What is tuberculosis?
Tuberculosis is a bacterial infection caused by Mycobacterium tuberculosis which mainly affects the lungs, but can affect any part of the body (abdomen, glands, bones and nervous system)
Identify 3 common organisms which cause TB
Describe the structure of mycobacterium tuberculosis

How is TB transmitted?
Spread is by respiratory droplets e.g. coughing, sneezing, etc
How easily can TB be transmitted?
In 6 steps, outline the pathogenesis of TB
⇒ Inhaled infectious droplets
⇒ Engulfed by alveolar macrophages but cant kill
→ Th1 or CD+4 activate macrophages to kill MTB (4-6weeks)
⇒ Travels to local lymph nodes
⇒ Primary complex (primary infection – Ghon’s focus)
⇒ Initial containment of the infection (latent infection)
⇒ Either: heals/self cure (95%) OR reactivates to post primary TB
What is a Ghon’s focus?
Ghon’s focus is a calcified tuberculous caseating granuloma which represents the sequelae of primary pulmonary tuberculosis infection
Ghons complex: primary ghons focus and draining lymph nodes together
Distinguish between Latent TB and TB disease in terms of the following:

What is post-primary TB?
What is latent TB?
A latent tuberculosis infection (LTBI) is a condition wherein a patient is infected with Mycobacterium tuberculosis, but the infection is contained by the host’s body and is not active
Identify 5 risk factors for the reactivation of latent TB
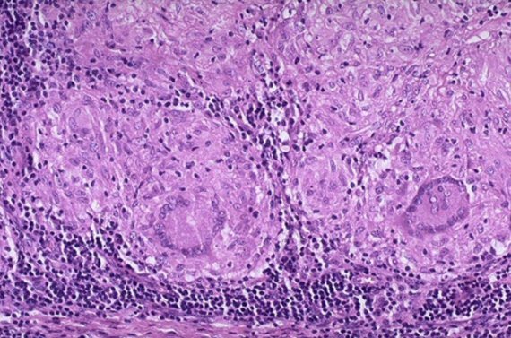
Describe the pathology & histology of tuberculosis
A caseating granuloma appears in the lung parenchyma and mediastinal lymph nodes
very prominent feature of TB
a granuloma is rich in immune cells: macrophages, dendrites, neutrophils

Identify the sites of pulmonary, extrapulmonary and miliary TB respectively
Most cases of TB are pulmonary and miliary TB is rare.
When is extra-pulmonary TB most commonly seen?
Outline the clinical approach for a patient with suspected TB
Identify 5 groups of people in whom one should suspect TB
Identify 5 key parts of the history of a patient with suspected TB
Identify 5 symptoms of TB
Identify 5 signs of TB
those infected have 10% risk of developing active disease of which 5% develop primary TB at time of infection and another 5% develop post primary
Identify 4 investigations one can request for when treating a patient with suspected TB
Why is the apex of the lung often affected by TB?
The apex of the lung is the most oxygenated region of the lung and Mycobacterium tuberculosis is an aerobe
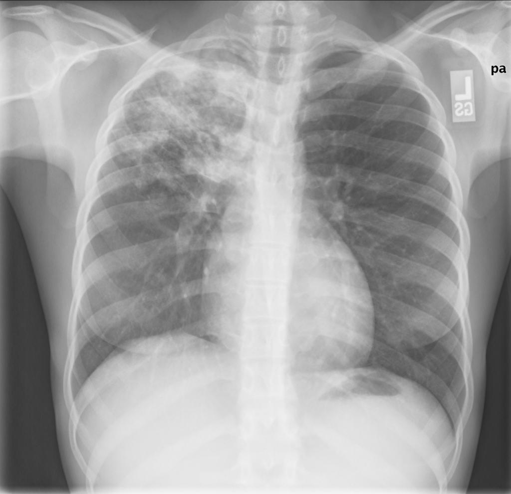
Describe the radiological appearances of TB

Identify 5 laboratory tests used for TB
What is the tuberculin sensitivity test?
TST/ Mantoux test is a diagnostic test for TB wherein tuberculin is injected into the patient intradermally to observe a skin reaction if one has been exposed to TB
