S. penumoniae (neumococo) Flashcards

(18 cards)

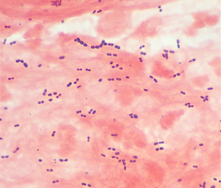
1
Q

Hemólisis del S. pneumoniae (neumococo)

A

alfa hemolítica (por la neumolisina)

How well did you know this?
1
Not at all
2
3
4
5
Perfectly
2
Q

¿Cómo se organiza el S. pneumoniae?

A

diplococos o cadenas cortas (4 bacterias)

How well did you know this?
1
Not at all
2
3
4
5
Perfectly
3
Q

Principal factor de virulencia del S. pneumoniae

A

cápsula de polisacáridos

How well did you know this?
1
Not at all
2
3
4
5
Perfectly
4
Q

¿Dónde coloniza el S. pneumoniae ?

A

nasofaringe y bucofaringe (por más de 6 meses)

How well did you know this?
1
Not at all
2
3
4
5
Perfectly
5
Q

¿Cómo se transmite el S. pneumoniae ?

A

gotas respiratorias

How well did you know this?
1
Not at all
2
3
4
5
Perfectly
6
Q

¿De qué forma causa enfermedad el S. pneumoniae?

A

endógenas (ej. precedida por infección vírica → toma la oportunidad)

How well did you know this?
1
Not at all
2
3
4
5
Perfectly
7
Q

¿A qué le ayuda la cápsula al S. pneumoniae ?

A

inhibir fagocitosis y puede diseminarse por la sangre

How well did you know this?
1
Not at all
2
3
4
5
Perfectly
8
Q

Factores de patogenia del S. pneumoniae (5)

A
  • PAMPS (ácido teicoico y peptidoglucano)
  • neumolisina
  • proteasa de igA
  • adhesinas
  • capsula
How well did you know this?
1
Not at all
2
3
4
5
Perfectly
9
Q

Factor de patogenia que le ayuda a colonizar el S. pneumoniae

A

adhesinas de superficie

How well did you know this?
1
Not at all
2
3
4
5
Perfectly
10
Q

Factor de patogenia que inhibe la unión con el anticuerpo del S. pneumoniae

A

proteasa de igA

How well did you know this?
1
Not at all
2
3
4
5
Perfectly
11
Q

Factor de patogenia del S. pneumoniae que crea poros en las células del hospedero

A

neumolisina

How well did you know this?
1
Not at all
2
3
4
5
Perfectly
12
Q

Factor de patogenia que es un fuerte promotor de quimiotaxis del S. pneumoniae

A

PAMPS

How well did you know this?
1
Not at all
2
3
4
5
Perfectly
13
Q

¿Cómo se clasifican las enfermedades que causa el S. pneumoniae?

A

En todas está la bacteria
a) invasivas (sangre)
b) no invasivas (sobre la mucosa y ahí viven)

How well did you know this?
1
Not at all
2
3
4
5
Perfectly
14
Q

Enfermedades invasivas del S. pneumoniae (2)

A
  • meningitis bacteriana
  • bacteriemia espontánea
How well did you know this?
1
Not at all
2
3
4
5
Perfectly
15
Q

Enfermedades no invasivas del S. pneumoniae (2)

A
  • otitis media y sinusitis
  • neumonía típica/lobar
How well did you know this?
1
Not at all
2
3
4
5
Perfectly
16
Q

S. pneumoniae Es causa número 1 de (4):

A
  • neumonía bacteriana típica
  • otitis media, sinusitis
  • meningitis bacteriana
  • bacteriemias espontáneas
17
Q

Prevención del S. pneumoniae (2)

A
  • vacuna polivalente (polisacáridos capsulares)
  • profilaxis en asplenia
18
Q

¿Por qué es difícil tratar con el S. pneumoniae?

A

Resistencia: modificaciones de su PBP