Rosacea Flashcards

(25 cards)

1
Q

Clinical features of rosacea include

ETTR (Erythematotelangiectatic) rosacea has what symptoms

A

transient erythema, persistent centrofacial erythema, telangiectasias and flushing

Constant burning/ stinging possibly due to heightened transient receptor potential vanilloid TRPV cation channels (normally triggered by spicy food, heat, alcohol)

How well did you know this?
1
Not at all
2
3
4
5
Perfectly
2
Q

Histopathologic inflammatory changes were noted to be most pronounced near the

A

bulge region of the pilosebaceous follicle

site of stem cells

How well did you know this?
1
Not at all
2
3
4
5
Perfectly
3
Q

Rosacea is seen in higher % of ____ skin types

What does this implicate?

A

type 1 and 2

increases the liklihood of it being related to UVB light exposure

HOWEVER → only ETTR, not papulopustular rosacea

How well did you know this?
1
Not at all
2
3
4
5
Perfectly
4
Q

Proposed pathogenesis of UVB light in rosacea?

A

UVB exposure → angiogenesis via VEGF released from keratinocytes

How well did you know this?
1
Not at all
2
3
4
5
Perfectly
5
Q

What two overlaps which are seen in Eczema do rosacea patients have?

Use of what medication improves these issues in Rosacea

A

Increased transepidermal water loss

Disruption of fatty acid

Minocycline

How well did you know this?
1
Not at all
2
3
4
5
Perfectly
6
Q

Increased numbers of ___ is seen in rosacea patients, where are these located?

A

Demodex mites -→ seen in pilosebcaeous follicles

How well did you know this?
1
Not at all
2
3
4
5
Perfectly
7
Q

Onset of Rosacea is seen when

Men vs. women?

Which type of rosacea is seen here?

A

Middle age

Women are affected at younger age than men

This is ERythematotelangiectatic rosacea (ETTR)

How well did you know this?
1
Not at all
2
3
4
5
Perfectly
8
Q

Which type of Rosacea is seen here>?

A

Papulopustular rosacea

Characterized by centralofacial eruption of multiple, small dome-shaped ,erythematous papules that appear alone or in crops

Some may have central pustule

Individual papules or pustules last about two weeks and are then replaced by blotchy postinflammatory erythema which gradually fades over ~10 days. Residual scarring is not a feature of PPR.

How well did you know this?
1
Not at all
2
3
4
5
Perfectly
9
Q

What type of rosacea is this?

A

Rosacea dermatitis → a halo of erythema may surround larger inflammatory lesions/ tiny telangiectatic vessels

some patients will have some degree of persistent erythema of the cheeks that may represent a combination of postinflammatory erythema, telangiectasias, and vasodilation.

How well did you know this?
1
Not at all
2
3
4
5
Perfectly
10
Q

Which subtype

A

Phymatous rosacea (subtype 3)

sebaceous gland hypertrophy + fibrosis + dilated pores at the end of the nose + telangiectatic vessels at the end

rhinophyma is the most common presentation, primarily seen in men

lots of times you see this with mild-mod PPR

How well did you know this?
1
Not at all
2
3
4
5
Perfectly
11
Q

What subtype

Which other rosacea’s is this commonly seen in?

A

Occular rosacea’

Dryness/ gritty sensation, inability to wear contacts, tearing, crusting of eyelids, frequent Styes, pruritus

Seen in patients with ETTR and PPR more frequently

How well did you know this?
1
Not at all
2
3
4
5
Perfectly
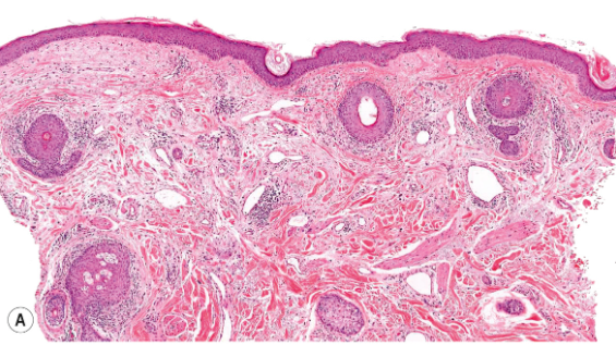
12
Q

Lupus miliaris disseminatus faciei is thought to be a form of _______

talk about the clinical presentation of this condition

A

granulomatous rosacea

  • monomorphic, persistent, skin-colored to dull red-brown papules that are dome shaped, favor central face, 1-3 mm → histologically show non-caseating epithelioid granulomas
How well did you know this?
1
Not at all
2
3
4
5
Perfectly
13
Q

What is this and talk about hwat you see

A

Vascular enlargement

Mild edema

this is Erythematotelangiectatic rosacea

How well did you know this?
1
Not at all
2
3
4
5
Perfectly
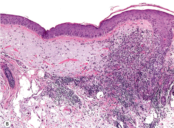
14
Q

What do you see here

A

Papulopustular subtype rosacea

dense dermal infiltrate of lymphocytes, predominantly surrounding hair follicle

How well did you know this?
1
Not at all
2
3
4
5
Perfectly
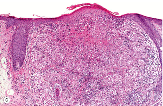
15
Q

What do you see here

A

Nodular granulomatous infiltrate composed of histiocytes, histiocytioc giant cells and admixed lymphocytes in upper interfollicular dermis

How well did you know this?
1
Not at all
2
3
4
5
Perfectly
16
Q

Talk about some of the facial skin care for rosacea patients

A

Lukewarm water/ soap free cleansers (pH balanced)

sunscreen >30 spf (zinc or titanium dioxide containing)

green pigmented facial powders neutralizes erythema

Moisturizers containing humectants

avoid abrasive exfoliants, cleanser applicators

avoid waterproof cosmetics/ heavy foundations

avoid glycolic peels/ dermabrasion

17
Q

Topical treatments for PP rosacea

18
Q

Treatments for ETR rosacea

19
Q

Systemic treatments + specific treatments for Phymatous rosacea and Occular rosacea!

20
Q

The treatment course with antibiotics for rosacea is typically shorter or longer than acne?

A

Shorter ( 4-8 weeks versus 4-6 months)

21
Q

Do topical or systemic antibiotics work for Erythrotelangiectatic rosacea?

A

No, they may irritate the skin’

The problem is the vasodilation of the capillaries and treating the erythema

Think of topical Brimonidine or oxymetazoline

SUNSCREEN → Cosmetic care → lasers

22
Q

Main type of treatment for PPR →

A

Topical/ systemic antibiotics

23
Q

Treatments for this?

A

4-8 week course of oral Abx (Doxy, erythro, tetracyclines), alt. abx include Azithromycin 500 3x/week for 4-8 weeks

If topical corticosteroids are implicated in causing this, discontinue them - though tapering is better than stopping abruptly

24
Q

What is steroid rosacea

A

Facial eruption in which erythema, papules/ pustules and sometimes atrophic changes such as telangiectasia develop from repeated application of mod-high potency topical steroids

reduce strength and frequency of steroids rather than abrupt discontinuation

may also need systemic antibiotics (tetracyclines) for 4-8 weeks

25
What is Morbihan disease?
A rare facial disorder characterized by progressive/ persistent asymptomatic non pitting swelling of the central upper face and **fixed facial erythema** **Histologically indistinguishable from from other forms of rosacea** but with granulomatous features + Lymphedema MAYbe treat with antihistamines and low dose isotretinoin