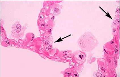
What is the cell indicated by the arrows? What do these cells produce?

Type II pneumocytes.
These cells produce surfactant
Describe the type II pneumocyte appearance.
These are cuboidal-like cells with round nuclei and washed out, faomy cytoplasm. The cytoplasmic appearance is due to the lipid content
What structure in the type II pneumocytes contain the surfactant?
Lamellar bodies (secretory granules)
Who is at risk for aspiration pneumonia?
Patients with a depressed cough reflex and depressed consciousness, i.e., alcoholics, comatose patients
Also: seizure disorders, dementia, elderly
What organisms commonly cause aspiration pneumonia?
anaerobic bacteria of the oropharynx: fusobacterium, peptococcus, bacteroides
What is the classic (gross) result of aspiration pneumonia?
A right lower lobe abcess
Why are abcesses that are found in aspiration pneumonia typically found in the right lower lobe (as opposed to the left, for instance)?
The right main stem bronchus branches at a less acute angle than the left
A 30-yo man is brought to the emergency department after sustaining a severe head injury from an epileptic seizure. He is unresponsive on arrival and is intubated. Five days after admission to the intensive care unit, he develops a spiking fever. Chest x-ray shows a cavitary lesion in the right lung with an air-fluid level and surrounding consolidation. Lung culture reveal growth of fusobacterium and bacteroides species. The patient dies one week later, and autopsy reveals an abcess in the right lower lung. What is the underlying cause of the lung lesion?
Aspiration pneumonia
Key points:
(1) bacterial culture–anaerobic (fusobacterium and bacteroides) (2) diminished cough reflex and consciousness (3) cavitary lesion/right lower lobe abscess
What is the characteristic description of the lesion found on x-ray for an abcess due to aspiration pneumonia?
A cavitary lesion with an air-fluid level
What is the composition of surfactant?
lipids, protein, lecithin (carbohydrates)
What is the consequence of reduced/insufficient surfactant?
Surfactant reduces the surface tension in the alveoli, preventing the alveoli from collapsing when a person exhales. If there is insufficient surfactant, the alveoli will collapse when exhaling (atalectasis), and the compliance of the lung will be reduced (it will be harder–take more force–to expand the lung on inspiration.
Factors that increase surfactant production
(1) (cortico)steroids
(2) thyroxine works in synergy with corticosteroids
(3) Active labor increases synthesis
(4) intrauterine stress increases corticosteroid release
Factors that decrease surfactant production
(1) maternal diabetes
(2) C-section prior to active labor
(3) mutations in surfactant protein A or B genes (SP-A or SP-B genes)
How might mitral obstruction affect pulmonary compliance?
Mitral obstruction, and other conditions that promote pulmonary edema, can decrease pulmonary compliance.
What is the most common cause of epiglottitis in patients who *are* immunized against H. influenza?
Streptococcus pneumoniae
What is the most common cause of epiglottitis?
Haemophilus influenza
What would be the relative values of PaO2, O2 content, and [Hb] in a patient with anemia?
(Normal, increased, decreased)
PaO2 will be normal
[Hb] will be reduced
O2 content will be reduced, proportional to the decrease in Hb
What is the normal average Hb concentration?
15g/dL
How many grams of oxygen can 1 gram of Hb carry?
1.34
What compensatory changes in cardiac output would accompany anemia?
Anemia is a reduction in RBC mass, which means that the [Hb] will be decreased, as will be the O2-content of the blood. The body will try to compensate for the decreased O2-carrying capacity by increasing CO in order to maintain O2 delivery to the tissues. This will be achieved by increasing both SV and HR
A 62-yo woman comes to the physician because of worsening fatigue. She has lost 7 lbs in the past two months with no change in her appetite. Laboratory studies show her Hb is 6.8 g/dL. Her stool is guaiac-positive. Colonoscopy shows a large fungating mass in her ascending colon. Which of the following is most likely to be decreased in this woman?
(a) arterial O2 content (b) arterial O2 saturation (c) arterial PO2 (d) cardiac output (e) HR (f) stroke volume
arterial O2 content
a decrease in the hemoglobin [ ] of the blood will cause a proportional decrease in the O2-carrying capacity
A 62-yo woman comes to the physician because of worsening fatigue. She has lost 7 lbs in the past two months with no change in her appetite. Laboratory studies show her Hb is 6.8 g/dL. Her stool is guaiac-positive. Colonoscopy shows a large fungating mass in her ascending colon. Which of the following is most likely to be increased in this woman?
(a) arterial O2 content (b) arterial O2 saturation (c) arterial PO2 (d) cardiac output (e) HR (f) stroke volume
cardiac output, stroke volume and HR
these are compensatiry changes the body makes in response to the anemia to maintain oxygen delivery to the tissues
A 62-yo woman comes to the physician because of worsening fatigue. She has lost 7 lbs in the past two months with no change in her appetite. Laboratory studies show her Hb is 6.8 g/dL. Her stool is guaiac-positive. Colonoscopy shows a large fungating mass in her ascending colon. How are arterial O2 saturation and pressure likely to be affected?
Both PaO2 and O2 saturation are virtually unaffected by hemoglobin concentration, and would be normal in this patient
A 3 year old boy is brought to the ED by his parents because he inhaled a peanut. Physical exam shows cyanotic extremities and lips. Bronchoscopy shows a peanut lodged in the _______, largely occluding it. Peripheral O2 saturation is 65%. Where is the peanut most likely lodged and why?
The peanut is most likely lodged in the right mainstem bronchus, because it branches at a less acute angle than the left.