Respiratory Flashcards

(82 cards)

1
Q

Signs of COPD on Examination

A

Inspection

Inhalers

Peak flow meter

Nebuliser

Pursed lip breathing

Splinting diaphragm

Cushingoid

Cyanosed

Cachetic

Hands

Tar staining

CO2 retention flap

Face

Plethora - polycythaemia

Central cyanosis

Chest

Barrel-shaped

Decreased cricosternal distance

Decreased expansion bilaterally

Resonant PN

Auscultation: reduced breath sounds, expiratory wheeze, prolonged expiratory wheeze

Hyperexpansion

Decreased cricosternal distance

Loss of cardiac dullness

Palpable liver edge

Extras

Cor pulmonale: Raised JVP, left parasternal heave, loud P2 and S3, mid-diastolic murmur of tricuspid regurg, ascites, peripheral oedema, hepatomegaly (pulsatile)

Significant negatives: CO2 retention, Cor pulmonale, clubbing

How well did you know this?
1
Not at all
2
3
4
5
Perfectly
2
Q

Differential for COPD

A

Chronic asthma

Bronchiectasis

How well did you know this?
1
Not at all
2
3
4
5
Perfectly
3
Q

Definition of COPD

A

Disease state characterised by airflow limitation that is not fully reversible.

It encompasses both emphysema and chronic bronchitis. The airflow limitation is usually progressive and is associated with an abnormal inflammatory response of the lungs to noxious particles or gases.

How well did you know this?
1
Not at all
2
3
4
5
Perfectly
4
Q

Management of COPD

A

Conservative / General management

smoking cessation advice

Pulmonary rehabilitation programme

annual influenza vaccination

one-off pneumococcal vaccination

Bronchodilator therapy

a short-acting beta2-agonist (SABA) or short-acting muscarinic antagonist (SAMA) is first-line treatment

for patients who remain breathless or have exacerbations despite using short-acting bronchodilators the next step is determined by the FEV1

FEV1 > 50%

long-acting beta2-agonist (LABA), for example salmeterol, or:

long-acting muscarinic antagonist (LAMA), for example tiotropium

FEV1 < 50%

LABA + inhaled corticosteroid (ICS) in a combination inhaler, or:

LAMA

For patients with persistent exacerbations or breathlessness

if taking a LABA then switch to a LABA + ICS combination inhaler

otherwise give a LAMA and a LABA + ICS combination inhaler

Oral theophylline

NICE only recommends theophylline after trials of short and long-acting bronchodilators or to people who cannot used inhaled therapy

the dose should be reduced if macrolide or fluoroquinolone antibiotics are co-prescribed

Mucolytics

should be ‘considered’ in patients with a chronic productive cough and continued if symptoms improve

Cor pulmonale

features include peripheral oedema, raised jugular venous pressure, systolic parasternal heave, loud P2

use a loop diuretic for oedema, consider long-term oxygen therapy

ACE-inhibitors, calcium channel blockers and alpha blockers are not recommended by NICE

Factors which may improve survival in patients with stable COPD

smoking cessation - the single most important intervention in patients who are still smoking

long term oxygen therapy in patients who fit criteria

lung volume reduction surgery in selected patients

Home Emergency Pack (rescue)

Antibiotics

Surgical Mx

Recurrent pneumotjoraces or large bullae

Bullectomy or lung reduction surgery

How well did you know this?
1
Not at all
2
3
4
5
Perfectly
5
Q

Factors that Improve Patient Survival

A

Factors which may improve survival in patients with stable COPD

Smoking cessation - the single most important intervention in patients who are still smoking

Long term oxygen therapy in patients who fit criteria (15h / day)

Lung volume reduction surgery in selected patients

How well did you know this?
1
Not at all
2
3
4
5
Perfectly
6
Q

Obstructive spirometry

A

Increased Total Lung Capacity (TLC)

Increased Residual Volume (RV)

FEV1: <80%

FEV1: FVC ratio: 0.7

Decreased transfer factor (not tested on spirometry)

How well did you know this?
1
Not at all
2
3
4
5
Perfectly
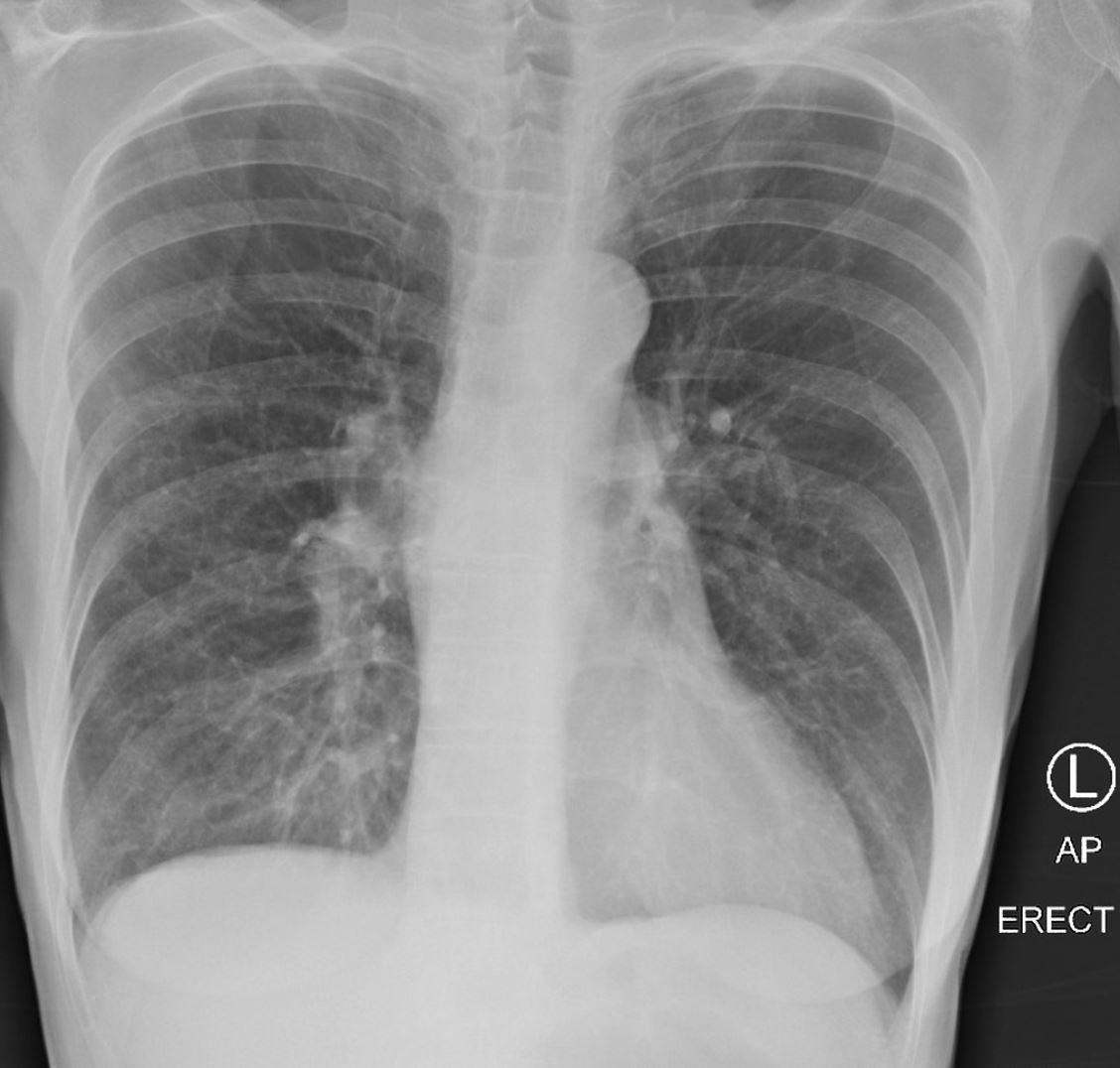
7
Q
A

Hyperinflation

>10 posterior ribs

flat diaphragm

DDx: long-standing asthma, COPD, bronchiectasis

How well did you know this?
1
Not at all
2
3
4
5
Perfectly
8
Q

Criteria for LTOT in COPD

A

Offer LTOT to patients with a pO2 of < 7.3 kPa

OR

pO2 of 7.3 - 8 kPa and one of the following:

  • secondary polycythaemia
  • nocturnal hypoxaemia
  • peripheral oedema
  • pulmonary hypertension
How well did you know this?
1
Not at all
2
3
4
5
Perfectly
9
Q

GOLD Staging

A

Stage I - IV

All have FEV1 : FVC ratio <0.7

Mild: FEV1% >80%

Moderate: FEV1% 50-79%

Severe: FEV1% 30-49%

Very Severe: FEV1% <30%

How well did you know this?
1
Not at all
2
3
4
5
Perfectly
10
Q

CXR signs of COPD

A

Acute

Consolidation

Pneumothorax

Chronic

Hyperinflation

Pulmonary HTN

Bullae

How well did you know this?
1
Not at all
2
3
4
5
Perfectly
11
Q

BODE Index

A

Body-mass index, airflow Obstruction, Dyspnea, and Exercise

Calculates index of function for COPD patients

Used to long-term outcomes

Four factors to predict risk of death from the disease

Weight loss = bad

Good lung function = good

modified MRC dyspnea scale, less SOB = good

6-min walk test, greater distance = good

How well did you know this?
1
Not at all
2
3
4
5
Perfectly
12
Q

Definition of Chronic Bronchitis

A

Cough productive of sputum on most days for >3 months on 2 or more consecuitive years

How well did you know this?
1
Not at all
2
3
4
5
Perfectly
13
Q

Definition of Emphysema

A

Histological description of alveolar wall destruction with airway collapse and air trapping

How well did you know this?
1
Not at all
2
3
4
5
Perfectly
14
Q

Investigations for COPD

A

Invx

spirometry

pulse oximetry

ABG

CXR

ECG: RV strain/hypertrophy

echo: RVH

sputum culture

PFTs

chest CT scan

alpha-1 antitrypsin level

How well did you know this?
1
Not at all
2
3
4
5
Perfectly
15
Q

Signs of Asthma on Chronic Examination

A

Inspection

Inhalers

Peak flow meter

Nebuliser

General: cushingoid

Specific: oral thrush

Chest

Harrison sulcus

Auscultation: Usually normal, may be decreased air enrty and mild wheeze

Significant negatives: CO2 retention, Cor pulmonale, clubbing

Differential:

Pulmonary oedema: cardiac wheeze

COPD

How well did you know this?
1
Not at all
2
3
4
5
Perfectly
16
Q

Definition of Asthma

A

Chronic inflammatory airway disease characterised by intermittent airway obstruction and hyper-reactivity

How well did you know this?
1
Not at all
2
3
4
5
Perfectly
17
Q

Investigations for Asthma

A

Bedisde: PEFR

exhaled nitric oxide

Bloods:

FBC (eosinophilia)

Increased IgE

Aspergillus serology

CXR: hyperinflation

Spirometry: obstructive

Reduced FEV1:FVC ration <0.75

Reduced FEV1

Increased residual volume

>12% improvement with inglaed SABA

PEFR diary

Atopy

Skin-prick testing

RAST

How well did you know this?
1
Not at all
2
3
4
5
Perfectly
18
Q

Spirometry results for Asthma

A

Spirometry: obstructive

Reduced FEV1:FVC ration <0.75

Reduced FEV1

Increased residual volume

>12% improvement with inglaed SABA

How well did you know this?
1
Not at all
2
3
4
5
Perfectly
19
Q

Management of Asthma

A

General

MDT: GP, specialist nurse, respiratory team

TAME

Technique for inhaler

Avoidance of allergens, smoke, dust

Monitor: peak flow diary

Educate: specialise nurse, develop action plan

Medical

ICS, SABA, LABA, LTRA

Well controlled: no exacerbations, no reliever therapy, no night time waking, <20% diurnal variation, normal lung function

How well did you know this?
1
Not at all
2
3
4
5
Perfectly
20
Q

Signs of Pulmonary Fibrosis on Examination

A

General

Clubbing

cushingoid

No sputum

Tachypnoea

Central cyanosis

Evidence of cause:

Rheumatoid arthritis

Sarcoidosis: erythema nodosum

Systemic sclerosis: sclerodactyl, calcinosis, microstomia, beak nose, telangiectasia

SLE: malar rash

Ankylosing spondylitis: kyphosis

Radiation: skin tattoos on chest

Chest

Thoracotomy scar: single lung trasplant

Tracheal shift towards fibrosis: upper lobe

Fine end-inspiratory crackles: No change with coughing

Extras: cor pulmonae

Apex beat

Peripheral oedema

Differential:

Bronchiectasis

Chronic lung abscess

Significant negatives: signs of causes (e.g. RA hands), cor pulmonale, cyanosis

How well did you know this?
1
Not at all
2
3
4
5
Perfectly
21
Q

Causes of Pulmonary Fibrosis

A

Commonest: idiopathic pulmonary fibrosis

Upper Lobe: PATEN

Pneumoconiosis: coal, silica

Aspergillosis: Allergic bronchopulmonary aspergillosis

TB

Extrinsic allergic alveolitis

Negative, sero-arthopathy

Lower Lobe: STARI

Sarcoidosis

Toxins: BANSME

Asbestosis

Rheumatological: Rheumatoid arthritis, Systemic Lupus Erythematosus, Sjogren’s

Idiopathic Pulmonary Fibrosis

BANSME

Bleomycin, Busulfan

Amiodarone

Nitrofurantoin

Sulfasalazine

MEthotrexate

How well did you know this?
1
Not at all
2
3
4
5
Perfectly
22
Q

Investigations for Pulmonary Fibrosis

A

Bedside:

PEFR

ECG (RVH)

Bloods

FBC: anaemia exacerbates SOB

ABG: decreased PaO2, Increase PaCO2

Idiopathic PF: increased ESR, increased CRP, ANA+ve in 30%, Rheumatoid factor +ve 10%, Increase Ig

Extrinsic allergic alveolitis: +ve serum precipitins

Connective tissue disease: C3/C4, RF, ANA, scl-70, centromere

Sarcoid: serum ACE, Calcium

Spirometry

Normal or increased FEV1: FVC ratio

Reduced FEV1

Reduced TLC, FVC and RV

TLCO: reduced transfer factor

Imaging

CXR: reticulonodular shadowing, reduced lung volume

HRCT: honeycomb, fibrosis

Echo

Pulmonary hypertension

Bronchoalveolar lavage

Lung biopsy: usual interstitial pneumonia

How well did you know this?
1
Not at all
2
3
4
5
Perfectly
23
Q

Management of Pulmonary Fibrosis

A

MDT: GP, respiratory team, Physio, Psych, Pallative care, specialist nurse

Specific to Idiopathic Pulmonary Fibrisos: Pirfenidone (an antifibrotic agent)

Acute flare: give 4 weeks of prednisolone

Treat specific cause:

Extrinsic allergic alveolitis: steroids

Sarcoidosis: steroids

Connective tissue disease: steroids

Supportive care

Smoking cessation: most beneficial

Pulmonary rehabilitation

Long term oxygen therapy

Symptomatic relief: anti-tussive (codiene), Heart failure (b-blockers, ACE-i)

Surgery: lung transplant

How well did you know this?
1
Not at all
2
3
4
5
Perfectly
24
Q

Signs of Bronchiectasis on Examination

A

General

Clubbing

Sputum pot

Small and young = Cystic fibrosis

Cachexia

Tachypnoea

Evidence of specific cause:

Rheumatoid arthritis: rheumatoid hands

Yellow nails

Cystic fibrosis: Young, nasal polyps

Hypogammaglobulinaemia: splenomegaly

Inflammatory bowel disease: abdo scars

Chest

Thoracotomy scars

Portacath or hickman lines + scars: Cystic fibrosis

Coarse, wet crackles - may change with cough,

Localised patchy crackles = focal consolidation

Widespread crackles = secondary to systemic disease

+/- monophonic wheeze

Dextrocardia –> Primary ciliary dyskinesia

Extras: cor pulmonale

Completion: examine nose for nasal polyps, examine abdo for scars and splenomegaly

Significant negatives: cor pulmonale, specific cause e.g. rheumatoid hands

Differential

Pulmonary fibrosis

Chronic lung abscess

How well did you know this?
1
Not at all
2
3
4
5
Perfectly
25
Causes of Bronchiectasis
**Congenital** Cystic fibrosis Primary ciliary dyskinesia (Kartagener's) Young's: azoospermia and bronchiectasis Hypogammaglobulinaemia: X-linked, CVID, specific antibody def **Acquired** Idiopathic Post-infectious: pertussis, TB, measles Obstructive: tumour, foreign body Associated: Rheumatoid arthritis, ulcerative colitis (and corhn's), ABPA
26
Investigations for Bronchiectasis
**Bedside** PEFR Urine dip: proteinuria ---\> amyloidosis **Sputum: M**C+S, cytology **Bloods** FBC: Serum Ig Aspergillus: RAST, precipitins, IgE, eosinophilia Precipitins: These tests detect the presence of IgG antibodies to Aspergillus fumigatus RA: anti-CCP. RF, ANA **Imaging** CXR: tramlines and ring shadows (bunch of grapes) HRCT: signet ring sign = thickended dilated bronchi and small adjacent vascular bundle Pools of mucus in saccular dilatations **Spirometry:** obstructive **Other** Bronchoscopy + biopsy CF sweat test Aspergillus skin prick testing
27
Complications of Bronchiectasis
Cachexia Pulmonary HTN Massive haemoptysis Type 2 respiratory failure Amyloidosis
28
Management of Bronchiectasis
**MDT approach**: GP, Respiratory team, Dietician, Immunologist, Genetics **Physio:** Postural drainage Active cycle breathing Rehabilitation **Medical** Antibiotics: Ciprofloxacin for 7 days, Azithromycin for prophylaxis Bronchodilators: nebulised salbutamol **Treat underlying cause:** CF: DNAse, Creon, ADEK vitamins ABPA: steroids Immune def: IV Ig Vaccination: flue, pneumococcus
29
Cause of Cystic Fibrosis
Autosomal recessive Mutation in **CFTR** gene on chromosome **7** Cystic fibrosis transmembrane conductase regulator Commonly **deltaF508** Deletion of three nucleotides = loss of phenylalanine (F) Decreased luminal CI- secretion and Increased Na resorption leading to viscous secretions Because chloride is negatively charged, this modifies the electrical potential inside and outside the cell that normally causes cations to cross into the cell. Sodium is the most common cation in the extracellular space. The excess chloride within sweat ducts prevents sodium resorption by epithelial sodium channels and the combination of sodium and chloride creates the salt, which is lost in high amounts in the sweat of individuals with CF. This lost salt forms the basis for the sweat test. CFTR not only allows chloride ions to be drawn from the cell and into the ASL, but it also regulates another channel called ENac, which allows sodium ions to leave the ASL and enter the respiratory epithelium. CFTR normally inhibits this channel, but if the CFTR is defective, then sodium flows freely from the ASL and into the cell. As water follows sodium, the depth of ASL will be depleted and the cilia will be left in the mucous layer Bronchioles --\> bronchiectasis Pancreatic duct --\> DM, malabsorption GIT --\> Distal intestinal obstruction syndrome Liver --\> gallstone, cirrhosis Fallopian tubes ---\> decrease female fertility Seminal vesicles ---\> Male infertility
30
Diagnosing Cystic Fibrosis
Immunoreactive trypsinogen on heel-prick (neonatal screening) AND Sweat test \>60mM Cl- = diagnostic (false positive in hypothyroidism and Addison's) Faecal elastase - test of pancreatic exocrine function
31
Investigations in Cystic Fibrosis
**Bloods** FBC, LFTs, clotting, ADEK levels, GGT **Sputum**: MC+S **CXR** Diffuse tramlines and rings **Abso USS** Fatty liver, cirrhosis, pancreatitis **Spirometry** Obstruction Aspergillus serology / skin prick test (20% develop allergic bronchopulmonary aspergillosis)
32
Management of Cystic Fibrosis
**MDT:** GP, Gastroenterologist, Chest, Physio, Dietician, Specialist nurse Portacath insertion **Physio** Postural drainage Active cycle breathing **Chest** Antibiotics: Prophylaxis and Acute Mucolytics: DNAse Segregation from other CF patients, reduce risk of pseudomonas and burkholderia transmission Advanced disease ==\> heart lung transplant **GI** Creon Overnight feeds to increase nutrition ADEK supplements Insulin **Other** Fertility and genetic counselling DEXA and osteoporosis screen Mx complicatiosn e.g. DM Mean survival 35 years
33
Primary Ciliary Dyskinesia
**Autosomal recessive** defect in **ciliary motility** Poor mucociliary clearance --\> chronic recurrent inflammation and bronchiectasis Decreased sperm motility in males --\> infertility **Kartagener's Syndrome:** Situs invertus + Primary ciliary dyskinesia Situs invertus Chronic sinusitis Bronchiectasis
34
Young's Syndrome
Bronchiectasis Rhinosinusitis Azospermia (no sperm in semen) --\> inferility
35
Yellow Nail Syndrome
Very rare Yellow dystrophic nails Pleural effusions Lymphoedema: lymphatic hypoplasia Bronchiectasis
36
Allergic Bronchopulmonary Aspergillosis
**ABPA** Type 1 and Type 3 hypersensitivity reaction to Aspergillus fumigatus Causes bronchoconstriction ---\> Bronchiectasis **Presentation** Dyspnoea Wheeze Cough Bronchiectasis **Invx** Increased IgE and eosinophilia positive IgG precipitins (not as positive as in aspergilloma) +ve skin prick test or RAST CXR **Mx** Prednisolone Itraconazole is sometimes introduced as a second line agent Bronchodilators
37
Signs of Pleural Effusion on Examination
**Inspection** Chest drain **Evidence of cause:** Cancer: clubbing, cachexia, LNs Pneumonia: febrile CCF: increased JVP, S3, ascites, ankle oedema CLD: clubbing leukonychia, spider naevi, gynaecomastia CTD: rheumatoid hands, malar rash **Chest** Tracheal shift away from effusion Decreased expansion on the affacted side Stony dull percussion Recuded air entry Reduced tactile fremitus Significant negatives: Fever, Clubbing, Peripheral oedema, CTD
38
Differentials for Pleural Effusion
**Consolidation:** bronchial breathing + crackles **Collapse:** Increased VR
39
Causes of Pleural Effusion
Transudate and Exudate **Transudate: bilateral, protein\<25g/L** Three failures, a thyroid and a meig CCF Renal fialure Decreased albumin (liver failure) Hypothyroidism Meig's syndrome **Exudate: unilateral, protein \>30g/L** **IIICT** Infection: pneumonia, TB Inflammation: Rheumatoid arthritis, SLE Infarction: PE Ca: primary or secondary Trauma
40
Light's Criteria
Differentiate a transudate and exudate if 25-30g/L Take a pleural tap Effusion:serum **protein ratio \>0.5** Effusion:serum **LDH ratio \>0.6** **Effusion LDH is 0.6x ULN**
41
Hx Questions for Pleural Effusion
**Identify cause:** Fever Sputum Smoking Weight loss Haemoptysis Previous MI Orthopnoea PND Hepatitis
42
Investigations for Pleural Effusion
**Bloods** FBC: anaemia, U+E: creatinine raised, LFTs: hypoa;buminaenia, TFT: raised TSH, ESR raised in CTD, Ca raised in cancer **CXR:** homogenous opacification wih meniscus, signs of cause e.g. mets **USS:** guide pleuocentesis **Volumetric CT** **Diagnostic pleurocentesis**: Send to chemistry for protein, LDH, pH, glucose, amylase Send for micro: MC+S, auramine stain, TB culture Send for cytology Send for immunology: RF, ANA, complement Pleural biopsy
43
Management of Pleural Effusion
Treat underlying cause May use drain / repeated aspiration **Drain \<2L per day!** Pleurodesis if recurrent malignant effusion Persistent effusions may require surgery
44
Signs of Lung Cancer on Examination
**Inspection** Cachexia Hoarse voice or stridor **Hands** Clubbing Hypertrophic pulmonary osteoarthropathy (HPOA) Tar staining Claw hand and wasting of interossei **Face** Anaemia Horner's Plethora **Neck** LNs Dilated veins **Chest** Thoracotomy scar Radiotherapy square birn + tattoo Acanthosis nigrans **Collapse** Tracheal deviation towards collapse Decreased expansion Dull percussion note Absent air entry Increased VR **Effusion** Tracheal deviation away from effusion Reduced expansion Stony dull percussion Reduced air enrty Reduced VR
45
Hypertrophic Pulmonary Osteoarthopathy
HPOA Present in up to 10% lung cancers More common in non-small cell cancer
46
Complications of Lung Cancer
**Superior vena cava obstruction** Plethroic Oedematous face Oedematous upper limbs Dilated neck and chest veins Stridor **Recurrent laryngeal nerve palsy** Hoarse voice Bovine cough **Pancoast tumour** Horner's Claw hand with wasting of interossei - **compression of ulnar nerve** **Dermatomyositis**
47
Signs of Lobectomy / Pneumonectomy on Examination
**Inspection** Clubbing Cachexia **Scars** Lateral throacotomy Clamshell: double lung transplant Chest drains VATS Chest wall asymmetry or deformity **Pneumonectomy** Tracheal and apex shift to abnormal side Decreased expansion Dull percussion NO breath sounds **Lobectomy** Tracheal shift (mainly upper lobectomy) Focal signs Reduced expansion Dull percussion Reduced breath sounds
48
Differential for a Lobectomy scar
**Lobectomy** **Pneumonectomy** **Normal lung** Abscess Empyema Biopsy Wedge **Transplant**
49
Indications for lobectomy
**Non-disseminated bronchial carcinoma (90%)** Other bronchiectasis COPD: lung reduction TB: historic, upper lobe
50
Risk of Lobectomy
**Mortality** Lobectomy: **7%** Pneumonectomy: **12%** **Increased risk:** ASA grade Age \>70 Poor respiratory reserve: FEVA:FVC ratio \<55%
51
Paraneoplastic Lung Cancer
ADH --\> SIADH ---\> hyponatraemia Cushing's syndrome (ACTH) Carcinoid syndrome (Serotonin) Hypercalcaemia (PTHrP) SCC
52
Histopathology of Lung Cancer
_Non-small cell_ **Squamous cell carcinoma: 35%** Central, smokers **Adenocarcinoma: 25%** Peripheral, Non-smoker **Large-cell: 10%** **_Small-cell lung cancer: 20%_** Central, Smokers
53
Squamous cell carcinoma
Highly related to smoking Central PTHrP --\> hypercalcaemia Non-Small Cell
54
Adenocarcinoma
Female non-smokers Peripheral 80% present with extra-thoracic mets Non-Small Cell
55
Small Cell Lung Cancer
Highly related to smoking Central 80% present with advanced disease Ectopic hormone secretion
56
Paraneoplastic Signs of Lung Cancer
**Endocrine** ADH --\> SIADH ACTH --\> Cushing's Serotonin --\> Serotonin syndrome PTHrP --\> primary hyperparathyroidism (Squamous cell) **Rheumatological** Dermatomyositis Polymyositis **Neuro** Cerebellar degeneration Peripheral neuropathy **Derm** Acanthosis nigricans Trousseau syndrome: thrombophlebitis migrans
57
Complications of Lung Cancer
**Local** SVCO Horner's Phrenic nerve palsy AF Recurrent laryngeal nerve palsy **Paraneoplastic** SIADH Cushing's Hypercalcaemia **Metastatic** Pathological # Hepatic failure Neurological Addison's
58
Investigations for Lung Cancer
**Bloods** FBL anaemia, increased WCC (if consolidation) U+Es: Hyponatraemia (SIADH) LFTS: deranged due to liver mets Bone profile: Increased calcium (PTHrP Sqaumous cell) **Imaging** CXR Contrast enahnced volumetric CT of thorax **Cytology** Induced sputum Pleural fluid (USS-guided pleurocentesis) **Histology** Percutaneous FNA Endoscopic transbronchial USS guided **Staging** CT PET Thoracoscopy **Pulmonary function tests** Assess fitness for surgery Pneumonectomy contraindicated if FEV1 \<1.2L
59
Management of Lung Cancer
**General Mx** MDT Stop smoking Optimise nutrtion and CV function **Non Small Cell** Surgery first line if Curative radiotherapy Chemo: platinum based + biologics 50% 5ys with no spread, 10% 5ys with spread **Small Cell** Chemo Radio therapy Pallative 3 months untreated survival, 1-1.5 yrs median treated **Pallative Care** Analgesia: opiates for pain and cough Radiotherapy SVCO: dexamethasone + radiotherapy +/- stent Persistent effusion: Pleurodesis
60
Signs of Pneumonia on Examination
**Inspection** Febrile Looks unwell Tachypenoeic Tachycardia Cough Rusty sputum **Chest: Consolidation** Decreased expansion Dull percussion BRonchial breathing Decreased air entry Focal coarse crackles Pleural rub Increased vocal resonance Para-pneumonic effusion Erthyema multiforme = mycoplasma pneumonia **DDx** Collapse Effusion
61
Investigations for Pneumonia
**Bedside** Sputum MC+S Urine: Pneumococcal antigen Hb (cold agglutins--\> haemolysis) **Bloods** FBC, U+Es, CRP, LFT, Culture Paired sera: mycoplasma, chlamydia, Legionella ABG **CXR** Conslidation with air bronchogram Effusion Cavities: staph aureus, klebsiella **Pleurocentesis** Bronchoalveolar lavage
62
Management of Pneumonia
**CURB-65 Score** **Specific:** Antibiotics and Analgesia **Supprortive** Oxygen Fluids Chest physio **Complications** Septic shock --\> MOF Para-pneumonic effusion Empyema Resp failure Abscess **Follow-Up** **CXR at 6 weeks** to rule out cancer **Smoking cessation** **Pneumovax (23 valent)** \>65 years At-risk Revaccinate every 6 years
63
Anatomic Classification of Pneumonias
**Bronchopneumonia:** Patchy consolidation of different lobes **Lobar pneumonia:** Fibrosuppuratve consolidation of a single lobe Congestion --\> red hepatization --\> grey hepatization --\> resolution
64
Causes of Community-Acquired Pneumonias
**Streptococcus Pneumoniae: 50%** Mycoplasma: 6% Haemophilus (increased in COPD) Chlamydia pneumonia Viruses: 15%
65
Causes of Hopsital-Acquired Pneumonia
**Pseudomonas** MRSA Gram negative enterobacteria (Klebsiella)
66
Antibiotics to treat CAP
**Amoxicillin** AND **Clarithromycin** Cover atypicals
67
Antibiotics for HAP
**Co-amoxiclav** OR **Tazocin** +/- **Vancomycin**
68
Aspiration Pneumonia
Increased risk: **stroke,** bulbar palsy, decreased GCS, GORD, Achalasia Posterior segment of Right lower lobe **Co-amoxiclav**
69
Treatment of fungal pneumonia
**Amphotericin**
70
Treatment for CMV / HSV Pneumonitis
**Ganciclovir**
71
Causes of Atypical Pneumonia
**Fever, Headaches, Myalgia,** **Mycoplasma** **Chlamydia** **Legionella**
72
CURB 65 score
**C**onfusion: AMT 8 or less **U**rea: \>7 **R**esp: \>30/min **B**lood pressure: systol \<90, diastol \<60 mmHg Age: **\> 65** 0-1 --\> manage in community unless significant comorbities 2 = hospital 3 or more --\> consider ITU
73
Complications of Pneumonia
**Sepsis and MOF Para-pneumonic effusion / epyema** **Abscess:** staph aureus, klebsiella, anaerobes **Respiratory failure**
74
Signs of Old TB on Examination
**Inspection** Asymmetry: absent ribs Scars: **thoracoplasty** (removal of several ribs to collpase upper portion of lung) ScarL **supraclavicular fossa** - phrenic nerve crush **Chest** **Tracheal deviation towards apical fibrosis** Decreased expansion Dull to percussion +/- bronchial breathing Reduced air entry Crackles Increased vocal resonance
75
Historic Management of TB
Lower PaO2 would inhibit TB Healed cavities seemed to be closed - hence the logic of closing cavities would heal them **Induction of apical collapse** **Techniques** Pliombage: insetion of polystyrene balls into thoracic cavity Phrenic nerve cursh --\> diapohragm paralysis Thoacoplasty (rib removal and collapse) Apical lobectomy
76
Current Management of TB
_Initial Phase 2 months: **RIPE**_ **Rifampicin (6 months)** **Isoniazid (6 months)** AND Pyridoxine (Vitamin B6) **Pyrazinamide** * converted to pyrazinoic acid by mycobacterial pyrazinamidase * lowers environmental pH * works best within macrophages **Ethambutol** * blocks arabinosyltransferase * inhibits carbohydrate polymerization of mycobacterial cell wall * resistance arises from increased production of arabinosyltransferase by bacteria
77
Side Effects of TB Medications
**Rifampicin:** Hepatitis **Orange/Red secretions:** urine and tears Enzyme induction **Isoniazid** Peripheral sensory neuropathy (give B6) Hepatitis **Pyrazinamide** Hepatitis Arthralgia Breaks down into uric acid and causes gout (CI in gout and prophyrias) **Ethambutol** Optic neuropathy --\> Red-green colour blind
78
Pathology of TB
**Primary TB** Naive TB infection Multiples at pleural surface --\> **Ghon focus** Macrophages take TB to LNs --\> **Ghon complex** Mostly asymptomatic, may have fever and essusion Fibrosis of Ghon complex into calcified nodule (**Ranke** complex) occurs in 95% ~ immunocompetent people **Rarely, primary progressive TB in immunocompromised** Resembles acute pneumonia Mild and lower zone consolidation Effusions, Hilar LNs Spead to extra-pulmonary and miliary TB **Latent TB** Infected but no clinical of x-ray signs of **active** TB due ot host immunity Non-infectious Weakended host immunity --\> reactivation **Secondary TB** Usually reactivation of latent TB May be due to reinfection Develops in upper lobes Hypersenisitivity: tissue destruction ---\> caseating granulomas
79
Diagnosing TB
**Latent TB** Tubercullin skin test If positive ---\> IGRA **Active TB** CXR If suggestive --\> 3 spuutm samples --\> MC+S with **Ziehl-Neelsen stain** and **Lowenstein-Jensen media** culture **PCR** Can detect Rifampicin resistance Can be used if unable to grow anything
80
Tuberculin Skin Test
Intradermal injection of purified protein derivative Induration measured at 48 hours **False positive** = BCG, other mycobacteria, prev exposure **False negative** = HIV, sarcoid, lymphoma
81
Interferon Gamma Release Assay
IGRA Patient's lymphocytes incubated with mycobacterium tuberculosis specific antigens Cuases IFN-y release if previous exposure **Will not be positive is BCG only as BCG uses M.bovis**
82