antagonists do in BPH
Relax the prostate
372
What do anti-cholinergics do in BPH
Relaxes the bladder muscle
373
Where do potassium sparing diuretics act on in the nephron
Collecting tubule and duct
374
Where do thiazide diuretics act
Distal convoluted tubule
375
Where do loop diuretics act
Thick ascending limb of loop of Henle
376
Where do carbonic anhydrase inhibitors work
Proximal convoluted tubule and distal convoluted tubule
377
What is 100% reabsorbed by the kidney
Glucose and amino acids
378
What is 99% reabsorbed by the kidney
Fluid adn salt
379
What is 50% reabsorbed by the kidney
Urea
380
What is 0% reabsorbed by the kidney
Creative
381
Differences between SGLT-1 and SGLT-2 inhibitors
1 = reabsorbs 10% of glucose , found in distal 2/3rd of proximal tubule, has a high affinity for glucose but low capacity 2 = reabsorbs 90% of glucose, found in proximal 1/3rd of proximal tubule, has a low affinity for glucose but high capacity
382
What are the benign renal tumours
Angiomyolipoma Simple cysts Adenoma Oncocytoma
383
Which structures within the perinuem are supplied by somatic motor fibres only
Levator ani Distal urethra External urethral sphincter
384
What type of investigation is used to best visualise kidney stones
NON-CONTRAST CT SCAN
385
What is the structure affected if a patient is bleeding at the end of urinaton
Bladder neck
386
Which hormone decreases sodium reabsorption in the nephron
Atrial natriuretic hormone
387
Which hormones increase sodium reabsorption in the nephron
Vasopressin / anti diuretic - increases water reabsorption Parathyroid - calcium reabsorption increases while decreasing phosphate reabsorption Aldosterone - increasing hydrogen and potassium
388
What do thiazide diuretics block in the nephron
Na/Cl co transport
389
Which are the most common type of nephrons
Cortical nephrons
390
Cortical nephrons vs juxtamedullary nephrons
Cortical = short loop of henle, have peritubular capillaries Juxtamedullary = long loop of henle, have vasa recta instead of peritubular capillaries
391
1st line imaging for suspected renal malignancy
US
392
Treatment of pregnant woman with bacteruria
Cefalexin to be used if also: trying to conceive or patient have a G6PD deficiency
393
What antibiotics is active against coliforms and staph aureus
Cefalexin
394
What is the gold standard imaging for local staging of transitional cell bladder cancer
MRI for local staging (CT for distal metastasis Cystography for bladder wall tears)
395
Definition of CKD
Reduction in kidney function or structural kidney damage for more than 3 months with associated health problems
396
When would you see a U wave
Hypokalaemia
397
*muddy brown casts on urinalysis
Acute tubular necrosis
398
What type of adverse drug reaction describes a dose dependant and predictable adverse effects
Type A
399
Breaking out in rashes after administration of drug is what type of adverse drug reaction
Type B
400
Long term steroid using causing someone to develop Cushings describes what type of adverse drug reaction
Type C
401
What is a myeloma
A cancer due to a collection of abnormal plasma cells in the bone marrow / soft tissue
402
What is the order in which drainage occurs in the kidney
Collecting ducts > renal papilla > minor calyx > major calyx > renal pelvis > ureter > bladder > urethra
403
*partly cystic, heterogenous surface, bright yellow like Homer Simpson
Clear cell carcinoma
404
*raisonoid, wrinkly nuclei and perinuclear haloes
Chromophobe (Sounds like homophobe - someone who is ugly and wrinkly is a homophobe)
405
*mahogany brown with a central stellate scar ?
Oncocytoma
406
*high grade, very desmoplastic stroma
Collecting duct carcinoma
407
Which drug has a wide therapeutic index
Aspirin
408
What is the equation for therapeutic index
LD50/TD50
409
What is the tracer marker used for measuring total body water
3H2O
410
What medications could cause drug to drug interaction if co-prescribed with omeprazole
Clopidogrel, theophylline, macrolide abx, statins, fibrates, tricyclic antidepressants with type 1 anti-arrhythmic drugs, ACEI, sulphonylureas
411
What are the parasympathetic nerve fibres
CN III VII IX X S2 S3 S4
412
*sterile pyuria in person moved to UK from India (Presence of white cells in the urine but negative culture)
Most likely diagnosis = renal tuberculosis
413
Investigation for suspected renal tuberculosis
3x early morning urine samples (Mid - stream urine will not likely reveal TB)
414
Given the biopsy - what is the likely disease
Nodular (diabetic) glomerulosclerosis Red stuff = Kimmelstiel-Wilson nodules
415
Investigation for suspected acute tubular necrosis
Fractional exertion of sodium in urine (Findings would be high ie >1%)
416
What is post-operative urinary retention (POUR)
Acute n painful inability to void after surgery
417
First line investigation for POUR
Bladder scan OR US Then catheterisation can be performed to relieve the retention
418
What is the characteristic triad of symptoms for acute interstitial nephritis
Rash Fever Oesinophilia
419
Common drug cause of acute interstitial nephritis
PPIs ie omeprazole
420
What is the abx of choice in someone who is trying to conceive and also has a G6PD deficiency ?
Cefalexin
421
What is the abx of choice for non-pregnant woman aged 16 years + for lower UTI
Nitrofurantoin If resistant then second line = a penicillin
422
Management of pyelonephritis
Patient should be admitted for IV abx - broad spectrum (gentamicin/cephalosporin)
423
Gold standard for Goodpastures
Renal biopsy
424
Diagnostic ivx. For anti-GBM/ good pastures
Anti-GBM antibodies
425
Management of good pastures
1. Remove any circulating anti-GBM (plasmapheresis) 2. Immunosuppression of individual (high dose prednisone) If severe enough —> dialysis
426
Man with resistant hypertension despite being on 4 different medication and reduced salt intake - has CKD 3 - what can you do ?
Refer to nephrology - seems like need to target RAAS system as not related to atherosclerosis apparently Could be renal artery stenosis etc
427
*headache followed by sudden loss of consciousness on examination there are palpable masses over both flanks
Subarachnoid haemorrhage due to ADPCKD Berry aneurysms rupture —> haemorrhage and ‘thunderclap headache’ and rapid neurological deterioration
428
What is included in the renal screen
Protein electrophoresis C3 C4 ANA DsDNA ANCA Anti-GBM Immunoglobulins
429
Which malignancies can occur secondary to immunosuppresion in renal transplant
1. Squamous cell carcinoma 2. Lymphoma ( EBV - reactivation )
430
What fall under the RPGN type IIs ?
Immune complex deposition disease ie post. Strep. Lupus, IgA nephropathy , Henoch Schonlein
431
Biopsy of post-strep - what does it look like ?
IgG and C3 subepithelial deposition / subepithelial humps
432
Biopsy of minimal change - what does it look like ?
Effacement of podocyte foot processes
433
What is likely going on here ?
Renal artery stenosis due to atherosclerosis of renal arteries *renal artery stenosis due to atherosclerosis is characterised by refractory hypertension and rapidly worsening renal function after starting an ACEi or ARB These medications result in efferent arteriolar dilation , resulting in a fall in glomerular filtration pressure . In healthy individuals - to compensate for this fall in GFR - the kidneys vasoconstrict its afferent arteriolar to maintain GFR However in Renal artery stenosis the arteries are already narrowed
434
*schistocytes on blood film
HUS
435
How does HUS present ?
Classic triad of: Microangiopathic haemolytic anaemia —> causing fragmentation of red blood cells (schistocytes) Thrombocytopenia AKI
436
Causes of HUS
E.coli O157 From undercooked meat Or petting farms
437
*normal or low calcium Raised PTH Raised phos.
Secondary hyperparathyoridism (Triggered by hypocalceamia)
438
Keep them on the Iisinopril 10mg - in the initial phases of ACEi use there is a rise in creatinine
439
Starting an ACEi - what is expected to rise and to what extent is acceptable ?
Creatinine is expected to rise and up to 30% baseline is acceptable * ACEi leads to differential vasodilation of efferent and afferent arterioles of glomeruli which reduces glomerular hypertension —> nephroprotective However reducing GF pressure means that less creatinine is filtered (as seen in a rise)
440
Common drug cause of AKI
NSAIDs (ibuprofen)
441
Common drug that induces acute interstitial nephritis
PPIs ( omeprazole )
442
Mnemonic to remembering all nephritic pictures
SHARP AIM S-SLE H-henoch A-Anti-GBM R-rapidly progressive glomerulonephritis P-post strept. A-alports I-IgA nephropathy M-membranoproliferative
443
Which substance abused drug can cause thickening of the bladder wall
Ketamine
444
What drugs should definitely be stopped in AKI due to hypovolaemia
ACEi Diuretics
445
Which bacteria is routinely screened for before renal transplant
Mycobacterium TB
446
What are the different types of graft for renal transplant
Cadaveric No heart - beating donor Live - related Live - unrelated
447
What is hyperacute rejection
(Within minutes) Caused by ABO incompatibility - presents with graft thrombosis / SIRS Managed by immediate graft removal
448
What is acute graft rejection
Within 6 months Cause by cell-mediated autoimmunity Managed with additional immunosuppressive therapy
449
What is chronic graft rejection
After 6 months Characterised by interstitial fibrosis and tubular atrophy
450
What is the most common: Infection secondary to immunosuppression Malignancy
1. CMV - ganciclovir 2. Squamous cell carcinoma
451
What is needed for a diagnosis of CKD
EGFR <60 Or eGFR of 60 with electrolyte abnormalities , persistent haematuria etc or histologically ie biopsy proven chronic glomerulonephritis
452
*diffuse glomerular basement membrane thickening
Anti-GBM
453
*tea coloured urine
PSGN
454
Biopsy of PSGN
Subepithelial humps
455
What would CKD show on USS
Bilateral shrunken kidneys
456
Electrolyte imbalance associated with long term CKD
Hypocaleamia - kidneys play a role in the activation of vitamin D
457
*Anti-DNase antibody
PSGN
458
Which: 1. Antibiotic 2. Antihypertensive can cause a rise in creatinine
1. Trimethoprim - competes with creatinine for secretion 2. ACEi - reduces filtration pressure