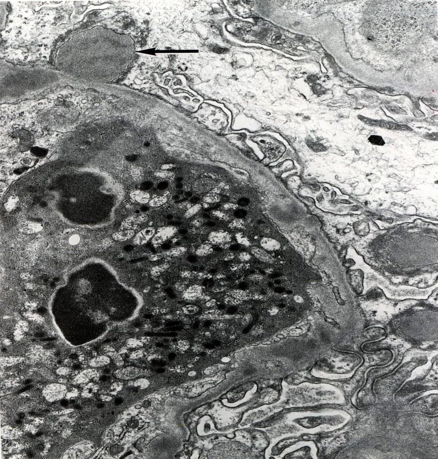
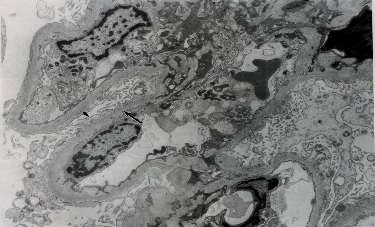
What is seen in this photo?
“frog head”

Arrow is pointing to subepithelial side with a “hump”
(to dx acute post strep GMN)
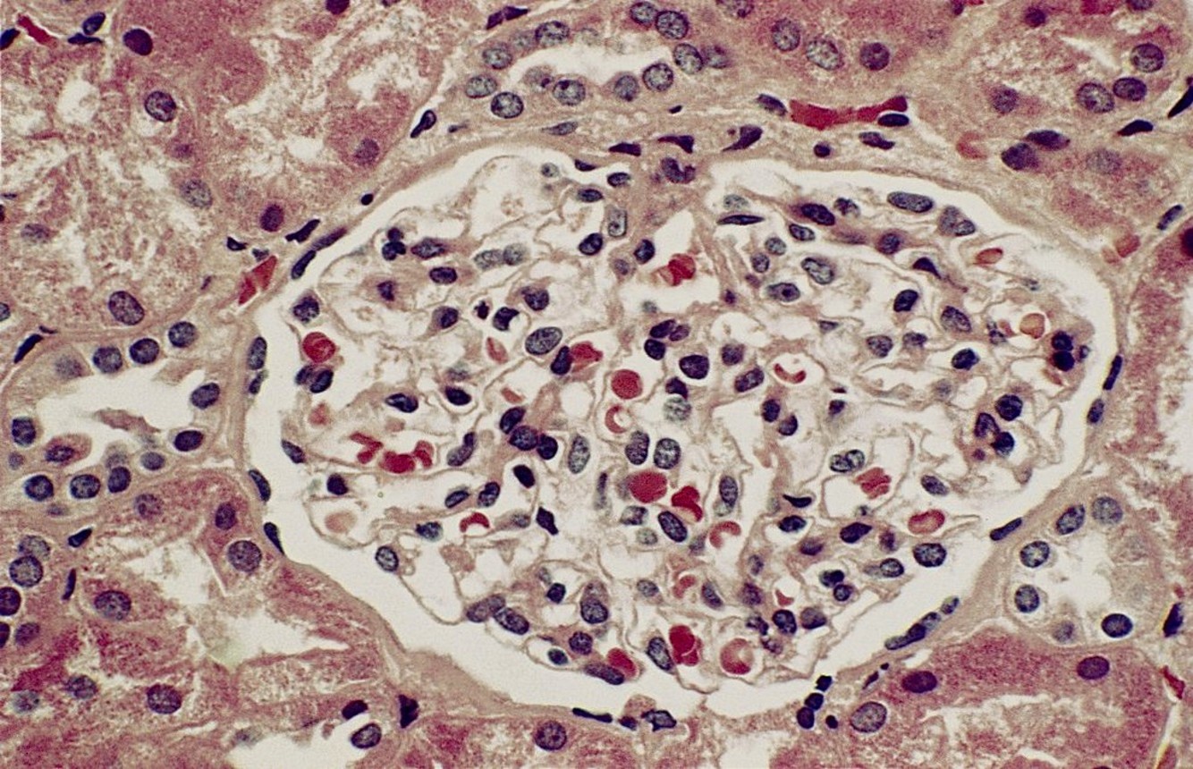
What type of stain is this?

Classic case of what?:
Acute Post-Strep GMN
(sxs of nephritic syndrome)
What are the 4 sxs of pt w/ nephritic syndrome / Post strep GMN?
95% of children recover from Acute Post-Strep GMN / Nephritic Syndrome, and only 1 - 2 % will develop what?
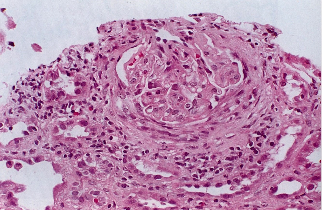
Rapidly Progressive GMN
Patients who have Rapidly Progressive GMN will develop what?
Crescent Formation
Bowmans capsule compressing the tuft. Both kidneys will die within hours. Must get dialysis quickly or pt will die.
Crescent Formation of Acute Post Strep GMN / Rapidly Progressive GMN

Crescent Formation
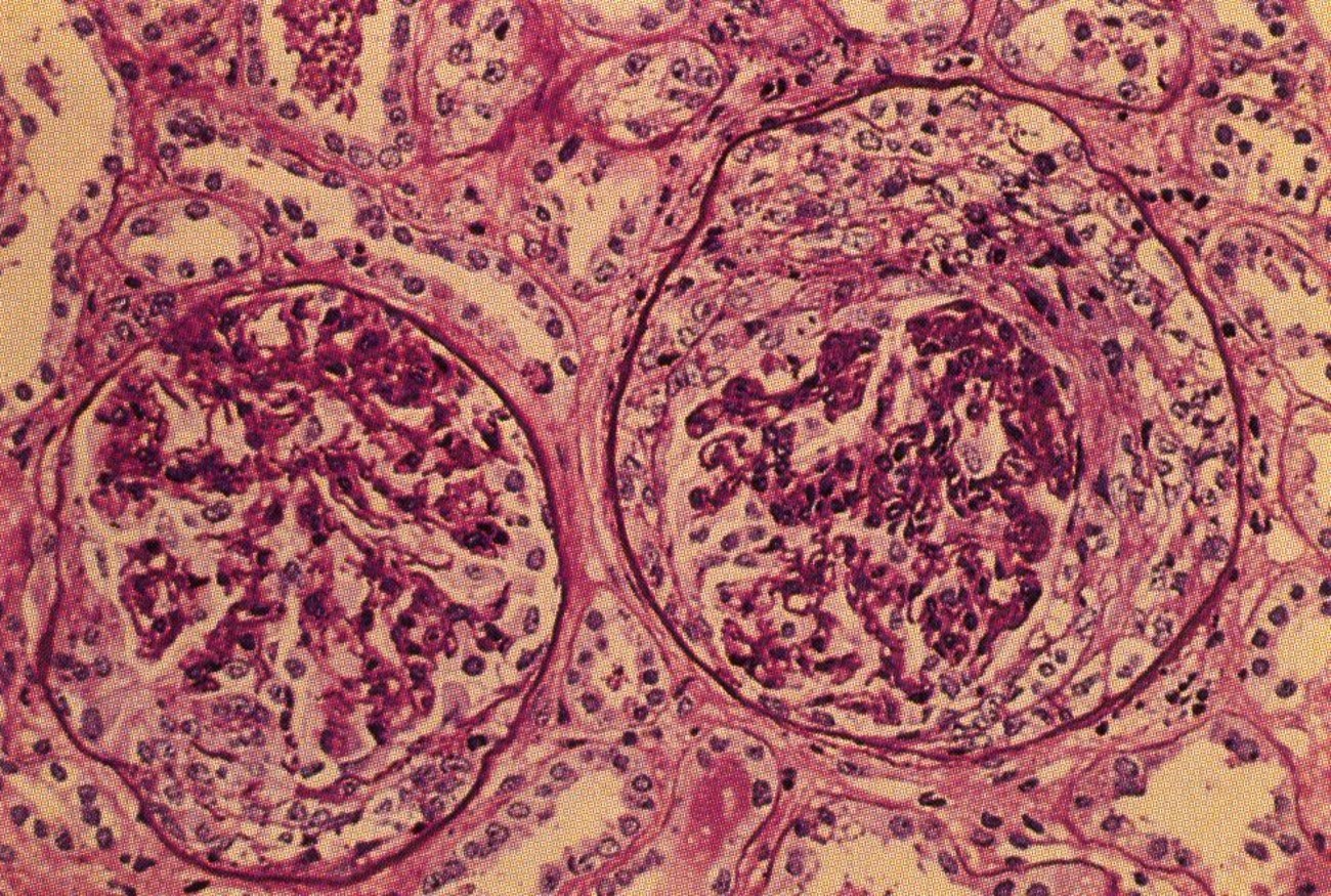
Usually occurs after focal necrosis of the glomerular capillaries in diseases such as Goodpastures Syndrome
Rapidly Progressive (Cresentic) GMN
Which condition does NOT lead to crescent formation?
Minimal Change Disease (Nils)
How are crescents formed?
Inflammatory cells surround the compressed capillary loops in the form of a crescent moon

Crescentic Glomerulonephritis
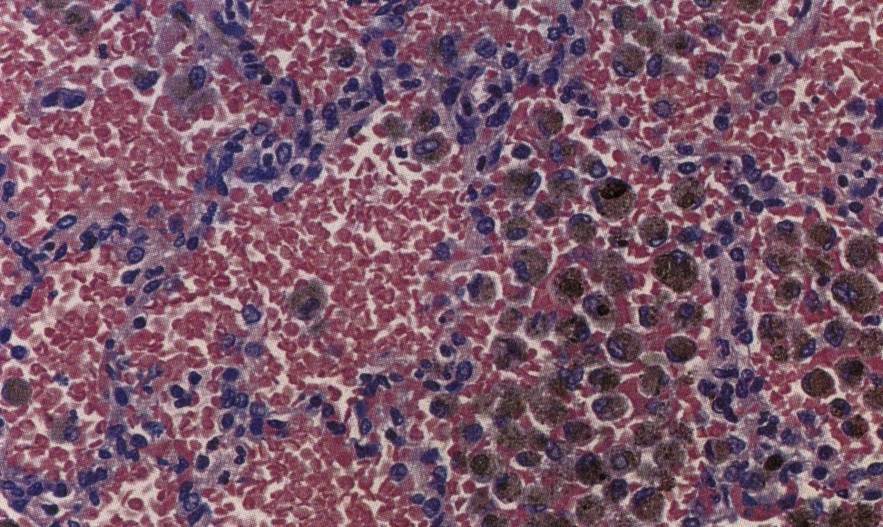
Goodpastures Syndrome

Goodpastures Syndrome w/ intra-alveolar hemorrhage
(brown macrophages in the lungs bc/ of iron)

“ribbon pattern”
W/ Goodpastures Syndrome, no blood is flowing through the compressed capillary loops, so what results?
Glomerular filtration ceases, causing anuria
What 4 conditions lead to crescent formation?
Minimal Change Disease (Nils)
“Jigsaw Puzzle”

“stained glass”

Minimal Change Disease (Nils)
Stained Glass

Minimal Change Disease