Renal Flashcards

(5 cards)

1
Q

Espacios Renales.

A

Síndrome wubderlich: Hemorragia renal espontánea no traumática en el espacio subcapsular o perirrenal.

How well did you know this?
1
Not at all
2
3
4
5
Perfectly
2
Q

Rotura Fornix Renal.

A

La liberación de presión ocurre en los fornices.

How well did you know this?
1
Not at all
2
3
4
5
Perfectly
3
Q

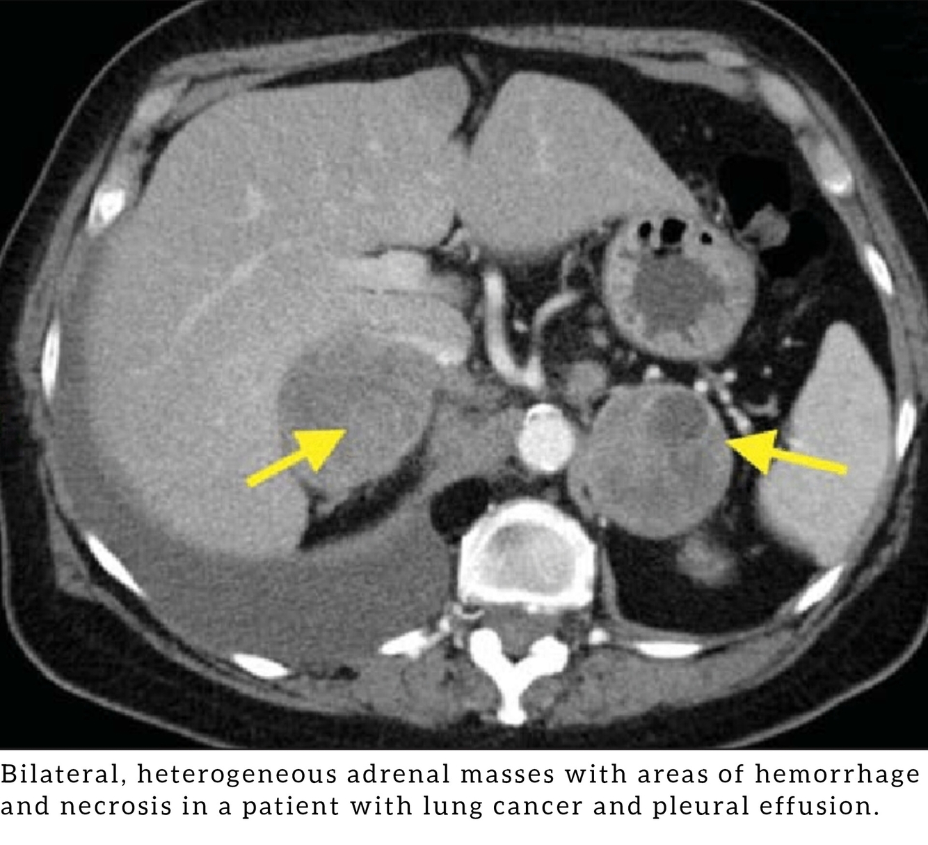
Metástasis suprarrenales.

A
  • Pulmón.
  • Mama.
  • RCC.
  • Melanoma.
  • Linfoma.
  • Gastrointestinal.

Las metas son la causa más común de masas suprarrenales bilaterales.

DDx: Feocromocitoma, bilateral en un 10% de los casos.

How well did you know this?
1
Not at all
2
3
4
5
Perfectly
4
Q

Masas Suprarrenales I
(TC a los 15 min para ver lavado).

A

Adenoma:
- Rico en lípidos: <10 UH o caída de señal en fuera de fase.
- Bajo en lípidos: Washout: Absoluto > 60% relativo > 40%.

Mielolipoma:
- Grasa macróscopica (no baja señal en T1 op, pero si en FS).
- DDx: Carcinoma suprarrenal, Liposarcoma, Teratoma.

How well did you know this?
1
Not at all
2
3
4
5
Perfectly
5
Q

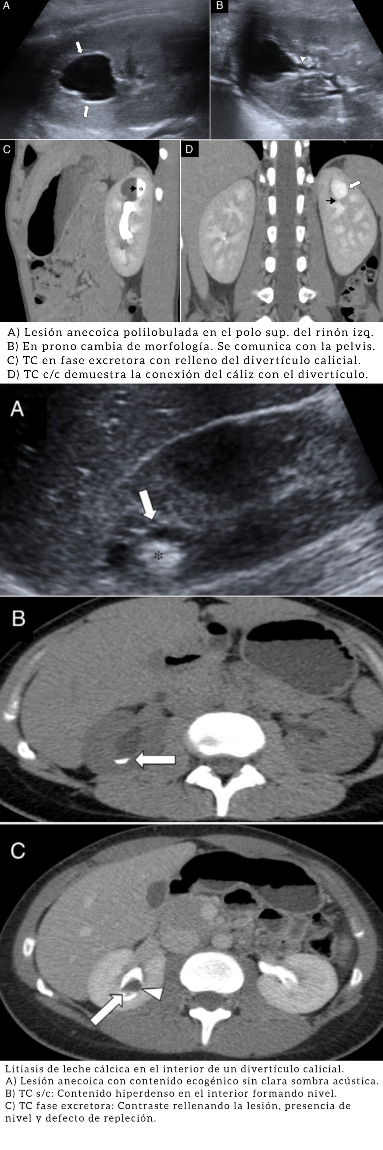
Divertículo Calicial.

A

Eventración quística intraparenquimatosa tapizada por epitelio celular transitorio con una estrecha conexión infundibular con los cálices o pelvis (término más exacto es divertículo pielocalicial).

Infradiagnosticado por confundirse con quistes; el dg confirma con
TC/RM) en fase excretora.

How well did you know this?
1
Not at all
2
3
4
5
Perfectly