Pseudostratified ciliated columnar cells( beat mucus up and out of lungs) extend to beginning of terminal bronchioles, then transition to cuboidal cells
Pseudostratified ciliated columnar cells

Mostly cuboidal cells in respiratory bronchioles then simple squamous cells up to alveoli

Type 1 cells are squamous and line the alveoli
type II cells are cuboidal and clustered and secrete pulmonary surfractant
clara cells are non ciliated, low columnar/cuboidal with secretory granules, they degrade toxins and act as reserve cells
dust cells are macrophages

Adenocarcinoma
Bronchioalveolar subtype (carcinoma in situ): CXR often shows hazy infiltrates similar to pneumonia; excellent prognosis
The bronchioalveolay subtype grows along alveolar septa–> apparent thickening of alveolar walls

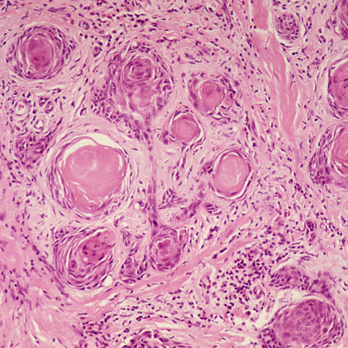
Squamous cell carcinoma

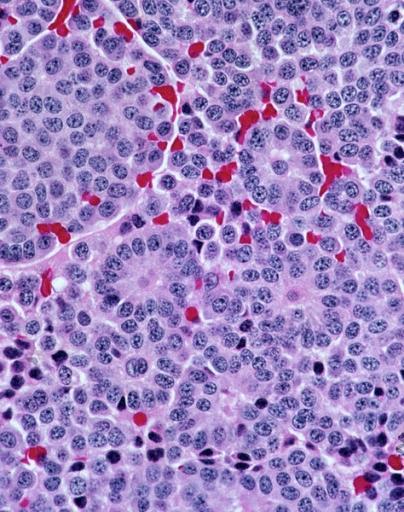
Small cell (oat cell) carcinoma

Large cell carcinoma
-pleomorphic giant cells
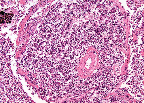
Bronchial carcidnoid tumor

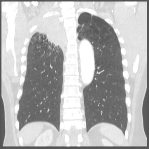
Pancoast tumor
-carcinoma that occurs in apex of lung may affect cervical sympathetic plexus, causing horner syndrom, SVS syndrome, sensorimotor deficits and hoarseness
