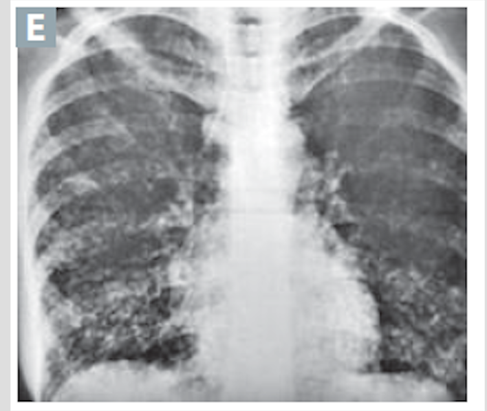
Characteristic of Lobar pneumonia

Intra-alveolar exudate—-> consolidation and typically caused by Strep pneumonia
Rupture of apical subpleural blebs or cysts. Occurs most frequently in tall thin young males
Primary Spontaneous pneumothorax
Patchy inflammation localized to interstitial areas at alveolar walls involving one or more lobes

Intestitial pneumonia
What are the physical findings in Atelectasis
Decrease Breath sounds, Dull on percussion, Decrease Fremitus and Trachea deviates towards side of Lesion
Accumulation of air in pleural space. Presenting with dyspnea, uneven chest expansion. Chest pain decrease tactile fremitus, hyperresonance and diminished breath sound.

Pneumothrax
Most common organism that causes bronchpneumonia
Staph pneumonia, staph aureus, H Influenzae and Klebsiella
Recurrent microthrombi that leads to decrease cross-sectional area of pulmonary vascular beds
Chronic Thromboembolic pulmonary hypertension
Nest of neuroendocrine cells, chromogranin A + with flushng, diarrhea and wheezing
Bronchial carcinoid tumor
In tension pneumothorax what happens to the trachea
Deviates away from affected lungs

Pneumothrax caused by Blunt (eg. rib fracture) or penetrating (eg. gunshot) trauma
Traumatic Pneumothorax
Physical findings in Tension pneumothorax
Decrease breath sounds, hyperresonant, decrease fremitus, trachea deviates away from side of lesion
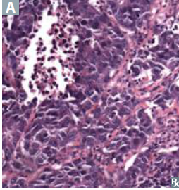
Centrally located tumor of the lungs. May produce ACTH (Cushing syndrome), SIADH or Antibodies against presynaptic calcium channels or neurons.
Small cell carcinoma
Centrally located Neoplasm of neuroendocrine KULCHITSKY cells ——> small dark blue cells. Chromogranin A +, neuron-specific enolase +
Small cell carcinoma

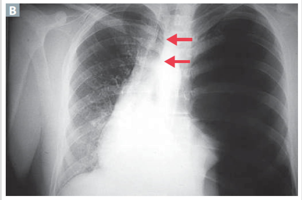
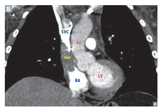
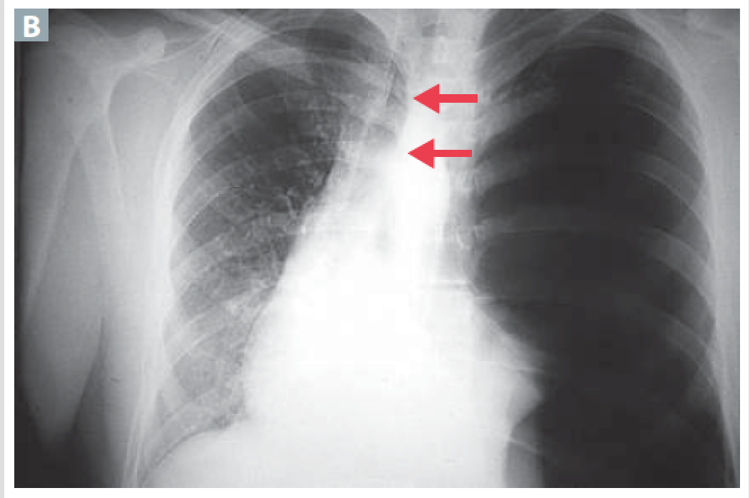
Headaches, dizziness, increased risk of aneurysm/ rupture of intracranial arteries from impaired blood drainage from the head (facial plethora)
Superior Vena cava syndrome

Air enters pleural space but cannot exit increasing trapped air.

Tension Pneumothorax
Localized collection of of PUS within parenchyma caused by aspiration of oropharengeal contents. Especially in alcoholics

Lung Abscess
Non infectious pneumonia characterized by inflammation of bronchioles and surrounding structures or medication side effects (eg. amiodarone). No response to antibiotics
Crytptogenic Organizing Pneumonia
(Bronchiolitis Obiterans Organinzing pneumonia)
Heritable Pulmonary Arterial Hypertension is often due to a mutation in
BMPR2 gene
Glandular pattern on histology often stains mucin +. Bronchioloalveolar subtype: grows along alveolar septa leading to apparent thickening of alveolar walls. Tall columnar cells containing mucus
Adenocarcinoma

Physical findings in simple pneumothorax
Decrease breath sounds, Hyperresonant, decrease fremitus
Centrally located tumor of the lungs. Hilar mass arising from bronchus; cavitation, cigarettes; hypercalemia (produces PTHrP). Keratin pearls intercellular bridges.
Squamous cell carcinoma
Most common lung cancer in nonsmokers and its activating mutations. CXR shows hazy infiltrates cimilar to pneumonia
Adenocarcinoma
Activating tumors: KRAS, EGFR and ALK
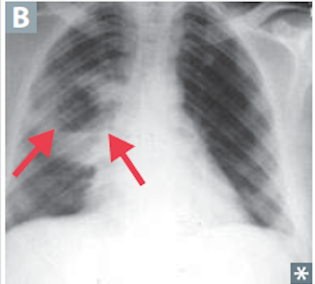
Cancer that occurs in the apex of lung and can invade cervical sympathetic chain
Pancoast Tumor
Acute inflammatory infiltrates from bronchioles into adjacent alveoli; patchy distribution involving more that one lobe

Bronchopneumonia
