Rite Questions Flashcards

(266 cards)

1
Q

Breathing pattern and location?
Cheyne stoke
Ataxic
Apneustic
Cluster
Central neurogenic hypervent
Central neurogenic hypo

A
How well did you know this?
1
Not at all
2
3
4
5
Perfectly
2
Q

Breathing pattern locations?
Cheyne, ataxic, apneustic, cluster, hyper and hypoventilation

A
How well did you know this?
1
Not at all
2
3
4
5
Perfectly
3
Q

Dorsal Spinocerebellar tract pathway?

A

first-order neurons carry input from the periphery to a large nucleus in the posterior gray horn known as Clarke nucleus, which ranges from C8-L3 (Clarke column). From there, second-order neurons ascend in the ipsilateral DSCT and enter the cerebellum through the inferior cerebellar peduncle before terminating in the cerebellar cortex.

How well did you know this?
1
Not at all
2
3
4
5
Perfectly
4
Q

Onus Nucleus? rubrospinal tract pathway?

A

Onuf nucleus is a gray matter structure in the ventral horn of the sacral spinal cord. It is primarily involved in the conscious control of micturition and defecation and also plays a role in orgasm. Unlike the DSCT, it is not a sensory structure.

rubrospinal - red nucleus to LMN SC - inhibits extensor muscles - lesion causes decerebrate posturing

How well did you know this?
1
Not at all
2
3
4
5
Perfectly
5
Q

AED SE of oligohidrosis? Alopecia?

A

oligo- zonisamide
alopecia -VPA

How well did you know this?
1
Not at all
2
3
4
5
Perfectly
6
Q

dejerine rouse syndrome?

A

pain after thalamic stroke
tx w/ gabapentin

How well did you know this?
1
Not at all
2
3
4
5
Perfectly
7
Q

Balint syndrome?
Location of stroke?

A

triad of optic ataxia, oculomotor apraxia, and simultagnosia (can’t perceive more than one object at a time)

b/l parietal

How well did you know this?
1
Not at all
2
3
4
5
Perfectly
8
Q

Function of:
Lateral vestibular nucleus?
Medial?
descending?
Superior?

A

MVN/SVN Go UP to eyes for Vestibulocular reflex
descending go down FROM OTOLITHS TO Spinal cord via LINEAR MOVEMENTS
LVN - from cerebellum to spinal cord an extensor posturing

The MVN, along with the SVN, mediates the VOR, which aids in eye rotation to the opposite side during horizontal head movements. The MVN receives input from the lateral semicircular canals and sends efferent fibers through the MLF to coordinate eye movements in response to head movements. LVN efferent fibers regulate extensor tone and are not related to coordinating eye movements.

The MVN, along with the SVN, mediates the VOR, which aids in eye rotation to the opposite side during horizontal head movements. The MVN receives input from the lateral semicircular canals and sends efferent fibers through the MLF to coordinate eye movements in response to head movements. LVN efferent fibers regulate extensor tone and are not related to coordinating eye movements.

The lateral vestibular nucleus (LVN) receives input from the ipsilateral flocculonodular lobe (vestibulocerebellum) regarding head tilt and gravity. Fibers from the LVN then descend in the ipsilateral ventral horn of the spinal cord to regulate extensor tone of the back and extremity muscles on the ipsilateral side in response to head movements.

How well did you know this?
1
Not at all
2
3
4
5
Perfectly
9
Q

Buccal nerve is branch of what branch trigeminal?
Where inferior alveolar nerve located?

A

V2 maxillary

mandible, blocked during molar extraction

How well did you know this?
1
Not at all
2
3
4
5
Perfectly
10
Q

EEG findings in JME? Hz for interictal and myoclonic jerks?

A

The interictal EEG (pictured below) has 4- to 6-Hz spike or polyspike and slow-wave complexes. The ictal EEG with the myoclonic jerks typically shows 10- to 16-Hz polyspike discharges.

How well did you know this?
1
Not at all
2
3
4
5
Perfectly
11
Q

cauda equina vs conus?

A

conus usually numbness mainly perianal, less pain/sciatica

How well did you know this?
1
Not at all
2
3
4
5
Perfectly
12
Q

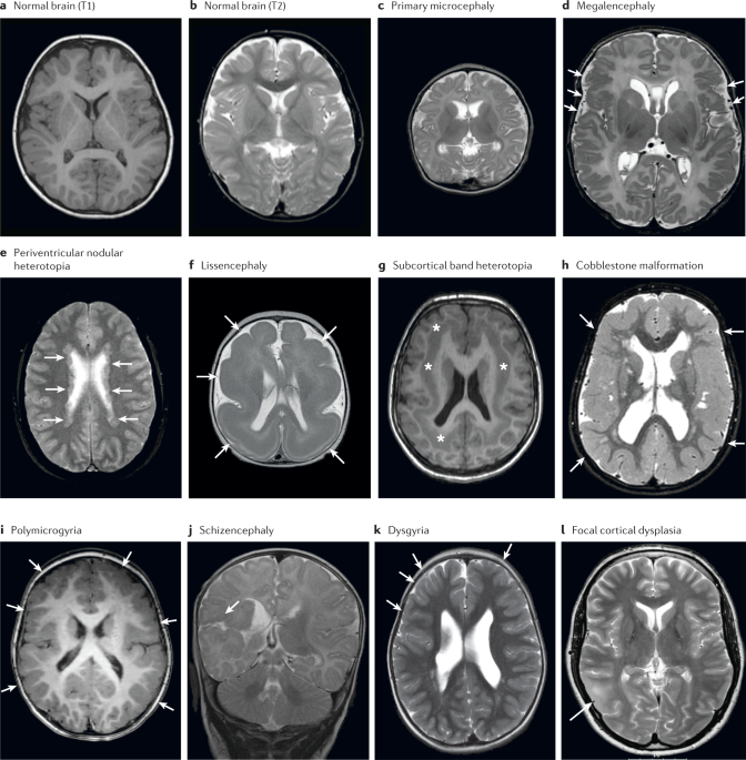
Developmental malformations that are due migration issues? organizational? Proliferation?

A

Migration: lissencephaly (type 2=cobblestone), heterotopia
organization: schizencephaly and polymicrogyri
proliferation - microcephaly, hemimegalacephaly

How well did you know this?
1
Not at all
2
3
4
5
Perfectly
13
Q

location of MLF, corticobulbar/spinal tract, pontocerebellar, vestibular nuclei?

A
How well did you know this?
1
Not at all
2
3
4
5
Perfectly
14
Q

Monomelic amyotrophy?

Neuralgic amyotrophy? (parsonage turner) - 97% involves which nerve?

A

Monomelic amyotrophy or Hirayama disease is a rare lower motor neuron disorder that typically presents with distal upper extremity weakness in juveniles of Asian descent. Proximal involvement is rare. Sensory symptoms are minimal.

How well did you know this?
1
Not at all
2
3
4
5
Perfectly
15
Q

S100 positive and verocay bodies?

A

Scwhannomas……Histologically, they are characterized by compact, hypercellular areas of elongated cells called Antoni A bodies and loosely arranged hypocellular areas called Antoni B bodies. Antoni A bodies also tend to palisade around hypocellular areas called Verocay bodies (2 nuclear palisading bodies w/ hypo cellular center)

How well did you know this?
1
Not at all
2
3
4
5
Perfectly
16
Q

Laminated calcifications with spindle cells in a whorled pattern ?

Pseudopalisading cells with central necrosis is consistent with ?

Round nuclei with clear cytoplasm is the typical presentation?

A

Laminated calcifications with spindle cells in a whorled pattern ? Meningioma

Pseudopalisading cells with central necrosis is consistent with ? GBM (also GFAP +)

Round nuclei with clear cytoplasm is the typical presentation? oligodendrolgioma (often frontal)

How well did you know this?
1
Not at all
2
3
4
5
Perfectly
17
Q

parasympathetic N that feeds submandibular gland?

A

The greater petrosal nerve provides parasympathetic innervation to the lacrimal, nasal, and palatine glands. The parasympathetic secretomotor fibers of the submandibular gland arise from the chorda tympani, which is distal to the greater petrosal nerve.

How well did you know this?
1
Not at all
2
3
4
5
Perfectly
18
Q

SCA1 vs 2 vs 7?

A

SCA 1 has cerebellar and brainstem atrophy
2 has MOST cerebellar atrophy
7 - younger (teen young adult)-myoclonus and seizures too, retinal degeneration

SCA1 is caused by a CAG repeat expansion in the ATXN1 gene on chromosome 6. It typically manifests around age 30-40 and is characterized by progressive cerebellar ataxia, dysarthria, and bulbar dysfunction

How well did you know this?
1
Not at all
2
3
4
5
Perfectly
19
Q

Dentatorubral-pallidoluysian atrophy?

similar to what other CAG repeat dz

A

Dentatorubral-pallidoluysian atrophy is caused by a CAG trinucleotide repeat expansion of the polyglutamine region of the atrophin-1 gene on chromosome 12p. Because it is most associated with ataxia, choreoathetosis, and dementia, it is most similar to Huntington disease (HD). In young-onset cases, seizures and myoclonus are also common. Although MRI may show cerebellar atrophy, as here, it also shows brainstem atrophy, calcification of the basal ganglia, and leukodystrophic changes.

How well did you know this?
1
Not at all
2
3
4
5
Perfectly
20
Q

Chromosome of HD? SCA? Dentatorubral-pallidoluysian atrophy?

A

4 - HUNT
SCA - 6
DP - 12

How well did you know this?
1
Not at all
2
3
4
5
Perfectly
21
Q

gamma motor N innervate?

A

Each skeletal muscle fiber is innervated by a single motor axon from the alpha motor neurons in the anterior horns of the spinal cord. The same axon may also innervate other muscle fibers. All the fibers innervated by the same axon are called a motor unit. Skeletal muscles contain specialized proprioceptive sense organs, called muscle spindles, which function to detect muscle stretch. Each muscle spindle consists of an encapsulated cluster of small striated muscle fibers (intrafusal muscle fibers). Each fiber has a mechanosensory nerve ending (the most prominent of these are called annulospiral endings) which wraps around the mid-region of the fiber; this sensor produces nerve impulses in response to stretch. Each fiber also receives motor innervation from a γ (gamma) efferent nerve fiber; impulses in this fiber cause the spindle muscle fiber to contract.

How well did you know this?
1
Not at all
2
3
4
5
Perfectly
22
Q

How to test for 4th nerve?

A
  1. vertical misalignment
  2. misalignment worse which direction? (opposite lesion)
  3. head tilt worse? (same side as lesion)
    Trochlear nerve palsies present with (1) vertical misalignment (higher eye or hypertropia), (2) diplopia worsened in contralateral gaze to the higher eye, and (3) diplopia worsened in ipsilateral head tilt toward the higher eye.

The trochlear nucleus can be found in the caudal midbrain. The right superior oblique (trochlear nerve) nucleus is in the contralateral (left) midbrain. The occulomotor nerve nuclei (occulomotor nucleus and Edinger-Westphal nucleus) are both located in the rostral midbrain. The abducens nucleus is in the caudal pons.

How well did you know this?
1
Not at all
2
3
4
5
Perfectly
23
Q

ant dislocation of shoulder affects?

A

axillary nerve (arises from C5-6) - forms sup trunk before going to posterior cord and splits to axillary and radial

The axillary nerve innervates the deltoid (shoulder abduction >15°), teres minor (external rotation and shoulder adduction), and the triceps (long head only). The superior lateral cutaneous nerve is the sensory branch of the axillary nerve and supplies the upper lateral shoulder.

How well did you know this?
1
Not at all
2
3
4
5
Perfectly
24
Q

Histopathology of sarcoid? where lesions usually found?

A

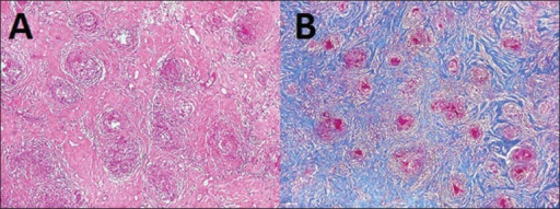
Image B is a Masson trichrome stain that shows pink granulomas against dense blue collagenous connective tissue.

Sarcoidosis is an inflammatory granulomatous disease. Commonly described neurologic manifestations of sarcoidosis include cranial neuropathies (specifically II and VII), meningitis or encephalitis, peripheral neuropathy, and myopathy.

How well did you know this?
1
Not at all
2
3
4
5
Perfectly
25
Lower trunk injury leads to?
claw hand The most classic presentation of a lower trunk brachial plexus injury is the “claw hand,” in which the forearm is supinated and the wrist/fingers are flexed. This is also known as Klumpke palsy affecting the C8-T1 nerve roots. The C8-T1 roots form the lower trunk of the brachial plexus. Illustration © TrueLearn, LLC The hand and finger weakness are due to the effect on flexor muscles of the wrist and fingers, forearm pronator, and intrinsic hand muscles. Sometimes patients will have sensory loss on the ulnar aspect of the hand and forearm. If the T1 root is damaged proximal to the sympathetic trunk, there may be an associated Horner syndrome. Biceps, brachioradialis, and triceps reflexes will be normal, and the finger flexor reflex will be absent. Common causes include upward traction injuries (grabbing a branch during a fall from a tree or being dragged unconscious on a floor), thoracic outlet syndrome, and Pancoast syndrome. It also may also occur during a difficult delivery if the infant's arm is pulled with upward traction.
26
Lesions in orbitofrontal cause? ventrolateral? rostral? dorsolateral? medial prefrontal?
Lesions to the orbitofrontal cortex of the prefrontal region can result in a lack of affect, inappropriate social behaviors, as well as risky behavior (ie, gambling, sexual acts, etc). The rostral prefrontal cortex has been associated with disorganized behavior in everyday situations as well as difficulty with making everyday decisions. Answer C: The dorsolateral prefrontal cortex is comprised of Brodmann areas 9 and 46. Lesions of the dorsolateral prefrontal cortex have been associated with deficits in working memory function, planning, and attention. The dorsolateral prefrontal cortex is also involved in encoding and retrieval of episodic memory. Answer D: The ventrolateral prefrontal cortex is comprised of Brodmann areas 44, 45, and 47. This region houses the Broca area; therefore, lesions in this region can lead to Broca aphasia as well as spatial inattention and neglect. Answer E: The medial prefrontal cortex is comprised of a dorsomedial region, which comprises Brodmann areas 8, 9, 10, 24, and 32, while the ventromedial region is comprised of Brodmann areas 10, 12, 14, and 25. Damage to the medial prefrontal cortex can cause a multitude of symptoms such as abulia, emotional lability, inattention, problems with decision-making, as well as akinetic mutism.
27
Good prognosis for GBM if O6-methylguanine-DNA methyltransferase (MGMT) promoter methylation? IDH mutation?
yes both are good IDH WILD TYPE = BAD
28
Benedikt syndrome? Claude?
The case is describing Benedikt syndrome. It is due to a lesion in the ventral midbrain (on the right in this case) involving the following structures: red nucleus, oculomotor fascicles, cerebral peduncle, and substantia nigra. The syndrome presents with ipsilateral cranial nerve III palsy and contralateral involuntary movements (intention tremor, hemichorea, or hemiathetosis). It can also present with hemiparesis due to the involvement of the cerebral peduncle. This area of the brainstem is supplied by deep penetrating arteries from the posterior cerebral artery or paramedian penetrating branches of the basilar artery. A similar syndrome is Claude syndrome which is when there is ipsilateral oculomotor nerve palsy and contralateral ataxia, suspected to be from involvement of the oculomotor fascicles and the dentato-rubro-thalamic tract. Answer B: Weber syndrome is due to a lesion in the medial midbrain/cerebral peduncle. It presents with ipsilateral cranial nerve III palsy and contralateral hemiparesis. This area is supplied by the deep penetrating artery from the posterior cerebral artery. Answer C: Foville syndrome is due to a lesion involving the caudal pontine tegmentum and the facial colliculus. It presents as ipsilateral cranial VI and VII palsies +/- contralateral hemiparesis. This area is supplied by the pontine perforator branches off of the basilar artery. Answer D: Wallenberg syndrome is due to a lesion in the lateral medulla, which is supplied by the posterior inferior cerebellar artery. It presents with numerous symptoms including: Ipsilateral facial and contralateral body hypalgesia and thermoanesthesia; ipsilateral palatal weakness; dysphagia, dysarthria, nystagmus, vertigo, nausea/vomiting; ipsilateral Horner syndrome; skew deviation. With this, consider disease in the parent vertebral artery. Answer E: Dejerine syndrome is due to a lesion in the medial medulla, which is supplied by the vertebral artery or anterior spinal artery. This presents with ipsilateral tongue weakness and contralateral hemiparesis, +/- contralateral loss of proprioception, and vibration.
29
Weber syndrome?
Weber syndrome is due to a lesion in the medial midbrain/cerebral peduncle. It presents with ipsilateral cranial nerve III palsy and contralateral hemiparesis. This area is supplied by the deep penetrating artery from the posterior cerebral artery.
30
foville syndrome?
Foville syndrome is due to a lesion involving the caudal pontine tegmentum and the facial colliculus. It presents as ipsilateral cranial VI and VII palsies +/- contralateral hemiparesis. This area is supplied by the pontine perforator branches off of the basilar artery.
31
foville syndrome?
Foville syndrome is due to a lesion involving the caudal pontine tegmentum and the facial colliculus. It presents as ipsilateral cranial VI and VII palsies +/- contralateral hemiparesis. This area is supplied by the pontine perforator branches off of the basilar artery.
32
Wallenburg syndrome? Artery? Sx?
33
nucleus ambiguous vs nucleus solitarius?
The nucleus solitarius is a purely sensory nuclei located in the medulla. The main role of the nucleus solitarius is autonomic regulation via its projections to the reticular formation, parasympathetic preganglionic neurons, hypothalamus, and thalamus. A lesion to the nucleus solitarius would not explain the motor findings in this patient, including dysarthria or uvula deviation. The nucleus ambiguus is a collection of motor neurons and preganglionic parasympathetic neurons located deep in the medullary reticular formation. It is located dorsal to the inferior olive and is near the lateral upper medulla. Due to the presence of both motor and parasympathetic fibers, it functions to innervate the muscles of the soft palate, pharynx, and larynx and assists in speech and swallow. Additionally, the parasympathetic neurons innervate the heart to aid in control of the heart rate. When there is a lesion of the nucleus ambiguus, nasal speech, dysarthria, and dysphagia may be seen. Additionally, contralateral deviation of the uvula may be present due to weakness of the laryngeal muscles.
34
3 areas that can cause palatal myoclonus? which contralateral?
35
CASPR (Morvan syndrome) sx? screening?
The classic triad of peripheral nerve hyperexcitability, dysautonomia, and encephalopathy, Also LGI1 19:1 males to females Screen for thymoma
36
muscle that abducts arm 15? 15-90? what is each nerve a branch of in brachial plexus?
first 15 - supraspinatus - upper trunk deltoid - axillary- br off posterior cord
37
hereditary hyperekplexia gene?
GLRA1 (Glycine alpha receptor mutation on Chromosome 5), SLC6A5, GLRB, GPHN, and ARHGEF9.
38
Increased glycine in CSF causes what sx?
neonatal severe seizures and encephalopathy nonketotic hyperglycinemia
39
tx for sydenhams chorea?
typical or atypical antipsychotic need D2 blocking d2 agonist not first line Treatment of Sydenham chorea includes antibiotic therapy with penicillin. The first-line treatment for the chorea is with a dopamine receptor antagonist, such as a typical or atypical antipsychotic.
40
rufinamide mechanism? can use in LGS?
Yes modulation of activity in sodium channels, particularly prolongation of the inactive state.
41
felbamate mechanism?
inhibition of voltage-sensitive sodium and calcium channels, reduction of glutamergic transmission through modulation of NMDA receptors, and potentiation of GABA transmission
42
adies pupil pathophysiology? whee degeneration?
degeneration of post ganglioninic parasympathetic or ciliary ganglion, uopregulate post syndrome receptors so should respond to diluted pilocarpine. If need concentrated then medicine induced (atropine)
43
cocaine with Horner's? what happens? amphetamine?
Answer C: Cocaine drops result in pupil dilation in 45 to 60 minutes of adminstration because they block norepinephrine reuptake by the presynaptic nerve terminal. Cocaine is used in the diagnosis of Horner syndrome. The affected pupil will minimally dilate or fail to dilate due to a lack of norepinephrine release. Answer D: Hydroxyamphetamine is used to aid in the localization of lesions in Horner syndrome. It causes release of norepinephrine into the neuromuscular junction and, therefore, dilates the pupil with preganglionic lesions but not postganglionic ones.
44
cavernous malformation MRI findings?
On T2-weighted MRI, a typical cavernous malformation appears as a well-defined lesion with a central core of mixed-signal intensity surrounded by a rim of hypointensity (RIM is key)
45
histology schwannoma vs perineuroma vs neurofibroma vs ganglioneuromas
Neurofibroma -- dark nuclei with wavy dark nuclei in a fibrotic storm A: Schwannomas are the most common tumor of the peripheral nerves. They are made entirely of benign neoplastic Schwann cells. The presence of nerve fibers makes this answer incorrect. Answer B: Perineuromas are composed of only perineural cells. These can clinically mimic schwannomas. On pathology, there is pseudo–onion bulbing that differentiates it from schwannomas. (ONOION) Answer C: Ganglioneuromas are large slow-growing tumors that arise from sympathetic ganglion cells. The patient in this case has a tumor in her brachial plexus, which excludes this answer. (SYMPATHETIC!!!!)
46
IBM weakness pattern? mutation? histology?
The muscle biopsy finding most typical of inclusion body myositis is vacuole formation surrounded by a basophilic rim (rimmed vacuoles). Inclusion body myositis is an inflammatory condition in older individuals (male predominant), which is slowly progressive. Clinical features of early weakness and atrophy of select muscles are found in quadriceps, flexors of the forearms, and ankle dorsiflexors. Muscle enzyme levels are normal or minimally increased, and EMG studies typically reveal an inflammatory myopathy. Anti-NT5c1A protein has moderate sensitivity and high specificity for
47
mcardles disease abnormality?
myophosphorylase The diagnosis of McArdle disease can be ascertained using four features that are commonly present which include: exercise intolerance, high serum creatine kinase (CK) levels, 1 or more episodes of elevated serum CK after exercise, and the “second wind” phenomenon. The “second wind” phenomenon is described as a sudden improvement in aerobic exercise after about 10 minutes if the patient takes a brief rest at the first signs of exercise intolerance. This phenomenon can be explained by the increased blood flow to muscles with better delivery of free fatty acids. Treatment strategies include a diet high in complex carbohydrates and consuming simple carbohydrates shortly before any strenuous exercise.
48
learn Sayre syndrome?
Of the choices offered in the question, only Kearns-Sayre myopathy is a mitochondrial disease. Kearns-Sayre syndrome is caused by large deletions in mitochondrial DNA. Neurologic manifestations include ophthalmoplegia, ptosis, and generalized weakness and often eventually progress to dementia, hearing loss, retinitis pigmentosa, and autonomic neuropathy. Systemic manifestations include heart block, cardiomyopathy, and diabetes. Mitochondrial DNA deletions (as opposed to mutations) are almost always sporadic. Part (a) shows hematoxylin and eosin stain (arrows indicate fibers with an increase in basophilic staining indicative of mitochondrial hyperplasia), part (b) shows modified trichrome stain (arrows indicate ragged red fibers), and part (c) shows cytochrome c oxidase (COX) stain (asterisks mark COX-negative fibers). Electron microscopy (d-f) shows mitochondrial hyperplasia, variation in the mitochondrial shape and size, and mitochondria with crystalline arrays (arrowheads).
49
nightmare is REM or NREM parasomnia?
REM
50
toxicity with garlic breath? alopecia?
arsenic garlic thallium alopecia Arsenic toxicity acutely presents with abdominal pain, vomiting, and diarrhea. An axonal neuropathy of both motor and sensory fibers is evident after the first and second week of exposure, which tends to follow an ascending pattern, similar to that of Guillain-Barré syndrome. Pancytopenia and basophilic stippling of red blood cells (RBCs) can be seen. Dermatologic findings include oral ulcers, pruritic macular rash, and Mees lines in the fingernails and toenails. A persistent garlic breath is characteristic of arsenic toxicity. Treatment is mainly supportive in the chronic stage, but, in the acute setting, chelating agents such as dimercaprol and succimer may be recommended. Answer A: Thallium toxicity presents with a severe axonal sensorimotor neuropathy with burning paresthesias of the feet. Alopecia is characteristic and can be seen weeks after intoxication (aids in the differential diagnosis). Patients can develop uremia and hepatic dysfunction. This type of intoxication does not present with a garlic smell. Answer C: Lead toxicity classically presents with upper or lower extremity weakness, typically with wrist and finger drop. There is not an ascending pattern, as is seen with arsenic, and there are typically no sensory issues. Basophilic stippling of RBCs can be seen. It is treated with chelation. Answer D: Garlic breath and dermatologic findings are not characteristics of Guillain-Barré syndrome. Answer E: Mercury toxicity is characterized by intention tremor, paresthesias, ataxia, sialorrhea, changes in personality, and depression, anxiety, or both. The oral mucosa can show inflamed gums. Treatment includes penicillamine and 2,3-dimercaptopropane-1-sulfonate.
51
thalamic pain syndrome pseudonym? tx?
Dejerine-Roussy syndrome gabapentin, lamictal, TCA
52
AED that can cause Parkinsonism?
Valproic acid use is associated with the development of a tremor, which is typically postural but can occasionally be resting; drug-induced parkinsonism has occurred as the result of chronic use of valproic acid.
53
Combined sensory index > ----- is indicative of CTS?
In a carpal tunnel syndrome study, the combined sensory index (CSI) is used as an attempt to maximize sensitivity without reducing specificity. In the CSI, the results of several tests are taken into account, including the ringdiff (antidromic), thumbdiff (antidromic), and the palmdiff (orthodromic). 1.0 ms
54
taste for 2/3 ant tongue? post 1/3? pharynx?
First-order neurons for taste are present in the tongue, soft palate, pharynx, and upper esophagus. First-order neurons project from the following distributions as follows: Anterior 2/3 taste buds -> Chorda tympani (a branch of CN VII) Posterior 1/3 taste buds -> Lingual branch of CN IX Pharynx/epiglottis -> CN X These three branches of these three cranial nerves eventually synapse together in the nucleus solitarius, which has two portions: the rostral and caudal nucleus solitarius. The caudal nucleus solitarius assists in central cardiopulmonary regulation and is only fed by CN IX and X. The rostral nucleus solitarius is the gustatory nucleus and is (as above) fed by CN VII, IX, and X. Interestingly, the sections of CN IX and X that feed these two different nuclei have two different embryologic origins. Of note, the rostral nucleus solitarius is supplied by the PICA, and the caudal nucleus solitarious is supplied by the posterior spinal artery (PSA). After coalescence in the rostral nucleus solitarius, second-order neurons project to the ventral posteromedial nucleus of the thalamus. Finally, third-order neurons project to the gustatory cortex, located in the insula and frontal opercular region.
55
spinomid contraindicated in what pts?
Siponimod was approved by the US Food and Drug Administration (FDA) in 2019 for the treatment of relapsing forms of multiple sclerosis. Siponimod is an oral disease-modifying agent from the same family of medications as fingolimod and, thus, acts as a sphingosine-1-phosphate receptor modulator, leading to receptor internalization and destruction of T and B cells. Siponimod is metabolized in the liver through the CYP2C9 enzyme. Prior to initiation of the medication, it is recommended that patients be tested for CYP2C9 variants to determine CYP2C9 genotype and have a complete blood count with differential, liver function tests, varicella zoster virus titer level, an ECG, and ophthalmologic examination. Additional contraindications include the following: In the last 6 months: Myocardial infarction, unstable angina, stroke, TIA, decompensated heart failure requiring hospitalization, or Class III/IV heart failure Presence of Mobitz type II second-degree, third-degree AV block, or sick sinus syndrome (unless the patient has a functioning pacemaker)
56
ANNA2? Anti Ma2 VGCC VGKC (potassium) Anti MAG
ANNA-2 antibody (anti-neuronal nuclear autoantibody type 2), also known as anti-Ri, is associated with breast, gynecologic, lung, and bladder cancers and can cause ataxia with or without opsoclonus/myoclonus syndrome. Answer A: Anti-Ma2, typically from testicular cancer, can cause limbic and brainstem encephalitis. Answer C: Anti-VGCC (voltage-gated calcium channel), associated with small cell lung cancers, can cause Lambert-Eaton myasthenic syndrome. Answer D: Anti-VGKC (voltage-gated potassium channel), associated with thymoma, prostate, and small cell lung cancer, can cause seizures, vertigo, peripheral neuropathy, and neuromyotonia. Answer E: Anti-MAG (myelin-associated glycoprotein), associated with Waldenstrom macroglobulinemia, can cause peripheral neuropathy.
57
EMG with waxing and waning myotonia?
"dive bomber" myotonic dystrophy type 1
58
progressive encephalomyelitis with rigidity and myoclonus (PERM)? sx and antibodies?
This case describes progressive encephalomyelitis with rigidity and myoclonus (PERM). This is a rare autoimmune (occasionally paraneoplastic) neurologic disorder. Up to 30% of patients have a concurrent autoimmune disorder. It presents with a subacute encephalopathy with intermittent spells of rigidity and startle myoclonus. The patient frequently will have autonomic instability, presenting with fevers. Postinfectious causes have been seen following West Nile virus or brucellosis, but this exceedingly rare. This condition can be associated with thymomas. Treatment is with immunotherapy from high-dose steroids, intravenously administered immunoglobulins, plasma exchange or a combination of these therapies. The rigidity typically requires high doses of benzodiazepines. Autoantibodies against the following targets have been found: GAD-65, glycine, DPPX, and amphiphysin.
59
stroke to where causes hemiballismus?
Lesions to the subthalamic nucleus from various causes classically cause hemiballismus.
60
what is jitter in single fiber emg?
Single-fiber EMG is the most sensitive test for myasthenia gravis. This technique allows simultaneous recording of the action potentials of 2 muscle fibers innervated by the same motor axon. The variability in time of the second action potential relative to the first is called "jitter." Any disorder, such as myasthenia gravis, that reduces the efficacy of transmission at the neuromuscular junction will produce increased jitter.
61
The Boston Naming Test (BNT) consists of pictures of 60 items that the patient is asked to name. The patient is given 20 seconds to name each object. If the patient does not know the answer, they are given a phonemic cue (first syllable of the word). The BNT assesses naming and presence of aphasia. Localization is to the left temporal lobe. Answer A: Trail making requires participants to connect items in increasing order and, at the same time, to alternate between tasks. For example, alternating numbers and letters from "1" to "A," to "2" to "B," to "3" then "C," and so forth. This primarily tests executive function, which localizes to the prefrontal lobes. Answer B: Serial subtraction primarily tests attention (which localizes to the frontal lobes) and calculation (which localizes to the left parietal/inferior parietal lobule). Answer D: Similarities is a test in which participants are asked how 2 items are similar. For example, an apple and an orange are both fruits; a train and a bicycle are both modes of transportation. This tests primarily executive function and localizes to the prefrontal lobes. Answer E: Although copying the Rey-Osterrieth complex figure does assess visuospacial skill, the localization is not restricted to the occipital lobe but also involves temporal and parietal lobes.
62
epidural vs subdural?
SUBDURAL CROSSES SUTURE LINES
63
why in IIH have diplopia? which nerve?
Cranial nerve VI has a unique course. As it exits the pons ventrally in the subarachnoid space, it makes a steep angle to ascend vertically along the clivus and makes another turn in Dorello's canal via the petroclinoid ligament. Changes in intracranial pressure cause stretching in this portion, rendering cranial nerve VI susceptible to injury and leading to a sixth nerve palsy.
64
nervus intermedium branch of? which ganglion?
facial geniculate
65
medial geniculate goes to superior or inferior temporal lobe? function of sup and inferior?
The projections of the medial geniculate nucleus terminate on the superior temporal gyrus. This network is part of the auditory circuit. Auditory inputs project from the organ of Corti to the ipsilateral cochlear nuclei. This then sends projections to the contralateral inferior colliculus via the lateral lemniscus. The inferior colliculus then sends bilateral projections to the medial geniculate body. The medial geniculate body is composed of several subnuclei. The predominant integrating nucleus is the medial geniculate nuclei. The other subnuclei include the lateral and dorsal nuclei of the medial geniculate body. The medial geniculate nuclei then terminate on the superior temporal gyrus, which is the primary auditory cortex. Inf temporal can lead to PROSAPGNOSIA The inferior temporal gyrus is involved in higher cortical visual processing and object recognition. The fusiform gyrus, also called the fusiform face area, is a substructure of the inferior temporal gyrus. Lesions of this gyrus can produce the classic prosopagnosia, which is the inability to distinguish faces.
66
dextrosemethoprhan-quinidine mechanism?
Dextromethorphan-quinidine is the first and only medication approved by the Food and Drug Administration for pseudobulbar affect/palsy. Dextromethorphan is a noncompetitive N-methyl-D-aspartate glutamate receptor antagonist and a serotonin and norepinephrine reuptake inhibitor. To block dextromethorphan hepatic metabolism, quinidine, a cytochrome P450 2D6 inhibitor, is administered with dextromethorphan.
67
shuddering vs breath holding? which usually larger stimulus?
shudder larger stimulus Answer A: Breath-holding spells are common events in infants and young children from 6 months to 6 years of age. These usually run in families (about 30% of cases) and have 2 types: pallid breath-holding spells and cyanotic breath-holding spells. In the cyanotic variety, the child becomes angry or upset in response to a reprimand or a mild injury. The precipitant is often minimal, even trivial. There is a brief period of crying, typically followed quickly by breath-holding in forced expiration with apnea and cyanosis, which is then often followed by collapse with limpness and loss of consciousness. Answer C: Hyperekplexia (stiff-baby syndrome or startle disease) is a rare genetic disease that has been associated with a variety of gene mutations usually affecting the glycine receptor. The disease is characterized by a triad of generalized stiffness while awake, nocturnal myoclonus, and an exaggerated startle reflex. These features are often apparent at birth. Episodes of hypertonia or tonic spasms occur upon awakening or with auditory or tactile stimuli. Answer D: Infantile spasms are epileptic spasms that are usually part of West syndrome. Events are unprovoked and have no relation to feeding. Infants are almost always delayed in milestones, and their neurologic exam is abnormal. Answer E: Shuddering attacks usually begin in infancy, less commonly in childhood. These brief episodes of altered muscle tone often manifest as a rapid tremor of the head, shoulder, and trunk reminiscent of a "shudder" or "shiver" from a chill. There may be stiffening, flexion, and elevation of the arms with a low-amplitude tremor. Episodes are provoked by strong emotions and sometimes by feeding. Bottom Line: Sandifer syndrome refers to the intermittent paroxysmal spells of generalized stiffening and opisthotonic posturing that are caused by gastroesophageal reflux in infants.
68
possibility of Horners due to lesion above which level?
T1
69
tx of TD? mechanism?
For patients with a diagnosis of TD, additional pharmacologic interventions include the use of benzodiazepines, botulinum toxin injections, and vesicular monoamine transporter 2 (VMAT2) inhibitors. The VMAT2 inhibitors may be useful therapeutic agents for TD. These agents act centrally by depleting dopamine storage in presynaptic vesicles. Examples include valbenazine, tetrabenazine, and deutetrabenazine.
70
ia type that causes cerebral sx?
Plasmodium falciparum is the causative agent of cerebral malaria, which is characterized by fever, chills, headache, seizures, and eventual coma.
71
balling syndrome?
This is the location of Bálint syndrome, which is characterized by optic ataxia (deficit of reaching objects under visual guidance), ocular apraxia (inability to voluntarily move the eyes when oculomotor function is intact), and simultagnosia (inability to visually perceive more than 1 object at a time). parietal occipital region - bilateral This is the location of Bálint syndrome, which is characterized by optic ataxia (deficit of reaching objects under visual guidance), ocular apraxia (inability to voluntarily move the eyes when oculomotor function is intact), and simultagnosia (inability to visually perceive more than 1 object at a time).
72
Anton syndrome?
This patient is showing signs consistent with Anton syndrome. Bilateral medial occipital lobe lesions produce visual anosognosia, characterized by cortical blindness, denial of such blindness, and confabulation.
73
panic disorder? how many attacks needed?
1 attack w/ 1 month of fearing further attacks sx reach peak in 10 min
74
Polymyositis Antibodies? screening?
anti-Ro, anti-La, and anti-Jo-1 (myositis-specific antibody) levels CT chest and PFT - r/o ILD
75
Visual evoked potentials P100 cutoff?
<117, if prolonged then nerve damage of pic nerve
76
methanol effects which part of brain/nerves/SC? CO? Manganese? B6?
methanol - putamen b/l CO and manganese - globus pallidus B6 - dorsal root ganglion (neuronopathy)
77
Nerves that are in inguinal canal?
iliohypogastric and external spermatic (genital br of genitofemoral nerve) - innervates anterior anterior scrotum (mons pubis/labia major in females) and cremaster reflex
78
Localization of post ictal nose wiping? unilateral eye blinking?`
IPSALATERAL TO BOTH
79
Mechanism and common sode effects? Fingolimid Alemtuzemab Glatirmer acetate Nataluzimqb Ocrelizumab Teriflunomide Dimethyl fumarate
Mechanism and common sode effects? Fingolimid headache/cardiac Alemtuzemab thyroid Glatirmer acetate injection site pain, hypersensitivity Nataluzimqb pml, hepatotoxicity Ocrelizumab URI/infusion Teriflunomide teratogenic, hepatotoxicity Dimethyl fumarate flushing, angioedema, rare PML, N/D
80
sumatriptan receptors?
5HT1B - vessel constriction meninges 5HT1D - central nociceptive receptors
81
hyperventilation w/ SAH?
No can cause vasospasm
82
What is the wave w/ spike and wave? depolarization? hyper?
Spike and waves are generated by thalamocortical loops. Spikes represent cortical depolarization, whereas the wave is currently associated with hyperpolarization of pyramidal neurons.
83
neural crest forms CNS or PNS?
The neural crest participates in the formation of important peripheral nervous system structures, including the dorsal root ganglia and Schwann cells.
84
front's sign?
85
contactin-associated protein-like 2 (Caspr2)? EMG findings?
Myokymic discharges are seen in Isaac syndrome. Based on the clinical scenario as well as the results of blood work, the patient likely has a peripheral nerve hyperexcitability syndrome (ie, Isaac syndrome). Isaac syndrome is an autoimmune peripheral nerve hyperexcitability syndrome that is typically due to a voltage-gated potassium channelopathy. The limbs are most often affected, and there is usually myokymia (continuous muscle twitching described as a bag-of-worms). Additionally, patients have carpopedal spasms, increased sweating, and myotonia. EMG–nerve conduction studies (NCS) typically show fasciculations, myokymic discharges, neuromyotonia, fibrillations, and cramp discharges, most commonly in the distal extremities. Treatment is symptomatic, as well as with intravenously administered immunoglobulin or plasma exchange.
86
nemaline myopathy histology findings?
NEMALINE RODS
87
trypanasomi causes what neuropathy?
Several years later, patients present with evidence of autonomic neuropathy, predominantly as a result of vagal denervation and depopulation of myenteric plexus neurons. Advanced cases can have dramatic complications resulting from mega-esophagus, mega-colon, cardiomyopathy, arrhythmias, and frank heart failure.
88
buprenorphine acts on with receptors?
mu and kapp Methadone is a long-acting μ-opioid receptor agonist that may be used in the treatment of addiction and withdrawal. Buprenorphine, a partial μ-opioid receptor agonist and kappa-opioid antagonist may also be effective in the treatment of opioid withdrawal. Clonidine may also be used, which blocks the release of norepinephrine and is an alpha-2 agonist, suppressing autonomic symptoms of withdrawal. Lofexidine, another alpha-2 agonist, is FDA-approved for the treatment of opioid withdrawal.
89
lack of empathy lesion in brain?
90
HD results in repeats and increased expression of?
glutamate increase and loss of GABA neurons in nigrostriate lead to increase movement
91
smoking increases risk of MS?
true also increases risk of neutralizing Ab w/ nataluzimab
92
most common area for aneurysm leading to third nerve plays affecting pupil size?
prom and ica
93
square wave jerks?
no fast or slow phase if >9 min pathological Featured snippet from the web Square wave jerks are involuntary, horizontal, saccadic intrusions that interrupt fixation. Each square wave jerk consists of an initial saccade that moves the fovea away from the intended position of fixation, followed by a second saccade in the opposite direction, which refoveates the fixation position.
94
tx of SMA? What Chr?
95
KRIT-1 associated with? PTEN? ATM?
96
Lowe syndrome ?
Lowe syndrome is characterized by involvement of the eyes, CNS, and kidneys. It is an X-linked disorder due to a mutation on the OCRL1 gene.
97
Beck depression inventory goal?
The Beck Depression Inventory (BDI) is a self-report rating inventory that measures attitudes and symptoms of depression. It was originally developed to provide a quantitative assessment of the intensity of depression. Because it is designed to reflect the depth of the depression, it can monitor changes over time and provide an objective measure for judging improvement and the effectiveness or otherwise of treatment methods. The BDI is composed of 21 multiple choice questions that ultimately provide a score at the end that aids in measuring the severity of depression.
98
innervated adductor polices and adductor digit mini?
deep ulnar
99
sensitivity of SFEMG for ocular MG? general
97, 99
100
DBS for tics placed where?
Globus pallidus interna
101
Benign infantile seizures start and end when?
6 months to 2 years can be assocuited with dyskinesia later in life Benign familial infantile seizures are a benign, limited, autosomal-dominant epilepsy syndrome associated with SCN2A and SCN8A mutations. those who later develop paroxysmal kinesigenic dyskinesia in adolescence or adulthood, most have mutations in the proline-rich transmembrane protein 2 (PRRT2) gene on chromosome 16p.
102
delayed sleep wake phase fall asleep when?
Patients with delayed sleep-wake phase disorder accounts for ~10% of insomnia, and there is a strong genetic component, with about 40% of cases having a family member also affected.
103
eeg findings in CJD? freq of wicket spikes?
periodic sharp wave complexes Six- to 11-Hz sharply contoured waves are also known as Wicket spikes. These usually last for a few seconds and are found in adults during drowsiness and light sleep. They are more common in the bilateral anterior and midtemporal regions. Wicket spikes are a benign variant and not typically found in patients with CJD.
104
LMN or UMN: progression bulbar palsy vs pseudo bulbar palsy
Progressive is LMN 0- involved neurons from brainstem nuclei Pseudobulbar palsy refers to cranial nerve dysfunction caused by lesions of the corticobulbar pathways to the bulbar nuclei, resulting in an upper motor neuron pattern of weakness.
105
spina bifida due to lack of closure of post/caudal neuropore at which days gestation?
26-28 (4 weeks)
106
pallid breath holding ells last how long?
Pallid breath-holding spells are less common and can be mistaken for a seizure. The child stops breathing and becomes pale, diaphoretic, and limp; if the episode lasts more than a few seconds, this is followed by generalized increased tone of the trunk and extremities, often with incontinence and occasionally low-amplitude clonus. The entire episode lasts less than 1 minute, but the child is confused and/or sleepy for several minutes afterward.
107
Foam cells are noted in the image to the left, which mainly consist of monocytes with multiple lipid inclusion. In the image noted on the right, a plaque with fatty deposits is noted (atheroma), and a necrotic core is also seen. These are both classic histologic findings of atherosclerosis. In chronic plaques, one might notice new vessels around the plaque that are fragile and may rupture. This may cause an intraplaque hemorrhage and vessel occlusion.
108
EEG Encephalopathy: Mild? Mod? Severe?
Mild: PDR <8.5, has sleep Mod: loss of PDR, has sleep changes Sev: loss of PDR, no state changes, generalized slowing
109
Sup salivstory nucleus innervates which glands? nerve? Inferior innervates which gland? nerve?
The salivatory nuclei include the superior salivatory nucleus and the inferior salivatory nucleus that provide parasympathetic innervation to the salivary glands. They are located in the pontine tegmentum in the brainstem. The superior salivatory nucleus innervates the submandibular gland and the sublingual gland. It is part of the facial nerve. The inferior salivatory nucleus innervates the parotid gland by way of the otic ganglion. It forms the parasympathetic component of the glossopharyngeal nerve.
110
tx for prolactinoma?
cabergoline (ketoconazole also used for ACTH secreting tumors, octeotride and pegvisomant for acromegaly)
111
Riley Day syndrome?
Hereditary sensory and autonomic neuropathy type 3 (HSAN3) is more commonly known as familial dysautonomia or Riley-Day syndrome. It has an autosomal-recessive inheritance pattern. This disorder is a progressive sensorimotor neuropathy, but sympathetic autonomic dysfunction is responsible for most clinical manifestations. The subacute presentation and the lack of sensory findings argue against HSAN3 in this patient. Also, family history of this disease is not provided.
112
Episodic ataxia type 1 mutation? type 2? which has facial myokymia? tx?
Facial myokymia is more consistent with episodic ataxia type 1 (EAT1). EAT1 is characterized by episodes of cerebellar dysfunction that occur several times daily and last seconds to minutes. It is associated with the mentioned facial myokymia. Episodic ataxia type 2 is characterized by daily to monthly episodes of cerebellar and brainstem dysfunction lasting minutes to hours and is associated with the mutation of the CACNA1A gene.
113
onus nucleus? which spinal level?
formed by anterior horn cells of S2-S4, provides voluntary somatic innervation to the urethral sphincter as well as the external anal sphincter. Multiple system atrophy frequently results in neuronal loss to Onuf nucleus,
114
is myotonic dystrophy type 1 or 2 distal?
type 1 is distal Answer A: Miyoshi myopathy, also known as early adult-onset distal myopathy type 2, is due to a mutation of the DYSF gene on chromosome 2p, resulting in a distal myopathy. It is most commonly involves the posterior compartments of the distal lower extremities, with sparing of the extensor digiti minimi. Answer B: Facioscapulohumeral dystrophy will often affect proximal muscle groups, as does limb girdle muscular dystrophy; however, facioscapulohumeral dystrophy is associated with asymmetric weakness and involvement of the facial muscles. It transmitted in an autosomal-dominant manner and is due to deletion of D4Z4 on chromosome 4q. Answer C: The most common adult muscular dystrophy, myotonic dystrophy type 1, is characterized by facial and distal muscle weakness with myotonia. It transmitted in an autosomal-dominant manner and is due to a CTG repeat within the dystrophia myotonica protein kinase gene (DMPK) on chromosome 19q. Multiple organ systems can be involved, presenting as cataracts, insulin resistance, cardiomyopathy, respiratory difficulties, gastrointestinal disturbances, and hypogonadism. Answer D: Myotonic dystrophy type 2 presents in a manner similar to that of type 1, with facial muscle involvement and myotonia, but with proximal rather than distal weakness. It is due to a CTG repeat in the zinc finger protein 9 gene (ZNF9) on chromosome 3q.
115
With Horners due to dissection: cocaine won't dilate pupil because the symptoms tract itself isn't affected versus Enhancing monoamine neurotransmitter release would test the function of third-order sympathetic neurons but would not confirm a diagnosis of Horner syndrome caused by dysfunction of second- or first-order neurons. Hydroxyamphetamine eye drops act to stimulate release of monoamine neurotransmitters from intact third-order neurons causing pupillary dilation, which differentiates third-order lesions from second or first-order lesions.
116
where do sympathetic nerves travel from brain to SC? what level?
First-order sympathetic neurons arise in the posterolateral hypothalamus and travel through the lateral brainstem to synapse with second-order neurons at the ciliospinal center of Budge at the level of C8-T2 in the lateral spinal cord. These second-order neurons exit the spinal cord, traverse the pulmonary apex, travel through the stellate ganglion at level of the C6-C7 vertebrae, ascend the carotid sheath, and synapse with the third-order neurons in the superior cervical ganglia at the level of the carotid bifurcation. Third-order neurons that innervate sweat glands in the face will travel along the facial artery, a branch of the external carotid artery. Third-order neurons innervating the eye travel along the internal carotid artery to the cavernous sinus. In the cavernous sinus, third-order neurons join the abducens nerve briefly before traveling to the ophthalmic division of the trigeminal nerve to enter the orbit and innervate the iris dilator muscle controlling pupillary dilation as well as the Muller muscle which aids in eyelid elevation.
117
where do sympathetic nerves travel from brain to SC? what level?
First-order sympathetic neurons arise in the posterolateral hypothalamus and travel through the lateral brainstem to synapse with second-order neurons at the ciliospinal center of Budge at the level of C8-T2 in the lateral spinal cord. These second-order neurons exit the spinal cord, traverse the pulmonary apex, travel through the stellate ganglion at level of the C6-C7 vertebrae, ascend the carotid sheath, and synapse with the third-order neurons in the superior cervical ganglia at the level of the carotid bifurcation. Third-order neurons that innervate sweat glands in the face will travel along the facial artery, a branch of the external carotid artery. Third-order neurons innervating the eye travel along the internal carotid artery to the cavernous sinus. In the cavernous sinus, third-order neurons join the abducens nerve briefly before traveling to the ophthalmic division of the trigeminal nerve to enter the orbit and innervate the iris dilator muscle controlling pupillary dilation as well as the Muller muscle which aids in eyelid elevation.
118
most common periodic paralysis?
HYPOkalemic
119
5th day fits? Benign neonatal familial epilepsy onset?
Formerly called "fifth-day fits" or "benign idiopathic neonatal convulsions," the syndrome of benign neonatal seizures describes a self-limited disorder presenting with seizures within the first week of life following an uneventful gestational and perinatal course. The great majority of the seizures occur between days 4 and 6, hence the term, fifth-day fits. Patients are otherwise asymptomatic, with normal neurologic status between events, and the family history is negative for early-life seizures. The symptomatology is typically unifocal clonic and rarely focal tonic, and the events tend to dissipate after 2 days. Treatment tends to be initiated for acute seizure management and does not have to be continued for long once the diagnosis is established and other conditions, including hypoglycemia, sepsis, and meningitis, are excluded. Although the EEG background may be normal or nonspecific, an ictal pattern called theta pointu alternant has been described: a nonreactive, discontinuous focal, theta-frequency rhythm with intermixed sharp waves that may shift between hemispheres and persist days to weeks following cessation of clinical seizures. Answer A: West syndrome is the most common epilepsy syndrome in infancy, occurring in an estimated 4 per 10,000 live births and characterized by the triad of epileptic spasms, hypsarrhythmia on EEG, and neurodevelopmental arrest or regression. In this case, there is no hypsarrhythmia on EEG. Answer B: Benign myoclonic epilepsy in infancy is sometimes called myoclonic epilepsy in infancy and is attributed to Charlotte Dravet. This should not be confused with classic Dravet syndrome, previously called severe myoclonic epilepsy of infancy, which is associated with SCN1A gene mutations (see description later). Benign myoclonic epilepsy in infancy presents in otherwise healthy infants between 4 months and 3 years of age with myoclonic seizures that tend to be triggered by sensory stimuli, whether tactile, auditory, or photic; it is thus suggestive of a form of reflex epilepsy. Answer C: Genetic epilepsy with febrile seizures plus (GEFS+) is a familial electroclinical syndrome that can have onset in infancy or childhood and, like Dravet syndrome, is associated in at least some cases with mutations of the SCN1A gene encoding for a voltage-gated sodium channel subunit. The first word in the syndrome name was originally generalized but was later changed to genetic, since both generalized and focal seizures may occur. At least 2 family members should be affected to clinically establish the diagnosis. A range of phenotypes is described, from simple febrile seizures to mixed febrile and afebrile seizures that may be prolonged or focal or occur in clusters. In addition, in some families, GEFS+ may overlap with Dravet and Doose (myoclonic-astatic epilepsy) syndromes, and the clinical distinction between these epileptic encephalopathies and GEFS+ may be challenging. Hippocampal sclerosis can occur as well, consistent with its association with a history of prolonged febrile seizures. Answer E: Benign familial neonatal epilepsy has the historical distinction of being among the first epilepsy syndromes for which the causative genes were identified, although the range of phenotypes now associated with mutations of the KCNQ2 gene has tends to be somewhat earlier (ie, between days 2 and 3) in an otherwise healthy full-term neonate. Onset has rarely been described as late as 2 to 3 months. Seizure symptomatology may include hypertonia, apnea, facial movements, and clonus, but myoclonus, spasms, or generalized tonic-clonic seizures may also occur.
120
EEG findings in benign idiopathic neonatal convulsion?
Although the EEG background may be normal or nonspecific, an ictal pattern called theta pointu alternant has been described: a nonreactive, discontinuous focal, theta-frequency rhythm with intermixed sharp waves that may shift between hemispheres and persist days to weeks following cessation of clinical seizures.
121
PICA vs AICA vs SCA stroke?
Based on the diffusion-weighted image (DWI) and clinical presentation, this patient has an ischemic stroke in the left lateral medulla and left cerebellar hemisphere, regions supplied by the left posterior inferior cerebellar artery (PICA). This can manifest as lateral medullary syndrome as described in the clinical scenario. Occlusion of an anterior inferior cerebellar artery can cause a lateral pontine syndrome, which manifests as nystagmus, dysarthria, hemi-ataxia, hearing loss, and facial paralysis. Occlusion of a superior cerebellar artery (supplies the superior cerebellar peduncle, the cerebellar hemisphere, and the cerebellar nuclei) can present as headaches, vertigo, nausea, and diplopia.
122
Anti-Ma? Anti-CRMP5?
Anti-Ma antibodies are associated with conditions affecting the basal ganglia; patients typically present with parkinsonian features on examination. This patient does not have these symptoms based on history. TESTICULAR CANCER CRMP5- SCLC - peripheral N, limbic enc., cerebellar degeneration
123
fibrillation potentials?
Fibrillation potentials are characterized by spontaneous rhythmic membrane depolarizations due to instability of the muscle membrane. They are typically seen in myopathies and neuropathies and are an electrophysiologic marker of active denervation. On EMG, these are noted to be sharp spikes lasting 1–5 ms.
124
cheyne stokes breathing?
Cheyne–Stokes respirations are caused by lesions to the bilateral hemispheres, bilateral diencephalic insults, or bilateral damage along the descending pathway between the forebrain and upper pons.
125
RCVS typically resolves on own in?
3 months Known triggers include ingestion of marijuana, tacrolimus, cyclophosphamide, pseudoephedrine, and selective serotonin reuptake inhibitors (SSRIs). RCVS can also be seen in the setting of carcinoid tumor or in the puerperium period
126
good neuropsychological test to determine learning disability?
memory Verbal memory accesses the language-based semantic channel, the left hemisphere; visual memory is more consistent with right-hemisphere functioning. If clinicians see clients with an isolated low score in memory, it is traditionally more associated with a learning disability than with other cognitive functions.
127
stoop tests what?
The Stroop test is a measure of one's ability to inhibit and to disinhibit or perform executive control, cognitive flexibility tasks such as decision making, multitasking, going quickly and accurately, or choosing an effective strategy, and so on. A basic task that demonstrates this effect occurs when there is a mismatch between the name of a color (eg, "blue") and/or the color it is printed on (ie, the word "red" printed in blue ink instead of red ink). When asked to name the color of the word, it takes longer, as one is typically more prone to errors when the color of the ink doesn't match the name of the color. The Stroop test shows the ability to control behavior. If asked to state the color of the ink rather than the word, the participant must overcome the initial and stronger stimuli to read the word.
128
PD med most associated with hallucinations?
anticholinergic (trihexy) A proposed order of withdrawal of medication for Parkinson disease (PD) in the setting of hallucinations is as follows: anticholinergics, then amantadine, then dopamine agonists, then monoamine oxidase type B (MAO B) inhibitors, then catechol-O-methyl transferase (COMT) inhibitors, then levodopa.
129
acute spinal shock what happens below lesion?
TONE DECREASED (bladder atonic so retain)
130
mutations with metachromatic lekodystrophy vs alexander
Metachromatic leukodystrophy is caused by the recessive mutations of the gene encoding for arylsulfatase A (ARSA), leading to the impair degradation of sulfatides. Alexander gfap - frontal lekochanges
131
Mazabraud syndrome vs mcaune albright
Mazabraud syndrome is characterized by fibrous dysplasia with intramuscular myxomas but is not associated with endocrinopathies.---GNAS here G subunit affect cAMP Mazabraud syndrome is characterized by fibrous dysplasia with intramuscular myxomas but is not associated with endocrinopathies.
132
brainstem auditory evoked potentials, what each wave represent?
ECOLI MA Wave Number Corresponding Anatomical Structure Wave I Eighth cranial nerve Wave II Cochlear nucleus/proximal cranial nerve VIII Wave III Olive (superior) Wave IV Lateral lemniscus Wave V Inferior colliculus Wave VI Medial geniculate body Wave VII Auditory cortex (Heschl's gyrus)
133
pick bodies - intracytoplasmic neuronal inclusion
134
Lewy body, intranuclear
135
hiring bodies?
Hirano bodies are oval-to-oblong eosinophilic inclusions seen in the hippocampus in Alzheimer disease (and, to a lesser extent, in some normal older individuals).
136
arterial supply of anterior IC?
recurrent branch of heubner off ACA
137
ohtara syndrome?
early infantile epileptic encephalopathy (aka Ohtahara syndrome) - usually first 3 months of life s a rare form of epilepsy characterized by seizures and developmental delays that usually occur within the first three months of life egg can show burst suppression
138
nodose ganglion?`
139
tx for NMO? mechanisms?
Medication Mechanism of Action Satralizumab Monoclonal antibody against interleukin-6 receptor, limiting the inflammatory cascade Eculizumab Monoclonal antibody binding C5, preventing its cleavage to C5a and C5b, inhibiting terminal complement Inebilizumab Monoclonal antibody against CD (cluster differentiate) 19, depleting CD-19 B-cells
140
Inosine-5'-monophosphate is the target of?
Inosine-5'-monophosphate is the target of mycophenolate mofetil.
141
criteria for NF-1?`
Neurofibromatosis type 1 (NF1) diagnostic criteria include presence of 2 or more characteristic signs. These include presence of at least 6 cafe au lait spots (> 5 mm in prepubertal and > 15 mm in postpubertal patients), at least 2 neurofibromas or 1 plexiform neurofibroma, axillary or inguinal freckling, optic glioma, at least 2 iris hamartomas (Lisch nodules), distinctive osseous lesions (i.e., sphenoid wing dysplasia or thinned long bone cortex), or a first-degree relative with NF1.
142
CNS findings with storage weber? Tuberous sclerosis findings?
Intracranial calcifications, most commonly occipitally, are seen in the majority of patients with Sturge-Weber syndrome. Facial angiofibromas, also known as adenoma sebaceum, are a feature seen in tuberous sclerosis. Tuberous sclerosis commonly presents with infantile spasms. Other possible features include ash-leaf spots, ungual fibromas, shagreen patches, and subependymal giant cell astroctyomas, which are benign tumors but can cause obstructive hydrocephalus.
143
pt's have nocturnal hypercapnia w/ ALS initially in REM or NREM sleep?
ALS patients often have sleep disruption from nocturnal hypercapnia, starting during REM sleep and progressing to other sleep phases as disease progresses.
144
posterior ionterosseus vs nerve injury at spiral groove (radial)?
PIN - only motor - wrist and finger extension with RADIAL deviation (due to preserved extensor carpi radials brevus/longus)
145
motor weakness c6 radiculopathy?
146
how long to lead to dx of MDD? months? weeks?
A) Two weeks with five of the following symptoms most of each day representing a change from prior functioning: Subjective or observed depressed mood Subjective or observed loss of interest/pleasure (anhedonia) Significant (>5% of body weight in a month) weight loss or gain Insomnia or hypersomnia Objective or observed psychomotor agitation or slowing Fatigue Feelings of worthlessness or excessive/inappropriate guilt Decreased cognition, concentration, or indecisiveness Recurrent thoughts of death or suicidal ideation/plan B) Symptoms cause significant distress in social, occupation, or other functional domains. C) Symptoms and signs are not attributable to physiological effects of a substance or medical condition. D) Episode is not better explained by another psychiatric disorder. E) No history of manic or hypomanic episode.
147
CTE is what type of histopathology?
This disease is classified as a tauopathy, but the distribution of neurofibrillary tau tangles in perivascular regions and at the depths of the cerebral sulci distinguish chronic traumatic encephalopathy (CTE) from other tauopathies.
148
Amifampridine is a ? mechanism?
voltage-gated potassium channel blocker that works by increasing the duration of action potentials, allowing voltage-gated calcium channels to remain open longer. As a result, the amount of calcium at the presynaptic junction increases, which enhances the release of acetylcholine (ACh).
149
NMO assoc with which cancers?
Lung, breast and genitourinary cancer screening is recommended in older patients with NMOSD.
150
auditory pathways?
151
Ohtara syndrome?
Early infantile epileptic encephalopathy (EIEE), (typicaly first 2-3 months, vs dragnet 4-12) also known as Ohtahara syndrome, is a rare disorder with onset in infancy characterized by frequent tonic spasms and suppression-burst pattern on EEG. Within the spasm, there is often a marked asymmetry of movement. The characteristic background EEG pattern in EIEE is that of suppression-burst with relatively prolonged bursts (2–6 s) consisting of very high voltage activity (150–350 uV) and relatively shorter periods of suppression (3–5 s). The EEG shows associated synchronization when the tonic spasms occur, with an initial high-voltage slow wave and then generalized fast activity. The peculiar feature of suppression-burst pattern in EIEE is the consistent appearance in both waking and sleeping status and the regular appearance of periodicity. Assoc with KCNQ2
152
pilocytic astrocytoma location? image findings? histology? mutations?
usually cerebellum mural nodule - enhancing can be cystic Rosenthal fibers WHO 1 tumor Generally have a BRAF V600E mutation
153
where 3rd order N of oculosymph pathway?
First-order neurons start in the hypothalamus, descend through the brainstem, and then travel down the spine where they synapse at the ciliospinal center of Budge at the level of C8–T2. Second-order neurons start at the ciliospinal center of Budge at the level of C8–T2, ascend above the apex of the lung, and continue under the subclavian artery to synapse at the superior cervical ganglion. Third-order neurons start at the superior cervical ganglion; after the carotid bifurcation, the pathway ascends via the internal carotid artery to the cavernous sinus to the pupillary dilator muscle and Müller muscles. After the bifurcation, the pathway also ascends the external carotid artery responsible for the sudomotor and vasoconstrictor fibers of the face.
154
hemiplegic migraine assoc genes?
Hemiplegic migraine is any migraine syndrome accompanied by focal weakness and is associated with genes such as CACNA1A, ATP1A2, and SCN1A.
155
V1-4 sections? which causes traumatic dissection vs spontaneous
The V1 segment originates from the subclavian artery to the transverse foramen of C6. Answer B: The V2 segment extends from the transverse foramen of C6 to transverse foramen of C2. Answer C: The V3 segment goes from the transverse foramen of C2 to the foramen magnum. V4= spontaneous
156
EEG findings in stage 1, 2, 3, and REM?1
Stage of Sleep Characteristics Stage 1 (Drowsiness) Attenuation and slowing of background Drop out of alpha frequency (replaced by theta-range) Vertex waves POSTS Stage 2 (Light sleep) Sleep spindles Vertex-waves K-complexes POSTS Stage 3 (Deep sleep) Slow-wave sleep (delta-activity) K-complexes Rapid eye movement Low-amplitude EEG Absence of movement on EMG Eye movement activity noted
157
bunion bodies?
Bunina bodies are commonly found in amyotrophic lateral sclerosis. Bunina bodies are formed from abnormal aggregates of TDP-43 and are found in the motor cortex, brainstem, and spinal cord. They are not depicted in the exhibit.
158
lafora body dz?
Lafora disease is an inherited, severe form of progressive myoclonus epilepsy. The condition most commonly begins with epileptic seizures in late childhood or adolescence. Other signs and symptoms include difficulty walking, muscle spasms (myoclonus) and dementia. Lafora body disease, which is a fatal autosomal-recessive condition. It leads to intracytoplasmic inclusions, which are typically found in the heart, liver, muscle, and skin. A Lafora body is an aggregate of polyglucosans.
159
benign variants on eeg
160
eeg artifact - power line freq?
why use filter at 60 Hz One of the most common nonphysiologic artifacts is power line noise. This occurs at 50 or 60 Hz (typically 60 Hz in North America vs 50 Hz in the rest of the world) generated by nearby electric equipment. The morphology shows minimal variation and is present in anterior as well as posterior leads, unlike physiologic myogenic artifact, which is often more restricted to anterior leads. A 50- or 60-Hz notch filter can be used for removal of transmission-line frequency. Adjusting filters is one method of reducing the artifact. In critically ill patients, neuromuscular blockade is sometimes used to reduce myogenic artifact, allowing for clearer visualization of the underlying cerebral activity.
161
pufferfish vs ciguatera (in parrotfish/reef fish)
puffer has weakness, hypotension Answer C: Pufferfish poisoning results in paresthesias of the face and extremities, nausea, dizziness, weakness, loss of reflexes, paralysis, and hypotension caused by tetrodotoxin, which blocks sodium channels. As with paralytic shellfish poisoning, the development of weakness and paralysis differentiates pufferfish poisoning from ciguatera fish poisoning. Answer D: Signs and symptoms of scombroid toxicity usually begin within an hour of eating contaminated fish. The symptoms resemble an immunoglobulin (Ig)E-mediated allergic reaction. The patient may suddenly experience flushing, a sensation of warmth, an erythematous rash, palpitations, and significant tachycardia. Although the timing of symptoms after eating fish is similar to ciguatera toxicity, scombroid otherwise shares very few of its clinical features. The perioral paresthesias and hot/cold dysesthesias are very suggestive of ciguatera. The absence of rash strongly argues against scombroid. Bottom Line: Ciguatera is caused by consumption of preformed toxins in red fish that causes paresthesias, diminished reflexes, and cold/hot dysesthesias. Neurologic abnormalities usually appear 3 to 72 hours after the meal. Clinical findings include perioral paresthesias, pruritus without urticaria or erythema, a metallic taste in the mouth, painful dentition, a feeling that the teeth are loose, painful urination, blurred vision, and temperature-related dysesthesias (cold stimuli perceived as hot or producing an abnormal, unpleasant sensation). Temperature-related dysesthesias are regarded by some as a specific finding of ciguatera toxicity
162
Abnormality with kern sayer?
The combination of chronic progressive external ophthalmoplegia, ptosis, short stature, pigmentary retinopathy (which may cause nyctalopia, or night blindness), and cardiac conduction block in a young patient should raise suspicion for Kearns-Sayre syndrome (KSS). Other signs or symptoms that may be encountered in this disorder include cerebellar ataxia, deafness, dementia, and endocrine abnormalities. Laboratory studies may show elevated lactate, pyruvate, and cerebrospinal fluid protein levels. KSS can be caused by a single large deletion (or rearrangement) of mitochondrial DNA. Ragged red fibers may be seen on muscle biopsy. MRI of the brain may reveal white matter hyperintensities on fluid-attenuated inversion recovery. Answer B: Oculopharyngeal muscular dystrophy is an autosomal-dominant disorder caused by a GCG trinucleotide repeat expansion in the PABNP1 gene on chromosome 14. This disorder is more common in French-Canadian middle-aged individuals and can present with slowly progressive myopathy, ptosis, extraocular weakness, dysarthria, and dysphagia. Rimmed cytoplasmic vacuoles may be seen on muscle biopsy. Answer C: Leber hereditary optic neuropathy can be caused by point mutations in mitochondrial DNA at nucleotide positions 11778, 3460, or 14484. It is characterized by bilateral, sequential, painless permanent loss of vision. Age of onset and degree of severity may vary. Answer E: Mitochrondrial encephalopathy with lactic acidosis and strokes (MELAS) may occur due to an A-to-G point mutation in mitochondrial DNA transfer RNA for leucine at base pair 3243. The hallmark of this disorder is the presence of strokelike episodes or reversible focal neurologic deficits. Patients with MELAS may present with encephalopathy or dementia, migraines, seizures, myopathy, and exercise intolerance. Bottom Line: The classic triad of Kearns-Sayre syndrome is ophthalmoparesis, ptosis, and pigmentary retinopathy before the age of 20 years.
163
edaravone?
radical for als Answer A: Alglucosidase alfa is an enzyme replacement treatment for Pompe disease (acid-maltase deficiency). Answer C: Eteplirsen has been approved for the treatment of Duchenne muscular dystrophy patients with particular exon deletions. Answer D: Idebenone is a coenzyme Q10 analog, which may improve respiratory function in patients with Duchenne muscular dystrophy. Answer E: Edaravone has been approved for the treatment of amyotrophic lateral sclerosis (ALS).
164
Perilymphatic fistula sx?
Acute onset hearing loss, severe vertigo/dysequilibrium. Fluid from inner to outer (worse with valsalva)
165
Negative or positive sx better controlled by secong gen zntipsychotics?
Negative
166
APOE assoc w/ micro hemorrhages?
yes CAA
167
KRIT1 assoc w/?
cavernous Mutation in the KRIT1 gene is associated with hereditary cavernomatosis. Familial multiple cavernous malformation syndromes are uncommon, accounting for only a minority of cavernous malformations. It has been more frequently reported in patients of Hispanic descent. The presentation is most commonly with seizures (38%-55%) and focal neurologic deficits, while recurrent large hemorrhages and headaches are less frequently encountered. In sporadic cases up to a third of cavernous malformations are multiple. When familial, the number of cavernomas is higher, typically 5 or more and may be as high as 1 or more dozen. Familial cases usually have an autosomal dominant pattern of inheritance with incomplete penetrance.
168
ATP-binding cassette transporter gene ?
Mutation in the ATP-binding cassette transporter gene is associated with pseudoxanthoma elasticum. Pseudoxanthoma elasticum (PXE) is a progressive disorder that is characterized by the accumulation of deposits of calcium and other minerals (mineralization) in elastic fibers. Elastic fibers are a component of connective tissue, which provides strength and flexibility to structures throughout the body.
169
The patient likely has difficulties with his nondeclarative memory. Nondeclarative memory includes both implicit and procedural memory. Implicit memory is acquired through the senses and allows identification of objects and understanding of the structure of language, whereas procedural memory allows for learning and long-term retention of motor actions and responses. Examples of nondeclarative memory include riding a bicycle or, in this example, tying one's shoelaces. Nondeclarative memory includes those processes that are able to be recalled and performed without involvement of the conscious memory. Answer B: Episodic memory is the memory that is formed of everyday events. This includes dates, times, location, and emotions, in addition to the who, what, where, when, and why aspects of memory. It includes past personal experiences that occurred at a specific time and place. Examples of this type of memory include the first day of school, your first kiss, and so forth. Answer C: Semantic memory refers to long-term memory, including the knowledge of people, objects, words, and concepts. This includes the names of colors, the sounds of letters, and other basic facts that are collected over the course of a lifetime. Answer D: Autobiographical memory is a form of episodic memory in which there is a self-referential component. It includes memory of the events that happened to the specific person. Answer E: Working memory includes the facts and information that are temporarily stored and buffered and then can either be lost or encoded into more long-lasting memories, depending on the contextual nature of the information.
170
thallium toxicity?
Abdominal pain, vomiting, diarrhea, distal paresthesias, ataxia, cranial nerve dysfunction, delirium, optic neuritis, alopecia, cardiac arrest
171
split hand sign?
Split-hand syndrome is characterized by thenar weakness and atrophy and hypothenar preservation. Nerve conduction studies can show diminished amplitudes in the first dorsal interosseous and abductor pollicis brevis, with normal amplitudes in the abductor digiti minimi. This syndrome can be supportive for the diagnosis of amyotrophic lateral sclerosis.
172
Visual evoked potentials (VEPs) can assess the function of the visual pathway from the retina to the occipital cortex. The striate and prestriate regions (areas 17 and 18) are thought to be the generator site. A prolonged P100 latency is the most common abnormality detected and typically reflects dysfunction and demyelination of the optic nerve. A decreased P100 amplitude represents loss of axons.
173
pallister hall syndrome?
Pallister-Hall syndrome is a genetic condition (caused by a defective GLI3 gene) associated with hypothalamic hamartoma and typically has other associated abnormalities such as deformities of the hands and feet. Affected children can present with gelastic seizures, which are characterized by uncontrollable laughing spells. Gelastic seizures focal aware, last 30-40 seconds and hard to control. CBZ can help. EEG often normal due to deep seizure focus
174
prosapgnosia due to stroke where?
fusiform gyrus on right, due to PCA
175
CMT1 vs 2? EMG findings?
2 is AXONAL Answer A: CMT disease type 1A (CMT1A) is an autosomal-dominant demyelinating neuropathy. It arises as a result of peripheral myelin protein 22 duplication on chromosome 17. CMT1 is the most common type of CMT. CMT1A is the most common subtype of CMT1. Answer C: CMT disease type 3 can be transmitted in an autosomal-dominant or autosomal-recessive manner. This type is rare, begins in early childhood, and is severe. Answer D: CMT disease type 4 is an autosomal-recessive demyelinating neuropathy. It is rare, severe, and begins in infancy.
176
pmp22 deletion?
HNPP duplication is CMT
177
hemifacial spasm occur at night?
yes can --> insomnia
178
Dysembryoplastic neuroepithelial tumors (DNETs) are benign slow-growing glioneuronal neoplasms that are bubbly in appearance, as seen on this FLAIR brain MRI. The treatment of choice is excision, especially given medication resistance and low recurrence after excision. DNETs most commonly occur in children and young adults, with a slight male predominance. They arise from either the cortical or deep gray matter, usually in the temporal lobe, and in 80% of cases are associated with cortical dysplasia. DNETs can present with medically intractable seizures and are the second most common tumors found in surgical resection cases for intractable epileptic seizures. Ninety percent of the cases of DNETs present with first seizure before the age of 20.
179
survival motor neuron (SMA), age of onset if 1, 2, 3, 4, 5, copies?
type/age/resp at birth/life exp/# SMA2 0 Prenatal Yes No < 6 months 1 1 < 6 months No No < 2 years 2 2 6-18 months No No 10-40 years 3 3 > 18 months No Assisted Adult 3-4 4 > 5 years No Yes Adult > 4
180
Grading syndrome?
Gradenigo Syndrome (GS) is classically described as a clinical triad of otitis media, facial pain and abducens palsy that is most commonly developed from infection in the petrous temporal bone (i.e., petrous apicitis) [1]. The full triad of GS however may not always be present especially in the post-antibiotic era .
181
How to differentiate ulnar N in carpal tunnel vs guyons?
This patient has wrist flexion and adduction weakness, and the fibers of the ulnar nerve innervating the flexor carpi ulnaris and medial half of the flexor digitorum profundus have already innervated their targets by the time the nerve reaches Guyon canal. Therefore, this patient is not suffering from pathology at Guyon canal.
182
PARK1 vs PARK2?
PARK1 gene mutation, chromosome 4 = familial Parkinson disease PARK2 (Parkin gene) mutation, chromosome 6 = early-onset (< 50 years-old) Parkinson disease
183
metacogntivie therapy?
Metacognitive therapy focuses on examining the relationships among thoughts, feelings, and behavior by exploring thought patterns that lead to self-destructive actions and the beliefs that direct them. Answer B: Dialectal behavior therapy is a form of cognitive behavioral therapy used for treating intense emotional reactions and relationship difficulties.
184
myotonic dystrophy 1 vs 2 repeats?
Myotonic dystrophy type 2 is a tetranucleotide repeat disorder. This patient has dystrophic myotonia type 2, also known as proximal myotonic myopathy. This disease is characterized by proximal muscle weakness (as opposed to dystrophic myotonia type 1 with distal weakness), myotonia, and less common systemic involvement (such as cardiac conduction problems and cataracts). This disease is autosomal dominant caused by a tetranucleotide expansion. Answer A: Neuromuscular disorders with an x-linked recessive pattern of inheritance include Duchenne muscular dystrophy, Becker muscular dystrophy, and Kennedy disease. Answer B: Neuromuscular disorders with a mitochondrial pattern of inheritance include mitochondrial encephalomyopathy, lactic acidosis, and stroke-like episodes; myoclonic epilepsy with ragged red fibers; and Kerns-Sayre syndromes. Answer C: Neuromuscular disorders with autosomal-recessive type of inheritance include certain types of limb-girdle dystrophies and spinal muscular atrophy. Answer D: Myotonic dystrophy type 1 is a trinucleotide repeat disorder. Myotonic dystrophy is a neuromuscular disorder characterized by distal weakness, myotonia (decreased relaxation), and systemic manifestations (such as cardiac conduction abnormalities, frontal baldness, and cataracts).
185
SGCE gene?
TSC1 and TSC2 gene – tuberous sclerosis complex PTEN gene – endometrial carcinomas, glioblastomas, and harmartomas SGCE gene – myoclonic dystonia -- dystonia, in adolescence, can improve with alcohol GNAQ gene – Sturge-Weber syndrome (SWS)
186
TOR1A?
In patients with early-onset dystonia, or those with late onset who have an affected relative with early-onset dystonia, TOR1A gene testing is indicated with appropriate genetic counseling.
187
HAMARTOMA mnenic Tuberous sclerosis?
H: Hamartoma A: Adenoma sebaceum M: Mitral regurgitation A: Ash-leaf spots R: Rhabdomyoma T: Tuberous sclerosis O: dOminant inheritance M: Mental retardation (intellectual disability) A: Angiomyolipoma (of kidney)
188
lateral femoral cutaneous nerve roots?
Answer A: L1 give rise to the ilioinguinal, iliohypogastric, and genitofemoral nerves. These nerves supply small patches of sensation just lateral to the groin and some sensation to the groin itself. Nerve impingement at these locations is rare. Answer B: L1-L2 gives rise to the ilioinguinal, iliohypogastric, genitofemoral, and less commonly, the lateral femoral cutaneous nerves. Answer D: L3-L4 supplies a large portion of the femoral nerve (L2 also contributes). This ultimately branches to supply the iliacus and psoas muscle and to muscles for knee extension. Isolated femoral neuropathies commonly result from retroperitoneal hematoma. The lateral femor cutaneous nerve less commonly comes from L3-4. Answer E: The S1-S2 nerve supplies the piriformis, and clinically the patient would have some associated weakness and gait impairment.
189
fregoli syndrome vs capgras vs subjective double?
The Fregoli delusion is a delusional misidentification disorder characterized by the false belief that people surrounding the patient are in fact the same person hiding in different disguises. capgras - single person replaced by imposter subj double -- believe you have doppelgänger
190
myotonia vs myokymia vs neuromyotonic discharges on EMG? typical sound? freq?
Neuromyotonic discharges are high-frequency (150- to 300-Hz), decrementing, repetitive discharges of a single motor unit that produces a “pinging” sound on EMG. It produces the highest frequency on EMG. Clinically, patients present with stiffness, hyperhidrosis, and delayed muscle relaxation after contraction. Myotonia EMG recordings show brief biphasic or triphasic spikes that fire between 20 Hz and 100 Hz with a waxing and waning amplitude and a positive sharp wave form induced by needle insertion. They are characterized by a "revving engine" sound. Answer E: Myokymia EMG recordings show regular or semiregular bursts of normal motor unit action potentials 0.1-Hz to 10-Hz, with a characteristic "marching soldier" sound and stable amplitude.
191
pt with cervical SC injury develops achy, diaphoresis and HTN, what to do?
192
DOAC vs Warfarin, GI bleed risk? ICH?
DOAC less ICH, more GI
193
Anton babinski syndrome? lesion?
Anton-Babinski syndrome is characterized by visual anosognosia and denial of vision loss with confabulation, as is seen in this patient.
194
side effects of trans cranial magnetic stimulation? use with cardiac device?
This is partially correct. The most common side effects of TMS are headaches, (28%) scalp pain (39%) and transient hearing loss. Generalized tonic-clonic seizures are rare (0.1-0.5%). Risk of seizures is increased in certain conditions, e.g. concomitant use of medications that lower seizure threshold, personal and family history of epilepsy, certain preexisting neurologic conditions such as congenital brain malformation, recent discontinuation of alcohol, benzodiazepines, or anticonvulsants, and sleep deprivation. NO
195
gene that least likely to cause early PD?
LRR2 (L for late) - 65 DJ1 - age 40
196
primary vs secondary craniosynstosis?
Craniosynostosis is a condition in which one or more cranial sutures close prematurely. The incidence of craniosynostosis is 0.04%-0.1%. Primary craniosynostosis may be caused by a defect in ossification, whereas secondary craniosynostosis may occur due to abnormal brain growth. Diagnosis may be made at birth or in early infancy based on physical examination. Skull radiographs may also be obtained to confirm the diagnosis. Surgical intervention may be required in cases of increased intracranial pressure or cranial deformities. Types of primary craniosynostosis Scaphocephaly - Early fusion of the sagittal suture Anterior plagiocephaly - Early fusion of one coronal suture Brachycephaly - Early bilateral coronal suture fusion Posterior plagiocephaly - Early closure of one lambdoid suture Trigonocephaly - Early fusion of the metopic suture
197
therapy for OCD?
Exposure and response prevention (ERP) is also commonly used in the treatment of adult-onset OCD and is considered a probably efficacious treatment for childhood OCD. Some research suggests that ERP-based cognitive-behavioral therapy may be more effective than pharmacologic treatments.
198
lesions that cause asterisks in cirrhosis? which part thalamus?
Structures that may be involved in unilateral asterixis include the contralateral primary motor cortex, parietal lobe, ventrolateral thalamus, mesencephalon, ipsilateral pons, or ipsilateral medulla.
199
spectroscopy elevation in GBM? NAA or choline?
choline
200
CTE is accumulation of?
hyperphorphorylated tau Gross histologic findings include diffuse brain atrophy, ventricular dilatation, cavum septum pellucidum, cerebellar scarring, and depigmentation and degeneration of the substantia nigra. As the disease progresses, marked atrophy of the medial temporal lobes, thalamus, hypothalamus, and mammillary bodies occurs.
201
earliest signs in GBS?
he earliest abnormalities seen on electrodiagnostic studies in patients with AIDP are prolonged or absent F waves and absent H reflexes, reflecting demyelination at the level of the nerve roots.
202
tx for cyclical vomiting syndrome in kids? these kids high risk of developing?
Amitriptyline is the prophylactic agent of choice in children over age 5 years, whereas cyproheptadine is the agent of choice for children younger than 5 years old. Sumatriptan is the abortive therapy of choice in acute attacks. MIGRAINES
203
how many periodic limb movements of sleep per hour for dx?
The presence of daytime dysfunction and more than 15 periodic limb movements per hour of sleep (PLMs) in adults is diagnostic of periodic limb movement disorder (PLMD). This patient's history is suggestive of PLMD. PLMs can be bothersome and can cause spikes in heart rate and blood pressure and arousals, leading to poor sleep quality. The limb movements are patterned and tend to resemble a "triple flexion" reflex, ie, flexion of the foot, knee, and hip. Diagnosis is made by polysomnography, which demonstrates increased EMG activity in the anterior tibialis lasting for 0.5 to 10 seconds. More than four consecutive limb movements, can be considered a series as long as they are 5 to 90 seconds apart.
204
anosognosia? anosodiaphoria?
Patients with anosodiaphoria recognize their deficits yet are emotionally indifferent to varying degrees and lack insight into their functional impairment. Emotional response to events outside of their neurologic deficits is typically spared. This syndrome is seen with right frontal lesions and can be associated with gaze preference, abulia, apraxia, executive dysfunction, incontinence, unilateral motor weakness, and disinhibition. Anosodiaphoria is thought to arise from impairments in the network that recognizes and corrects errors in predicted versus actual behaviors, particularly areas of the anterior cingulate and insular cortices. Of note, anosognosia is a closely related syndrome of lack of awareness of a neurologic deficit, which has a similar localizing value.
205
prosapgnosia lesion?
Prosopagnosia is the inability to recognize familiar faces including one's own, a specific deficit in visual processing. This deficit can localize to the fusiform gyrus in the temporal lobe or the inferior occipital cortex. Lesions that cause prosopagnosia are typically bilateral but if unilateral occur in the right hemisphere. Anosodiaphoria is associated with right frontal lesions, not temporal or occipital lesions.
206
tor trees nerve root?
C6/7, median N branch
207
Multi-system Inflammatory syndrome in children MRI findings? CLIPPERS?
T2 hyperintensity of the SCC can be affected by many things, including infections, AIDs, diffuse axonal injury, hypoglycemia, drugs, epilepsy, autoimmune disorders, and posterior reversible encephalopathy syndrome (PRES). The corpus callosum, especially the splenium, is associated with increased glutamate and cytokine receptors, making it more susceptible to pathological MRI findings. The SCC has been associated with SARS-CoV-2 in both adults with COVID-19 infections and children with MIS-C. In one case series, this was the only common MRI finding. This finding is not exclusive to SARS-CoV-2 infection and can also be seen with other viral infections (this exhibit was from a patient with mild encephalopathy due to rotavirus infection). MIS-C tends to appear 2-6 weeks after initial COVID-19 infection. As the name applies, symptoms and inflammation are systemic. The most common symptoms are fever and gastrointestinal symptoms. Symptoms such as rash, conjunctivitis, mucous membrane involvement, swollen hands and feet, and lymphadenopathy make this condition similar to Kawasaki disease, and there is also crossover in the treatment. Gastrointestinal symptoms can mimic appendicitis, and imaging tends to show signs of inflammation of the mesenteric region or bowels. Many patients will also have abnormal findings on ECG, and some will go into cardiogenic shock, as did this patient, with shortness of breath and pleural effusion. Echocardiograms can show coronary aneurysms, as in Kawasaki disease. Laboratory findings in MIS-C tend to show markedly elevated inflammatory markers. SARS-CoV-2 serology is always positive, but about a third of cases will also be have a negative reverse transcriptase polymerase chain reaction (RT-PCR) test for COVID-19. Fewer than 10% of children with MIS-C or COVID-19 will have severe neurologic manifestations. Conditions associated with MIS-C or COVID-19 infection include severe encephalopathy, encephalitis, aseptic meningitis, acute disseminated encephalomyelitis (ADEM), stroke, cerebral venous sinus thrombosis, Guillain-Barré syndrome and its variants, and acute fulminant cerebral edema. Answer A: Scattered punctuate enhancing lesions in the medulla, pons, and cerebellum are usually associated with chronic lymphocytic inflammation with pontine perivascular enhancement responsive to steroids (CLIPPERS). The patient has no brainstem or cerebellum symptoms, making this diagnosis less likely.
208
acetazolamide causes what type of metabolic derangement? Cl levels?
hyperchloremic, hypokalemic met acidosis (reabsorb H and Cl, HCL--> acidosi) and excrete HCO3
209
accessory perineal N can innervate?
The extensor digitorum brevis (EDB) is normally innervated by the deep peroneal nerve. In normal conditions, one should get a fairly similar compound muscle action potential (CMAP) regardless of the stimulation site: ankle (deep peroneal), below the fibular head (common peroneal), or above the fibular head (common peroneal). In some individuals, a proportion of the axons will travel along the superficial peroneal nerve and branch off as an accessory deep peroneal nerve to innervate the EDB (see image below). The anomalous innervation, in this case, can be detected by stimulating the accessory nerve behind the lateral malleolus.
210
tx for thyroid eye disease?
Teprotumumab obtained FDA-approval in 2020 for the treatment of thyroid eye disease (TED).
211
CD19 inh tx for NMO?
Inebilizumab is an anti-CD19 monoclonal antibody. It is FDA-approved for the preventative treatment of Neuromyelitis Optica Spectrum Disorder. It is not approved for the treatment of thyroid eye disease.
212
Noonan syndrome?
213
sx of pudendal N injury?
motor from S2-4, sensory DRG The patient is experiencing pudendal neuropathy and was treated with a pudendal nerve block. The pudendal nerve supplies sensation to the perineal area and voluntary motor supply to the external urethral and anal sphincters (but not the internal urethral sphincter). Pudendal neuropathy can occur due to physical nerve trauma as can occur during childbirth, pelvic surgery, and hip surgery. There can be infectious and immune causes as well. Symptoms of pudendal neuropathy include burning pain in the distribution of the pudendal nerve (or its branches). Other symptoms include urinary frequency, incontinence, dyspareunia, and hyperalgesia of the affected area. Pain is worse when sitting and improved with lying down or standing. There can be a sensation of a foreign body in the vagina or rectum.
214
galantamine mechanism?
ACHR uptake inh (like rivasTIGMINE)
215
Ornithine transcarbamoylase deficiency inheritance?
216
The results of MRI can initially be normal. When they are abnormal, they will most commonly show symmetrical involvement of the paroccipital white matter or splenium of the corpus (Image A). This is a specific finding that appears in about 80% of boys with this disorder. Less common is involvement on the genu of the corpus callosum (Image C), and prominent rim contrast enhancement (Image D). X-ALD is a peroxisomal disorder caused by a mutation in the ABCD1 gene on the X chromosome. This codes for an adenosine triphosphate-binding transporter on the peroxisomal membrane and is also called adrenoleukodystrophy protein. Defects in this transporter will prevent the transport of very long-chain fatty acids (VLCFAs) into peroxisomes. Consequently, there will be an increase in VLCFAs because they cannot participate in beta-oxidation and breakdown. A VLCFA panel is the initial screening test, and, if the results are elevated, the diagnosis is confirmed with genetic testing. Additional efforts have been made to include X-ALD in the newborn screen.
217
quantitate sudomotor axon reflex test, what is it and what does it test? thermoregulatory sweat test?
The latter 3 tests are described as followed: The Valsalva ratio is the maximum heart rate induced by Valsalva blood pressure reduction divided by the minimum heart rate that results from maneuver-induced blood pressure overshoot. In the quantitive sudomotor axon reflex test, acetylcholine is administered via iontophoresis into the skin to stimulate sweat production. The latency and volume of sweat are recorded. In thermoregulatory sweat tests, patients are in a regulated, hot, humid room with a sweat indicator powder applied to much of the body. Digital photographs are collected and report a percentage of the anterior body surface anhidrosis.
218
tx for PPMS?
ocreluzimab
219
tx for complex regional pain syndrome? dx criteria?
clonidine, prazosin, ketamine, calcitonin
220
Gambierdiscus toxic toxin? hallmark sx? Takifugu niphobles?
Gambierdiscus toxicus is a marine dinoflagellate responsible for ciguatera toxin, which, when ingested, results in a food-born illness that occurs primarily in the tropics and subtropics. The illness arises wherever large tropical gamefish are consumed and is the most common seafood-borne illness in the United States. Side effects are typically gastrointestinal, but the hallmark symptom is cold allodynia, in which patients experience burning heat when touched by a cold object. Other neurologic findings of paresthesias, vertigo, headaches, dysgeusia, ataxia, pruritis, and even hallucinations can occur. The toxin acts as a sodium-channel inducer at the synapse and is heat resistant when cooked. Treatment is supportive care. Chronic poisoning can present as an MS-like picture, without evidence of demyelination. Answer D: Takifugu niphobles is the pufferfish most often implicated in accidental tetrodotoxin ingestion. Tetrodotoxin is a neurotoxin found in pufferfish, blue-ringed octopi, and many other organisms that causes escalating neurologic symptoms of paresthesias, perioral numbness, dysarthria, paralysis, and ataxia with normal reflexes, followed by flaccid paralysis, aphonia, respiratory failure, and fixed and dilated pupils in a conscious patient. Symptoms are dose-dependent and can occur 30 minutes to 20 hours after ingestion or envenomation. Treatment is primarily supportive, but limited evidence backs the use of a monoclonal antibody, dialysis, and an anticholinergic agent.
221
variant vs sporadic CJD?
Variant Creutzfeldt-Jakob disease (CJD) tends to present in younger age groups. More prominent psychiatric or sensory symptoms are present at the time of clinical presentation, with delayed onset of neurologic abnormalities, including ataxia within weeks or months, dementia and myoclonus late in the illness. Duration of illness is at least 6 months. This is in contrast with sporadic CJD, which presents with dementia and other neurologic abnormalities in an earlier timeframe. EEG is typically nonspecific in variant CJD, without the classic pattern of periodic sharp waves at 2-3 Hz seen in sporadic CJD. In sporadic CJD, pathologic hyperintense signal is commonly seen in the putamen and head of the caudate, in addition to a cortical "ribboning" pattern. The hyperintense signal will be seen on DWI, FLAIR, and T2-weighted images, with diffusion restriction on DWI/ADC. In variant CJD, MRI typically shows signal hyperintensity in the pulvinar (pulvinar sign) or in both pulvinar and dorsomedial thalamus (hockey stick sign). This finding is not seen in patients with sporadic CJD. CT scan is often not sensitive enough to detect the pulvinar or hockey-stick sign, thus reinforcing the importance of MRI imaging.
222
FDG PET in MSA?
putamen hypo metabolism
223
Inheritance pattern of post FTD? MAPT?
AD : Carriers of MAPT mutations become symptomatic earlier than those with other genetic-mutation−caused frontotemporal dementias, with symptoms typically beginning between the ages of 40 and 60 years.
224
Ganser syndrome?
The Ganser ("answer") syndrome is a rare and controversial neuropsychiatric condition characterized by the production of approximate answers (or near misses) to very simple questions, fluctuating levels of consciousness, perceptual disturbances, and functional somatic complaints. Answers are approximate, but indicate that the question has been understood, and the symptoms may completely resolve when consciousness returns to normal. The unusual nature of this condition has led to debate about the underlying pathophysiology, specifically whether there is organic brain impairment, functional neurologic disorder, or malingering. Ganser syndrome often resolves spontaneously, usually accompanied by amnesia for the period of illness.
225
Geschwind syndrome?
Geschwind syndrome refers to a constellation of behavioral changes seen in some individuals with temporal lobe epilepsy. This includes hypergraphia, hyperreligiosity, atypical sexual behavior, and circumstantial speech. Not all features are required for diagnosis. The patient above does not have any of these features.
226
Gradenigo syndrome? Gerstmann straussler Scheinker? Gerstmann?
Answer B: Gradenigo syndrome is a complication of otitis media leading to retroorbital pain and abducens nerve palsy due to infection of the petrous apex of the temporal bone. It is diagnosed based on clinical and radiographic features. Answer D: The Gerstmann-Straussler-Scheinker syndrome is a transmissible spongiform encephalopathy caused by an inherited genetic defect in the human prion protein. Patients with this syndrome present with progressive dysarthria, ataxia, and dementia. Diagnosis is made through genetic testing. Answer E: Gerstmann syndrome is a neuropsychological disorder caused by lesions of the inferior parietal lobule (near the angular gyrus) of the dominant hemisphere. It is characterized by a tetrad of agraphia, acalculia, left-right confusion, and finger agnosia.
227
genetic causes of microcephaly?
There are many causes of microcephaly, including hypoxic injury, toxin exposure (eg, alcohol), and infection (eg, maternal infection with zika virus during pregnancy), as well as many genetic causes, including Miller-Dieker syndrome (LIS-1 mutations), Angelman syndrome (partial deletion of maternal chromosome 15), and Edward syndrome (Trisomy 18). There are numerous other mutations involving cell proliferation, migration, and DNA repair that can result in microcephaly. Macro: prader willi (paternal partial deletion 15q11-13), Alexander disease, aspartoacylase can cause Canavan disease
228
cellular degeneration/apoptosis in PD?
Apoptosis is a form of programmed cellular death that is critical for embryogenesis and plays an important role in many neurodegenerative conditions, including Parkinson disease, as is seen in this patient. Apoptosis is characterized by plasma membrane blebbing, cellular shrinking (pyknosis), and nuclear condensation and fragmentation.
229
med that methylation of guanine residues?
he methylation of guanine residues is the mechanism of action of temozolomide. Temozolomide is a chemotherapy medication used to prolong survival in patients who have glioblastomas with O6-methylguanine DNA methyltransferase. Addition of this medication does not, however, treat any of this patient's symptoms.
230
sleep related hyper motor epilepsy?
Sleep-related hypermotor epilepsy, also called autosomal-dominant nocturnal frontal lobe epilepsy, occurs as the result of mutations in the CHRNA2, CHRNA4, and CHRNB2 genes, which encode subunits of the neuronal nicotinic acetylcholine receptor (nAChR). Patients present with brief, usually nocturnal, seizures consisting of stereotyped motor patterns, such as pedaling, choreoathetoid movements, or ballistic movements of the limbs. Seizures typically begin in late childhood or adolescence.
231
meds that can cause NREM parasomnia/sleep related eating d/o?
zolpidem
232
AIS grade A-D? which is worst?
233
with spinal shock, when reflexes start to return? what days?
1-3, sensory reflexes come back first before monosynaptic/dtr's
234
235
EMG findings in parsonage turner? when to do study? % that regain strength?
fibrillations 4 weeks 70-90%, 70% don't recover full strength though
236
good prognosis for possibility of walking in CP?
sitting independently by year 2, crawling by 30 months
237
central pontine myelinolysis in chronic or acute hyponatremia?
chronic
238
splitter Martin scale?
Conservative medical management is recommended for Spetzler-Martin grade 4-5 lesions, which are considered to be a surgical high risk.
239
most common gene asssoc with JME?
Juvenile Myoclonic Epilepsy (JME) is an inherited epileptic syndrome characterized by the classic triad of absence seizures, myoclonic seizures, and generalized tonic-clonic seizures. It is the most common genetic epilepsy, and population-based studies have identified several disease-causing mutations occurring in various genes. Of these, mutations of the EFHC1 gene, which encodes a calcium-binding protein related to calcium homeostasis, have been most commonly identified as disease-causing mutations in patients with JME. Answer A: The alpha-1A subunit of the P/Q voltage-dependent calcium channel is encoded by the CACNA1A gene. Mutations in this gene have been associated with several neurological disorders, including episodic ataxia type 2 (EA2), spinocerebellar ataxia type 6 (SCA6), and familial hemiplegic migraine. While mutations in a different voltage-dependent calcium channel gene (CACNB4) have been associated with JME, CACNA1A mutations have not been associated with this condition. Answer B: Glucose transporter 1 (GLUT1) is a glucose transporter protein encoded by the SLC2A1 gene. Mutations in this gene have been associated with GLUT1 deficiency syndrome, generalized idiopathic epilepsy, and dystonia. SLC2A1 gene mutations have not been associated with JME. Answer C: The SCN4A gene encodes the sodium channel protein type 4 alpha subunit, which is a voltage-gated sodium channel. Mutations in this gene have been associated with hypokalemic periodic paralysis, hyperkalemic periodic paralysis, and paramyotonia congenita. It has not been associated with juvenile myoclonic epilepsy. Answer D: The leucine-rich repeat kinase 2 (LRRK2) is a kinase enzyme encoded by the LRRK2 gene. Mutations in this gene have been associated with autosomal dominant Parkinson’s disease, and have not been associated with JME.
240
topographia controlled by what part of brain? non dominant superior parietal?
Topographagnosia localizes to the non-dominant medial temporal lobe. This individual has topographic disorientation or topographagnosia, which is difficulty with navigating an environment based on spatial cues and landmarks. This syndrome is associated with lesions in the non-dominant posterior cingulate or posterior hippocampal gyri. This syndrome can have variable severity, such as manifesting only in unfamiliar environments. Individuals with topographagnosia can describe the layout of familiar places but will have trouble spatially orienting themselves based on landmarks and spatial cues. In the most severe cases, individuals become lost even in familiar settings. Topographagnosia can be an early sign of cognitive impairment, specifically associated with progression to Alzheimer's dementia. Answer A: The dominant medial temporal lobe is responsible for encoding verbal and semantic memory while the non-dominant medial temporal lobe is responsible for encoding visuospatial memory. Topographagnosia is associated with lesions in the non-dominant posterior cingulate or posterior hippocampal gyri. Answer C: The dominant lateral temporal lobe is responsible for comprehension of language and includes Wernicke's area. Topographagnosia, however, is associated with lesions in the non-dominant posterior cingulate or posterior hippocampal gyri. Answer D: The non-dominant lateral temporal lobe is responsible for musicality and facial recognition. Topographagnosia, however, is associated with lesions in the non-dominant posterior cingulate or posterior hippocampal gyri. Answer E: The non-dominant superior parietal lobe is responsible for higher-order sensory processing. Lesions of the non-dominant superior parietal lobe cause agraphesthesia, loss of two-point discrimination, and extinction of double simultaneous stimulation. Topographagnosia, however, is associated with lesions in the non-dominant posterior cingulate or posterior hippocampal gyri.
241
what increases risk of pediatric infective endocarditis?
Rate increased 9-12x among those with cyanotic congenital heart defects
242
CMV polyradiculopathy CSF glucose?
low
243
glutamic acuduria type 1? lactate levels?
Glutaric aciduria type 1 is caused by a defect in metabolism of glutaryl-CoA and presents with macrocephaly, metabolic crises characterized by hyperammonemia and lactic acidosis, and development of dystonia due to basal ganglia injury.
244
dux 4 gene?
Facioscapulohumeral muscular dystrophy (FSHD) is the third most common muscular dystrophy behind Duchenne and myotonic muscular dystrophy. FSHD is inherited autosomal dominantly and associated with the inappropriate expression of the DUX4 gene on chromosome 4 in a region called D4Z4. Clinical manifestations of FSHD include progressive muscle weakness in the face causing an inability to close the eyes, scapula/upper arm leading to difficulty reaching arms overhead, lower leg causing foot drop, and abdominal muscles that can cause a protuberant belly or be seen as a positive Beevor sign in which the umbilicus rides up with neck flexion in the supine position. These symptoms usually present in the second decade but can occur any time between infancy and middle age. The lifespan of patients with FSHD is normal or near-normal. Limb girdle muscular dystrophy (LGMD D4 and LGMD R1) – CAPN3 gene · Limb girdle muscular dystrophy type R2 (LGMD R2) – DYSF gene · Hereditary inclusion body myositis – GNE gene · Facioscapulohumeral muscular dystrophy – DUX4 gene · Emery-Dreifuss muscular dystrophy – LMNA gene
245
emery Dreyfus muscular dystrophy?
Answer A: Mutations in the CAPN3 gene are associated with limb girdle muscular dystrophy type R1 (LGMD R1) and limb girdle muscular dystrophy type D4 (LGMD D4). LGMD R1, an autosomal-recessive calpainopathy, is the most common type of LGMD worldwide. It usually presents between 6 and 18 years of age but may occur through adulthood. Clinical presentation varies and can range from an asymptomatic elevated serum creatine kinase level to pelvic and shoulder girdle muscle weakness, winged scapula, waddling gait, facial weakness, and contractures. LGMD D4, an autosomal-dominant disease, has a similar presentation as LGMD R1 but is usually milder. Answer B: Limb girdle muscular dystrophy type R2 (LGMD R2) is an autosomal-recessive disease associated with mutation in DYSF gene. LGMD R2 is the second most common subtype of LGMD in the United States and the most common subtype in Asia. Patients usually presents from ages 12 to 25 years with their legs affected first followed by arms, but winged scapula is not seen. Clinically patients are not able to walk on their toes and may have highly elevated serum creatine kinase levels. There is no facial weakness or dysphagia. The progression of the disease is usually very slow, with wheelchair required after 10 to 20 years after onset. Answer C: Hereditary inclusion body myositis (HIBM), also known as GNE myopathy, presents with progressive difficulty rising from chairs due to proximal leg weakness, decreased grip strength due to finger flexor weakness, and frequent loss of balance. Answer E: The LMNA gene is associated with Emery-Dreifuss muscular dystrophy, which presents with the triad of progressive weakness in the upper arms and lower legs, contractures, and cardiomyopathy.
246
Meyers loop inf or superior?
inferior
247
presycubis lose what frequency first?
Presbycusis affects most adults over age 80 and is characterized by symmetric progressive bilateral hearing loss, typically starting with higher frequencies. Consonant sounds are high-frequency, and, therefore, in presbycusis, most speech information is lost. Distraction, as with crowded settings, worsens the patient's difficulty. Some patients may also have vertigo and tinnitus. It can be treated with hearing aids or, in more severely affected individuals, with cochlear implants.
248
sudomotor tests gold standard? which assesses post ganglionic?
QSART - post ganglionic thermoregulatory is pre-ganglionic --- abnormal butQSART will be normal if post, then all will be abnormal
249
pathology in brain w/ ALS?
`due to issue with zinc/copper superoxide dysmutase Pathologic examination of motor neurons in amyotrophic lateral sclerosis (ALS) demonstrate astrogliosis and neuronophagia in the motor cortex. intracystoplasmic bunion body in anterior horn cells
250
kufor-rekab syndrome
Kufor-Rekab syndrome (KRS), a rare, autosomal-recessive subtype of JPD caused by a genetic mutation of ATP13A2, presents in patients younger than age 21 years. early onset PD <60 young onset 21-40 juvenile <21
251
Mcdonalds criteria: what counts for dissemination in time if only one attack?
Dissemination in time via additional clinical attack or by MRI OR presence of CSF-specific oligoclonal bands
252
normal at birth, early hiccups?
Nonketotic hyperglycinemia Autosomal recessive Defects in glycine cleavage (various) Normal findings at birth; early and continuous hiccups. Affected by progressive lethargy, hypotonia, and respiratory abnormalities starting six hours to eight days after birth. May develop myoclonic seizures. Trials of sodium benzoate, diazepam, folate, NMDA antagonists
253
central sleep apnea test measures airflow, thoracic and abdominal movements. Central sleep shows loss of which? scale for normal/mild/mod/severe?
loss of breath, complete apnea <5/6-14/15-30/>30
254
toluene toxicity? inhaled glue?
Nitrous oxide, present in whipped cream canisters, causes the classic myeloneuropathy masquerading as a subacute combined degeneration from vitamin B12 deficiency Toluene (MAKES YOU LEAN) can cause a persistent leukoencephalopathy with decreased cognitive functioning, cerebellar ataxia, and corticospinal signs. Inhalants of glue or lacquer thinners that contain n-hexane are at risk for developing a severe sensorimotor axonal polyneuropathy in which the peripheral weakness can progress to quadriplegia and recovery is incomplete. Users of amyl or butyl nitrite develop methemoglobinemia that can cause stupor, seizures, cardiac arrhythmia, and circulatory failure.
255
Canavan disease?
Pelizaeus–Merzbacher disease is an X-linked disorder that results from mutations in or duplications of the proteolipid protein—PLP gene (Plp1) and leads to reduced or absent myelination within the CNS. Infants present with hypotonia and nystagmus. Canavan disease is another white matter disorder resulting from mutations in the aspartoacylase gene (ASPA) and leading to myelin vacuolation and degeneration of the cerebral white matter. Children present within the first few months of life with lethargy and develop intellectual disability, macrocephaly, and blindness. Affected children usually die by age 5 years.
256
tibial neuromodulation tx is for? vs botox?
MS, overactive bladder use if bladder training and meds don't work use before botox (can increase post void residual/retention) Tibial neuromodulation is a safe and effective treatment for urge incontinence in patients with multiple sclerosis (MS). It can be achieved by either transcutaneous or percutaneous stimulation of the posterior tibial nerve at the level of the medial malleolus. Tibial neuromodulation is third-line treatment of overactive bladder. In this case, the patient has already undergone bladder retraining and tried medication. Transcutaneous tibial nerve stimulation (TTNS) is administered via two 50-mm x 50-mm electrode pads: a live pad and a grounding pad. The live pad is placed postero-superior to the medial malleolus. The ground pad is placed approximately 10 cm cephalad to the live pad. A current is then delivered at an amplitude great enough to produce a sensory stimulus in the ipsilateral foot. The intensity of the current is then increased to the highest level tolerated by the patient. Percutaneous tibial nerve stimulation (PTNS) is performed by inserting a 34-G needle electrode approximately 4-5 cm above the medial malleolus. A current is then applied, and the patient is instructed to move their great toe to ensure correct positioning of the needle electrode. The intensity of the current is then increased to the highest level tolerated by the patient. A typical treatment course consists of twelve, 30-minute sessions during which a fixed-frequency electrical signal is applied to the nerve. Because the effect of the treatment is relatively short-lived, return for maintenance treatments is often required and should be performed based on the degree of clinical improvement. Conveniently, these treatments can also be performed at home. Unlike antimuscarinic agents or botulinum toxin, tibial neuromodulation has not been shown to worsen voiding difficulties or increase postvoid residual.
257
Kunjin virus found where? yellow fever? Toscana?
Kunjin virus is a flavivirus endemic to northern and western Australia, most commonly symptomatic with either encephalitis, meningitis, or arthralgias, myalgias and rash. Rarely it presents with isolated fever. CSF will be marked lymphocytic pleocytosis with elevated protein. It is closely related to the West Nile Virus seen in the Americas; both are flaviviruses harbored in bird populations with a Culex mosquito vector. Occasionally MRI changes can occur, documented in the thalamus and more rarely in the brainstem or cerebellum. Answer A: Eastern Equine Encephalitis is an Alphavirus harbored in birds and Culiseta mosquitoes, with Aedes and Coquillettidia mosquitoes transmitting the virus from birds to mammals. EEEV is extremely rare in humans and less than 5% develop symptoms of neurologic disease. ATALANTIC/GULF COAST US Answer B: Yellow Fever is a Flavivirus transmitted in africa/South America by the Ades mosquito and is typically characterized by hemorrhagic coagulopathy, hepatorenal failure followed by myocardial injury, pancreatitis, and eventually circulatory shock. Answer D: West Nile virus is a Flavivirus closely related to Kunjin and should be suspected in the Americas primarily during the summer. Toscana Virus is a Phlebovirus transmitted by Phlebotomus sandflies in Europe and North Africa.
258
Aromatic acid decarboxylase deficiency?
The diagnosis of aromatic acid decarboxylase (AADC) deficiency is often delayed. It it often misdiagnosed as cerebral palsy, myasthenia gravis, or mitochondrial disorders. AADC is a protein that aids in the production of various neurotransmitters, including dopamine, epinephrine, norepinephrine, and serotonin. Signs and symptoms of the rare autosomal-recessive disorder of AADC deficiency generally appear in the first year of life; these include developmental delay, tone abnormalities (ie, axial hypotonia and appendicular hypertonia), athetosis, lethargy, irritability, and poor feeding. Patients may also be susceptible to oculogyric crises and autonomic crises. Symptoms tend to worsen late in the day.
259
sleep related limb cramps tx?
vitamin B/E iron stretching
260
medical errors, latent vs active?
latent is inherent error in system that is destined to cause issue active is a direct action w/ immediate harm
261
PHOX2B?
Congenital central hypoventilation syndrome (CCHS) is caused by a mutation in the PHOX2B gene, which encodes a transcription factor critical for the proper development of the autonomic nervous system. CCHS should be considered when patients present in the neonatal period with apnea and autonomic dysregulation during sleep with normal metabolic, neuromuscular, and cardiopulmonary evaluations. Genetic testing confirms the diagnosis. CCHS is a rare autosomal dominant disorder that leads to loss of autonomic control of breathing, particularly during sleep. Most patients with CCHS present in infancy with a normal prenatal and birth history, with episodes of apnea, cyanosis, hypercapnia and autonomic dysregulation that occur during sleep. Patients are treated with ventilatory support. Rarely, the condition can manifest in adulthood.
262
SLC2A1?
Glucose transporter type 1 deficiency syndrome is caused by a genetic defect in the SLC2A1 gene. The syndrome presents in infancy with early-onset seizures, cognitive impairment, and movement disorders (most commonly motor incoordination). These seizures can be difficult to control with anti-epileptic medications, but respond well to the ketogenic diet. GLUT-1 deficiency is not related to CCHS.
263
MRI FLAIR/t2 changes with wernickes?
MRI findings can include T2 hyperintensity (usually symmetrically) in the dorsal midbrain, mamillary bodies, periaqueductal tissue, and medial thalami. There may also be MRI changes in the cerebellum, cranial nerve nuclei, caudate, splenium, and cerebral cortex.
264
loss of bulbocavernous reflex indicates caudal equine or conus syndrome? nerve roots and afferent/efferrent nerve?
The bulbocavernosus reflex is clinically useful specially in two situations: 1- In patients with suspected cauda equina syndrome versus conus medullaris syndrome, the presence of a bulbocavernosus reflex indicates an upper motor neuron lesion, hence pointing at conus medullaris lesion. Therefore, an absence of the reflex indicates a lower motor neuron lesion and suggesting cauda equina syndrome. 2- In patients with spinal cord injury, specially traumatic, the absence of the reflex indicates spinal shock. This differentiation has important therapeutic and prognostic implications, since prognosis cannot be made in the presence of spinal shock. The bulbocavernosus reflex is a polysynaptic reflex that is useful in testing for spinal shock and evaluating the integrity of spinal cord at the lower sacral level. The test consists of introducing the examiner's finger through the anus to monitor the external and internal anal sphincters. The examiner evaluates the sphincter contraction in response to squeezing the glans penis or clitoris, or tugging on an indwelling Foley catheter. A lack of anal sphincter contraction to this stimulus is considered abnormal. The reflex is carried by the S2-S4 roots and both efferent and afferent limbs are carried out by the pudendal nerve.
265
where CN 3 exit in midbrain?
266
iliohypogastric N root and innervates?
This patient's presentation is consistent with iliohypogastric nerve injury. The iliohypogastric nerve originates from the lumbar plexus, which supplies sensation to the skin over the lateral gluteal and hypogastric regions and motor innervation to the internal oblique and transverse abdominal muscles. The nerve emerges from the psoas major in the outer part of its upper border and crosses in front of the quadratus lumborum to the iliac crest, running behind the kidneys.