

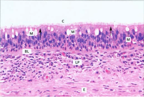
What type of epithelium lines the airways and much of the nasopharynx?
pseudostratified ciliated columnar epithelium

What cells make up the respiratory epithelium?

What are the proportions of cell types in the respiratory epithelium?

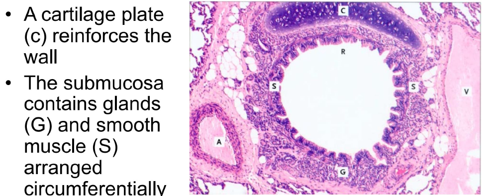
What are the layers of the trachea?

What comprises the tracheal mucosa?
respiratory epithelium and lamina propria

What comprises the tracheal submucosa?
connective tissue and glands (serous and mucous)

What comprises the tracheal adventitia?
cartilage, outer layer of connective tissue binding trachea into neck
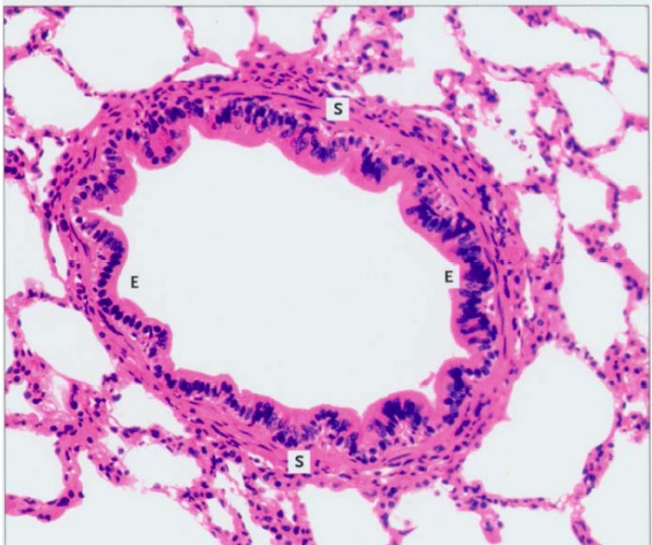
What structural changes occur at the intrapulmonary bronchi?

What is the differential between bronchus and bronchiole?
loss of cartilage
What is the structure of bronchioles?

What are clara cells?
What is the structure of the terminal bronchioles?

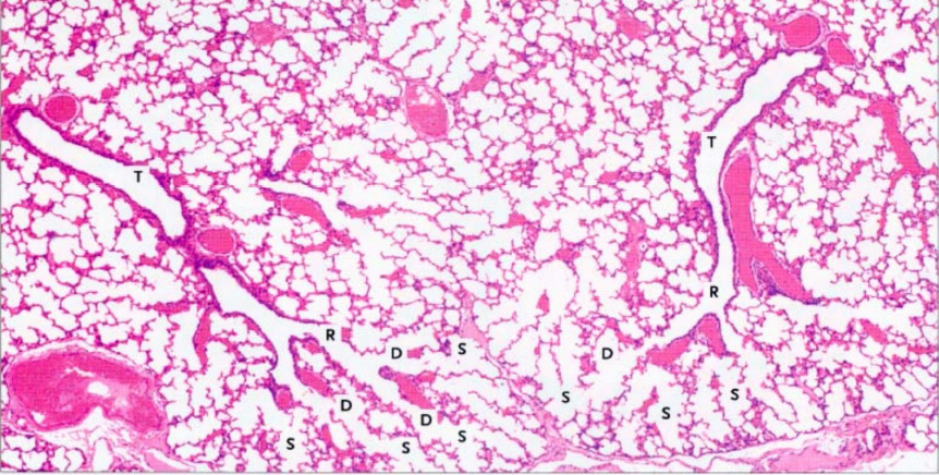
What is the structure of the respiratory bronchioles?

What is the structure of alveoli?
What is the structure of the interalveolar septum?
What is the structure of the pulmonary capillaries?
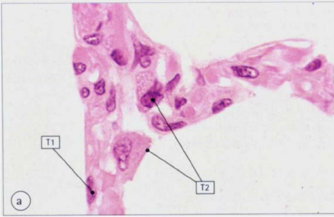
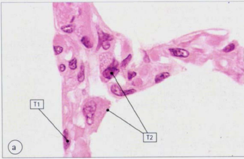
What are pneumocytes?
What are type I pneumocytes?

What are type II pneumocytes?

What is the structure of the alveolar blood-gas barrier?

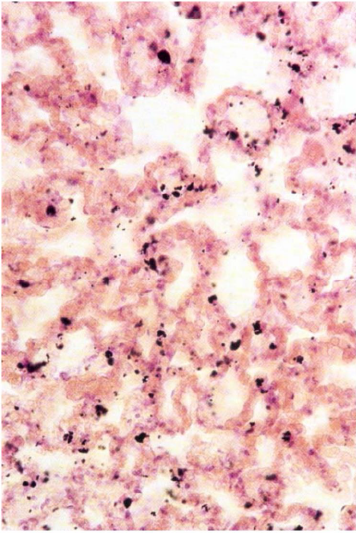
What is the fate of an alveolar macrophage?

What cell type is pleura?
