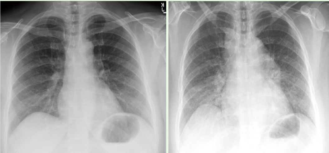
What are key differences to notice in the XRAY on the right vs. the left?

Left: • Normal, there is not any hilar inflammation etc. Right: • we see bilateral perihilar infiltrates with increased opacity in the lateral aspect of both lungs
What is the key pulmonary function test that can clue you in that there is a restrictive disorder going on?
TLC (total lung capacity) - this is the main factor reduced so it should be the main thing you look for. increased FEV1/FVC will also likely be seen but is variable (it would be the same as identifying emphysema on the basis of TLC)
If you did a bronchoalveolar lavage in a normal person what relative proportions would you expect to see of Neutrophils, Lymphocytes, and Macrophages? What should be you net number of WBCs?
• what key disorder disrupts this balance?
Normally:
Marcophages (85%) > Lymphocytes (20%) > Neutrophils (2%), if you were to do a bronchoalveolar lavage (this makes sense because you need lots of phagocytes in the lungs to capture particulate matter, and there shouldn’t be much infection going on for neuts or lymphs), regardless, the net number of these cells should be Less than 100K
IMPORTANTLY, in SARCOIDOSIS there is a lymphocytosis in the lung mediated by CD4+ lymphocytes (hence the granulomas) - in these people you might see 95% lymphocytes
What ratio of POLYCLONAL CD4/CD8 T-cells in a Bronchoalveolar Lavage should tip you off that something is up?
2:1 ratio of CD4:CD8 tells you to suspect sarcoidosis - clearly you would need other findings too like granulomas, negative TB test, etc.
Who typically gets sarcoidosis and how do we typically find it?
• what other organs (besides the lungs) are often involved?
Typically it would be a 20-40 year old Black, Female. 50% of the time sarcoidosis is discovered incidentally on CXR. In some patients you may also see eye or skin lesions.


Would pneumothorax and mesothelioma be classified as Intrinsic or Extrinsic causes of lung dysfunction?
Pneumothorax and mesothelioma = Entrinsic Causes of Lung Dysfunction
**Anything OUTSIDE OF THE VISCERAL PLEURA is extrinsic
Why does TLC get reduced in interstitial lung disease?
Fibrotic tissue fills up the space between the vessels and alveolar sacs and causes a reduction in TLC, this also reduces the SA available for oxygen exchange

What is the definition of interstitial lung disease?
Diffuse Inflammatory process involving the lung parenchyma that results in excessive growth of connective tissue with dysfunction of the lungs
What are the key chemical mediators of tissue remodeling in lung fibrosis and what do they cause?
Epithelial cells die and release growth factors like TGF-ß, IGF-1, KGF, CTF, and PDGF that stimulate myofibroblasts to deposit COLLAGEN leading to the formation of a fibrous interstitium
Q.3 The hypoxemia of ILD is mostly attributed to:
A. Hypoventilation
B. V/Q mismatch
C. Diffusion defect
D. Right to left shunt
WHAT IS THE ANSWER TO THIS QUESTION CONTENGENT ON?
Fibrosis is a problem of V/Q mismatching primarily and of diffusion secondarily.
AT REST:
•V/Q mismatchingis the predominant problem at rest because you havereduced surface areain the alveoli and theTLC is markely reduced.Oxygen at rest still has plenty of time to diffuse through because we created enough damage to move the diffusion time from 0.25 to 0.75 sec.
EXCERCISE:
• Diffusion becomes your main problem because you’re moving blood through your vessels faster than 0.75 seconds per cell so Oxygen might not get there before a deoxgenated RBC gets back into the systemic circulation.
What are some drugs known to cause pulmonary fibrosis?
Bleomycin
Amiodarone
Nitrofurantoin
Jane has a borderline O2 saturation that drops markedly when she gets up and walks around. Is has been determined that her FEV1/FVC is 87% and TLC is 3.5 L.
• What is in her differential?
Jane has an INTRINSIC lung disease. This is indicated by the diffusion defect that is created when she walks around, in combination with the V/Q mismatch creating low O2 sat. at rest. Reduced TLC and increased FEV1/FVC is indicative of a restrictive lung disorder.
Differential:
Known Etiology:
• Granulomatous Lung Diseases (Berylliosis, Hypersensitivity pneumonitis)
• Non-granulomatous (asbstos, coal, Drug related, smoking, radiation)
Unknown Etiology:
• Granulomatous Lung Diseases (sarcoidosis)
• Idiopathic Interstitial pneumonias
• UIP with connective Tissue (autoimmune) disease
What are the typical symptoms of someone with ILD?
• Which of these is most common?
***DRY COUGH is the most common symptom**
T or F: Interstitial lung disease is a cause of cor-pulmonale
True, pulmonary fibrosis can lead to pulmonary hypertension which can cause right sided heart failure
What are the 5 hallmarks of Interstitial lung disease in Pulmonary Function testing?
What are the radiological features in the early, intermediate, and end-stages of interstitial fibrosis?
• what are your treatment goals here/Prognosis?
• At what stage will patients most likely present with the disease?
In early stages the lung has a ground glass appearance, this indicates that the disease is reversible. Progression into the intermediate stages means you’ll see Reticulation/nodulation on the CT. You can hope for some improvement, but lung function will not be restored. Honeycombing is the end stage and all you can do it try to prevent the progression.
Patients present with Reticular/Nodular disease most often
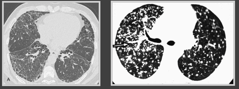
What stage of lung disease is this person in?

Reticular - ground glass appearance seen here. This patient is at the intermediate stage and will never improve to full lung function
What stage of ILD is seen here?

This is the earlier ground glass phase
What stage of ILD is this?

End-stage - honeycombing (you are screwed)
Diagnosis of ILD
1. Extensive history: family/genetics,
environment, occupation, medications
2. Evaluation of symptoms and signs
3. Imaging studies with comparison
4. Pulmonary function tests
5. Bronchoalveolar lavage and lung biopsy
What are 3 classes of extrinsic restrictive lung disorders?
Disease of the Pleura, Chest wall, an neuromusculature