Residency - Bladder Flashcards

(30 cards)

1
Q

The cellular thickness of the bladder epithelium depends upon. . .

A

. . . how distended the bladder is

As low as ~2 cells when distended,
As many as ~7 cells when nondistended.

How well did you know this?
1
Not at all
2
3
4
5
Perfectly
2
Q
A

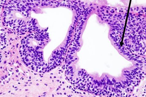
Von Brunn nests

Invaginations of the surface urothelium into underlying lamina propria. Normal urothelium thickness & cytology. Round shape (not infiltrative), uniform size

You should be thinking urothelial carcinoma if instead there are many small nests of irregular size that are stacked on-top of one another.

How well did you know this?
1
Not at all
2
3
4
5
Perfectly
3
Q
A

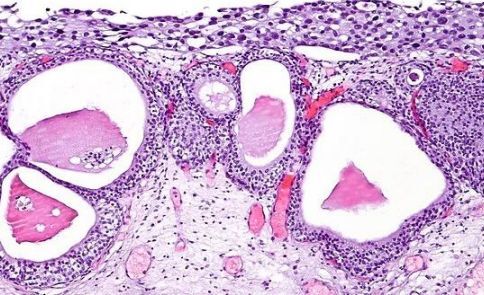
Cystitis cystica

Note how the lining looks similar to Von Brunn nests. . . that’s because it is!

These are just cystically dilated Von Brunn nests

How well did you know this?
1
Not at all
2
3
4
5
Perfectly
4
Q
A

Cystitis glandularis - foveolar type

Similar to cystitis cystia, this is a Von Brunn nest that has undergone non-neoplastic change. It is a form of metaplasia found in the bladder. There is also a more intestinal/acinar type.

How well did you know this?
1
Not at all
2
3
4
5
Perfectly
5
Q
A

Cystitis glandularis - Intestinal/acinar type

Similar to cystitis cystia, this is a Von Brunn nest that has undergone non-neoplastic change. It is a form of metaplasia found in the bladder. There is also a foveolar type.

How well did you know this?
1
Not at all
2
3
4
5
Perfectly
6
Q

General things to know about urothelial tumors

A

More common in older males

Present as painless hematuria

90% in the bladder, 10% in upper urinary tract

May be multifocal

How well did you know this?
1
Not at all
2
3
4
5
Perfectly
7
Q

Cancers with the highest mutation rates

A
  1. Lung cancers
  2. Urothelial cancers
How well did you know this?
1
Not at all
2
3
4
5
Perfectly
8
Q

Pathways to urothelial carcinoma

A
  1. The large chromosomal alteration pathway
    * Large loss/gain of chromosomal material
    * Tends to occur in higher-grade lesions
  2. Recurrent mutations
    * TP53 deactivating, FGFR3 activating, TERT promoter activating
    * Less common - PIK3CA, RB1, HRAS
How well did you know this?
1
Not at all
2
3
4
5
Perfectly
9
Q

Lynch syndrome-associated urothelial carcinoma

A

Tend to be in the upper urothelial tract

Especially MSH2 mutated Lynch syndrome

How well did you know this?
1
Not at all
2
3
4
5
Perfectly
10
Q

When approaching a suspected urothelial carcinoma, you first want to divide it into:

A

Flat or Papillary

Flat lesions may just appear as patchy erythema on cytoscopy. Tend to have high-grade nuclear features. Loss of polarity, increased cytoplasmic eosinophilia. Do NOT need to be full-thickness, and may exhibit Pagetoid spread.

Papillary lesions will appear . . . papillary. Their pathology can vary more widely, from non-malignant to high-grade.

How well did you know this?
1
Not at all
2
3
4
5
Perfectly
11
Q

When you see a flat urothelial lesion with dysplasia, you need to make the judgement call. . .

A

. . . is it CIS or is it just dysplasia?

There are no hard guidelines for this. It is a judgement call. Tremendous inter-observer variability.

How well did you know this?
1
Not at all
2
3
4
5
Perfectly
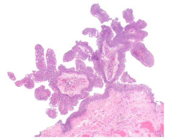
12
Q

Approach to papillary urothelial neoplasms

A
How well did you know this?
1
Not at all
2
3
4
5
Perfectly
13
Q

The main categories of papillary urothelial neoplasm

A
How well did you know this?
1
Not at all
2
3
4
5
Perfectly
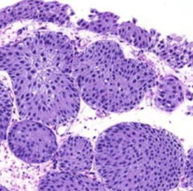
14
Q
A

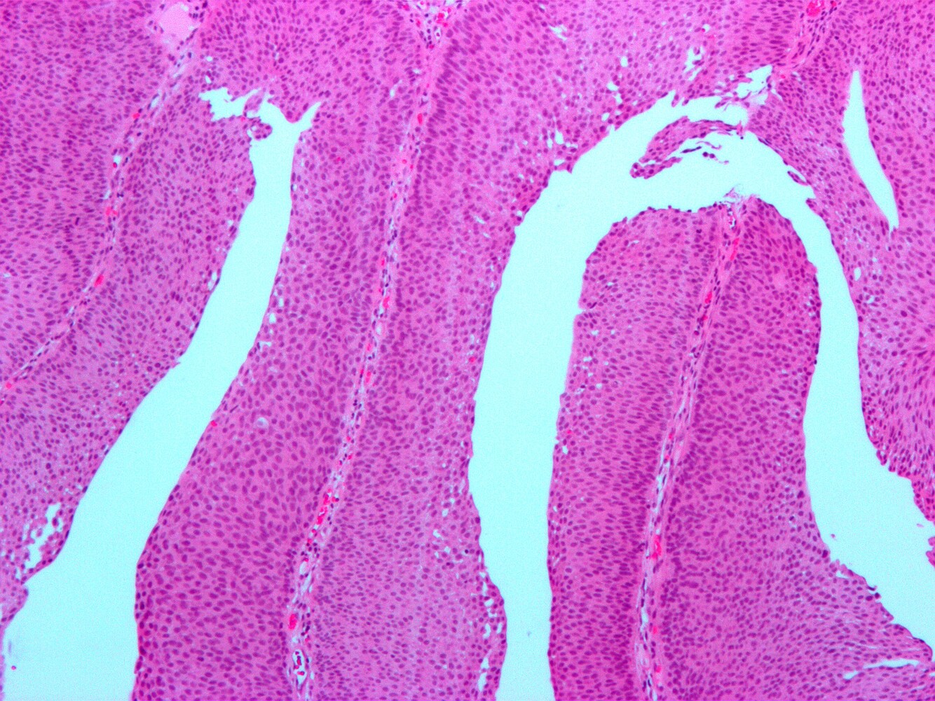
Urothelial papilloma

Note that while it is definitely papillary, the normal epithelial thickness is preserved.

10% will recur, but only 1% will progress to a carcinoma.

Treated with TURBT

How well did you know this?
1
Not at all
2
3
4
5
Perfectly
15
Q
A

Papillary urothelial neoplasm of low malignant potential (PUN-LMP)

Papillary lesion of slightly increased thickness with minimal atypia that is consistent throughout the lesion. Monotonous appearance with preserved cellular polarity.

How well did you know this?
1
Not at all
2
3
4
5
Perfectly
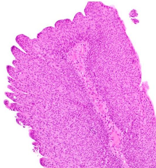
16
Q
A

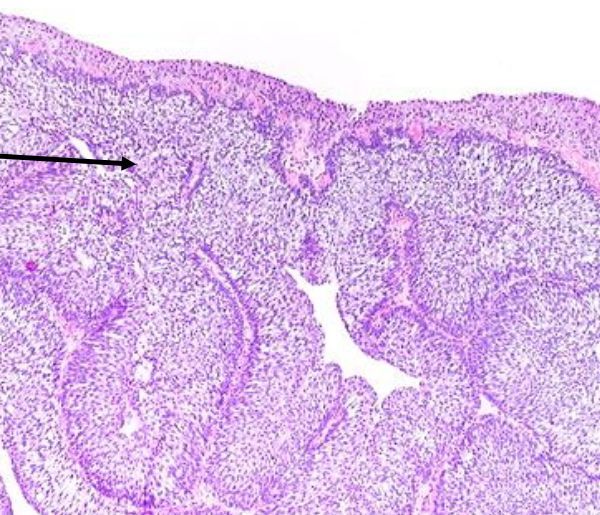
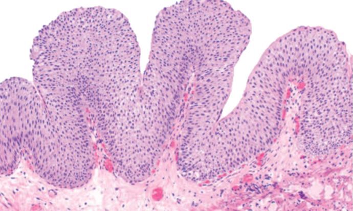
Non-Invasive Papillary Urothelial Carcinoma - Low Grade

Relatively delicate papillae with extensive branching. Relatively orderly, but with some variation at high-power.

Mild to moderate nuclear pleomorphism. Any thickness, but often thicker than normal. Cellular polarity is maintained.

Grade based on highest-grade component (at least if >5%)

Recurrence rate ~30%; Treat with TURBT & surveillance

17
Q
A

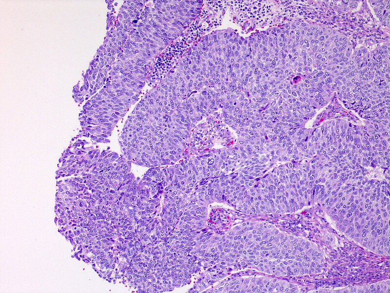
Non-Invasive Papillary Urothelial Carcinoma - High Grade

Disordered appearance with both architectural and cytologic
abnormalities. Loss of cell polarity and irregular spacing and nuclear overlap, often discohesive. Often fusion of papillae.

Nuclear pleomorphism, hyperchromasia, clumped chromatin. Sometimes prominent nucleoli.

Recurrence rate ~50%; Treat with TURBT & surveillance

18
Q
A

Urothelial Proliferaiton of Uncertain Malignant Potential (U-PUMP)

Markedly thickened urothelium (> 10 cells).

No or minimal atypia, but increased cell density. Unlike papillary lesions, there are no true papillary fronds with fibrovascular
cores. Instead, there are just undulating mucosal folds.

This is a clonal neoplasm, and may be early pre-cursor to low grade papillary urothelial carcinoma (often at the “shoulder” of these lesions).

Followed clinically.

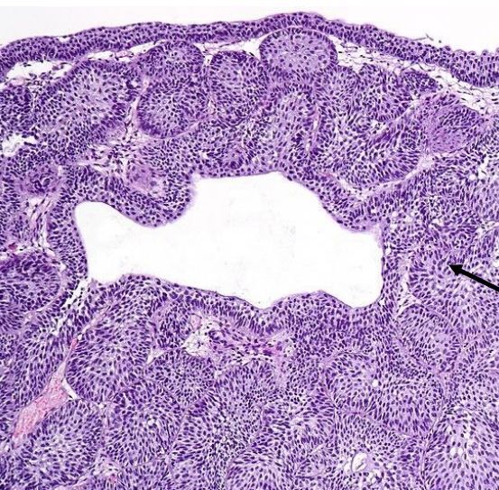
19
Q
A

Oh my god, is that cancer?!

Nope, just an inverted urothelial papilloma.

Note how benign and bland the individual cells look. Typically 5-10 cells thick with a smooth stroma-epithelial interface and no stromal reaction.

There may also be some cystic lesions, like cystitis cystica associated with Von Brunn nests.

20
Q
A

Inverted Papillary Urothelial Carcinoma

To differentiate from simple inverted papillomas, these are >10 cells thick, have a more nodular and expansile growth pattern, and display more cytologic atypia and more mitoses.

21
Q

Variants of invasive urothelial carcinoma

A

Squamous (either keratinizing or intercellular bridging - makes up 50% of IUCs)
Glandular (makes up 20% of IUCs, often with enteric immunophenotype)
Trophoblastic (giant cells resembling trophoblasts that may also secrete hCG!)
Plasmacytoid (also CD138+!)
Micropapillary
Nested
Lymphoepithelial-like
Sarcomatoid (sometimes with heterologous differentiation, like osteosarcoma)

22
Q

The big decision to make once you have an invasive bladder carcinoma

A

Is there muscularis propria invasion?

If so, this buys the patient stage T2, a cystectomy, and chemotherapy.

If < T2, then the patient gets conservative treatment with TURBT

23
Q

Primary urothelial squamous cell carcinoma

A

So this is kind of a confusing topic.

A pure SCC of the bladder has no urothelial components whatsoever.

Generally, SCC of the bladder is pretty rare in the US, but is more common where Schistosomiasis is endemic (Africa, Middle East). More generally, chronic bladder inflammation is the major risk factor.

24
Q

Neuroendocrine tumors of the bladder

A

Small cell neuroendocrine carcinoma —same as pulmonary (and other organ) small cell carcinoma. Frequently associated with traditional urothelial carcinoma (that then de/transdifferentiates). Can express TTF1. Aggressive.

Large cell neuroendocrine carcinoma—Very rare. Aggressive.

Well-differentiated neuroendocrine tumors—resemble those of the GI tract. Often have prominent pseudoglandular pattern (resembling cystitis cystica/glandularis). Often mucosal and excellent prognosis

25
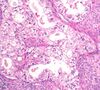
**Nephrogenic adenoma** These are often on the differential and you need to be able to tease them out. They are benign reactions to urothelial injury. May present in a **tubular**, **papillary**, or **fibromyxoid** architecture. Cells are often **hobnailed** and on a **thickened basement membrane**, with **no significant nuclear atypia.** IHC: **PAX8+**
26
**Villous adenoma** Histologically identical to colonic adenomas, with papillary architecture. May also progress to an adenocarcinoma, which can be hard to distinguish from a GI metastasis. β-Catenin strong nuclear reactivity in most colon cancers, but not in bladder adenocarcinomas. Other markers (e.g., CDX2) can be positive in both.
27
**Urachal carcinoma** Arise from urachal remnants. Often adenocarcinomas. Frequently intestinal-type and/or mucinous appearing **Four criteria:** 1) Location in **bladder dome** or **anterior wall** (midline) 2) **Epicenter in bladder wall** (not mucosal) 3) **Absence of widespread cystitis cystica** near tumor 4) Absence of other known primaries
28
**Clear cell carcinoma of the bladder** Derived from **pre-existing Müllerian precursors** (Accordingly more common in women, can also get endometrioid carcinomas). Most common in **urethra, bladder neck, and trigone.** Characteristic morphology: Abundant clear to eosinophilic cytoplasm. Severe cytologic atypia. Hyperchromatic nuclei. Varied architecture: Tubules, papillary, diffuse, etc.. IHC: **Positive** CAM5.2, CK7, PAX8, HNF1β, AMCAR **Negative** PSA, PSAP, p63, HMWCK, ER, PR, GATA3 Poor prognosis
29
Paraganglioma Presents with symptoms of catecholamine secretion. It is submucosal, since it is derived from paraganglion cells of the bladder. "Zellballen" pattern (aka balls of cells) with nests separated with a rich vascular network of sustentacular cells. Cells have amphophilic to acidophilic cytoplasm. IHC: **Synaptophysin/Chromogranin** positive in tumor cells; **S100/Sox10** positive in sustentacular cells. CK negative. GATA3 positive. Molecular: **Germline SDH mutations** present in some cases, associated with familial GIST. Often benign behavior if low stage, but can metastasize. Mostly a problem due to its endocrine effects.
30
**Polypoid cystitis** **Benign reaction** to an inflammatory insult, such as an indwelling catheter Submucosal edema, fibrosis, and inflammation → broad bulbous projections covered with reactive urothelium No epithelial branching, epithelial thickening, atypia or delicate cores, like in papillary neoplasms