Review Flashcards

(351 cards)

1
Q

Criteria for discharge 28-60d peds w/fever

A

Well appearing
Neg urine
GA >37w
No hx of antibiotics
CRP <20
WBC 5-15
Reliable f/u in 24h

How well did you know this?
1
Not at all
2
3
4
5
Perfectly
2
Q

Unstable pelvic fractures

A
  1. Open book
  2. Vertical sheer
  3. Lateral compression
How well did you know this?
1
Not at all
2
3
4
5
Perfectly
3
Q

Colles vs. Smith vs. Barton

A

Colles - distal radius fracture with fragment dorsally angulated. Fall on outward stretched hand (palm). Dinner fork

Smith - distal radius fracture with fragment volarly angulated (fall on inward stretched arm dorsal). Garden spade

Barton - fracture dislocation of distal radius

How well did you know this?
1
Not at all
2
3
4
5
Perfectly
4
Q

Avoid air transfer if

A

Recent laparotomy, ocular surgery, severe anemia, SBO/LBO

How well did you know this?
1
Not at all
2
3
4
5
Perfectly
5
Q

Monteggia vs. Galeazzi

A

Galeazzi = distal radius fracture + distal radio-ulnar dislocation

Monteggia = proximal ulna fracture + radial head dislocation

How well did you know this?
1
Not at all
2
3
4
5
Perfectly
6
Q

Maisonneuve fracture triad

A

Malleolar injury + proximal fibular # + syndesmotic injury

How well did you know this?
1
Not at all
2
3
4
5
Perfectly
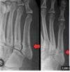
7
Q

Lisfranc injury findings on xray

A
  • Midfoot injury - tarsometatarsal fracture dislocation
  • High risk for compartment
  • Axial load on plantarflexed foot
  • Ortho, back slab, NWB
How well did you know this?
1
Not at all
2
3
4
5
Perfectly
8
Q

Chance Fracture

A

Unstable vertebral fracture from spine flexion

How well did you know this?
1
Not at all
2
3
4
5
Perfectly
9
Q

Organophosphate Toxicity

A
  • PPE IMMEDIATELY
  • Decontaminate the patient (remove clothing, irrigate)
  • “Killer B’s” from muscarinic stimulation - bradycardia, bronchorhea, bronchospasm
  • NO SUCCINYLCHOLINE - Will have prolonged paralysis
  • Will cause a cholinergic toxicity (BB SLUDGE:
    Bronchorrhea
    Bradycardia
    Salivation
    Lacrimation
    Urination
    Defication
    GI upset
    Emesis
  • Give atropine 1mg IV with doubling of dose to response. (Competitively antagonizes acH at the antimuscarinic receptors)
  • pralidoxime
How well did you know this?
1
Not at all
2
3
4
5
Perfectly
10
Q

Deadly meds for kids

A

Alpha-adrenergic blockers (clonidine)
Anti-malarials (chloroquine, quinine)
Beta blockers
Calcium channel blockers
Cardial glycosides
Opioids
Sulfonylureas (Glyburide)
TCAs

How well did you know this?
1
Not at all
2
3
4
5
Perfectly
11
Q

Opiate tox

A

Presentation: Miosis, decreased LOC, decreased RR, hypotension, hypothermia, hyporeflexia

Treatment:
ABC- Narcan
1. Narcan 0.4mg IV –> 1mg V –> 2mg IV –> 4mg IV –> 8mg IV –>12mg IV
(Goal RR>12, SpO2 >90%, EtCOE <45). If infusion needed, 1/3 of effective narcan dose per hour

In cardiac arrest give 2mg IV or IM q2mins

Observer for 2h after sx clear. Narcan half life is short (30-80mins)

How well did you know this?
1
Not at all
2
3
4
5
Perfectly
12
Q

TCA tox

A

Pathophys:
1. Sodium channel blockade - Wide QRS, seizures, prominent R wave in AVR
- K efflux blockade - prolonged QTc, torsades
- Muscarinic receptor blocker - anticholinergic effects
- Histamine receptor blocker - hypotension and sedation
- Inhibits reuptake of NE, serotonin and dopamine = sympathetic stimulation
- Inhibits GABA - low seizure threshold
- Toxic dose >10mg/kg

Presentation:
- altered
- dilated pupils
- seizures
- N/V/D

QRS >100 increased seizure risk
QRS >160 increased arrythmia risk

Treatment:
- IV sodium bicarb
- Intubate + OG
- Activated charcoal
- Seizure treatment with benzos, phenobarb, prop
- Arrythmia w/sodium bicarb then lidocaine
- Hypotension with IVF and norepi
- Consider lipid emulsion
**AVOID - betablocker, procainamide, amiodorone, dilanting,

Monitor for 6h

How well did you know this?
1
Not at all
2
3
4
5
Perfectly
13
Q

CCB and BB

A

Sx:
- Bradycardia
- aLOC
- Hypotension
- Hypoglycemia in BB, hyperglycemia in CCB
**Propranolol also is a sodium channel blocker so treat with bicarb for that one. Sotalol risk for torsades due to class III antiarrythmic activity

Tx:
1. Tons of IVF
2. Consider WBI or activated charcoal
3. Calcium chloride
4. High dose insulin. May need D10NS or dextrose
5. Norepi
6. Glucagon for BB
7. Consider intralipid
8. May need pacing
9. May need IABP or ECMO

Monitor for 6h normal release, 8h extended release, sotalol 24h

How well did you know this?
1
Not at all
2
3
4
5
Perfectly
14
Q

Tylenol OD

A

Toxic dose: 10g in adults, >150mg/kg in peds

Toxic metabolite is NAPQI. NAC metabolizes this into cysteine and mercapturic acid which is non-toxic

Stages:
1. <24h GI upset, elevated acetaminophen level
2. Liver injury 8-36h - GI continues, abdo pain, At 12h Increased AST, ALT, BIli. Also check INR, creat
3. Fulminant liver failure 2-4d - encephalopathy, coagulopathy, metabolic acidosis, hypoglyemia, coma
4. Recovery period >4d

Rumack-Matthew Nomogram for acute ingestions. Does not work for delayed release, chronic or staggered ingestion, ingestion <4h, people with AUD, liver disease, HIV, malnutrition

Treatment:
- Call poison control
- Activated charcoal
- NAC
- Fomepizole (can potentially prevent liver injury by halting formation of NAPQI)

How well did you know this?
1
Not at all
2
3
4
5
Perfectly
15
Q

ASA OD

A

Path - Block Cox-1 pathway, modify Cox-2 pathway, stimulates respiratory centers in medulla oblongata (resp alkalosis) and uncouples oxidative phosphorylation (metabolic acidosis).

Sx:
- GI upset
- Tinnitus
- Headache/Vertigo

Lab findings:
- Resp alkalosis
- Metabolic acidosis
- Hypokalemia
- Hyperglycemia intially then hypo but treat with dextrose de to neuroglycopenia
- Hyperthermia
- Facial swelling
- Tachycardia
- Bloody emesis

Treatment:
1. IVF
2. Cooling
3. Activated charcoal
4. Bicarb for urine alkalinization (target 7.5-8.5)
5. Dextrose
6. Replace lytes
7. AVOID INTUBATION - if you have to give bicarb amps before
8. Repeat VBG, ASA level Q1-2h
9. Dialysis if:
- Acute overdose level >7.2
- Chronic overdose >4.3
- Intractable acidosis
- Cerebral edema/seizure/aLOC
- Renal failure
- Non-cardiogenic pulmonary edema
- Level rising despite treatment
- Pregnant
- Intubated

How well did you know this?
1
Not at all
2
3
4
5
Perfectly
16
Q

ETOH Withdrawal

A

Sx:
6-8h: tremor, anxiety, nausea, anorexia, palpitations
6-48h: seizures
12-48h: hallucinations
48-96h: Tachy, hypertensive, diaphoretic, delirious, agitated, low grade fever

Tx:
- CIWA
- IVF
- Benzos
- Phenobarb

How well did you know this?
1
Not at all
2
3
4
5
Perfectly
17
Q

Wernickes vs. Korsakoff

A

Wernickes = dietary deficiency. Triad = nystagmus, ophthalmoplegia, ataxia

Korsakoff’s = alcohol induced amnestic disorder

Treat with thiamine IV

How well did you know this?
1
Not at all
2
3
4
5
Perfectly
18
Q

Odontoid fracture - C2

A

I = stable
II - least stable
III - unstable

How well did you know this?
1
Not at all
2
3
4
5
Perfectly
19
Q

PECARN <2

A

GCS <15
AMS (agitation, somnolence, slow response, repetitive)
Palpable skull #
= CT

If no:
Non-frontal scalp hematoma
LOC >5s
Not acting normally
Severe mechanism
= shared decision making

How well did you know this?
1
Not at all
2
3
4
5
Perfectly
20
Q

PECARN >2

A

GCS <15
AMS
Signs of basillar skull fracture
= CT

If no:
Vomiting
LOC
Severe headache
Severe mechanism
= shared decision making

How well did you know this?
1
Not at all
2
3
4
5
Perfectly
21
Q

CT head rules

A

Does not apply if <16, anticoagulated, seizures or GCS <13.

  • Age >65
  • Depressed skull fracture
  • Signs of basilar skull fracture
  • GCS <15 2h after injury
  • > 2 episodes of emesis
  • dangerous mechanism
How well did you know this?
1
Not at all
2
3
4
5
Perfectly
22
Q

C-spine Rules

A

Age >65
Paresthesias
Dangerous mechanism

Low risk features:
Sitting in ED
Ambulatory after accident
Simple rear ender
No midline tenderness
Delayed onset of neck pain

If yes to any low risk:
Rotate 45 degrees

How well did you know this?
1
Not at all
2
3
4
5
Perfectly
23
Q

PERC (8)

A

To be used if pretest prob <15%)

Age >50
HR > 100
O2 <95%
Hemoptysis
Unilateral leg swelling
Hx of DVT/PE
Recent surgery or trauma (<4w)
HRT/OCP

How well did you know this?
1
Not at all
2
3
4
5
Perfectly
24
Q

Wells for DVT

A
  1. Unilateral leg swelling >3cm
  2. Hx of DVT/PE
  3. Active malignancy in 6mo
  4. Hx of immobilization >3d or surgery w/in 12w
  5. Hx of cast/paralysis
  6. Superficial collateral veins (not varicose)
  7. Full leg swelling
  8. Tender along deep venous system
  9. Pitting edema confined to symptomatic leg
  10. Alternate diagosis to DVT as likely or more likely (-2)
How well did you know this?
1
Not at all
2
3
4
5
Perfectly
25
Wells for PE (7)
1. Sx of DVT 2. PE most likely diagnosis 3. HR >100 4. Immobilization 3+ days or surgery in last 4w 5. Previous PE/DVT 6. Hemoptysis 7. Malignancy w/in 6 moths
26
HEART score
Pts 21+ with sx suggestive of ACS. Cannot use if hypotension, new ECG changes, life expectancy <1y 1. Suspicious hx - slightly, moderate, highly 2. ECG - Normal, Non-specific repolarization disturgbance, ST depression 3. Age - <45, 45-64, >65 4. RF - None, 1-2, 3+ or hx of atherosclerosis (RFs: BMI >30, smoking, fam hx <65, prior MI/CVA/CABG/TIA 5. Initial trop: Normal, 1-3xnormal, >3x normal Score <3 with negative repeat trop can be d/c'd home with outpatient follow up
27
Factors increasing likelihood of lyme
28
Penetrating globe injury features on PE
Teardrop shaped pupil Subconjunctival hemorrhage Decreased visual acuity RAPD Seidel sign
29
Treatment for penetrating globe
Eye patch Ophtho consult Prophylactic antiobiotics Tetanus Analgesics and antiemetics
30
RAPD definition
Swinging the light from one eye to the other, the affected eye will constrict when the light is shone in the unaffected eye but will dilate when the light is shone back towards the affected eye - signifies unilateraloptic nerve or retinal disease
31
Differential for RAPD
Anything that affects the blood flow or nerve: - Optic neuritis - Globe rupture - GCA with ischemia - Optic nerve tumor - CRVO or CRAO - Retinal detachment - Retrobulbar hematoma - Acute angle closure glaucoma
32
CRAO
1. Call ophtho 2. Intermittent digital massage with quick release 3. ASA 4. Inhalation of CO2/O2 or breath through paper bag 5. Topical beta blocker 6. Acetazolamide 7. Nitro 8. Hyperbaric osxygen 9. Consider intra-arterial lytcs
33
CRVO
No specific treatement although ASA often recommended. Follow up with ophtho in 24h.
34
Retrobulbar Hematoma
1. Lateral canthotomy if: - IOP >40 - proptosis - decreased visual acuity - RAPD Give timolol, mannitol, acetazolamide and timolol
35
Acute Angle Closure Glaucoma
Will see hazy cornea, mid fixed dilated pupil, conjunctival injection, N/V, halos around lights, blurred vision, rock hard globe, cell and flare 1. Call optho 2. Beta blocker - Timolol to reduce production of acqueous humor 2. Alpha agonist - brimonidine to constrict ciliary vessels 3. Carbonic anhydrase inhibitor Acetazolamide IV to decrease acqueous humor production 4. Topical cholinergic - Pilocarpine to cause myosis and decrease angle ultimately increasing drainage 5. Hyper osmotic agent - mannitol 6. Well lit room to avoid dilation 7. Hourly IOP checks
36
Hyphema
1. Elevated HOB 2. Eye shield 3. Avoid NSAIDs, ASA, anticoagulants 4. If elevated IOP give cycloplegics (atropine), steroids, betablockers, acetazolamide and consider mannitol 5. If sickle cell keep pressure <24 6. Call ophtho ***Always check for siedel sign prior to doing pressures
37
Hypopyon
38
Globe rupture
39
Globe rupture
40
Risk factors for AACG
- elderly - female - far sighted - recent trauma - recent eye surgery - recent med causing dilation of pupil (anticholinergics, antimuscarinics, antidepressant, antipsychotic, antihistamines)
41
DOACs not acceptable for pts with malignancy if:
- Unstable patients - Active GI malignancy - Extensive clot burden
42
Why clinda in nec fasc
Decreases toxin production
43
Continuous vertigo causes
44
Carotid dissection symptoms
45
Causes of stroke in young patients
46
Posterior stroke presentation, vessel
Motor: Ataxia, dysmetria, nystagmus Speech: Dysarthria Other: Dizzy, diplopia, dysphagia, horners PCA/Brainstem/Cerebellum/Vertebrobasilar arteries
47
Anterior Stroke
MCA, ACA, carotids Motor: Hemiparesis - facial droop, unilateral arm and leg weakness Speech: Receptive (wernicke's) or expressive (Broca's) aphasia Other: Sensory deficits, homonymous hemianopsia
48
HHS
Glucose >33 Plasma osmolality >320 pH >7.3 Ketones normal or increased Bicarb >15 T2DM More dehydrated Confused Develops over longer period of time
49
Peds DKA
- Don't start insulin for 1h - Gentle IV fluid boluses - No bicarb (only if arrested) - No insulin bolus
50
Cognitive Biases
Anchoring bias - prioritize data that supports initial impression Confirmation bias - process info by looking at the data that fits beliefs Recency bias - using recent cases Premature closure - tendancy to stop inquiry once a possible solution is found Bandwagon effect - idea is followed because everyone is doing it Zebra retreat - rare diagnosis features prominantly on a differential but the physician retreats for various reasons Attribution error - overemphasize personal characteristic and ignore situational factors
51
General principles of patient safety/strategy to avoid errors and hospital acquired complications
52
Brain Death
Clinical pre-requisites: - No reversible causes/confounding factors - Normothermia - Compatible neuroimaging - No intoxications - Normal BP Exam findings - Coma - Absent pupillary relfex - Absent corneal reflex - Absent oculovestibular reflex - Absent jaw jerk - Absent gag, suck, root - Absent cough with tracheal suction - Apnea
53
Contraindications to organ donation
- Lack of consent - Cancer in organ - Religious beliefs - Transmissible diseases Only absolute = patient or POA declines
54
Organs/tissue for donation
55
Delivering bad news
56
3 Elements of Informed Consent
1. Informed - Explain procedure or treatment Understand risk and benefit Presented with alternatives 2. Voluntary 3. Capacity Not needed if emergency
57
Capacity
Understand procedure, risks, benefits Appreciate how the information applies to their situation Reason through the choices to make a decision Communicate a consistent choice
58
Capacity of Minors
- No specific age - Based on minor's maturity - If lacks capacity, parents' guardian can make decision - Physicians must report if parents refuse a treatment that is medically necessary
59
When can you disclose health info without consent?
60
Types of errors
- Skill set errors (e.g. unfamiliar with pediatric dosing) - Environmental errors (e.g. busy emergency department, lidocaine with different % being stored together) - Task-based errors (e.g. work overload, double checking of medication) - Personal factors (e.g. fatigue, illness, emotional distress) - Teamwork failure (e.g. breakdown in communication when asking for medication/ supervision of learners)
61
External validation
- Study population is not generalizable: --- Only one center of patients --- Specifically a university health center with further potential bias re: health, financial and education status - No mention of baseline characteristics (i.e. sexual activity status, comorbidities) - No mention of other known risk factors for recurrent UTI (i.e. structural abnormalities, frequency of recurrence) - No discussion of initial antibiotics given
62
Metacarpal fracture reduction splinting specifics
- Wrist extension (20 degrees) [1] - MCP flexion (90 degrees ) [1] - PIP extended [1] - Ulnar gutter splint “Z-splint”
63
Colles reduction
- Restore volar tilt, normal is ~11 deg, neutral acceptable - Restore length, normal is ~1 1mm radial height - Restore radial inclination, normal is ~22 deg - Intraarticular step deformity of less than 2 mm
64
Historical features suggestive of VT
- Age >35 years old - History of cardiac disease (including: MI, CHF, CABG, cardiomyopathy, structural/ischemic heart disease, VT, ICD/pacer) - Family history of sudden cardiac death
65
Physical exam suggestive of VT
- No response to vagal maneuvers - Cannon A waves (JVP assessment) - Variation in arterial pulse - Variable first heart sound
66
For transport, ensure:
- Prepare and check transport vitals monitoring equipment - Ensure adequate pumps for medication administration - Ensure at least 2 large bore IVs are patent and secured - Ensure airway secured, prepare associated airway transport equipment - Insert Foley catheter to monitor urine output - Temperature control in place (warm environment)
67
lithium toxicity on ECG
- T wave flattening/ inversion - U waves - Prolonged QT interval - Sinus bradycardia - Heart block (SA, AV) - ST depression - Ventricular arrhythmias
68
Indications for dialysis in lithium toxicity
- Lithium serum level > 3.5 mEq/L (chronic) - Little change in lithium level or clinical picture after 6 hours of IV saline administration - Rapidly increasing serum lithium levels - Severe neurologic toxicity: altered LOC, seizures, etc. - Patients with renal failure (unable to excrete) - Patients with CHF, pulmonary edema, or cirrhosis (unable to tolerate high volume loads)
69
testing for needlestick injury
- CBC - LFTs - Hep B surface antigen (HbsAG) (acute or chronic infection) - Hep B surface antibody (Anti-Hbs) (immunity) - Total hepatitis B core antibody (anti-HBc) (previous or ongoing infection) - HIV level - Hepatitis C Ab
70
Indications for PEP
- Sexual assault (unknown source - assume high risk) - High risk exposure via sexual contact - High risk exposure via needle sharing/ IVDU - Needle stick
71
Pre-eclampsia RF
- Advanced maternal age - Young maternal age <20 - Low SES - Primiparous - Molar pregnancy or multiple gestation - IVF - PMHx or FMHx of gestational HTN/pre-eclampsia - Previous gestational diabetes - Hypertension - Obesity - Hypercholesterolemia - Chronic renal disease - Inherited thrombocytopenia - Connective tissue disease - Antiphospholipid syndrome - Diabetes - Cocaine use
72
Pre-eclampsia complications
Maternal: - Eclampsia - Severe HTN - Pulmonary edema - ACS - CVA - HELLP syndrome - Placental abruption
73
Pre-eclampsia fetal complications
Fetal: - Oligohydramnios - IUGR - IUFD - Reversed end-diastolic umbilical artery flow - Placental insufficiency - Preterm birth
74
Herpes zoster opthalmicus treatment
- Supportive therapy: artificial tears, analgesia, and cold compresses - Antiviral therapy PO (acyclovir/valacyclovir/famciclovir). IV if immunocompromised - Topical antibiotics considered for prevention of secondary infection - Consideration of corticosteroids in consultation with ophthalmology - Consideration intravitreal antiviral (foscarnet) for acute retinal necrosis in consultation with ophthalmology
75
Sulfonylurea antidote
Dextrose and octreotide
76
VTach more likely if
77
Capture beats
78
Fusion beats
79
VTach more likely if RSR' has taller left rabbit ear
80
Axis
81
LBBB
82
RBBB
83
Ddx for tachy, narrow and irregular
- Afib - Aflutter with variable conduction - multifocal atrial tachycardia
84
Tachy, wide and regular
Sinus tachy VT - rate >120 SVT with BBB
85
Tachy, wide and irregular
Afib w/BBB Afib w/WPW
86
Junctional vs ventricular
Junctional escape rhythm - <40 Junctional bradycardia - 40-60 Accelerated junctional rhythm - 60-100 Ventricular escape rhythm 20-40 AIVR 40-130 often self resolving, don't give anything as amio/procainamaide and lido will cause asystole
87
AIVR
88
ET tube size peds
Age/4 in years +4
89
Position at teeth in peds
3 x tube size
90
Febrile seizure criteria
Age 6mo - 6y Simple: Temp >38 Last less than 15 mins No focal sx Do not reccurr in 24h Complex Last >15 mins can have focal features can recurr
91
BRUE definition
an event occurring in an infant younger than 1 year when the observer reports a sudden, brief, and now resolved episode of ≥1 of the following: (1) cyanosis or pallor; (2) absent, decreased, or irregular breathing; (3) marked change in tone (hyper- or hypotonia); and (4) altered level of responsiveness.
92
Low risk BRUE criteria
- GA >32w and 45 corrected - >60 days - No CPR - lasted less 1 min - first event
93
CAH lytes abnormalities
Hyperkalemia Hyponatremia Hypoglycemia Treatment: o IV fluid o Glucose – Rule of 50: 5 mL/kg D10W (infant) or 2 mL/kg of D25W (child), or 1 mL/kg of D50W (adolescent) o Hydrocortisone: 25 mg (neonate/infant), child 50 mg, adolescent/adult 100 mg
94
Botulism
Adults - canned foods Infants - raw honey Construction sites and inhaled spores, black tar heroin Mechanism: No release of Ach. Dysphagia, ptosis, respiratory failure Treatment: Supportive, intubation, Botulism anti-toxin.
95
Hydrofluoric Acid
Pain out of proportion Treatment: - Calcium
96
Clonidine
Alpha 2 agonist - suppresses alpha - mimic opioid overdose: aLOC, resp depression, miosis, hypotension, bradycardia - Class: oxymetalazine, nasal decongestants, visine - Supportive care - Sometimes naloxone can work
97
Iron toxicity
>20mg/kg of elemental iron >60mg/kg is lethal Stage 1: 0-6h GI upset Stage 2: 6-24h Improvement of symptoms Stage 3: 6-72h shock, metabolic acidosis Stage 4: 12-96h fulminant liver failure Stage 5: 2-8w bowel obstruction from GI scarring WBI Defuroxamine
98
Lidocaine toxicity
99
Cord syndromes
Dorsal columns = proprioception and vibration Spinothalamic tract = temp and pain Corticospinal tracts = motor
100
100
100
3, 6, 9 rule bowel obstruction
The upper limit of normal diameter of the bowel is generally accepted as 3cm for the small bowel, 6cm for the colon and 9cm for the caecum - Small bowel: Rapid onset, N/V - Large bowel: Intermittent abdo cramping, complete constipation, no flatus
101
Ogilvie's syndrome
Acute colonic pseudo-obstruction - Masive colonic dilatation - No mechanical obstruction - Often occurs post op or in elderly patients with comorbidities - Tx: decompression +/-neostigmine
102
UVeitis
acute blurred vision, photophobia, perilimbic scleral injection
103
Episcleritis
eye burning or itching without visual changes, scleral and conjunctival hyperaemia
104
HUS
Treatment: 1. Fluid status 3. Goal Hgb 80-90. Transfuse if <60 4. Platelet transfusion if <10 5. Dialysis if renal failure or severe overload 6. Management of HTN with CCB 7. Watch for seizures. Use benzos, then keppra 8. If primary HUS can do plasma exchange 9. Avoid antibiotics unless sepsis or concurrent PNA Classic triad: 1. Anemia (MAHA) 2. Thrombococytopenia 3. AKI Shiga toxin causes damage to the glomerular endothelial cells, causes cell lysis and activates cytokines, platelets and the coagulation cascade. Thrombi form in smaller vessels and RBCs get damaged which causes MAHA
105
Charcot's triad and Reynold's pentad
For ascending cholangitis (biliary tract infection caused by stones, strictures or malignancy): - Jaundice, RUQ pain, Fever - Add hypotension and AMS for pentad
106
Difficult BVM
MOANS: - Mask seal, obesity, obstruction, age, no teeth, stiff
107
P's of intubation
108
Complications of pneumonia
SLAP HER Sepsis Lung abscess ARDS Parapneumnoic effusion Hypotension Empyema Resp failure
109
Admit bronchiolitis if:
Signs of severe respiratory distress (eg, indrawing, grunting, RR >60/min) Supplemental O2 required to keep saturations >90% Dehydration or history of poor fluid intake Cyanosis or history of apnea Infant at high risk for severe disease (Table 4) - Infants born prematurely (<35 weeks’ gestation), <3 months of age at presentation, Hemodynamically significant cardiopulmonary disease, Immunodeficiency Family unable to cope
110
Bronchiolitis treatment
111
Pertussis
RF: Pregnancy Epidemic exposure Lack of immunization Close contact with an infected individual Bortadella pertussis Airborne
112
Causes of ARDS
Sepsis, pneumonia, trauma, burns, pancreatitis, toxins Berlin Definition of ARDS: ○ Acute onset of respiratory symptoms (<1 week) ○ Bilateral opacities on chest x-ray or CT (not explained by another cause) ○ Respiratory failure not fully explained by cardiac failure or fluid overload ○ Moderate to severe impairment of oxygenation (PaO₂/FiO₂ ratio <300mmHg with minimum of 5 cm H20 PEEP) Presentation: Non-cardiogenic pulmonary edema, hypoxia, diffuse lung findings with mutlifactorial cause Prone, ECMO
113
Define submassive and massive PE
Submassive - RV strain/dysfunction/new ECG changes/elevated trop or BNP Massive - Sustained hypotension <90 for >15 mins or needing pressors; drop in 40mmHg from baseline SBP, symptomatic brady, cardiac arrest
114
Burn complications
Compartment syndrome Rhabdomyolysis Inhalation injury Acidosis Cyanide poisoning Carbon monoxide poisoning ARDS
115
Fluid resus in burns
Make sure you calculate the replacement based on the time of the burn not arrival to the ED
116
Indications to transfer to burns center
Circumferential burns Burns on face, hands, genitals Partial TBSA >20% adults or 10% in peds Full thickness >5% High voltage electrical burns Inhalation injury
117
Indications for escharotomy
- Circumferential torso with restricted ventilation - Circumferential extremities with vascular compromise - Compartment pressure >30mmHg - Elevate limb
118
IVF in burns
6. IVF - Use RL. 1. 2cc x kg x %TBSA. 1/2 in first 8h from time of burn, other half in next 16h. Monitor urine output (goal 0.5-1cc/kg/hr in adults and 1-2ml/kg/hr in peds) and target HR <110. Does not include superficial burns. For adults >20%, peds >10% 2. In peds give 3cc x kg x TBSA plus maintenance if <5y. Can also give D51/2NS if pt is <20kg. 3. **Consider colloids if burns >40% in adults or >30% in peds. This will reduce abdominal compartment syndrome 4. 
119
RBBB vs. LBBB
WILLIAM MORROW in V1 and V6`
120
Narrow vs. wide tachy ddx
121
AVRT treatment
Orthodromic AVRT: - Vagal maneuvers - adenosine - CCB - beta blockers Antidromic AVRT: - Always consider VT in this situation. It is wide! - AVOID AV nodal blockers - Procainamide okay Afib w/AVRT - Procainamide or cardiovert only If unstable cardiovert ***AV nodal blockers contraindicated in antidromic AVRT and afib w/AVRT as they can trigger vfib by increasing conduction down accessory pathway
122
Afib rates
Atrial rate >600/min Ventricular rate 100-160
123
Aflutter rates
Atrial rate ~300/min Ventricular rate ~150 in 2:1
124
MFAT
Irregular rhythm due to firing from at least 3 different atrial foci, bombarding the AV node with multiple impulses - Usually underlying pulmonary or cardiac diseases, electrolyte imbalances, or sympathetic overstimulation - Will have irregularly irregular rhythm with at least 3 p wave morphologies, changing PP, PR or RR intervals - Treat underlying cause, lyte replacement, bronchodilators and O2 if underlying pulm disease - DO NOT CARDIOVERT OR USE ANTIARRYTHMICS
125
VT
Non-sustained <30s Sustained >30s Causes: >50 due to MI or IHD - hypothermia - hypoxia - lyte disturbance - drugs - hypertrophic cardiomyopathy Mimics: - SVT w/ aberrhancy - Antidromic AVRT - Afib in WPW - Severe hyperK ECG: - usually wide QRS w/regular rhythm - VT more likely than SVT w/abherrancy if: AV dissociation (P and QRS different rates, capture beats, fusion beats If unstable with pulse, start at 100J If stable: - Cardioversion w/sedation - Second lines: procainamide, amiodorone, lidocaine
126
Torsades
Causes: PROLONGED QT - hypoK, hypoMag, hypoCa - antipsychotics - antiarrythmics - antibiotics - structural heart disease Rate 160-250 Unstable: defibrillate @ 200J Stable: Mag 2g IV then start infusion at 1-2g/hr - May need overdrive pacing to terminate - Stop offending agents
127
Vfib
Ustable non-perfusing rhythm that results in chaotic, disorganised ventricular activity
128
AIVR
Causes: - Reperfusion rhythm - Complete heart block - Ischemic heart disease - Severe SA or AV node dysfunction Def: rhythm originative below the ventricles w/ >6 sequential ventricular escape beats. 30-40/min Usually self terminates
129
AV Junctional rhythm
● Atrioventricular junctional rhythm is an abnormal rhythm that originates in the AV junction instead of the SA node. ● The AV junction takes over as the primary pacemaker of the heart, generating its own electrical impulses to initiate ventricular contractions. ● ≥6 sequential junctional escape beats Usually due to CHR, myocarditis, ACS, hyperK or meds 45-60bpm Treat underlying cause Atropine or pacing if necessary
130
HEART score
History ECG Age Risk Factors Troponin
131
Nitro contraindicated if
- Phosphodiesterase inhibitor w/in 24h - Inferior MI (concern for RV involvment) - Severe AS
132
Cardiac vessel territories
■ Inferior: II, III aVF (right coronary artery occlusion) ■ Anterior: V2, V3, V4 (LAD occlusion) ■ Lateral: V5, V6, I, aVL (left circumflex artery occlusion) ■ Septal: V1, V2 (proximal LAD occlusion) Posterior: L circ or RCA. Only need 0.5mm of STE. Get posterior leads if you have depression in V1-4 or tall R waves in V1-3
133
Think RV involvment if:
STE III > II + V1 STD in V2 Often present hypotense
134
STEMI equivalents
1. DeWinter T waves - LAD - The hallmark feature of De Winter T waves is a marked upsloping ST depression in the precordial leads (V1-V6). ■ De Winter T waves are also accompanied by symmetrically peaked T waves in the same leads. 2. Hyperacute TW 3. Elevation in aVR with diffuse STD - Left main
135
Scarbossa Criteria
1. Concordant ST elevation >1mm in any lead 2. Concordant STD >1mm in any of leads V1-3 3. Excessive discordant STE (>25% of QRS)
136
Absolute C/I to lysis:
1. Prior ICH 2. Suspected aortic dissection 3. Ischemic stroke <3 months ago unless within last 4.5h 4. Active bleeding diathesis 5. Intracranial malignancy or AVM 6. Significant closed head injury or facial trauma in last 3 months 7. Intracranial surgery within 2 months
137
Relative C/I to lysis
1. Anticoagulants 2. Uncontrolled HTN >180/110 3. PUD 4. Pregnancy 5. Infective endocarditis 6. Liver disease 7. Major surgery in last 3 weeks 8. Ischemic stroke >3months ago
138
STEMI complications
1. Papillary muscle rupture - reduce afterload and surgery. Often present in shock with new murmur 2. Ventricular aneurysm - ● Due to a focal weakening of the ventricular wall after a transmural MI ● Often presents with heart failure ● ECG may show persistent ST elevations ● Treatment: manage CHF; anti-coagulate due to thrombus risk; surgical repair if ventricular arrhythmias or CHF symptoms refractory to treatment 3. Septal wall rupture - reduce afterload and surgery 4. Myocardial rupture - treat w/IVF and surgery 5. Tamponade 6. Arrythmias 7. Dressler's
139
CXR CHF findings
Chest x-ray ○ Enlarged cardiac silhouette ○ Vascular congestion (upper lobe diversion, akin to JVD) ○ Interstitial edema (Kerley B lines; short fat horizontal) ○ Alveolar edema (fluffy) ○ Pleural effusions (loss of costophrenic angle)
140
CHF drugs
● Diuretics if fluid overloaded ○ Ex: furosemide ○ Reduces preload ● Nitrates (e.g., nitroglycerin) ○ Reduces preload and afterload ○ Contraindication: phosphodiesterase 5 inhibitor use ○ Caution: hypotension ● Nitroprusside ○ Reduces afterload ● ACE inhibitors (angiotensin-converting enzyme inhibitors) ○ Reduce afterload ○ Commonly used to treat HFrEF ● Inotropes if hypotensive/shock ○ Norepinephrine ■ Vasopressor and inotropic agent ■ Reduced risk of arrhythmia compared to other agents ○ Dopamine ○ Epinephrine ○ Dobutamine
141
Causes of high output heart failure
Thyrotoxicosis Chronic anemia Wet beri beri (thiamine def) Pregnancy AVM Caused by high cardiac output for a long period of time. will have dilation on echo. Order metabolic panel, TSH. Treat as low output Hf
142
R Heart Failure/Cor pulmonale
Usually due to L heart failure, COPD, pulmonary fibrosis, ILD, OSA, PE Sx: Elevated JVP pedal edema abdo distension S3 Treatment: - Manage lung disease - Diurese if overloaded - O2 to reduce pulmonary artery pressure - Pulmonary vasodilators to reduce RV afterload - May ned inotropic support with milronone or dobutamine
143
Causes of dilated cardiomyopathy
○ Often idiopathic ○ Ischemic heart disease ○ Genetic ○ Viral (e.g., Coxsackie B, parvovirus B19, and human herpes virus 6) ○ Protozoan (e.g., Chagas disease due to Trypanosoma cruzi) ○ Alcohol, cocaine, or amphetamine abuse ○ Peripartum ○ Nutritional deficiencies (e.g., thiamine) ○ Toxins (e.g., chemotherapeutic agents such as doxorubicin)
144
HCM
- classic systolic murmur at LLSB due to LVOT obstruction - murmur increases during valsavla and with standing due to decreased venous return which reduce the size of the LV. Decreases with squatting and lifting legs which increase venous return - ECG may have dagger Q's in lateral leads, LV hypertrophy - Treat with betablockers, ICD
145
Pericarditis stages
Stage 1: PR depression in II, aVR, V4-6 and diffuse ST elecation Stage 2: Normalization of PR and ST Stage 3: TWI Stage 4: Normalization
146
Spodick sign
Downsloping TP segment in pericarditis
147
Tamponade
Beck's triad: - Elevated JVP - Muffled heart sounds - Hypotension ECG: - Tachycardia - Electrical alternans (alternating QRS amplitude) - Low voltage Treatment: - Pericardiocentesis - IVF to improve R heart filling - Avoid intubation if possible as positive pressure with increase intra- thoracic pressure and decrease venous return
148
149
Ductal vs. Duct Independent CHD
150
Tet spell
- Blood goes to systemic circulation a the expense of pulmonary blood flow. Often triggered by crying, agitation, pain or hypovolemia - Treatment: 1. O2 2. Knees to chest 3. Keep baby calm 4. Fluid bolus to increase preload 5. Morphine to relax pulmonary infundibulum 6. Phenylephrine to increase SVR 7. Prostaglandin E1 8. Need surgery
151
Pacemaker Magnet
152
Appropriate vs. inappropriate ICD shocks
Appropriate - Increasing frequency of VT or VF; Worseing LV dysfunction, MI Inapporpriate - SVT; double counting large T waves as QRS compleses; sensing non-cardiact activities
153
LVAD indications and complications
pumps blood from LV to rest of body - End stage CHF - Bridge to transplant Complications: - Pump thrombus - Suction event - Device failure - dysrhythmia
154
ECMO indications
- Severe reversible cardiac/pulmonary failure - ARDS - Cardiomyopathy - Hypothermia - Drowning - Drug toxicity/overdose - Refractory hypoxemia - Cardiogenic shock - Massive PE - Bridge to destination therapy - Heart/lung transplant
155
Things that unmask Brugada
- Fever - ischemia - post-cardioversion - hypo/hyperK - hypothermia - meds (BB, CCB, nitrates) - alcohol - cocaine
156
Causes of STE
- ACS/ STEMI - Pericarditis - Myocarditis - Hyper K+ - Left ventricular aneurysm - Coronary artery vasospasm - HCM - LBBB - Ventricular-paced rhythm - Early benign repolarization - Brugada - Hypothermia - SAH/ CNS injury - Aortic dissection - Post electrical cardioversion
157
Physical exam findings of dissection
- Neurologic deficits - Variation in arm BPs (>20mmHg) - Variation in radial pulses - HTN - New aortic regurgitation murmur (decrescendo diastolic murmur) - Signs of pericardial effusion/tamponade (muffled heart sounds, pulsus paradoxus, JVD, hypotension) - Shock
158
MAP calculation
MAP = SBP + 2(DBP)/3
159
Precipitants of CHF
H – Hypertension, heart anatomy (valvular, myocarditis, effusion, cardiomyopathy) E – endocrinopathies (e.g. thyroid)* A – anemia* R – rheumatic disorders T – toxins (cocaine, ETOH, chemo)* F – failure to take medications * A - arrhythmia I – infection*, infarction, ischemia L – lung pathology (COPD, PE, pneumonia) E – electrolyte abnormality* D – diet, diaper (pregnancy)*
160
Causes of afib
P - PE, pulmonary disease, post op I - Ischemic heart disease, idiopathic*, infectious R – Rheumatic valvular disease/ any valvular disease A – Anemia, alcohol*, age* T – Thyroid, toxins E – Elevated blood pressure*, electrolyte abnormalities S – Sleep apnea*/ obesity *, sepsis
161
Syndromes defining hypertensive emergency
- Aortic Dissection - Acute Pulmonary Edema/ Heart Failure - ACS - ARF - Severe pre-eclampsia - Hypertensive encephalopathy - SAH/ intracranial hemorrhage - Ischemic stroke - MAHA
162
Findings of hypertensive emergency on fundoscopy
- Arterial narrowing - AV nicking - Retinal hemorrhages - Cotton wool spot/patch - Exudates - Papilledema/ optic disc swelling
163
Causes of bradycardia other than drugs
- Ischemia - Hyperkalemia - Hypothermia - Hypothyroidism - Structural heart disease - Infiltrative (amyloid, hemochromatosis, sarcoid), - Autoimmune - Lyme disease/infectious/myocarditis - Cushings/Increased ICP
164
Drugs that cause bradycardia
- Beta- Blockers - Calcium-channel blockers - Digoxin (digitalis glycosides) - Organophosphates (any cholinergic medication e.g. physostigmine) - Alpha-agonist (clonidine) - Class III anti-arrhythmics (e.g. amiodarone) - Class I anti-arrhythmics (e.g. procainamide)
165
Lunate dislocation
Spilled teacup
166
Scapholunate dislocation
Widening between the scaphoid and lunate ( >3mm is suggestive, >5mm is diagnostic)
167
Perilunate dislocation
All the carpals are “out”, only carpal bone in anatomic position is the lunate ***FOOSH + acute carpal tunnel = perilunate dislocation until proven otherwise Missing perilunate dislocations can result in median nerve palsy, pressure necrosis and longterm wrist dysfunction
168
Triquetrium fracture
Chip off on xray. ○ If FOOSH and isolated they are typically stable, need resting splint ○ If they fall on back of hand, more worrisome for dorsal capsular avulsion
169
DRUJ
Be suspicious of this if: - ulnar styloid looks displaced - crepitus and or blocking on pronation/supination - piano key sign of ulnar styloid - fovea sign - point tenderness over ulnar capsule, palmar to extensor carpi ulnaris tendon
170
Hook of hamate fracture
○ Tenderness over hook of hamate, get a carpal tunnel view or Hook of Hamate view ○ Hook of hamate fractures are rare but more likely to have non-union ○ Typical mechanism is indirect from club sport or swinging sport ○ Management: immobilize (ulnar gutter, MCPs in flexion, ICPs in extension) and refer to hand
171
4 Cardinal signs of flexor tensynovitis
○ Finger held flexed position ○ Pain with passive extension ○ Fusiform or sausage shaped swelling ○ Pain along flexor side - Usually from puncture wound
172
Nightstick fracture
● Isolated ulnar fracture ● Mechanism: struck on ulnar side of forearm ● Risk of non-union ● Management: long-arm posterior splint
173
Nursemaid's Elbow
● Annular ligament slips and radial head subluxes ● Typical age group: 6 months - 5 years ● Mechanism: Typically after arm is pulled, sometimes due to a fall ● Exam: mild pain, can’t supinate arm, no swelling ● Imaging NOT needed if Hx and P/E consistent ○ Need x-ray if not able to reduce ● Reduction: ○ Supinate/Flexion ○ Hyper-pronation ● Post-reduction → ensure moving well, achieve full supination
174
Clavicle fracture
Rule of 2: If more than 2 cm displaced or fractured in more than 2 pieces it is more likely to be operative due to risk of non-union
175
Hill Sachs
176
Bony Bankhart
177
Segond Fracture
ACL tears
178
Weber Classification
● Weber A: Below the level of the ankle joint ○ Stable fracture ● Weber B: Fracture at the level of the ankle joint ○ May be unstable especially with pain on medial side, splint in posterior slab and make non-weight bearing, follow up with ortho ● Weber C: Above the level of the syndesmosis ○ Treated surgically
179
Jones Fracture
● 5th metatarsal fracture ● Dancer’s: base of 5th metatarsal ○ Stable injuries, can weight bear with stiff-soled shoe ● Jones: at the junction of the metaphysis and diaphysis ○ Stress fracture or inversion injury ○ 10-15% non-union rate ○ Managed by local ortho preference, can be managed without surgery ● 5th metatarsal shaft fracture is common ○ Managed with boot (if sensation is intact)
180
Calcaneus fracture
● Bohler's angle should be 20-40 degrees ● 8-10% have bilateral calcaneus fractures ● May be associated with other injuries (eg, plafond, knee, hip, thoracolumbar spine fractures) ● Mechanism of injury: typically younger person with fall from height or older adult who fall on weak bone ● Exam: pain with squeeze of calcaneus, plantar bruising ● Can evaluate on CT scan or extra x-ray views (Harris view)
181
Causes of non-cardiogenic pulmonary edema
TRALI
182
Cryoprecipitate:
- Factor VII, VII, XIII - Fibrinogen - vWF - Albumin Give in: vWF hemophilia A if factor not available DIC Massive transfusion
183
Median nerve block
Landmark distal or proximal wrist crease (0.5 points) Landmark just radial to palmaris longus OR 1⁄2-1cm ulnar to flexor carpi radialis (1.5 points) The median nerve is located between the tendons of the flexor palmaris longus (between the flexor carpi ulnaris and radialis tendons) and the flexor carpi radialis (the most lateral tendon in the wrist). The flexor palmaris longus tendon may be identified by asking the patient to oppose the thumb and fifth finger with the wrist flexed. The median nerve can be blocked just lateral to this tendon. (Uptodate: accessed May, 2023)
184
FFP:
- All factors - Fibrinogen - vWF Give in: DIC Mass transfusion Warfarin reversal Hemophilia where factor not available (not vWF as very little in FFP)
185
Treatment for hemophilia A - PTT long
- Factor VIII Concentrate - DDAVP (monitor for hyponatremia, water retention) - causes release of vWF which carries factor VIII - Recombinant factor VIIa - Cryoprecipitate (1u/kg will increase activity level by 2%) - TXA for minor bleeding - If needing to give lysis for STEMI, treat them with lysis but give 100% factor VIII replacement along with TNK. - In the setting of head trauma - order CT head and prophylactically give Factor VIII - For MSK injuries, you want to immobilize the joint
186
Treatment for hemophilia B - PTT long
Treatment: - Factor IX replacement (1u/kg will increase activity by 1%) - Activated PCC (Octaplex) - Recombinant factor VIIa - FFP
187
Treatment for vWD
- Can give desmopressin intranasally. You can also use desmopressin in hemophilia A patients because vWF is a carrier of Factor VIII so release of the vWF from endothelium results in increased VIII and decreased breakdown of VIII -vWF - Antifibrinolytics like TXA prevent conversion of plasminogen to plasmin inhibiting breakdown of clots (2nd or 3rd line) - Estrogens increase vWF and FVIII. Can use IV in trauma - Cryoprecipitate
188
Anticoag reversal
Factor Xa inhibitors – PCC (50mg/kg up to 300u) Dabigatran – Praxbind or PCC UFH or LMWH – Protamine Warfarin – Vitamin K and PCC or FFP if you don't have PCC. You have to give Vit K because PCC is transient and vit K replacement allows for vit K dependent factors to be repleted
189
Cells for hematologic malignancies
1. MM - Rouleaux 2. Non-Hodgkins Lymphoma - Reed Sternberg cells 3. AML - Auer rods
190
Leukostasis/Hyperviscosity
● Real emergency! ● WBC > 100K, usually AML or CML in blast crisis ● Viscous blood plugs circulation ● Symptoms: severe hypoxia, headache, dizziness, visual changes, AMS → SICK! ● Tx: induction chemotherapy ○ Temporize with leukapheresis ○ Allopurinol (prevent TLS), hydroxyurea
191
Hypokalemia
192
Hyperkalemia
193
TIA risk stratification - ABCD2
194
Causes of hypotension in aortic dissection
Aortic rupture / Aortic wall rupture (“hemorrhage” insufficient to get credit) Pericardial tamponade Inferior ischemia causing right wall dysfxn (1 point) Inferior ischemia causing brady/heart block (1 point) Acute aortic insufficiency (1 point) Pseudohypotension (ie. BP drops in one arm only) (1 point)
195
Complications of Preeclampsia
abruption placentae disseminated intravascular coagulopathy acute renal failure hepatocellular injury/ liver rupture intracerebral hemorrhage transient blindness cardiorespiratory arrest aspiration pneumonitis acute pulmonary edema postpartum hemorrhage HELP syndrome
196
If the patient continues to seize, what medication should you consider for refractory seizures in a neonate?
Pyridoxine
197
Seatbelt sign associated injuries
Chance fracture Duodenal injury Pancreatic injury Splenic laceration Liver injury Rib fractures Hollow viscous injury Mesenteric injury
198
Intracranial hemorrhages
199
Refractory anaphylaxis drugs
-Epinephrine infusion -Other vasopressors (dopamine/vasopressin etc) -Glucagon (for beta blocker use) -Methylene blue (for vasoplegia)(some studies in cardiac literature of its use as an inhibitor of nitric oxide synthase and guanylate cyclase) -ECMO (Extracorporeal membrane oxygenation
200
Hereditary Angioedema Treatments
C1 esterase (Berinert) FFP (fresh frozen plasma) Danazol Bradykinin antagonist (eg. icatibant) C1 inhibitor (plasma-derived) Ecallantide, a kallikrein inhibitor (available only in the United States)
201
Ulnar nerve block
Landmark at distal or proximal wrist crease (0.5 points) Infiltrate just deep to flexor carpi ulnaris tendon, being cautious about ulna artery located radially (1.5 points) The ulnar nerve runs between the ulnar artery and flexor carpi ulnaris tendon (the most medial tendon in the wrist). This tendon is just superficial to the ulnar nerve. A needle is placed under the tendon, close to its attachment just above the styloid process of the ulna, and advanced 5 to 10 mm (figure 12). Three to 5 mL of LA is injected at this location. An additional 2 to 3 mL of LA may be injected subcutaneously above the tendon in order to anesthetize the cutaneous branches of the ulnar nerve.When using ultrasound, the ulnar artery is identified, and the ulnar nerve is located medial to this vessel. Once identified, 3 to 5 mL of LA is injected to surround the nerve.
202
Cat bite pathogen
Pasturella multiceda - Amox clav - Pen allergic = septra or doxy + flagyl
203
What neurologic complication is associated with an anterior shoulder dislocation, and how do you assess for it?
Complication: Axillary nerve damage Assessment: Lateral deltoid sensory assessment / Chevron sign assessment
204
Bony Bankart lesion
anterior inferior glenoid labrum/rim fracture associated w/anterior shoulder dislocation
205
Hill Sachs fracture
posterolateral humeral head compression fracture
206
Conditions associated with erythema nodosum
IBD Group A Strep infection Sarcoidosis Meds: Estrogens/OCPs, sulfonomides, PCNs, bromides/iodides Yersinia, campylobacter, salmonella infections Histoplasmosis, coccidiomycosis infections Bechets syndrome Sweet syndrome Chlamydial infection Mycoplasma infection TB Malignancies (AML, Hodgkins, carcinoid, pancreatic CA) Pregnancy
207
Elements to consider in studies to decide if you will apply them
- Results valid with a potential for real impact on the patient’s health - Frequent health problem - Intervention feasible - Randomized trial - Properly blinded - Comparable groups - Proportion analyzed declared - Analyzed with intention to treat - Clinically and statistically significant - Your patient is similar enough to population studied (external validity) - Proper Allocation concealment - Was there bias?
208
How does sensitivity differ from positive predictive value?
Unlike sensitivity and specificity, the PPV and NPV are dependent on the population being tested and are influenced by the prevalence of the disease. (1 point) OR The PPV is the probability of having the disease if the test is positive; Sensitivity is the probably that the test will be positive if the disease is present (1 point)
209
ITP - idiopathic thrombocytopenic purpura
- Well appearing - Due to impaired platelet production from T cell mediated destruction Treatment: - Steroids - IVIG - Splenectomy - Rituximab
210
TTP
- Ill appearing - long platelet chains clog blood vessels preventing RBC passage resulting in hemolysis - "Evil Pentad" - fever, MAHA, CNS findings, low platelets, renal failure - RF: Quinine, clopidogrel, female, HIV, SLE - ADAMSTS13 deficiency (ADAMSTS13 cleaves vWF, if you don't have this you have giant platelet plugs floating) Treatment: - FFP - PLEX - Steroids if PLEX delayed - Do not give plts as will worsen emboli
211
HUS
- 6mo to 4y - Triad: MAHA, thrombocytopenia, renal failure - Caused by E. coli 0157:H7 - RF: unpasturized fruits/jice, rare meat, petting zoo, daycare - Classic presenation is 3-7 non-bloody diarrhea then bloody diarrhea - Labs: Will have shistocytes, thrombocytopenia, elevated UC bili and LDH, negative Coombs - Treatment: Supportive w/IVF pRBCs if Hgb <6 or unstable; dialysis for anuria; eculizumab. - No abx as can increase toxin releas - No plts
212
HIT time of onset and treatment
5-14 days Tx: - Stop heparin - No plts - No coumadin until plts normalize - Change to direct throbmin inhibitor like dabigatran
213
DIC pathophys
- Consumption of clotting factors and platelets ***Massive inflammation → endothelial damage → cytokine release (TNF, IL‐​6) → impaired anti­coagulation & consumption of clotting factors - Decreased blood flow to organs causing failure - Consequence of another disease
214
Lab findings in DIC
Low platelets Elevated dimer Low fibinogen Elevated INR
215
Thrombocytopenia summary
216
Do not give platelets in thrombocytopenia if:
HUS TTP HIT
217
3 types of sickle cell crisis
Vaso-occlusive: - Acute dactylitis - Acute chest syndrome Heme: - Hemolysis - Aplastic crisis - Splenic sequestration Infection: - Think encapsulated (s.pneumo, h. flu)
218
Toxic dose of tylenol
Acute: >150mg/kg or ~10g in an adult Chronic: >3-4g/day
219
Stages of acetaminophen tox
Stage 1: <24h GI upset, elevated acetaminophen Stage 2: 8-36h elevation in liver enzymes Stage 3: 2-4 Acute liver failure Stage 4: >4d recovery
220
Symptoms of digoxin toxicity
GI upset CNS yellow/green vision and haloes around lights
221
Clonidine toxicity
Opioid mimic Supportive care Can try naloxone but variable response
222
Hydrofluoric acid systemic tox
Hypocalcemia Hypomagnesemia Hyperkalemia QTc prolongation VT
223
Stages of Iron toxicity
Stage 1: GI upset, hematemesis Stage 2: Lethargy, hypotension, acidosis Stage 3: cyanosis, coagulopathy, seizure Stage 4: hepatic failure Stage 5: Gastric scarring and gastric outlet obstruction
224
Methemoglobin
- Oxidation of Fe2+ to 3+ - Chocolate blood - L shift of oxygen dissociation curve - In nitrites, topical anestethics, well water - Treat with methylene blue
225
Organophosphate tox mechanism
Acetylcholinesterase inhibitor SLUDGE Decontaminate AC Atropine Pralidoxime
226
Sulfonylurea antidote
Octreotide
227
Causes of hypoglycemia
Insulin Ethanol Sulfonylureas Salicylates Beta blockers Quinine
228
What to avoid in sympathomimetic OD
Beta blockers - Will result in unopposed alpha
229
Iritis/Uveitis sx and treatment
Photophobia, ciliary flush, pain, decreased acuity Tx: Dilate pupil, steroids, analgesics
230
Dacrocystitis
Blocked tear duct along inferomedial aspect of eye and infection of lacrimal system often caused by staph aureus Sx: tears that don't drain, purulent discharge Tx: warm compress, oral abx
231
Keratitis
Inflammation of cornea - bacterial, viral, fungal, checmical injury Treat: artificial tears, topical antibiotics, cycloplegics, antivirals
232
Hypopyon
Pus in eye Treat with antibiotics and ophtho referral
233
Endophthalmitis
Infection of deep eye structures - Pain and vision loss - Most commonly cuased by occular surgery, penetrating injury Tx: CALL OPHTHO for intraocular and systemic antibiotics
234
Glaucoma
Results from a problem with flow of aqueous humor through the trabecular meshwork and canal of Schlemm --> back-up and too much fluid builds up --> increased IOP --> damage of optic nerve
235
Open angle vs. acute angle closure glaucoma
Open angle = chronic. RF= age >40, fam hx Acute angle closure glaucoma - painful vision loss, headache, nausea, halos. - Precipitated by pupillary dilation - Fixed mid dilated pupil and hazy cornea - Elevated IOP Tx: IV carbonic anhydrase inhibitor (acetazolamide) Topical beta blocker (timolol) Osmotic diuresis (mannitol) Pilocarpine
236
Orbital blowout fracture
Check EOM!!! for nerve entrapment Check IOP Check for dipilopia Check for infraorbital nerve involvement - numbness of cheek/upper lip CT orbits. Can also get Waters view xray but not as good. Treatment - need ophtho, plastics
237
Causes of painless vision loss
CRAO CRVO Retinal hemorrhage Retinal detachment Vitreous hemorrhage CVA
238
Causes of painful vision loss
- Acute angle closure glaucoma - Iritis - Corneal Ulcer - Temporal arteritis - Optic neuritis - Globe rupture - Retrobulbar hematoma
239
Ddx for vertigo
Peripheral: - BPPV - Labyrinthitis - Vestibular neuritis - Menieres Central - CVA - TIA - MS - Acoustic neuroma - AVM Other: - CO - Gentamicin tox - Orthostatic vitals
240
Malignant otitis externa
Necrotizing infection that can spread to cartilage and bone. Can progress to meningitis, encephalitis, brain abscess and cavernous venous thrombosis Sx: Pain out of proportion with trismus. - Washout/debride or talk to ENT to do this - IV abx - Need bone scan/CT
241
Features associated with posterior epixtaxis
- Choking on blood
242
Acute angle closure glaucoma treatment
- Topical B-blocker - Topical alpha-agonist - Carbonic anhydrase inhibitor IV/PO - Hyper-osmotic agent IV (mannitol) - Topical miotic (pilocarpine)
243
Goal of treatment in acute angle closure glaucoma
- Reduction in intraocular pressure of >25% or < 35mmHg
244
RF for placental abruption
- sympathomimetic use (cocaine, meth) - trauma - smoking - hypertension, - heavy alcohol use - previous abruption - advanced maternal age - high parity
245
Absolute contraindications to tocolysis:
- acute vaginal bleeding - fetal distress - lethal fetal anomaly - chorioamnionitis - preeclampsia or eclampsia, - sepsis - DIC
246
Placental abpruption presentation
Painful vaginal bleeding Complications: DIC, fetal demise ● Apparent vs Concealed ○ Apparent: seen on ultrasound, presents with vaginal bleeding ○ Concealed: not seen on ultrasound, no vaginal bleeding ● Sx: painful vaginal bleeding (typical, but not all cases), back pain, abdominal pain ● Diagnosis: fetal stress testing; ultrasound not sensitive enough ● Tx: C­section preferred
247
Define pre-eclampsia
HTN + proteinuria + >20w
248
Mild vs. severe pre-eclampsia
Mild: - 140-160/90-110 - Proteinuria >300-5g in 24h - Can have hyperreflexia Severe: - >160/>110 - Proteinuria 5g/24h - Creatinine and LFTs elevated - Headaches, blurred vision, RUQ pain, clonus
249
Post partum hemorrhage recognition by:
- volume loss that causes symptoms of hypovolemia - a need for transfusion of packed red blood cells - >500ml/24h - 10% drop in the hematocrit
249
PPH treatments
“Tone” - Uterine Atony: - Two-handed uterine massage - Pharm: oxytocin, ergots, prostaglandins “Trauma” - Birth Trauma: - Repair lacerations “Tissue” Retained POC/placenta: - Uterine digital exploration - Manual extraction "Thrombin" - Blood products, reverse coagulopathy
250
Thiamine deficiencies
251
Folic acid vs. B12 deficiency
B12 = Neuro sx (IBD, vegan, PPI) Folic acid = NO NEURO SX (alcoholic, phenytoin)
252
Cushings
Central Obesity/Collagen weakness Urinary free cortisol elevated Striae HTN/hyperglycemia/hirsutism Iatrogenic Neoplasms Glucose Intolerance
253
Adrenal insufficiency
Causes: Primary = Addisons, CAH Secondary = pituitary, decreased ACTH Tertiary = Hypothalamic disease Primary ■ Acute: Shock, Abdominal Pain, Fever (atypical; look for infection), Hypoglycemia, Hyperpigmentation (buccal) ■ Chronic: fatigue, weight loss ○ Secondary/Tertiary: Hyponatremia, Hypoglycemia (more common); no hyperpigmentation (no elevated ACTH); less hypotension; less common: hypotension, GI symptoms; NO hyperpigmentation
254
Pituitary hormones - GOATFLAP
G - growth hormone O - oxytocin A - ADH T - TSH F - FSH L - LH A - ACTH P - Prolactin (Prolactinomas treated with bromocriptine, all others treated with surgery)
255
Adrenal Medulla Tumors
Neuroblastoma (kid, abdominal mass, HTN) Pheochromocytoma (BP, HA, palpitations) Thyroid Disorders & Parathyroid D
256
Thyrotoxicosis treatment
1. Methimazole/Propylthiouracil - blocks new hormone synthesis 2. Iodides (potassium iodine ) - blocks release of thyroid hormone. 1H AFTER thianomides. Iodide can act as a substrate for more production so must block the synthesis first 3. Glucocorticoid - prevents peripheral conversion of T4 to T3 4. Beta blocker - target HR 100
257
Myxedema Coma
- metabolic and multi organ decompensation from uncorrected hypothyroid Hypothermia AMS Brady Hypoventilation Treatement - Supportive care - Stress dose of hydrocortisone 100mg q6h - Thyroid hormone replacement with T4 500mcg IV loading then 50-100mcg daily IV or PO; T3 10mcg IV loading then 10mcg q4h for 24h then q6h. Thyroid hormone replacement is controversial (Avoid T3 in people with CAD) - Treating precipitating factors
258
Causes of hypothermia
Heat loss: - Environmental - avalanche, homeless, submersion - Induced vasodilation - drugs, carbon monoxide, alcohol Decreased production: - Endocrine - hypopituitarism, hypothyroid, hypoglycaemia, hypoadrenal - Neuromuscular - extremes of age, impaired shivering - Erythrodermas - psoriasis, burns, eczema - Impaired thermoregulation - Other - trauma, sepsis
259
Frostbite
Grade 1: no blisters or cyanosis Grade 2: clear blisters, distal cyanosis Grade 3: hemorrhagic blisters and cyanosis up to first joint Grade 4: Hemorrhagic blisters and more profund cyanosis
260
Frostbite treatment
1. Remove from cold 2. Rewarm in circulating water bath at 38-42 degrees for 20-30mins 3. Analgesia 4. Tetanus 5. Abx if severe 6. Illoprost 7. IV TPA - talk to plastics first
261
Afterdrop
Continued cooling of core temperature during initial stages of rewarming from hypothermia. Attributed to return of cold blood from extremities to core.
262
Chilblains
painful skin lesions that can be blue nodules due to capillary damage for cold or damp air that is not freezing Tx: Rewarm, bandage, elevation nifedipine, prostaglandin E1, topical/systemic steroids
263
Complications of trenchfoot
Trenchfoot = mild inflammatory skin condition due to wet and cold - Treatment = drying, rewarming, elevating and avoid future freezing - Complications = prolonged/permanent numbness, hyperhidrosis, cold insensitivity, chronic pain, gangrene
264
Rabies doses
- Rabies IG 20 IU/kg - as much into the wound then the muscle - Rabies vaccine on day 0, 3, 7 and 14d into site away from rabies immunoglobulin
265
Sepsis and Septic shock
Sepsis should be defined as life-threatening organ dysfunction caused by a dysregulated host response to infection. Septic shock should be defined as a subset of sepsis in which particularly profound circulatory, cellular, and metabolic abnormalities are associated with a greater risk of mortality than with sepsis alone. Patients with septic shock can be clinically identified by a vasopressor requirement to maintain a mean arterial pressure of 65 mm Hg or greater and serum lactate level greater than 2 mmol/L (>18 mg/dL) in the absence of hypovolemia.
266
SIRS Criteria
High or low temp >38 or <36 HR >90 RR >20 WBC >12 or <4 Need 2+ Septic shock = SIRS + hypotension despite fluid resucitaiton
267
Gamow bag
Inflatable pressure bag for hyperbaric oxygen. Temporizing measure
268
AMS/High altitude cerebral edema
Decrease in barometric pressure --> decreased arterial O2 --> tissue hypoxia -->cerebral vasodilation --> AMS/HACE (usually at >2500m Tx: 1. Descend 2. Acetazolamide (creates bicarb diuresis and a metabolic acidosis so the body increases minute ventilation. Body is currently in a state of resp alkalosis) 3. Dexamethasone 4. Hyperbaric oxygen in Gamow bag
269
HAPE
Hypoxia → pulmonary vasoconstriction→ pulmonary HTN→ noncardiogenic pulmonary edema Tx: Descent Hyperbaric oxygen if descent not possible Oxygen Nifedipine or Phosphodiesterase inhibitors to decrease pulmonary hypertension
270
Mild hypothermia ~32-35°C symptoms
○ Conscious and shivering ○ Tachycardia ○ Tachypnea ○ Nausea or ileus ○ Ataxia, clumsiness, slowed response to stimuli, dysarthria
271
Moderate hypothermia 28-32 sx:
○ Impaired consciousness, may or may not be shivering ○ Bradydysrhythmias or atrial fibrillation ○ J-wave (Osborn wave) on ECG Osborn ○ Hypoventilation ○ Bronchorrhea ○ AMS or lethargy
272
Severe hypothermia <28 symptoms
○ Unresponsive ○ Bradycardia/asystole/susceptible to ventricular fibrillation ○ Hypotension ○ Pulmonary edema ○ Areflexia
273
Acidic substance burns
Coagulation necrosis - create eschar that may limit damage eg. ○ Sulfuric acid, hydrochloric acid, hydrofluoric acid, acetic acid, formic acid
274
Alkaline substance burns
Liquefication necrosis - potential for deep burns eg. Lye, lime, cement, ammonia, bleach
275
Kid chews on wire...
Tell parents to watch for labial artery bleeding 5-14d after when excar separates
276
Arrythmia after AC exposure
Vfib
277
Arrythmia after DC burn
Asystole
278
Lightning strike injuries
Lichtenberg marks (see pic) - not a burn Keraunoparalysis - transient pulseless leg, self resolving ICH Hyphema Rhabdo Posterior shoulder dislocation Tympanic membrane perf
279
Pathophysiology of drowning
Hypoxia - pulmonary edema - emesis and aspiration
280
Poor prognosticators in drowning
- Immersion > 10 min - Warm water drowning (> 20 degrees C) - Presence of cardiac arrest (pulseless or absence of respiratory effort upon rescue) - Delay to CPR (e.g. no bystander CPR, unwitnessed) - Delayed time to first breath - Drowning secondary to another medical cause (ex. myocardial infarction)
281
Conditions for discharge in frostbite
- Appropriate pain control - Wound care instructions: Dressing changes/ elevation - Activity restrictions - Splinting of extremity - Planned follow-up with plastic surgery/ wound care clinic - Follow-up if signs of infection/ symptoms of compartment syndrome or pain not well controlled
282
Afterdrop
- Continued cooling of core temperature during initial stages of rewarming from hypothermia. Attributed to return of cold blood from extremities to core.
283
Tox causing hyperthermia
- Anticholinergic toxidrome - Sympathomimetic toxidrome - Salicylate poisoning - Serotonin syndrome - Malignant hyperthermia - Neuroleptic malignant syndrome - Withdrawal states (benzodiazepines, alcohol)
284
UA Findings --> Associated condition
o Red cell casts --> glomerulonephritis or vasculitis o WBC casts --> pyelonephritis or acute interstitial nephritis (AIN) (eosinophils) o Granular casts or renal tubular epithelial cells --> acute tubular necrosis (ATN) o Hyaline casts (no cellular contents) --> Pre or postrenal causes of acute renal failure o Oxalic acid crystals -> ethylene glycol o Oval fat bodies or fatty casts --> nephrotic syndrome (heavy proteinuria)
285
Ddx of renal colic
o Appendicitis o Diverticulitis o Biliary colic o Intestinal obstruction o Abdominal aortic aneurysm o Retroperitoneal adenopathy o Tumor o Ovarian cyst o Endometriosis
286
Ischemic vs. non-ischemic priapism on ABG
o Ischemic: pO2 is < 30, pCO2 > 60, and pH < 7.25 o Non-ischemic pO2 > 30, pCO2 < 60, and pH > 7.25
287
RF for UTI in peds
- Female gender - Uncircumcised males - Younger age - Fever >39°C or fever duration >24-48 h - Previous UTI - Sexual abuse/ Sexual activity - Urinary tract pathology - Recent urologic instrumentation - Neurogenic bladder
288
Complications of HUS
- Can also have CNS effects, GI (colitis, necrosis, perforation), cardiac, pancreas and liver. * - CNS (altered mental status, seizures, coma, stroke, hemiparesis, and cortical blindness) * - GI (severe hemorrhagic colitis, bowel necrosis, perforation) * - Cardiac (cardiac dysfunction may be due to fluid overload, hypertension, or hyperkalemia) * - Pancreas (glucose intolerance) * - Liver (Hepatomegaly, increased serum transaminases)
289
Avoid med errors by
- Clear, legible charting - Avoiding ambiguous abbreviations, symbols or dose designations (ie. ug vs mg, QD vs QID) - Avoid trailing zeros, include zeros before a decimal (ie. 5 mg, not 5.0 mg and 0.5 mg, not .5 mg) - Verify/ confirming allergies - Reviewing home medications/ medication reconciliation - Collaboration with pharmacy - Use of standardized protocols
290
C/I to LP
- Infection surrounding site - Increased ICP - Bleeding diathesis (plts <20, anti coagulated, INR >1.5) - Shock/unstable - Focal neuro deficit - Papilledema
291
CT before LP if
- Concern for brain malignancy - ie hx of cancer or focal neuro deficit - Concern for brain abscess - Concern for CVA - Age >60 - Immunocompromized - Focal neuro deficit - Papilledema - Deteriorating LOC
292
TB on Xray
Primary TB can look like any pneumonia or can be atypical o Reactivation TB may have apical lesions o Ghon complex = calcified primary focus, Ranke complex = Ghon complex + calcified hilar lymph node = healed primary TB
293
TB treatment and side effects of meds
Isoniazid: injuries nerves and hepatocytes!check LFTs, can cause neuropathies, can also cause refractory seizures Rifampin = orange body fluid Pyrazinamide Ethambutol = optic neuritis (red-green loss)
294
Risk factors for toxic shock
- History of toxic shock syndrome - Prolonged use of menstrual products (ex. super absorbent tampons; menstrual cups such as the DIVA Cup) - Contraceptive sponges - Intrauterine devices - Diaphragm contraceptive use - Vaginitis - Compromised skin barrier (burn, skin injury, incision site, bites) - Recent respiratory infection (associated with Strep & Staph) - Recent delivery, miscarriage, or abortion (risk for retained products)
295
Pathophysiology of TSS
Infection by Staphylococcus aureus or streptococcus pyogenes that produces toxins, leading to cytokine & inflammatory cell over-activation. This causes capillary leak, which leads to hypotension, rash, and end-organ damage.
296
Criteria of TSS
1. Fever > 38.9 C 2. Rash with diffuse macular erythroderma 3. Desquamation 1-2 weeks after rash onset 4. Hypotension (SBP <90 mm) 5. Multiorgan involvement, defined as at least three of the following: -i. GI (vomiting or diarrhea) -ii. Muscular (severe myalgias or CK >2x upper limit of normal) -iii. Mucous membrane involvement (conjunctival, oropharyngeal, or vaginal hyperemia) -iv. Renal (AKI, pyuria without UTI) -v. Hepatic (signs of liver injury with ALT/AST/Bili elevation) -vi. Hematologic (PLTs low < 100,000/mcL) -vii. Neurologic (alteration in consciousness without focal neurologic signs when fever and hypotension are absent)
297
Trigeminal neuralgia treatment
Ophthalmic, Maxillary and Mandibular branches Treat with NSAIDs and opioids in ED 1. Carbamazepine 2. Baclofen or lamotrigine are second line 3. Gabapentin for refractory 4. decompressive sx or botox
298
When to avoid phenytoin
Avoid in unknown OD/Tox – Na channel blockade effects can precipitate torsade's, VT, arrest ETOH withdrawal seizures
299
Benefits of phenytoin
Can be infused at a faster rate Less hypotension/cardiac arrhythmias Can be given IM
300
Bells palsy
Pred 60-80 x 7 days Antivirals for severe cases Eye lubricants, shields, tape. No patches
301
Painful Horner's syndrome is...
Carotid or vertebral artery dissection until proven otherwise
302
Causes of stroke in younger population
- Dissection (carotid/vertebral) - Drug use (cocaine, methamphetamine) - Cardioembolic (valvular heart disease, arrhythmia, endocarditis) - Structural cardiac abnormalities (patent foramen ovale, atrial septal defect, cardiomyopathies) - Inflammatory conditions ( vasculitis, SLE) - Inherited hypercoaguable states (protein C, Protein S, antithrombin, Factor V Leiden) - Acquired hypercoaguable states (pregnancy, OCP, malignancy, DIC, antiphospholipid) - Hematolologic (polycythemia vera, sickle cell) - Trauma - Nonatherosclerotic angiopathies (Fibromuscular dysplasia, migraine-induced)
303
Ddx of delirium
- Infection (UTI, pneumonia, sepsis, CNS) - Hypo/hyperglycemia - Trauma (including head, burns) - CNS pathology (Stroke/structural lesion) - Urinary retention/constipation - Medications/polypharmacy (many examples) - Withdrawal states (e.g. alcohol, benzodiazepines) - Electrolyte disturbance (hyponatremia, hyperkalemia, etc) - Hypo/hyperthyroidism - Systemic organ failure (cardiac, renal, liver, pulmonary) - Hypoxia/Hypercarbia - Nutrient deficiencies (thiamine, B12) - Adrenal insufficiency - Heavy metals
304
First line drugs in delirium
- Haloperidol - Risperidone - Quetiapine - Olanzapine
305
Triggers of myasthenia gravis
-- infection -- recent surgery/anesthesia -- emotional or physical stress, -- electrolyte imbalance -- temperature extremes -- pregnancy/childbirth -- Antibiotics
306
Peds vitals
Estimating weight by age: Wt = (Age x 2) + 10 HR and RR: 0-1 : 140 and RR 40 1-4: HR 120 and RR 30 4-12: HR 100 and RR 20 >12: HR 80 and RR 15 BP: Neonate: 60 Infant 70 1-10: (Age x 2) + 70 >10: 90
307
Pressors for kids
* Cold shock: hypotensive and vasoconstricted - use epinephrine (need more Beta-1 support due to children having high SVR and decreased cardiac function) * Warm shock: hypotensive and vasodilated - use norepinephrine (need increased SVR)
308
Omphalitis
= erythema on abdominal wall o Very concerning = necrotizing fasciitis of the abdominal wall o Risk for sepsis and peritonitis
309
CHD babies with ductal dependent lesions affecting pulmonary blood flow will present with:
hypoxia/ cyanosis!! - administer prostaglandin E1
310
CHD babies with ductal dependent lesions affecting systemic blood flow will present with:
acidosis/shock (not responsive to fluid) - administer prostaglandin E1
311
Treatment for inborn errors of metabolism
IVF NPO Replete glucose Control seizures Correct hyperammonemia (may need dialysis) Correct lytes Treat for sepsis
312
Triad of iintussusception
Abdo pain Red current jelly stools - Palpable abdominal mass ("sausage-shaped') in RUQ - GI bleeding - Previous episodes - Recent illness or infection - Abdominal distension - Irritability - Abdominal guarding - Blood on rectal exam Age 3mo-2y Tx air enema
313
Anterior intraosseous nerve function testing
- Motor function: -- Flexor Pollicis Longus (FPL): Okay sign/flexion of distal phalanx of thumb --Flexor Digitorum Profundus (FDP) to Index and Middle Fingers: Flexes the distal interphalangeal joints of the index and middle fingers --Pronator Quadratus (PQ): Pronates the forearm Most common injury in supracondylar fractures
314
Procedures for penetrating neck trauma
- Flexible fiberoptic Laryngoscopy/Bronchoscopy - Esophagoscopy
315
Indications for c-spine precautions in penetrating neck trauma
Focal neuro deficits Concurrent blunt neck trauma
316
○ Subfalcine herniation
■ Part of frontal lobe passes under falx cerebri ■ Causes abnormal gait (think of homunculus—where are the legs?
317
Uncal herniation
■ Uncus of temporal lobe passes under cerebellar tentorium ■ Compression of ipsilateral CN 3 → fixed and dilated pupil ■ Contralateral hemiparesis
318
Central transtentorial herniation
■ → Bilateral pinpoint pupils, bilateral Babinski’s signs, CN VI palsy ■ → Decorticate and decerebrate posturing
319
Tonsillar herniation
■ Rare ■ → pinpoint pupils, paralysis, death
320
Subdural hemorrhage
Between dura and arachnoid Bridging veins ● Acute (<14 days since injury) – rapid LOC, +/- lucid period ● Chronic (>14 days) – gradual decrease in consciousness and altered mental state
321
Basilar skull fracture PE
○ Periorbital ecchymosis (raccoon eyes), mastoid ecchymosis (Battle sign) ○ Otorrhea, rhinorrhea, hemotympanum ○ CN VII deficits, hearing problems, vertigo
322
LeFort Fracture Treatment
● Le Fort I and stable Le Fort II: ○ ENT or facial surgery consult and possible discharge ● Le Fort III and IV: ○ Admission and IV antibiotics (especially if CSF leak) ○ Consider awake intubation and be prepared for cricothyrotomy
323
Orbital blow out fracture
● Orbital pain, globe injury, ↓visual acuity ● Diplopia or limited ocular movement due to entrapment ● Enophthalmos or proptosis (retrobulbar hematoma) ● Infraorbital paresthesia due to damage to the infraorbital nerve ● Facial or orbital CT if significant clinical findings ○ Teardrop sign on coronal images ● Waters’ view ○ For low-risk patients or when CT is unavailable ○ May show fluid in the maxillary sinus Tx: antibiotics to prevent sinus infection, avoid nose blowing, refer to surgery, check for retrobulbar hematoma
324
Sx of mandible # and tx
Mandibular pain, malocclusion, trismus, decreased TMJ motion, lower lip paresthesia (mandibular nerve injury) Treatment Closed fractures → ○ Barton bandage (ace wrap around head/mandible for stabilization) ○ Urgent outpatient follow-up with oral/maxillofacial surgery Open fractures → ○ Admit for operative repair + antibiotic prophylaxis (eg. penicillin or clindamycin)
325
Dental fracture treatment by class
Treatment ● Ellis Class I ○ Routine dental follow-up for aesthetic repair ● Ellis Class II ○ Cover dentin with calcium hydroxide ○ Dental follow-up in 1-2 days ● Ellis Class III ○ Cover with calcium hydroxide dental cement ○ Consider prophylactic penicillin or clindamycin ○ Dental follow-up in 1-2 days
326
Dental fracture classes
○ Ellis Class I – through the enamel ○ Ellis Class II – through enamel + dentin ○ Ellis Class III – through enamel + dentin + pulp
327
328
Chance fracture
Associated with seat belt sign T10-L2 Flexion/unstable. Need surg
329
Spinal cord anatomy
Dorsal column - vibration/proprioseption Lateral corticospinal tract - upper motor neuron Anterior horn - lower motor neuron Spinothalamic - pain/temp
330
Dermatomes
C6 = first dorsal web space, C7 = middle finger, C8 = pinky, T4 = nipple, T10 = belly butTEN (umbilicus), L1 = inguinal
331
Refelexes
■ Diminished reflexes → lower motor neuron ■ Hyperactive or intact reflexes → upper motor neuron
332
Zone 1 of penetrating neck trauma
■ Clavicles to the cricoid cartilage ■ Lungs, esophagus, trachea, spinal cord, thoracic/proximal carotid vessels ○ Zone I: CTA of neck and chest, esophagoscopy, bronchoscopy
333
Zone 2 of penetrating neck trauma
■ Cricoid to the angle of the mandible ■ Most common area of penetrating injury ■ Carotid + vertebral arteries, jugular veins, esophagus, trachea, larynx, spinal cord ○ Zone I: CTA of neck and chest, esophagoscopy, bronchoscopy
334
Zone 3 of penetrating neck trauma
■ Angle of the mandible to the base of the skull ■ Distal carotid/vertebral arteries, pharynx, spinal cord CTA of neck + head
335
Clavicle fracture
Rule of 2's: If more than 2 cm displaced or fractured in more than 2 pieces it is more likely to be operative due to risk of non-union ○ Displaced distal clavicle fractures tear the coracoclavicular ligaments and tend to have a painful nonunion → treated surgically If proximal 3rd, look for thoracic injuries
336
Tamponade PE
Muffled heart sounds Elevated JVP Hypotension Tachycardia Pulsus paradoxus (>10 drop in SBP during inspiration) Narrow pulse pressure Pericardial friction rub US: PCE Distended ivc Diastolic collapse of RA and RV Elevated JVP
337
Diaphram injury CXR findings
○ Blurred/elevated hemidiaphragm ○ Hollow viscus (gastric bubble, air-fluid level) in chest ○ Mediastinal shift away from hernia ○ Atelectasis on side of hernia ○ Pathognomonic = coiling of NG tube in thorax ○ CXR commonly abnormal but not diagnostic
338
Alkali vs acid ocular burn pH
Test with lithmus Alkali burns ■ pH>7.2 ○ Acid burns ■ pH<7.0 Fluorescein AFTER irrigation
339
Occular chemical burn treatment
○ Irrigate ■ At least 30 min with normal saline or lactated Ringer’s (Morgan lens is helpful) ■ Check pH 5-10 min after irrigation ■ Continue irrigation until pH is within normal limits ○ Topical antibiotics ■ Erythromycin ointment for minor injuries ■ Fluoroquinolone for severe injuries ○ Ophthalmology evaluation in ED for severe burns, otherwise within 1 day ■ Optho may recommend prednisolone ophthalmic
340
UV Keratitis
○ Saline eye drops or other ocular lubricants ○ Ophthalmology follow-up in 24 hours if intractable pain or vision loss
341
Penetrating globe treatment
Leave FB in if present Elevate HOB Eyeshield NO PRESSURE to eye Tetanus IV Abx
342
Risk factors for retinal detachment
Age Myopia Hx of cataract removal Prior diagnosis History of vitreous detachment
343
Indications for lateral canthotomy:
○ IOP > 35 mmHg ○ ↓ acuity ○ Proptosis ○ Afferent pupillary defect ○ Ophthalmoplegia
344
High pressure injection injury
Digital block C/I Need debridement w/in 6h Antibiotics
345
Finger tendon injuries
Mallet finger (inability to extend the distal interphalangeal joint): ■ Extensor tendon disruption with or without avulsion of a bony fragment from the distal phalanx ■ Due to forced flexion of DIP (eg. ball striking extended digit) ○ Boutonniere deformity: extensor tendon slip at PIP → PIP flexion and DIP extension ○ Jersey finger: FDP avulsion → can’t flex the DIP
346
347
To declare Brugada syndrome, you need:
- Documented ventricular fibrillation (VF) or polymorphic ventricular tachycardia (VT). - Family history of sudden cardiac death at <45 years old . - Coved-type ECGs in family members. - Inducibility of VT with programmed electrical stimulation . - Syncope. - Nocturnal agonal respiration.
348