Saliva Flashcards

(34 cards)

1
Q

Parotid

A

Preauricular
Serous
Cont. 20-40% saliva

How well did you know this?
1
Not at all
2
3
4
5
Perfectly
2
Q

Submandibular

A

Submandibular location
Mucous and serious
60-70% saliva

How well did you know this?
1
Not at all
2
3
4
5
Perfectly
3
Q

Sublingual

A

FOM, under tongue
Mucous secretion
10% saliva

How well did you know this?
1
Not at all
2
3
4
5
Perfectly
4
Q

Minor salivary glands

A

Everywhere but mainly lips, palate, cheeks, tongue
800+ total
Mucus except one exception
Exception - serous glands of von Ebner
5-10% saliva

How well did you know this?
1
Not at all
2
3
4
5
Perfectly
5
Q

Stafnes bone cavity

A

Non-neoplastic developmental anomaly
Unilocular, corticated well-defined radiolucency at angle of mandible under ID canal
Thought to be pathological cystic lesion
Now know is normal salivary tissue pushing on mandible making dent - appearing as lucency on rad

How well did you know this?
1
Not at all
2
3
4
5
Perfectly
6
Q

Sialedenitis

A

Acute - bacterial (acute, recurrent - adults/kid), viral

Chronic - bacterial, post-irradiation, Sjogren’s

How well did you know this?
1
Not at all
2
3
4
5
Perfectly
7
Q

Acute parotitis

A

Ascending infection
oral bacteria - S. aureus
Acute swelling, pain
Pus exudes from ducts
Usually 2^ to dry mouth - radiotherapy, Sjogrens, drug-induced

How well did you know this?
1
Not at all
2
3
4
5
Perfectly
8
Q

Recurrent parotitis - adults

A

40-60
F > M
Unilateral
Recurrent ascending infections
Secondary to xerostomia
Xerostomia due to: irradiation, drug-induced, Sjogren’s

How well did you know this?
1
Not at all
2
3
4
5
Perfectly
9
Q

Recurrent parotisis of childhood

A

4m - 15 years
M = F
No obvious cause
Bilateral parotid swellings
Sudden onset
Periods of quiescence
Days - weeks duration
NOT suppuration but may be other signs of infection - pain, fever, redness
Sialography shows punctate sialectasis - ‘snowstorm’ appearance
Gradual destruction of acinar elements - reduced salivary flow
Non specific histology but shows dilation of salivary ducts with fibrosis replacing salivary tissue
Lots of lymphocytes extending into epithelium and around ducts

How well did you know this?
1
Not at all
2
3
4
5
Perfectly
10
Q

Acute viral sialedenitis: mumps
Complications

A

Epidemic parotitis
Mumps virus - paramyxovirus
Rare - <1000 cases/year
Mainly in children
Very painful, malaise, fever
Acute bilateral parotid swelling
Incubation period - 2-3 weeks. Droplet or direct spread
Self limiting - 10-14 days
May spread to other glands/organs

Complications:
Orchitis - 30%
Meningitis - 10%
Oophoritis - 5%
Pancreatitis - 5%
Cranial nerve palsies
VIII nerve deafness

How well did you know this?
1
Not at all
2
3
4
5
Perfectly
11
Q

Chronic sailodenitis is usually….

A

…..secondary to duct obstruction due to calculi

How well did you know this?
1
Not at all
2
3
4
5
Perfectly
12
Q

Salivary caliculi

A

Accumulation of calcium and phosphate salts which deposit in salivary ducts or gland
Usually unilateral
M>F
Submandibular - 80% due to: saliva being pushed upwards against gravity in mouth and tortious course of gland
Parotid 20%, minor glands 1-15%
Calculus - concentric circles of calcium salts deposited around cellular debris and mucous
When obs by calculus occurs, get saliva retention and inflammation of gland = swelling and fibrosis, then continued fibrosis and loss of function

How well did you know this?
1
Not at all
2
3
4
5
Perfectly
13
Q

Radiation sialodenitis

A

Doses >20Gy
High risk of permanent damage >30Gy
Severe damage >50Gy
Serous acini most sensitive
Inflammation and fibrosis of glands
Loss of function
Important consideration in cancer pt’s

How well did you know this?
1
Not at all
2
3
4
5
Perfectly
14
Q

Eg’s of obstruction and trauma

A
Salivary caliculi
Mucous cysts (mucoceles)
Necrotising sialometaplasia
How well did you know this?
1
Not at all
2
3
4
5
Perfectly
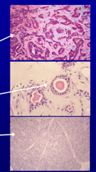
15
Q

Mucous extravasation cyst

A

85% mucoceles
Younger age - 20-30
Lower lip commonest site - 50%
Rupture of ducts, saliva spills out into surrounding CT - forming cyst like area lined by granulation and fibrous tissue

Histology:
Lumen filled with mucous
Macrophages filled with mucous
Lining of inflamed, compressed granulation tissue

How well did you know this?
1
Not at all
2
3
4
5
Perfectly
16
Q

Mucous retention cyst

A

15% mucoceles
Older age range - 40-60
Buccal mucosa, FoM
Due to blocked duct but with NO rupture
Blockage of duct leads to dilation and expansion of duct epithelium

Histology:
Mucous in lumen
Lining of ductal epithelium
Cyst wall of fibrous tissue with glands

17
Q

Ranula

A

Floor of mouth
Usually extravasation cysts
Mainly sublingual
Usually children
Painless swellings
Rupture and recur
2-3cm

18
Q

Necrotising sialometaplasia

A

Presents as indurated, ulcerated swelling
Usually on palate
Often biopsied as malignant
But is acc benign inflammatory disease
Heals spontaneously after 4-8 weeks

Histology:
Squamous metaplasia of salivary ducts - islands of squamous epithelium deep in CT’s BUT
Also see necrosis of acini with ‘ghosts’ of normal structures

19
Q

Classification of salivary gland tumours WHO 2017

A

Benign

  • Pleomorphic adenoma
  • Warthin tumour
  • Cystadenoma
  • Basal cell adenoma
  • Canalicular adenoma

Malignant

  • Mucoepidermoid carcinoma
  • Acinic cell carcinoma
  • Polymorphous adenocarcinoma
  • Adenoid cystic carcinoma
  • Carcinoma ex pleomorphic adenoma
20
Q

Pleomorphic adenoma

A

Most common salivary gland tumour

Parotid most common, then palate

Age 30-60

M=F

Benign

May recur

21
Q

Pleomorphic adenoma histology

A

Mixed (pleomorphic) pattern

Islands and strands of epithelium

Encapsulated

Usually lobulated

Myxoid, mucoid or chondroid stroma

Duct like structures

Typical appearance: duct like structured w/inner and outer layer. Pink secretions inside

Occasionally, tumours are solid - made up of lots of cells with no stroma

Myoepithelial cells surrounding duct-like structures - fried egg appearance

22
Q

Warthin tumour + histology

A

10% of benign salivary gland tumours

Always in parotid gland

Male:female 60:40

Associated with smokers

Sometimes bilateral or multifocal

Completely benign

Histology: irregular cysts, lined by oncocytic duct epithelium, stroma composed of lymphoid tissue

23
Q

Mucoepidermoid carcinoma + histology

A

Most common malignant salivary tumour

Parotid most common site

Also palate, cheek, retromolar

Seen occasionally in children

15% metastasise

Histology:

Mixture of mucous and epidermoid cells (squamous cells)

Lesions usually multicystic

High grade lesions may be solid with few mucous cells

Occasional lesions have many clear cells

24
Q

Adenoid cyStic carcinoma + histology

A

Second most common salivary malignancy

Infiltrative tumour - no capsule

Parotid most common

Cheeks, palate, Sinuses

Highly malignant

75% pt’s die within 20 years

Metastasis via blood stream and nerve invasion

Histology:

Non-encapsulated

Characteristic multicystic/cribriform pattern - ‘Swiss-cheese’

Infiltrates widely - through bone, blood vessels, along nerves

25
Polymorphous adenocarcinoma
Only intra-orally Palate 70%, lips, cheek 30% 3rd most common I/o malignancy \>50 years Variable histological pattern - lobules, ductal structures, cribriform areas, papillary cystic pattern, single cell filing Perineural infiltration typically Infiltrative growth Bland, monotonous cytology Often **misdiagnosed** on incisional biopsies as **pleomorphic adenoma** or **adenoid cystic carcinoma -** need great care with small palatal biopsies Survival \>90% at 5 years Metastases 10-15% Similar to mucoepidermoid Unpreditable - lesions with papillary cystic pattern and cytological atypia may have worse prognosis
26
Acinic cell carcinoma
5% salivary malignancies mostly parotid 10% recurrence, 15% metastasise Variable histological appearance - solid, microcystic, papillary cystic, follicular Lymphoid tissue and germinal centres common
27
Carcinoma ex pleomorphic adenoma
10% pleomorphic adenomas may become malignant Usually long standing or recurring lesions Elderly - 60+ History of **long term slow growing lesions** with **recent increase in size**
28
Sjogren's and clinical features
Sjogren's - autoimmune disorder characterised by lymphocyte mediated destruction of the exocrine glands resulting in dry eyes and dry mouth Primary - dry eyes and mouth Secondary - dry eyes and mouth +/- CT disease e.g. RA, SLE Clinical features: 90% female Middle age Oral symptoms - dry mucosa, lobulated tongue, candidosis, caries Dry eyes - keratoconjunctivitis Parotid swelling in 20%
29
Pathology of Sjogren's + histology
Lymphatic infiltrates in salivary glands In minor glands - lymphocytic sialedenitis In major glands - lymphoepithelial lesion in 3-5% cases, these lesions may progress to lymphoma HISTOLOGY: Gland replaced by lymphocytes Acini disappear, but ducts proliferate to form epithelial islands Epithelial island infiltrated by lymphocytes - ‘lymphoepithelial lesion'
30
Imaging - dry mouth
Ultrasound if suspect Sjogrens. Can be followed by sialography if necessary Sjogren's is the only cause of dry mouth that can be identified on imaging - disease process destroys the gland parenchyma, producing a typical pattern of changes on imaging Blobs and dots of xray contrast within gland US - normal parotid tissue replaced with black spaces = inflammation
31
Imaging - obstructive sialedenitis
Calculi most common in submandibular, strictures more common in parotid. Obstruction of sublingual rare Imaging - plain film rads then sialography. For submandibular obstruction - lower true occlusal (90degrees) and posterior oblique film + possibly sectional OP For parotid obstruction, AP extra oral film plus small dental film inside cheek useful Sialography - injecting iodinated contrast along submandibular or parotid ducts. The iodine in the contrast makes it densely radiopaque, stones less dense to appear radiolucent
32
Txt of submandibular caliculi
If visible in anterior ⅓rd of duct - surgical excision under LA - intra-orally If small, mobile and anterior to mylohyoid bend - basket removal If beyond mylohyoid bend, or too large for basket, surgical excision - extra orally
33
Basket removal + complications
Intra-ductal technique done under LA Helical wire basket placed (closed) into duct opening. Advanced past calculus then opened. Calculus snared into helical basket and advanced to duct opening Small incision - papillotomy to release calculus. No sutures as would cause stenosis Complications: Pain and swelling expected post-procedure Failure to retrieve stone Basket stuck in duct - stone may be adhered to duct wall, needs to be mobile on sialogram Persisting symptoms even after removal
34
Treatment of parotid obstruction
**Strictures:** balloon dilation if in the extra-glandular duct (most common). Articaine and iodinated dye passed down parotid to identify stricture site and give topical anaesthesia. Submucosal buccal lidocaine also injected along course of duct Dilation of parotid papilla using lacrimal probe. Angioplasty 2-3mm balloon inserted (uninflated) and advanced to stricture site with x-ray guidance. Balloon inflated - 15psi 90 secs, may need 2-3x inflations In some cases, stricture may be too tight to pass balloon, even when fine wire guide used. Despite LA, inflating balloon is uncomfortable. Some will not dilate, even after several inflations ⅓rd dilated parotid strictures will restenose within 2 years and need repeating **Stones:** if visible at duct opening - simple surgical excision If in the extra-glandular duct, anterior to posterior border of ramus and small and mobile - basket retrieval as per submand If in gland parenchyma or too large, lithotripsy (sound waves to break up) or superficial parotidectomy