SANS 1 Flashcards

(150 cards)

1
Q

A peri callosal aneurysm would be found at which location on the lateral projection angiogram shown?

C
E
A
D
B

A

B

How well did you know this?
1
Not at all
2
3
4
5
Perfectly
2
Q

A patient is found to have a new hemiparesis after resection of a GBM. How does this finding impact his overall survival?
A. Unchanged survival if the deficit is permanent
B. Worsens survival if the deficit is temporary
C. Improves survival if the deficit is temporary
D. Worsens survival if the deficit is permanent
E. Improves survival if the deficit is permanent

A

D

How well did you know this?
1
Not at all
2
3
4
5
Perfectly
3
Q

A 65-year-old male presents with resting tremor, rigidity, postural instability, and bradykinesia. Which of the following symptoms is most likely to also be present?
* Dry mouth
* Hypertension
* Diarrhea
* Hyposmia
* Diabetes

A

D

How well did you know this?
1
Not at all
2
3
4
5
Perfectly
4
Q

Which of the following is most likely to DECREASE during the physiologic compensation for acute anemia?

  • Cardiac index
  • Oxygen consumption
  • Stroke volume
  • Oxygen extraction
  • Systemic vascular resistance
A

E

How well did you know this?
1
Not at all
2
3
4
5
Perfectly
5
Q

A 38 year-old woman underwent subtotal resection of a WHO Grade 2 astrocytoma. What is the most appropriate management of this patient?

  • Radiation
  • Observation
  • Chemotherapy
  • Radiation and chemotherapy
  • Radiation and immunotherapy
A

D

How well did you know this?
1
Not at all
2
3
4
5
Perfectly
6
Q

A 55 year-old man presents with worsening short-term memory and confusion. On examination he appears depressed, has difficulty with fine motor skills such as finger tapping, and shows saccadic eye movements. His father died at age 60 after a prolonged illness with worsening rigidity and dementia. His MRI shows loss of striatal volume, with somewhat boxy lateral ventricles. He most likely has early symptoms of which disorder?

  • Batten Disease (Neuronal Ceroid Lipofuscinosis)
  • Spinocerebellar Ataxia
  • Mitochondrial encephalomyopathy
  • Parkinson Disease
  • Huntington Disease
A

E

How well did you know this?
1
Not at all
2
3
4
5
Perfectly
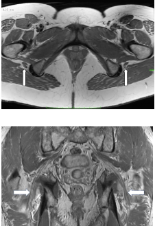
7
Q

A 50-year-old female patient presents with pelvic and leg pain. What are the paired structures indicated by the white arrows in the axial (Figure 1) and coronal (Figure 2) pelvic MRI?

  • Obturator nerves
  • Piriformis muscles
  • Sciatic nerves
  • Sacrospinous ligaments
  • Pudendal nerves
A

C

How well did you know this?
1
Not at all
2
3
4
5
Perfectly
8
Q

A newborn presents with seizures. MRI of the brain shows Probst bundles running superomedial to the lateral ventricles. This is indicative of what pathological process?

  • Focal cortical dysplasia
  • Metabolic disorder
  • Agenesis of the corpus callosum
  • Holoprosencephaly
  • Kallman’s syndrome
A

C

How well did you know this?
1
Not at all
2
3
4
5
Perfectly
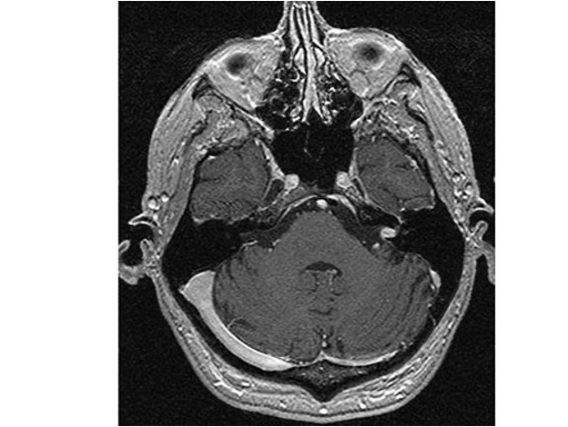
9
Q

An 84-year-old male has an MRI that reveals an enhancing lesion involving the left internal acoustic canal (see figure). On exam, he has diminished hearing in his left ear. What is the most appropriate next step in the management of this patient?

  • Stereotactic radiosurgery in 3-5 fractions
  • Surgical removal via a translabyrinthine approach
  • Surgical removal via a restrosigmoid approach
  • Stereotactic radiosurgery in a single session
  • Reassurance and follow-up MRI in 6 months
A

E

How well did you know this?
1
Not at all
2
3
4
5
Perfectly
10
Q

An ABG with PCO2 25 mmHg, pH 7.55, HCO3- 24 mEq/L is most consistent with which diagnosis?

  • Respiratory alkalosis with metabolic compensation
  • Metabolic alkalosis with respiratory compensation
  • Metabolic alkalosis
  • Respiratory alkalosis
A

D

How well did you know this?
1
Not at all
2
3
4
5
Perfectly
11
Q

Neurophysiological monitoring during translabrynthine resection of a vestibular schwannoma with minimal extension into the cerebellopontine angle includes which of the following?

  • SSEP and IX, X, XI nerves
  • BAER and VII nerve
  • BAER and IX, X, XI nerves
  • BAER and SSEP
  • SSEP and VII nerve
A

E

How well did you know this?
1
Not at all
2
3
4
5
Perfectly
12
Q

A 35 year-old man was found down for an unknown period of time after a generalized seizure. In the emergency department, he complains of pain in his thighs, shoulders, and calves. On exam, he is GCS 14 with confusion, and his imaging shows a small left frontal subarachnoid hemorrhage. Rhabdomyolysis is suspected. What finding is most consistent with this diagnosis?

  • Myoglobinuria
  • Normal serum creatinine
  • Hematuria
  • Normal CPK level
  • Hypokalemia
A

A

How well did you know this?
1
Not at all
2
3
4
5
Perfectly
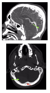
13
Q

A 21 year-old-man sustained blunt force trauma to his head, had brief loss-of-consciousness and was GCS 15 at initial evaluation, complaining of headaches, nausea and visual disturbance. CT is shown in figures. What is the best management of this patient?

  • Evacuation of hematoma with placement of burr holes
  • Place ICP monitor and observe in the ICU
  • Manage conservatively in the ICU with a f/u CT in 6 hrs.
  • Take to the OR emergently for a combined Supra- and infratentorial approach
  • Cerebral angiogram and embolization of sinus
A

D

How well did you know this?
1
Not at all
2
3
4
5
Perfectly
14
Q

When resecting a brain lesion near the corticospinal tract, what modality is best suited to minimize the risk of motor impairment?

  • Direct cortical stimulation motor evoked potential monitoring
  • Somatosensory evoked potential monitoring
  • Quantitative subcortical motor mapping
  • Phase-reversal mapping
  • Nerve conduction study
A

C

How well did you know this?
1
Not at all
2
3
4
5
Perfectly
15
Q

A 54 year-old male had a good result from left-sided thalamotomy for essential tremor 10 years ago. He now wishes to have his other side treated. What is the MOST appropriate surgical procedure for his contralateral side?

  • Pallidal DBS
  • Subthalamic DBS
  • Thalamotomy
  • Pallidotomy
  • Thalamic DBS
A

E

How well did you know this?
1
Not at all
2
3
4
5
Perfectly
16
Q

A patient undergoes a stereotactic biopsy of a grade IV astrocytoma. When considering the discussion of the findings and prognosis, patients indicate that the most important factors for effective communication include:

  • Giving only best possible scenario to give the patient hope.
  • Careful scientific explanation of the histology, while withholding a grave prognosis.
  • Demonstration of physician’s compassion, honesty, attention to questions and use of clear language.
  • Using empathetic communication such as “It could be worse”, “I understand how you feel” or “Nothing more can be done”
  • Physician’s familiarity with the patient and the use of touch (e.g. holding the patient’s hand).
A

C

How well did you know this?
1
Not at all
2
3
4
5
Perfectly
17
Q

In addition to the negative effects on cerebral blood flow, hyperventilation should be avoided in the management of severe closed head injury for which of the following reasons?

  • Right shift of hemoglobin-oxygen dissociation curve and potential CO2 removal impairment
  • Left shift of the hemoglobin-oxygen dissociation curve and potential CO2 removal impairment
  • Right shift of hemoglobin-oxygen dissociation curve and potential oxygen delivery impairment
  • Increased pH and potential for increased oxygen delivery
  • Left shift of the hemoglobin-oxygen dissociation curve and potential oxygen delivery impairment
A

E

How well did you know this?
1
Not at all
2
3
4
5
Perfectly
18
Q

You are examining your patient with suspected carpal tunnel syndrome and you ask that they aggressively flex their affected wrist. This maneuver reproduces their carpal tunnel symptoms. What is this response called?

  • Phalen sign
  • Lhermitte sign
  • Wartenberg sign
  • Froment sign
  • Tinel sign
A

A

How well did you know this?
1
Not at all
2
3
4
5
Perfectly
19
Q

Apakah cannabinoid yang paling sesuai untuk mengobati nyeri?

  • Tetrahydrocannabinol (THC)
  • Cannabicyclol (CBL)
  • Cannabidiol (CBD)
  • Anandamide (AEA)
  • Cannabinol (CBN)
A

C

How well did you know this?
1
Not at all
2
3
4
5
Perfectly
20
Q

Seorang pria berusia 25 tahun datang dengan kelemahan (flail), anestesi lengan setalah setelah kecelakaan industri dengan cedera tertutup pada pleksus brakialis. Setelah 6 bulan, gerakan bahu, siku, dan pergelangan tangan telah pulih, tetapi tangannya tetap tidak bisa bergerak. Pemeriksaan menunjukkan adanya ptosis dan miosis ipsilateral pada lengan yang cedera. Pemeriksaan elektrodiagnostik menunjukkan potensial aksi saraf sensorik normal dari saraf ulnaris. Di mana cedera yang paling mungkin?

  • Cedera postganglionic C7
  • Cedera preganglionic T1
  • Cedera postganglionic C8
  • Cedera preganglionic C7
  • Cedera postganglionic T1
A

B

How well did you know this?
1
Not at all
2
3
4
5
Perfectly
21
Q

The Food and Drug Administration (FDA) has issued limits on the per dose and daily dose recommended for acetaminophen to prevent what complication?

  • Kidney toxicity
  • Aplastic anemia
  • Steven-Johnson syndrome
  • Liver toxicity
  • Myositis
A

D

How well did you know this?
1
Not at all
2
3
4
5
Perfectly
22
Q

A diabetic patient with known peripheral vascular disease undergoes an anterior cervical discectomy at C4-5. The operative course is unremarkable; however, in the recovery room the patient is noted to have decreased sensation in the 4th and 5th digits of the left hand and decreased grip. What is the MOST likely diagnosis?

  • Residual muscle relaxation
  • Brachial plexus stretch injury
  • Positioning nerve injury
  • Surgical trauma
  • Embolic stroke
A

C

How well did you know this?
1
Not at all
2
3
4
5
Perfectly
23
Q

Anda melakukan eksplorasi plejksus brakialis supraklavikula untuk mengangkan schwannoma upper trunk. Post operasi, pasien mengalami dispneu saat aktifitas. Tanda vital normal. Saat aktifitas mengalami sesak tanpa takikardia. Kekuatan penuh dan sensasi penuh pada upper trunk. Apa tes diagnostik awal yang paling sesuai untuk mengevaluasi penyebab dari keluhan tersebut?

  • Lower extremity DVT ultrasound
  • Chest X-ray
  • Brachial plexus MRI
  • Thoracic outlet MRV
  • EMG / NCS
A

B

How well did you know this?
1
Not at all
2
3
4
5
Perfectly
24
Q

Pasien 30 tahun menjalani lobektomi temporal anterior karena epilepsi sekuder akibat sklerosis temporal mesial. Pasca operasi, pasien mengalami diplopia yang membaik selama 4 bulan ke depan. Pasien memiringkan kepala ke kanan dan chin tuck untuk memperbaiki gejala. Kerusakan pada struktur apa yang menyebabkan komplikasi tersebut?

  • Trochlear nerve
  • Quadrigeminal plate
  • Meyer’s loop
  • Oculomotor nerve
  • Posterior communicating artery
A

A

How well did you know this?
1
Not at all
2
3
4
5
Perfectly
25
Of the following, which symptom, associated with advanced Parkinson disease and/or its long-term medical treatment, is most reliably controlled by the therapeutic lesion depicted in the magnetic resonance image shown in Figure 1? * Rigidity * Ataxia * Tremor * Akinesia * Levodopa-induced dyskines
E
26
A 54-year-old man presents with acute onset of right neck pain radiating to his jaw. He denies any other symptoms. His clinical findings are demonstrated on the photograph below. Which of the following would be the most appropriate imaging study to order? * CT angiogram of the head * MRI of the brain and orbits * CT scan of the chest * CT angiogram of the neck * MRI of the cervical spine
D
27
A patient with a baclofen pump presents with a temperature of 104 degrees F and hyperreflexia. What is the next appropriate treatment? * Intravenous dantrolene * Intrathecal baclofen administration * Cooling blanket * Broad spectrum antibiotics * Intravenous acetaminophen
B
28
A 76 year-old undergoes a craniotomy for evacuation of a subdural hematoma. Three days later, the patient is noted to have increased confusion and a heart rate of 102 bpm. His blood pressure is 83/52, and his respiratory rate is 31 breaths per minute. The nurse measures a temperature of 38.5 degrees C. He has coarse breath sounds and his urine output was 15cc/hr over the prior 6 hours. His symptoms do not respond to a saline bolus. What is the most appropriate next step? * Obtain EKG and send cardiac enzymes * Send the patient for a STAT repeat head CT * Send blood cultures and start broad spectrum antibiotics * Obtain a CT chest to rule out pulmonary embolus * Administer a diuretic
C
29
A 76 year-old undergoes a craniotomy for evacuation of a subdural hematoma. Three days later, the patient is noted to have increased confusion and a heart rate of 102 bpm. His blood pressure is 83/52, and his respiratory rate is 31 breaths per minute. The nurse measures a temperature of 38.5 degrees C. He has coarse breath sounds and his urine output was 15cc/hr over the prior 6 hours. His symptoms do not respond to a saline bolus. What is the most appropriate next step?
Bilateral parietal foramina
30
Berikut ini langkah tepat AVM mikrosurgery:
31
Berikut ini langkah tepat AVM mikrosurgery:
* Ligation of the draining vein(s) – nidus resection – coagluaiton of feeding arteries * Nidus resection - ligation of the draining vein(s) – coagluaiton of feeding arteries * Coagulation of feeding arteries – nidus resection – ligation of the draining vein(s) * ** Coagulation of feeding arteries – ligation of the draining vein(s) – nidus resection** * Ligation of the draining vein(s) - coagulation of feeding artery - nidus resection
32
After a motorcycle accident, a patient’s examination reveals eyes that open to stimulation, incomprehensible vocalization, and withdrawal to painful stimulus. Head CT scan demonstrates several punctate contusions and a 2mm right-sided subdural hematoma. After intubation, what is the next most appropriate step?
* Repeat head CT within 1 hr. * Administration of mannitol * Hyperventilation **Place the ICP monitor** * Craniotomy for subdural
33
What factor has had the single largest effect on the incidence of myelomeningocele in the United States over the past 30 years?
* Antenatal diagnosis followed by termination * Decreased numbers of children being born * Changes in population demographics * **Folate supplementation** * Decreased use of seizure medication during pregnancy
34
A 38 year old male experiences severe acute right arm pain and then develops severe deltoid weakness and mild biceps and triceps weakness. After 6 weeks, he seeks consultation. Axial MRI imaging at C4-5 and C5-6 are shown. What is the next most appropriate step in management?
* **EMG/NCS** * Cervical traction * Epidural steroid injection * ACDF C4-5 and C5-6 * CT myelogram
35
You are treating a patient with chronic, medically-refractory low back pain. You decide to proceed with a trial of spinal cord stimulation. What would be the most appropriate spinal level for electrode placement to achieve the best stimulation coverage of the patient's painful area?
* T11 * **T9** * L5 * C1 * L2
36
What radiotherapy modality for intracranial meningioma is associated with the lowest risk of symptomatic radiation injury?
* ** Fractionated radiation therapy** * Proton Beam Radiotherapy * Gamma knife radiosurgery * Hypofractionated stereotactic radiotherapy * Linear accelerator radiosurgery
37
You are considering performing a multilevel lumbar spinal fusion in a patient taking buprenorphine for opiate addiction. Which clinical effect of buprenorphine will most likely complicate the management of this patient?
* Buprenorphine can cause severe respiratory depression. * **Buprenorphine can block the analgesic effects of opioids.** * Buprenorphine can impair rates of bone fusion. * Buprenorphine can block the effects of inhalational anesthetics. * Buprenorphine can cause seizures.
38
After a fall, a 20 year old skateboarder is asymptomatic but is found to have a non-displaced fracture involving the petrous portion of the left temporal bone. What is the most appropriate management of this fracture?
* Prophylactic antibiotics. * Steroid therapy. * **Conservative management.** * Surgical repair. * Lumbar drainage.
39
You are performing surgery on a patient with a suspected nerve entrapment, and discover that the nerve is severely narrowed (>50%) along the point of entrapment. What is the most appropriate treatment for this condition?
* **Internal neurolysis** * Nerve transposition * Neuroplasty * Neurorrhaphy * Nerve transfer
40
The current model of basal ganglia physiology suggests that the 'negative symptoms' of Parkinson disease (i.e., rigidity and bradykinesia) are attributable to which of the following physiological events
* Excessive glutamatergic input from the disinhibited subthalamic nucleus results in GPi hyperactivity. * Inhibitory input to the globus pallidus pars internus (GPi) via the direct pathway from the striatum is decreased. * The hyperactive GPi hyperinhibits the ventrolateral (VL) nucleus of the thalamus. * **all of the above** * Glutamatergic input from the VL thalamus to the supplementary motor area is decreased.
41
What is the most common major complication of stereoelectroencephalography (SEEG)?
* Electrode migration * Infection * Status epilepticus * **Intracranial hematoma**
42
On this lateral projection angiogram, the indicated artery supplies the:
* Pre-central gyrus * Scalp * **Dura** * Cingulate gyrus * Superior parietal lobule
43
What visual field deficit is most common after right anterior temporal lobectomy for epilepsy?
* Left inferior quadrantanopsia * Scotoma * Left homonymous hemianopsia * **Left superior quadrantanopsia** * Bitemporal hemianopsia
44
A 24-year-old woman presents with right arm weakness and the accompanying T1-weighted, contrast-enhanced MRI. Stereotactic needle biopsy demonstrates Rosenthal fibers on histopathological analysis. Which of the following treatment paradigms is associated with long-term disease control?
* Complete microsurgical resection followed by adjuvant radiotherapy * **Complete microsurgical resection alone** * Radiotherapy combined with high-dose corticosteroids * Radiotherapy combined with IV methotrexate * Radiotherapy alone
45
A 65 year-old woman presents with progressively worsening gait instability over 4 weeks. She has 4/5 strength in bilateral iliopsoas, 3+ patellar tendon reflexes, and difficulty with tandem gait. MRI of the thoracic spine is depicted (Figure 1). Selective spinal angiography of the right T11 intercostal artery is shown in the early (Figure 2A) and delayed (Figure 2B) phases. What is the goal of surgery?
* Gross total resection of the nidus * Decompression of the spinal cord via expansile duraplasty * **Divide the arteriovenous connection at the nerve root sleeve** * Coagulate the abnormal dilated pial veins * Sacrifice the feeding vessel to the anterior spinal artery
46
A patient presents with bilateral nondisplaced fractures through the C2 pars interarticularis (Hangman's fracture). Flexion-extension dynamic cervical radiographs show 2 mm motion and no significant deformity. What is the most appropriate treatment modality?
* **External immobilization** * Posterior C1-C3 fixation * Anterior odontoid screw fixation * C1-2 transarticular screw fixation * Anterior C2-3 discectomy and fusion
47
During an examination you ask your patient to squeeze their thumbs and fingers together tightly. During this maneuver you note an abnormality in the left hand seen in the figure. Weakness in which muscle is responsible for this finding??
* Flexor digitorum profundus * Flexor pollicis longus * **Adductor pollicis** * Dorsal interosseous * Abductor pollicis brevis
48
A 19-year-old woman presents with intermittent episodes involving a motionless stare, lip smacking, dystonic posturing of the left arm, and unresponsiveness. What type of seizure is this patient experiencing?
* Aura * Secondarily generalized * Complex partial * **Simple partial** * Atonic
49
What is the most likely diagnosis demonstrated by the findings in the MRI images shown (see figures)?
* Chordoma * Pilocytic astrocytoma * Multiple sclerosis * Basilar invagination * **Chiari 1 malformation with syrinx**
50
According to AHA guidelines for early ischemic stroke management, IV tPA should be administered within what time frame after the onset of symptoms?
* 2.5 hours * 3.5 hours * **4.5 hours** * 1.5 hours * 5.5 hours
51
A 19-year-old man has suffered from complex-partial seizures since the age of 13. He has failed a trial of two anti-epileptic medications. His brain MRI reveals no focal abnormalities. What is the most appropriate next step in management?
* Addition of a third anti-epileptic medication * Initiation of ketogenic diet * **Evaluation by surgical epilepsy team for possible resective options** * Implantation of a vagus nerve stimulator * Addition of cannabidiol (CBD oil), a cannabis derivative
52
47-year-old man with history of tympanomastoidectomy for cholesteatoma presents to an otolaryngologist for headaches and fullness in the ear. A temporal bone CT scan was performed which demonstrates a large tegmen defect and soft tissue signal in the mastoid cavity. The otolaryngologist is concerned about a cholesteatoma recurrence and cannot rule out presence of an encephalocele. What would be the most appropriate imaging modality to distinguish the two entities?
* FDG-PET scan * CT cisternogram * **Diffusion-weighted MRI** * MR spectroscopy * Thin cut temporal bone CT
53
A 7-year-old girl presents with slowly worsening urinary incontinence (after previously being continent) and severe back pain radiating to the bottom of her feet. An MRI is shown. What is the most likely diagnosis?
* **Lipomyelomeningocele** * Diastamatomyelia * Fatty filum terminale * Meningocele * Myelomeningocele
54
A 6-month-old infant presents with enlarging head circumference, full anterior fontanelle, splitting of the cranial sutures and developmental delay. The results of a neurological examination are otherwise normal. Computed tomographic scans are obtained (Figures 1 and 2). What is the most likely diagnosis?
* **Dandy-Walker malformation** * Aqueductal stenosis * Retrocerebellar arachnoid cyst * Chiari III malformation
55
Which factor has been strongly associated with increased hemorrhage rate after radiosurgery of an arteriovenous malformation (AVM)?
* Margin dose * **Number of prior hemorrhages** * Target volume * Number of feeding arteries to the AVM * Superficial AVM location
56
A 42 year old woman suffers a gunshot injury to the abdomen. A CT scan shows intraperitoneal free air as well as a bullet lodged within the L3 vertebral body with minimal retropulsion of the posterior wall. She is neurologically intact. What is the most appropriate next step in management?
* L3 laminectomy, removal of all loose bone fragments, and antibiotic washout. * **Administration of tetanus prophylaxis**. * Gunshot wound cultures. * Administration of prophylactic antifungal coverage. * Exploratory laparotomy to repair intraperitoneal injury with L3 corpectomy and fusion.
57
What is the first priority in the overall assessment of a trauma patient with an acute cervical spine fracture?
* Spinal stability * Ongoing hemorrhage * **Airway integrity** * Neurological deficit * Blood pressure
58
A 41 year-old woman undergoes gross total resection for the lesion shown (Figure). Pathology confirms a grade 2 oligodendroglioma. What is the recommended course of treatment?
* Serial MRI * Clinical observation * **Chemotherapy and radiation** * Chemotherapy * Radiation
59
What is the approximate mortality rate of stereotactic brainstem biopsy for suspected brainstem malignancy?
* 20% * **1%** * 10% * 5% * 15%
60
In the Hassler terminology, the ventrolateral thalamus is subdivided into three regions, including which of the following:
* **Ventral oralis posterior (VOP), ventral intermediate (VIM), and ventral caudalis (VC)** * Ventral oralis anterior (VOA), ventral oralis posterior (VOP), and ventral intermediate (VIM) * Ventraloralis anterior (VOA), ventral intermiate (VIM), and ventral caudalis (VC) * Ventral lateral (VL), ventral intermediate (VIM), and ventral posterior lateral (VPL) * Ventral oralis anterior (VOA), ventral oralis posterior (VOP), and ventral caudalis (VC)
61
The trigeminal cistern is an important structure in percutaneous trigeminal procedures. Where is the trigeminal cistern located in relation to the gasserian ganglion?
* Inferolateral * Inferomedial * Superolateral * **Posterior** * Anterior
62
You have been treating a patient with low back pain with opiates for many years. His doses have been gradually increasing. Spinal imaging has shown no significant changes. More recently he reports that his pain has become progressively more severe, and increasing doses of opiates are associated with increased pain. What is this phenomenon called?
* Opioid addiction * Malingering * **Opioid-induced hyperalgesia** * Opioid dependence * Conversion disorder
63
A 15 year-old boy complains of neck pain and intermittent pain about his lumbar myelomeningocele scar. A recent shunt series shows no disconnection and a head CT shows small dysmorphic ventricles. On exam, the patients is neurologically stable with chronic weakness of ankle dorsiflexion. What is the most likely source of the patient's symptoms?
* Ventriculoperitoneal shunt infection. * Tethered spinal cord. * **Ventricloperitoneal shunt malfunction**. * Chiari II malformation. * Aseptic Meningitis.
64
In childhood epilepsy syndromes, patients with Lennox-Gastaut syndrome MOST often have the following EEG findings:
* **Multifocal slow spike and wave activity** * Bilateral hypsarrhthmia * Diffuse EEG slowing * Triphasic spike and wave activity * Normal or discontinuous EEG activity
65
A 46-year-old IV drug abuser presents with a 2 week history of fever and progressive low back pain. He is neurologically intact. MRI reveals increased T2 signal in the L3-4 disc space with endplate destruction without an appreciable fluid collection. There is no evidence of instability or segmental kyphosis. Blood cultures are negative. What is the most appropriate next step in management?
* Posterior instrumentation and fusion without laminectomy * Anterior discectomy and interbody fusion * **Needle biopsy of disc space** * Laminectomy for surgical debridement * Empiric antibiotics
66
What is the main arterial supply of the motor tracts of the spinal cord from T8 to the conus medullaris?
* Median sacral artery * Medial spinal artery * Posterior spinal artery * **Artery of Adamkiewicz** * Lateral spinal artery
67
A 30 year old woman presents with right arm weakness that has progressed over a period of two months. MRI shows an enlarging mass associated within the median nerve (see figure). Biopsy demonstrates diffuse spindle-shaped cells with palisading hyperchromatic nuclei, frequent mitotic figures, necrosis, and loss of S-100 immunoreactivity. What is the best next step in management of this lesion?
* Fractionated radiation therapy * **En bloc excision with negative margins** * Observation with surveillance imaging * Nerve-sparing excision * Limb amputation
68
You are performing a supraclavicular brachial plexus exploration. Which of the following incisions would be most appropriate?
* Figure 1 * Figure 2 * Figure 4 * Figure 5 * **Figure 3**
69
A 15-year-old girl with a history of epilepsy and learning disability presents with vomiting and somnolence. MRI shows obstructive hydrocephalus with a 3 cm calcified, contrast-enhancing intraventricular mass near the foramen of Monro, as well as several small subependymal nodules. Which cutaneous findings are most likely to be observed on physical examination?
* Port-wine stain (nevus flammeus) * Café-au-lait spots * Melanoblastosis cutis linearis (pigmented dermatitis) * **Adenoma sebaceum** * Axillary freckles
70
You are seeing a new patient with a spinal infusion pump in the Emergency Room. They report having had a pump refill at an outside institution earlier that day. No medical records are available for this patient. They are complaining of severe pain, diarrhea, nausea, and a sensation of skin crawling. On examination they show agitation, tachycardia, and vomiting. What clinical syndrome do you suspect?
* Bupivicaine overdose * **Opioid withdrawal** * Ziconotide withdrawal * Clonidine withdrawal * Baclofen overdose
71
Which MRI sequence is used to non-invasively assess the structural connectivity of the brain?
* FIESTA * T2 * DWI * FLAIR * **DTI**
72
A 45 year old man presents with horizontal diplopia consistent with a left abducens nerve palsy. Which of the following findings would BEST localize the lesion to the cavernous sinus?
* Contralateral hemianopia. * **Ipsilateral Horner's syndrome**. * Contralateral hemiparesis. * Ipsilateral optic neuropathy. * Papilledema.
73
Which inclusion-based feature is classic for Parkinson’s disease?
* Tau-positive inclusions * Neurofibrillary tangles * **Lewy bodies** * Ballooned neurons * Ubiquitin-positive inclusions
74
A 40 year old patient presents with headache and aneurysmal subarachnoid hemorrhage. On physical exam she was awake, alert and nonfocal with the exception of a right third nerve palsy and evidence of nuchal rigidity. What is the Hunt and Hess grade for this patient?
* **2** * 4 * 5 * 3 * 1
75
A 42 year old male is undergoing L5-S1 anterior lumbar interbody fusion for spondylolisthesis. What anatomic structure overlying the disc space is potentially at risk during exposure for discectomy?
* vena cava * genitofemoral nerve * iliolumbar vein * distal aorta * **hypogastic plexus**
76
What is the maximal total dose of IV rtPA that can be administered for acute ischemic stroke?
* 0.8 mg/kg * **0.9 mg/kg** * 0.7 mg/kg * 1 mg/kg * 1.1 mg/kg
77
A 35-year-old female underwent microscopic transsephenoidal resection of a non-functioning pituitary macroadenoma. Postoperative MRI demonstrates residual tumor in the right cavernous sinus lateral to the internal carotid artery. She has no neurological deficits. What is the most appropriate next step?
* Craniotomy for resection of residual tumor * Endoscopic transsphenoidal resection * **Expectant management** * Medical treatment with cabergoline * Stereotactic radiosurgery of residual nodule
78
Which finding on clinical exam can distinguish a third cranial neuropathy that is caused by an aneurysm from that caused by diabetic neuropathy?
* miosis * double vision * ptosis * **pupillary dilation** * pain
79
A 60 year old man presents with 10 weeks of back pain. ESR and CRP are elevated and WBC is normal. Blood cultures show no growth. The patient has normal strength and sensation and no bowel or bladder incontinence. The MRI reveals osteomyelitis and discitis of L3/4 without epidural abscess or canal compromise. What is the best next step in the management of this patient?
* Surgical Debridement * **Disc space biopsy** * Lumbar Brace * Lumbar Puncture * Empiric antibiotics
80
Which of the following muscles is innervated by the median nerve?
* Flexor digitorum profundus IV * Supinator * Lumbrical IV * Adductor pollicis * **Flexor carpi radialis**
81
Telomerase reverse transcriptase (TERT) promoter mutations leading to elevated TERT expression are most closely associated with what genetic alterations in gliomas?
* **1p19q co-deletion** * MGMT promoter methylation * P53 overexpression * Loss of ATRX expression * EGFRvIII expression
82
When performing deep brain stimulation surgery, what is the most likely clinical consequence of transgressing the ventricle?
* Hemiparesis * Profound delirium * Coma * **No effect** * Intraventricular hemorrhage
83
What is the vascular malformation demonstrated in this figure?
* Cavernous malformation * Capillary telangiectasis * **Venous angioma** * Arteriovenous malformation * Arteriovenous fistula
84
What is one of the best ways to ascertain that ulnar nerve compression is distal (at the wrist) and not proximal (at the elbow)?
* **Test ulnar sensation on the dorsal surface of the hand.** * Test the strength of the abductor digiti minimi muscle. * Test the strength of the adductor pollicis muscle. * Test ulnar sensation on the 4th and 5th digits. * Test the strength of the first dorsal interosseous muscle.
85
A 30-year-old male cyclist presents wtih complete C5 quadriplegia after a motor vehicle collision. Work up reveals right wrist fracture and C5 fracture involving the left transverse foramen associated with a large spinal cord contusion. CT angiography of the neck is negative for vascular injury. Two hours after presentation, the patient becomes confused, bradycardic, and hypotensive. Which of the following is the most likely explanation for these findings?
* Occult dissection of the vertebral artery with associated brain stem infarction. * **Disruption of spinal sympathetic outflow due to spinal cord injury.** * Fat embolism from the patient’s bony injuries. * Pulmonary contusion resulting respiratory failure. * Delayed hemothorax due to thoracic trauma. *
86
A 58 year-old man with history of lung adenocarcinoma presents with headaches. MRI of the brain shows 3 supratentorial lesions, the largest of which is shown (Figure). The patient undergoes stereotactic radiosurgery to each of the three lesions. Based on randomized controlled trials, how is the addition of whole brain radiation therapy likely to affect overall survival?
* **It is likely not to affect overall survival** * It is likely to shorten overall survival. * It is likely to lengthen overall survival. * There is insufficient evidence regarding overall survival. * There is conflicting evidence regarding overall survival. *
87
A 36 year old woman with a known history of epilepsy treated with phenytoin presents in convulsive status epilepticus. After administration of lorazepam and supplementation with IV phenytoin, convulsions cease. Two hours later she remains unresponsive despite a normal head CT and normal serum electrolyte levels and blood counts. What is the most appropriate next diagnostic test?
* **Electroencephalogram** * Angiogram * MRI of the brain, including diffusion imaging * Lumbar puncture * Repeat serum sodium
88
A 40 year old obese patient with a history of diabetes mellitus presents unresponsive to the ER and is subsequently intubated and admitted to the ICU. The patient's basic metabolic panel reveals a glucose level of 500. The ABG reveals a PCO2 40 mmHg, pH 7.25, and HCO3- 18 mEq/L. With which condition is this ABG most consistent?
* Metabolic acidosis with respiratory compensation * Respiratory acidosis with metabolic compensation * Respiratory acidosis * **Metabolic acidosis**
89
The McGill Pain Questionnaire Short Form (MPQ-SF) is a standardized pain assessment tool used for both clinical assessment and research. Which pain scoring system is a component of this assessment tool?
* Wong-Baker FACES Pain Scale * Numerical Rating Scale (NRS) * **Visual Analog Scale (VAS)** * Verbal Descriptor Scale (VDS) * Color Scale for Pain
90
Patients with subcortical band heterotopia are characterized by:
* **X-linked migrational disorder** * Subependymal giant cell astrocytomas. * Infantile spasms. * Male predominance.
91
A 58 year-old right handed male presents with bifrontal headaches and a partial left ophthalmoplegia. MRI results are shown. Biopsy revealed this tumor to be a chordoma. An extensive subtotal skull-based resection was performed. Which is the best choice for adjuvant therapy regimen?
* Conventional fractionated radiotherapy * Stereotactic radiosurgery * Brachytherapy * **Proton beam radiotherapy** * Procarbazine, CCNU and vincristine (PCV) chemotherapy
92
A 50-year-old woman presents with a one-year history of progressive low back pain and constipation. Magnetic resonance imaging demonstrates a large sacral mass (figure). She is neurologically intact. What is the most important next step to determine further management?
* **CT-guided biopsy of the mass** * Proctoscopic examination to assess the consistency of lesion * MRI with contrast of the pelvis * MRI of the skull-base * Formal urodynamics studies
93
A 25-year old female presents with new onset weakness and vision difficulties which worsen as the day progresses. Nerve conduction and EMG testing shows improvement after the administration of edrophonium. What is the diagnosis?
* Dermatomyositis * Guillain-Barre syndrome * Lambert-Eaton syndrome * **Myasthenia gravis** * Polymyositis
94
An 8 year old boy was evaluated due to short stature and headaches. Sagittal MRI with contrast below is most consistent with which diagnosis?
* Medulloblastoma * Germinoma * **Craniopharyngioma** * Pituitary macroadenoma * Arachnoid cyst
95
A 61-year-old man undergoes resection of a 3.5 cm glioblastoma with 99% extent of resection. He is neurologically intact and has a post-operative Karnofsky Performance Status of 80. What is the most appropriate selection for post-operative adjuvant radiation therapy in this patient?
* Stereotactic radiosurgery to the tumor bed at 12Gy * **External-beam radiation to the tumor bed at 60Gy** * Whole-brain radiation at 30Gy * No adjuvant radiation is indicated * Stereotactic radiosurgery to the tumor bed at 30Gy
96
During deep brain stimulator implantation targeting the subthalamic nucleus, macrostimulation testing reveals good tremor control with low voltage stimulation but also parasthesias that resolve rapidly and contralateral facial pulling and wrist flexion at low voltages. Similar findings are noted with stimulation at all contacts. What is the most appropriate next step?
* Secure the electrode in the current position due to an adequate therapeutic window. * Implantation should be aborted due to narrow therapeutic window. * The lead should be moved anteriorly due to the observation of transient parasthesias. * **The lead should be moved medially away from the internal capsule**. * The lead should be moved laterally away from the red nucleus.
97
A 12 year-old with Down syndrome has abnormal flexion-extension cervical spine x-rays. The child has no significant neurologic complaints or neck pain. On exam, the child has full range of motion and no tenderness to palpation. The flexion-extension x-rays show a 7-8 mm atlantodental interval in flexion which reduces to 4 mm in extension. What is the most appropriate next step?
* C1-2 wiring with halo placement and autologous fusion * Occipital cervical fusion with sublaminar wires * **Observation with repeat flexion-extension in the future** * C1-2 transarticular screw placement and autologous fusion * Observation with no repeat imaging necessary
98
What combination of findings is most consistent with the diagnosis of central diabetes insipidus?
* Urine output of 40 cc/hr, urine specific gravity of 1.002 and serum sodium of 135. * Urine output of 100 cc/hr, urine specific gravity of 1.030 and serum sodium of 135. * Urine output of 40 cc/hr, urine specific gravity of 1.010, and serum sodium of 145. * Urine output of 300 cc/hr, urine specific gravity of 1.030 and serum sodium of 145. * **Urine output of 300 cc/hr, urine specific gravity of 1.002, and serum sodium of 145.**
99
An ultrasound of a 29-year-old pregnant woman reveals a lumbar myelomeningocele in the fetus. What is the primary difference in outcome for fetal myelomeningocele repair as opposed to post-natal repair?
* The chance of maternal pregnancy complications is not affected * The risk of symptomatic hindbrain herniation increases * The likelihood of premature birth is not affected * **The rate of shunt placement for hydrocephalus decreases** * The odds of walking without devices or braces decreases
100
During atlantoaxial rotatory subluxation with left axial hyper-rotation, several ligaments of the upper cervical spine can be torn. In rotatory subluxation, which ligament is most likely to retain its integrity?
* Contralateral C1-C2 facet capsular ligament * **Transverse ligament** * Alar ligament * Ipsilateral C1-C2 facet capsular ligament * Accessory ligament
101
A 60 year old man presents with 3 months of worsening diffuse severe unremitting left upper extremity pain, parasthesias, and hand weakness. Exam shows 4/5 weakness of hand muscles including abductor pollicus brevis and all intrinsics, scattered sensory loss on the ulnar side of the forearm, normal deep tendon reflexes and no evidence of myelopathy. MRI of the cervical spine shows mild degenerative changes throughout the neck. What imaging study would assist in the diagnosis?
* Thermogram * Scoliosis survey * **Chest CT** * Cervical spine flexion-extension x-rays * Bone scan
102
What is the most important factor in determining whether a patient with a history of seizures is allowed to drive?
* History of seizure surgery * Seizure-free off medications * Number of anti-epileptics * Discretion of the treating physician * **Seizure-free interval**
103
A 63 year old woman with Parkinson disease undergoes unilateral deep brain stimulator (DBS) electrode implantation. 3 months later, she returns to the office with redness, pain, swelling and purulence from the cranial incision. Culture grows methicillin-sensitive S. aureus. What is the most appropriate management?
* Removal of the implantable pulse generator (IPG) only * Removal of the implantable pulse generator (IPG) and extension with antibiotics * **Removal of the entire hardware system with antibiotics** * Removal of the intracranial lead only * Antibiotics only
104
Which anatomic feature best predicts risk of intracranial hemorrhage related to dural arteriovenous fistulae (DAVF):
* number of arterial feeders * size of the fistula * **presence of cortical venous drainage** * number of draining veins * presence of sinus drainage
105
Failure to account for which radiographic measurement is associated with delayed treatment failure after surgical treatment of positive sagittal imbalance?
* Lumbar coronal Cobb angle * Central Sacral Vertical Line * **Pelvic Incidence** * Thoracic Kyphosis * Sacral Slope
106
During clipping of an anterior communicating artery aneurysm, an artery arising at the junction of the A1 and A2 segments was inadvertently occluded. This resulted in expressive aphasia and mild hemiparesis. The artery was most likely the:
* Anterior choroidal artery * Frontopolar artery * Right A2 * **Recurrent artery of Heubner** * Orbitofrontal artery
107
During lateral osteophyte removal in an anterior decompressive discectomy, you encounter brisk bleeding in the region of the nerve root. What is the best next step?
* Order blood for transfusion * Explore the vertebral artery * Abort the procedure * **Apply gelfoam and pressure** * Call interventional radiology
108
Hemangioblastomas are tumors characterized by prominent capillary vasculature. What syndrome predisposes an individual to this tumor?
* Neurofibromatosis type II * **Von Hippel-Lindau** * Neurofibromatosis type I * Tuberous sclerosis * Sturge-Weber
109
What is the FDA Human Device Exemption (HDE) approved target for deep brain stimulation for medically refractory obsessive compulsive disorder?
* Anterior cingulate gyrus * Medial forebrain bundle * Subgenual cingulate gyrus * **Ventral capsule/ventral striatum** * Subthalamic nucleus
110
In patients who receive medical therapy alone for asymptomatic carotid stenosis of 60-99%, what is the 5-year risk of stroke or death?
* 5% * 23% * 17% * **11%** * 29%
111
Based on the Guidelines for the Acute Management of Severe Traumatic Brain Injury, in patients with severe head injury, what should the cerebral perfusion pressure (CPP, mmHg) should be maintained between?
* 10-30 * **50-70** * 70-90 * 90-110 * 30-50
112
A 47 year-old woman underwent a C5-6 ACDF via a left sided approach. Postoperatively, she has a weak, drooping eyelid and a constricted pupil. What technique reduces risk of this complication?
* Deflate and re-inflate the endotracheal balloon after retractor placement * Perform surgical approach from the patient’s right side * Minimize distraction of the vertebral bodies * **Place retractors under the medial edge of the longus colli muscles during periosteal dissection** * Minimize excessive traction on the shoulders when positioning
113
A patient presents with a classic type II odontoid fracture. A magnetic resonance image and flexion-extension dynamic radiographs of the cervical spine are consistent with disruption of the transverse ligament. The MOST appropriate treatment is
* Hard cervical collar * ** Posterior C1-C2 fixation** * Occipital-cervical fusion * Halo immobilization * Anterior odontoid screw fixation
114
A 10 year-old girl presents with signs of accelerated pubertal stage, convergence-retraction nystagmus, and impaired upward gaze. Which of the following lesions would most likely be the cause of the findings described?
* **Pineal region tumor** * Multiple sclerosis * Acqueductal stenosis * Pontine glioma * Medulloblastoma
115
What is the most appropriate maintenance rate for IV fluid in a 2 week old child weighing less than 10 kg?
* 2 ml/kg/hr * 10 ml/kg/hr * **4 ml/kg/hr** * 1 ml/kg/hr * 20 ml/kg/hr
116
The ventral cervical plate pictured below spans three vertebral levels, and reveals a pseudoarthrosis. It consists of two screws at each end that are rigidly affixed to the plate. Which of following biomechanical properties best describe the type of fixation pictured in the radiograph that lead to the pseudoarthrosis?
* Constrained dynamic. * Semi-constrained cantilever beam. * **Constrained cantilever beam.** * Semi-constrained four-point bending. * Constrained three-point bending.
117
A Central American patient presents with new onset seizures. CT shows hydrocephalus, and multiple calcified lesions. MRI demonstrates rim-enhancing cysts throughout the brain. What is the most likely etiology?
* Toxoplasma gondii * Schistosoma mansoni * Plasmodium falciparum * Entamoeba histolytica * **Taenia solium**
118
In the case of an intracanalicular vestibular schwannoma, what is the advantage of the middle cranial fossa approach over the retrosigmoid approach?
* **Early identification of the distal facial nerve.** * Decreased risk of postoperative seizure * Improved preservation of vestibular nerve function. * Decreased risk of injuring the greater superficial petrosal nerve. * Decreased risk of CSF leak.
119
A 44 year old man with a history of blunt head trauma 4 days earlier presents with a progressively swollen and red right eye, headache, and double vision. What is the most likely cause?
* **Direct, high flow lesion between ICA and cavernous sinus** * Indirect, low flow lesion between meningeal ICA branches and cavernous sinus * Vertebral artery dissection * Cervical internal carotid dissection * Indirect, low flow lesion between both ICA and ECA meningeal branches and the cavernous sinus
120
A 56-year-old man with a 5-cm right temporal glioma presents with a generalized tonic-clonic seizure, which was not broken after two doses of intravenous benzodiazepine administration. What is the most appropriate acute management of this patient’s seizures?
* Oral levetiracetam * Oral oxcarbazepine * **Intravenous fosphenytoin** * Immediate surgical resection without anti-epileptic drug administration * Intravenous phenobarbita
121
A 47 year-old diabetic woman presents with pain across her buttocks and bilateral lower extremities with ambulation, improved by leaning forward. She reports transient response to epidural injections and no response to NSAIDs and neuropathic pain medication. She has no neurologic deficit. Imaging is shown (figures). What intervention is most likely to best reduce her disability over 4 years?
* Bilateral L4-5 hemilaminotomies with preservation of midline structures * L4-5 dynamic interspinous spacer placement * **L4-5 decompression and fusion** * L4-5 laminectomy * Long term corticosteroids
122
You are seeing an adult patient who underwent left groin cannulation three weeks ago for cerebral angiography. They developed weakness and numbness of the left leg immediately afterwards. On your examination, they have weakness of left hip flexion and knee extension, and anteromedial leg numbness going down to the ankle. Electrodiagnostic studies reveal absent motor and sensory potentials in the femoral nerve, and EMG sampling of the lumbar paraspinal muscles is normal. Where is the most likely site of injury?
* L4 nerve root * **Femoral nerve, abdominal level** * Femoral nerve, inguinal ligament level * Femoral nerve, thigh level * Saphenous nerve
123
A hypertensive 50 year-old man is found to have a blood pressure of 230/110 mmHg with a heart rate of 50 bpm. Physical exam reveals a fixed and dilated right pupil, and CT scan shows a large right subdural hematoma with midline shift. What is the most likely cause of the hypertension?
* **Peripheral vasoconstriction and catecholamine release** * Exacerbation of baseline hypertension due to pain * Failure to comply with antihypertensive regimen * Decreased blood flow to the medulla * Shunting of blood flow from the myocardium to the brain
124
A 55 year old man presents with a headache and tenderness to palpation of his right temporal artery. Which is the most likely vasculitic cause of his headache?
* **Giant cell arteritis** * Churg-Strauss syndrome * Behçet disease * Wegener’s granulomatosis * Polyarteritis nodosa
125
A 17-year old man presents with severe traumatic brain injury with a Glasgow Coma Scale score of 7 and reactive pupils. A head CT indicates a thin subdural hematoma on the right side with 6 mm shift of the midline structures with visible but tight ambient cisterns. Despite sedation, intubation, hypertonic saline and external ventricular drainage, his ICPs remain elevated. What is the next best step in the management of this patient?
* Hypothermia * Mannitol infusion * Insert brain tissue oxygen monitoring device * Pentobarbital coma * **Decompressive hemicraniectomy**
126
What is the most common first line of therapy for vein of Galen malformation causing heart failure in children?
* Medical management * **Endovascular treatment** * Microsurgical treatment * Radiosurgery * Observation
127
Which form of systemic cancer therapy is associated with an increased risk of radiation necrosis after stereotactic radiosurgery for cerebral metastases?
* Tumor Targeted Chemotherapy (e.g. EGFR or ALK antagonists) * Cytotoxic Chemotherapy (e.g. DNA synthesis / Mitosis Inhibitors) * Angiogenesis Inhibitors (e.g. Anti-VEGF antibody) * Glucocorticoid Therapy * **Systemic Immunotherapy (e.g. PD-1 inhibitors)**
128
What is the most common complication of anterior cervical discectomy and fusion (ACDF)?
* Thoracic duct injury * **Dysphagia** * Hoarseness * New radiculopathy * Horner's syndrome
129
A 35 year old female presents with headaches and progessive left sided hearing loss. What is the BEST treatment for the lesion depicted in the MR images?
* Stereotactic aspiration. * Cystoperitoneal shunt. * **Craniotomy for lesion removal.** * Radiation therapy * Endoscopic fenestration.
130
A 76-year-old female with a history of diabetes mellitus and hypertension has asymptomatic atrial fibrillation. What medical management paradigm would best reduce her future risk of stroke?
* Clopidogrel * Aspirin * Warfarin and clopidogrel * Aspirin and clopidogrel * **Warfarin**
131
A 12-year-old boy presents with several years of dystonia in the lower extremities and recent development of dystonia in the upper extremities. His symptoms are mild in the morning but worsen as the day progresses. His dystonia does not improve with inactivity, but does improve after a full night’s sleep. What is the most appropriate next step in his management?
* DBS of the ventral intermediate nucleus (VIM). * Oral baclofen therapy. * Intrathecal baclofen therapy. * DBS of the globus pallidus interna (GPi). * **Low-dose oral levodopa therapy.**
132
When placing bicortical sacral pedicle screws, which structure is at most risk with a laterally placed screw that perforates the anterior cortex?
* Lumbosacral plexus * S1 nerve root * Internal Iliac artery * Aorta * **L5 nerve root**
133
A 24 year-old man has refractory complex partial seizures localized to the left temporal lobe with EEG. MRI is consistent with left mesial temporal sclerosis. What is the most appropriate next step in his management?
* **Intracarotid amytal test** * Vagal nerve stimulation * Corpus callosotomy * Invasive EEG monitoring * Temporal lobectomy
134
A 27-year-old woman with a normal brain MRI experiences seizures characterized by jerking of the left hand which occasionally also spreads to the proximal arm. These episodes are nearly constant throughout the day and are not associated with any impairment of consciousness. Where are this patient’s seizures likely originating?
* Temporal lobe * Prefrontal cortex * Occipital lobe * Supplementary motor area * **Primary motor cortex**
135
According to the Guidelines for the Performance of Fusion Procedures for Degenerative Disease of the Lumbar Spine, the literature supports the use of fusion in lumbar decompression surgery for degenerative stenosis when associated with what imaging finding?
* congenital stenosis. * conjoined nerve root. * spina bifida. * focal disc herniation. * **spondylolisthesis**.
136
Which anti-epileptic agents would be BEST to use in a patient receiving multiple other medications extensively metabolized by the liver?
* Phenytoin (Dilantin) * Oxcarbazepine (Trileptal) * **Levetiracetam (Keppra)** * Carbamazepine (Tegretol) * Phenobarbital (Luminal)
137
You are placing a deep brain stimulator in the GPi for Parkinson's disease. Your microelectrode has passed through the bottom of the GPi. What is the next structure to check for?
* Subthalamic nucleus * Substantia nigra reticulata * Globus pallidus externa * VPL thalamus * **Optic tract**
138
A patient presents after a MVA with the head CT shown in the figure. His GCS is 14. His blood alcohol level is 0.31%. What is the most appropriate initial management?
* **Admit to ICU for observation** * Intubate, sedate, and monitor ICP * Placement of ventriculostomy * Bifrontal craniotomy and evacuation of SDH * Bifrontal decompressive craniectomy
139
A 9 month old boy presents with scaphocephaly. X-rays confirm a sagittal synostosis. He a history of reflux disease that the family is treating with antacids. He is exclusively breast fed and his height and weight are in the 10th percentile, although occipitofrontal circumference is 80th percentile. In this case, which associated diagnosis is most likely?
* **Rickets** * Congenital Adrenal Hyperplasia * Prader-Willi Syndrome * Celiac Sprue * Congenital Heart Disease
140
The patient whose magnetic resonance image is shown in Figure 1 most likely underwent surgery to control which of the following symptoms associated with which disease:
Torticollis associated with cervical dystonia. Akinesia associated with Parkinson disease. Rigidity associated with Parkinson disease. Levodopa-induced dyskinesia associated with Parkinson disease Tremor associated with Essential Tremor.
141
Which of the following diagrams most accurately depicts the typical course of the accessory nerve along the posterior triangle:
Figure 1 Figure 2 Figure 5 Figure 4 Figure 3
142
A 70-year old male presents with personality changes, gait instability, bradykinesia, slurring of speech, and difficulty moving the eyes. Which of the following imaging features is most consistent the diagnosis?
* PET scan showing asymmetrical reduced FDG-uptake in the cerebral hemispheres * **PET scan showing reduced FDG-uptake in the frontal cortices, basal ganglia, and brainstem** * MRI scan showing marked frontal and temporal cortical atrophy * CT scan showing enlarged ventricles * PET scan showing decreased FDG-uptake in the cerebellum and cortex
143
A view from above into the anterior third ventricle is shown. The ideal location for performing a third ventriculostomy is indicated by which number?
* 7 * **8** * 9 * 6 * 5
144
A patient awakens from left-sided costotransversectomy at T10 for resection of a ventral metastatic tumor with complete paraplegia and loss of pain and temperature sensation. His sensation to light touch in the lower extremities is spared. Post operative MRI reveals no evidence of spinal cord compression or hematoma. What is the most likely diagnosis?
* Brown-Sequard syndrome. * Weber's Syndrome * Posterior cord syndrome. * Central cord syndrome. * **Anterior cord syndrome**
145
Which of the following pedicle screw characteristics increases pullout strength?
* increased minor - major diameter ratio * tapered screw shape * smaller inter-thread distance * unicortical purchase * **bilateral screw triangulation with crosslink**
146
An 8-year-old male complains of a painful swelling of his left forehead. Its onset was insidious, starting several weeks earlier. Radiographs are shown in Figures 1 and 2. What is the most likely diagnosis?
* Osteoblastoma * Fibrous dysplasia * **Eosinophic granuloma** * Dermoid cyst * Osteoid osteoma
147
A 45-year-old male presents with several months of progressive headaches and an intracranial lesion (figure). Following surgical resection, histopathological analysis demonstrates a well-circumscribed, uniformly cellular tumor with no atypia and numerous ectatic, thin-walled branching vessels in staghorn configurations. Which of the following is a possible associated clinical development?
* Unilateral optic nerve glioma * Pheochromocytoma * De novo glioblastoma * Bilateral vestibular schwannomas * **Metastases outside the CNS**
148
A 40 year old male develops left facial droop and left hemiparesis 48 hours after a motor vehicle accident despite initially being neurologically intact after the accident. A non-contrast head CT at the time of deterioration is negative. The most appropriate next diagnostic evaluation is:
* Cerebral perfusion study. * **CT angiogram of the cervical spine.** * Flexion Extension C-spine XRay * ICP monitoring. * CT of the cervical spine.
149
A 24 year old pregnant woman in her third trimester presents with severe headache and a non-focal neurological examination. A head CT angiogram is shown. What is the most likely diagnosis?
* Meningioma * Aneurysmal subarachnoid hemmorrhage * Posterior reveresible encephalopathy syndrome * **Dural venous sinus thrombosis** * Eclampsia
150
A 65 year old female presents with a spontaneous basal ganglia hemorrhage. Her blood pressure is 190/110 mmHg. The patient is not exhibiting signs of intracranial hypertension. How should the blood pressure of the patient be managed?
* Maintain current blood pressure * Target a mean arterial pressure of 120 mmHg * Reduce her blood pressure to less than 185/102 mmHg * Reduce her blood pressure to less than 120/80 mmHg * **Reduce her blood pressure to less than 160/90 mmHg**