Renal Flashcards

(135 cards)

1
Q

Why does nephrotic syndrome lead to a hypercoaguable state?

A
  • loss of lower molecular weight anticoagulants and fibrinolytics in urine (protein C, S, anti-thrombin)
  • reduced oncotic pressure => increased hepatic production of procoagulants (e.g. clotting factors)
  • increased risk of DVT & renal vein thrombosis (membranous nephropathy in particular is associated with renal vein thrombosis)
  • consider anticoagulation with warfarin when serum albumin <20
  • loss of antithrombin III in urine also drives platelet activation
How well did you know this?
1
Not at all
2
3
4
5
Perfectly
2
Q

What is ADAMTS13 associated with?

A

TTP (thrombotic thrombocytopenia purpura)
- caused by severely deficient activity of the ADAMTS13 protease, typically with an activity level <10%
- ADAMTS13 cleaves newly synthesized ultralarge von Willebrand factor (VWF) multimers attached to the endothelial surface that are responsible for formation of platelet microthrombi.
- Most commonly ADAMTS13 deficiency is due to autoantibodies againt ADAMTS13

How well did you know this?
1
Not at all
2
3
4
5
Perfectly
3
Q

Management of lupus nephritis

A

Class III & IV lupus nephritis requires inducation & maintanence immunosuppression
For induction - steroids or cyclophosphamide
Steroids - IV methylpred 500-1g for 3 days; pred 1mg/kg/day then wean to smaller maintanence dose
Cyclophosphamide - IV fortnightly for 3months or daily. IV less toxic due to smaller cumulative dose

Maintanence of remission
- mycophenolate or azathiopurine
- mycophenolate is better but teratogenic
- maintanence Rx for 2 yrs

How well did you know this?
1
Not at all
2
3
4
5
Perfectly
4
Q

What is the pathogenesis of IgA nephropathy?

A

-due to immune complex deposition
-increase in circulating galactose deficient IgA1 (likely provoking antigen)
-production of anti-IgA1 Abs (either IgA or IgG classes)
-immune complex deposition in mesangium & skin
-immune complexes in mesangium cause local immune activitation & injury

How well did you know this?
1
Not at all
2
3
4
5
Perfectly
5
Q

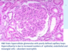
Blood and urine findings in AIN

A

Urine:
- characteristic sediment of red cells, white cells, white cell casts
- eosinophiluria - eosinophils > 1% urinary white cells. Associated with AIN, however, does not have the specificty or sensitivity to diagnose or exclude diagnosis of AIN
- variable degree of proteinuria (mild - moderate increase) ** except in NSAID induced membranous or minimal change

Bloods
- elevated creatinine
- 25-30% peripheral eosinophilia

How well did you know this?
1
Not at all
2
3
4
5
Perfectly
6
Q

Causes and features of type 2 proximal RTA

A
  • impaired re-absorption of HCO3 at proximal nephron (often due to abnormality in the Na / HCO3 cotransporter)
  • moderate non-anion gap metabolic acidosis (less severe than type 1 RTA because alpha intercalated cells in distal nephron can still excrete H+)
  • serum bicarb 12 - 20
  • urine pH usually < 5.3
  • hypokalaemia ALKALI therapy worsens hypokalaemia in type 2 RTA
  • hypocalcemia
  • causes - monoclonal gammopathies (myeloma) ; Fanconi’s syndrome ; drugs (carbonic anhydrase inhibitors - acetazolamide, tacrolimus; tenofovir; ifosfamide), genetic causes - galactosemia, glycogen storage disease (type 1), Wilson’s; heavy metals (lead, mercury, copper); vitamin D deficiency ; renal transplant ; paroxysmal nocturnal haemoglobinuria
  • complications: growth failure, osteomalacia / rickets
  • management - alkali therapy -> however this worsens hypokalaemia. Potassium citrate is a must
How well did you know this?
1
Not at all
2
3
4
5
Perfectly
7
Q

What are the contraindications and adverse effects associated with ESA?

A

Contraindications - active malignancy (EPO increases risk of recurrence or progression of malignancy) and recent stroke
Increased risk of fatal and non-fatal stroke associated with EPO

Adverse effects
- Hypertension - most common. Especially with rapid Hb rise. Can occur independent of target Hb. 20-35% of pts with develop an elevation in DBP of 10mmhg or more. About 1/3 of patients started on EPO will require commencement of antihypertensive therapy. Can progress to hypertensive encephalopathy.
Possible mechanism of HTN - EPO receptors expressed on vascular endothelial and smooth muscle cells -> may trigger vasoconstriction
Can develop as early as 2 weeks after starting ESA, but onset may be delayed for 4 months or more
- Other side effects - flu-like symptoms, bone pain, mylagias, fever, rash, stroke, vascular access loss
- Pure red cell aplasia - rare condition, profound anaemia, very low reticulocyte count, other cell lines normal. Elevated serum transferrin saturation and ferritin (low utilisation). Was associated with certain brands of EPO which are now unavailable.

How well did you know this?
1
Not at all
2
3
4
5
Perfectly
8
Q

IgA nephropathy summary

A
How well did you know this?
1
Not at all
2
3
4
5
Perfectly
9
Q

PTH & vitamin D physiology in CKD

A

if PTH elevated in CKD - first give phosphate binders, then give calcitriol (if Ca is ok), then cinacalet (only PBS funded in dialysis patients), then parathyroidectomy (big surgery; may not be tolerated in dialysis patients)

Start treating when PTH is 2-10 x ULN
PTH > 100 is very concerning

How well did you know this?
1
Not at all
2
3
4
5
Perfectly
10
Q

Compare types of renal tubular acidosis

A
How well did you know this?
1
Not at all
2
3
4
5
Perfectly
11
Q

Clinical presentation of IgA nephropathy

A

-Most common (50%) - episodes of gross haematuria (cola or tea coloured), repeated episodes accompanying or just after URTI, sometimes after strenuous exercise or tonsillectomy. Typically first episode <40 yrs.
Associated flank pain and low grade fevers

  • 30% patients may present with microscopic haematuria & proteinuria

-10% will present as a RPGN - with oedema, hypertension, haematuria, renal failure
- malignant hypertension is a rare presentation
- AKI also rare presentation
- can present as advanced CKD as may be asymptomatic

How well did you know this?
1
Not at all
2
3
4
5
Perfectly
12
Q

Predictors of prognosis in IgA nephropathy

A
  • Degree of renal impairment (Cr) predicts progression to ESRF. If Cr > 150, risk of ESRF at 7 yrs. is 70%
  • Hypertension predicts risk of ESRF or death
  • Proteinuria is the most important predictor of renal outcome
    Proteinuria in combination with hypertension is associated with worse outcome
    Sustained proteinuria > 1g / day - associated with increased risk of ESRF, dialysis or death
    Proteinuria <1g/day is indicative of near-remission with treatment and reduced risk of ESRF, dialysis or death
How well did you know this?
1
Not at all
2
3
4
5
Perfectly
13
Q

How is acid / base homeostasis maintained in the proximal convoluting tubule?

A
  1. Carbonic anhydrase type 1 lives in the brush border (shark) - breaks down HCO3H to water and CO2 so it can be absorbed by the PCT cells
  2. CA type 2 is inside the PCT cells - catalyses the reaction in the other direction to reform HCO3H
  3. A sodium-bicarbonate cotransporter quickly whisks away the HCO3-
  4. The lonely H+ is excreted in exchange for a sodium ion
How well did you know this?
1
Not at all
2
3
4
5
Perfectly
14
Q

Clinical presentation of AIN

A
  • 50% oliguric and 50% non-oliguric AKIs
  • asymptomatic OR nausea, vomiting, malaise
  • allergic symptoms 30%
  • fever, rash and eosinophilia - only 10% patients have full triad
  • symptoms classically develop 3-5 days after introduction of offending agent BUT can be lag of > 1 yr for NSAIDs
How well did you know this?
1
Not at all
2
3
4
5
Perfectly
15
Q

How is acid / base homeostasis maintained in the distal convoluted tubule?

A
  1. CA helps shift HCO3 into cells (like in the PCT)
  2. Once there, the H+ is actively transported out by TWO special channels
    • One uses K+
  3. The HCO3 is transported into the blood via exchange with Cl-
  4. There are 2x Cl- channels that help the Cl- get back into the blood, so it doesn’t get trapped in the cells
    • One uses K+
      There’s also the Na+ / K+ ATPase
How well did you know this?
1
Not at all
2
3
4
5
Perfectly
16
Q

What are the adverse effects of tolvaptan?

A

Adverse effects
- hyponatremia - increase dose or drink less
- Hypernatremia - drink more or reduce dose
- polyuria and nocturia (low salt / protein intake at night to reduce nocturia)
- small decline ine GFR - up to 6-8% accepatble
- polydipsia
- hypovolemia and AKI if not adequate oral intake and if using in combination with other diuretics
- LFT derangement in 5% - monitor LFTs every 18 months

How well did you know this?
1
Not at all
2
3
4
5
Perfectly
17
Q

Causes and features of type 1 distal RTA

A

-impaired H+ excretion in distal nephron (therefore impaired NH4+ excretion in collecting tubules)
- due to decreased H+ ATPase (proton pump) activity or increased luminal membrane H+ permeability
- severe non-anion gap metabolic acidosis
- plasma bicarb can be < 10
- urine pH > 5.5 (unabel to acidify)
- hypercalciuria => renal stones
- hypocitraturia => renal stones
- hypokalaemia => IMPROVES with alkali therapy
- positive urinary anion gap ; urinary osmolality gap < 150 - distal RTA
- complications - growth failure, hypokalaemia, renal stones, osteoporosis
- management - alkali therapy, potassium salts (e.g. potassium citrate) if hypokalaemia persists
- causes
1. Most common is autoimmune diseases - Sjogren’s, AIH/PBC, SLE, RA
2. Drugs - lithium, amphotericin B, ifosfamide, ibuprofen
3. hypercalciuric conditions - hyperpTH, vitamin D intoxication, sarcoidosis, idiopathic
4. other - obstructive uropathy, renal transplant rejection, WIlson’s disease, genetic defects

How well did you know this?
1
Not at all
2
3
4
5
Perfectly
18
Q

Causes and features of hyperkalaemic type 4 RTA

A
  • Aldosterone is the main hormone responsible for K excretion
  • type 4 RTA is caused by hypoaldosteronism or increased aldosterone resistance
  • voltage dependent RTA - reduced distal Na delivery due to reduced intake or decreased proximal tubular Na reabsorption
  • typically MILD non anion gap metabolic acidosis
  • serum HCO3 is variable (typically > 17 in hypoaldosteronism)
  • urine pH is also variable (pH < 5.3 with hypoaldosteronism or > 5. with voltage defects)
  • hyperkalaemia

Causes
- reduced aldosterone production
1. Hyporeninemic hypoaldosteronism (most common) - due to CKD (especially diabetic nephropathy), NSAIDs, GN, calcineurin inhibitors. Reduced plasma renin activity, low aldosterone levels, normal cortisol levels
2. Drugs - ACEi, heparin, LMWH
3. Primary adrenal insufficiency - low aldosterone & cortisol, increased plasma renin activity due to volume depletion and hypotension
4. Severe illness
5. inherited - congenital isolated hypoaldosteronism, pseudohypoaldosteronism type 2 / Gordon’s syndrome

-increased aldosterone resistance
K+ sparing diuretics, trimethoprim

-voltage-dependent RTA
severe hypovolemia, obstructive uropapthy, lupus nephritis, sick cell disease

Management
- treat underlying disorder
- fludrocortisone for hyperkalaemia; may worsen hypertension and oedema

How well did you know this?
1
Not at all
2
3
4
5
Perfectly
19
Q

What are the causes of AIN?

A
  1. Most common cause is drugs, especially antibiotics.
    -penicillins
    -cephalosporins
    -rifampicin
    -ciprofloxacin and other quinolones
    -diuretics - esp thiazide
    -PPI
    -NSAIDs
    -Allopurinol
    -5-ASA
    -Methamphetamine
    -checkpoint inhibitors
  2. Autoimmune disease 10-20%
    SLE, sarcoidosis, Sjogren’s, GPA
  3. Infections 4-10%
    Legionella, mycobacterium, streptococcus, CMV, Leptospira, CMV
  4. TINU (tubulointerstitial nephritis and uveitis syndrome)
How well did you know this?
1
Not at all
2
3
4
5
Perfectly
20
Q

Prognosis in lupus nephritis

A

Predictors of poor prognosis
- paediatric onset
- male
- non-white ethnicities - African American / Hispanic groups
- neuropsychiatric lupus
- proteinuria >4g/day at diagnosis
- frequent relapses
- elevated creatinine at presentation
- failure to achieve remission

Histologic characteristics
-crescenteric GN
-TMA
-extensive tubulointerstitial involvement
-high chronicity index on biopsy

Serologic characteristics
-high titre dsDNA antibodies
-persistently low complement levels
-high titre C1q antibodies
-antiphospholipid antibodies or antiphospholipid syndrome

How well did you know this?
1
Not at all
2
3
4
5
Perfectly
21
Q

Management and prognosis of AIN

A

Drug-induced AIN
- stop offending agent
- if rapidly progressing to dialysis - corticosteroids
- mycophenolate if not responding to 8-12 weeks of steroids
- most pts recover after offending agent ceased. Persistent elevation in creatinine to 150 seen in 40-70% pts, depending on severity of AKI.
- prognosis worse with NSAID related AIN

Non-drug induced AIN
- treat underlying disease process
- prognosis worse in autoimmune associated AIN - progression to dialysis is common, but only 10% remain dialysis dependent

How well did you know this?
1
Not at all
2
3
4
5
Perfectly
22
Q

What occurs to Vitamin D & Ca in nephrotic syndrome?

A
  • vitamin D binding protein is lost in urine; 25-hydroxyvitamin D is excreted with it
  • calcitriol (1,25 dihydroxyvitamin D) levels may be normal or reduced
  • can have low serum total calcium concentration with hypoalbuminaemia; however ionised calcium concentration is unaffected
  • if low calcitriol and low ionised calcium, may need cholecalciferol replacement
How well did you know this?
1
Not at all
2
3
4
5
Perfectly
23
Q

What are the findings on renal biopsy in diabetic kidney disease?

A

Abnormalities in order of progression
1. Thickened glomerular basement membrane - occurs early, can occur within 2 yrs of T1DM diagnosis
2. Mesangial cell proliferation (TGF beta driven)
3. Mesangial matrix expansion (TGF beta driven) - can be diffuse or nodular. Nodular = Kimmelstiel-Wilson nodules
4. Podocyte injury
5. Glomerular sclerosis
6. Tubulointerstitial fibrosis (usually occurs after initial glomerular lesions; final common pathway mediated progression from advanced CKD to ESKD)

How well did you know this?
1
Not at all
2
3
4
5
Perfectly
24
Q

Why does creatinine increase with RAAS blockade? How much of a rise in creatinine is acceptable after initiation of ACE inhibitors?

A

As per KDIGO guidelines, continue ACEi/ARB unless serum creatinine rises by > 30% within four weeks after initiation of treatment / increase in dose.

Reduction in eGFR / rise in creatinine, which is usually moderate 5-25%, but can be severe > 30%, can be seen in patients with bilateral renal artery stensosis, hypertensive nephrosclerosis, CCF, PKD, CKD, after commencing ACEi/ARB.

In these disorders, intraglomerular perfusion pressure is reduced. Therefore, eGFR is maintained (in part) by angiotensin II mediated vasoconstriction of the efferent arteriole. Block RAAS -> reduce efferent arteriole constriction that was maintaining eGFR -> creatinine rise
Creatinine therefore begins to rise in a few days after ACEi / ARB is started because levels of ATII are rapidly reduced

How well did you know this?
1
Not at all
2
3
4
5
Perfectly
25
Indications for renal biopsy in lupus nephritis and classic histopathological findings
- renal bx should be performed in most pts with SLE who develop renal involvement, to determine histologic class and therefore determine Mx - histologic class can change - therefore any clinical change may warrant consideration of bx IF / histopath - glomerular deposits that stain primarily for IgG, but also IgA, IgM, C3 and C1q "full house immunofluorescence pattern" Full house pattern also seen in HIV, IE, post strep GN - Glomerular deposits (mesangial, subendothelial, subepithelial) and extraglomerular deposits (tubular basement membrane, interstitium, vessels), tubuloreticular inclusions in glomerular endothelial cells Tubuloreticular inclusions also seen in HIV nephropathy (although this is typically collapsing FSGS) and people treated with alpha-interferon
26
Indications for renal biopsy in suspected IgA nephropathy and findings on immunofluorescence & histopath
Indications for renal biopsy - needed to confirm diagnosis, however, typically only performed in setting of rapidly progressive or severe disease - persistent proteinuria > 1g / day - new hypertension or significant rise over baseline BP - elevated creatinine IF - immune complex deposition (IgA or IgG in mesangium) Light microscopy - mesangial hypercellularity and matrix expansion Histopath - immune complex pattern, hypercellularity, glomerular sclerosis, interstitial fibrosis, formation of crescents due to proliferation of epithelial cells
27
Pathogenesis of scleroderma renal crisis
- Occurs in up to 20% of pts with diffuse cutaneous systemic sclerosis - most comonly in first 5 years after diagnosis - underlying mechanism - thrombotic microangiopathy / vascular changes in small arteries of the kidney - intimal proliferation and thickening, narrowing and obliteration of vascular lumen, concentric onion-skin hypertrophy
28
Risk factors for scleroderma renal crisis
- more common in first 5 years after diagnosis of diffuse cutaneous systemic sclerosis risk factors -> diffuse cutaneous systemic sclerosis, especially if rapidly progressive -> anti RNA polymerase III Abs -> glucocorticoid use - > 15mg prednisolone per day
29
Clinical presentation of scleroderma renal crisis
- acute onset renal failure - abrupt onset moderate - marked hypertension in 90% patients, associated with headache & blurred vision, retinopathy (including haemorrhages and exudates), encephalopathy complicated by seizures - new diastolic hypertension (85%) - mean peak blood pressure of 180/100mmHg - urine sediment is usually normal. Proteinuria 0.5-1g/day may be present in pts with pre-existing hypertension. GN is not a feature of SRC - microscopic haematuria and cell casts are uncommon - 10% of SRC is normotensive, although BP may be higher than baseline. Worse prognosis due to delayed recognition. Normotension in SRC may suggest cardiac failure.
30
Management and prognosis of scleroderma renal crisis
Must exclude MAHA first Mainstay of management is prompt BP control - return to baseline BP within 72 hrs - ACEi first line - captopril. Accept transient rise in creatinine due to relaxation of efferent arteriole and decrease in intraglomerular perfusion pressure (not a reason to cease therapy). Prognosis - if untreated, ESRF in 1-2 months and death within 1 year - with prompt BP control - renal function stabilises or improves in 70%, survival at 1 year is 80%
31
Risk factors for development of lupus nephritis
Approx. 50% of pts with SLE have renal involvement, lupus nephritis typically occurs within 6 - 36 months of diagnosis. 30% will develop renal impairment, but this is relatively uncommon within the first few years of diagnosis Risk factors for lupus nephritis - age <33 yrs at diagnosis - non-white ethnicity - black, hispanic, asian. More common & more sevre - male > females
32
What are the causes of anuric renal failure?
Oliguria - < 400-500ml/day is common in AKI Anuria - <50-100mL is uncommon in AKI Causes of anuric renal failure: 1. Shock 2. Complete bilateral urinary tract obstruction - BPH most common cause in males - bladder or prostate Ca - clots 3. HUS 4. Renal cortical necrosis >50% cases are pregnancy-associated (abruption, infected abortion, eclampsia) Extreme ATN - significantly diminished perfusion of kidneys due to spasms of feeding arteries, microvascular injury or DIC 3. Bilateral renal arterial obstruction 4. RPGN - especially anti-GBM disease **diuretics do not prevent AKI or progression to CRRT. Can be used for short term volume control, but should not be used to delay dialysis.
33
Immunofluorescence in GN
34
What is the mechanism of hypercoagulability in nephrotic syndrome?
- Loss of anti-thrombin, protein C and S in the urine => increased platelet activation & presence of more fibrinogen in the circulation - The lower the albumin, the higher the hypercoagulability - especially in membranous GN
35
Summary of nephritic syndromes
36
Causes and clinical associations of IgA nephropathy
- primary mesangial IgA nephropathy is the most common primary glomerular lesion. Most common cause of nephritic syndrome in <40 yrs - primary IgAN: Mesangial IgAN HSP - normally self-limiting, supportive Mx unless significant renal dysfunction or proteinuria -secondary IgAN 1. Liver cirrhosis - especially ETOH liver disease (associated with failure to clear IgA), also HBV and HCV 2. Celiac disease - about 1/3 pts have IgAN 3. IBD 4. Ankylosing spondylitis 5. Dermatitis herpetiformis 6. Mycosis fungoides 7. HIV infection - however, typically get collapsing FSGS 8. GPA - occurs when in remission after immunosuppressive therapy, pts present with haematuria but no other features of recurrent vasculitis
37
What is the management of IgA nephropathy?
Treatment of proteinuria -RAAS blockade (ACEi/ARB) for proteinuria >1g/day, consider for proteinuria 0.5-1g/day, uptitrate to achieve <1g/day proteinuria Treat hypertension -if proteinuria >1g/day -> aim BP <125/75mmHg -if proteinuria <1g/day -> aim BP <130/80mmHg Role of SGLT2i -biggest positive trial in IgAN. Start empagliflozin or dapagliflozin if persistent proteinuria >500mg/day despite maximally tolerated doses of ACEi/ARB for at least 3-6 months. Reduces renal progression & risk of death Immunosuppression - role of corticosteroids is controversial, may be worth trying in pts with persistent proteinuria > 1g /day despite adequate trial of RAAS blockade - other immunosuppressive agents (on top of steroids) - increases chances of remission of proteinuria BUT does not slow progression of renal disease
38
What are the 6 histological classes of lupus nephritis & their key clinical features?
Class I - minimal mesangial LN Class II - mesangial proliferative LN Class III - focal membranoproliferative LN Class IV - diffuse membranoproliferative LN Class V - membranous LN Class VI - advanced sclerosing lN Class I - minimal mesangial LN - normal light microscopy - rarely diagnosed because urine typically normal - may have mild proteinuria - normal renal function - no therapy, unless progresses to more sinister class Class II - mesangial proliferative LN - microscopic haematuria +/- haematuria - good prognosis; no need to treat unless progresses to more sinister class Class III - focal membranoproliferative LN -MOST common & MOST severe -microscopic haematuria + proteinuria +/- HTN +/- reduced eGFR +/- nephrotic syndrome -<50% glomeruli involved on light microscopy. Almost always SEGMENTAL involvement of each glom -needs immunosuppression Class IV - diffuse membranoproliferative LN - >50% glomerli involved on light microscopy - microscopic haematuria + proteinuria + HTN + reduced eGFR + nephrotic syndrome - low C3, high anti-dsDNA - segmental OR global involvement of each glomerulus - needs immunosuppression Class V - membranous LN - nephrotic syndrome +/- microscopic haematuria +/- HTN - normal or slightly elevated creatinine - may present with no other clinical signs of SLE and normal complement levels Class VI - advanced sclerosing LN - slowly progressive renal dysfunction & proteinuria. Usually no haematuria / no active GN. - global sclerosis > 90% glomeruli - old & scarred - given no active GN - immunosuppression unlikely to help
39
Pathophysiology / genetic basis of Alport's syndrome
- rare genetic disorder - caused by a mutation in type IV collagen - type IV collagen is needed for normal function of kidneys, ears, eyes - three genes which may be involved - COL4 A3, A4, A5 - mutation in COL4 A5 is most common, is X-linked, and has the most severe phenotype - due to this mutation glycine is replaced by a larger amino acid -> collagen unable to pack tightly
40
Clinical presentation of Alport's syndrome
Renal - haematuria - universal feature of Alport's syndrome since infancy - can be macroscopic. Milder phenotypes (associated with COL4 A3 and A4 mutations) may just have microscopic haematuria - proteinuria as renal impairment progresses Ears -sensorineural hearing loss, especially loss of hearing at higher frequencies -hearing typically normal at birth, but develops progressively - usually at stage where renal function is normal but there is proteinuria Eye - sight not typically affected - corneal erosions - lenticonus - keratoconus - cataracts - slit lamp exam - oil droplet reflex ; fundoscopy will show white / yellow flecks on retina
41
Pathophysiology of ANCA-associated GN
Anti-PR3 and MPO ANCA IgG activate neutrophils Neutrophils release mediators of acute inflammation Tissue destruction and cell death
42
What findings on renal biopsy are suggestive of Alport's syndrome?
Electron microscopy shows thinning of the basement membrane and basket-weave appearance of the basement membrane
43
Management of pauci-immune / ANCA-associated GN
Needs immunosuppression Induce remission 1L steroids or cyclophosphamide - PO cyclophosphomide is twice the cumulative dose of IV cyclophosphamide. No difference in time to remission, but less ADRs, less leukopenia AND increased risk of renal relapse with IV. No difference between PO and IV in terms of long term mortality and renal function / progression to ESRF. Plasma exchange for severe cases of ANCA associated renal vasculitis, or if pulmonary haemorrhage, concurrent anti-GBM Abs, severe renal failure PLEX associated with higher rates of remission Rituximab is as effective for induction & then maintanence as cyclophosphamide, BUT needs to be ANCA positive for PBS approval. For maintanence - options are AZA or MMF. AZA is better for ANCA vasculitis (as opposed to lupus nephritis where MMF is better).
44
Management of Alport's syndrome
- ACEi in proteinuric patients can slow deterioration of renal function - most patients rapidly progress to ESRF requiring dialysis in their 20s - consideration of transplantation (rarely develop Abs to type 4 collagen post transplant, resulting in progressive graft dysfunction secondary to Goodpasture syndrome)
45
What infections are associated with infection-related GN?
In children (<12) - typically streptococcal URTI or skin infection (mostly URTI) In adults (>60) - typically staphylococcal infections. Can be skin, bone, heart, teeth, UT, lung, heart). In elderly & diabetic - skin most common source
46
Outline the principles of management of CKD-MBD
Accept PTH levels 2-4 x upper limit normal - if exceeding this, need to suppress 1. Aim for phosphate level around 2 Calcium based phosphate binders - mainly calcium carbonate Non-calcium based phosphate binders - sevelamer and lanthanum are only available for patients on dialysis 2. Cholcecalciferol for vitamin D deficiency 3. If PTH does not normalise despite phosphate binders -> consider calcitriol (only if Ca levels are not elevated) 4. For tertiary refractory hyperparathyroidism - consider cinacalcet -> increases sensitivity of calcium sensing receptors. No evidence that cinacalcet decreases cardiovascular mortality
47
What are the risk factors for developing infection-related GN?
-Male predominance -Common in children (<12yo) - most common cause of acute nephritis in children -Immunocompromised - diabetics, elderly, ETOH, AIDs, malnourishment -TB -Synthetic valves -IVDU -Malignancy
48
What is the pathophysiology of infection related GN?
Immune complex deposition Deposition of IgG Abs and C3
49
Describe the changes to lipid profile in nephrotic syndrome
- hypercholesterolaemia - typically with HDL elevation and hypertriglyceridaemia - proteinuria => reduced plasma oncotic pressures => increased hepatic lipoprotein synthesis - hypertrigylceridaemia likely due to impaired metabolism - can also get lipiduria in nephrotic syndrome
50
What is the typical clinical presentation of infection-related GN?
Deterioration in renal function - typically weeks after infective precipitant - up to 95% of children will present with asymptomatic haematuria - can also present as nephritic syndome Hypertension 50-90% Generalised oedema - MOST common symptom - 66% of symptomatic children Red-brown urine - 30-50% AKI, acute renal failure and RPGN is rare
51
What happens to serum complement levels in IgA nephropathy and infection-related GN?
In infection-related GN, serum C3 +/- C4 levels are low in 90% patients As opposed to IgAN, where complement levels are normal or elevated
52
What are the findings on renal biopsy that may be suggestive of infection-related GN?
Progressive renal failure is the primary indication for renal bx in suspected infection-related GN Light microscopy - diffuse proliferative and exudative glomerulonephritis with prominent endocapillary proliferation and numerous neutrophils IF - diffuse granular pattern of C3 and IgG deposits (compared to IgAN where immune complex deposition is focal and patchy)
53
What is the management of infection related GN?
Antibiotics if infection still present Supportive management as prognosis typically excellent Frusemide 1mg/kg for mx of fluid status Treat hypertension - nifedipine
54
Does infection-related GN always progress to ESRF?
No. Prognosis of infection-related GN is excellent, especially in children. Most children will have normal or modestly reduced renal function up to 18 yrs. post. 20% could have persistently abnormal urinalysis. Some adults will develop HTN, recurrent proteinuria and renal impairment. This is associated with evidence of glomerulosclerosis on biopsy -> may actually represent membranoproliferative GN rather than infection-related
55
Is pauci-immune always ANCA associated?
90% of pauci-immune GN is ANCA associated, 10% is ANCA negative. 1. Granulomatosis with polyangitis -90% are c-ANCA positive for proteinase-3 -associated with URTI & ocular symptoms -more likely to have relapsing disease 2. Microscopic polyangitis -70% are p-ANCA positive for myeloperoxidase -7% will interstitial lung disease 3. Eosinophilic granulomatosis with polyangitis -p-ANCA for myeloperoxidase
56
What happens to cortisol levels in nephrotic syndrome?
-urinary loss of cortisol binding globulin -serum cortisol concentrations may be reduced -however, percentage of unbound cortisol is increased, serum free cortisol concentrations are normal and symptomatic hypocortisolism does not occur
57
Association between renal biopsy pattern and prognosis in pauci-immune GN
Sclerotic biopsy pattern is associated with worse prognosis
58
Definitions of albuminuria
59
What protein does a urine dipstick detect?
Urine dipstick is highly sensitive for glomerular proteinuria i.e. albumin. Therefore, usually negative in tubular proteinuria (i.e. proteins other than albumin) Glomerular proteinuria - filtration of high molecular weight protein (mostly albumin) Tubular proteinuria - low molecular weight protein. e.g. beta 2 microglobulin and light chains - filtered through glomerulus and meant to be reabsorbed by the PCT
60
What is the mechanism of action of tolvaptan?
Tolvaptan is a vasopressin 2 receptor antagonist - reduces aquaporin expression in collecting ducts, increasing diuresis and therefore reduces the urine osmolality Reduction in osmolality (aiming <280) is associated with reduced growth of cysts and reduced rate of decline in eGFR. Every 4 years on Tolvaptan, delays dialysis by 1 year ; therefore there are more benefits with early treatment
61
Minimal change nephropathy summary
62
FSGS summary
63
What antibodies are associated with idiopathic membranous nephropathy?
PLA2R
64
Membranous nephropathy summary
65
Definition of nephrotic syndrome and mechanism of proteinuria
- nephrotic range proteinuria - >3500mg / 3.5g per 24 hours - spot PCR >3000mg/g or >3g - hypoalbuminaemia - serum albumin <35 - oedema Mechanism of proteinuria in nephrotic syndrome - glomerular proteinuria - primary mechanism is destruction of podocytes, effacement of podocyte foot processes, slit diaphragm disruption and loss
66
Mechanism of oedema in nephrotic syndrome
- typically affecting lower extremities, but can also get periorbital oedema on waking ; also anasarca, pulmonary oedema, pleural effusions - mechanisms include primary sodium retention - abnormally filtered proteins drive sodium reabsorption in collecting duct with subsequent volume expansion - secondary sodium retention - loss of albumin drives fluid out of vasculature, leading to underfilling and secondary sodium retention via RAAS activation Resistance to loop diuretics that are typically protein bound
67
What changes to thyroid hormones occur in nephrotic syndrome?
Loss of albumin and hormone binding proteins leads to metabolic & endocrine derangements - urinary loss of thyroid binding globulin - low T3 and T4 levels - most patients with nephrotic syndrome are generally euthyroid because the physiologically important free T3 and T4 levels are normal, T3/T4 ratio is normal - membranous nephropathy is associated with Graves' disease and autoimmune thyroiditis (Hashimoto's)
68
What mutations are associated with familial FSGS?
Mutations in slit diaphragm molecules 1. NPHS2 (podocin) 2. TRPC6 Typically no response to steroids
69
What is the pathogenesis of primary FSGS?
-exact mechanism unknown -circulating factor which is toxic to podocytes and causes generalised podocyte effacement -potential culprit molecules: Soluble urokinase plasminogen activator receptor (suPAR) Cardiotrophin-like cytokine factor 1 (CLCF1) MicroRNas -explains >60% recurrence post transplant -typically causes diffuse podocyte effacement (as opposed to focal / segmental) -50% respond to immunosuppression / PLEX
70
What are the causes of secondary FSGS?
1. Collapsing FSGS in HIV 2. Hepatitis C 3. Drugs - IFN, heroin, bisphosphanates 4. Reflux nephropathy 5. Massive obesity 6. Healed previous glomerular injury Can breakdown causes of secondary FSGS into virus or drug induced Pathogenesis of secondary FSGS - adaptive changes to glomerular hyperfiltration
71
What are the differences between primary and secondary FSGS?
- Primary FSGS typically causes diffuse podocyte effacement, secondary FSGS causes segmental effacement - Primary FSGS typically presents as acute onset nephrotic syndrome - proteinuria (70-100%), haematuria (50%), HTN (20%), AKI (25-50%) - Secondary FSGS typically presents as slowly progressive proteinuria and renal impairment. Either non-nephrotic proteinuria OR nephrotic range proteinuria without nephrotic syndrome - - Primary FSGS responds well to immunosuppression, whereas focus of Mx in secondary FSGS is underlying cause and supportive management with low protein, low salt diet and BP control
72
HIV is associated with which form of nephrotic syndrome?
- classically collapsing FSGS - collapsing FSGS describes a histologic variant seen in HIV, other infections - COVID-19, parvovirus B19, drugs, lupus, haemophagocytic syndrome - characterised by collapse & sclerosis of the entire glomerular tuft (rather than segmental injury) - typically results in more severe nephrotic syndrome, worse renal impairment - frequently resistant to therapy with rapid progression to ESRF
73
What are the RPGNs?
Anti-GBM ANCA-associated GN / Pauci-immune GN Immune-complex mediated GNs : lupus nephritis, IgAN, infection-related GN, mixed cryoglobulinaemia
74
What are patients with Alport syndrome at risk of post transplantation?
Anti-GBM (Goodpasture) disease Due to collagen IV deficiency, people with Alport syndrome do not really have a glomerular BM. Post transplant, introduction of new antigens -> production of anti-GBM Abs
75
What is the pathophysiology of anti-GBM disease?
Small vessel vasculitis Autoantibodies against the non-collagenous domain of the alpha 3 chain of type 4 collagen (typically IgG) Affecting the renal & pulmonary capillary beds Involves immune complex deposition (IgG and C3)
76
What are some risk factors for anti-GBM disease?
Genetic - HLA DR3 seen in 80% pts with anti GBM disease Some seasonal and geographic associations - not yet understood Association between smoking and risk of pulmonary haemorrhage Exposure to hydrocardbons e.g. petrol Alemtuzumab (anti CD 52 on B and T cells) - used for Rx of MS and CLL People with Alport syndrome are at increased risk of anti-GBM post transplant
77
What is the role of non-steroid mineralocorticoid receptor antagonists in the management of diabetic kidney disease?
In patients with diabetic kidney disease and albuminuria, non-steroid mineralocorticoid receptor antagonists improve cardiovascular outcomes and mortality Non-steroidal mineralcorticoid receptor antagonist (finerenone) should be started in patients with CKD with T2DM, normal K, eGFR >25, albuminuria >3g/mmol despite maximal tolerated dose of RAAS inhibitor FIGARO-DKD trial (NEJM) - among patients with stage 2-4 CKD and T2DM with moderately elevated albuminuria OR stage 1-2 CKD with severely elevated albuminuria, finerenone therapy improved CV outcomes (composite outcome of death from CV causes, non-fatal AMI, nonfatal stroke, or hospitalisation for heart failure)
78
What are the types of bone abnormalities seen in CKD-MBD?
1. Osteitis fibrosa cystica - increased bone turnover due to secondary hyperparathyroidism 2. Adynamic bone disease - decreased bone turnover, usually due to excessive suppression of PTH. Most common CKD related bone lesion in patients on dialysis 3. Mixed uraemic osteodystrophy - high or low bone turnover with abnormal mideralisation 4. Osteomalacia - rare. Low turnover & abnormal mineralisation. Previously associated with aluminium containing phosphate binders.
79
What are the diagnostic features of anti-GBM disease?
Positive anti-GBM IgG serology Urgent biopsy required if positive serology Histopath - severe necrotising and crescenteric pattern IF - strong linear / ribbon-like staining of IgG and C3
80
What is the management and prognosis of anti-GBM?
Aim to rapidly remove anti-GBM Abs through plasma exchange, steroids, cytotoxic therapy e.g. cyclophosphamide, supportive therapy / dialysis Prognosis is better if <30% crescents on biopsy, creatinine <300 & not on dialysis
81
Renal involvement is seen in which types of amyloidosis?
1. AL amyloidosis or primary amyloid - light chain dyscrasia, fragments of monoclonal light chains form amyloid fibrils (lamba light chains are more amyloidogenic than kappa light chains) ; although this is a plasma cell dyscrasia with monoclonal paraprotein, typically does not meet criteria for MM -> classified as MGRS 2. AA amyloidosis - acute phase reactant serum amyloid A forms amyloid fibrils. Associated with chronic inflammatory disorders such as osteomyelitis and rheumatoid arthritis
82
What is the pathogenesis of primary & secondary membranous nephropathy?
-membranous nephropathy is the 2nd most common cause of primary nephrotic syndrome in Caucasian adults (after diabetic nephropathy ; FSGS globally 2nd most common - but more common in African Americans) -IgG4 deposition in the subepithelial space => disruption of barrier => proteinuria -LM: diffuse thickening of basement membrane ; "spike and dome" appearance Majority of membranous nephropathy in adults is PRIMARY (85%). Mostly due to **autoantibodies against phospholipase A2 receptor found on podocytes (anti-PLAR2 Abs) ** Secondary membranous nephropathy - only 15% in adults, more common in children - associated with chronic infections HBV, malaria - solid organ malignancies - lung Ca, colon Ca - drugs - penicillamine - class 5 lupus nephritis (membranous lupus nephritis)
83
What are the typical biopsy findings in membranous nephropathy?
Basement membrane thickening with little or no cellular proliferatio or infiltration Subepithelial electron dense deposits "spike and dome" appearance of the basement membrane
84
Who is eligible to commence tolvaptan therapy?
Patients with autosomal dominant polycystic kidney disease Age > 18 yrs CKD 2-3, eGFR 30-90 AND evidence of rapid progression - eGFR decline by >5ml/min in 1 year - rate of decline in eGFR >2.5 ml / min / year over 5 years Contraindications eGFR <30 Baseline hypernatremia (tolvaptan can make you more hypernatremic by increasing diuresis) Inability to respond to thirst - patients need to be drinking approx. 5 L fluid per day Hypovolemia Concomitant diuretic use Interactions with CYP3A4 inhibitors
85
Outline the management of T2DM in patients with CKD
Target HbA1c <6.5% to <8.0% - individualise target Non-pharmacological management - smoking cessation, physical activity, protein intake 0.8g/kg/day for non-dialysis patients. <2g sodium per day <5g salt / sodium chloride. Oral hypoglycaemic therapy: 1st line pharmacotherapy - metformin (cease if eGFR <30 or dialysis, reduce dose if eGFR <45), SGLT2i (start only if eGFR >20 & not on dialysis) 2nd line pharmacotherapy - add additional agent - GLP1 receptor agonist preferred Other drugs: RAAS blockade for hypertensive & proteinuria Moderate to high intensity statin if >50 yrs Non-steroidal mineralocorticoid antagonist (finerenone) if urine ACR >3mg/mmol despite RAAS blockade and eGFR >25 and K normal
86
What autoantibodies are associated with primary membranous nephropathy?
Autoantibodies against the phospholipase A2 receptor in podocytes (anti PLA2R) - Anti PLA2R is detectable in serum even prior to onset of proteinuria - the greater the titre of anti PLA2R, the more active the disease - proteinuria may continue even when the immunologic phase of the disease has resolved with immunosuppression - use anti PLA2R to track disease activity. Can stop immunosuppression when Abs become negative, even if the proteinuria has not yet resolved.
87
What is the management of membranous nephropathy?
-often self-limiting -supportive care and mx of proteinuria (RAAS blockade) -consider anticoagulation when albumin <25 Who needs immunosuppression? 1. Heavy proteinuria > 8g/day 2. Poor renal function 3. PLA2R Abs >150 Immunosuppression 1st line steroids rituximab cyclophosphamdie if high risk cyclosporin
88
What is the pathogenes of minimal change disease?
- Most common cause of nephrotic syndrome in <10yo, peak incidence 2-6yo. Only represents 15% nephrotic syndrome in adults - exact pathogenesis unclear -> likely due to systemic T cell dysfunction => production of glomerular permeability factor => direct damage to glomerular capillary wall => foot process effacement => proteinuria - 30% patients with minimal change disease have autoantibodies against nephrin (an essential component of the glomerular slit diaphragm) Minimal change disease may be idiopathic; or associated with NSAIDs, or malignancy - most common Hodgkin's lymphoma
89
What are the renal biopsy features of minimal change disease?
- light microscopy - typically NORMAL, or only mild mesangial proliferation - IF - no immune complex deposition - EM - diffuse effacement of foot processes
90
Outline the management of minimal change nephropathy
Supportive management - low salt diet - diuretics - RAAS blockade not required in normotensive pts with minimal change disease Glucocorticoids are the treatment of choice - lead to complete remission of proteinuria in > 85-90% of cases Have an antiproteinuric effect in addition to immunosuppressive effect Only 7-12% pts do not respond to steroids -> consider alternate diagnosis e.g. FSGS Steroid dose of 1mg/kg/day for minimum 8 weeks, max duration of 16 weeks Relapse is common - 50-75% steroid responsive adults will relapse => trial repeat course of pred Some pts will require continuous low-dose pred If not tolerating pred => cyclophosphamide, higher likelihood of sustained remission than cyclosporine. Cyclosporine if relapse after cyclophosphamide Rituximab if relapse after both cyclophosphamide and cyclosporine If appear to be glucocorticoid resistance - consider alternative diagnosis - repeat biopsy ? FSGS - ? inadequate steroid therapy - ensure not taking alkylating aluminium agents which reduce bioavailability of prednisolone
91
Distinguishing pre-renal AKI and ATN
92
KDIGO CKD stages
93
What is the haemoglobin target in CKD and why?
Target Hb 100-115 Clinical trials that assessed higher Hb targets (e.g. 135) - found increased CV events, hospitalisation for HF, death with higher Hb targets. Start EPO only if Hb <100 and transferrin saturation >25% and ferritin > 200, using the lowest possible ESA dose.
94
Pneumonic for day to day management of patient with CKD
A - anaemia. Is Hb and ferritin on target? EPO dose adjustment needed? A- access. Is the current access adequate, what is the long term plan? B - bones. Is the Ca / PO4 / phosphate on target? C - cardiovascular risk. Are CV risk factors optimised? T - transplant. Is this patient a potential transplant candidate? Is the work up moving forwards?
95
What are the risk factors for progression of CKD?
- Intraglomerular hypertension - Tubulointerstitial disease - Systemic hypertension - Glomerular hypertrophy - Hyperlipidaemia
96
Why is BP control important in CKD?
- BP control reduces progression to ESRF in patients with proteinuria - BP control reduces all-cause mortality in patients with CKD
97
What is the relationship between albuminuria and CVD risk?
Albuminuria independently increases risk of CVD and death from CV cause.
98
What is the mechanism of the renoprotective effects of SGLT2i?
SGLT2i increase tubuloglomerular feedback and increase afferent arteriole tone => decreasing intraglomerular pressure. May initially cause decrease in eGFR, followed by stabilisation. Decrease albuminuria. Complimentary mechanism to RAAS blockade. ACEi/ARB decrease efferent arteriole tone and decrease intraglomerular pressure.
99
What factors contribute to hypertension in CKD?
- RAAS activation - sodium retention, AT2 mediated vasoconstriction of efferent arteriole - Increased sympathetic activation - Hypertensive disease - e.g. hypertensive nephrosclerosis - Fluid overload - Vascular disease and stiffness - Secondary hyperparathyroidism -> increases intra-cellular calcium -> vasoconstriction - EPO analogues / stimulants -> incr. haematocrit -> HTN - Impaired NO synthesis and endothelin mediated vasodilatation
100
Causes of EPO resistance
101
What are the earliest changes seen in CKD-MBD?
1. Klotho deficiency 2. Increased FGF-23 3. Decreased bone formation 4. Increased vascular calcification FGF23 levels increase in response to increased dietary PO4 load, PTH, increased calcitriol, Ca
102
What are the BP targets in CKD?
As per KDIGO guidelines 2024 Aim SBP <120, unless frailty, high risk of falls & fractures, symptomatic postural hypotension, very limited life expectancy. Individualise targets.
103
What drugs have an anti-proteinuric effect in CKD?
ACEi/ARB Non-dihydropyridine CCBs - diltiazem, verapamil Spironolactone
104
General approach to management of hypertension in CKD
- Consider addition of night-time medications as pts with CKD do not have a nocturnal decline in BP. Promoting nocturnal decline in BP is associated with reduced incidence of CV events and stroke. - Salt restriction <2g sodium per day or <5g salt per day - in proteinuric pts => start with ACEi/ARB, consider non DHP CCBs for their anti-proteinuric effects ACEi/ARB not superior in CKD patients without proteinuria -in oedematous patients, loop diuretics are preferred. Thiazide diuretics less effective when eGFR <30. Can consider addition of HCT to loop diuretics for sequential nephron blockade if refractory oedema.
105
What are the contributors to anaemia in CKD?
1. IRON DEFICIENCY 2. Damage to EPO producing juxtaglomerular & peritubular fibroblasts (renal EPO predominates in adulthood) 3. Anaemia of chronic disease
106
Describe changes to PTH, Ca, Vitamin D, PO4, FGF23 in CKD
- PTH levels are increased. Increased PTH is triggered by increased PO4, decreased serum free ionised Ca concentration, decreased calcitriol, increased FGF23, increased expression of vitamin D receptors, Ca sensing receptors, fibroblast growth factor receptors - PTH increases calcitriol levels, increased PO4 & Ca resorption from bone, increases Ca reabsorption from kidneys and PO4 excretion from kidneys - Calcitriol is suppressed by elevated PO4 levels & FGF23 - Calcitriol levels are reduced. Calcitriol normally increases Ca & PO4 absorption from GIT, increases Ca & PO4 resorption from bone and increases Ca reabsorption and PO4 excretion from kidneys - Calcitriol suppresses PTH - FGF23 main role is maintaining normal PO4 concentration - by inhibiting PO4 re-absorption in renal proximal tubule (via Klotho) and decreased calcitriol (which then decreases PO4 reabsorption from GIT)
107
When is RAAS blockade indicated in CKD?
If CKD + mod-severe albuminuria (I.e. >3mg/mmol per day), with or without diabetes
108
Can ACEi/ARB be continued despite a rise in serum creatinine?
Continue unless rise in serum creatinine >30% within 4 weeks of initiating ACEi/ARB or increasing dose
109
What are the consequences of metabolic acidosis in CKD?
- can cause progression of CKD through increase in mediators such as angiotensin 2, intra-renal ammonia and endothelin 1 & aldosterone that cause tubulointerstitial injury & fibrosis - metabolic acidosis can also lead to muscle breakdown / wasting, worsening of bone disease & osteomalacia, worsen insulin resistance
110
What happens to PTH, Ca, PO4 and Vitamin D in primary, secondary and tertiary hyperparathyroidism
111
What are the options for treatment of metabolic acidosis in CKD?
Contrary to previous theories, treatment of metabolic acidosis is likely NOT associated with delayed progression of CKD or improved mortality Consider treatment for metabolic acidosis if bicarb <18, aim for normal range 23 - 29 mmol / L 1. Dietary modification Reduce endogenous acid production through a base-producing diet (fruits & vegetables) 2. Sodium bicarbonate - side effects including bloating, belching, sodium loading can worsen fluid retention & HTN 3. Sodium citrate - risk of acute aluminium encephalopathy 4. Veverimer - new therapy. Selectively binds hydrochloric acid and excretes it via the GIT
112
What are the options for treatment of hyperkalaemia in CKD?
- poor outcomes associated with K>6 and K<3 in CKD patients - dietary modification (reduce processed foods that are rich in bioavailable potassium) - Potassium binders 1. Resonium 2. Patiromer - non-absorbable polymer that exchanges K for Ca in the gut - side effects are constipation, abdominal pain, low Mg 3. Sodium zirconium cyclosilicate - selective cation that binds K in the gut, exchanges K for Na and H - works in 1-6 hours - can cause hypokalaemia
113
What is the recommended target BP in CKD / hypertensive nephrosclerosis?
Aim BP 120-125/80 More intensive BP lowering reduces risk of progression to ESRF in patients with proteinuric CKD, and reduces mortality in CKD regardless of proteinuric or non-proteinuric.
114
Describe the relationship between serum phosphate and CVD risk
Elevated serum phosphate in CKD increases CVD risk via 2 mechanisms: 1. Vascular calcification - phosphorous directly induces phenotypic changes in vascular smooth muscle cells by increasing transcription of proteins involved in bone formation and matrix mineralisation => increased calcification Arteriosclerotic disease -> calcium phosphate deposition in media Atherosclerotic disease -> cholesterol plaque in intima 2. Phosphate inhibits activated vitamin D via FGF-2 FGF-23 inhibits 1 alpha hydroxylase which converts 25-hydroxvitamin D to 1,25 dihydroxyvitamin D Activated vitamin D normally inhibits RAAS and therefore controls cardiomyocyte proliferation and hypertrophy
115
What are the risk factors for CVD in patients with CKD?
- CKD and proteinuria are independent risk factors for CVD - Patients with CKD are at higher risk of worse CAD, more likely to have atypical symptoms, increased mortality after ACS, PCI or CAGS in patients with CKD - Among patients with CKD, the risk of death, particularly due to CVD, is typically higher than the risk of eventually requiring renal replacement therapy Cardiovascular risk factors in CKD include traditional and non-traditional RFs - Traditional RFs are more important in early CKD - diabetes, HTN, hypercholesterolaemia, smoking, older age - Non-traditional CV risk factors in CKD Hyperphosphataemia Proteinuria / albuminuria Vascular calcification / increased calcium load Elevated FGF-23 levels Retention of uraemic toxins Anaemia Increased inflammatory / poor nutrition state Inflammation and elevated levels of certain cytokines
116
What happens to PTH in CKD and why?
In CKD - typically secondary hyperparathyoidism. Provoked by increased PO4, increased FGF23, decreased Ca and decreased calcitriol. In ESRF - typically tertitary hyperparathyroidism
117
Describe the role of FGF-23 & klotho in CKD-MBD
FGF-23 is produced by osteocytes and osteoblasts in response to increased dietary PO4 load, decreased calcitriol levels, PTH, Ca. FGF-23 acts via a co-transporter transmembrane protein known as Klotho FGF-23 is increased in CKD. It causes a rise in PTH, decrease in calcitriol, reduces PO4 re-absorption in proximal renal tubule and decreases PO4 absorption in GIT by decreasing calcitriol levels. Levels of FGF23 have been associated with cardiovascular risk
118
What is the effect of calcitriol on Ca & PO4?
Calcitriol increases Ca & PO4 If Ca is rising with calcitriol, may need to switch to cinacalcet to suppress PTH
119
What is the criteria for iron transfusion in CKD?
Transferrin saturation 25% or less AND ferritin 500ng/mL or less Always give IV iron Must make sure iron replete before giving EPO
120
What are the risk factors for developing diabetic kidney disease?
1. Increasing age 2. Female sex - higher risk of diabetic kidney disease 3. Male sex - higher risk of progression to ESRF from late stage CKD 4. Hyperglycaemia 5. Hypertension 6. AKI 7. Obesity 8. Smoking 9. Race - African Americans, Latino, American Indians 10. Low socioeconomic status
121
Describe the pathogenesis of diabetic kidney disease
Hyperglycaemia -> formation of advanced glycation end products & reactive oxygen species AGEs & ROS -> stimulate intracellular signalling for pro-inflammatory and pro-fibrotic gene expression 1. Increase in intraglomerular pressure / glomerular hyperfiltration -> decreased afferent arteriole tone, increased efferent arteriole tone. Diabetic products activate RAAS -> increased efferent arteriole tone Hyperglycaemia -> upregulation of SGLT1 and SGLT2 transporters in proximal tubule -> increased sodium reabsorption -> reduced sodium passing by macula densa -> reduced afferent arteriole resistance. Imbalance between tone of afferent and efferent arteriole => increased intra-glomerular pressure => sclerotic response *this is the mechanism for ACEi & SGLT2i renoprotective effects* 2. Oxidative stress & inflammation Hyperglycaemia, insulin resistance & dyslipidaemia => formation of advanced glycation end products => bind to AGE receptors (RAGE) on kidney cells => production of cytokines via NFkB TGF beta => mesangial cell hypertrophy & matrix accumulation TNF alpha => renal hypertrophy, podocyte and tubular cell injury 3. Interstitial fibrosis and tubular atrophy TGF beta => excess collagen and fibronectin deposition Accumulation of mesangial matrix forms Kimmelstiel-Wilson nodules
122
Describe the genetics underlying polycystic kidney disease
1. Autosomal dominant PCKD 2. Autosomal recessive PCKD - often leads to death in utero / as an infant 3. De Novo PCKD Autosomal dominant PCKD - >1000 mutations. Most are point mutations. Truncating mutations associated with more severe disease than non-truncating mutations. - MOST common (78%) - PKD1 mutation on chromosome 16, mutation of polycystin 1, affects cilia function in tubules, MORE severe phenotype (earlier age of onset, larger kidneys with more cysts, median age of ESRF 54 yrs.) "second hit hypothesis" in PKD1. Germline / inherited mutation present in ALL cells, however, cysts only in <10% of tubules. Cyst formation likely results from LOSS of normal haplotype in the presence of an abnormal PKD1 gene. Loss of heterozygosity with a somatic PKD1 mutation within individual PKD1 cysts. - PKD2 (15%) - on chromosome 4, mutation of polycystin 2, affects cilia function in the tubules, milder disease than PKD1, median age of ESRF 74 yrs. De-novo PCKD 10-15% do not have a family history De novo mutations Either no parental information or milder familial disease (PDK2 or non-truncating PKD1)
123
Difference between microalbuminuria, macroalbuminuria and nephrotic range proteinuria
Microalbuminuria - 30-300mg / day Macroalbuminuria - >300mg / day Nephrotic range >3.5g/day
124
What happens to HbA1c in CKD?
HbA1c is typically falsely LOW in CKD. Due to anaemia / EPO / iron.
125
Outline the management of autosomal dominant polycystic kidney disease
1. Hydration - > 3L per day (if on Tolvaptan approx 5L per day). Aim to maintain urine osmolality <280. Reduced urine osmolality reduces rate of growth of cysts and slows decline in eGFR (similar extent to tolvaptan) 2. Salt restriction - 2-2.3g/day 3. Caloric restriction - protective effect in animal models 4. Lipid control 5. BP control - ACEi/ARB (RAAS blockade) is 1st line What are the benefits of RAAS blockade in PCKD? - reduces increase in total kidney size - reduces rate of decline in renal function - improves cardiovascular mortality (BP control improves CV mortality in PCKD than in non-PCKD causes of ckd Tolvaptan (vasopressin 2 receptor antagonist) for those who are eligible Eligibility criteria: age >18 yrs, CKD 2 or 3 (eGFR 30-90) AND evidence of rapid progression with eGFR decline of >5 ml / min in 1 year or rate of decline >2.5 ml / min / year over 5 yrs. Contraindicated if eGFR <30 Mechanism - reduces urine osmolality <280moscm/kg by reducing aquaporins in collecting duct & increasing diuresis.
126
When should an SGLT2i be started in patients with CKD? Why are SGLT2i effective in CKD?
All patients with T2DM and CKD should be started on SGLT2i as 1st line therapy, alongside metformin. SGLT2i have cardioprotective and renoprotective effects. DAPA-CKD trial - in patients with CKD, with or without diabetes, patients on dapagliflozin had significantly lower rates of composite outcome (sustained decline in eGFR of at least 50%, ESRF, death from renal or CV cause) compared to placebo. Start a SGLT2i for patients with CKD and T2DM with an eGF >20. Can continue even if eGFR <20, unless not tolerated or RRT. In the absence of diabetes, start an SGLT2i in CKD with eGFR >20 AND - urine ACR >20mg / mmol or 200mg/g - or eGFR 20-45 and urine ACR <20mg/mmol or 200mg/g - heart failure
127
What GLP-1 analogues may be safe for CKD with eGFR<30?
Dulaglutide Liraglutide
128
What DPP4i are safe for CKD with eGFR<30?
Linagliptin Saxagliptin
129
What is the recommended BP target in diabetic kidney disease?
Aim for BP <130 / 85. Intensive BP lowering reduces mortality, reduces CVD, and slows progression to ESRF in patients with severe albuminuria. 1st line agent is ACEi/ARB. Can add dihydropyridine CCBs as 2nd line. If increased albuminuria, can trial non DHP CCBs or diuretics as 2nd line.e
130
What are the risk factors for progressive renal failure in polycystic kidney disease?
1. Male sex 2. PKD1 mutations, truncating mutations 3. Family history of ESRF before 55 yrs. 4. High caffeine intake 5. Low fluid intake 6. High BMI 7. Hypertension 8. Proteinuria / albuminuria 9. Kidney size 10. Early onset of symptoms 11. Elevated co-peptide (pre pro-hormone of vasopressin)
131
Who should be screened for cerebral aneurysms in polycystic kidney disease?
Screen with MRA without gadolinium ; or CTA if MRA is contraindicated Do not screen everyone - many small aneurysms without clinical significance may be detected Screen high risk patients only - prior history of aneurysmal rupture - family history of ICH / aneurysms - neurological symptoms - high risk jobs (e.g. airplane pilot) - prior to major surgery
132
What is the typical trajectory of renal function in polycystic kidney disease?
Renal function typically remains intact till 4th decade of life Once it starts to decline, renal function starts to drop rapidly Roughly 4-6 ml/min/year 50% of patients reach ESRF by 60 yrs. Median age of ESRF with PKD1 mutations is 54 yrs. Median age of ESRF with PKD2 mutations is 74 yrs.
133
How is polycystic kidney disease likely to present? What are the extra-renal manifestations of polycystic kidney disease?
Renal manifestations - Hypertension - can occur before decline in eGFR - Haematuria - 35-50% of patients (more common than proteinuria) - Proteinuria - less common than haematuria, associated with worse prognosis - Renal failure - Flank pain secondary to cyst haemorrhage or cyst infection (urine MCS may be negative in cystic infection because cysts do not always communicate with collecting ducts. Quinolones have good penetration into renal cysts) - Calculi - UTI - Chronic pain syndrome Extra-renal manifestations of polycystic kidney disease 1. Hepatic cysts - occur in 80% of patients. Moderate - severe polycystic liver disease occurs in 15% patients More severe in postmenopausal patients Can present with early satiety, reflux, abdominal pain & bloating, ascites, oedema from IVC compression, chronic pain, cyst infection or rupture, biliary dilatation 2. Abdominal / inguinal hernia - 2nd most common extra-renal manifestations, 45% patients 3. Cerebral aneurysms -typically involve MCA, occur in 5% of young people, up to 20% of patients > 60 yrs -smoking cessation and BP & lipid control important 4. Cardiac Valvular disease - mitral prolapse, aortic regurgitation Cardiomyopathy, lVH, coronary aneurysms / dissection, aortic aneurysms / dissection. Consider addition of beta blockers to RAAS blockade. 5. Other Pancreatic cysts - up to 35% patients, associated with benign tumour IPMN Seminal vesicle cysts Colonic diverticular disease
134
What is the diagnostic criteria for polycystic kidney disease? How can you exclude diagnosis of polycystic kidney disease?
USS show bilaterally enlarged kidneys with DIFFUSE cysts involving the cortex & medulla. MRI is more sensitive than USS, particularly in young patients. If positive family history - age 15 - 39 yrs. - need 3 or more cysts in total for diagnosis - age 40 - 59 yrs - 2 or more cysts in each kidney - >60 yrs - 4 or more cysts in each kidney If no family history - bilateral renal enlargement and >10 cysts in each kidney Exclusion of diagnosis is an important consideration for living related donors - no cysts on USS by age 40 yrs. - <5 cysts on MRI by age 40
135
What is the differential diagnosis for autosomal dominant polycystic kidney disease? What are the distinguishing features?
1. Mild benign cysts - kidney size normal 2. Acquired renal cystic disease - history of lithium use, dialysis. Kidney size is small or normal 3. Autosomal dominant tubulointerstitial kidney disease - if cysts present will typically spare cortex, kidneys not enlarged 4. Autosomal recessive kidney disease - mutation in PKHD1, more severe - 30% fatal at birth, associated with congenital hepatic fibrosis and portal hypertension 5. Tuberous sclerosis - can be comorbid with PCKD, associated with earlier renal failure, can have cysts & angiomyelolipomas in kidneys, astrocytomas and seizures 6. VHL - risk of clear cell RCC that can develop from renal csysts 7. Multicystic dysplasic kidney - most common type of paediatric renal cystic disease