Respiratory Flashcards

(42 cards)

1
Q

Primary spontaneous pneumothorax conservative Rx
-Criteria
-Management

A

Criteria - haemodynamically stable (no hypotension/tachycardia/tachypnoea/hypoxaemia), no severe chest pain

Observe 4 hours
Discharge w/ safety net advice
Repeat CXR every 2 weeks until resolved
Refer to resp if still pressent after 8 weeks

How well did you know this?
1
Not at all
2
3
4
5
Perfectly
2
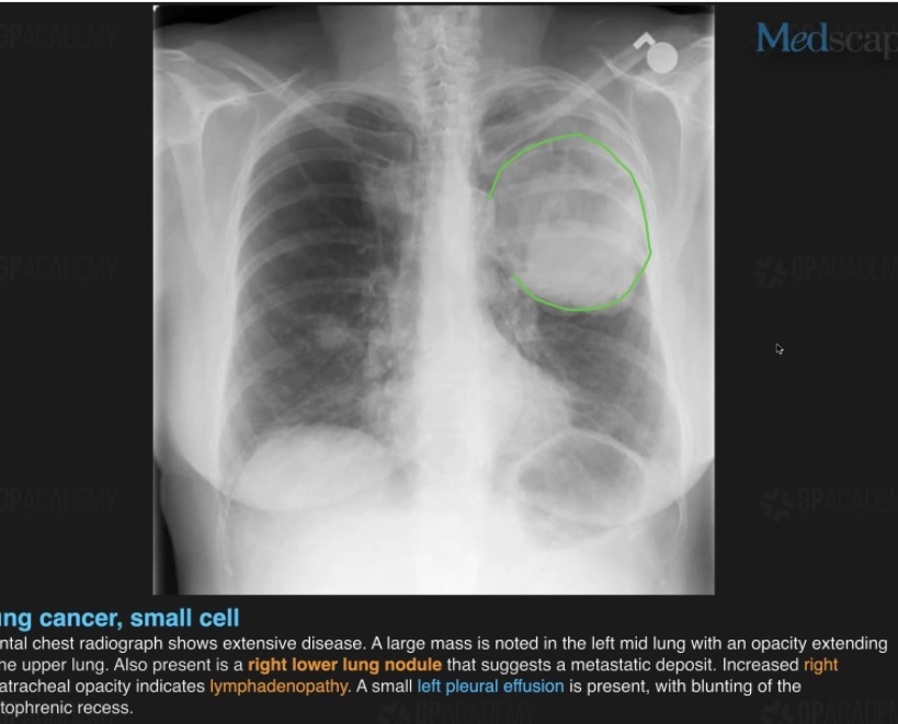
Q

?Type of lung cancer
-Central airways
-Smokers
-Rapid doubling time

A

Small cell lung cancer

How well did you know this?
1
Not at all
2
3
4
5
Perfectly
3
Q

Classification of severity levels of asthma (+features)

A

Mild/Moderate
-Can walk
-Speak whole sentences in 1 breath
-O2 Sats >94%

Severe
-Use of accessory muscles/tracheal tug
-Short phrases only
-Obvious resp distress
-Sats 90-94%

Life-threatening
-Redcued consciousness
-Cyanosis
-O2 Sats <90%
-Poor resp effort, absent breath sounds

How well did you know this?
1
Not at all
2
3
4
5
Perfectly
4
Q

LLN for FEV1 ratio

LLN for FEV1

A

LLN for FEV1 ratio >0.7
LLN for FEV1 >0.8

Ratio = the lower number

How well did you know this?
1
Not at all
2
3
4
5
Perfectly
5
Q

Updated change in most recent Asthma Handbook re: Adult/adolescent treatment?

A

Low-dose budesonide-formoterol as needed

(as alternative to maintenance low-dose ICS)

How well did you know this?
1
Not at all
2
3
4
5
Perfectly
6
Q

Bronchiectasis management principles (7)

A

Early recognition/treatment of infec exacs
Minimise exposure to resp infections
Airway clearance techniques - chest physio
Pulmonary rehab
Immunisation - pneumococcal/flu
Regu;ar exercise - maintain weight/muscle strength
Manage comorbidities

How well did you know this?
1
Not at all
2
3
4
5
Perfectly
7
Q

Pneumovax schedule for people >12mths (kids –> adults) diagnosed with at risk condition

A

1st dose Prevenar 13 at diagnosis
2nd dose Pneumovax 23 1 year later (or age 4, whichever later)
3rd dose Pneumovax 23 - 5 years later

How well did you know this?
1
Not at all
2
3
4
5
Perfectly
7
Q

Pneumovax schedule for people >12mths (kids –> adults) diagnosed with at risk condition

A

1st dose Prevenar 13 at diagnosis
2nd dose Pneumovax 23 1 year later (or age 4, whichever later)
3rd dose Pneumovax 23 - 5 years later

How well did you know this?
1
Not at all
2
3
4
5
Perfectly
8
Q

Pleural effusion DDx (transudate vs. exudate)

A

Transudate
-Heart failure (90%) of cases
-Nephrotic syndrome (hypoproteinaemia)
-Liver failure w/ ascites
-Constrictive pericarditis
-Hypothyroidism
-Ovarian tumour

Exudate
-Infection (bacerial penumonia, empyema, TB)
-Malignancy (bronchial Ca, mesothelioma)
-Lymphoma
-Sarcoidosis
-CTD (SLE,RA)
-Acute pancreatitis

How well did you know this?
1
Not at all
2
3
4
5
Perfectly
9
Q

Fitness to fly (based on Sats)

Resting sats <88% at sea level, long-term O2
Long-term O2 but sats correct w/ O2
Resting sats <92% or unable to walk 50m w/o stopping
Impaired exercise capacity (sats92-95%)
Good exercise capacity

A

Resting sats <88% at sea level, long-term O2 – should not fly
Long-term O2 but sats correct w/ O2 - high risk, needs to fly w/ O2 and increase flow rate by 1-2L/min
Resting sats <92% or unable to walk 50m w/o stopping - very likely torequire supplemental O2
Impaired exercise capacity (sats92-95%) - consider specialist referral for hypoxia challenge test
Good exercise capacity - safe to fly

How well did you know this?
1
Not at all
2
3
4
5
Perfectly
10
Q

PE Risk Factors (6)

A
  • Surgery
    • Acute/chronic medical illness (heart/lung disease, IBD etc.)
    • Cancer
    • Hormone factors (pregnancy, OCP, HRT)
    • Known thrombophilia
    • BMI >30, varicose veins, immobilisation/travel
How well did you know this?
1
Not at all
2
3
4
5
Perfectly
11
Q

When to Apply WELLS/PERC

A

Clinical suspicion of PE/DVT –> Wells Score, score >4 needs imaging (clinical signs/symptoms of DVT, PE most likely dx. or any other RF)

If Wells low risk –> PERC rule –> D-dimer –> imaging

How well did you know this?
1
Not at all
2
3
4
5
Perfectly
12
Q

PE management/dosing

A

Rivaroxaban 15mg BD 3/52 –> 20mg daily

Apixaban 10mg BD for 1/52 –> 5mg BD

How well did you know this?
1
Not at all
2
3
4
5
Perfectly
13
Q

Meds used for altitude illness prevention

A

Ibuprofen (600mg TDS) - High altitude headache
Acetazolamide 125mg BD
Dexamethasone 2mg QID or 4mg BD (not longer than 10 days)

All as per eTG + AJGP Article

How well did you know this?
1
Not at all
2
3
4
5
Perfectly
14
Q

Contraindications to high altitude travel

A

○ Severe COPD
○ Unstable asthma
○ Severe IHD, CCF
○ Pulmonary hypertension
○ Complicated pregnancy

How well did you know this?
1
Not at all
2
3
4
5
Perfectly
15
Q

Interstitial lung disease clin. features
+findings on HRCT
+findings on spirometry

A

Clin. features: prgoressive SOB, dry cough, reduced ET. Fine creps on ausc. Oxygen desat during exercise

HRCT - nodules, cysts, ground glass changes, honeycomb change, traction bronchiectasis, septal thickening

Spirometry: Normal FEV1 ratio, low FVC, low FEV1, reduced lung volumes

How well did you know this?
1
Not at all
2
3
4
5
Perfectly
16
Q

COPD spirometry diagnosis
+what is a positive bronchodilator response?

A

FEV1/FVC ratio <0.7
FEV1<80% predicted

200ml increase AND 12% change in FEV1

17
Q

COPD severity classifications (which spirometry measurement is used?)

A

FEV1
Mild = 60-80%
Moderate 40-60%
Severe <40%

18
Q

COPD non-pharm optimisation (3)

A
  1. Stop smoking
  2. Pulmonary rehabilitation (for symptomatic pts
  3. Regular exercise - 150mins/week - walk until breathless - short rest - resume
19
Q

COPD exacerbation management (3)

A

Salbutamol 4-8 puffs + spacer q3-4hourly (equiv to 2.5mg nebuliser)
Pred 30-50mg for 5/7 then stop
Abx - (if change in sputum volume/colour, fever) - Amoxicillin 500mg TDS OR 1g BD 5/7
OR Doxycycline 100mg daily 5/7

Oxygen - aim sats 88-92%

CXR, IV Abx and sputum MCS not usually needed in community pts

  • Pulm rehab can be commenced immediately

20
Q

Prevention strategies against inhaled foreign bodies - Paeds
Management step if suspected (1)

A

Avoid commonly aspirated foods in kids <15mths age (e.g popcorn, hard lollies, raw carrot)
Avoid nuts if <4 y.o

Referral to ENT on call or ED presentation

21
Q

Findings that INCREASE probability of asthma in adults

A

> 1 of wheeze/SOB/cough/chest tightness
Recurrent/seasonal symptoms
Worse at night/early morning
Obvious triggers incl. exercise, cold air, meds (beta-blockers), viral infections, allergies, laughing
FHx of asthma/allergies
Hx of allergies (rhinitis, eczema)
Symptoms began in childhood
Widespread wheeze audible on ausc
FEV1/PEF lower than predicted
Eosinophilia/IgE rise w/o explanation
Rapid relief w/ SABA

22
Q

Findings that DECREASE probability of asthma in adults

A

Dizziness, light-headedness
Isolated cough with NO other resp symptoms
Chronic sputum
No wheeze on ausc. when symptomatic
Change in voice
Symptoms only present during URTIs
Heavy smoker
Cardiovascular disease
Normal spirometry/PEF when symptomatic

23
Q

Asthma DDx - Cough
Asthma DDx - wheeze
Asthma DDx - SOB

A

Cough
-Pertussis
-GORD
-Rhinosinusitis
-Medication side effect (e.g ACEi)
-Bronchiectasis
-COPD
-Idiopathic pulmonary fibrosis
-Inhaled freign body
-Habit -cough syndrome

Wheeze
-COPD
-Resp infections
-Upper airway dysfunction

SOB
-Poor fitness
-Hyperventilation
-Anxiety
-CCF
-Pulmonary HTN
-Lung Ca

24
Stepwise asthma management Adults/Adolescents (5)
1. SABA Prn 2. Regular low dose ICS + SABA Prn OR Symbicort Prn 3. Regular daily low dose ICS-LABA (maintenance + reliever OR + Saba prn) 4. Regular daily med-high dose ICS-LABA (maintenance + reliever OR +Saba PRN 5. Specialist Rx
25
Criteria for good asthma control (4)
1. Daytime symptoms ≤2 days per week 2. SABA reliever use ≤days per week 3. No limitation of activities 4. No symptoms during night/on waking
26
Budesonide ICS low/medium/high dose 1. Adults 2. Kids
1. Adults -Low 200-400 -Medium 500-800 -High >800 2. Kids -Low 200-400 -High >400 (max 800)
27
Fluticasone propionate (Flixotide) ICS low/medium/high dose 1. Adults 2. Kids
1. Adults -Low 100-200 -Medium 250-500 -high >500 2. Kids -Low 100-200 -high >200 (max 500)
28
Indications for preventer treatment in kids 1-5 y.o
Any moderate or higher severity flare-ups (ED/oral steroids) OR mild flare-ups (community) + symptoms at least once per week | Consider if symptoms every 4-6 weeks
29
Indications for preventer treatment in kids 6-11 y.o
Mod-severe flare-ups (>2 in last year needing ED/oral steroids) if flare-ups more than every 6 weeks OR mild flare-ups (community) + persistant asthma
30
Stepwise asthma management kids 1-5 y.o (4)
1. SABA prn 2. Low dose ICS *OR* montelukast 3. Low dose ICS + montelukast *OR* high dose ICS 4. Specialist
31
Stepwise asthma management kids 6-11 y.o (4)
1. SABA prn 2. ICS low dose *OR* montelukast 3. ICS low dose + monetlukast *OR* ICS-LABA low dose *OR* ICS high dose 4. Specialist
32
Pred dose & duration for asthma exacs 1. Adults 2. Kids
1. Pred 37.5-50mg daily for 5-10 days 2. Pred 1mg/kg (max 50mg) for 3-5 days
33
DDx restictive lung patterns LFTs
-ILD (asbestosis, sarcoidosis/hypersensitivity pneumonitis, IPF) -Pleural effusion (or pleural thickening/disease) -Chest wall disease (NMD, diaphragm palsy, obesity, kyphoscoliosis)
34
Recommended bronchodilator withholding times prior to spirometry ○ SABA ○ SAMA (e.g atrovent) ○ LABA w/ BD dosing (e.g formoterol, salmeterol ○ LABA w/ daily dosing OR LAMA
○ SABA - 4 hours ○ SAMA (e.g atrovent) - 12 hours ○ LABA w/ BD dosing (e.g formoterol, salmeterol) - 24 hours ○ LABA w/ daily dosing OR LAMAs - 36 hours
35
Define narcolepsy Define cataplexy Diagnostic narcolepsy test
Narcolepsy - chronic sleep disorder characterized by overwhelming daytime drowsiness and sudden attacks of sleep Cataplexy - sudden loss of muscle tone in response to intense emotion Multiple sleep latency test/sleep study
36
OSA Examination features (5 categories)
* BMI * Craniofacial structure, jaw position (retrognathia/micrognathia), neck circumference * Oral cavity/tonsils/Mallampati score * Nasal airways, congestion, sepal deviations/polyps * CVS exam (CCF, HTN)
37
Risk factors for life-threatening asthma attack (9)
○ Poor lung function ○ Recurrent ED presentations ○ Hx of food allergy ○ Previous ICU admission ○ Recent hospital admission ○ Frequent reliever use ○ Need for steroid Rx ○ Need for multiple classes of asthma meds ○ Rural location/poor access to tertiary care
38
OSA children - other management options (2)
-Intranasal steroid spray trial 6/52 -Leukotreine receptor antagonist (montelukast)
39
-Chronic isolated wet cough >4 weeks w/o better explanation -Often preceded by viral LRTIs -O/E "rattly" airway secretions ?Diagnosis ?Treatment
Protacted bacterial bronchitis 2/52 min Aug DF (+ another 2/52 if no improvement)
40
Bronchiectasis exac criteria (3) Abx Rx (1)
MUST have all 3 for Abx to be indicated -Increase in sputum production/viscosity -Increase in sputum purulence -Increase in cough (w/ wheeze, SOB, haemoptysis) Amoxicillin 1g TDS or Doxycycline 100mg BD, for 10-14 days
41
Indications for specialist referral for asthma/COPD (7)
-Following life-threatening exac needing hospitalisation -Frequent asthma ED/GP presentations -Suspected occupational asthma -Diagnostic doubt -Pts w/ poor self-management skills -Assessment for home O2 therapy -Assessment for lung transplant