If you see red cell casts, where is the blood coming from?
Glomerulous
If you see cellular casts, what has happened?
Acute Tubular Necrosis
What if you see granular casts?
Meh. Less specific.. could be tubular cells, white cells….
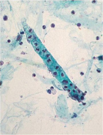
What’s this?

Red Cell Cast
Indicates Nephritic Syndrome
What is this?
What does it mean?

White cell cast
Indicates Infection in kidney (because formed cast)
What’s this?
What does it mean?

Lipid cast (with characteristic maltese cross)
Indicates Nephrotic Syndrome
What’s this?
What does it mean?

Epithelial cell cast
Indicates Acute Tubular Necrosis
What might it mean to see broad casts?

Probably Chronic Renal Failure
Azotemia vs Uremia
Azotemia = Increased BUN & Creatinine without disease
Uremia = same, but with disease. can affect any organ
What are the different causes of azotemia or acute renal failure?
BUN:Creatinine is >20:1
What is your dx?
Pre-renal Failure
Causes of Acute Pre-Renal Failure?
Sudden hypotension
Decreased perfusion
What is Nephritic Syndrome?
Renal failure with red cell casts
What is Rapidly Progressive Glomerulonephritis?
Nephritic Syndrome + Acute Renal Failure
What is the most common cause of nephritic syndrome?
Post-strep Glomerulonephritis
Cuases of Rapidly Progressive Glomerulo-Nephritis?
Why do you get edema in nephrotic syndrome?
Lose a lot of protein, albumin decreases with it.
Why do you get hyperlipidemia in nephrotic syndrome?
Liver makes more lipoprotein – trying to compensate for low protein
Will cause lipid cast formation
What if you see lots of eosinophils in a cast?
Probably drug reaction (Acute Intersitial Nephritis)
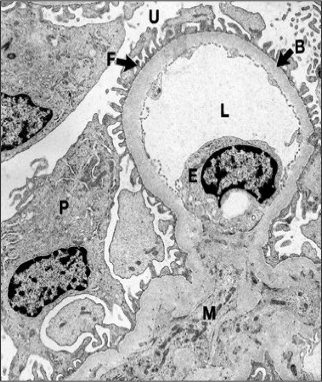
In what condition do you lose Foot Processes (F)?

Anything with Nephrotic Syndrome
How is it that you can sometimes get hematuria but not proteinuria?
Complex charges (basement mem has GAGs that are negatively charged– keep out proteins)
What stain is this?
What does it show?

Silver stain– shows membranes
What is this? What does it show?

Immunofluorescence– shows immune deposits
Types of Glomerulonephritis
Global: Entire glomerulus
Segmental: Part of glomerulus
Diffuse: >50% of glomeruli are affected
Focal: