Røntgen Thorax Flashcards

(19 cards)

1
Q

Hvilken radiologisk metode er den vanligste ved undersøkelse av brystkassen?

A

Røntgen (rtg.) thorax
- Ca. 100 pr. døgn, St. Olavs

How well did you know this?
1
Not at all
2
3
4
5
Perfectly
2
Q

Hva er fordelen med rtg. thorax?
Hva gjør det vanskelig?

A
  • Rask undersøkelse –> kan gi informasjon om alle organsystemer i thorax (lunger, mediastinum og skjelett + kontrollere posisjoner av tuber, katetre og annet utstyr)
  • Tolkning av rtg. thorax kan være utfordrende og baserer seg i betydelig grad på erfaring
How well did you know this?
1
Not at all
2
3
4
5
Perfectly
3
Q

Hvordan utføres rtg. thorax?

A
  • Stående front og sidebilde
  • Postero-anterior-strålegang (PA) som gir minst forstørrelse av hjertet
  • Venstre side mot detektor på sidebildet –> gir minst forstørrelse av hjertet
  • Kan taes halvtsittende/liggende hvis det ikke er forsvarlig at pasienten står under bildetagning
How well did you know this?
1
Not at all
2
3
4
5
Perfectly
4
Q

Plasser anatomiske strukturer

A
How well did you know this?
1
Not at all
2
3
4
5
Perfectly
5
Q

Hva er de vanligste patologiske funnene ved rtg. thorax?

A

Økt tetthet (lysere) grunnet:
- Innhold i lungevevet - eks. infeksjon, lungeødem, blødning
- Sammenfalt lungevev - atelektase
- Oppfylning/tumor - eks. benign/malign (primær lungecancer, metastaser)
- Væske i pleurahulen (utenfor lungene) - eks. pleuravæske, hemothorax, empyem

Redusert tetthet grunnet:
- Luft i pleurahulen - pneumothorax
- Redusert mengde lungevev - eks. emfysem

How well did you know this?
1
Not at all
2
3
4
5
Perfectly
6
Q

Hva forklarer funnene man finner på rtg. thorax ved en pneumoni?

A
  • Alveolene fylles med væske/slim (immunceller, patogener, slim etc.)
  • Skaper en diffust avgrenset fortetning (konsolidering); typisk utseende som en sky
How well did you know this?
1
Not at all
2
3
4
5
Perfectly
7
Q

Hva er atelektase? Nevn årsaker til dette?

A

Atelektase er sammenfalt lungevev.
Ulike årsaker til atelektase:
- Resorpsjon (obstruksjon):
- Infeksjon, inflammasjon, slimplugg
- Kreft
- Kompresjon (ytre press):
- Pneumothorax
- Pleuravæske, hemothorax
- Høystand av diafragma
- Kontraksjon:
- Lokalisert fibrose/arrvev

How well did you know this?
1
Not at all
2
3
4
5
Perfectly
8
Q

Hva er viktigst når det gjelder konsolidering?

A

Klinikken er viktigst

Eks. på konsolidering: 1. Pneumoni 2. Blødning 3. Organiserende pneumoni 4. Lungeinfarkt 5. Lungeødem 6. Sarkoidose
How well did you know this?
1
Not at all
2
3
4
5
Perfectly
9
Q

Hva er pneumothorax?

A

Luft i pleurahulen - kan komme fra lungen eller utenifra (som regel et hull i lungen)

How well did you know this?
1
Not at all
2
3
4
5
Perfectly
10
Q

Hva er viktig ved vurdering av rtg. thorax ved mistanke om pneumothorax?

A

Om man kan se kanten på lungen (som regel apikalt ved stående bilde), manglende karstrukturer og mørkere utenfor lungekanten

How well did you know this?
1
Not at all
2
3
4
5
Perfectly
11
Q

Hvilken patogenese skjer ved trykkpneumothorax?

A
  • Normalt så er trykket litt lavere i pleurahulen enn i luftveiene og omgivelsene (vakuum som holder lungen i vegg)
  • Ved pneumothorax blir trykket i luftveiene det samme som i pleurahulen –> lungen kollapser
How well did you know this?
1
Not at all
2
3
4
5
Perfectly
12
Q

Hva er trykk-pneumothorax?

A
  • Hvis et hull i lungen ikke lukker seg, eller det dannes en “enveisventil” inn til pleurahulen gjennom thoraxveggen, så kan det oppstå trykkpneumothorax - trykket i pleurahulen øker for hvert åndedrag
  • På rtg. thorax kan man se dette ved at mediastinum dyttes over mot motsatt side og diafragmakuppelen på samme side dyttes nedover
How well did you know this?
1
Not at all
2
3
4
5
Perfectly
13
Q

Hva er pleuravæske, og hvordan kan man se dette på rtg. thorax?

A
  • Pleuravæske er væske i pleurahulen
    - Hjertesvikt - bilateral (på begge sider)
    - Infeksjon eller kreft - ensidig
  • Pleuravæske samler seg i lungesinus (sinus costodiaphragmaticus) på stående bilde
How well did you know this?
1
Not at all
2
3
4
5
Perfectly
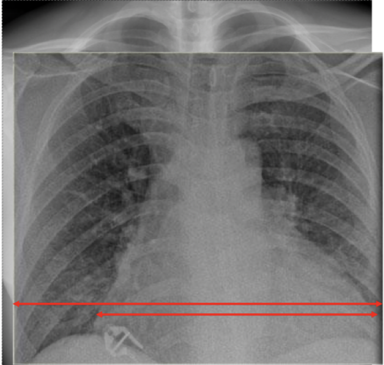
14
Q

Hvordan kan man se om et hjerte er forstørret v.b.a. rtg. thorax?

A

Et hjerte er normalt stort hvis hjertes diameter er < 50% av thorax-diameter

How well did you know this?
1
Not at all
2
3
4
5
Perfectly
15
Q

Hva er hjertesvikt?

A

Hjertesvikt er at hjertet er ikke i stand til å pumpe ut nok blod

Hjertesvikt kan involvere:
- Venstre ventrikkel
- Væske stuves opp i lungekretsløpet
- Dyspné
- Høyre ventrikkel
- Væske stuves opp i systemiske kretsløpet
- Ødem i underekst., forstørret lever og milt

Som regel er både venstre og høyre side av hjertet affisert, men hjertesvikt starter oftest på venstre side.

How well did you know this?
1
Not at all
2
3
4
5
Perfectly
16
Q

Hva er typiske funn på rtg. thorax ved hjertesvikt?

A

Avhengig av alvorlighetsgrad:
- Mild grad
- Dilaterte kar på overlappene som skyldes redistrubisjon og økt trykk i lungekapilærer/vener
- Moderat grad
- Interlobulær væske (Kerley-linjer)
- Pleuravæske i lungesinus og/eller lungespalter
- Forstørret hjerte
- Uttalt grad
- Uskarpt avgrensete fortetninger sentralt ved lungehilii, symmetrisk (flaggermus)

17
Q

På hvilken måte kan man gi en best mulig beskrivelse av rtg. thorax?

A
  1. Tracheadeviasjon?
  2. Lungefortetninger
    - Pneumothorax
  3. Pleuravæske
  4. Mediastinum breddeforøket?
    - Hilusoppfylninger?
    - Normal hjertestørrelse?
    - Frakturer i costa eller thoracalcolumna?
18
Q

Gi en normalbeskrivelse av rtg. thorax

A
  • Normaldeviert trachea
  • Klare, veggstående lunger
  • Frie sinus
  • Upåfallende hjerte, mediastinum og hili
  • Intet å bemerke ved skjelett