Sam's Quizes Flashcards

(99 cards)

1
Q

whats the green muscle

what innervates it

A

buccinator

facial- buccal branch

How well did you know this?
1
Not at all
2
3
4
5
Perfectly
2
Q

whats the green muscle

whats its actions

A

zygomaticus major

smile- pulls corner of lips up

How well did you know this?
1
Not at all
2
3
4
5
Perfectly
3
Q

whats the orange muscle

what innervates it

A

platysma

facial- cervical branch

How well did you know this?
1
Not at all
2
3
4
5
Perfectly
4
Q

whats the green muscle

what does it do

A

obicularis oris

purse lips

How well did you know this?
1
Not at all
2
3
4
5
Perfectly
5
Q

what nerve are the green nerves a branch from

A

facial

How well did you know this?
1
Not at all
2
3
4
5
Perfectly
6
Q

name the 5 branches of the facial

A

temporal
zygomatic
buccal
marginal/mandibular
cervical

How well did you know this?
1
Not at all
2
3
4
5
Perfectly
7
Q

what actions does the ant and post parts of the temporalis do

A

ant= elevate mandible

post = retract mandible

How well did you know this?
1
Not at all
2
3
4
5
Perfectly
8
Q

what muscles attaches to the red bit

A

temporalis and masseter

How well did you know this?
1
Not at all
2
3
4
5
Perfectly
9
Q

name the green and orange muscles

and their innervation

A

green = masseter
V3

orange = buccinator
facial

How well did you know this?
1
Not at all
2
3
4
5
Perfectly
10
Q

what are the 3 muscles

what innerevates them

A

pharyngeal constrictors

vagus

How well did you know this?
1
Not at all
2
3
4
5
Perfectly
11
Q

whats the muscle with the blue dot

what innervates it

A

mylohyoid

inf alveolar

How well did you know this?
1
Not at all
2
3
4
5
Perfectly
12
Q

whats the blue and green muscles

what innervates them

A

blue = ant digastric- inf alveolar
green = post digastric- facial

How well did you know this?
1
Not at all
2
3
4
5
Perfectly
13
Q

actions of suprahyoids x2

A

depress mandible

lift hyoid

How well did you know this?
1
Not at all
2
3
4
5
Perfectly
14
Q

whats the blue muscle

what innrvates it

A

thyrohyoid

hypoglossal via C1

How well did you know this?
1
Not at all
2
3
4
5
Perfectly
15
Q

whats the blue muscle

what innervates it

A

omohyoid

C1-3 via ansa cervialis

How well did you know this?
1
Not at all
2
3
4
5
Perfectly
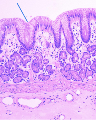
16
Q

wheres this from

what epithelium changes

A

gastrooesophageal junction

stratified squamous to simple collumnar

How well did you know this?
1
Not at all
2
3
4
5
Perfectly
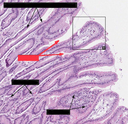
17
Q

whats the red lable

where are gastric pits/ crypts of leiberkuhn found

A

gastric pits

gastric pits- stomach

crypts- SI

How well did you know this?
1
Not at all
2
3
4
5
Perfectly
18
Q

what cells are found in the top of this

A

mucous- white

How well did you know this?
1
Not at all
2
3
4
5
Perfectly
19
Q

wheres this from

how can you tell?

A

duodenum

brunners glands in sub mucosa

How well did you know this?
1
Not at all
2
3
4
5
Perfectly
20
Q

whats only found in ileum

A

payers patches

How well did you know this?
1
Not at all
2
3
4
5
Perfectly
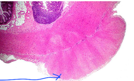
21
Q

wheres this from

whats the arrow pointing to

A

large intestine

tenia coli

How well did you know this?
1
Not at all
2
3
4
5
Perfectly
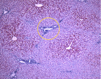
22
Q

whats found in the yellow circle

A

hepatic vein
bile duct
hepatic artery

How well did you know this?
1
Not at all
2
3
4
5
Perfectly
23
Q

what organ is this from

whats i the black circle

A

pancreas

islet of langerhauns

How well did you know this?
1
Not at all
2
3
4
5
Perfectly
24
Q

what section of the mediastinum is oesophagus in

A

posterior

How well did you know this?
1
Not at all
2
3
4
5
Perfectly
25
what is pyloris made of
muscularis ecterna
26
what is the yellow vessel a branch of what is it
splenic L gastro epiploic
27
whats this from
ileum lots of fat
28
name the orange purple and green bits
orange = omental appendiges purple = haustra green = tenia coli
29
whats the tenia coli made from
longitudinal muscle
30
what type of muscle is the external sphincter made of
striated
31
whats the blue line
pectinate/dentate line
32
lobe next to IVC lobe next to gallbladder
cuadate quadrate
33
what does the bare area sit under
diaphragm
34
what can block pain from pancrease
coeliac plexus block
35
what causes enlargement of spleen what can this result in
portal hypertension low platelets
36
what's happened here
S I obstruction
37
what part of the pancreas can be damaged in spleen removal
tail
38
whats the red line called whats it made from
aicuate LINE post border of rectus sheath
39
whats the green arteires where do they come from
inf epigastric artery ext iliac arteru
40
whats the green vein where does it drain to
sup epigastric vein internal thoracic
41
what causes caput medusa
portal hypertension
42
whats the green thing what does it attatch to
inguinal ligament ant- sup iliac spine ASIS to pubic terbacle
43
whats the inguinal ligament made of
apeneurosis of EO
44
whats the green bit made from a weakness in it can cause _____
transversalis fascia INdirect inguinal hernia
45
what is the green bit a landmark for
sup inguinal ring
46
Name 2 structures that pass through the shown area in the female
round ligament illiolinguinal nerve
47
what does the muscle do to the femer
flexion of hip
48
The highlighted area has dual blood supply - name the arteries and the vertebral level they branch from.
celiac- T12 SMA- L1
49
name for hepatic branch of celiac artery
common hepatic
50
The green highlighted area is drained by which group of lymph nodes?
pre aortic- sup mesenteric
51
whats the green nerve vertebral level
lat cutaneous L2/3
52
whats the green nerve vertebral level
obturator L2/3/4
53
what does the epiploic foramen do
connects greater and lesser sacs
54
whats the round ligament a remnant of
L umbilical vein
55
what foramen is X what passes throgh it
mandibular inf alveolar
56
whats X
cricoid cartilage
57
whats X whats its innervation
sternohyoid C1-C3 ant rami
58
function of quadratus lumborum x2
lat flexion of trunk forced expiration
59
How is X peritonised? Name this areas blood supply
retro sup mesenteric
60
what innervates the lacrimal gland
facial nerve
61
whats X
palatine bone
62
whats X
internal oblique
63
whats X what passes through it
foramen rotundum V2
64
name X
vomer
65
whats X what innervates it
trapezius accesory nerve
66
whats X
arytenoid cartilage
67
What structure opens into X?
eustachian tube
68
whats X what passes through it
mental foramen mental nerve
69
whats vessel X
sup epigastric artery
70
what covers the pituitary glabd
diaphragm sellae
71
whats X what attatches to it
crista gelli falx cerebri
72
whats X Which vessels join together to form X?
hepatic portal vein splenic and sup mesentaric veins
73
whats X what innervates it
mylohyoid inf alveolar
74
what attaches to X
lat pterygoid
75
Which vessels leave the liver and join to X?
hepatic veins X = IVC
76
whats the green muscle what innervates it
transverus abdominus T7-T11 thoracoabdominal nerves
77
Name the red labelled line. This marks the ending of what?
arcuate line rectus sheath
78
whats the green vessel what level does it start
inf mesenteric L3
79
whats X what level does it start
genitofemoral L1,2
80
whats X
tenia coli
81
Which two vessels join to form X?
splenic sup mesenteric
82
name X
sphenoid
83
name X
maxillary sinus
84
name X what innervates it
stapedius facial nerve
85
whats the green muscle Which major vessel of the neck crosses over the top of the green highlighted muscle?
sternoclydomastoid EJV
86
whats this from what innervates it with parasympathetic
parotid gland glossopharyngeal
87
X is a branch of which artery?
ECA
88
whats X what level does it begin at
oesophagus C6
89
Name the red highlighted area. What type of joint does this form with the temporal bone?
condylar process synovial condyloid and hinge
90
The labelled valve can be auscultated at what point on the precordium?
aortic- right sternal edhe
91
name ligament X
ligamentum flavum
92
Name the red arrowed structure
L primary brunchus
93
Name vessel X and its vertebral level origin
ICA C4
94
Structure X is part of which group of cerebral nuclei?
basal ganglia- lentiform nucleas
95
Name structure X
hypothalmus
96
whats X what does it connect
cerebral aquaduct 3rd and 4th ventrical
97
Which cranial nerves pass through X?
IX X XI jugular foramen
98
Name dural fold X
falc cerEBELLI
99
name X be specific
post horn of lateral ventrical