Rx Torax Flashcards

(24 cards)

1
Q

Como funciona o rx?

A

O raio x atravessa o corpo e de acordo com a densidade é absorvido o desviado, não queimando o filme naquela região ( fica branco ) .

How well did you know this?
1
Not at all
2
3
4
5
Perfectly
2
Q

Escala de radiopacidade?

A

Ar= preto
Óleo/gordura= cinza escuro
Água = cinza claro
Osso= branco (hiperatenuante)

How well did you know this?
1
Not at all
2
3
4
5
Perfectly
3
Q

Quando se faz rx em AP? Quais os planos dessa incidência?

A

Acamados
Problemas: diminui volume pulmonar (<9 costela) , espessa trama bronquica ( simula congestão), diafragma não fica retificado ( derrame pleural ), escapulas aparentes( causa opacidade pulmonar) e aumento da aérea cardíaca e mediastinal

How well did you know this?
1
Not at all
2
3
4
5
Perfectly
4
Q

Quando identificar quando o paciente está rodado no rx?

A

O processo espinhoso das vertebras tem que estar equidistante das clavículas .

How well did you know this?
1
Not at all
2
3
4
5
Perfectly
5
Q

V ou F
Pulmões pouco insuflados simulam opacidade da mesma forma que raios pouco penetrantes , sendo percebidos pela ausência da coluna atrás do coração

A

Verdade

How well did you know this?
1
Not at all
2
3
4
5
Perfectly
6
Q

V ou F
O lado superior direito( ombro) é marcado( D) para sinalizar que se trata do lado direito

A

Verdade

How well did you know this?
1
Not at all
2
3
4
5
Perfectly
7
Q

Quais são os passos para avaliar a qualidade do rx?

A

1) analisar se paciente rodado : processo espinhoso equidistantes das claviculas .
2) analisar se pulmão bem insuflado : mínimo 9 costelas.
3) analisar se rx penetrante : coluna atrás do coração visível.
4) analisar o lado: procurar marcação no lado superior direito.

How well did you know this?
1
Not at all
2
3
4
5
Perfectly
8
Q

V ou F
Sempre deve analisar rx em duas incidências , se possível PA e perfil esquerdo

A

Verdade, pois ganha noção de profundidade

How well did you know this?
1
Not at all
2
3
4
5
Perfectly
9
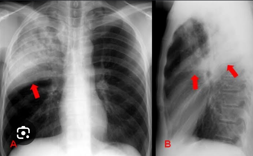
Q

Quais angulos analisar no rx de torax?

A

Costofrenico lateral : encontro da pleura costal com a diafragmatica
Costofrenico posterior: encontri da pleura costal com a diafragmatica na parte posterior vista somente em perfil
Cardiofrenico: encontro da pleura diafragmatica com a mediastinal .

How well did you know this?
1
Not at all
2
3
4
5
Perfectly
10
Q

Como o pulmão direito é dividido?

A

Pela fissura oblíquoa e horizantal , delimitando os lobos superior, médio e inferior.

How well did you know this?
1
Not at all
2
3
4
5
Perfectly
11
Q

Anatomia cardíaca em PA?

A
How well did you know this?
1
Not at all
2
3
4
5
Perfectly
12
Q

Anatomia cardíaca em perfil?

A
How well did you know this?
1
Not at all
2
3
4
5
Perfectly
13
Q

Padrões de aumento de atenuação focal?(branco)

A

Consolidação: preenchimento alveolar não delimitado + volume preservado

Atelectasia: colabamento alveolar + volume diminuído + retração da traqueia e mediastino para lado colabado .

Nódulo/massa: sólido bem
delimitada.

How well did you know this?
1
Not at all
2
3
4
5
Perfectly
14
Q

Como se dá o padrão de consolidação?

A

Broncograma aéreo ( contorno dos brônquios) + radiopacidade mal delimitado + volume preservado

How well did you know this?
1
Not at all
2
3
4
5
Perfectly
15
Q

Como se define o padrão de atelectasia?

A

Radiopacidade homogêneo + diminuição do volume + retração de estruturas adjacente pra perto

How well did you know this?
1
Not at all
2
3
4
5
Perfectly
16
Q

Quais são as alterações difusas de atenuação/opacidade?

A

1) infiltrado alveolar
2) infiltrado intersticial/reticular
3) infiltrado miliar/micronodular

17
Q

O que é infiltrado alveolar difuso?

A

Presença de líquido nos alveolos de modo que acomete todo o parenquima pulmonar.

18
Q

Características radiografia do infiltrado alveolar difuso?

A

Pulmão com consolidações difusas com aspecto de algodão e com broncograma .

19
Q

O que é infiltrado reticular/intersticial difuso?

A

Espessamento do espaço intersticial, seja por congestão pulmonar ou fibrose .

20
Q

Características radiograficas infiltrado reticular difuso?

A

Formação de redes reticulares no pulmão do centro para periferia, devido aos espessamento dos intersticio.

21
Q

O que é infiltrado miliar?

A

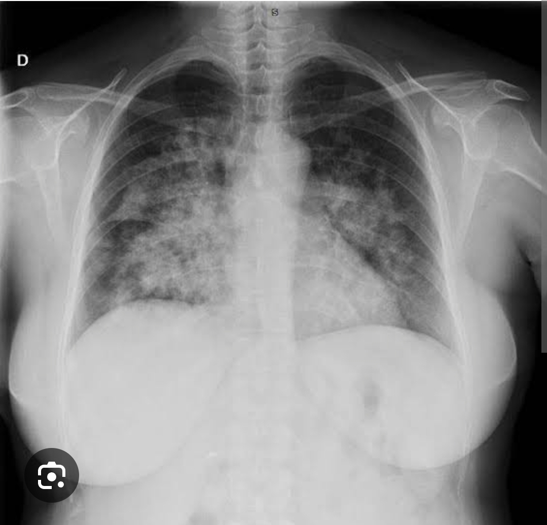
Micronodolos ao longo do parenquima pulmonar.

22
Q

Padrão radiografico do infiltrado miliar?

A

Múltiplos pontos geralmente em base , tendo um aspecto em chiado de TV que suas causas então ligadas a vias hematogenicas ( mais presente na base).

23
Q

O que infiltrado reticuloalveolar?

A

Infiltrado no interstício junto com presença de líquido nos alveolos.

24
Q

O que é infiltrado reticulonodular?

A

Intersticio fibrosado no qual a fibrose se torna tão espessa que forma pequenos nódulos