What is the motility, spore formation, oxygen use, and shape of Mycobacterium?
What makes Mycobacterium resistant to disinfectants and common stains?
It’s lipid-rich cell wall
There are two specific MAC bacteria: M. avium and M. intracellulare. Which bug infects which type of patient?
What type of stain for TB is the following image?

Carbol Fuschin
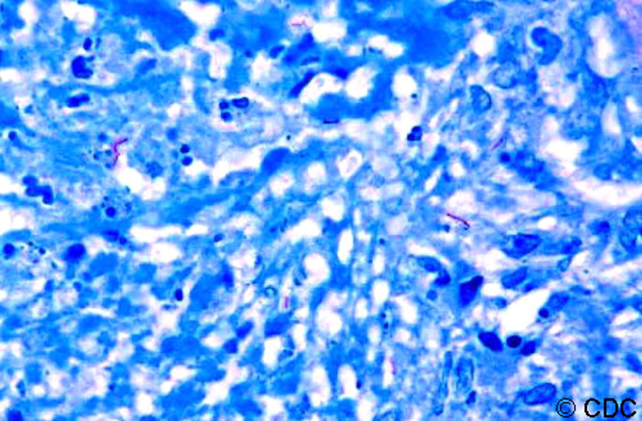
What type of TB stain is shown in the following image?

Ziehl-Neelson
What type of stain for TB is shown in the following image?

Auramine-Rhodamine
Why isn’t gram-stain effective for TB visualization?
It’s hydrophobic cell envelop (lots of long chain fatty acids = mycolic acids
What is the recomended course for acute TB infections?
What is the recommended treatment for latent TB? Why isn’t it entirely effective?
2 months of: Isoniazid, Rifampicin, Ethambutol, and Pyrazinamide
Followed by 4 months of: Isoniazid and Rifampicin
9 months of isoniazid. Doesn’t always sterilize b/c Isoniazid is most effective against replicating bacteria.
Why is adherence to TB regimen so critical?
Non-compliance can result in emergency of MDR or XDR strains.