Renal Path I Flashcards

(8 cards)

1
Q
A

Minimal Chase Disease

  • Effacement of podocyte food proceeses
  • Podocyte w/ an defect in the charge barrier
  • Children
  • Nephrotic => massive proteinuria
  • Responsive to steroid treatment
How well did you know this?
1
Not at all
2
3
4
5
Perfectly
2
Q
A

FSGS = Focal segmental glomerulosclerosis

  • Segmental solidification of glomerular tuft
  • Presence of hyalinosis and foam cells
  • Nephrotic => non-selective proteinuria
  • Usually steroid resistant
  • Genetic defect in nephrin
How well did you know this?
1
Not at all
2
3
4
5
Perfectly
3
Q
A

MGN = Membraneous Glomerulonephropathy

  • Immune complex mediated
    • Usually primary: anti-PLA2R antibodies
  • See electron dense immune complex deposits in the sub-epithelial space
  • Spikes on LM b/c the BM sticks up btwn ICs
How well did you know this?
1
Not at all
2
3
4
5
Perfectly
4
Q
A

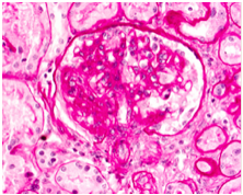
Crescentic GN on PAS

  • Crescents: outside the tuft is a cellular infiltrate
  • Messy, disorganized, and proliferative urinary space
  • Severe form of injury, not specific
  • Clinical correlate = RPGN (rapidly progressive GN)
How well did you know this?
1
Not at all
2
3
4
5
Perfectly
5
Q
A

Goodpasture’s GF

  • Picture also showing crescents (means disease is severe)
  • Green highlighting of the GBM = antibodies lining what is left of the GBM
How well did you know this?
1
Not at all
2
3
4
5
Perfectly
6
Q
A

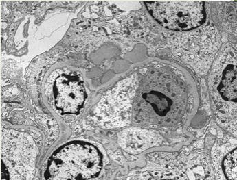
Post Infectious EM

  • Usually nephrotoxic strep, usually self-resolves
  • ICs and planted bacterial antigens cause activation of alternative complement pathway
  • Diffuse glomerular hypercellularity
    • Prolif of endothelial and mesangial cells
    • Infiltration of neutrophils and monocytes
    • => Occlusion of capillaries
  • EM: Subepithelial humps due to non-uniformly placed immune deposits into the sub-epithelial space
How well did you know this?
1
Not at all
2
3
4
5
Perfectly
7
Q
A

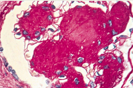
Diabetic GN H&E

  • Thickened GBM
  • Nodular pattern of mesangial scloerosis and thickened BM
  • Glomerular hypertrophy => podocyte loss
How well did you know this?
1
Not at all
2
3
4
5
Perfectly
8
Q
A

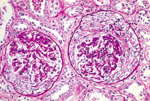
Diabetic GN on PAS

  • Thickened GBM w/ nodular glomerulosclerosis
How well did you know this?
1
Not at all
2
3
4
5
Perfectly