Reta Final Flashcards

(734 cards)

1
Q

A fecundação ocorre em qual local?

A

Ampola tubária (terço distal)

How well did you know this?
1
Not at all
2
3
4
5
Perfectly
2
Q

Em qual estágio o zigoto atinge a cavidade endometrial?

A

Mórula

How well did you know this?
1
Not at all
2
3
4
5
Perfectly
3
Q

A morula ao se implantar na parede endometrial na nidação, perde a zona pelúcida, virando ……..

A

Blastocisto

How well did you know this?
1
Not at all
2
3
4
5
Perfectly
4
Q

Um sangramento de ulcera em parede posterior duodenal advém de qual arteria?

A

Artéria gastroduodenal.

How well did you know this?
1
Not at all
2
3
4
5
Perfectly
5
Q

A localização de ulcera cardia está associada a ulcera (benigna/maligna)

A

Maligna

How well did you know this?
1
Not at all
2
3
4
5
Perfectly
6
Q

Síndrome nefrótica em menores de 1 ano NÃO é indicação de biopsia: V ou F?

A

Verdadeiro

How well did you know this?
1
Not at all
2
3
4
5
Perfectly
7
Q

No gráfico do ciclo menstrual diga A, B, C e D

A

A: FSH
B: LH
C: Estradiol
D: Progesterona

Primeiro, irá ocorrer o aumento do FSH ( curva A), promovendo um aumento do estrogênio (curva C). O aumento do estrogênio vai desencadear um pico de LH, que leva a ovulação (curva B). Após o pico de LH, a progesterona (curva D) aumenta bastante, na fase lútea.

How well did you know this?
1
Not at all
2
3
4
5
Perfectly
8
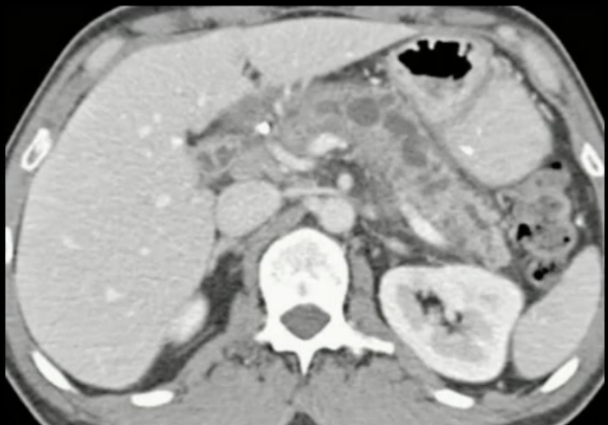
Q

Diagnostico?

A

IPNM
Intraductal Papillary Mucinous Neoplasm

How well did you know this?
1
Not at all
2
3
4
5
Perfectly
9
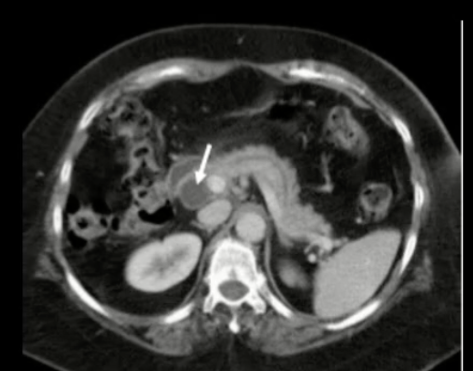
Q

A seta branca aponta para qual estrutura?

A

Colédoco dilatado

How well did you know this?
1
Not at all
2
3
4
5
Perfectly
10
Q

Definição morte materna e morte materna tardia:

A
  • Morte materna: até 42 dias
  • Morte materna tardia: 42 dias - 1 ano
How well did you know this?
1
Not at all
2
3
4
5
Perfectly
11
Q

Nas gestações monocoriônicas e monoaminióticas a via de parto de escolha deve ser sempre …….. entre ……….. semanas

A

cesárea

30-34s

How well did you know this?
1
Not at all
2
3
4
5
Perfectly
12
Q
  1. Os protozoários são tratados com os:
  2. Os nematelmintos são tratados com os:
  3. Os platelmintos (schistosoma e tênia) são tratados com os:
A

1: nidazóis (secnidazol, tinidazol ou metronidazol).

2: bendazóis.

  1. oxamniquine ou praziquantel.
How well did you know this?
1
Not at all
2
3
4
5
Perfectly
13
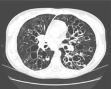
Q

Como diferenciar bronquiectasias de cistos ou enfisema?

A
  • Bronquiectasia: localização central em direção a periferia e em continuidade com bronquios
  • Cistos/Enfisema: difusos
How well did you know this?
1
Not at all
2
3
4
5
Perfectly
14
Q

Qual a melhor forma de diagnóstico de um derrame pleural neoplásico?

A

através da biópsia da pleura por videotoracoscopia

How well did you know this?
1
Not at all
2
3
4
5
Perfectly
15
Q

Quais são as enzimas responsáveis pela morte programada dos linfócitos e que levam a imunossupressão na sepse e pós-operatório?

A

Caspazes

How well did you know this?
1
Not at all
2
3
4
5
Perfectly
16
Q

Quais vacinas de covid não devem ser utilizadas em gestantes, puérperas e pessoas com histórico de síndrome de extravasamento capilar pelo aumento do risco de hemorragia?

A

AstraZeneca e Janssen

How well did you know this?
1
Not at all
2
3
4
5
Perfectly
17
Q

Cite 10 sinais de imunodeficiencias primárias

A
How well did you know this?
1
Not at all
2
3
4
5
Perfectly
18
Q

Qual a 1a opção para tratamento de infecção GRAVE por candida albicans?

A

Equinocandinas: Micafungina; caspofungina

How well did you know this?
1
Not at all
2
3
4
5
Perfectly
19
Q

Qual a 1a opção para tratamento de infecção LEVE por candida albicans?

A

Fluconazol

How well did you know this?
1
Not at all
2
3
4
5
Perfectly
20
Q

Cite 2 achados do partograma na fase expulsiva:

A

1: parada secundária da descida (1h parado)

2: Período expulsivo prolongado

How well did you know this?
1
Not at all
2
3
4
5
Perfectly
21
Q

Cite 2 agentes etiologicos presentes na sepse neonatal tardia que não estão presentes na precoce?

A

Stafilo coagulase negativa

Stafilo Aureus

How well did you know this?
1
Not at all
2
3
4
5
Perfectly
22
Q

Cite 2 medicações de 2a linha no tratamento do tabagismo

A

Nortriptilina

Clonidina

How well did you know this?
1
Not at all
2
3
4
5
Perfectly
23
Q

Quais os 3 principais agentes de infecções de ferida operatória?

A
  • Enterococo (principalmente cirurgias TGI)
  • S. Aureus e Epidermidis (cirurgias limpas)
How well did you know this?
1
Not at all
2
3
4
5
Perfectly
24
Q

Quais os 3 critérios obrigatórios para diagnostico de morte encefálica?

A
How well did you know this?
1
Not at all
2
3
4
5
Perfectly
25
Quais as 3 fases do derrame pleural?
1. inicial ou exsudativa 2. fibrinopurulenta 3. fase de organização
26
Quais os 3 efeitos colaterais da hidroclorotiazida?
**3 Hiper** hiperglicemia hiperuricemia hiperlipidemia
27
Cite 4 características do HCC na TC
- Hipodensa pre contraste - Hipervascular na arterial - Washout na portal - Ausência de captação na fase hepato biliar
28
Quais as 4 principais gêneros de cobra em nosso país?
Bothrops - Jararaca Crotalus - Cascavel Lachesis - Sururucu Micrurus - Coral
29
7 DPO apendicectomia purulenta + dor abdominal sem peritonite + aumento de debito de drenos Qual a principal hipótese diagnostica e a conduta?
**abscesso intracavitário** CD: TC + drenagem e ATB
30
A atividade esfincteriana uretral é observada mais intensamente no terço ......... da uretra.
médio
31
a partir de quantas semanas o LA depende principlamente da diurese fetal?
22-23s
32
Com qual idade se usa Anfotericina B no tratamento de Leishmaniose ?
Menores que 1 ano e > 50 anos
33
A partir de que idade pode LABA para a SES-PE?
4 anos
34
Para quem se notifica casos de violência infantil?
Conselho tutelar
35
A partir de que score Z (para menos) os gráficos de peso começam a nos preocupar?
a partir de Z -2
36
TTRN acontece principalmente nos pct com RCIU ou macrossomia?
Macrossomia - Devido as cesáreas sem trabalho de parto
37
Qual tipo de cilindro é encontrado na IRA pré-renal
Hialinos
38
A VOP é bi ou trivalente?
Bi
39
Qual o achado do QRS na pericardite?
supra desnivelamento do segmento ST com cavidade voltada para cima em quase todas as derivações, exceto V1 e aVR
40
Quais os principais achados ao ECG da Sd de Brugada?
supra v1 e v2 com onda T invertida
41
Cite 5 caracteristicas comuns de Doença de Chron moderado a grave:
- Doença perianal - Estenoses - Refratariedade à indução com corticoides - Doença em paciente jovem - PCR elevado
42
Achados do paciente com linfoma primário do SNC
Lesão única SNC e PCR é positivo para o EBV.
43
Qual o acometimento pulmonar da esclerodermia cutanea difusa?
Alveolite com fibrose intesticial
44
Qual o acometimento pulmonar da esclerodermia cutânea limitada?
HAP
45
Qual parte do tubulo renal é mais acometida na leptospirose?
Tubulo proximal
46
Como é feito o acompanhamento em acidente perfuro-cortante com paciente anti HCV positivo?
Transaminases, carga viral e anti-HCV por **6 meses**
47
Qual faixa etária é considerado adolescente pela SES-PE?
10-19 anos (OMS)
48
Classificação de **ACOSTA** para endometriose - achados: - Estágio 1: - Estagio 2: - Estágio 3: - Estágio 4:
Bizu: - Se tiver aderência: já é estágio 3
49
Qual o agente etiologico da enterobacteriose septicemica prolongada?
Samonella + schistosoma
50
Qual o agente etiologico da febre tifoide? e qual seu tratamento?
Salmonella Tratamento: Ciprofloxacino ou ceftriaxona
51
Quanto está a albumina na síndrome nefrotica
< 2,5
52
Qual o agente etiologico mais comuns da infecção de cateter sespe?
S. coagulase negativa S. aureus
53
Quais os 3 agentes que transformam o plasminogênio em plasmina?
- FSH - PROGESTERONA - PROSTAGLANDINAS
54
Quais especies de cobra geram alterações na pele local pela ação de enzimas proteoliticas?
Botrops (jararaca) Lachesis (sururucu)
55
Porque ocorre a amenorreia induzida por exercício fisico?
liberação excessiva de betaendorfinas que bloqueiam GNRH
56
Porque ocorre a amenorreia por estresse?
CRH e cortisol elevados bloqueiam o GNRH
57
Indígenas tem indicação de operar colelitiase assintomática? V ou F
Verdadeiro
58
Na anorexia nervosa como ficam os níveis de **leptina e neuropeptideo Y**
Leptina: reduzido NPY: aumentado
59
Quais os 2 tipos de aneurismas viscerais mais comuns?
A. esplênica A. hepática
60
O anticorpo **anti-Jo1** está associado a:
Formas pulmonares de miopatias inflamatórias
61
Qual o autoanticorpo da hepatite auto-imune tipo 1?
Anti Musculo Liso
62
as apresentações posteriores rodam ..... graus para fazer a ......... e atingir a posição .....
135 graus descida OP (occipito-posterior)
63
Quais classes de antidepressivos que diminuem libido? (3)
- isrs - duais - triciclos
64
Quais os 2 principais anticorpos da esclerodermia cutânea difusa?
- anti scl-70 (anti topoisomerase) -> DOENÇA PULMONAR - anti RNA polimerase III -> neoplasia e doença renal
65
A criança deve andar com o **assento do carro voltado para tras** até qual idade
2 anos
66
As infecções adquiridas no período periparto podem manifestar-se de forma semelhante à congênita com manifestações mucocutâneas e neurológicas. Verdadeiro ou falso?
Verdadeiro
67
Qual antibiotico com ação contra Gram positivos está contraindicado no tratamento de infecção de corrente sanguinea?
Linezolida
68
Até quanto tempo pós exposição se pode fazer antibioticoprofilaxia para meningite?
48hrs
69
Até quantas semanas a gestação de um PIG pode chegar?
39-40 semanas
70
Até que parte do corpo pode ocorrer o espessamento da esclerodermia cutanea limitada?
Até joelhos e cotovelos -> passou dessa area é forma difusa
71
Até qual TI-RADS o nódulo tireoidiano não é preocupante?
TI-HADS 3 TI-RADS 1: negativo, tireoide normal; TI-RADS 2: nódulo benigno, características benignas; TI-RADS 3: provavelmente benigno, sem características suspeitas;
72
Até quanto tempo persiste uma diarreia aguda?
14d
73
Qual anticorpo do lúpus protege para nefrite?
Anti-LA
74
A cada quanto tempo fazemos ausculta fetal pela SES-PE no: - 1 período do parto: - 2 período do parto:
1: 15-30min 2: 5 min (período expulsivo)
75
Na avaliação do estado nutricional pela **Avaliação subjetiva global (AGS)** quais os 2 fatores avaliados?
- Medidas antropometricas - Preensão palmar
76
Qual anticorpo do lúpus esta associado a BAV congênito?
Anti RO/SSA
77
Qual imunobiologico pode ser utilizado para manifestações de pele ou articulares de LES?
Belimumabe
78
Quais os parâmetros avaliados pelo índice de Bishop?
- Altura da apresentação - Dilatação cervical - Apagamento do colo - Posição - Consistência
79
Qual o padrão de bilirrubina na leptospirose?
Colestático
80
O marcador Ca 72-4 aumentado está associado a qual tipo de câncer?
**Ca de estômago** principalmente se associado ao CEA
81
Quando ocorre um aumento do pH (alcalose) como fica o nível de cálcio ionizado?
Reduzido -> alcalose aumenta a afinidade do calcio pela albumina, reduzindo os níveis de calcio ionizados
82
Quais os 2 principais mecanismos de redução de cálcio na menopausa?
- diminuição da **absorção** intestinal - aumento da excreção renal
83
Como fica o nível de cálcio na insuficiência adrenal
Hipercalcemia
84
Quais os 5 campos de atribuição do SUS?
- vigilância epidemiológica - vigilância sanitária - saúde do trabalhador - assistência social - participação social
85
Quais os canceres associados à mutação E-caderina?
Ca gástrico e Ca de mama
86
Quais os 3 critérios da Canadian CT head Rule que indicam realização de tomografia?
- > 65anos - Mecanismo de trauma importante - Parestesias de extremidades
87
Qual lesão hepática tem captação globuliforme e centrípeta de contraste com homogeneização tardia?
hemangioma
88
Quais as características da artrite/artralgia da febre reumática?
Poliartrite é tipicamente de grandes articulações, migratória e assimétrica.
89
Qual a principal característica da **hiperplasia nodular focal na TC** constrasta?
Cicatriz central com realce TARDIO
90
3 características do derrame papilar maligno
- Uniductal - Espontânea - Serosa/hemorrágica.
91
Características da tireoidite De Quervain
- Dor cervical - Evolução **trifásica**: hiper -> eutireoidismo -> hipo - VHS elevado - Captação de iodo < 5%
92
Características de derrame papilar benigno
bilateral multiductal leitoso ou sanguinolento
93
O que é o sopro de Carey Coombs
Sopro por estenose aguda na febre reumática
94
Qual o cariótipo da Sd de Swyer
46 XY
95
Qual a fisiopatologia da Sd de Swyer?
mutação no SRY -> não desenvolve testículos -> gonada indiferenciada mas sem produção de antimulleriano -> desenvolve trompas, útero e vagina
96
Cite uma causa benigna de sangramento de papila
Papiloma Intraductal
97
Qual o mecanismo da dor na dismenorreia primaria?
Prostaglandinas (PGE2 e PGF2alfa) e os leucotrienos irão causar contrações miometriais e vasoconstricção que levam à isquemia local, o que resulta em dor/diminuição do limiar da dor.
98
Quais as 3 principais causas de acidose metabolica hipercloremica?
- Perda intestinal de BIC - Acidose tubular renal - Excesso de SF0,9%
99
Quais as principais causas de amenorreia com teste do GNRH negativo
- Adenoma hipofisario - Sheehan - Sela turcica vazia
100
Qual a principal hipótese diagnostica para assimetria de pulsos de MMII em RN?
Coarctação de aorta
101
Qual mecanismo causa do aumento de mortalidade em gestantes por covid?
Em mulheres gestantes, existe aumento dos receptores da enzima conversora da angiotensina-2 (ECA2), o que aumentaria a suscetibilidade ao vírus.
102
Qual a causa do hiperaldosteronismo secundário na gestação
Atividade do ADH AUMENTADA
103
Qual a causa do sangramentos erráticos na transição menopausal?
**Irregularidade menstrual devido à anovulação dos ciclos** -> A paciente está perdendo o pool de folículos e, em geral, não produz um folículo dominante bom e, por isso, não ovula. Em determinados ciclos, porém, pode haver produção folicular boa com ovulação e consequente sangramento. Esse sangramento pode ser exagerado, uma vez que a paciente passou mais de um ciclo sem menstruar anteriormente e o endométrio permaneceu proliferando.
104
6 causas de Derrame Pleural com **glicose baixa**
- Derrame parapneumônico - Tuberculose pleural - Neoplasia - Artrite reumatoide. - LES - Ruptura esofagica
105
3 causas de **pseudohiponatremia** por erro laboratorial
- Hipertrigliceridemia - Níveis elevados de bilirrubina - Hiperproteinemia (gamopatias) O excesso de substancias leva a erro de leitura do sódio
106
Conduta em paciente com **Bacterascite** com sintomas:
Tratar como PBE
107
Conduta em paciente com **Bacterascite** sem sintomas:
Repetir exame em 24-48hrs
108
Conduta de parto em placenta prévia:
Cesária no TERMO
109
Qual a conduta medicamentosa na rinite intermitente leve
Anti-histaminico VO
110
Conduta diante de ulcera perfurada na emergência:
Rafia + patch omental
111
Qual droga vasoativa usada em choque **quente** na pediatria:
Noradrenalina
112
Qual droga vasoativa usada em choque **frio** na pediatria:
Adrenalina
113
Quais os tipos de cilindros encontrados na NTA?
Cilindros granulares/pigmentados
114
Quais os tipos de cilindros encontrados na IRA pré-renal?
Hialinos
115
Qual cirurgia pode ser realizada em paciente portador do gene **APC**
Colectomia total
116
Como é feito o rastreio de HCC em paciente cirrótico com hepatite cronica?
USG de 6 em 6 meses
117
Qual cirurgia pode ser realizada em paciente portador do gene **CDH**
Gastectomia total
118
Cite 3 métodos de contracepção de emergencia
- levonogestrel 1,5mg DU - 1mg de levonorgestrel + 0,2mg de etinilestradiol - ulipristal 30mg
119
Cite 4 agentes importantes e suas funções na hora da ovulação
pico LH - aparece o plasminogênio plasmina - digere o colágeno da parede folicular progesterona - afina o colageno da parede prostaglandinas - instabiliza as fibras facilitando a rotura
120
Cite 4 fios **monofilamentares**
- nylon - polupropileno (prolene) - caprolactona - polidoxanona (PDS)
121
Cite 5 achados da SIMP (síndrome inflamatória multissistêmica pediátrica)
1. rash, conjuntivite 2. diarreia, vômitos, dor abdominal 3. disfunção cardíaca (valvulite, eco alterado, elevação de troponina ou BNP) 4. hipotensão 5. alteração do tempo de coagulação
122
Qual o quadro clinico da dismenorreia primaria
Adolescente, que após 1- 3 anos da menarca, começou a apresentar cólicas no período menstrual que melhoram ao longo da menstruação
123
Cite 4 fios **multifilamentares**
- poliester - seda - poliglactina (vycril) - algodão
124
Clindamicina não cobre MRSA - V ou F
Falso, clindamicina cobre MRSA, geralmente advindos da comunidade
125
PCA gera hipo/hiper fluxo pulmonar?
Hiperfluxo - Shunt esquerda -> direita
126
Clínica da coarctação de aorta?
Choque cardiogênico após fechamento do canal arterial *Não causa alterações pulmonares ao exame físico
127
Qual a conduta na colecistite em paciente instável
ATB EV + UTI -> se paciente refratário: **colecistostomia**
128
Como acontece o sopro de carey coombs
Espessamento valvular devido a inflamação gera turbilhonamento sanguíneo, causando murmúrio **médio-diastólico**
129
Como acessar a bexiga de um paciente com trauma grave de bacia?
Cistostomia aberta -> não pode fazer cistostomia suprapubica por risco de lesionar (anatomia desfigurada)
130
Como é feita a administração de vitamina A no sarampo?
2 doses em dias consecutivos
131
Qual o mecanismo de ação dos bisfosfonados?
Diminuição da ação **osteoclástica**
132
como calcular a razão de verossimilhança **positiva**
- chance de um resultado positivo em uma pessoa com a doença **sobre** - chance de um resultado positivo em uma pessoa que não tem a doença
133
Quantas cruzes para diagnostico de proteinúria em pré eclampsia pelo dipstick?
a partir de **2** cruzes
134
Como diferenciar rinite leve de moderada?
Impacto nas atividades do dia a dia
135
Como calcular o RAR?
Incidência maior - menor -> incidência é o total de casos novos / total
136
Como diferenciar gamopatia monoclonal de significado indeterminado de mieloma indolente?
Mieloma tem >10% de plasmócitos na medula
137
Como diferenciar hiperparatireoidismo secundário de terciário?
Secundário geralmente não causa hipercalcemia
138
Qual o sinal de Kluge?
Coloração violácea da vaGina -> kluGe - vaGina
139
Qual o sinal de jacquemier?
Coloração violácea da vulva
140
Como diferenciar puberdade central de periférica?
- Central: segue a ordem padrão e ocorre maturação óssea - Periferica: não segue ordem padrão e não ocorre maturação óssea
141
Como fechar diagnostico de endocardite pelos critérios clínicos de Duke?
- Dois critérios maiores; ou - Um critério maior e três critérios menores; ou - Cinco critérios menores
142
Como fechar diagnostico de febre reumática pelos critérios de Jones?
2 maiores ou 1maior e 2 menores + ASLO ou cultura
143
Como é a osmolaridade do líquido amniótico ao inicio e ao final da gestação
Inicio: **hipertônico** pois é similar ao plasma (exsuda pela pele) Final: **hipotônico** por que o rim fetal funciona e o depura (composto principalmente por agua)
144
Qual o tratamento de clamídia e gonorreia?
- clamídia -> azitromicina 1g dose única - gonorreia -> ceftriaxona 500mg IM dose única
145
Qual a indicação do uso de Cinacalcete?
Hiperparatireoidismo secundário na DRC
146
Qual a principal manifestação da **transposição de grandes vasos**?
Hipóxia importante
147
Qual a principal característica da rigidez articular da artrite reumatoide?
Rigidez matinal por >1h
148
Qual o mecanismo de ação do Cinacalcete?
Calcimimético -> imita o cálcio na paratireoide
149
Como é o tratamento do **parceiro** na sifilis durante a gestação?
− Sorologia não reagente = Penicilina Benzatina, 2,4 milhões UI, em dose única − Sorologia reagente = tratar de acordo com a fase clínica
150
Qual a forma de uso adequada de adesivo como método contraceptivo?
Uso semanal alternando locais de uso. Na 4a semana, retirar para menstruar ou colocar o adesivo se não quiser fazer essa pausa.
151
Qual a forma de uso adequada de adesivo como método contraceptivo?
Colocar ao redor do colo do útero e deixar por 3 semana, retirar na quarta semana para menstruar ou trocar o anel sem fazer essa pausa
152
Como é feita a VLP com cromotubagem?
Injeção de contraste pela vagina durante VLP
153
Qual a indicação de VLP com cromotubagem?
Avaliação de permeabilidade das tubas uterinas
154
Como é o metodo de yuzpe para anticoncepção de emergência?
2 doses: 0,2mg de etinilestradiol + 1mg de levonorgestrel
155
Quais as complicações mais comuns do sarampo? (4)
- OMA - Broncopneumonia - Laringotraqueobronquite - Diarreia
156
Qual a principal complicação tromboembolica relacionada ao sleeve?
Trombose de veia porta
157
Qual a composição do conselho de saúde
- 50% usuários; - 25% trabalhadores de saúde; - 25% representantes de entidades ou instituições prestadoras de serviço e gestores
158
Conduta hemangioma hepático > 5cm
- Crescimento < 3mm/ano: nada - Crescimento > 3mm/ano: RMN a cada 6-12 meses ou ressecar lesão
159
Quais condições que permitem a retirada abrupta do corticoide no LES? (2)
- Psicose com corticoide (não passível de controle com antipsicóticos) - úlcera de córnea por infecção pelo herpes vírus
160
Conduta hemangioma hepático < 5cm?
Nada
161
Quando considerar intervenção no hemangioma hepático?
- Sintomas associados - Crescimento em ritmo inesperado
162
Conduta imediata após observar displasia de baixo grau no esôfago de barret?
- terapia antissecretora (IBP) dose dobrada - repetir EDA com 12 semanas
163
Conduta na laringomalacea:
Expectante -> tende a melhorar entre 18-24m
164
Quais as 3 conjugatas do estreito superior?
anatômica obstétrica diagonalis
165
Como está a contagem de reticulocitos na anemia ferropriva?
normal ou baixa
166
Qual a contraindicação absoluta de vacina de febre amarela em paciente com HIV?
CD4 <200
167
Quais medicações são contraindicadas no LES durante a gestação
- Ciclofosfamida - Micofenolato - Metotrexato - Leflunomida
168
Qual a contraindicação do uso da colestiramina?
Obstrução total de VVBB
169
Quais as 3 principais causas de CPK > 100x o limite superior da normalidade?
- Rabdomiólise - Hipotireoidismo - Miopatia provocada por estatinas
170
RN com SDR, mesmo na presença de CPAP nasal com FiO2 elevada, mantem o quadro de desconforto: que conduta tomar?
Administrar surfactante pela técnica INSURE
171
Qual a definição de crescimento vegetativo?
Diferença entre a natalidade e mortalidade Se nasce mais do que morre, população cresce, se natalidade menor do que mortalidade, população diminui
172
Qual critério obrigatório para diagnostico de Kawasaki?
5 dias de febre
173
Quais os critérios de médio risco para Pré-eclampsia? (5)
- Nuliparidade - História familiar de PE ou história prévia de PE sem desfecho adverso - Idade maior ou igual a 35 anos - Fatores de risco pessoais ( baixo peso ao nascer, intervalo interpartal > 10 anos ) - Características sociodemográficas ( afrodescendente, status socioeconômico baixo)
174
Quais os critérios de amsterdã para Sd de Lynch?
175
As curvas de Nelson Moraes englobam quais grupos?
- 1 a 4 anos - 5 a 9 anos - 20 a 49 anos - ≥ 50 anos.
176
Qual o principal distúrbio acido-basico relacionado ao tórax instável?
Acidose respiratória
177
No estudo urodinâmico, a perda urinária com baixa pressão abdominal (inferior a 60 cm H₂O) é sugestiva de:
Deficiência esfincteriana intrínseca
178
Definição anion gap elevado
maior que 12
179
Definição de glicose baixa no Derrame Pleural?
<60 ou <1/2 do plasma
180
Definição de cardiotocografia categoria III?
sem variabilidade ou DIP II ou III repetidas
181
Definição de peso elevado para idade:
Escore >+2 percentil 97
182
Nos leiomiomas ocorre aumento de qual enzima?
Aromatase
183
Qual a definição de rinite persistente?
Maior ou igual a 4 dias na semana por mais de 4 semanas
184
Nos leiomiomas ocorre transformação de estradiol em estrona através de quais enzimas?
Isomerases
185
Características do Lúpus Induzido por Medicações (4)
- Mais brando - Poupa SNC e rins - Não costuma consumir **complemento** - Sem Anti-DNA e anti-Sm aumentados
186
Qual a definição de densidade de incidência?
Frequência com que novos casos de uma determinada doença ou condição ocorrem em uma população ao longo de um período de tempo específico
187
Qual a formula para calculo da densidade de incidencia?
188
Dermatomiosite ou esclerodermia, qual dessas responde bem a corticoide?
dermatomiosite
189
Dermatomiosite ou polimiosite está mais associada a neoplasia?
**Dermatomiosite** apresentam MAIOR risco de desenvolver neoplasias que os pacientes com polimiosite
190
Qual a descrição de adenomiose ao exame fisico?
útero aumentado difusamente de volume (200cm3 ) e consistência pouco amolecida com superfície regular
191
Qual a descrição radiologica da adenomiose?
Miométrio heterogêneo com cistos densos e halo ecogênico periférico
192
Qual as caracteristicas de um linfonodo metastático?
- Hipoecogênico - Calcificações e septações grosseiras
193
Qual o disturbio hidro-eletrolitico mais comum no pós-operatório?
Hipocalemia
194
Qual a fisiopatologia da **hipocalemia** no pós-operatório?
Expoliação de K+ por hiperativação do SRAA
195
No diagnostico de leptospirose a sorologia deve ser solicitada após .... dias
7
196
Qual a principal hepatite da infância?
Hepatite A
197
Como é feito do diagnóstico de hepatite A?
Sintomas sugestivos + elevação de transaminases + alteração de anticorpos (anti-HAV IgM)
198
Em pacientes diabéticos com **hiperK+** com função renal preservada, devemos pensar em qual patologia renal?
Acidose tubular renal tipo 4
199
O sangramento da lesão de dieulafoy é arterial ou venoso?
Arterial
200
O sangramento da lesão de dieulafoy ocorre em qual camada?
Submucosa
201
Como diferenciar embolia e trombose arterial?
- Embolico: FA - Trombótico: aterosclerose claudicação
202
Qual o estrogênio dominante na gravidez? Qual motivo para isso?
- Estriol - É o principal estrogênio produzido pela placenta
203
O que fazer se esquecer uma pílula de ACO? (3)
- Tomar uma pílula (a esquecida) imediatamente ao lembrar. - Tomar a pílula seguinte no horário regular. - Tomar o restante das pílulas regularmente, uma a cada dia.
204
Mixedema pré-tibial está associado a que doença?
Doença de Graves
205
O que fazer se esquecer de tomar 2 ou mais pílulas? (3)
- Sexo protegido por 7d - Tomar 01 pílula imediatamente - Pílulas restantes: se sete ou mais -> terminar o ciclo se menos de sete -> terminar o ciclo e emendar uma cartela
206
Sinais de malignidade no nódulo tireoidiano (6):
- Nódulos hipoecogênicos; - Mais altos do que largos; - Maiores que 1cm; - Contornos irregulares; - Presença de microcalcificação; - Halo mal definido.
207
Qual o nível de TSH aceitável em idoso?
Até 10mUI/mL Obs.: tem que solicitar novamente 2-3 meses após para confirmar
208
Qual tipo de úlcera duodenal mais perfura? E qual mais sangra?
- Anterior perfura - Posterior sangra
209
Mulher 45 anos, com T4 baixo e LDL 280. Como tratar?
Só Levotiroxina Obs.: faz estatinas se for refratário ao tratamento
210
O que fazer com úlcera duodenal perfurada de <2cm?
Rafia do duodeno com PATCH omental
211
O tratamento do hipoparatireoidismo na gravidez consiste na ......
Reposição materna de cálcio e vitamina D. Obs.: Podendo ser necessária também em alguns casos a reposição conjunta de magnésio.
212
Qual é a classificação clássica da acalásia pela classificação de Chicago?
**Classe I**
213
O que diz na classe II e III de Chicago?
- Alterações da I + II: pressurização pan esofágica em 20% das deglutições III: contrações **ESPÁSTICAS** em >20% das deglutições
214
Que lesão capta na fase hepatobiliar?
Hiperplasia nodular focal
215
Que sinal clássico faz ddx com Chillaiditi?
**Chillaiditi** indica a presença de alças intestinais no diafragma Ddx com **Kudelec** (gás em cima do fígado)
216
Qual o valor de PVC normal?
6-10
217
Quando a creatinina vai aumentar na nefropatia por contraste?
Começa a se elevar com **24h** Tem seu pico no **3º ao 7º dia**
218
Qual a principal causa de IRA?
NTA isquêmica ou nefrotóxica
219
Critérios diagnósticos de SIRS na Pediatria
2 ou mais critérios destes, sendo pelo menos um **Leucocitose ou Febre** - leucocitose - febre - taquicardia - taquipneia
220
O que a POAP indica?
**Congestão sistêmica**, reflete a pressão no AE
221
Qual a melhor fórmula para TFG?
CKD-EPI
222
Qual a diferença no uso de derivados 5-ASA e azatioprina nas doenças inflamatórias intestinais?
- 5-ASA: Indução de remissão em formas leves - Azatioprina: tratamento de manutenção (*principalmente se Crohn Grave)
223
Qual a principal diferença da cirurgia de Ferguson e Milligan-Morgan para **hemorróidas internas**
- Ferguson: faz sutura **(F - Fecha)** - Milligan Morgan: deixa aberto
224
Parâmetros hemodinâmicos que indicam administração de dobutamina? (5)
- POAP elevada - PVC elevada - IC baixo - RVP aumentada - SCVO2 baixa
225
Qual a principal diferença entre crupe espasmódico e crupe viral?
- Crupe espasmódico: sintomas abruptos - Crupe viral: sintomas prodrômicos virais
226
O que fazer em gestante sulfatando que cursa com arreflexia?
**DESLIGA A BIC** Obs.: Não faz gluconato de cálcio
227
Qual o quadro clínico clássico de um crupe **espasmódico**?
Criança acorda com estridor durante a madrugada na ausência de sintomas prodrômicos virais
228
Qual a principal hipótese diagnostica diante de uma dismenorreia progressiva?
Endometriose
229
Quais as 6 diretrizes da política nacional de humanização?
- Acolhimento - Ambiência (ambiente confortável e acolhedor) - Gestão participativa e co-gestão - Clínica ampliada e compartilhada (equipe multidisciplinar nas decisões) - Valorização do trabalhador - Defesa do direito dos usuários
230
Qual a diferença de objetivo de tratamento das hepatites B/D e hepatite C?
- Hepatite C -> cura após 12 semanas de tratamento - Hepatite B/D -> cura é mais difícil, sendo mais visado controle de complicações
231
Para SES-PE, diabetes tipo 2 é indicação de colecistectomia eletiva?
Não
232
Para SES-PE, microcalculos é indicação de colecistectomia eletiva?
Sim
233
** Verdadeiro ou falso** Diabetes gestacional é fator de risco de para Pré-eclampsia
Falso
234
Qual doença reumatológica não responde bem a corticoide?
Esclerose sistêmica - esclerodermia
235
Quais doenças hepáticas que contraindicam ACO? (3)
Adenoma hepatico CA hepatico Cirrose descompensada
236
Quais as 5 parasitoses tratadas pela ivermectina?
- Estrongiloidiase - Ascaridiase - Filariose - Oxiuriase - Tricuriase
237
#Amenorreias# Qual grupo de doenças e qual a principal patologia associada a boa resposta ao teste da progesterona?
- Doenças relacionadas a ovulação -> SOP é o principal exemplo
238
#Amenorreias# Quais doenças respondem ao teste da progesterona (5)
- SOP − Hiperplasia adrenal congênita de início tardio; − Tumores produtores de estrogênios e androgênios; − Síndrome de Cushing; − Disfunção tireoidiana; − Hiperprolactinemia.
239
Qual a dose de adrenalina na anafilaxia em pediatria?
0,01mg/kg da solução 1:1000
240
Qual a droga e dose utilizada no pré-operatório em usuários crônicos de corticoide
100 mg de hidrocortisona de 8/8h por um a três dias
241
Qual a droga de escolha para as manifestações cutâneas do LES?
Metotrexato
242
Qual droga recém utilizada no tratamento da nefropatia diabética?
Finerinone
243
Qual a droga utilizada na indução de redução e manutenção da glomerulopatia rapidamente progressiva secundária a LES
- Indução de remissão: Pulsoterapia metilprednisolona (500 a 1000mg/dia por três dias) - Manutenção: ciclofosfamida
244
Qual a duração do tratamento com **Glucantime** na Leishmaniose?
20-30 dias
245
Qual o efeito colateral mais preocupante no uso de **Glucantime** no tratamento da leishmaniose?
Aumento do intervalo QT
246
Qual a duração normal da **fase ativa** do trabalho de parto?
A fase ativa do trabalho de parto usualmente não se estende, além de 12 horas no primeiro parto, e de 10 horas nos partos subsequentes.
247
Como é feito o diagnostico de doença de chagas aguda e crônica?
Aguda: exame parasitológico direto Crônica: sorologia
248
Qual o principal efeito colateral do uso de medroxiprogesterona como método contraceptivo?
Osteoporose *reversível com interrupção da medicação
249
Cite um efeito colateral da ciclofosfamida:
Neutropenia
250
Quais os principais efeitos colaterais da Azatioprina? (3)
- pancreatite - mielotoxicidade - hepatotoxicidade
251
Quais os benefícios do uso da maltodextrina no pré-operatório? (2)
- Redução de REMIT - Redução de catabolismo protéico
252
Quais efeitos colaterais do uso da Quetamina? (4)
- Alucinações - Aumento das secreções das vias aéreas - Aumento de FC e PA - Aumento de fluxo cerebral (contraindicada em hipertensão intracraniana)
253
Cite 2 efeitos colaterais do micofenolato:
- Colite - Neutropenia/mielotoxicidade
254
Cite 2 efeitos do uso da mirtazapina?
- Redução de insônia - Aumento da fome
255
Verdadeiro ou falso A mirtazapina está associada a redução da libido
**Falso** Não altera função sexual
256
Em quantas vias é emitida uma declaração de nascido vivo?
3 vias
257
Quais as 4 categorias de elegibilidade do uso de métodos contraceptivos pela OMS?
1 - Sem restrições 2 - Vantagens superam os riscos 3 - Riscos superam as vantagens 4- Risco inaceitável
258
Em qual dia do ciclo menstrual ocorre queda do FSH na fase folicular?
5 dia - Ocorre para a seleção do folículo dominante
259
Em que posição acontece a insinuação na pelve ginecoide?
Diâmetro transverso ou obliquo
260
Em quem é feito o estudo que está na sua fase 1?
Humanos saudáveis **animais é na pré-clínica
261
Qual marcador associado a Neoplasia de estômago tipo difusa?
E-Caderina - A E-caderina é a principal caderina envolvida na adesão celular epitelial. A redução de sua expressão está envolvida na progressão de alguns tipos de câncer, no potencial metastático e ainda na definição do prognóstico, principalmente nos carcinomas.
262
Qual a medicação de escolha para tratamento da giardíase?
Tinidazol dose única
263
Paciente com enxaqueca e uso de ACO conduta:
- Com aura: contraindicado - Sem aura: contraindicado de >= 35 anos
264
Como está o nível de estrogênio na SOP?
Normal
265
Em qual estágio de Tanner ocorre o estirão masculino?
Inicio: G3 Pico de crescimento: G4
266
Em qual estágio de Tanner ocorre a ginecomastia masculina?
G3
267
Quantos centímetros cresce um menino na puberdade
9-10cm
268
Em qual estágio de Tanner ocorre o estirão feminino?
Inicio: M2 Pico: M3
269
Quantos centímetros cresce um menino na puberdade?
8-9cm
270
Qual medicação e dose evitam síndrome hepatorrenal em paciente com PBE?
Albumina - 1,5 g/kg no primeiro dia (ao diagnóstico) - 1 g/kg no terceiro dia
271
Qual a historia natural da doença na SDR em neonatos?
Evolui com piora progressiva nas primeiras 48 a 72 horas e depois começa a melhorar
272
Qual o exame com maior especificade para HDB?
Colonoscopia
273
Qual exame que avalia prognóstico nas hepatites virais?
INR
274
Qual exame deve ser solicitado em paciente com sangramento uterino anormal na menopausa?
USGTV - avaliação de tamanho do endométrio - < 4mm: normal - 4-5mm: alterado
275
Quais as indicações de biópsia endometrial no sangramento uterino anomal em pacientes **menopausadas** (4)
- Endometrio > 4mm - Endometrio heterogeneo - Endometrio nao visto ao USG - Sangramento persistente
276
Qual exame deve ser solicitado para avaliação de trauma **uretral**?
Uretrocistografia retrógrada
277
Quais exames obrigatórios a serem solicitados no grupo C de dengue? (3)
- Hemograma - Albumina - Transaminases
278
Quais exames obrigatórios na criança com Sd de down? (4)
- ECOTT - Hemograma -> ver leucemias - Hormônios tireoidianos - Cariótipo
279
Quais exames devem ser solicitados na sepse neonatal? (6)
- Hemocultura - Hemograma - PCR - LCR - Rx toráx - Urocultura
280
Quais exames devem ser solicitados no estadiamento de Ca de esôfago? (3)
- Ecoendoscopia: Avalia T e N - TC abdômen e tórax: avaliar invasão de estruturas adjacentes, avaliar metástases à distância e linfonodos acometidos. - PET: doença a distância *se Ca de esofâgo médio pode solicitar broncoscopia (avaliação de fístula)
281
Qual o melhor exame para avaliação de T e N no estadiamento de Ca de esôfago?
Ecoendoscopia
282
Qual a faixa de nível ideal de beta-hcg para uso de metotrexato na gestação ectópica?
2000-5000 - Abaixo: conduta expectante - Acima: cirurgia
283
Quais exames utilizados para definir tipo e risco da leucemia do paciente? (4)
- Mielograma - Imunofenotipagem - CITOGENÉTICA - Biologia molecular
284
Qual a dilatação para definição de fase ativa de trabalho de parto pela SES-PE?
6cm
285
Em qual fase celular está o folículo primordial?
Diploteno da profase da meiose I
286
Quais as 3 fases da evolução do coqueluche?
1. Catarral 2. Paroxística -> tosse com guinchos e vômitos 3. Convalescença
287
Quando o folículo sai de terciário para pré-ovulatório ele vai para qual fase de divisão celular?
Metáfase da meiose II
288
Quais as 3 evolutivas da leishmaniose?
1. Inicial -> sintomas inespecificos 2 -> mais comum da prova: febre, pancitopenia, esplenomegalia 3. final -> anasarca, ascite, hemorragia
289
Quais as 4 fases da intoxicação exógena por paracetamol?
I: inicial -> vômitos, náuseas, sudorese II -> hepatotoxicidade laboratorial 1 a 2d III -> falência hepática + sintomas da fase I 3 a 5d IV -> convalescença
290
Quais as 2 fases da leptospirose e suas características?
1. LEPTOSPIRÊMICA 2. IMUNE (convalescença)
291
Quais as caracteristicas da primeira fase da leptospirose?
Sinais clássicos - febre, cefaleia, sufusão conjuntival, dor panturrilha
292
Quais as características da fase de convalescença da leptospirose?
- Recrudescimento da febre, meningite asséptica (LMN OU PMF com < 500 cels), uveíte anterior -> em 10-15% dos casos, esta fase pode virar ICTERO-HEMORRÁGICA (Síndrome de Weil: icterícia, disfunção renal e sangramentos
293
Quais os fatores de proteção para Miomas? (4)
- Tabagismo - Uso de ACO - Dieta rica em vegetais - Multiparidade.
294
Qual fator de risco importante e específico para placenta prévia?
Parto prematuro prévio
295
Cite 4 fatores de risco para miomas:
-Obesidade -Raça negra -Dieta rica em carne vermelha -HAS
296
Podemos utilizar alopurinol na exacerbação de GOTA?
NÃO
297
Qual a fisiopatologia da acidose tubular renal tipo 4?
Hipossensibilidade à aldosterona *comum em diabéticos
298
Qual a fisiopatologia da dispneia da síndrome hepato-pulmonar?
Quando o paciente está em posição ortostática o sangue por ação gravidade passa a perfundir melhor as bases pulmonares onde predominam os shunts, gerando hipoxemia e dispneia.
299
Qual a fisiopatologia da Síndrome genitourinaria da menopausa:
- Atrofia do epitélio vaginal - Redução de glicogênio - Redução de lactobacilos -> aumenta o PH.
300
Qual a fisiopatologia do aumento de produção androgênica na SOP:
Defeito intrínseco das células da **teca**com hiperplasia dessas células
301
Qual a fisiopatologia da Acne na SOP?
- hiperqueratose - produção excessiva de sebo - proliferação de Propionibacteriun acnes comensal
302
Qual o tempo para definição de fissura anal crônica?
> 6 semanas
303
Quando a fissura anal NÃO está na **linha média e posterior** devemos pensar em quais doenças?
- Doenças inflamatórias intestinais - HIV - Sifilis - Tuberculose
304
Fístulas anais são retilíneas e anteriores até quantos centímetros?
3cm *Após esse tamanho, podem ser curvas
305
Qual a fase posterior ao folículo Antral?
Folículo pre ovulatorio ou de GRAAF
306
Qual fator de risco não habitual para trabalho de parto prematuro?
Multiparidade
307
Qual fator de risco não habitual aumenta risco de conversão de **colelap** para cirurgia aberta?
Sexo masculino
308
Cite 3 fatores de risco para TEA:
- Idade elevada dos genitores - ISRS - Acido valproico
309
Quais fatores de risco para dismenorreia primária?
- Idade < 30 anos - Menarca precoce - Nuliparidade - Períodos menstruais prolongados - Tabagismo - IMC < 20 - Abuso sexual
310
Cite um fator de risco importante para tumor de Klatskin:
Colangite de repetição
311
Verdadeiro ou Falso Tabagismo é fator de risco para pré-eclampsia?
Falso
312
Qual a frequência de ventilações na RCP pediátrica com via área avançada
20-30
313
Paciente gestante portadora de HIV com 37 semanas em trabalho de parto prematuro e carga viral negativa com 35 semanas: qual a conduta?
Parto vaginal sem uso de AZT
314
Qual a fisiopatologia para gestação com fator de risco para colelitiase e coledocolitiase?
Progesterona diminui atividade contrativa da VB
315
#Modificações do organismo materno na gestação# Como fica a: 1. Capacidade residual funcional: 2. Capacidade respiratória total:
1. Diminui 2. Mantém
316
Como fica o gradiente alvéolo-arterial de O2 na insuficiência respiratória hipoxêmica?
Aumenta
317
Complicação grave do uso de drogas antireoidianas (metimazol/PTU)?
Agranulocitose (< 500 granulócitos)
318
Quando suspeitar de agranulocitose em pacientes com uso de drogas antireoidianas?
Paciente com febre e queixa infecciosa de orofaringe ou pele
319
Qual a droga antitireoidana de escolha no 1 trimestre da gestação?
PTU (propiltiouracil)
320
Qual a droga antitireoidana de escolha a partir do 2 trimestre da gestação?
Metimazol
321
Como está o nível de glicose na meningite bacteriana?
- < 40 ou - Glicose LCR/sérica < 40%
322
Quais os graus de HAS na pediatria:
- PA elevada: percentil 90-95 - HAS estágio 1: >p95 até p95 + 12mmHg - HAS estágio 2: ≥ p95 + 12 mmHg
323
Qual a categoria para uso de ACO em HAS > 160x100?
**4** se < 160x100 é categoria 3
324
Qual o esquema de hidratação e meta de diurese em paciente com rabdomiolise:
- Hidratação salina isotônica: 1-2L/hora - Meta diurese: 200-300ml/h
325
Qual doença hematológica esta associada a hemácias em alvo?
Talassemia
326
Quais hérnias que são mais comuns em mulheres?
- Femoral - Obturatória - Umbilical
327
Hipertensão intra-abdominal graus:
1: 12-15 2: 16-20 3: 21-25 4: > 25
328
Qual a definição de síndrome compartimental abdminal (SCA)
PIA >= 20 (por no mínimo 3 medidas) + disfunção orgânica
329
Hiperinsulinemia fetal aumenta riscos de que doenças respiratórias do RN?
- SDR - TTRN -> por cesáreas sem TP - HPP -> macrossomia leva à asfixia intrautero
330
Hipótese se sangramento nao parar após clipar o ligamento hepato-duodenal (Veia porta e A. hepática)?
Sangramento de veias hepáticas
331
A ovulação corre, - Após ......... horas do pico de estrogênio - ....... horas do **início** do pico de LH - ....... horas do **pico** de LH
- 24-36hrs - 34-36hrs - 10-12hrs
331
Qual o tratamento **medicamentoso** do hisurtismo secundário a SOP?
ACO - com progesterona ANTI-ANDROGENICA -> ciproterona, desogestrel, drospirenona *esperar 6 meses para reavaliar -> pode adicionar espironolactona ou finasterida
332
Em qual parte da bexiga estão os receptores **beta** adrenérgicos?
Cúpula vesical
333
Em qual parte da bexiga estão os receptores **alfa** adrenérgicos?
Trígono vesical
334
Qual idade considera-se puberdade precoce em meninas?
< 8 anos
335
Qual o índice de líquido amniotico considerado normal?
5-24
336
Paciente com IMC normal pode ganhar quantos quilos na gestação normal?
11,5-16,5kg
337
Qual imunobiologico mais seguro para uso na gestação?
Certolizumabe
338
Como se calcula a incidência cumulativa de uma doença?
Número de casos novos dividido pela população EXPOSTA
339
Qual a indicação da broncoscopia em Ca de esôfago?
Tumor de terço médio: avaliação de fístula
340
Qual a indicação de indicação de enoxaparina em dose plena na SAAF?
Se historia previa de evento tromboembolico *se teve perda gestacional faz anticoagulação profilática + AAS
341
Qual a indicação de operar adenoma hepático?
- Sintomas - >5cm
342
Qual a indicação de transfusão de plaquetas na PTI?
Sangramento grave (TGI ou SNC)
343
Como é calculado o índice de choque?
FC/PAs
344
Qual valor do índice de choque valor é alerta para inicio de protocolo de transfusão maciça em hemorragia pós-parto?
>= 0,9
345
Quando podemos dizer que o feto está insinuado?
Vértice atinge o plano zero de DeLee
346
Qual o cariótipo da Sd de Klinefelter?
47XXY
346
Qual intoxicação exógena dificulta uma possível IOT?
Organofosforados *Associa-se com síndrome colinérgica, havendo ativação maciça de acetilcolina que gera: Hipersalivação e broncorreia
346
Com quantas semanas interromper gestação em paciente com hipertensão gestacional?
Induzir com 37 semanas
347
Qual a relação fisiopatologica da insulina na SOP?
Insulina faz a função do LH nas células da teca, aumentando a quantidade de androgenios
347
A intradermorreação de montenegro nunca está postiva na fase (aguda/crônica) da doença
Aguda *esta reação é o "PPD da leishmaniose"
348
Qual o principais achados laboratoriais da leishmaniose? (3)
- Hipergamaglobulinemia policlonal - Anaeosinofilia com linfocitose relativa - Leucopenia com neutropenia
349
Lactentes em aleitamento materno exclusivo podem passar até ........... dias sem evacuar, não sendo considerado como obstrução intestinal
7-10 dias
350
Qual a relação de ACO e a lamotrigina:
Estrogênio dos ACO aumenta a degradação da lamotrigina e isso aumenta a chance de episódios de crise convulsiva -> Usar progesterona ou LARC
351
Qual lesão hepática está mais associada a sangramentos?
Adenomas hepáticos
351
O leite (anterior/posterior) é rico em ácidos graxos de cadeia insaturada
posterior
352
Qual a indicação de realização de tomografia de triplo contraste?
Lesão por arma branca em flanco e dorso
353
Quais lesões ósseas são mais específicas de traumas de alto impacto?
Escapula, esterno e costelas
353
Qual o outro nome do ligamento inguinal?
Ligamento de Poupart
354
Qual o local mais comum de fissura anal?
Linha média posteiror (90% dos casos)
355
Lesão à cavaleiro atinge quais porções da uretra?
Anteriores (bulbar e peniana)
356
Qual fenômeno leva ao surgimento de receptor de LH na teca e na granulosa dos folículos que não foram selecionados?
luteinização da granulosa
357
Qual maior causa de morte jovens 15-29a?
Agressão *a 2 é suicídio
357
Qual a maior causa de hospitalização dos 5 aos 9 anos de idade?
Quedas
357
Qual a maneira efetiva de tamponar sangramento na zona I do trauma cervical?
Sonda de foley insuflada até exploração
357
Qual a maior causa de morte no sarampo?
Pneumonia bacteriana secundária
358
Cite 2 manifestações atípicas da doença celíaca?
- infertilidade - hipoesplenismo -> pode ter corpúsculos de howell jolly
358
Qual o maior fator de risco para sepse neonatal precoce?
febre materna intraparto
359
Quais as manifestações clínicas da crioglobulinemia? (4)
- púrpura palpável - nefrite - neuropatia periférica - queda de complemento
360
Cite e descreva 3 manobras do parto pélvico:
Rojas: rotaciona 180 graus Deventer-Muller: pêndulo para tirar o braço Mauriceau: 2 dedos (mão) na boca e traciona
361
#Marcos do crescimento uterino# 12sem: 16sem: 20sem: 40sem:
362
2 marcadores do Ca gástrico intestinal:
- Beta catenina - P53
363
Marcador do colangiocarcinoma:
CA 19-9
364
Quais os 4 passos do método clinico centrado na pessoa (MCCP):
I. Explorando a saúde, a doença e a experiência da doença. II. Entendendo a pessoa como um todo: o indivíduo, a família e o contexto. III. Elaborando um plano conjunto de manejo dos problemas. IV. Intensificando a relação entre a pessoa e o médico.
365
Quando usar anti-hipertensivos na hipertensão gestacional? (3)
- PA >= 150 e/ou 100 mmHg - PA : 140 e/ou 90 mmHg persistente - Sintomas
366
Qual o mecanismo de diarreia pelo rotavírus?
Osmótica
367
Medicações usadas na asma induzida por exercícios físicos
CI + LABA
367
Qual o medicamento permitido para IC na gravidez
digoxina -> principalmente se sintomas por FA
368
Qual **medida terapêutica** é mais rápida na redução dos níveis de cálcio numa hipercalcemia?
Calcitonina *mas a hidratação vigorosa é a mais importante
369
Qual o melhor anticorpo para a doença celíaca em jovens?
ANTI GLIADINA DEAMINADA
369
Quais condutas para sindrome de lise tumoral:
1 - hidratação 800-1000 ml/m2/dia 2- alopurinol e rasburicase *NÃO ALCALINIZAR
370
Qual o menor diâmetro da bacia?
Estreito medio -> bi-isquiático (10 a 10,5cm)
370
Como fazer o método contraceptivo da temperatura basal?
medir temp todos os dias a partir da menstruação-> Evitar relação desprotegida durante 3 dias em que ocorrer ascensão da temperatura, no mínimo, de 0,2 graus (ação da progesterona)
371
Qual o método mais fidedigno para datação de gestação?
USG no primeiro trimestre, quando o CCN está por volta de 45-84mm
372
#Modificações do organismo materno na gestação# 4 modificações do TGI
- diminui tônus do EEI - aumenta gastroparesia -> os 2 aumentam DRGE - diminui contração da VB -> risco de litíase - aumenta FA
373
O possivel hiperestrogenismo da sop se dá atraves de que processo?
Aumento periférico no tecido adiposo - androstenediona -> ESTRONA
374
Qual a ordem da evolução do foliculo na foliculogenese?
1. Primordial 2. Primário 3. Secundário ou Pré-Antral 4. Terceario ou Antral 5. Pré ovulatório ou Graff
375
O útero deixa de ser um órgão pélvico por volta de (tempo)?
12 semanas de IG
375
#Modificações do organismo materno na gestação# O que acontece com a PA na gestação:
- Redução de 5-10mmHg na PAS e de 10- 15mmHg na PAD -> Reflete a baixa resistência vascular periférica (RVP): 2o trimestre, o shunt placentário faz com que haja queda da pressão, principalmente a pressão arterial diastólica (PAD)
376
Qual o objetivo da queda de VDRL na gestação:
Queda de **2 titulações** em: − 6 meses→sífilis recente − 12 meses→sífilis tardia. − Por exemplo: 1/32→1/8 (em 6 meses na recente)
377
Qual o mecansimo de ação do letrozol?
inibe a aromatase
378
#Modificações no organismo materno na gestaçao# Quais parâmetros respiratórios aumentam na gestação (3)
- Diâmetro torácico - Volume corrente (com FR mantida) - pO2 aumenta
379
Qual a pega ideal do forceps e quais os 3 pontos de referencia para verificar pega?
Pega **biparietomalomentoniana** Verificação: - Fórceps abaixo da fontanela - Fenestras não acessíveis/visíveis - Sutura sagital equidistante
380
Qual a fisiopatologia para uso da metformina na SOP:
Metformina -> diminui resist periferica à insulina -> cai hiperinsulinismo -> diminui feedback insulina LH -> facilita desenvolvimento dos folículos *mais de 90% volta a ovular
381
Quais as particularidades da sop na adolescente:
- Policistose ovariana não usa em adolescente - Tem que ser hisurtismo/acne moderada à grave na adolescente - Deve reavaliar após 8a da menarca
382
Qual o método de progesterona que não pode no pós parto amamentando?
Injetável trimestral *só pode a partir da 6 semana
383
Quando a mulher pode usar método hormonal se tabagista >35a?
se <15cig/d pode fazer injetável mensal
384
Quando escolher o primeiro ramo pra entrar no fórceps de Simpson (2)?
- Esquerdo (OP e OS) - Posterior (transverso ou obliquo)
384
Quando começar ácido fólico na gestação?
- 30 dias antes -> baixo risco (0.4mg) - 3 meses antes -> alto risco (4mg)
385
Quando fazer progesterona em uma TRH que ja fez Histerectomia total abdominal?
Passado de endometriose
385
Quando optar por salpingectomia/salpingostomia na ectopica?
- Trompa Íntegra: salpingostomia (preserva trompa) - Trompa Rota: salpingectomia
386
Quando solicitar coombs **indireto** no PN?
Coombs indireto (se Rh negativo) - 1a consulta ou 24 sem - repetir em 28-32-36-40 sem -> mensal a partir do 3 tri
387
quando retratar sifilis na gestação?
- títulos não caíram o suficiente - aumentou 2 titulações - sintomas
387
Que estrogênio predomina na SOP
Estrona
387
A partir de qual fase da foliculogenese começa a precisar de FSH?
Do folículo secundário para frente
388
#Modificações organismo materno# Quais parâmetros cardiovasculares aumentam na gestação?
- DC (>50%) - FC (sobe 15-20bpm)
389
Qual hormônio é um marcador de reserva ovariana que pode ser dosado em qualquer fase do ciclo?
Antimulleriano *se >1 ja é alto
390
A aromatase transforma quais androgenios em estrogenios na conversão periferica?
Conversão periferica - Andostenediona -> estrona -> estriol - Testosterona -> estradiol *androgenios em estrogenios pela aromatase
391
Como está o muco cervical na fase folicular e lutea do ciclo menstrual?
- Folicular: fluido para permitir esperma passar (estrogenio) - Lútea: obtêm FILÂNCIA para evitar que outro esperma passe (progesterona)
391
Se CCN ........ espera-se ver embrião com BCF
>5-7mm *se não tiver, é obito embrionário
392
Se DMSG (diâmetro médio do saco gestacional) ≥ ......... ou Vesícula vitelínica ≥ ........ → espera-se ver EMBRIÃO
≥ 20 – 25mm 5 – 6mm
393
se puder escolher 1 USG para fazer na gestação inteira, qual seria?
2 tri - morfológico e com boa datação
394
Tempo para voltar a utilizar método contraceptivo combinado após parto:
- amamentando >6m - sem amamentar >21d
394
Seguimento da mola após procedimento de esvaziamento:
1. Hormonal: - dosagem semanal de beta-hcg ate negativar 3x seguidas - depois mensal por 6m 2. Rastreio de metastases: - Rx tórax (mtx pulmonar) - USGTV (invasão miometrial) - Exame especular (mtx vaginal) 3. Contracepção eficaz
395
Qual ponto extremamente importante no seguimento da mola após procedimento de esvaziamento:
Anticoncepção eficaz por 12 meses -> o b-hcg é o marcador de parametro de resposta terapeutica -> se engravidar novamente, perde ele * DIU é contraindicado
396
Qual a fórmula de Parkland pelo **ATLS**?
SCQ X PESO X **2** - 50% em 8h - 50% em 16h
397
Pulsos rápidos de GnRH favorecem a liberação de ....
LH
398
Pulsos lentos de GnRH favorecem a liberação de ....
FSH
399
Possíveis indicações de cirurgia no torax instável (4)
Todas menos a D
400
Quando acontece a luteinização da granulosa?
Quando há uma concentração de estrogênio de 200 pictogramas por, pelo menos, 50 horas.
401
Qual a zona mais perigosa no trauma cervical? Quais as delimitações?
- Zona 2 - Da cricoidea ate o ângulo da mandíbula
402
Tratamento padrão para Adenocarcinoma de Vesícula Biliar T1a:
Colecistectomia isolada Obs.: pode ser no T1b sem invasão
402
Sinônimo de Bolsa de Hartmann?
Infundíbulo da VB
403
Tratamento do Colangiocarcinoma tipos III
Mesmo do I e II -> colecistectomia + ressecção das VB extrahepáticas + linfadenectomia + lobectomia hepática
404
Que grau de tumores de VB são tratados apenas com colecistectomia?
T1: - T1a - T1b
405
Quais os tumores que podem fazer transplante hepático?
- Metástase de tumor neuroendócrino - Hepatocarcinoma
406
Ordem de ocorrência dos colangiocarcinomas:
1- Klatskin 2- Distal 3- Intra-hepático
407
Qual exame utilizar em criança com hemorragia digestiva sem abd agudo?
Cintilografia
408
Quais Hipóteses diagnósticas em criança com hemorragia digestiva sem abd agudo?
Divertículo de Meckel e MAV
409
Que tipo de **plasma** um paciente A pode receber
A e AB - Os 2 que não tem anti-A (o B tem)
410
Qual o tratamento da Dç de Crohn **moderada a grave**?
Biológico (...mab) + imunomodulador (Azatioprina)
411
Vacina da febre amarela e amamentação: quando é permitido?
>6m OU <6m com pausa de 10/28d antes e após
412
Tratamento da Sd de Mirizzi tipo IV:
Colecistectomia + **anastomose biliodigestiva**
413
O que é a Sd de Bouveret?
Fístula da via biliar com estômago
414
Na SES-PE, qual o tumor mais comum de apêndice?
Carcinoide
415
O útero deixa de ser um órgão pélvico por volta de ........ semanas de IG.
**12** semanas 20s - na cicatriz 38-40s - no xifoide
416
Qual sexo que prediz risco na Síndrome da Morte Súbita do Lactente (SMSL)?
Masculino
417
Quanto tempo pode vacinar para sarampo após exposição?
Até 72h pós exposição
418
Por quanto tempo os anticorpos IGM do sarampo permanecem positivos?
30 dias
419
Quando pensar em mexer na infusão de insulina na CAD?
**Quando a acidose estiver compensada** (Glic <250; PH 7,3; Bic >15; AG 10)
420
Quando adicionar glicose no soro da CAD?
Glicose < 250
421
Quando tratar PTI? (2)
- Plaquetas <30k - Plaquetas >30k com sangramento importantes (SNC ou TGI)
422
Porcentagem englobada por cada DP na curva de Gauss:
+- 1DP = 68% +- 2 DP = 95,5% +- 3 DP = 99,7%
423
Por que a gravidez humana não tem uma distribuição normal?
Porque ocorrem muito mais nascimentos de crianças antes do termo do que pós termo.
424
Tríade da **Seguridade social (Modelo Beveridge)**
425
Por que o Brasil não segue o padrão normal de transição epidemiológica?
Porque, apesar de aumentar as DCNT, ainda tem muito infectoparasitário
426
Relação do Z-score com os Percentis: (4)
- Percentil 50: Z = 0 - Percentil 85: Z = +1 - Percentil 97: Z = +2 - Percentil 99,9: Z = +3
427
Quantos kg uma criança ganha por ano após o primeiro ano de vida?
Crianças com: - 1 a 3 anos ganham **2kg/ano** - 4 a 9 anos ganham **2-3kg/ano**
428
**Regra do meio** para altura da criança:
429
Quando pensar em tratar IST em homem com prostatite?
- <35a sexualmente ativo - >35a com vida sexual de risco
430
Tipo de diarreia causada pela E. coli enterotoxigênica:
**Secretória** E não é inflamatória
431
Segundo o Sabiston, qual o tempo pra fazer toracotomia de reanimação:
- 5 minutos no trauma fechado - 15 minutos no trauma aberto
432
Paciente pós trauma com líquido livre e TC s/anormalidades, no que pensar?
**Lesão de viscera oca** CD: laparotomia
433
Se lesão de platisma, sempre deve fazer exploração. V ou F?
Falso. Se estável pode fazer imagem
433
Tratamento de infecção por E. coli produtora de shiga toxina:
Apenas **suporte** Se tratar aumenta risco de SHU
434
Quais os antibióticos usados no tratamento da forma grave da leptospirose?
- Penicilina G Cristalina ou - Ceftriaxone
435
Quais os antibióticos usados no tratamento da forma leve da leptospirose?
- Doxiciclina ou - Amoxicilina
436
Tratamento da Endocardite empírica:
Ampicilina + Oxaciclina (ou vanco) + Gentamicina (enterococo)
437
Qual das arboviroses cursa com rash tardio?
Dengue (3-4d)
438
Que medicamento, junto dos AINES são proibidos na fase inicial de doenças exantemáticas?
Corticoides
439
Quais são os CA da Sd de Lynch?
Endométrio, delgado, ovário, estômago, glioma cerebral e ureter.
440
Qual dos CA de Esôfago é mais invasivo? Qual dado que comprova isso?
CEC A margem pra ressecção do tumor precoce é de 200 micra e do AdenoCA é 500.
441
Opção para tumor de esôfago distal >T1?
Adenocarcinoma: Esofagectomia cervico-abdominal
441
Quando fazer laparoscopia Pré-op no Adenocarcinoma de Estômago?
Em pacientes T3, T4 ou N positivo.
442
Para que servem os critérios de Milão?
Indicar tx hepático em pacientes com HCC
442
Por qual motivo realizar laparoscopia Pré-op no Adenocarcinoma de Estômago?
Para avaliar carcinomatose peritoneal
443
Quando está permitida a ressecção transanal do Câncer de reto? (3)
- Tumor polipoide - Precoce (T1) - < 2cm
444
Qual melhor exame para avaliar T e N no CA de esôfago?
USG endoscópico
445
Quando avaliar endométrio na AGC?
- > 35a - < 35a com SUA
446
Qual melhor opção para o tto clínico da adenomiose?
SIU LNG
446
Tipo do Derrame Pleural na embolia pulmonar:
**Unilateral** Exsudativo (80%)
446
Método preferencial para diagnosticar TB no Derrame pleural?
**ADA** Obs.: Cultura só positiva em 30-50% das vezes
446
Quando SÓ internar na enfermaria pelo CURB-65?
- 2 -> avaliar internamento - 3 -> internar - 4-5 -> avaliar UTI
446
Na Pneumonia, qual o esquema ATB ambulatorial?
Macrolídeo + beta lactâmico OU Quinolona resp
447
Na Pneumonia, quais as indicações para mudar o esquema ambulatorial? (3)
- Comorbidades - Uso prévio < 90d - FR para Pneumococo resistente
447
PNM com DP persistente após drenagem: próxima conduta?
**Decorticação pulmonar**, por videotoracoscopia ou aberta
448
#**Sífilis** Se a mãe foi adequadamente tratada, qual o passo que pode mudar conduta? O que fazer?
VDRL do RN 2 titulações maior que a mãe Raio X, Lab e Coleta de LCR
449
Qual Agente Etiológico clássico da sepse neonatal precoce e que não está na tardia?
**GBS**
450
Qual exame laboratorial de LES serve para acompanhar o tratamento? E qual não serve?
- Anti DNAse - FAN
451
Padrão do FAN no LIM:
Homogêneo
452
O anticorpo **antitopoisomerase 1 (anti-Scl 70)** é preditor de mau prognóstico, sendo marcador de risco para o desenvolvimento de ...........
doença intersticial pulmonar.
452
O acometimento cutâneo sistêmico na esclerodermia deve ser tratado com ........ (3)
Metotrexato, ciclofosfamida e micofenolato.
453
Qual o valor da PAM/PAS para abrir protocolo de ME?
> 65mmHg ou >100mmHg
454
Tipo de hiperbilirrubinemia da sepse?
**Direta** Obs.: Colestase transinfecciosa ALT E AST sobe pouco
455
Tempo que o paciente deve permanecer **pronado** na SDRA grave:
12-16h/dia
456
Tratamento de CA de reto baixo?
RT + QT -> CG
457
Onde fica o reto baixo?
Entre 4-8cm da borda anal
458
Precisa de biópsia pra fazer GDP?
Não. AdenoCA pode ser visto pela clínica e definido na biopsia após
459
Segundo a diretriz brasileira de assistência ao parto, qual a peridiocidade da ausculta fetal no 2º período do parto?
5min
459
Segundo a diretriz brasileira de assistência ao parto, qual a peridiocidade da ausculta fetal no primeiro período do parto?
30-15min (baixo/alto risco)
460
Por que a SOP é normoestrogênica?
Apesar de existirem diversos folículos, eles se encontram em fases iniciais de desenvolvimento, não sendo capazes de aumentar a produção de estrogênio.
460
Qual forcipe tem articulação deslizante?
Kielland
461
Quais outros nomes para elefantíase vulvar e linfogranuloma?
- Estiomene - Doença de Nicolas Favre
462
O que é e como diferenciar Sd de Evans de PTI?
Síndrome de Evans é a **associação da PTI e anemia hemolítica**, entretanto a paciente não apresenta o quadro sugestivo de anemia, não apresentando palidez cutâneo-mucosa e astenia, por exemplo.
463
Por que o coeficiente de mortalidade aumenta com o aumento da testagem?
Porque se você testa mais, mais casos de óbitos que seriam casos indefinidos, serão correlacionados à doença específica
464
De acordo com a SES-PE, qual o tratamento de giardíase?
Tinidazol, metronidazol ou nitazoxanida + Albendazol por 5d
465
Entre **VHS ou PCR**, qual o melhor reagente de fase aguda nas doenças reumáticas?
PCR é mais fidedigno
466
O HLA-B27 tem relação com ....
maior acometimento extra-articular.
467
Quando o anti-RNP está muito elevado, denota .....
uma doença mista do tecido conjuntivo ou então um overlap/sobreposição de colagenoses.
468
Quais os efeitos colaterais principais do uso de MTX?
Toxicidade medular, hepática e pulmonar
469
Sintomas da DMTC (Doença Mista do Tecido Conjuntivo):
A DMTC junta características da esclerose sistêmica, polimiosite, artrite reumatoide e LES. − Fenômeno de Raynaud (ES); − Fraqueza muscular (PM); − Artrite deformante (artrite reumatoide); − Rash malar (LES).
470
O que é padrão full house?
471
O que é a cirurgia de Fein e quando usa?
- Colecistectomia associada a ressecções hepáticas dos segmentos 4b e 5 (do leito da vesícula biliar) + linfadenectomia - A partir de T2 ou T1b
472
Qual é o procedimento mais usado para excisão de cisto de colédoco? E para quais tipos de cisto ela é feita?
**I, II e IV**: colecistectomia + ressecção das vias biliares extra-hepáticas e lesões císticas + reconstrução com anastomose bilio-digestiva
473
Qual o tratamentoo do cisto de coledoco tipo III. Como ele é?
Papilotomia endoscópica Coledococele
474
Opções de ATB para colangite grau 2?
- Ceftriaxone + metronidazol ou - Tazocin
475
Quando tratar toxoplasmose na pediatria?
Congênita ou apresentações graves Obs.: Mais leve não precisa -> basta observar
475
Que achado do Hemograma pode ser confundido com blastos?
Linfócitos atípicos
476
O aumento das prostaglandinas é desencadeado pela elevação ............
da progesterona
477
Que hormônio aumenta com a luiteinização da granulosa? Qual o objetivo?
Luteiniza -> produz mais **progesterona** A progesterona estimula os folículos NÃO dominantes à fazer a conversão de progesterona em androgênios -> busca aumentar a libido
478
De acordo com a FIGO, qual o tempo normal do ciclo menstrual?
24-38d
479
Sintomas irritativos CA de próstata:
Sintomas irritativos compreendem **noctúria, urgência miccional e polaciúria.**
480
#**CA de Próstata** Zona dos 3Ps:
- Periférica; - Próstata (ocupa 70% do tamanho da próstata); e - Problema (é nessa área onde a maioria do câncer de próstata de insere).
480
Úlcera com osteomielite/infecção, qual a conduta?
Retalho com músculo associado
480
O que o escore de Madrey usa? (2)
**Bilirrubina e TP**
481
Temos basicamente 3 causas de elevações maciças das transaminases, geralmente > 10x o LSN, são elas 3:
- Hepatites virais - Isquemia hepática - Hepatopatias relacionadas ao uso de drogas
482
O que significa infecção pelo mutante pré core?
**Vírus que não produz HBeAg** Porém HBsAg é positivo, indicando infecção aguda. Transaminases altas também
483
Nervos que podem ser lesados numa herniorrafia aberta: (3)
- **Ilioinguinal** (inerva região medial e superior da coxa) - **Ilio-hipogástrico** (inerva região hipogástrica, ou seja, o púbis e a base do pênis) - **Ramo genital do Genitofemoral** (inerva a genitália, isto é o escroto)
484
Paciente apresentou rabdomiólise após uso de estatina. O que fazer?
Suspende a droga e não volta mais
485
Qual a relação de hipolipemiantes com DM2?
Quanto maior a potência maior o risco Obs.: Pitavastatina é uma estatina que tem risco baixo de evolução para diabetes (assim como a fluvastatina) e de miopatias .
485
Opções terapêuticas da pericardite: (3)
- AINE - Colchicina - Corticoide
485
#**IAM** O segundo antiplaquetário deve ser utilizado durante .......... após o evento agudo.
1 ano
485
Qual o tamanho do saco pra fazer laparoscopia/tomia na Gravidez ectópica?
> 3,5-4cm
485
Criança toxemiada com FSSL, devemos "fazer tudo". O que é isso? (3)
- Internar - ATB empirico - Exames: HMG, HMC, EAS, UROC, RX, LCR
485
Primeiras 3 barreiras na FSSL entre 3-36m:
- T >39 -> sumario - sumario limpo -> HMG - HMG alterado -> RX e HMC
485
O que mais positiva na FR: ASLO ou Cultura de orofaringe?
**ASLO** Cultura depende do tempo curto entre infecção e sintomas
485
Quais vacinas compõem a hexavalente acelular?
- DTPa - VIP - Hib - Hep B
485
Que vacina substitui a DTP nos pacientes com doenças graves/neurológicas?
Hexavalente acelular
485
Oxigênio ajuda ou atrapalha na reabsorção de pneumotórax espontâneo?
**Ajuda** Obs.: não tem relação com esportes e acomete mais tabagistas
485
MULHER jovem com clínica de apendicite aguda (Alvarado 6). opera direto ou faz imagem?
**Opera** Nem faz TC/USG se Alvarado moderado
485
Conduta no paciente com icterícia e BD aumentada, de modo geral:
USG - alterado -> opera - normal -> doença hepática
485
Qual a perda de líquido no paciente com abdome aberto (em laparotomia)?
10-14ml/kg/h. Se deduzirmos ser um paciente com 70kg; podemos ter entre 700-980 ml/h, ou seja, aproximadamente 1L.
485
Quais são os fungos filamentosos? (3) E qual o tto?
Esporotricose, Histoplasmose e Aspergilose Itraconazol é opção
486
Relação de benzodiazepínico e antipsicótico na abstinência alcoólica:
Benzodiazepínico é o TTO Usa antipsicótico se agressividade
486
O que é o SIA SUS?
Sistema de informação ambulatorial
487
Relação do SUS com as ações de saneamento básico:
O SUS **formula e executa**, mas **não financia**
488
O que os receptores alfa e beta fazem na micção?
Receptores alfa irão fechar o colo vesical e os seus receptores beta irão relaxar a cúpula vesical
489
Relação da menopausa e cálcio:
Aumenta a hidroxilação da vitamina D
490
Qual o sinal de Nobile Budin?
Preenchimento do fórnice vaginal.
491
Qual o sinal de Osiander?
Pulsação da artéria vaginal aumentada.
492
Vacinas associadas à PTI: (2)
Hep B e SCR
493
PTI com plaquetas de 8k + hemorragia gengival e petéquias: Qual o tto?
**Prednisona** Obs.: SE GRAVE: Imunoglobulina + pulso com metilpred
494
Quais são os cristaloides balanceados?
- Ringer lactato - Plasmalyte
495
Padrão de dano hepático na leptospirose?
**Colestase intra hepática** -> aumento expressivo de BD Transaminases tocadas com TGO > TGP
496
Melhor parâmetro isolado dos critérios diagnósticos atuais da restrição de crescimento intraútero precoce:
Dopplervelocimetria da artéria umbilical com diástole zero
496
Qual o tumor maligno mais frequente em neonatos?
Neuroblastoma
497
Como está a protoporfirina eritrocitária livre na anemia ferropriva?
**Alto**, pois não tem quem se ligue com ele
498
Os níveis de ureia, creatinina e ácido úrico no líquido amniótico são ...... (menores/maiores) do que no plasma fetal. Explique:
**Maiores** LA é formado principalmente por urina e na urina temos maior concentração desses compostos em relação ao sangue.
499
#**Zidovudina no parto** Quando usar?
- Pacientes que na 34ª semana de IG tem carga viral detectável ou desconhecida (Via EV) Devendo ser iniciada no início do trabalho de parto nos casos de parto vaginal, ou pelo menos 3 horas antes do parto no caso da cesariana, devendo ser mantido até o momento do clampeamento do cordão umbilical
500
Para utilizar os inaladores dosimetrados pressurizados (IDP) com o espaçador e peça bucal, deve-se disparar o IDP e inspirar pela boca, rápida e profundamente, seguida de pausa pós inspiratória de, no mínimo, 10 segundos. O que está errado nessa afirmativa?
A inspiração deve ser lenta
501
Porcentagem da deposição pulmonar média após uso de medicações por inaladores:
50%
502
Quando utilizar nebulizadores para asma?
nunca nunca nunca
503
SpO2 que indica gravidade na asma do adulto?
< 92%
504
O que fazer com paciente que teve crise de asma grave e não respondeu ao primeiro ciclo de b2 + corticoide endovenoso na primeira hora?
- Repetir ciclo de b2 - Considerar CI e MgSO4
505
Qual a principal cardiopatia da Diabetes Gestacional no feto?
Miocardiopatia hipertrófica.
506
Qual o risco (%) de evolução da Pré-DM pra DM2?
**30%** Maior se obeso
507
Relação de cálcio e albumina?
O cálcio mensurado no lab é o que está junto da albumina Se ela cai, o cálcio cai falsamente Por isso tem que corrigir -> Ca + (4-alb x 0,8) Causa frequente de pseudo-hipercalcemia é a hiperalbuminemia.
508
Pielonefrite refratária à ATB + piora de FR e hematúria, em que pensar?
**Necrose de papila** Ela e a pielo enfisematosa estão relacionadas ao DM A enfisematosa geralmente é unilateral e não piora função renal e nem dá hematúria
509
O que é e pra que serve a lockterapia?
ATB + heparina no catéter de longa permanência para evitar ICS
510
Tipo de vacina e complicação da Astrazeneca:
A AstraZeneca é a vacina que usa o vetor recombinante do adenovírus e tem um risco de trombose com trombocitopenia Obs.: Não pode fazer a Jansen se tiver tido isso também
511
Quando fazer uso de Hidroxicloroquina na Sd de Sjrogen?
Manifestações extraglandulares e sistêmicas
512
Qual o pior tipo da classificação de Chicago?
**Tipo I** -> Aperistalse
513
Tipo de cistos de colédoco 1 e 2:
- Tipo 1: cisto extra hepático solitário - Tipo 2: divertículo extra hepático
514
Tipos 4a, 4b e 5 do cisto de colédoco
- Tipo 4a: cistos intrahepáticos e extrahepáticos - Tipo 4b: múltiplos cistos extra hepáticos -Tipo 5: doença de cistos hepáticos múltiplos ou doença de caroli
514
Qual o tto do cisto de coledoco tipo 5?
Lobectomia hepática ou transplante hepático (se doença difusa)
515
Quando é possível operar um CA de estômago apenas pela mucosectomia? (5)
- limitados a mucosa (T1a) - < 2cm - sem invasão linfática (N0) - não ulcerados - tipo intestinal
516
O que o tumor esofágico T4a invade? Qual a conduta?
Mediastino, pleura e pericárdio CD: Pode tentar ressecar
517
Que estruturas o T4b do esôfago invade?
Traqueia, Aorta, Coluna vertebral
517
Qual a pontuação máxima da abertura no índice de Bishop?
> 5 cm
518
Qual o DAB do torax instável?
**Hipercapnia (Acidose respiratória)** Pela lesão não ocorrem trocas eficientes Pode virar mista se hipovolemia
519
O que acontece com o CO2 na gestação?
Reduz a PCO2 por hiperventilação
519
Acontece transmissão vertical do covid?
Pode acontecer
520
Qual a pontuação máxima do apagamento no índice de Bishop?
> 80%
520
Relação da 21-hidroxilase com a SOP:
Está em deficiência
521
Quem transforma a testosterona em diidrotestosterona?
5 alfa redutase
521
#**Incontinência de Esforço** Qual o diagnóstico se PPE > 90?
Hipermobilidade do colo vesical
522
#**Incontinência de Esforço** Qual o diagnóstico se PPE < 60?
Defeito esfincteriano
522
Restrição de idade para o oseltamivir?
**Não tem** Todo paciente alto risco ou com SRAG usa
523
Valor de corte da PTN do LCR:
Maior ou menor que **40** também aumenta nas virais
524
Qual o período de incubação da pertussis?
Dura em média 3 a 5 dias, podendo chegar até 41-42 dias
524
Qual o padrão ouro pro diagnóstico de coqueluche?
Isolamento da B. pertussis por meio de **cultura de nasorofaringe**
524
Qual cirurgia bariátrica está relacionada à melhora da DRGE?
Em Y de Roux
524
Quais as doenças negligenciadas pela OMS? (11)
- úlcera de buruli - doença de chagas - cisticercose - malária - dengue - doença do verme de guiné - doença do sono - leishmaniose - lepra - filariose - esquistossomose.
524
Quando notificar acidente de trabalho imediato?
- óbito - crianças/adolescentes
525
Qual a perda de peso esperada no sleeve?
70% do excesso de peso em 18 meses.
525
Quando e como notificar toxoplasmose?
- gestacional ou neonantal - de forma semanal
525
Sleeve tem dumping. V ou F?
Falso
526
Relação da grelina com Fobi-Capella (Y de Roux):
Ocorre diminuição da produção de grelina, devido ao by-pass.
527
Conduta em nódulo de tireoide segundo a SES-PE:
Nódulo -> TSH - suprimido -> cintilo e descarta - normal -> escala tirads
527
O processo de alocar participantes de pesquisa em estudos de intervenção é denominado de _____________. Ele tem por finalidade controlar por vieses de __________.
randomização confundimento
528
Profilaxias da HIV de acordo com CD4 (3):
- O CD4 menor que 200 aumenta o risco de PPJ; - Se for menor que 100 pensamos em neurotoxoplasmose; - Se for menor que 50 pensamos em linfoma primário no sistema nervoso central e pensamos nas doenças do MAC.
528
Com quantas semanas que interrompe na maioria das Sd gestacionais?
37 semanas HASG HASC PE sem gravidade
528
Qual hepatite está relacionada à Sd colestática?
Hepatite A
528
Vasculite mais comum em criança:
por IgA ou PHS
529
Paciente de 55 anos que apresenta irregularidade menstrual há 03 meses. Qual deficiência de esteróides explica o quadro clínico?
A irregularidade na perimenopausa é por **falta de progesterona**
530
Princípios essenciais da APS (4):
- Acesso (Primeiro contato) - Longitudinalidade - Integralidade - Coordenação do Cuidado
531
Tipos de amostra probabilística (4):
- conglomerado -> tem vários grupos e pega apenas UM grupo inteiro como amostra - sistemática -> define que vai pular de 10 em 10 mas o primeiro é aleatório (2, depois 12, depois 22, depois 32....) - estratificada -> vários hospitais e pegar pacientes de cada hospital - aleatória simples -> nome de 1000 pcts dentro do saco e escolhe 100
531
Segundo a SES-PE, qual o tto de ascaridíase?
Albendazol 400mg DU
531
Quando fazer IG de varicela para RN?
Apenas se a mãe teve varicela 5 dias antes ou 2 dias após o parto.
532
Qual o sítio de CVC que menos causa infecção e trombose?
Subclávia
533
O que a Vancomicina tem que a teicoplanina e linezolida não tem?
Validade pra tratar infecção de corrente sanguínea por S. aureus Obs.: as duas outras causam plaquetopenia
534
Segundo a SES-PE, quais os melhores ISRS para idoso?
O **citalopram** e a **sertralina** Apresentam vantagens farmacocinéticas (meia-vida mais curta, menor potencial para interações medicamentosas) e foram mais estudados em idosos.
535
Quais parâmetros utilizados no Revised trauma score? (3)
- FR - PAS - Glasgow
536
Qual a principal coagulopatia na SUA?
DOENÇA DE VON WILLEMBRAND
537
#**Doença Ocupacional** Shilling é CARA:
**CA**usa **R**isco **A**gravante
538
O que é a 17-OHP?
A adrenal produz cortisol aldosterona e androgrênios. 17 OHP é o **precursor dos androgênios** -> por isso está aumentado na HAC
539
Quem da origem ao terço inferior da vagina?
O **seio urogenital** dará origem à: - glândulas uretrais/parauretrais (Skene); - glândulas vestibulares maiores (Bartholin); - 1/3 inferior da vagina; - epitélio vaginal; - vestíbulo e hímen.
540
Mortalidade materna vai até que dia?
42 dias
541
#**Disgenesias gonadais** Swyer, Turner e .....
**Disgenesia gonadal pura** = XX gônada primitiva não recebeu estímulos hormonais fenotipo infantil Pelos pubianos e estatura normais pela produção de androgênios nas adrenais Há dois tipos de disgenesia gonadal XX: − Surdez neurossensorial (“Síndrome de Perrault”) − Sem presença de surdez
542
Outra forma de calcular o falso positivo:
Especificidade
543
Onde fica o neuroblastoma?
suprarrenal
544
Níveis Swaroop Uemura:
1 - > 75% 2 - 50 -74% 3 - 25-49% 4 - < 25%
545
Para quem fazer IG no sarampo?
- Imunossuprimidos - gestante - < 6m
546
O que significa razão de verossimilhança positiva?
indica quantas vezes é maior a possibilidade de a pessoa ter a doença quando um teste é positivo.
547
O que o RL tem que SF não tem?
Potássio Cálcio Lactato
548
Quando a gestante com CV positiva pode parir normal?
CV < 1000 às 34s Parto normal com AZT 3h antes
548
Pressão do pneumoperitonio de uma VLP:
< 15
549
Opções para profilaxia de Hepatite B:
lamivudina entecavir tenofovir
549
Quando a sutura se aproxima do sacro, mostra-se mais o parietal ............, sendo um ...........
anterior assincilistismo anterior (nagele).
550
Onde ausculta feto córmico?
próximo à cicatriz umbilical
551
Qual o tto de intoxicação por tricíclico?
Bicarbonato de sódio
552
Tipos de ECMO:
ECMO venovenosa -> patologia de parenquima pulmonar ECMO venoarterial -> para IC descompensada
553
Outros 2 ddx de sintomas neurológicos no paciente HIV (+):
Os primeiros são Neurotoxo e LPSNC
554
Perfil da PJP (jirovecii):
Tosse e febre arrastados RX com infiltrado centro -> bibasal + pneumatocele ou normal SEM derrame pleural
555
Qual o principal sítio de metástase do neuroblastoma?
Pulmão
556
Quais as manifestções do tumor de Wilms?
hematúria e hipertensão arterial.
557
Quais as manifestções da Sd de wiskott aldrich? (4)
- plaquetas de volume reduzido - eczema - dermatite atopica - infecções de repetição.
558
Qual a utilidade de AG urinário alto (positivo)?
Se o ânion gap urinário estiver alto (positivo), a provável causa da acidose metabólica de ânion gap normal é renal porque os rins estão acima do intestino. a outra possibilidade era ser por perda de BIC
559
Sistema de Pontuação de Diagnóstico de TB em Criança:
**Tudo que é > de 2, pontua bem** - Clínica > 2 semanas - RX alterado > 2 semanas - Contato com adulto (últimos 2 anos) - PPD > 5-10mm - Desnutrição (peso < p10)
560
Alvo de PA no AVCH:
140-160 mmHg
561
Classficaçao de Csendes (Sd de Mirizzi):
1- Apenas obstrução 2 - Compressão de 1/3 do diâmetro + fístula 3 - Compressão de 2/3 do diâmetro + fístula 4 - Obstrução completa + fístula 5 - Fístula vesícula-intestino
562
Tratamento Sd de Mirizzi Tipo I e II:
563
Tratamento Sd de Mirizzi Tipos III, IV e V:
- III -> colecistectomia + coledocoplastia - IV e V -> colecistectomia + biliodigestiva
563
Tratamento Adenocarcinoma de Esôfago:
- Cross (quimioterapia e radioterapia neoadjuvante + cirurgia) ou - Magic (3 ciclos de quimioterapia neoadjuvante isoladas + cirurgia + 3 ciclos de quimioterapia adjuvante isoladas).
564
Qual tratamento padrão ouro para fissura anal?
Esfincterotomia lateral interna
565
Primeira linha pra dismenorreia primária:
- AINEs - ACO
566
Tratamento de cancro mole:
Azitromicina 1g DU
567
Melhor posição para apresentação de face:
MP
568
Por que Morris não tem útero?
Testículo produz **antimulleriano**
569
Qual malácia é mais comum?
Laringomalácia
569
Mulher sem útero e XY, qual o diagnóstico?
Sempre Morris Mesmo que não tenha características 2ªrias
570
Quando pedir LCR na crise febril?
- < 6 meses - Se status vacinal incompleto ou indeterminado - RNC - Suspeita de meningite ou dúvida diagnóstica (crise complexa?)
571
Valor de Referência de VHS para FR:
30 em Recife 60 alto risco
572
Zona 4 e 5 de Kramer (valor de BT):
573
Particularidades do tto leptospirose:
- diálise precoce - IOT precoce
574
Graus de HIA na Sd compartimental abdominal:
575
Qual a proteína do leite materno?
Lactoalbumina
576
Quanto produzimos de bile por dia?
800ml de bile por dia
577
Melhor tto para giardia:
TINIDAZOL ou METRONIDAZOL por 7d
578
Tiabendazol trata qual agente parasitário?
larva migrans
579
Sinais de IDF em < 12m:
- hipocalcemia - ausência de timo - linfopenia < 2500 - anomalias dos vasos da base
580
Tratamento medicamentoso de TEA grau 2?
Aripiprazol e risperidona
581
O regulador do metabolismo do fósforo é ___________.
**o FGF-23**, que não é produzido na paratireoide, e sim na topografia renal.
581
Valor ideal da PIC pós trauma, na pediatria:
20 mmHg
582
Valor de PIA graus III e IV, e qual a conduta?
- 21-25 mmHg - >25 mmHg Os graus III e IV são associados a síndrome de compartimento abdominal indicado a cirurgia de urgência.
582
Padrão de FAN relacionado a Esclerose Sistêmica:
NUCLEOLAR HOMOGÊNEO
583
Ordem de aparecimento das manifestações mais graves de Lúpus:
1- Neuro 2- Renal 3- Vasculite -> púrpura e petéquias
583
Qual o principal anticorpo, causa de morte e manifestação neurológica da DMTC?
- Anti-RNP -> protege o rim - HAP - Neuralgia do trigêmeo
584
Quem irriga a Dura máter? Qual a implicação disso
**A. meníngea média** Forma o hematoma EPIDURAL Entre as camadas da dura máter também estão os seios venosos
584
Quais são as cobras com efeito local e como diferenciar?
- botrops - lachesis Lachesis tem sintoma VAGAL
584
Os membros de uma equipe de saúde pública têm interesse em controlar a infecção por covid-19 por meio da vacinação. Para estimar o nível da imunidade em uma população específica e obter dados úteis para orientar as políticas de vacinação, que tipo de estudo devem realizar?
**estudo observacional transversal individual (transversal, prevalência ou seccional)** não pode ser ecológico por que tem que saber se cada um tomou a vacina
584
Mnemônico do CEA:
**CLUBS** -> alcoolatras e fumantes
584
Onde fica o LCR?
no espaço subaracnoide
584
Quando surgiu e o que foi o IAPS?
Era Vargas Juntou os CAPS de vários bancários em um só IAPS
585
Nervos lesados na herniorrafia por vídeo: (2)
Cutâneo Lateral da Coxa e Femoral
586
Quais cobras tem efeito sistêmico e como diferenciar?
- Micrurus (lapídico) - Crotalus -> mioglobina, LRA....
587
Do que é composta a vacina Janssen?
Vetor viral Adenovírus tipo 26
588
Do que é composta a vacina Astrazeneca?
Vetor viral partículas do Adenovírus recombinante
589
Qual a declaração tinha como meta **"Saúde para todos no ano 2000"?**
Alma Ata
590
Nervos lesados na herniorrafia aberta: (3)
Ramo GENITAL do genitofemoral -> esse também passa pelo canal DENTRO do FÚNICULO
590
Numerador e denominador da razão de verossimilhança:
- Numerador sempre os doentes - Denominador sempre os não doentes
591
O que uma criança de 3-36m ganha após HMG alterado na FSSL?
HMC + RX tórax
592
Indicações de O2 domiciliar na DPOC:
593
Quando solicitar ECO na ICS?
HMC (+) com **S. aureus**
594
Como ficam as taxas de TGO, TGP e FA na sepse?
LEVE aumento 2-3x VSN
595
Como é o teste que avalia mobilidade na espoindilite anquilosante?
Com o paciente em pé, deve-se fazer uma marca na região lombar na linha média entre as duas espinhas ilíacas posterossuperiores e outra marca 10 cm acima da primeira; Pede-se para o paciente fletir o tronco o máximo possível, sem flexionar os joelhos. A distância medida normal entre as duas marcas deve aumentar de 10 para 15 cm.
596
Qual o tto da espondilite anquilosante?
AINE se não melhorar -> infliximab
597
Qual o valor de Glasgow no TCE leve?
13-15
598
Qual o valor de Glasgow no TCE moderado?
9-12
599
Qual o valor de Glasgow no TCE grave?
< 8
600
Todani tipo II:
601
Qual o tto da artrite séptica não gonocócica?
Oxa + ceft (se suspeita de gonococo)
602
Paciente com POLITRAUMA + FAZ USO DE DOAC, qual a conduta?
transamin hemodiálise complexo protrombínico
603
Principais esquemas de QT pra tumores em gerais: (4)
- Esôfago: cross - Estomago: flot - Pâncreas: folfirinox - VVBB: gencitabina
604
Como fica a PO2 e PCO2 na gestação?
po2 aumenta pco2 cai
604
Quais os ramos do tronco celíaco?
Artéria gástrica esquerda, hepática e esplênica
605
Homens morrem mais por queda do que mulheres. V ou F?
Verdadeiro
606
O que aumenta no sistema respiratório da gestante?
- PO2 - Diâmetro torácico - Volume corrente com FR MANTIDA
607
Ordem de saída dos principais ramos da aorta abdominal:
- tronco celíaco - AMS - AMI
608
Característica principal do teste em série:
Só prossegue-se a investigação se todos os resultados forem positivos. Basta um negativo para pararmos a investigação. Essa estratégia **aumenta a especificidade.**
609
Característica principal do teste em paralelo:
Aplicar vários testes em um paciente prosseguindo a investigação com testes mais específicos diante de qualquer resultado positivo. Essa estratégia **aumenta a sensibilidade.**
610
No que resulta a baixa de FSH na SOP?
Faz com que não se forme o folículo dominante, não haja pico de LH e não haja ovulação
611
Qual o tipo de hipoNatremia da SIAD?
euvolêmica hipotônica
612
Qual tamanho para abordagem cirúrgica na colelitíase?
> 2,5cm
613
Qual o risco cumulativo de litíase sintomática? E após 20 anos?
3% ao ano Se o risco cumulativo de evolução para sintomas é de 3% ao ano, após 20 anos, a paciente apresenta 60% de chance de se tornar sintomático
614
Se aumentou a idade óssea, qual é o tipo de puberdade?
**central** a periférica não mexe em IO
615
#**Partograma** Parada secundária da dilatação:
DUAS horas parado
616
Quando a vacina de FA é dose única?
> 5 anos
616
#**STRASBERG E** Apenas decore:
617
Qual a célula presente no folículo primordial?
Células da granulosa TECA vem no primário
618
O que ocorre no folículo terciário ou antral?
Desenvolvimento do antro formação do cumulus oophorus -> camada de células da granulosa a camada interna do cumulus é chamada de corona radiata precede o folículo pré ovulatório
619
Principal alteração cardíaca do RN FDM?
miocardiopatia hipertrófica
620
Quadro clínico do neuroblastoma?
Dor óssea (devido a presença de metástases), linfonodomegalia, alterações no hemograma, quadros de diarreia crônica (síndrome paraneoplásica) e hipertensão arterial (liberação de catecolaminas).
621
#**Câncer colo uterino** Qual estádio invade os dois terços superiores da vagina?
IIa1 e IIa2
622
Quando alguém desempenha um papel parental em uma família, essa é chamada de _____________.
família funcional.
623
Reativação do vírus da Hepatite B:
623
Qual vírus hepático que precisa de sorologia e CV pra fechar o diagnóstico?
**Hepatite C** Anti-HCV + CV
624
Qual o vetor do calazar?
Lutzomya longipalpis (mosquito palha)
625
Teste de Montenegro para prova da SES:
Negativo em paciente com doença ativa
626
Quando utilizar Anfo B no Calazar?
- Grave - Gestante - Intolerantes a Glucantime - Insuficiências - Imunodepressão - <1a ou >50a
627
Tipos de doença esquistossomose para SES PE
- th1 imunocelular -> aguda - th2 -> crônica, hepatoesplênica
628
Opção no paciente com hipertireoidismo por Graves e lesão hepática:
radioiodo
629
O que muda de >37s para 34-37s no tto de HIV neonatal com alto risco?
>37s -> AZT+3TC+RAL por 28d 34-37s -> AZT+3TC (dolutegravir) 28d + NVP 14d
630
Qual exame pedimos para acompanhar o HIV do RN?
**CV** sorologia só com 18m
631
Quando intervir cirurgicamente em um Derrame Pleural?
632
Quais os vetores da febre amarela?
hemagogus e sabethes
633
Valores de TP/INR no CHILD:
634
Período mais comum da doença óssea por CTE?
primeiros meses
635
Valor de PTN no LCR na meningite bacteriana:
>45 mas geralmente >200
636
Prevalência período x Prevalência ponto:
Período leva em conta quem morreu e quem saiu naquele período -> geralmente mais alta que prev ponto
637
Prevalência e incidência mede o que?
MORBIDADE não vale para nada de mortalidade
638
Qual parasitose é de notificação semanal?
esquistossomose
639
Quando realizar notificação compulsória de Zika e Chikungunya?
640
Valor do TEC na diarreia grupo C:
5 ou mais segundos
641
Quando realizar notificação de varicela?
Imediata se **óbito ou doença grave** as outras nem notifica
641
#**Câncer de colo uterino** Quando faz a cirurgia de wertheim-meigs?
Ib1 e Ib2 Ib3 e IIa1 é preferencia por QT
641
Meta da PA na HASG:
PAS: 110-140 PAD em torno de 85
642
Sinais sistêmicos de Tokyo:
febre leucocitose pcr elevado
642
Tratamento de Crohn e RCIU leve (indução de remissão)?
5-ASA mesalazina/sulfassalazina
643
Quais os tipos de Adenomas Intestinais?
Tubular Viloso Tubuloviloso
643
Qual o limite de tempo de tela por idade: < 2 anos: 2-5 anos: 6-10 anos: 11-18 anos:
644
Quais as repercussões de acordo com a concentração de MgSO4 na gestante? - Redução/Abolição reflexos tendinosos: - Depressão respiratória: - PCR:
- 9 - 12 - 30
644
Quais são variáveis quantitativas discretas?
Números inteiros -> Exemplo: número de filhos
645
Quais são as variáveis quantitativas continuas?
Números com casas decimais -> Ex: altura