Resp Flashcards

(55 cards)

1
Q

Pulmonary oedema mx

A
  1. Sit pt up, 2. Iv furosemide, 3.nitrate infusion OR morphine infusion if SOB+++
How well did you know this?
1
Not at all
2
3
4
5
Perfectly
2
Q

Asthma acute Mx

A
  • High flow 02
  • salbutamol nebulisers
    - ipratroprium bromide nebulisers
  • iv mgSo4
    – ICU ref/specialist
How well did you know this?
1
Not at all
2
3
4
5
Perfectly
3
Q

COPD mx (chronic)

A
  1. SABA or SAMA (e.g. ipratroprium)
    2.
    If steroid responsive: corticosteroid + LABA (fluticasone/salmeterol)
    If steroid unresponsive: LAMA + LABA (tioptoprium/salmeterol)
  2. LABA + LAMA _ ICS
How well did you know this?
1
Not at all
2
3
4
5
Perfectly
4
Q

When is BIPAP used?

A

T2 RF to facilitate CO2 exhalation
(IPAP > EPAP)

How well did you know this?
1
Not at all
2
3
4
5
Perfectly
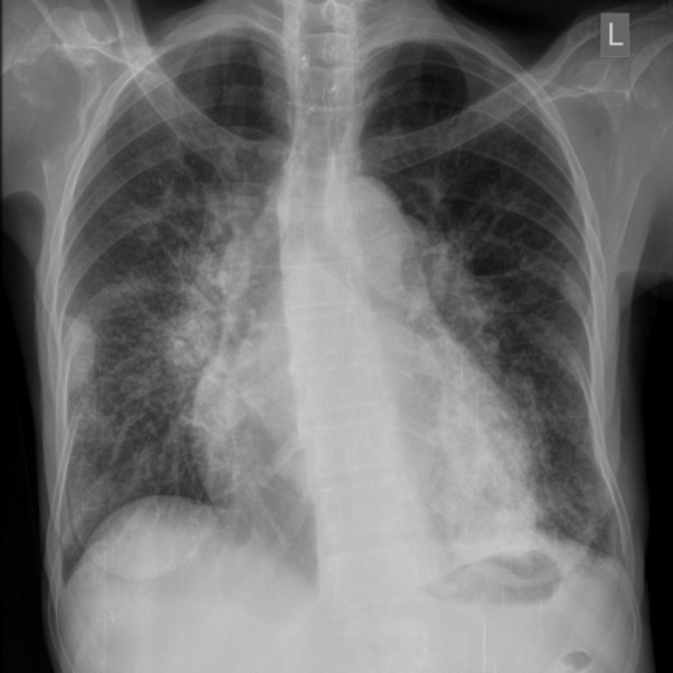
5
Q

Which resp disease is this?

A

Reticulo-nodular shadowing as in interstitial lung disease

How well did you know this?
1
Not at all
2
3
4
5
Perfectly
6
Q

Interstitial lung disease causative drugs

A
  • Nitrofurantoin
  • MTX
  • Amiodarone
  • Chemo drugs
How well did you know this?
1
Not at all
2
3
4
5
Perfectly
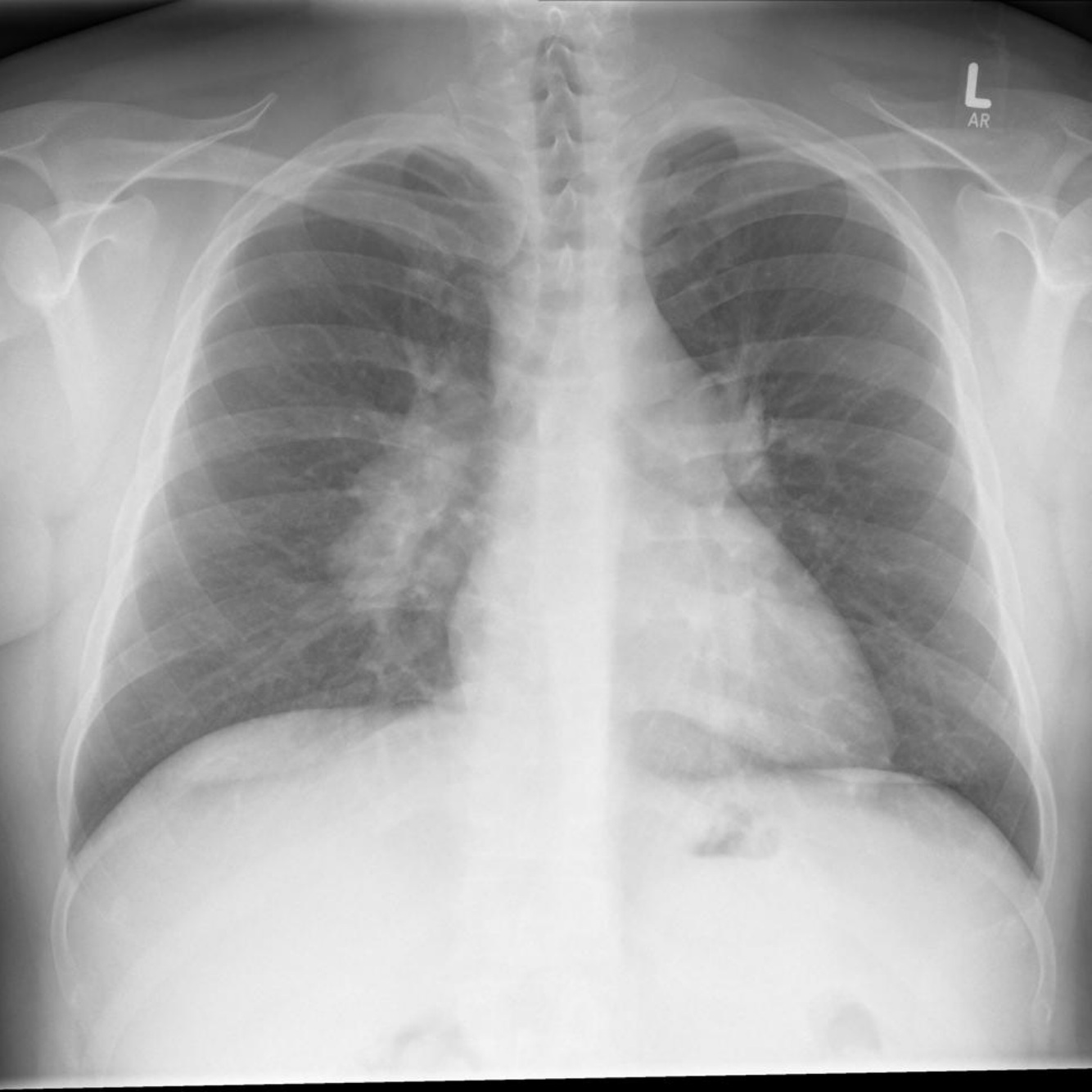
7
Q

What does this CXR show?

A

Bilateral hilar lymphadenopathy as in sarcoidosis

How well did you know this?
1
Not at all
2
3
4
5
Perfectly
8
Q

Features of sarcoidosis

A
  • Dry cough
  • Malaise
  • Hyperca features
  • Erythema nodosum
How well did you know this?
1
Not at all
2
3
4
5
Perfectly
9
Q

Biopsy results for sarcoidosis

A

Granulomas (clusters of macrophages, lymphocytes, etc.)

How well did you know this?
1
Not at all
2
3
4
5
Perfectly
10
Q

Myasthenic crisis and features

A

Acute resp failure where forced vital capacity (FVC) <1L + need for ventilators support
- Use of accessory muscles
- Weak cough

How well did you know this?
1
Not at all
2
3
4
5
Perfectly
11
Q

Severe pneumonia + multi focal consolidation initial Mx

A

IV Co-Amox and clarithro

How well did you know this?
1
Not at all
2
3
4
5
Perfectly
12
Q

What do for airway of an alert pt with respiratory acidosis

A

Non-invasive ventilation

How well did you know this?
1
Not at all
2
3
4
5
Perfectly
13
Q

Idiopathic pulmonary fibrosis features

A
  • Dry cough
  • Increasing SOBOE
  • Finger clubbing
  • On ausc, bibasal creps
How well did you know this?
1
Not at all
2
3
4
5
Perfectly
14
Q

Bronchiectasis features

A
  • Younger pt usually
  • SOB worsening
  • Productive cough
  • Recurrent chest infx during childhood
  • Bilat scattered wheeze
  • Coarse inspiratory crackles
How well did you know this?
1
Not at all
2
3
4
5
Perfectly
15
Q

Empyema
1) What that
2) Features
3) Ix
4) Mx

A

1) collection of pus in the pleural space
2) SOB, pleural effusion
3) Pleural effusion: purulent aspirate and microscopy shows growth
4) Chest tube (catheter thoracotomy) drainage

How well did you know this?
1
Not at all
2
3
4
5
Perfectly
16
Q

Obstructive sleep apnoea
1) Features
2) Mx

A

1)
- Heavy snoring
- Day time sleepiness ++ (Epworth sleepiness score)
- Often plus weight
2) - CPAP
- +/- weight loss & diabetes mx

How well did you know this?
1
Not at all
2
3
4
5
Perfectly
17
Q

TB
1) Features
2) CXR finding
3) Next diagnostic ix?

A

1) - Malaise
- Weight loss
- Haemoptysis
2) Consolidation with cavitation
3) Sputum microscopy

How well did you know this?
1
Not at all
2
3
4
5
Perfectly
18
Q

Pneumothorax v lobar collapse

A
  • Pneumothorax is more rapid onset with severe syx ++
How well did you know this?
1
Not at all
2
3
4
5
Perfectly
19
Q

Which gram negative bacteria is likely to be causing pneumonia in CF patient?

A

Pseudomonas aeruginosa

How well did you know this?
1
Not at all
2
3
4
5
Perfectly
20
Q

Lung ca w keratin pearls

A

SCC

How well did you know this?
1
Not at all
2
3
4
5
Perfectly
21
Q

Bronchiectasis and features

A

Abnormal widening bronchi -> excess mucous & damaged cilia
Productive cough + dull percussion

How well did you know this?
1
Not at all
2
3
4
5
Perfectly
22
Q

Abx for legionella

A

Clarithromcyin

How well did you know this?
1
Not at all
2
3
4
5
Perfectly
23
Q

Abx for klebsiella

A

Ceftriaxone/cefotaxime

24
Q

COPD acute mx

A
  1. ±O2
  2. Neb salbutamol + neb ipratropium bromide
  3. IV hydrocortisone + PO pred (5 days)
  4. Amox/co-amox
  5. Further support: aminophylline/ITU/NIV)
25
Asbestos plaques v mesothelioma
both conditions caused by asbestos - Mesothelioma is a Ca
26
What spirometry result represents a restrictive picture?
- FEV1/FVC normal or incr - FEV1 and FVC both proportionally reduced
27
What spirometry results represents an obstructive picture?
- FEV1/FVC<0.7 - FEV1 reduced
28
pneumothorax + (haemodynamically nstable OR bilat)
Chest drain
29
Primary pneumothorax <= 2cm
D/c and r/v in OPD
30
Primary pneumothorax >2cm
Needle aspiration
31
Done needle aspiration for pneumothorax, but not successful
Chest drain
32
Secondary pneumothorax >2cm
Chest drain + admit
33
Secondary pneumothorax 1-2cm
Needle aspiration + admit
34
Secondary pneumothorax <1cm
Admit (+observe 24h)
35
Tension pneumothorax cxr
airway deviate away from side of pneumothoraz
36
Tension pneumothorax mx
Needle decompreession - gret cannula -2nd ICS, MCL
37
Increased compliance of lung
emphysema (underlying COPD)
38
Where is needle aspiration done?
Triangle of safety Borders: - Front: pec major - Back: lat dorsi - Top: axilla - Bottom: 5th ICS
39
Where is chest drain inserted?
4th-5th ICS, MAL
40
Cor pulmonale features and ix
Features: peripheral oedema, raised JVP, loud P2 Ix: echo
41
How is pulmonary HTN defined?
Pulmonary artery pa >= 20mmHg
42
SCC of lung -> why hyperCa?
PTHrP release
43
Small cell lung Ca + muscle cell improving on repetitive movement
Lambert Eaton syndrome
44
Which Ab associated w Lambert eaton syndrome?
anti-voltage gated calcium channel
45
Breast ca or small cell lung ca + progressive muscle stiffness
Stiff man syndrome
46
Stiff man syndrome associated ab
Anti-amphiphysin
47
Symptomatic asthma
- Using SABA >=3/week - Cough/wheeze >= 3/weel - Nocturnal syx
48
Chronic asthma mx
1. SABA 2. SABA + low dose ICS 3. LTRA (montelukast) + low dose ICS 4. 1. Good resp to LTRA: LTRA + low dose ICS + LABA 4. 2. Min resp to LTRA: Low dose ICS + LABA 5. 1. LTRA + med dose ICS + LABA 5. 2. Med dose ICS + LABA
49
Severe asthma feature
- peak flow 33-50% - Inability to complete sentences
50
Life threatening asthma
- peak flow <33% - PaCO2 normal - silent chest
51
Near-fatal asthma feature
- Raised PaCO2
52
Ix for active and latent TB
Active - CXR & sputum Latent - Mantoux or interferon gamma assay
53
Alternative name for extrinsic allergic alveolitis
Hypersensitivity pneumonitis
54
Allergic bronchopulmonary aspergillosis features
- episodic syx of infx - elevated IgE - Flitting consolidation on XR - Bronchiectasis pic on xr (dilated central airways)
55
development of multiple round pulmonary nodules in patients with Rheumatoid Arthritis and a background of Coal workers pneumoconiosis
Caplan's syndrome