Name the laryngeal cartilages


name the paranasal sinuses

Muscle that tensions vocal cords
vocalis
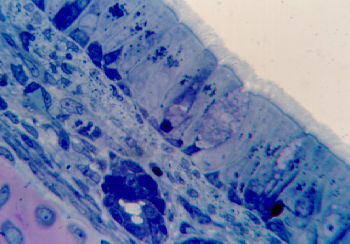
histology

nerve supply to frontal sinuses
opthalmic branch of CN V
what is the hiatus semilunaris
this is the hole through which all sinuses except the sphenoid open into the middle meatus
what structures is the sphenoid sinus close to?
what is the nerve supply to the sphenoid sinus
the opthalmic nerve
9 cartilages of the larynx
where would an emergency tracheostomy be done
through the crico-thyroid membrane between cricoid and thyroid cartilages

innervation of larynx - can you draw the diagram

where do the left and right laryngeal nerves loop around?
why might a lung tumour cause a horse voice
it could cause a recurrent laryngeal nerve palsy
what is the division between the upper and lower airways?
the larynx
to which rib does the sternal angle attach?
2nd
what surface area of gas exchange is there per lung
20m2
what is the amount of air in and out of the lungs in one minute
5L
what is the bifurcation of the trachea called?
carina
what level is the carina
T4/5
what epithelia is the trachea lined with
respiratory epithelium
pseudostratefied, ciliated columnar epithelium with goblet cells
how many lobes does each lung have? describe the fissures that seperate them

what is a terminal bronchiole?
it is the last conducting airway before respiratory bronchioles
what is the functional unit of the lungs - briefly describe it.