Defined as the derangement of function seen in disease
pathophysiology
A condition with signs and/or symptoms that is linked to an increased risk of future death or disability
disease
study of heredity and its variations
genetics
molecular unit of inheritence
gene
what are the two purines/
adenine, guanine
what are the two pyrimidines
thymine and cytosine
Genetic diversity is largely determined by ____.
non-coding genome
Disease causing genetic mutations occur mainly in the ___ and sometimes in the non-coding ___. (same word)
exome
Where is DNA found?
Nucleus and mitochondria
The causes of polyploid involve (2):
polyspermia
failure to expel polar body
T/F - polyploidy can result in a live birth
FALSE
What are the common presentations of Aneuploidy?
2n-1 monosomy
2n+1 trisomy
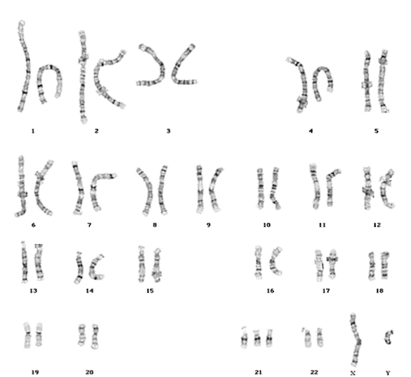
What abnormality does this represent (and note gender)?

Down-syndrome male
What is this disease and gender?

Edwards Syndrome
Female
Aneuploidy is associated with non-disjunction in the ___ meiotic division. Causes of this action are said to be either both sporadic and related to ____.
first
older oocytes
Monosomy is usually lethal except with this disease
Turner’s Syndrome
Autosomal trisomies are usually lethal except for these diseases (3).
13 - Patau’s
18 -Edwards
21 -down sydrome
Turner’s Syndrome (45, X) phenotype (4).
List 2/4 special problems
Short, webbed neck, shield chest, female.
amenorrhea, infertile, kidney malformations, congetial heart disease, aortic arch dilation and rupture risk
Variable degrees of retardation, increased risk of medical conditions, epicanthal folds, and accelerated aging are common issues in this Trisomy.
Downs Syndrome (Trisomy 21)
What trisomy is this defined as…
Severe anomalies, markedly shortened lifespan
10% survive to age 1, 1% to age 10
Edwards Syndrome
What trisomy is defined as…
Patau Syndrome
What does this represent?
Hint: Check out chromosome 45

45, XX - Robertsonian Translocation
Case- A healthy male (46, XY) and Robertsonian Female (45, XX) what to have a baby. What are the couples risks of having a baby?
Chromosone deletion____has this cat-like cry; what is the name of this syndrome?
5p minus
Cri du Chat