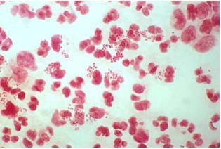
Woman presents to your office with vaginal discharge after having unprotected intercourse 3 months earlier. On physical exam there is some adnexal tenderness and a purulent discharge from the cervix. A sample culture from her vagina reveals the following:
What is her diagnosis and how should she be treated?

N. gonorrhea causing PID (recovered in 30-80% of cases)= gram-negative coccus in pairs. Produces endotoxin which attaches to fallopian tube–> narrowed lumen
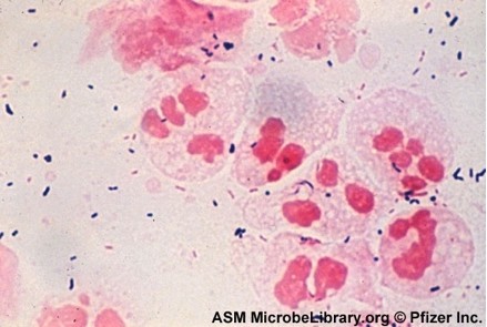
A newborn baby presents with conjunctivitis and pneumonia. The mother additionally has swollen Bartholin glands and acute urethritis. Upon physical exam of the mother there is a mucopurulent discharge from her cervix. A pap smear reveals the following:
What is her diagnosis and treatment and what are the complications of this infection?

Chlamydia trachomatis= most commonly reported STD (1 million cases/year). Obligate intracellular parasite; attaches to cervical cells and causes mucorpurulent discharge.
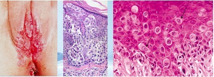
A woman comes to your office for her annual pap smear and you notice a large red lesion on her cervix. Your patient reports she has had unprotected sex in the last two months. When you ask the patient if she has had any discomfort during sex, she denies any discomfort in the urogenital region. You take a sample of the lesion and find the following:
What is the diagnosis, how is it treated and what are the complications?

Treponema pallidum (syphillis): initial lesion occurs at site of contact and is painless (chancre), causing vulvar, regional lymphadenopathy (3 weeks post-contact).
6 weeks to 6 months after chancre: Can lead to systemic symptoms, lesions (condyloma lata- shown below) which are highly infectious.
Tertiary syphillis can cause CV and CNS complications (can lead to death).
Diagnosis: corkscrew treponema pallidum, serology screen (VDRL/RPR), definitive testing (FTA-ABS/MHA-ATP)
Treatment: < 1 year= benzathine penicillin (tetracycline if allergic); must desensitize allergic patient if pregnant (tetracycline/doxycycline contraindicated in pregnancy)

A woman presents to your office with warty “cauliflower-like” painless lesions on her labia. She reports that she has used protection during sexual intercourse. What is her diagnosis and treatment? What are the major complications of this infection and how is it prevented?

Human papilloma virus.
Serotypes 6 + 11 cause genital warts: henign, exophytic; referred to as condyloma accuminatum (image). Babies born to women with active infection can develop respiratory tract papilloma
Serotypes 16, 18, (+31, 33, 45) can cause malignancies; express proteins that shut down cell regulation (need both to shut off to lead to malignancy). E6= p53, E7= pRb.
70% of cervical/vaginal, 80% anal, 40-50% vulvar malignancies caused by 16 and 18.
Prevention: HPV vaccine, no sexual contact
Treatment for external lesions: patient applied podofilox, imiquod; practicioner applied TCA, podophyllin, surgical removal
Treatment for cervical lesions= ablation (cryosurgery), excision (electrocautery), cold knife

A woman presents to your office with a low grade fever and an extremely painful cluster of blisters on her labia and around her vagina. She reports having unprotected sex with a new partner 1 week ago, but states that he didn’t have any visible sores or marks on his genitalia. What is the diagnosis, treatment, and complications?

Herpes simplex virus type 2 (more common on genitalia than Type 1. Most common STD in USA (50 million cases, 1 million new per year). 90% of carriers unaware they have the disease (can shed when not in active outbreak). Active outbreaks indicate C-section for delivery (or suppression if possible)
Testing: Culture misses most cases; PCR most accurate (not approved as test in USA)
Primary outbreak= parasthesias of vulvar skin, painful shallow lesions, generalized malaise, fevers, 3-7 day incubation period
Treatment: Acyclovir (400mg 3x/day for 7 days), Famciclovir (2540 mg 3x/day for 7 days) or Valacyclovir (1 g 2x/day for 7 days)
Recurrent outbreak: less severe, related to stress, menses, etc (50% of cases recur in 6 months). Must treat within 1 day of symptoms/prodrome for treatment to benefit.
Treatment: more than 6 occurences per year (decreases outbreaks by 75%)

Lymphatic drainage of female genitalia:
Vulva
Vagina
Uterus
Vulva, distal 1/3 vagina= inguinal
Proximal 2/3 vagina, uterus= internal
* Patterns of infection spread, metastatic spread vary based on lymphatic drainage

Normal vulva skin
A post-menopausal woman comes to your clinic complaining of dyspareunia (pain on sex) and vaginal dryness and itchiness. On clinical exam, her external genitalia appears dry, there is pigmentation loss, and evidence of scratching. What is her diagnosis, what is the treatment, and what are the complications of her condition?

Lichen sclerosis: inflammatory disorder of vulva, seen mostly in post-menopausal women. Associated with autoimmune disorders (vitiligo, pernicious anemia, thyroiditis). See whitish plaques, atrophy, parchment-like skin.
Histology: hyperkeratosis of vulvar skin, loss of rete ridges, devleopment of acellular homogenous zone of superficial dermis
Treatment: topical steroids (for itching), lubricant (for intercourse), topical estrogen cream
Complications: 15% risk for subsequent squamous cell carninoma of vulva

A woman with a recently diagnosed STD comes to your office complaining of swelling and pain in her labia. On exam you notice swelling on her labia near the introitus. What is your diagnosis and treatment?

Bartholin gland cyst: Bartholin glands produce mucoid secretions to lubricate vestibule. May become obstructed, secondarily infected with STD (chlamydia, e. coli, staph) and form abcess.
Treatment: Incision, drainage, antibiotics
An older woman is referred to your for biopsy of vulvar tissue (below). What is the condition and what may have caused it? What are the complications?

Vulvar intraepithelial neoplasia: preneoplastic condition that can lead to squamous cell carcinoma
3% of all gyn cancers, typically seen in women >60 years
70% unrelated to HPV (like this example) more likely to progress to carcinoma than HPV-type
~25% related to HPV (below) serotype 16. See koilocytes, warty basaloid cancer (caused by “high risk” HPV 16)
Grading system: I= mild (least atypia), II= moderate, III= severe (but still non-invasive)

A non-sexually active post-menopausal woman presents with a lesion on her vulva (pictured below). Based on histology, what is her diagnosis, and what may have caused this?

Vulvar squamous cell carcinoma: tumors exophytic or ulcertive (can invade neighboring structures- vagina, rectum). Can spread to inguinal, femoral, pelvic lymph nodes.
See keratin pearl formation
*Verrucous carcinoma= caused by HPV 6 or 11; well-differentiated, grows slowly, better prognosis
An older woman comes to your office complaining of an itching/burning sensation in her vagina with no history of recent sexual contact. On exam, the skin appears red, moist, and there is a sharp demarcation between affected and unaffected skin. What does she have and what are her risk factors?

Extramammary Paget Disease: seen in older women. Histology: large, atypical cells with abundant clear cytoplasm (abundant mucin)- infiltrate adnexa and skin.
*Rarely associated with underlying carcinoma
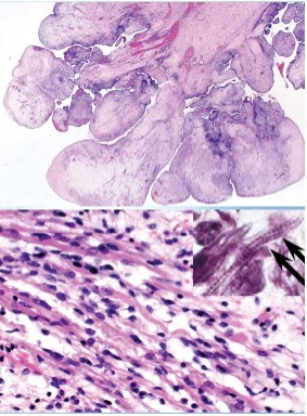
A mother is very concerned about her 2 year old girl that she has brought to your clinic. She says that while changing her diaper she noticed some bleeding, redness and swelling around her daughter’s vagina. You examine the girl and find the following:
What is your diagnosis and how is it treated?

Embryonal rhabdomyosarcoma: rare condition presenting in girls under 4 years. See vaginal bleeding.
Tumor= polypoid, derived from mesenchymal cells; spindle cells containing cross-striations (histology) indicating skeletal muscle origin
Tumor can metastasize- need to treat with radical surgery, chemotherapy

You recieve the following tissue biopsy from a 75 year old woman. The biopsy was taken from the upper third of her anterior vaginal wall. What is your diagnosis and what is the prognosis?

Vaginal squamous cell carcinoma= most common malignancy of the vagina (90%). Often arises from pre-existing vaginal intraepithelial neoplasia (VAIN).
Peak incidence in 70s and 80s
May correlate to HPV infection
Prognosis is related to timing of diagnosis (staging)

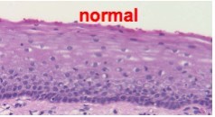
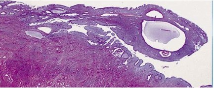
Normal Ectocervix
A young woman is in your office for a pap smear. Upon examining the cervix, you note that it is hyperemic and has points of focal erosion. On histologic specimen, this is what you see:

Chronic cervicitis: chronic exposure to bacteria in the vagina (STDs). Mucosa hyperemic, focal erosion visible, lymphocytes and plasma cells with germinal centers, squamous metaplasia.
*Infection can eventually invade glandular tissue


Endocervix: note glands (beyond transition zone)
This is where HPV infections can penetrate into the cervix (no squamous epithelium blocking passage into basal cells where HPV infections live

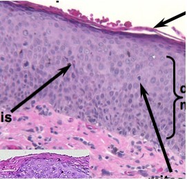
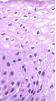
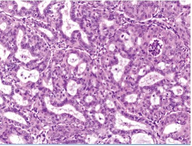
Here is a histologic sample of the cervix of a sexually active young woman. What is notable about the sample?

Koilocytes from HPV infection: HPV has invaded basal cells. Crinkled, irregular nuclei with “normal maturation” of cells. Contrasting from normal:

A woman presents to your office with a slightly bloody vaginal discharge. Upon examination you notice there seems to be small nodules within the endocervix. What is your diagnosis?

Endocervical polyps= benign, arising within endocervix; can cause vaginal bleeding or discharge. Polyps lined with mucinous columnar epithelium with foci of squamous metaplasia, mucosal erosion
Treatment: excision, curettage

A pathologist has just recieved a sample from a young sexually active woman who had a biopsy of her endometrium taken following concern about irregular bleeding. The pathologist is confused about the prognosis of the individual based on the histologic sample. What information was he not given?

Microglandular hyperplasia= benign but often confused with well-differentiated adenocarcinoma. Normal in pregnancy or when taking OCP (progesterone enhanced states).
Closely packed glands with no intervening stroma, neutrophilic infiltrate
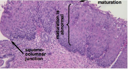
The following sample was taken from the cervix of a 35 year old woman. What is the diagnosis and treatment?

Cervical in situ neoplasia: Squamous neoplasia arizing at the squamocolumnar junction (transformation zone)
Invasiveness peaks between age 40 and 60, while in-situ (CIN) is in patients under 40
The most common cause is HPV infection (16 and 18), correlating with multiple partners and early age of coitus, cigarette smoking. HPV in 70% invasive squamous carcinomas
Low grade CIN= episomal virus replicates and accumulates in cytoplasm–> koilocyte; causes cell death
High grade CIN (below)= virus integrates into genome–> viral protein production–> inactivation of tumor suppressor genes (p53 and pRb) * takes ~ 10 years to progress from low to high grade
Treatment: culposcopy/removal of lesion tissue to prevent progression
Prognosis: 90% survival in developed nations

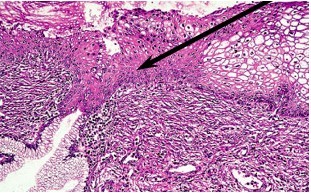
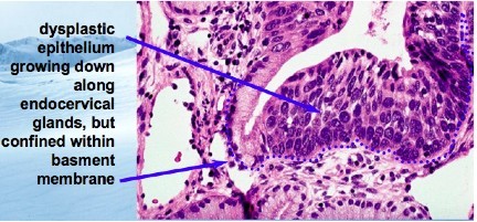
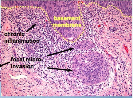
What is the concern regarding the histologic specimen below?

Microinvasive carcinoma: small nests of cells just barely penetrating epithelial basement membrane. Can invade vessels or metastasize to lymph nodes.
A woman presents to your office for a pap smear after not having one for 10 years. She noticed some bleeding and discomfort with intercourse. Upon exam, you find the following:

Fully invasive carcinomas are exophytic/ ulcerating, and can be keratinizing or non-keratinizing. It can invade adjacent structures (parametrium, bladder, rectum) causing ureter obstrauction and fistula formation. Lymph spread to paracervical, hypogastric, external iliac lymph nodes

Following a diagnosis of cervical cancer, a biopsy is taken from a 60 year old woman and the following histopathology is found. What has occured and what is the prognosis?

Adenocarcinoma: typically arives from the transition zone and extend into endocervical canal. High grade CIN is present in ~40% of cases.
Survival rates are lower than squamous cancers.
Mean age= 56 years