What are causes of upper lobe fibrosis?
CHARTS
What is extrinsic allergic alveolitis?
EAA, aka, hypersensitivity pneumonitis, is a condition caused by hypersensitivity induced lung damage due to a variety of inhaled organic particles.
It is thought to be due to immune complexes (type III) and Type IV hypersensitivity.
What are common causes of Extrinsic allergic alveolitis?
How does extrinsic allergic alveolitis present?
Clinical Features
Which diagnosis do you need to consider in a young person presenting with COPD symptoms?
Aopha-1-antitrypsin deficiency.
Here, there is a protease inhibtor deficiency in the liver, leading to the A1AT not being released from the liver.
A1AT is required to protect the lung from neutrophil elastase; without it, emphysema occurs.
What are the investigations for alpha-1-antitrypsin deficiency?
Summarise the managmetn of A1AT deficiency.
Conservative:
Medical:
Surgical:
What is the managment of obstructive sleep apnoea?
What are the causes of a mediastinal mass?
The commonest causes of an anterior mediastinum mass are:
How can the causes for pleural effusion be subclassified?
Give causes for each class.
Transudate (< 30g/L of protein):
Exudate (>30g/L of protein):
What are the NICE guidelines for smoking cessation?
Offer nicotine replacement therapy plus varenicline or burpopion. Try this for 2-4 weeks then reevaluate. Only give further prescriptions to patients who demonstrate they are still trying to quit.
What are the side effects of nicotine replacement therapy?
Adverse effects include nausea & vomiting, headaches and flu-like symptoms.
NICE recommend offering a combination of nicotine patches and another form of NRT (such as gum, inhalator, lozenge or nasal spray) to people who show a high level of dependence on nicotine or who have found single forms of NRT inadequate in the past
What is Varenicline?
What are the contraindications?
Varenicline is a nicotinic receptor partial agonist.
Adverse effects include nausea, headache, insomnia.
Contraindications:
What is bupropion?
What are the contraindications?
Bupropion is a norepinephrine and dopamine reuptake inhibitor, and nicotinic antagonist.
Contraindications:
Summarise the investigations and diagnosis of COPD.
COPD should be considered in patients >35 who are (ex-)smokersand have symptoms such as exertional breathlessness, cough, regular sputum production.
The following investigations are recommended:
PEFR is of limited use in COPD.
How is severity of COPD classified?
Using the GOLD Classification. This incorporates the mMRCA dyspnoea score, airflow limitation, and the number of exacerbations every year. It divides patients into groups A-D.
Airflow limitation:
Using spirmetry: all patients have obstruction (FEV1/FVC < 70%) plus:
mMRC scale:
Exacerbations:
How can the cause of pulmonary effusion be investigated?
BTS recommends:
How can you determine whether a pleural effusion is transudate or exudate?
Protein content of aspiration:
If the protein level is between 25-35 g/L, Light’s criteria should be applied. Exudate if:
What is the management of recurretn pleural effusions?
What are the parameters of the CURB65?
Confusion
Urea >7.0 mmol/L
Resp Rate >30
BP <90 systolic, <60 diastolic
65 or older
What lung cancer is most common in non-smokers?
Adenocarcinoma.
Associated features are Hypertrophic pulmonary osteoartropathy (triad of periostitis, digital clubbing and painful arthropathy of the large joints) and gynaecomastia.
What are the features of small cell lung cancer, squamous cell and adenocarcinoma?
Small cell:
Squamous cell:
Adenocarcinoma:
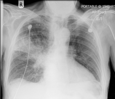
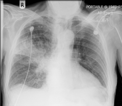
What does this CXR show?

This is a RUL consolidation - hints are that you can still see both

When would you consider NIV in a patient with an IECOPD?
NIV should be considered in all patients with an acute exacerbation of COPD in whom a respiratory acidosis (PaCO2>6kPa, pH <7.35 ≥7.26) persists despite immediate maximum standard medical treatment.