sans 2013 Flashcards

(299 cards)

1
Q

A lateral view of the cortical surface bordering the right sylvian fissure that is commonly exposed in a frontotemporal craniotomy is shown in Figure 1. The lower ends of the precentral (1) and postcentral (2) gyri are in the exposure. The supramarginal gyrus is indicated by number:
A.9
B.5
C.6
D.8
E. 7

A

E. 7

How well did you know this?
1
Not at all
2
3
4
5
Perfectly
2
Q

Bill’s bar separates the facial nerve from what other structure?
A. Greater Superficial Petrosal Nerve
B. Geniculate Ganglion
C. Superior Vestibular Nerve
D. Inferior Vestibular Nerve

A

C. Superior Vestibular Nerve

How well did you know this?
1
Not at all
2
3
4
5
Perfectly
3
Q

The figure is a cadaveric dissection of the anterior portion of the left cavernous sinus. What deficit would be seen with damage to this structure?
A. Facial numbness
B. Diplopia that corrects with head tilt
C. Periocular numbness
D. Ptosis, meiosis and anhydrosis
E. Monocular blindness

A

D. Ptosis, meiosis and anhydrosis

How well did you know this?
1
Not at all
2
3
4
5
Perfectly
4
Q

The following figure depicts an endoscopic view of the upper clival/retrosellar region in a cadaveric dissection. Which cranial nerve is indicated by numeral 1.
A. Trochlear
B. Oculomotor
C. Optic
D. Trigeminal
E. Abducens I

A

B. Oculomotor

How well did you know this?
1
Not at all
2
3
4
5
Perfectly
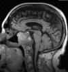
5
Q

Three days after clipping of a ruptured anterior communicating artery aneurysm, a patient develops contralateral paresis of the arm and face, as well as dysarthria. A cerebral angiogram reveals focal vasospasm that eventually results in infarction of the corresponding vascular territory, confirmed by CT. What vessel was most likely affected
by vasospasm in this case?
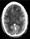
A. Recurrent artery of Haubner
B. Anterior choroidal artery
C. Distal anterior cerebral artery
D. M1 branch of the middle cerebral artery
E. Posterior communicating artery

A

A. Recurrent artery of Haubner

How well did you know this?
1
Not at all
2
3
4
5
Perfectly
6
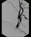
Q

What artery (identified by the arrow in Figure 1) is encountered during a retrosigmoid approach for a vestibular schwannoma?
A. Superior cerebellar artery.
B. Anterior inferior cerebellar artery.
C. Posterior inferior cerebellar artery.
D. Vertebral artery.
E. Basilar artery.

A

B. Anterior inferior cerebellar artery.

How well did you know this?
1
Not at all
2
3
4
5
Perfectly
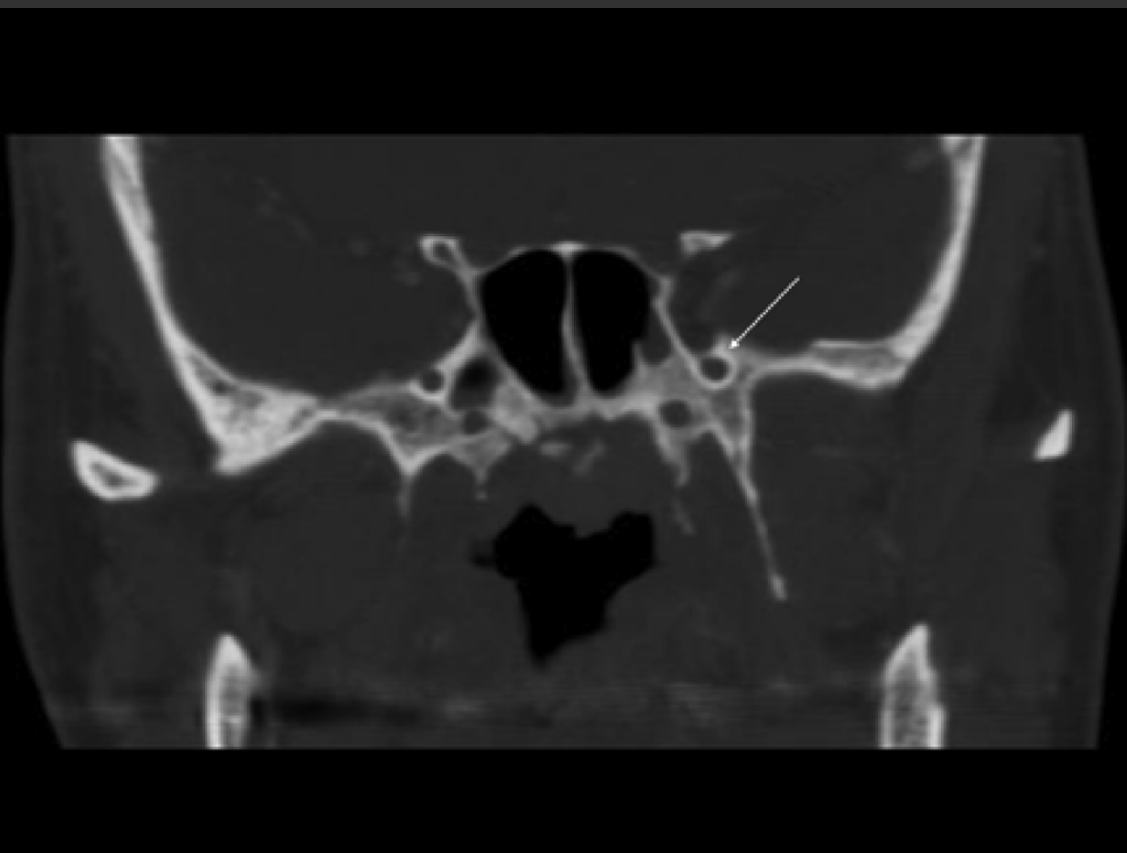
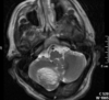
7
Q

What structure passes through the foramen demonstrated with the white arrow?
A. V2
B. V1
C. Vidian nerve.
D. V3.
E. Optic nerve.

A

A. V2

How well did you know this?
1
Not at all
2
3
4
5
Perfectly
8
Q

Which of the following structures of the superior orbital fissure pass around the annulus of Zinn:

A. Nasociliary nerve.
B. Inferior branch of oculomotor nerve.
C. Superior branch of oculomotor nerve.
D. Abducens nerve.
E. Trochlear nerve.

A

E. Trochlear nerve.

How well did you know this?
1
Not at all
2
3
4
5
Perfectly
9
Q

A patient presenting for resection of a small parietal meningioma has a preoperative INR
of 1.5. What is the likelihood that the transfusion of 2 units of FFP would normalize her
INR?
A. 50o/o
B. 25%
C. <5%
D. 75%
E. 95%

A

C. <5%

How well did you know this?
1
Not at all
2
3
4
5
Perfectly
10
Q

An otherwise healthy woman presents with an aneurysmal subarachnoid hemorrhage.
Admission troponin is 1.4ng/ml and transthoracic echocardiography demonstrates a left
ventricular ejection fraction of 15% with severe apical hypo-kinesis. The most likely
pathophysiological mechanism of the cardiac dysfunction is:

A. Catecholamine-induced myocardial stunning
B. Multi-vessel coronary artery spasm
C. Thrombotic coronary artery occlusion
D. Microvascular myocardial ischemia
E. Tachycardia induced cardiomyopathy

A

A. Catecholamine-induced myocardial stunning

How well did you know this?
1
Not at all
2
3
4
5
Perfectly
11
Q

Cerebral-salt wasting syndrome (CSW) can be best described as the following:
A. lso-osmolar, euvolemic hyponatremia
B. Hypo-osmolar, hypervolemic hyponatremia
C. Hypo-osmolar, hypovolemic hyponatremia
D. Hypo-osmolar, euvolemic hyponatremia
E. Hyperosmolar, hypovolemic hypernatremia

A

C. Hypo-osmolar, hypovolemic hyponatremia

How well did you know this?
1
Not at all
2
3
4
5
Perfectly
12
Q

During the creation of a burr hole for a deep brain stimulator, an awake, sedated patient develops the sudden onset of coughing, hypotension, and hypoxia. The clinical presentation suggest which of the following complications:
A. lntracranial hemorrhage
B. Aspiration pneumonia
C. Air embolism
D. Tension pneumocephalus
E. Seizure activity

A

C. Air embolism

How well did you know this?
1
Not at all
2
3
4
5
Perfectly
13
Q

What is the most concerning side effect of dexmedetomidine infusion in ICU patients?
A. Inhibition of the locus ceruleus
B. Bradycardia
C. Systolic hypertension
D. Respiratory depression
E. lntracranial hypertension

A

B. Bradycardia

How well did you know this?
1
Not at all
2
3
4
5
Perfectly
14
Q

Which of the following agents causes the largest decrease in the cerebral metabolic rate of oxygen (CMR02):
A. Sufentanil
B. Sodium thiopental
C. Ketamine
D. Diazepam
E. Propofol

A

B. Sodium thiopental

How well did you know this?
1
Not at all
2
3
4
5
Perfectly
15
Q

Which of the following opioids has the slowest peak onset?
A. Sufentanil
B. Fentanyl
C. Alfentanil
D. Remifentanil
E. Morphine

A

E. Morphine

How well did you know this?
1
Not at all
2
3
4
5
Perfectly
16
Q

Within the normal range of autoregulation, the alteration in cerebral blood flow with a 1- mmHg change in arterial carbon dioxide (PaC02) is best described by:
A. 10-11 ml/1 OOg/min
B. 4-5 ml/1 OOg/min
C. 7-8 ml/1 OOg/min
D. 1-2ml/1 OOg/min
E. 13-14ml/1 OOg/min

A

D. 1-2ml/1 OOg/min

How well did you know this?
1
Not at all
2
3
4
5
Perfectly
17
Q

A PGY-2 resident has worked 75 hours in the current week. The resident began his call
shift yesterday at 06:00. The resident had 2 days completely off work in the previous two
weeks. During the call day, the resident admits a pediatric patient with a rare brain
tumor.

The next day, the resident hands off call responsibilities to another resident. However,
he then stays to assist with a rare pediatric brain tumor resection until noon. Which ACGME duty hour rule applies?
A. Adequate rest between duty periods
B. Minimum days off
C. Maximum duty period length
D. In house call limitation
E. 80 hour workweek

A

C. Maximum duty period length

How well did you know this?
1
Not at all
2
3
4
5
Perfectly
18
Q

A Type 2 error (false negative) in interpreting clinical trials occurs when:
A. Inadequate informed consent was obtained in over half the cases.
B. A treatment is found to be ineffective but the sample size is too small.
C. A positive result relies on an incorrect statistical test.
D. The test is not randomized or controlled.
E. Gender makeup of the experimental and control populations are not equal.

A

B. A treatment is found to be ineffective but the sample size is too small.

How well did you know this?
1
Not at all
2
3
4
5
Perfectly
19
Q

A medical device company is sponsoring a presentation regarding a new implant they
have developed for treatment of spinal instability. The presentation is followed by a
modest meal at a local restaurant. At the conclusion of the meal, the company
representative passes out gifts to the attending physicians, as a “thank you” for taking
time out of their personal lives to attend a work meeting. Which of the following gifts
would be acceptable under the AMA code of ethics and Advamed guidelines?
A. Tickets to professional basketball game the following week
23`
C. $100 gift certificate to restaurant
D. Golf shirt with company logo displayed on sleeve

A

B. Textbook of spinal anatomy with company logo imprinted on cover

How well did you know this?
1
Not at all
2
3
4
5
Perfectly
20
Q

A physician chooses to utilize a questionnaire-based outcome measure in his/her
practice. The questionnaire is administered to a core group of patients and then
read ministered to the same patients within a few days. The purpose of this exercise is to
confirm that the replies to the same questions by the same patients do not change after a
few days. A statistical analysis is completed to assess the degree of similarity between
the first and second replies in this setting. This type of analysis for an outcome measure
is a reflection of its:
A. Responsiveness
B. Integrity
C. Reliability
D. Sensitivity
E. Validity

A

C. Reliability

How well did you know this?
1
Not at all
2
3
4
5
Perfectly
21
Q

According to the Accreditation Council of Continuing Medical Education {ACCME), what
type of financial relationship is both necessary and sufficient to define a conflict of
interest (COi) between a commercial interest and an individual who can affect patient
care, research activities, or data interpretation?
A. Extraordinary
B. Relevant
C. Significant
D. Monetary

A

B. Relevant

How well did you know this?
1
Not at all
2
3
4
5
Perfectly
22
Q

An appropriate way for a neurosurgeon working in a complex team environment to
mitigate stress and fatigue would be to:
A. Not acknowledge stress and fatigue, therefore reducing its effect on performance.
B. Recognize stress and fatigue, thereby increasing the use of threat and error management strategies.
C. Rely on previous experience of chronic stress and fatigue during residency training to overcome these factors.
D. Deny the existence of stress and fatigue in order to avoid distraction from the task at hand.

A

B. Recognize stress and fatigue, thereby increasing the use of threat and error management strategies.

How well did you know this?
1
Not at all
2
3
4
5
Perfectly
23
Q

Certain medical conditions are subject to mandatory physician reporting. You evaluate a recent immigrant from Mexico complaining of occasional back pain. He has not been previously evaluated by a physician in the United States. Which of the following diagnoses are required by law to report, if the patient reveals it to you as part of their medical history?
A. Inactive TB
B. Assault
C. Polio
D. Cysticercosis
E. AIDS

A

E. AIDS

How well did you know this?
1
Not at all
2
3
4
5
Perfectly
24
Q

Child abuse should be reported:
A. Only by a specially trained Child Protection expert when present in a
hospital.
B. By any physician when requested by law enforcement officials.
C. By any caregiver who suspects non-accidental traumatic injury to a child.
D. In every child under age 2 with a head injury.

A

C. By any caregiver who suspects non-accidental traumatic injury to a child.

How well did you know this?
1
Not at all
2
3
4
5
Perfectly
24
Company X offers surgeons $100 for each time they implant their patented device. Which federal statute has been violated? A. EMTALA B. Anti-kickback C. Stark D. HIPAA E. This is not a violation
B. Anti-kickback
25
Dr. Jones designed a new instrument, patented it, and contracted with Company X to manufacture and market the instrument. Dr. Jones uses the instrument on her patients (including Medicare patients) and receives royalties for each instrument sold. Does this relationship violate Federal Stark Law and/or Anti-kickback Statutes A. Stark only B. Both C. Neither D. Anti-kickback only
B. Both
26
Dr. Jones is presenting a paper she co-authored at a CNS/AANS CME sanctioned meeting. She has disclosed a conflict of interest (COi) with Company Z prior to the meeting. Her presentation will include inforimation about products made by Company Z. In order for the paper to be presented, Dr. Jones must: A. Limit her comments to research data and results. B. Disclose COi without limiting comments. C. Eliminate her COi with Company Z within one month prior to the meeting. D. Have the paper presented by a co-author without COi.
A. Limit her comments to research data and results.
27
Dr. Smith is part of a committee that is organizing a meeting of local neurosurgeons that will offer CNS/AANS sponsored CME. Dr.Smith also has a conflict of interest (COi} with a Company X whose products will be discussed at presentations during the meeting. Under what circumstances can Dr. Smith participate in organizing the meeting? A. He can participate without restriction. B. He can participate as long as he gains no financial benefit directly from this meeting. C. He cannot participate in the organization of the meeting. D. He must disclose the COi and exclude himself during Company X discussion. E. He must terminate this relationship with Company X.
D. He must disclose the COi and exclude himself during Company X discussion.
28
uring pe ormance o a um ar 1sce omy, here is a delay in radiology availability. The spinal surgeon elects to proceed with laminotomy and disc space exploration but finds no herniated disc material. A subsequent intra-operative radiograph demonstrates that the neurosurgeon is operating at the wrong level. The spinal surgeon adjusts the level of approach and successfully completes the procedure. In this circumstance, of the following, the neurosurgeon should: A. Consult risk management committee and ask them to disclose the error B. Disclose the error to a quality assurance committee, but not to the patient C. Request that the patient advocate disclose the error to the patient D. Not disclose the error because the patient was not harmed E. Disclose the error to the ~atient in a timelY-_fa_s_h_io_n
E. Disclose the error to the ~atient in a timelY-_fa_s_h_io_n
29
Federal health care insurance agencies including Medicaid and Medicare have established specific standards for medical coding, billing and reimbursement. Under these systems, primary responsibility for accurate coding and billing rests with: A. The surgical practice manager. B. The surgical coding specialist. C. The hospital billing department. D. The operative surgeon. E. The hospital compliance officer.
D. The operative surgeon.
30
In order to provide useful, high quality medical evidence, a clinical study should employ an outcome measure that has the following characteristics: A. Published, Peer reviewed, and Objective B. Subjective, Straightforward, and Simple to employ C. Reproducible, Precise, and Accurate D. Parametric, Nonbiased, and Comprehensive E. Reliable, Valid, and Responsive
E. Reliable, Valid, and Responsive
31
Steep gradients in authority can negatively impact patient safety when: A. Fear of litigation results in physician migration out of a community. B. Surgical instruments are incorrectly counted at the beginning of a case. C. An incomplete medical record results in a missed drug allergy. D. Overcrowded operating rooms create delays in scheduling. E. A nurse who is unable to reach a resident and does not call an attending.
E. A nurse who is unable to reach a resident and does not call an attending.
32
The Agency for Healthcare Research and Quality (AHRQ) is charged in part with promoting evidence-based medical practice. AHRQ reports recommend Standards, Guidelines and Options for practice that are based on a scale of evidence class (or quality) from the peer-reviewed, clinical literature. In the case of a retrospective, case-controlled study of craniotomy plus whole brain radiation therapy versus stereotactic radiosurgery plus whole brain radiation therapy for solitary lung cancer brain metastasis, the evidence class is: A. Not classifiable B. Class Ill C. Class I D. Class II
D. Class II
33
The Joint Commission on the Accreditation of Health Care Organizations (JCAHO} has issued a set of National Patient Safety Goals to be implemented by all hospitals and hospital-based practitioners by January 1st. 2005. One of JCAHO's 2005 national patient safety goals is: A. Include the use of the patient room number as a patient identifier whenever administering medications or performing procedures. B. Standardize a list of abbreviations, acronyms and symbols that are not to be used throughout the organization. C. Assure that the full range of manufactured drug concentrations and intravenous solutions are readily available within the hospital. D. Implement a process to mark the surgical site involving nurses/O.R. technicians. E. For verbal telephone orders, verify the order by having the person receiving the order read-back the key portions.
B. Standardize a list of abbreviations, acronyms and symbols that are not to be used throughout the organization.
34
The class of evidence associated with a controlled study of severe closed head injury demonstrating reduced brain parenchymal loss and enhanced residual motor function in rodents treated with hypertonic saline versus mannitol after injury is: A. Class I B. Class II C. Class Ill D. Not classifiable
D. Not classifiable
35
Under Federal EMTALA law, what two conditions obligate a hospital to accept a transfer? A. Appropriate transportation and Joint Commission Certification B. Non-profit status and charity affiliation. C. Capacity and capability. D. Level I Trauma Certification and 24/7 ER coverage
C. Capacity and capability.
36
What is the ACGME definition of systems-based practice? A. Make informed decisions about diagnostic and therapeutic interventions based on patient information and preferences, up-to-date scientific evidence, and clinical judgment. B. Demonstrate an investigatory and analytic thinking approach to clinical situations. C. Know and apply the basic and clinically supportive sciences which are appropriate to their discipline. D. Partner with health care managers and providers to assess, coordinate, and improve health care. E. Demonstrate sensitivity and responsiveness to patients' culture, age, gender, and disabilities.
D. Partner with health care managers and providers to assess, coordinate, and improve health care.
37
What is the setting of the initial neurosurgeon-patient encounter of most medical malpractice claims? A. Outpatient clinic B. Hospital room (consultation) C. Emergency room D. Trauma scene
A. Outpatient clinic
38
What percentage of the total settlement may a whistleblower receive from alerting the U.S. Federal Government of a violation of Federal Stark Law? A. 30-50% B. 15-30% C.10% D.60%
B. 15-30%
39
Which of the following activities must be submitted to institutional review board (IRB) for supervision? A. You investigate the relationship between socioeconomics and post-concussion syndrome by reviewing hospital records to correlate return visits with residential Zip code. B. In response to an elevated CSF shunt infection rate, the hospital infection control service prospectively observes 20 shunt operations and discovers that holes in gloves correlate with infection. Double gloving is adopted. C. A school-age child suffers a gun shot wound to the brachia! plexus and subsequently develops a neuropathic pain syndrome. You prescribe an off label use of gabapentin. D. An 11-year-old harbors an incidentally discovered internal carotid bifurcation aneurysm. You treat this lesion with endovascular placement of coils approved by the FDA for use in patients 18-years-old and older. E. All neurosurgeons at your institution shave the scalp for cranial surgery. In response to an article about shaveless neurosurgery, you adopt this practice.
A. You investigate the relationship between socioeconomics and post-concussion syndrome by reviewing hospital records to correlate return visits with residential Zip code.
40
A 16 year old with drug resistant complex partial seizures with independent bilateral onsets is referred for vagus nerve stimulation {VNS). What is the most common side effect of VNS? A. Dyspepsia B. Dyspnea C. Cardiac arrhythmia D. Voice hoarseness E. Wound infection
D. Voice hoarseness
41
A 23 year old woman with complex partial seizures was initially treated with phenytoin. then switched to carbamazepine. and is currently on levetiracetam after failing the first two therapies. After a seizure-free period of six months upon starting levetiracetam, she now has recurrence of 2-3 seizures/month. What is the most appropriate next step in her management? A. Evaluation for vagus nerve stimulation. B. Add-on therapy with oxcarbazepine. C. Switch to therapy with oxcarbazepine. D. Evaluation for resective epilepsy surgery.
D. Evaluation for resective epilepsy surgery.
42
A 24 year old man has refractory complex partial seizures localized to the left temporal lobe with EEG. MRI is consistent with left mesial temporal sclerosis. What is the most appropriate next step in his management? A. Temporal lobectomy B. lntracranial EEG C. lntracarotid amytal test D. Vagal nerve stimulation E. Corpus callosotomy
C. lntracarotid amytal test
43
A 32 yr old male with intractable seizures and a normal MRI scan undergoes a noninvasive evaluation. Based on scalp EEG and seizure semiology, he had subdural electrodes placed and seizures were localized to the left language-dominant supplementary motor area. Following surgical resection the patient will MOST likely exhibit: A. Temporary paresis on the left. B. Left inferior quadrantopsia. C. Temporary mutism. D. Anemia and finger agnosia.
C. Temporary mutism.
44
According to a randomized, double-blind study comparing medical vs. surgical therapy for epilepsy, the outcome of patients undergoing standard anterior temporal lobectomy can BEST be described as: A. 50- 60 % of surgical patients had adverse neurological effects. B. 10- 20 % of medical patients were seizure-free. C. 50- 60% of surgical patients were seizure-free. D. 10- 20 % of medical patients had adverse neurological effects.
C. 50- 60% of surgical patients were seizure-free.
45
An 8 year old with tuberous sclerosis experiences frequent debilitating seizures (complex partial with secondary generalization) that are refractory to medical therapy. EEG suggests the seizures originate in the right hemisphere. The MRI is depicted below. What is the most appropriate next step in her management? A. Lesionectomy B. Electrocorticography C. Head CT D. Callosotomy E. Hemispherectomy
B. Electrocorticography
46
In childhood epilepsy syndromes, patients with Lennox-Gastaut syndrome MOST often have the following EEG findings: A. Multifocal slow spike and wave. B. Normal or discontinuous. C. Bilateral hypsarrhthmia. D. Triphasic spike and wave.
A. Multifocal slow spike and wave.
47
The MOST common clinical feature of medial temporal lobe seizures is: A. Visual aura. B. lctal oral automatisms. C. lctal bicycling movements. D. lpsilateral dystonic posturing.
B. lctal oral automatisms.
48
West's Syndrome is BEST characterized by which of the following seizure type: A. Primary and secondarily generalized. B. Generalized tonic clonic. C. Complex partial. D. Infantile spasms. E.Atonic.
D. Infantile spasms.
49
When treating status epilepticus in adults, which intravenous medication should be co-administered with benzodiazepines? A. phenytoin B. Propofol. C. Phenobarbital. D. Succinylcholine. E. Nitroprusside.
A. phenytoin
50
A 30 year old presents with unilateral hemifacial spasm. An MRI of the brain is ordered to discern an underlying etiology. What is the likelihood that a cause other than vascular compression of the facial nerve at the root exit zone will be identified? A. 6-8% B. 3-5% C. <3% D. 9-10% E. >10o/o
C. <3%
51
A 42 year old male presents with a 5 year history of Parkinson's disease (PD) with severe motor fluctuations. When discussing deep brain stimulation (DBS) surgery, which of the following is correct regarding the benefits of surgery? A. DBS results in decreased OFF time freezing of gait. B. He will have up to 4 hours more ON time without dyskinesias daily C. DBS will eliminate the need for medications D. Early surgical intervention changes the natural history of the disease E. He has not had the disease long enough to benefit from surgery
B. He will have up to 4 hours more ON time without dyskinesias daily
52
A 45-year-old male has a five-year history of progressive right arm intention tremor. A similar condition is present in his father and paternal uncle. The tremor improves with alcohol ingestion, but has become increasingly refractory to propanolol, mysoline, as well as topamax. There is no rigidity, bradykinesia, or gait abnormality present. The MOST appropriate neurosurgical intervention is: A. Thalamic deep brain stimulator B. Globus pallidus deep brain stimulator C. C6,7 selective rhizotomy D. Stereotactic pallidotomy E. Subthalamic nucleus deep brain stimulator
A. Thalamic deep brain stimulator
53
A 63 year old patient with levodopa-responsive Parkinson's Disease is referred for DBS. With respect to motor symptoms, DBS is likely to: A. Increase "on" time with troublesome dyskinesias. B. Decrease "off' time. C. Have minimal effect on UPDRS Ill scores. D. Improve gait. E. Reduce freezing events.
B. Decrease "off' time.
54
A patient is undergoing DBS lead placement in the subthalamic nucleus for Parkinson's disease. During intraoperative testing the patient has good relief of symptoms but also notes facial pulling and transient paresthesias. Different monopolar and bipolar options produce the same result. Which of the following is the best option? A. Subdural hemorrhage B. Leave the DBS in its current location C. Move the lead laterally D. Move the lead medially E. Abort implantation on this side and move on to DBS implantation on the left side.
D. Move the lead medially
55
A patient who was previously implanted with bilateral DBS needs an MRI for a hip procedure. Which of the following is true regarding MRI compatibility and safety. A. The generator must be removed but the brain leads can be left in place. B. The MRI can be obtained safely if the DBS system is turned to 0 volts, OFF and bipolar. C. Obtaining an MRI with the use of a body coil safely requires the complete removal of the DBS system. D. The MRI has a small risk of breaking the DBS system but does not pose any risk of harm to the patient's body or brain. E. Lead to more patients with a vegetative state outcome at the end of the treatment period
C. Obtaining an MRI with the use of a body coil safely requires the complete removal of the DBS system.
56
Inferior extension of a therapeutic lesion placed in the posteroventral globus pallidus pars internus may induce which of the following adverse events: A. Hemiballism. B.Ataxia. C. Sensory loss. D. Hemiplegia. E. Visual field deficit.
E. Visual field deficit.
57
When performing spinal cord stimulation for a patient with failed back surgery syndrome and chronic pain of the right lower extremity, where should the electrode contacts be placed? A. Right paramedian position in the thoracic epidural sublaminar space B. Left paramedian position in the lumbar epidural sublaminar space C. Right paramedian in the lumbar epidural sublaminar space D. Left paramedian position in the thoracic epidural sublaminar space
A. Right paramedian position in the thoracic epidural sublaminar space
58
A 16 year old severe traumatic brain injury patient is on continuous IV propofol for ICP/CPP management. He develops a low urine output, mild fever, and blood drawn for laboratory analysis is cloudy. A diagnosis of Propofol Infusion Syndrome is proposed. Which of the following laboratory values will BEST confirm the diagnosis: A. Serum potassium of 3.4 B. Serum creatine kinase 75,000 C. ABG pH 7.35 D. Serum creatinine 1.2 E. Serum triglyceride 100
B. Serum creatine kinase 75,000
59
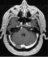
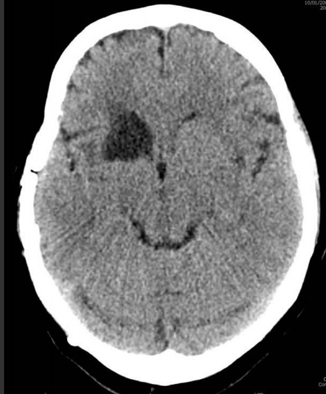
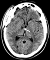
A 28 year-old healthy woman who delivered her second child 10 days ago presents with new onset headache, lethargy, and confusion. She has no focal deficits. A noncontrast head CT is obtained and shown below. What is the most appropriate definitive treatment for this patient? A. Endovascular embolization B. Recombinant activated Factor VII C. Intravenous heparin infusion D. Craniotomy for hematoma evacuation E. Observation only
C. Intravenous heparin infusion
60
A 48 year-old man with a right middle cerebral artery distribution infarction. Despite aggressive medical and endovascular therapy, the artery remains occluded. Two days later he has a decline in mental status. His head CT is shown. What is the most likely explanation for the patient’s new neurological deterioration? A. Occlusive hyperemia B. Reperfusion syndrome C. Hemorrhagic conversion D. Cerebral edema E. Normal perfusion pressure breakthrough
D. Cerebral edema
61
Hypoglossal nerve function monitoring during surgery is performed by placing electrodes into which of the following muscles. A. Palatoglossus B. Genioglossus C. Geniohyoid D. Stylopharyngeus
B. Genioglossus
62
lntracranial atherosclerotic disease and resulting stenosis is an important cause of ischemic stroke. What ethnicity has the highest incidence of intracranial atherosclerotic disease? A. Caucasian B.Asian C. African American D. Hispanic
C. African American
63
The appropriate maintenance rate for IV fluid in a 2 week old child is: A. 4 ml/kg/hr B. 10 ml/kg/hr C. 2 ml/kg/hr D. 20 ml/kg/hr E. 1 ml/kg/hr
A. 4 ml/kg/hr
64
What sensory modality is most commonly affected by resection of a lesion in the postcentral gyrus? A. Temperature B. Pain C. Proprioception D. Light touch E. Pressure
C. Proprioception
65
A 23 year old male with a remote history of facial fractures presents with progressive headaches over 4 days, low grade fever and confusion. His neurologic examination is otherwise non-focal. A head CT with contrast is shown below. The MOST likely diagnosis is: A. Subarachnoid/subdural hemorrhage. B. Chronic subdural hematoma. C. Arachnoid cyst. D. Subdural empyema.
D. Subdural empyema.
65
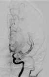
A 70 year-old man with an atrial valve replacement presents with fatigue, fever, and headaches. He is neurologically intact. Laboratory studies reveal an elevated erythrocyte sedimentation rate and C-reactive protein. He undergoes a gadolinium-enhanced MRI (A) and a cerebral angiogram (B), demonstrating the indicated lesions. What is the most appropriate initial treatment for this patient? A. Intravenous corticosteroids and close observation B. Endovascular repair of the lesion C. Surgical repair of the lesion D. Intravenous antibiotics and close observation E. Observation only
D. Intravenous antibiotics and close observation
66
Prophylactic intravenous antibiotics for a surgical procedure are BEST administered: A. Within twenty-four hours of surgery. B. Within one hour of making incision. C. Six hours prior to incision. D. One hour prior to incision.
D. One hour prior to incision.
67
What is the most likely causative organism for a brain abscess in a healthy immunocompetent adult without a surgical history? A. S. pneumoniae B. H. influenzae C. S. aureus D. S. milleri E. N. meningitidis
D. S. milleri
68
The following CSF lab values are MOST consistent with which diagnosis: Opening pressure: 40 cmH20 Appearance: Turbid White Cells (per mm3): 1500 Differential: 95°k PMNs 5% Lymphs Protein: 110 mg/dL Glucose: 15 mg/dL A. Bacterial meningitis B. Normal CSF C. Fungal meningitis D. TB meningitis E. Viral meningitis
A. Bacterial meningitis
69
A 17 year-old female has chronic severe progressive tremor and dysphagia. She was recently hospitalized for an episode of psychosis. On examination she is dysarthric, drools, and has marked tremor with extension of her arms. Eye examination reveals yellow-brown granular deposits at the limbus of the cornea. The most-likely diagnosis is: A. Thyrotoxicosis B. Sydenham Chorea C. Tardive dyskinesia D. Lesch-Nyhan Syndrome E. Hepatolenticular degeneration
E. Hepatolenticular degeneration
70
A 21 year-old male has a history of pregressive difficulty walking. On exam, he has absent position and vibration sense in his lower extremities. Deep tendon reflexes are absent. Toes are up-going bilaterally. Gait is broad-based and grossly impaired. His uncle had similar symptoms, developed diabetes and deafness, and died at age 55. The most likely diagnosis is: A. Posterior fossa neoplasm B. Multiple sclerosis C. Wilson's disease D. Friedreich's ataxia E. Huntington's chorea
E. Huntington's chorea
71
A 29-year-old man comes to the emergency department after awakening that morning with deep, boring pain in the right ear and sagging of the right side of his face. Examination shows normal sensation in the affected area and there are no lesions on the pinna. Hearing is normal but he complains of increased sensitivity to sound in the right ear. A MR scan shows enhancement of the right facial nerve in the petrous bone. A photograph of him attempting to smile is shown. The MOST appropriate initial therapy should be: A. Oral Prednisone B. Oral Levaquin C. Observation only D. Oral acyclovir E. Surgical decompression of the right facial nerve
A. Oral Prednisone
72
A 27 year old male construction worker had the onset of new headaches, which began suddenly while doing heavy lifting at work. He was seen at a local emergency room shortly after his symptoms began. Neurological examination, head CT and spinal fluid were said to be normal. Now he returns to the ER with persistent headaches and a left abducens palsy. The remainder of the neurological examination is normal. An MRI with gadolinium is shown. Spinal fluid has 95 lymphocytes. CSF protein is slightly elevated but the glucose is normal. The MOST likely diagnosis is: A. Carcinomatous meningitis B. Spontaneous intracranial hypotension C. Hypertrophic interstitial pachymeningitis D. Sarcoidosis E. Lymphoma
B. Spontaneous intracranial hypotension
73
A 34 year old male who is 8 years post liver transplantation is seen in the emergency department complaining of blurred vision. He has visual hallucinations. He has no paresis but there is bilateral asterixes. His pupils and optic discs are normal. He is hypertensive. He has a grand mal seizure. His MR scan is shown. Which of the following is the MOST likely diagnosis: A. Lymphoma B. Diffuse glioma C. Reversible posterior leukoencephalopathy D. Progressive multifocal leukoencephalopathy E. Ammonia intoxication with secondary cerebral edema
74
A 36 year old postal worker is found next to her parked postal truck in convulsive status epilepticus. Her medical ID bracelet indictates a history of epilepsy, treated with phenytoin. After supplementation with IV phenytoin, re-establishing her typical serum level of 18, convulsions cease. 2 hours later she remains unresponsive, now with beating nystagmus to the left and occasional clonic jerking of the left arm. A STAT head CT is normal. The MOST appropriate diagnostic test is: A. Electroencephalogram B. Lumbar puncture C. MR diffusion imaging D. Serum sodium E. MR angiogram
A. Electroencephalogram
75
A 46 year old woman presents with 5 days of burning pain in the right mid-thoracic area. The pain radiates around her side to the abdomen in a band-like pattern. About the same time she developed malaise, nausea, and vomiting. On the day of your exam she has developed clusters of vesicles on a red base in the area of burning pain (image shown). What is the BEST treatment? A. Antiviral therapy B. Vincristine C. NSAID D. Steroids E. Penicillin
A. Antiviral therapy
76
A 55 year-old man presents with worsening short term memory, confusion, and restlessness. On examination he appears depressed, has difficulty with fine motor skills such as finger tapping, and shows saccadic eye movements. His father died at age 60 after a prolonged illness with worsening rigidity and dementia. He has a 9 year-old daughter who recently developed severe dystonia and seizures. His MRI shows loss of striatal volume, with somewhat boxy lateral ventricles. He most likely has early symptoms of which disorder? A. Mitochondrial encephalomyopathy B. Huntington's Disease C. Parkinson's Disease D. Spinocerebellar Ataxia (SCA) E. Batten Disease (Neuronal Ceroid Lipofuscinosis)
B. Huntington's Disease
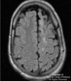
77
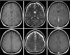
A 61-year-old man presents with confusion. Axial gradient echo (susceptibilityweighted} images demonstrate multiple abnormalities. Together, these findings are most consistent with a diagnosis of: A. Hypertensive hemorrhages B. CADASIL (cerebral autosomal dominant arteriopathywith subcortical infarcts and leukoencephalopathy} C. Cerebral amyloid angiopathy D. Leptomeningeal carcinomatosis E. Creutzfeldt-Jakob disease
C. Cerebral amyloid angiopathy
78
A 65-year-old man is brought to the emergency department because of agitation and confusion, beginning one week previously and rapidly worsening. He experienced his first generalized tonic-clonic seizure that morning and since then has been noted to be hallucinating. His temperature is 38.2 deg C. His examination reveals him to be poorly cooperative, confused and shows a left pronator drift with left hyper-reflexia. During the evaluation he has two episodes of chewing, head turning to the left and stiffening. He is loaded with dilantin. An MRI of the brain is shown. Which of the following is the most appropriate next intervention for his ongoing seizures? A. Induction of coma with pentobarbital B. Induction of coma with propofol C. Intravenous lorazepam D. Intramuscular diazepam E. Intravenous thiamine
C. Intravenous lorazepam
79
A 7 year-old child of migrant farm workers presents with to the emergency room with a seizure. Parents describe 60 seconds of unresponsiveness with twitching movements of the right leg. Last month they noted several similar episodes when the child was sick with an ear infection. On examination in the ED, he is sleepy but arousable, with a moderate right hemiparesis, most prominent in the leg. An MRI of the brain is shown in the figure. Which of the following is the MOST appropriate diagnostic step? A. TB skin test B. Needle biopsy C. Open resection D. Serum/CSF immunologic testing E. Positron emmision tomography
D. Serum/CSF immunologic testing
80
A 7 4 year old man presents with progressive cognitive decline over one year, occasional visual hallucinations, poor attention, short-term memory loss, and bilateral upper extremity rigidity. What is the most likely diagnosis? A. Alzheimer's disease B. Dementia with Lew bodies C. Multi-infarct dementia D. Wilson's disease E. Pick's disease
B. Dementia with Lew bodies
81
According to the World Federation of Neurology, amytrophic lateral sclerosis is diagnosed by which pattern of neurological dysfunction? A. Upper or lower motor neuron dysfunction without progression B. Isolated lower motor neuron dysfunction with progression C. Isolated upper motor neuron dysfunction with progression D. Both upper and lower motor neuron dysfunction with progression E. Both upper and lower motor neuron dysfunction without progression
D. Both upper and lower motor neuron dysfunction with progression
82
Diagnostic criteria for patients with tuberous sclerosis include: A. Axial and inguinal freckling B. Hypopigmented skin lesions C. Trigeminal port wine stain D. Posterior fossa hemangioblastomas Q E. Bilateral acoustic neu romas
B. Hypopigmented skin lesions
83
In 2009, the United States FDA (Food and Drug Administration) mandated updated labeling for all anticonvulsant medications to indicate an increased risk of which of the following? A. Renal failure B. Hepatic failure C. Stevens Johnson syndrome D. Suicidal ideation and behavior E. Attention Deficit Disorder (ADD
D. Suicidal ideation and behavior
84
Seven days ago a 3 year old boy developed a low-grade fever which resolved and was followed by a vesicular rash (see Figures). Two days ago, he had sudden onset of truncal ataxia and horizontal nystagmus. He has moderate dysmetria of both arms when reaching for toys, cannot stand or walk, and his speech is slurred. His mental status is fully intact. Fundi show sharp disc margins. His strength is full and deep tendon reflexes are present. Which of the following is the MOST likely diagnosis? A. Guillain-Barre Syndrome B. Posterior fossa mass C. Acute disseminated encephaloymyelitis D. Opsoclonus myoclonus syndrome E. Post-infectious cerebellar ataxia
E. Post-infectious cerebellar ataxia
85
The most common risk factor for acute ischemic stroke in childhood (newborn to age 18y) is: A. Inherited prothrombotic conditions B. Indwelling catheters C. Cardiac disorders (including congenital heart disease) D. Arteriopathy E. Head/neck trauma
D. Arteriopathy
86
The cerebral hemispheric MRI findings MOST characteristic of multiple sclerosis (MS) are: A. White matter plaques commonly associated with pronounced atrophy. B. Typically of the same radiographic age, as indicated by similar enhancement patterns. C. Plaques in the corpus callosum with horizontal plaques in the central white matter. D. Periventricular lesions that are characteristically round and multiple, and at least one should be greater than 6 mm.
C. Plaques in the corpus callosum with horizontal plaques in the central white matter.
87
What is the pathophysiological etiology of isolated unilateral weakness of dorsiflexion and ankle inversion? A. Peroneal mononeuropathy B. L5 radiculopathy C. 81 radiculopathy D. L4 radiculopathy E. Tibial mononeuropathy
B. L5 radiculopathy
87
This 7 year old boy has had difficulty with ambulation and gross motor skills since early childhood. He did not walk until age 17 months. His symptoms are getting progressively worse. Mental status is unimpaired, and cognitive development is normal. Based on this video clip, his MOST likely diagnosis is: A. Muscular dystrophy B. Myelodysplasia C. Tethered cord syndrome D. McArdle's disease E. Spinal cord tumor
A. Muscular dystrophy
88
A 58-year-old woman with well-controlled diabetes and hypertension, without history of trauma, presents with oculomotor synkinesis between the extraocular muscles causing adduction or globe retraction with attempted vertical gaze. What is the most likely cause of her clinical findings? A. Midbrain infarct B. Parasellar mass lesion C. Diabetic third nerve palsy D. Thyroid associated orbitopathy E. Pineal region tumor
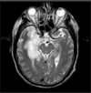
B. Parasellar mass lesion
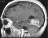
88
A 25-year-old man presents with a new onset of right facial droop associated with binocular horizontal diplopia. MRI of the brain shows a brainstem hyperintensity on T2 and FLAIR images (see figure). What anatomical structure is affected by this lesion causing the diplopia? A. Medial longitudinal fasciculus B. Abducens fibers C. Abducens nucleus D. Trochlear nucleus 3E. Trapezoid body
C. Abducens nucleus
89
A 27 yo pregnant woman presents with painless progressive vision loss in the right eye. Examination reveals no light perception or direct pupillary response in the right eye, a pale right optic nerve, and a superior temporal visual field defect in the left eye. The etiology of her signs and symptoms is most likely: A. Pituitary apoplexy B. Optic neuritis C. PRES (posterior reversible encephalopathy syndrome) D. Suprasellar meningioma E. Functional vision loss
D. Suprasellar meningioma
90
A 48 year old women presents wite one week history of progressive facial paresis. severe right ear pain. vertigo, imbalance and hearing loss. Her past medical history is unremarkable. She has right beating nystagmus. Based on the MRI scan (figures) what is your diagnosis: A. Zoster oticus Faeial Nerve--Hemangioma C. Facial Nerve Schwannoma D. Bell Palsy E. Vestibular schwannoma
A. Zoster oticus Faeial Nerve--Hemangioma
91
A 77-year-old man with history of poorly controlled hypertension awakes with bilateral vision loss. Examination reveals no light perception in both eyes, normal pupillary responses without relative afferent defect. no gaze palsy and normal optic discs. He is slightly confused and language is fluent. However, during your examination, he becomes globally aphasic with gaze deviation to the left and tonic stiffening of his left arm for 45 seconds. A. Posterior reversible encephalopathy syndrome B. Top of the basilar syndrome C. Hypertensive retinopathy D. Balint syndrome E. Amaurosis fugax
A. Posterior reversible encephalopathy syndrome
92
A 65-year-old man presents with progressive horizontal diplopia worse in right gaze. His examination demonstrates partial abduction deficit in his right eye, mild right upper lid ptosis and presence of anisocoria with the right pupil smaller than the left. The remainder of his examination is unremarkable. Where is the most likely location of the lesion? A. Dorelle's canal B. Cavernous sinus C. Orbital apex D. Posterior communicating artery
B. Cavernous sinus
93
The presence of macular sparing in a hemianopic visual field deficit localizes to which part of the optic pathway: A. Chiasm B. Cortex C. Radiations D.Nerve E. Tract
B. Cortex
94
A 48 year o woman presen a one week history of progressive facial paresis, severe right ear pain, vertigo, imbalance and hearing loss. Her past medical history is unremarkable. She has right beating nystagmus. Based on the MRI scan (figures) what is your diagnosis: A. Zoster oticus B. Facial Nerve Hemangioma C. Facial Nerve Schwannoma D. Bell Palsy E. Vestibular schwannoma
B. Facial Nerve Hemangioma
94
A 50-year-old male banker presents with a several month history of a "hissing steam" sound in the left ear associated with occasional muffled hearing. He has had five episodes of profound vertigo that were sudden in onset and have twice forced him to the ground for 5 to 15 minutes. He experienced nausea and vomiting with most episodes and had to rest for several hours after each "attack." Magnetic resonance imaging of the brain is normal. An audiogram identifies low frequency hearing loss with preserved speech discrimination. What is the MOST likely diagnosis: A. vestibular neuronitis B. acoustic neuroma C. Meniere's disease D. benign positional vertigo E. vertebra-basilar insufficiency
C. Meniere's disease
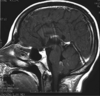
95
A 55-year-old accountant presents with gradually worsening hearing in his right ear over the last 12 months. He has been unable to use the telephone with that ear for 5 months. Speech audiometry reveals discrimination scores of 85% in the left ear at 60 dB and 30% in the right ear at 100 dB. MR imaging is shown in Figure 1. The MOST likely result of brainstem auditory evoked responses (on the right) in this patient is: A. prolongation of the 1-V interpeak latency B. loss of wave VI-VII C. loss of wave I D. high frequency loss of the interaural difference in wave V latency
A. prolongation of the 1-V interpeak latency
96
In the case of an intracanalicular vestibular schwannoma, what is the advantage of the middle cranial fossa approach over the retrosigmoid approach? A. Decreased risk of injuring the greater superficial petrosal nerve. B. Early identification of the facial nerve. C. Improved preservation of vestibular nerve function. D. Decreased risk of CSF leak.
B. Early identification of the facial nerve.
97
A 24 year old woman complains of severe burning and aching pain in her distal right leg and foot. Physical exam reveals a red and swollen right foot with persistent blanching after palpation. With which diagnosis is this most consistent? A. Complex regional pain syndrome B. Chronic lumbar radiculopathy C. Raynaud's phenomenon D. Tarsal tunnel syndrome E. Scleroderma
A. Complex regional pain syndrome
97
A 48-year-old man who has undergone five operations on his lumbar spine after a work-related injury comes to your clinic complaining of severe low back pain. He is taking 300 mg/day of oral morphine and is on a Duragesic patch. He states that pain relief is inadequate with these medications and that over the last five years his need for these medications has risen dramatically. Which of the following BEST describes this patient's behavior? A. Narcotic addiction B. Narcotic tolerance C. Narcotic withdrawl D. Malingering
C. Narcotic withdrawl
98
A 45-year-old woman is referred with complaints of debilitating paroxysmal, lancinating pain involving the base of the tongue and tonsillar region on the left side. The pain can be relieved by topical application of cocaine to the tonsillar pillar. Her neurological examination is normal. A CT scan of the brain and skull base along with an MRI of the brain are both normal. This patient's pain is MOST likely due to which one of the following: A. Glossopharyngeal neuralgia B. Eagle's syndrome C. Trigeminal neuralgia D. Meningioma in the CPA angle E. Geniculate neuralgia
A. Glossopharyngeal neuralgia
98
A 45-year-old woman is referred with complaints of debilitating paroxysmal, lancinating pain involving the deep aspect of the left ear canal. Her neurological examination is normal. A CT scan of the brain and skull base along with an MRI of the brain are both normal. She has failed medical management of her condition. Which of the following represents the BEST surgical treatment option? A. Nucleus caudalis DREZ ablation B. Removal of the styloid process C. Intradural rhizotomy of the 9th and upper 1 /3 of the 10th cranial nerves D. Microvascular decompression of the trigeminal nerve E. lntradural section of the nervus intermedius
E. lntradural section of the nervus intermedius
99
A 48-year-old man who has undergone five operations on his lumbar spine after a work-related injury comes to your clinic complaining of severe low back pain. He is taking 300 mg/day of oral morphine and is on a Duragesic patch. He states that pain relief is inadequate with these medications and that over the last five years his need for these medications has risen dramatically. Which of the following BEST describes this patient's behavior? A. Narcotic addiction B. Narcotic tolerance C. Narcotic withdrawl D. Malingering
B. Narcotic tolerance
99
A fifty-year old female presents with medically refractory episodes of severe, deep-seated ear and throat pain, triggered by eating solid food. The best surgical treatment option include decompression or sectioning of: A. Glossopharyngeal nerve B. Nervus intermedius C. Trigeminal nerve D. Inferior portion of the vagus nerve E. Hypoglossal nerve
A. Glossopharyngeal nerve
100
A patient with lower extremity pain was treated successfully for 6 months with an intrathecal pump delivering 25 mg/day of morphine. He now presents with increased lower extremity pain and numbness. Physical examination reveals new lower extremity hyper-reflexia. What is the most likely explanation for his new symptoms? A. Pump overinfusion B. Fractured intrathecal catheter C. Morphine withdrawal D. Morphine-induced myelotoxicity E. Catheter-tip granuloma
E. Catheter-tip granuloma
100
In the diagram, which letter corresponds to the target of a cordotomy procedure? A. 3 B. 2 C. 1 D. 4 E. 5
D. 4
101
Placement of a spinal cord stimulator lead percutaneously has been attempted but failed due to epidural scar formation. In order to treat the patient's lower extremity neuropathic pain, you decide to perform a surgical lead placement. The MOST appropriate level for laminectomy is A. C1-2 B. T10-11 C. T7-8 D. L2-3
B. T10-11
102
The vessel MOST LIKELY to make pathologic contact with the glossopharyngeal nerve in glossopharyngeal neuralgia is: A. posterior cerebral artery B. Posterior inferior cerebellar artery C. Superior cerebellar artery D. recurrent artery of Haubner
B. Posterior inferior cerebellar artery
103
What is the typical arrangement of nerve fibers within the trigeminal ganglion? A. V1 inferomedial, V3 superolateral B. V1 superolateral, V3 inferomedial C. V1 superomedial, V3 inferolateral D. V1 inferolateral, V3 superomedial
C. V1 superomedial, V3 inferolateral
104
Which of the following procedures is best suited for medically refractory pelvic cancer pain? A. Spinal cord stimulation B. Anterolateral cordotomy C. Punctate midline myelotomy D. Dorsal root entry zone lesion
C. Punctate midline myelotomy
105
You see a patient in your clinic with complete quadriplegia secondary to spinal cord injury at CS. He is complaining of severe rectal pain. On physical examination, he has complete anesthesia below C7. Which one of the following is the BEST treatment option? A. Spinal cord stimulation B. Thoracic cordotomy C. Deep brain stimulation D. Amitriptyline and/or carbemazapine E. lntrathecal morphine pump
D. Amitriptyline and/or carbemazapine
105
2.5 year old child presents with macrocephaly and poor height and weight gain. He has just begun to walk, but has age appropriate language development. A head CT scan and MRI show a large pineal region lesion. Serum Beta HCG and AFP are negative. The MOST appropriate procedure is: A. Endoscopic Biopsy and CSF Shunt placement B. Cerebral Angiogram C. Stereotactic Biopsy D. Open biopsy and possible resection
B. Cerebral Angiogram
106
A 10 year old boy presents with 2 weeks of right-sided dysequilibrium and gait disturbance. On examination he has an impaired gag reflex. Which of the following is most often associated with the likely pathology. A. Perivascular pseudorosettes B. Fibrally astrocytes with atypia C. INl-1 locus mutation D. Loss of heterozygosity of chromosome 1 p/19q E. Ki-67 index >4%
B. Fibrally astrocytes with atypia
106
A 10-year-old boy with cerebral palsy and spastic diplegia is referred for treatment of spasticity. The patient can ambulate with assistance. What is the most definitive procedure for improving this patient, lower extremity spasticity? A. Midline myelotomy B. Selective dorsal rhizotomy C. Botox injections D. Selective peripheral neurectomy E. DREZ thermocoagulation
B. Selective dorsal rhizotomy
107
A 14 year old previously healthy girl presents to the emergency department with a several month history of upper thoracic back pain. She states the pain is significantly improved when lying down and significantly worse when upright. She denies any radiation of pain, numbness, tingling, orbowel/bladder involvement. She does not have history of prior trauma. Findings are shown in the figures. What is the most appropriate treatment of her lesion? A. Ct guided biopsy B. Empiric methotrexate therapy C. Empiric antibiotic therapy D. Resection and instrumented stabilization E. Radiation therapy
D. Resection and instrumented stabilization
108
A 15 year old male presents with severe low back pain. The pain responds poorly to Tylenol but responds well to aspirin. CT demonstrates a 1.5 cm dense lytic lesion of with a calcified nidus and circumferential sclerosis. What is the diagnosis? A. Osteochondroma B. Osteoid osteoma C. Hemangioma D. Oteoblastoma
B. Osteoid osteoma
108
A 15 year old patient with a history of prematurity and post-hemorrhagic hydrocephalus presents to the emergency department with an intermittent fever of no higher than 100.2 deg. F, anorexia, and mild headache. His peripheral WBC is normal, at 9.3. The patient and his mother both deny the possibility of VP shunt malfunction. He states that "this is totally different than the symptoms I had 8 months ago when my shunt was blocked". The MOST likely diagnosis is: A. gastroenteritis B. pseudotumor cerebri C. proximal shunt obstruction D. bowel perforation E. abdominal pseudocyst
E. abdominal pseudocyst
109
A 4 year old child with symptomatic unilateral moyamoya syndrome was treated with surgical revascularization. At 1-year postoperatively, an angiogram revealed stable arteriopathy and excellent surgical collateral development. Cerebral blood flow studies show normalization of flow and clinically the child is symptom-free. At this point, the appropriate follow-up plan is: A. Clinical visits or imaging only if symptoms recur, otherwise just routine Follow-up with the pediatrician B. Clinical visits annually with detailed neurologic examinations and MRl/MRA annually for 5 years C. Clinical visits annually with detailed neurologic examination, but no imaging is needed. D. Clinical visits with annual CT imaging E. No follow-up is needed.
B. Clinical visits annually with detailed neurologic examinations and MRl/MRA annually for 5 years
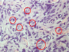
110
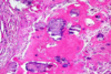
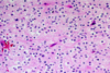
A 9-year-old male presented to his pediatrician with headaches and growth delay. Pathological specimens of his tumor obtained at operation are shown in the photomicrographs. What is the MOST likely diagnosis: A. Colloid cyst. B. Craniopharyngioma. C. Pilocytic astrocytoma. D. Hypothalamic hamartoma. E. Pituitary adenoma.
B. Craniopharyngioma.
111
What is the appropriate first-line management of a Type 1 spinal dural arteriovenous fistula (see figure)? A. Radiosurgery directed at the proximal portion of the fistula B. Superselective catheterization and attempted embolization C. Observation D. Fractionated stereotactic radiotherapy E. Surgical obliteration of the fistula
B. Superselective catheterization and attempted embolization
111
A 5 year old presents with headache and vomiting. CT and MR imaging reveals the presence of a 4th ventricular tumor. A suboccipital craniotomy is performed for total resection of a medulloblastoma. Resection is followed by protocol based chemotherapy and total neuroaxis radiotherapy, with a boost to the posterior fossa. Which endocrinological complication is MOST likely after radiotherapy for a posterior fossa tumor in childhood? A. Diabetes lnsipidus B. Cushing's Syndrome C. Growth Hormone Deficiency D. Growth Hormone Excess E. Addison's Syndrome
C. Growth Hormone Deficiency
112
A 9-year-old male presented to his pediatrician with headaches and growth delay. Pathological specimens of his tumor obtained at operation are shown in the photomicrographs. What is the MOST likely diagnosis: A. Colloid cyst. B. Craniopharyngioma. C. Pilocytic astrocytoma. D. Hypothalamic hamartoma. E. Pituitary adenoma.
B. Craniopharyngioma
112
A five-year-old right-handed boy has medically intractable epilepsy for 4 years and has frequent persistent focal motor seizures on top of other semilogies. Evaluation demonstrates developmental delay, worsening of verbal IQ and right-sided hemiparesis. EEG and SPECT demonstrate several epileptogenic foci over the left parietal lobe. MRI imaging is shown. Aside from invasive monitoring, which of the following is the most appropriate surgical treatment? A. Vagus Nerve Stimulation B. Functional hemispherectomy C. Corpus Callosotomy D. Parietal lobectomy E. Selective temporal amygdalohippocampectomy
B. Functional hemispherectomy
113
Children of mothers with diabetes mellitus have an increased incidence of which spinal disorder? A. Meningocele manque B. Sacral agenesis C. Spinal dysraphism D. Thoracic hemivertebrae E. lntraspinal lipomas
B. Sacral agenesis
114
Cranial dermoid cysts may appear in various locations. Which of the following dermoid cyst locations carries the GREATEST risk of intradural extension? A. Inion B. Brow C. Pterion D. Anterior fontanelle
A. Inion
115
Current pediatric head injury guidelines suggest maintenance of the minimum cerebral perfusion pressure above 40 to 65 mm Hg, depending on: A. Skull thickness B. Patient age C. Status of fontanelle D. Core temperature E. Time since injury
B. Patient age
116
Premature closure of the metopic suture results in what head shape? A. Brachycephaly B. Scaphocephaly C. Trigonocephaly D. Pachycephaly E. Plagiocephaly
C. Trigonocephaly
117
The axial noncontrast head CT shown from an affected neonate results from which of the following deformities. A. Unicoronal synostosis B. Lambdoid synostosis C. Sagittal synostosis D. Metopic synostosis E. Bicoronal synostosis
D. Metopic synostosis
118
The incidence of myelomeningocele has decreased during the past decade. Before the 1980s, the incidence was 1 to 2 per 1000 live births. The current incidence is 3 per 10,000 live births. One reason for this decline may be the recommendation by physicians and obstetricians for women to supplement their folic acid intake. The American College of Obstetrics and Gynecology recommends the following supplementation guideline to all women from menarche to menopause: A. 400 micrograms every day. B. 800 micrograms during first trimester. C. 4 grams every day. D. 4 grams every week. E. 400 micrograms after positive pregnancy
A. 400 micrograms every day
119
The most common presentation of symptomatic moyamoya syndrome is: A. Seizure B. Hemorrhagic Stroke C. Ischemic Stroke D. Chorea E. Tremor
C. Ischemic Stroke
119
What is the likely future ambulatory status of a newborn with a L4 myelomeningocele? A. Wheelchair-bound B. Ambulation with orthoses and walking aid C. Independent ambulation D. Stand but not ambulate
B. Ambulation with orthoses and walking aid
120
What proportion of pediatric patients who undergo temporal lobectomy for intractable epilepsy have a favorable outcome (seizure freedom or substantial decrease in seizure frequency)? A. 50-65% B. 80-95% C. 65-80% D. 35-50%
C. 65-80%
121
Which medication has been shown to both reduce the risk of IVH and improve outcome in preterm infants: A. lndomethacin B. Phenobarbital C. Corticosteroid D. Ibuprofen E. Vitamin E
C. Corticosteroid
122
Which of the following neurocutaneous syndromes are transmitted in an autosomal recessive fashion? A. Tuberous sclerosis B. Neurofibromatosis type 2 C. Neurofibromatosis type 1 D. Von Hippel Lindau E. Ataxia-telangectasia
E. Ataxia-telangectasia
123
A 15-year-old high school wrestler sustains a left shoulder dislocation during a match. After the shoulder is relocated, he has difficulty abducting his arm, although he has a strong grip and normal sensation to pin in his hand and fingers. Your examination demonstrates normal function of the biceps, triceps and external rotators of the shoulder. The MOST likely explanation of these findings is injury of: A. Axillary nerve B. C5 nerve root C. Suprascapular nerve D. Diffuse brachia! plexus stretch
A. Axillary nerve
124
A 16 year old female presents with a sharp laceration to the posterior thigh. Examination showed complete lack of foot dorsiflexion and eversion consistent with peroneal nerve injury. Imaging studies show no vascular compromise. What is the best next step. A. Obtain electrodiagnostic studies B. Close the wound acutely then explore and repair if needed at 3 weeks C. Wash and close the wound D. Repair the nerve acutely
D. Repair the nerve acutely
125
A 22-year-old man presents with a dropped right foot that occured after twisting his knee and straining his back during a football game. He also reports numbness from the lateral calf to the dorsum of the foot but denies worsening pain with Valsalva maneuver. Examination of the right leg reveals an inability to dorsiflex or evert the right ankle, and an inability to dorsiflex the right toes. Ankle inversion is intact. and DTR's of the knee and ankle are symmetric. Lasegue's sign is absent. What is the MOST likely diagnosis: A. Common peroneal nerve injury B. Isolated deep peroneal nerve injury C. Isolated superficial peroneal nerve injury D. L5 radiculopathy E. Tibial nerve injury
A. Common peroneal nerve injury
125
A 25 year-old man presents with a flail, anesthetic arm after an industrial accident with closed injury to the brachia! plexus. After 6 months, he has recovered shoulder, elbow, and wrist movement, but the hand remains flail. Examination shows the presence of ptosis and meiosis ipsilateral to the injured arm. Electrodiagnostic studies show normal sensory nerve action potentials of the ulnar nerve. Where is the most likely injury? A. Post-ganglionic injury of T1 B. Pre-ganglionic injury of C7 C. Post-ganglionic injury of C7 D. Pre-ganglionic injury of T1 E. Post-ganglionic injury of CB
D. Pre-ganglionic injury of T1
126
A 38 year old male experiences severe acute right arm pain and then develops severe deltoid weakness and mild biceps and triceps weakness. After 6 weeks, he seeks consultation. Axial MRI imaging at C4-5 and C5-6 are shown. The next appropriate step is: A. EMC/NCS B. Epidural steroid injection C. Physical therapy D. CT myelogram E. ACDF C4-5 and C5-6
A. EMC/NCS
126
A 40-year old patient undergoes resection of a facial schwannoma that is infiltrating the facial nerve from the cisternal segment to the mastoid segment. The nerve is resected with the tumor for a gross total resection. When considering a facial to hypoglossal anastomosis, what is the ideal timing of surgical intervention to maximize return of facial nerve function? A. Within 12 months of facial nerve paralysis B. Within 6 months of facial nerve paralysis C. Within 2 months of facial nerve paralysis D. Within 24 months of facial nerve paralysis E. There is no relationship between the duration of facial nerve paralysis and functional recovery
E. There is no relationship between the duration of facial nerve paralysis and functional recovery
127
A 45 year old truckdriver presents with left medial hand pain and paresthesias (dorsal and palmar), and weakness and atrophy of the adductor pollicis and first dorsal interosseous. The weakness is progressive and refractory to conservative management. Electrodiagnostic studies confirm peripheral nerve entrapment without radiculopathy or intrinsic neuromuscular disease. What is the best surgical treatment for the entrapped nerve? A. Release of the pronator tunnel B. Decompression of the cubital tunnel C. Release of the supinator tunnel D. Decompression of the transverse carpal ligament E. Release of the Guyon's canal
B. Decompression of the cubital tunnel
127
A 48 year old man presents with pain and paresthesias on the medial aspect of the right hand, years after injuring his arm while lowering a heavy object. Exam demonstrates weakness of the first dorsal interosseous, abductor digiti minimi and hand instrinsics, but not the abductor pollicis brevis or opponens pollicis. Sensation is decreased in the small finger, medial half of the ring finger, and the ventral aspect of the medial palm, but not the dorsal aspect of the hand. Compression at what anatomical region is most consistent with these signs and symptoms? A. C7-T1 foramen B. Thoracic outlet C. Cubital tunnel D. Guyon's canal E. Deltopectoral groove
D. Guyon's canal
128
A 65 year old man presents with a peroneal nerve lesion at the fibular neck with an incomplete palsy. lntraoperative frozen section of the resected lesion is consistent with a malignant peripheral nerve sheath tumor. What is the most appropriate surgical strategy? A. Lesion resection with nerve preservation B. Amputation distal to the lesion C. Wide local excision with clean margins D. Resection of the peroneal nerve E. Closure of the wound
A. Lesion resection with nerve preservation
129
A patient with which of the following conditions is most likely to have completely normal sensory nerve conduction studies of the upper extremity? A. carpal tunnel syndrome B. cervical radiculopathy C. ulnar neuropathy D. demyelination E. axonal radial neuropathy
B. cervical radiculopathy
129
A slim 27 year old woman underwent a right ventriculoperitoneal shunt placement. The track of the catheter passes through the right posterior triangle of the neck. After surgery, she is unable to shrug the right shoulder. Injury to what nerve caused this weakness? A. Suprascapular nerve B. Dorsal scapular nerve C. CS nerve root D. Spinal accessory nerve E. Long thoracic nerve
D. Spinal accessory nerve
130
Exploration of a median nerve lesion reveals a traumatic neuroma. Which intraoperative diagnostic modality would guide the decision to perform an excision and graft repair as opposed to an internal neurolysis? A. Nerve action potentials B. Frozen section C. Ultrasound D. Electromyography E. MRI
A. Nerve action potentials
131
In doing a nerve transfer procedure to recover elbow flexion, which of the following two nerves are coapted? A. Ulnar and radial B. Radial and musculocutaneous C. Spinal accessory and suprascapular D. Ulnar and musculocutaneous E. Radial and median
D. Ulnar and musculocutaneous
132
Lack of function in which muscle indicates a very proximal C5 nerve root injury? A. Rhomboid B. Flexor carpi ulnaris C. Opponens pollicis D. Supinator E. Biceps
A. Rhomboid
132
A 37 year-old man has a tonic-clonic seizure and is found to have an unruptured 2 cm AVM located in the sensorimotor cortex. Angiography shows that there are no associated aneurysms, and it has both superficial and deep venous drainage. The patient elects to undergo radiosurgery for his Spetzler-Martin Grade Ill AVM. The 3.6 cc AVM volume was treated with 20 Gy to the 50% isodose line. Which of the following is the MOST likely clinical outcome: A. Radiation induced deficit B. Hemorrhage induced deficit C. Complete AVM obliteration D. Subtotal AVM obliteration
C. Complete AVM obliteration
133
A 46 year-old woman with recurrent Cushing's disease after trans-sphenoidal resection has MR proven extension of tumor into the cavernous sinus. She elects to undergo radiosurgery. What is the MOST likely complication after pituitary adenoma radiosurgery: A. Diabetes insipidus B. Diplopia C. Anterior pituitary insufficiency D. Visual loss E. Carotid artery occlusion
C. Anterior pituitary insufficiency
134
A 48 year-old woman with medically refractory trigeminal neuralgia chooses radiosurgical therapy. Which of the following is the MOST appropriate maximum radiation dose for trigeminal neuralgia radiosurgery: A. 20 Gy B. 40 Gy C. 60 Gy D. 80 Gy E. 100 Gy
D. 80 Gy
134
A 56 year-old man with history of renal cell carcinoma presents with localized back pain but without myelopathy. Radiographs showed normal alignment and no evidence of instability. MRI showed a dorsal. enhancing paraspinal mass with extension into the spinal canal. Which of the following is the MOST likely outcome of stereotactic radiosurgery for this spine metastasis: A. Tumor stabilization but persistent back pain B. Tumor stabilization with an improvement in back pain C. Tumor stabilization with new onset myelopathy D. Tumor progression causing spinal cord compression E. Tumor progression causing vertebral collapse
B. Tumor stabilization with an improvement in back pain
135
A 59 year-old man presents with high frequency sensorineural hearing loss, near normal speech discrimination (>90% at 40 dB), and an MRI showing a uniformly enhancing 10-mm mass extending into the internal auditory canal. The MOST likely complication of stereotactic radiosurgery for this lesion is: A. Diplopia B. Facial numbness C. Hearing loss D. Facial weakness E. Swallowing difficulty
C. Hearing loss
136
A 63 yo man with a history of non small cell lung cancer presents with headaches. An MRI of the brain demonstrates two enhancing lesions each measuring 2 cm, with mild vasogenic edema and no mass effect. Which of the following is supported by Class 1 evidence regarding stereotactic radiosurgery (SRS} and whole brain radiation therapy (WBRT)? A. For patients with one to three metastases, SRS alone results in better early cognitive outcomes than SRS plus WBRT. B. For patients with one to four metastases, SRS alone is associated with poorer survival than SRS plus WBRT. C. For patients with one to three metastases, WBRT plus SRS boost prolongs survival as compared to WBRT alone. D. For patients with one brain metastasis, SRS provides improved survival compared to WBRT.
A. For patients with one to three metastases, SRS alone results in better early cognitive outcomes than SRS plus WBRT.
137
A 65-year old female with a growing left intracanalicular 6 mm tumor and progressively worsening yet still serviceable hearing presents with the MRI shown. What is the most appropriate management strategy? A. Surgical removal via translabyrinthine approach B. Stereotactic radiosurgery C. Surgical removal via a retrosigmoid approach D. Reassurance, observation, and follow-up MRI in one year
B. Stereotactic radiosurgery
138
What is a safe maximum point dose that the spinal cord can tolerate in single session spinal radiosurgery? A.16 Gy B.14 Gy C. 10 Gy D. 20 Gy
C. 10 Gy
139
Which of the following cranial nerves is most susceptible to radiation injury after radiosurgery of a cavernous sinus lesion? A. Trochlear. B. Abducens. C. Oculomotor. D. Trigeminal. E. Optic.
E. Optic.
139
A 15 year old boy presents with neck pain. He is neurologically intact. A CT of the cervical spine reveals an osteolytic lesion with multiple fluid-filled cavities involving the body of C4. What is the most likely diagnosis? A. Ewing's sarcoma. B. Aneurysmal bone cyst. C. Osteosarcoma. D. Eosinophilic granuloma. E. Fibrous dysplasia.
B. Aneurysmal bone cyst
140
A 22-year-old sustained a spinal cord injury after a fall with an L2 burst fracture and canal compromise. More than half of the muscles below the level of injury have a strength grade less than 3. There is impaired pain and temperature sensation below the middle of the thighs bilaterally, but preserved light touch and proprioception. There is bilateral Babinski sign and loss of anal tone and wink reflex. According to the 2000/2002 ASIA Standards, what {modified) ASIA Impairment Scale classification is this patient: A. C B. B C. A D. D E. E
A. C
140
A 35 year old woman present s with progressive upper and lower extremity myelopathy. MR imaging reveals a well defined, contrast enhancing lesion 2 cm in diameter in her cervical spinal cord. What is the most appropriate treatmen for this patient? A. Open biopsy of the lesion followed by appropriate chemotherapy and radiotherapy. B. CT guided biopsy followed by appropriate chemotherapy and radiotherapy. C. Serial MR imaging every three months. D. Complete surgical excision of the lesion. if possible.
D. Complete surgical excision of the lesion. if possible.
141
A 35-year-old man presents with a several week history of left calf weakness and urinary retention. The MRI scan of the lumbar spine is most consistent with a myxopapillary ependymoma of the conus medullaris. What is the most appropriate initial management of this patient? A. Laminectomy and tumor resection. B. Laminectomy and biopsy. C. CT-guided biopsy. D. Spinal radiosurgery. E. Clinical observation with early repeat imaging.
A. Laminectomy and tumor resection.
142
A 45 year old man presents with a history of severe right upper extremity pain for 2 weeks. The pain faded but his arm became extremely weak and has remained so for the past month. Weakness is more proximal than distal. The left arm is unaffected. MRI of the cervical spine is unremarkable. An EMG is ordered for both the right and left upper extremity. Why is the left upper extremity being tested with EMG? A. Bilateral abnormal EMG could suggest compressive myelopathy B. Findings could support diagnosis of Brachial Plexitis C. The left arm provides a good control for comparison D. The patient likely has ALS E. The patient likely has diabetic polyneuropathy
B. Findings could support diagnosis of Brachial Plexitis
143
A 45-year-old male with renal cell cancer, currently on chemotherapy, presents to your clinic with a C2 body metastasis and intractable neck pain. The patient is neurologically intact, and there is no evidence of cord compression or instability on imaging. What is the most appropriate treatment option for this patient? A. Conventional radiation therapy B. Surgical resection C. No additional therapy D. Stereotactic radiosurgery
D. Stereotactic radiosurgery
143
A 47-year-old woman presents with bilateral arm paresthesias and neck and shoulder pain since childhood. A cervical spine MRI sequences are shown (T1– left, STI R– right). What is the likely diagnosis? A. Meningioma B. Neurofibroma C. Spinal glioma D. Chondrosarcoma E. Lipoma
E. Lipoma
144
A 50-year-old woman presents with a one-year history of progressive low back pain and constipation. Magnetic resonance imaging demonstrates a large sacral mass (figure). She is neurologically intact. What is the most important next step to determine further management? A. Formal urodynamics studies B. MRI with contrast of the pelvis C. CT-guided biopsy of the mass D. MRI of the skull-base E. Proctoscopic examination to assess the integrity
C. CT-guided biopsy of the mass
145
A 54 year old male with non-small cell lung cancer (NSCLC) presents with progressive myelopathy over the past 2 months along with incontinence and an inability to ambulate over the past 48 hours. Imaging is as shown. What is the most accurate statement regarding surgical decision making in this patient? A. Regardless of surgery, performance status, serum calcium and albumin levels are the most important prognostic factors. B. The presence of a spinal metastasis carries an extremely poor prognosis, therefore no surgery should be pursued. C. Aggressive surgical decompression and reconstruction should be performed, as life expectancy in this patient is> 2 years. D. Surgical decompression should be pursued in the face of neurologic deterioration during radiotherapy given its clear benefit relative to risk.
A. Regardless of surgery, performance status, serum calcium and albumin levels are the most important prognostic factors.
145
A 60 year old man presents with 3 months of worsening diffuse severe unremitting left upper extremity pain, parasthesias, and hand weakness. Exam shows 4/5 weakness of hand muscles including abductor pollicus brevis and all intrinsics, scattered sensory loss on the ulnar side of the forearm, normal deep tendon reflexes and no evidence of myelopathy. MRI of the cervical spine shows mild degenerative changes throughout the neck. What imaging study would be very contributory to the diagnosis of this patient disorder? A. Scoliosis survey B. Cervical spine flexion-extension x-rays C. Chest CT D. Bone scan E. Thermogram
C. Chest CT
146
A 60 year old man presents with 3 months of worsening diffuse severe unremitting right upper extremity pain, parasthesias, and hand weakness. Exam shows 4/5 weakness of hand muscles including abductor pollicus brevis and all intrinsics, scattered sensory loss on the ulnar side of the forearm, normal deep tendon reflexes and no evidence of myelopathy. MRI of the cervical spine shows mild degenerative changes throughout the neck. What other neurologic finding might contribute significantly to diagnosing this patient disorder? A. Symmetric Hoffman's sign B. Homer's syndrome C. Palmomental reflex D. Tinel's sign over the elbow E. Diffuse fasciculations
B. Homer's syndrome
147
A 60 year old man presents with progressive pain at the level of his sacrum over the course of 6 months. MR imaging reveals an 8 cm lesion within his sacrum most consistent with a chordoma. What is the most appropriate and best treatment option for this patient that is associated with the best long-term outcome? A. lntralesional tumor decompression to alleviate the pain and allow for a tissue diagnosis followed by referral for proton beam radiotherapy. B. CT guided biopsy of the lesion to confirm the diagnosis followed by en bloc resection of the lesion including resection of the biopsy tract. C. CT guided biopsy of the lesion to confirm the diagnosis followed by referral for proton beam radiotherapy. D. Proton beam radiotherapy alone without biopsy to avoid seeding tumor in the biopsy tract given that the MR appearance of chordomas is highly specific.
B. CT guided biopsy of the lesion to confirm the diagnosis followed by en bloc resection of the lesion including resection of the biopsy tract.
148
A 62 year old with known metastatic renal cell cancer presents with unbearable back pain and lower extremity myelopathy after a fall. Her imaging is displayed in the accompanying figures. The best management strategy of this lesion would be: A. Kyphoplasty/Vertebroplasty followed by radiotherapy B. Stereotactic Radiosurgery C. Conventional external beam radiotherapy D. Laminectomy and resection of epidural disease followed by radiotherapy E. Vertebrectomy with posterior stabilization followed by radiotherapy
E. Vertebrectomy with posterior stabilization followed by radiotherapy
149
A 66-year old male with a history of ACDF performed 3 months ago presented with a 6 week history of fever, dysphagia, and neck pain. The patient was neurologically intact. MR imaging is consistent with cervical vertebral osteomyelitis. What test is most helpful to diagnose the source of the infection? A. Echocardiogram B. Bone scan C. Peripheral blood cultures D. Tagged white blood-cell scan E. Esophagoscopy
E. Esophagoscopy.
150
A 70 year old male with a Type 11 dens fracture has non-union of the dens despite 6 months of halo fixation. His new cervical CT scan demonstrates nonunion of the dens with 6 mm of posterior displacement. Cervical x-rays reveal that anatomic reduction of the fracture is not possible. No other associated fractures are identified. He is otherwise neurologically intact and is in good medical condition. What is the most appropriate treatment option at this time? A. Continued halo management for an additional 3 months. B. Management in a hard cervical collar for 3 months. C. Removal of halo fixation and observation. D. Anterior odontoid screw fixation. E. Posterior C1-2 instrumented arthrodesis.
E. Posterior C1-2 instrumented arthrodesis
150
A patient awakens from left-sided costotransversectomy at T10 for resection of a ventral metastatic tumor with complete paraplegia and loss of pain and temperature sensation. His sensation to light touch in the lower extremities is spared. Post operative MRI reveals no evidence of spinal cord compression or hematoma. What is the most likely diagnosis? A. Posterior cord syndrome. B. Anterior cord syndrome. C. Central cord syndrome. D. Brown-Sequard syndrome.
B. Anterior cord syndrome
151
After a ground level fall, a 62 year-old man with a history of ankylosing spondylitis reports persistent mid-back pain. CT reveals a fracture through the entire T7 vertebral body and an otherwise densely ankylosed and hyper-kyphotic thoracic spine. STIR signal MRI reveals marrow edema within the T7 vertebral body and the T6-7 disc space and posterior ligamentous injury without evidence of canal compromise. What is the most appropriate management? A. Transthoracic T6-7 discectomy and anterior instrumentation B. Cervico-thoracic orthosis C. Thoraco-lumbo-sacral orthosis D. Posterior T 4-9 instrumented fusion E. T7 Vertebroplasty
D. Posterior T 4-9 instrumented fusion
152
During lateral osteophyte removal in an anterior cervical decompressive discectomy, you encounter brisk bleeding in the region of the nerve root. Your next action should be: A. Apply gelfoam and pressure B. Order blood for transfusion C. Call interventional radiology D. Abort the procedure E. Explore the vertebral artery
A. Apply gelfoam and pressure
153
In positioning an interbody spacer via a right TLIF approach at L3-4, what nerve root is immediately superior to your manipulations? A. Right L3 B. Right L2 C. Right L4 D. Right L5
A. Right L3
154
Posterior cervical foraminotomy and discectomy is an effective treatment for acute nerve root compression due to disc herniation. What would preclude a posterior approach to a cervical radiculopathy due to disc herniation? A. Degenerative changes at other levels B. Lateral disc herniation C. Paracentral disc herniation D. Occupation that requires no fusion E. Adjacent level disease
C. Paracentral disc herniation
155
This lumbosacral spine MRI is from a 23-year-old woman who presented with severe low back pain radiating to her right leg. The left image is a sagittal T2 and the right image is an axial T2. Which nerve roots are most likely compressed by the herniated disc? A. Traversing L5 nerve roots B. Exiting L5 nerve roots C. Traversing L4 nerve roots D. Exiting 51 nerve roots E. Traversing 51 nerve roots
E. Traversing 51 nerve roots
156
What is the most likely diagnosis seen on the MRI (figures)? A. Basilar invagination B. Chiari 1 malformation C. Pilocytic astrocytoma D. Multiple sclerosis E. Chordoma
157
What is the radiographic tumor control rate for renal cell carcinoma oligometastases to the spine treated with radiosurgery? A. 40-60°/o B. 20-40% C. Less than 20% D. 60-80% E. Greater than 80%
E. Greater than 80%
157
What radiographic finding is a contraindication to cervical laminoplasty? A. Spinal cord signal change. B. Ossified posterior longitudinal ligament (OPLL). C. Multilevel cervical spondylosis. D. Cervical kyphosis. E. Congenital cervical stenosis.
D. Cervical kyphosis.
158
What type of pain related to spinal metastases is most responsive to radiation? A. Nocturnal pain B. Mechanical pain C. Radicular pain D. Neuropathic pain
A. Nocturnal pain
159
A 40 year old male develops left facial droop and left hemiparesis 48 hours after a motor vehicle accident despite initially being neurologically intact after the accident. A non-contrast head CT at the time of deterioration is negative. The most appropriate next diagnostic evaluation is: A. Cerebral perfusion study. B. CT of the cervical spine. C. MRI of the cervical spine. D. CT angiogram of the cervical spine. E. ICP monitoring.
D. CT angiogram of the cervical spine.
160
Comminution of the occipital condyle is most often associated with which cranial nerve palsy? A. X. B. IX. C. VII. D. XI. E. XII.
E. XII.
161
Loss of consciousness occurs in what percentage of sports-related concussions? A. 20-30% B. 10-20% C. Less than 10% D. 30-40% E.40-50%
C. Less than 10%
162
The particular type of acceleration that results in a diffuse axonal injury is: A. Rotational B. Impact C. Linear D. Translational
A. Rotational
163
What is a typical clinical feature of second impact syndrome? A. It is more common in children than adults B. Reversible, transient altered mental status following repetitive head injuries C. Transient neurological injury following a head injury in the recovery period of a prior concussion D. Is only associated with severe concussions E. Has a high incidence amongst athletes
A. It is more common in children than adults
163
What is the best method to screen for cervical spine injury in the unconscious, intubated multitrauma patient? A. Dynamic traction fluoroscopy B. Fluoroscopic Flexion/Extension Imaging C. A/P, Lateral, Oblique, and Open Mouth Odontoid radiographs D. C-spine CT E. C-Spine MRI
D. C-spine CT
164
What is the definition of a concussion? A. A loss of consciousness resulting from head trauma with significant parenchymal disruption or abnormalities. B. A loss of consciousness resulting from head trauma without significant parenchymal disruption or abnormalities. C. A transient alteration of consciousness resulting from head trauma without significant parenchymal disruption or abnormalities. D. A transient alteration of consciousness resulting from head trauma with significant parenchymal disruption or abnormalities.
C. A transient alteration of consciousness resulting from head trauma without significant parenchymal
164
Which of the following is a major defining feature of the diagnosis of concussion? A. lntracranial hemorrhage B. Rapid, short-lived alteration of mental status C. Seizures D. Severe cerebral edema E. Delayed onset of neurological deficit
B. Rapid, short-lived alteration of mental status
165
Which of the following is characteristic of second impact syndrome? A. Diffuse axonal injury B. Petechial hemorrhage on imaging C. Malignant cerebral edema D. lschemic Stroke E. Seizures
C. Malignant cerebral edema
166
Which of the following statements concerning glucose metabolism after severe traumatic brain injury is true? A. Tight glucose control {80-110 mg/dL) may precipitate metabolic crisis B. Cellular distress results in a decreased lactate/pyruvate ratio C. Increases in metabolic demand are coupled to increased glucose supply D. Subclinical seizures do not alter glucose concentration
A. Tight glucose control {80-110 mg/dL) may precipitate metabolic crisis
167
A 65 year old patient with a KPS of 70 undergoes subtotal resection of a 7 cm left frontal low grade glioma with intraoperative functional mapping. According to the EORTC trials, what is the most appropriate management following surgical resection? A. Radiation therapy at 59 Gy B. Radiation therapy at 45 Gy C. Chemotherapy alone D. Serial post-operative imaging
B. Radiation therapy at 45 Gy
168
What characteristic histological feature of a meningioma is depicted in the encircled areas of the slide? A. Mitotic figures B. Verocay bodies C. Endothelial proliferation D. Vacuolation E. S-100 reactivity
D. Vacuolation
169
A 34 year old female presents with a prolactin level of 48 ng/ml (normal, less than 25 ng/ml). She has amenorrhea but not galactorrhea. The MOST likely explanation for this combination of findings is: A. False-negative (hook effect) lab value. B. False-positive lab value. C. Macroadenoma with stalk effect. D. Empty sella. E. Prolactinoma.
C. Macroadenoma with stalk effect.
170
A 50-year old patient presents with a single enhancing mass in the right frontal periventricular region. Biopsy demonstrates primary CNS lymphoma. What is the most appropriate management? A. Stereotactic radiosurgery. B. Surgical resection and chemotherapy. C. Surgical resection alone. D. Chemotherapy alone. E. Radiotherapy alone.
D. Chemotherapy alone.
170
A 58 year-old right handed male presents with bifrontal headaches and diplopia. On exam he has partial left opthalmoplegia. MRI results are shown in the Figure. Biopsy revealed this tumor to be a chordoma. An extensive subtotal skull-based resection was performed. In this case which is the BEST subsequent treatment option: A. Conventional fractionated radiotherapy B. Procarbazine, CCNU and vincristine (PCV) chemotherapy C. Proton beam radiotherapy D. Gamma Knife or LINAC-based radiosurgery
C. Proton beam radiotherapy
170
A 59-year-old female with a remote history of non-small cell lung cancer presents with a solitary brain metastasis and no evidence of active extracranial disease. She has headaches but is otherwise functionally independent. What is her recursive partitioning analysis (RPA) class? A. 3 B. 2 C. 1 D. 4 E. 5
C. 1
170
A 62 year-old male presents with a 12 month history of headache, ataxia and nystagmus. MR imaging is obtained. Which of the following diagnoses is MOST likely: A. Subependymoma. B. Diffuse intrinsic pontine glioma. C. Chordoid glioma. D. Central neurocytoma. E. Choroid plexus papilloma.
A. Subependymoma.
171
A 62-year-old male was admitted with subacute onset double vision, imbalance and headaches. His neurologic exam was significant for cerebellar dysfunction and diplopia on horizontal gaze to the right. On MRI imaging, he had a 4.3-cm diameter mass noted in the right cerebellum with minimal enhancement or edema (shown below). What is the MOST likely diagnosis: A. Hemangioblastoma. B. Metastatic carcinoma. C. Lhermitte-Duclos. D. Medulloblastoma. E. Pilocytic astrocytoma.
C. Lhermitte-Duclos.
172
A suprasellar neoplasm displaying squamous epithelial characteristics and solid growth in an older adult is most likely: A. Metastatic adenocarcinoma. B. Germinoma. C. Pituitary adenoma. D. Papillary craniopharyngioma.
D. Papillary craniopharyngioma.
172
According to the American Academy of Neurology guidelines, how should patients with brain metastases without a history of seizure be treated with regard to seizure prophylaxis? A. No indication for seizure prophylaxis. B. Treat with levetiracetam (Keppra). C. Treat with phenytoin (Dilantin). D. Treat with gabapentin (Neurontin}.
A. No indication for seizure prophylaxis.
173
An astrocytoma with cytological atypia lacking mitosis, necrosis or vascular proliferative changes would be classified as World Health Organization grade: A. IV. B. II. C. Ill. D. I.
B. II.
174
During the resection of a large vestibular schwannoma via a sub-occipital, retrosigmoid approach, you suddenly encounter severe cerebellar swelling and herniation, the next best step would be: A. As the anesthesiologist to give mannitol and begin hyperventilation B. Resect accessible areas of the lateral cerebellum C. Remove the retractor and wait to see if the swelling subsides. D. Create a parietoccipital burr hole and place a posterior ventriculostomy catheter for CSF drainage
D. Create a parietoccipital burr hole and place a posterior ventriculostomy catheter for CSF drainage
175
During tumor dissection and debulking at the medial aspect in the ponto-medullary region. the facial nerve is most commonly encountered near the: A. Ventral-Central aspect of the tumor B. Ventral-Inferior aspect of the tumor C. Ventral-Superior aspect D. Superficial (dorsal) aspect of the tumor
C. Ventral-Superior aspect
176
For low grade gliomas, what is the range of maximal diameters (in cm) that have been identified as a threshold for negative prognosis? A. 6-8 B. 4-6 C. 2-4 D. 8-10 E. Size is not prognostic
B. 4-6
177
Germinoma ought to be suspected when a pineal region tumor presents with a tumor in what other location? A. Frontal lobe. B. Suprasellar region. C. Fourth ventricle. D. The orbit.
B. Suprasellar region.
178
In a 50 year old female presenting with a one cm pineal region mass, the most likely diagnosis (based upon incidences cited in the literature) would be: A. Pineoblastoma. B. Pineocytoma. C. Germ cell tumor. D. Meningioma.
B. Pineocytoma.
178
In addition to hearing loss, vestibular schwannomas with minimal extension into the cerebellopontine angle most commonly present with which of the following symptoms? A. facial numbness B. tinnitus C. facial weakness D. gait ataxia E. nystagmus
B. tinnitus
179
Neurophysiological monitoring during translabrynthine resection of a vestibular schwannoma with minimal extension into the cerebellopontine angle includes which of the following? A. BAER and IX, X, XI nerve B. SSEP and VI I nerve C. BAER and VII nerve D. BAER and SSEP
B. SSEP and VI I nerve
180
Primary intracranial squamous cell carcinomas may arise from which of the following leions? A. Meningiomas B. Ependymomas C. Epidermoid tumors D. Chordomas E. Arachnoid cysts
C. Epidermoid tumors
181
There is class 1 evidence to suggest that single dose stereotactic radiosurgery (SRS) when used along with whole brain radiation (WBXRT) improves survival relative to WBXRT alone in which patient population? A. Patients with a single brain metastasis and a KPS < 70. B. Patients with a single brain metastasis and a KPS > 70. C. All patients with greater than 4 brain metastases and a KPS > 70. D. Patients with 2-3 brain metastases and a KPS < 70.
B. Patients with a single brain metastasis and a KPS > 70.
182
What is the median survival for patients with hemispheric low grade gliomas? A. 5-10 Years. B. 3-5 Years. C. 1-3 Years. D. 10-15 Years. E. 15-20 Years.
A. 5-10 Years.
182
Which cranial nerve is the MOST likely to be compressed by a clival tumor: A. Trochlear nerve. B. Facial nerve. C. Oculomotor nerve. D. Trigeminal nerve. E. Abducens nerve.
E. Abducens nerve.
183
Which of the following genetic abnormalities is MOST commonly associated with the tumor identified in this photomicrograph: A. Loss of heterozygosity (LOH) 1 p and 19q. B. NF1 gene mutation. C. Loss of heterozygosity (LOH) of chromosome 17. D. TP53 gene mutation. E. EGFR amplification.
A. Loss of heterozygosity (LOH) 1 p and 19q.
184
Which of the following genetic profiles of a glioma carries a favorable prognosis? A. IDH1 Mutation B. Loss of 1 Oq C. Loss of 9q D. PTEN Mutation E. RB1 Mutation
A. IDH1 Mutation
185
Which of the following is the most important parameter indicating compromise of the auditory pathway in brainstem auditory evoked response (BAER) monitoring? A. Wave Ill amplitude B. Wave 1-11 latency C. Wave I amplitude D. Wave 1-V latency E. Wave VI amplitude
D. Wave 1-V latency
185
Which of the following statements regarding intramedullary spinal cord ependymoma is TRUE: A. These tumors are almost uniformly malignant. B. Radiotherapy following gross total resection has no proven long term benefit. C. These tumors can only rarely be removed in a gross total manner due to infiltrating margins. D. Spinal cord ependymomas typically display faint, heterogeneous contrast uptake on MRI. E. Males are affected twice as commonly as females.
B. Radiotherapy following gross total resection has no proven long term benefit.
186
A 22 year old female presents with headache and a non-focal neurological examination during the final trimester of her first pregnancy. A non-contrast head CT scan is shown. The MOST appropriate immediate intervention is: A. Mannitol bolus B. Corticosteroids C. ICP monitor placement D. Hematoma evacuation E. Intravenous heparinization
E. Intravenous heparinization
187
A 36-year-old man presents with a 4-month history of slowly progressive gait difficulty and headaches. MRI and MRA of the brain show a partially thrombosed giant intracranial aneurysm of the left vertebral artery causing brainstem compression and mild hydrocephalus. Cerebral angiography shows bilateral patent vertebral arteries and a giant fusiform left V4 aneurysm. Which of the following is the most appropriate next step in management? A. Craniotomy, bypass and trapping of aneurysm. B. Balloon test occlusion. C. Ventriculoperitoneal shunt. D. Stenting with upfront coiling of aneurysm. E. Stenting with staged coiling of aneurysm.
B. Balloon test occlusion.
188
A 44 year old male presents with acute onset of headache and left visual field cut. A CT scan demonstrates acute hemorrahge in the right occipital lobe. MR imaging and angiography are provided. What is the most likely benefit of embolization for this lesion? A. Decreased risk of rupture before further therapy B. Reducing AVM volume for subsequent treatment C. Complete obliteration of the AVM D. Decreased risk of seizures E. Improvement of vision
B. Reducing AVM volume for subsequent treatment
188
A 45-year-old woman underwent right-sided craniotomy for clipping of a ruptured right posterior communicating artery aneurysm. Post-operatively she developed left hemiplegia, left hemianesthesia, and a left homonymous visual field deficit. A non-contrast head CT revealed a new focal area of hypodensity indicated by the arrow. Occlusion of which artery produced this infarct and clinical syndrome? A. Recurrent artery of Heubner B. Posterior cerebral artery C. Middle cerebral artery D. Anterior choroidal artery E. Posterior choroidal artery
D. Anterior choroidal artery
189
A 54 year old man presents with several years of progressive pulsatile tinnitus in the right ear and new headaches. He undergoes cerebral angiography which demonstrates the presence of venous shunting through the posterior fossa during selective injection of the right ascending pharyngeal artery (figure: AP angiogram, Townes projection). Based on the angiographic findings, if left untreated, a rupture of this malformation will most likely present with what? A. Subdural hemorrhage B. Intraparenchymal hemorrhage C. No symptoms D. Subarachnoid hemorrhage E. Dural sinus thrombosis
D. Subarachnoid hemorrhage
190
A 56 year-old male with a history of diabetes mellitus and hypertension presents with several episodes of headache, light-headedness, and dysarthria within the past year. Head CT is normal. An anteroposterior view of his left internal carotid artery angiogram is shown. What is the most likely diagnosis? A. Carotid dissection B. Dural arteriovenous fistula C. Ruptured cerebral aneurysm D. lntracranial atherosclerosis E. Carotid-cavernous fistula
D. lntracranial atherosclerosis
190
Which cranial nerve is most often first affected by a cavernous sinus region arteriovenous fistula? A. CN IV. B. CN Ill. C. CN VI. D. CN V. E. CN II.
C. CN VI.
191
A 58 year old woman presents with headaches and an angiographic evidence of a 2.5mm infundibulum of the posterior communicating artery. Which of the following regarding an infundibulum is true? A. They have a higher risk of rupture than saccular aneurysms of the same size. B. The most common site for an infundibulum is at the ophthalmic artery C. An infundibulum commonly progress to an aneurysm D. They are found in up to 25% of otherwise normal angiograms E. They are most commonly saccular in shape.
D. They are found in up to 25% of otherwise normal angiograms
191
A 67 year old man presents to the emergency room with worsening parasthesias of the ipsilateral face and contralateral extremity. The symptoms are provoked with head turning. Where is the most likely site of vascular compression in this patient? A. Dominant vertebral artery B. Posterior inferior cerebellar artery C. Carotid Bifurcation D. Basilar artery E. Subclavian artery
A. Dominant vertebral artery
192
A 75 year old male presents to you in consultation with an MRA of the neck (see Figure 1). Based on this MRA, the degree of carotid stenosis is best estimated as: A. >70% B.>90% C.>80% D.>95%
A. >70%
193
A 75 year old male presents with acute right sided weakness and mild expressive dysphasia. A representative MR image and ipsilateral carotid angiogram are provided. According to the CREST study, compared to carotid endarterectomy, angioplasty and stenting has a significantly higher incidence of which peri-procedural complication? A. Dysphagia B. lschemic Stroke C. Mortality D. Hypoglossal nerve injury E. Myocardial infarction
B. lschemic Stroke
194
A 75 year old male presents with progressive difficulty ambulating, let weakness/numbness and bladder incontinence over the past 12 months. A representative MRI and spinal angiogram (left TB intercostal injection) is shown. What is the most likely diagnosis? A. Spinal cord glioma B. Hemangioblastoma C. Ruptured intramedullary spinal cord AVM D. Thoracic disc herniation E. Dural arteriovenous fistula
E. Dural arteriovenous fistula
195
A patient presents with a 2 hour history of left hemiparesis but is otherwise awake and alert. Her exam is also notable for a blood pressure of 195/120 despite aggressive medical treatment. Her head CT demonstrates a ribbon sign with loss of cortical gray-white differentiation but no mass effect or hemorrhage, and a proximal MCA cutoff. Along with aggressive anti-hypertensive treatment, what is the most appropriate next step in treatment? A. Administration of intravenous recombinant tPA at a dose of 0.6 mg/kg B. Administration of intravenous recombinant tPA at a dose of 0.9 mg/kg C. Brain magnetic resonance imaging (MRI) D. Decompressive craniectomy E. Endovascular mechanical thombectomy
E. Endovascular mechanical thombectomy
196
A young patient is identified to have a posterior fossa dural arteriovenous fistula that is fed solely by distal branches of the right ascending pharyngeal artery (see Figure 1: AP view, Townes projection) and drains exclusively via subarachnoid veins to the dural sinuses. Which of the following treatment options poses the greatest risk of permanent neurologic deficit to the patient? A. Trans-venous coil embolization of draining vein just distal to point of fistulization B. Trans-arterial embolization via ascending pharyngeal artery with Onyx C. Far lateral skull base craniotomy and clip ligation of draining vein D. Stereotactic radiosurgery to the point of fistulization
B. Trans-arterial embolization via ascending pharyngeal artery with Onyx
197
According to the North American Symptomatic Carotid Endarterectomy Trial (NASCET), in patients with symptomatic carotid stenosis of >70%, by how much does carotid endarterectomy (CEA) reduces the rate of cerebrovascular accident (CVA) and death from any cause at 2 years compared to best medical therapy? A. 16.5% B. 12.5% C. 5.8% D. 20.5% E. 24.5%
A. 16.5%
198
According to the meta-analysis of three randomized studies (HAMLET, DESTINY, and DECIMAL), compared to best medical management, what effect does decompressive hemicraniectomy within 48 hours of stroke onset in patients <60 years old with space occupying cerebral infarctions have on mortality and poor outcome (modified Rankin Score [mRS] >3) at 1 year? A. Decrease both in mortality and poor outcome rates B. No change in mortality but decreased rate of poor outcomes C. Decrease in mortality with no change in poor outcome rates D. Decrease in mortality with an increased rate of poor outcomes E. No change in either mortality or rate of poor outcomes
A. Decrease both in mortality and poor outcome rates
198
An 80 year-old man with a history of dementia and prior intracerebral hemorrhage is found unresponsive with the head CT shown in the figure. What is the histopathological hallmark of the most likely condition? A. Areas of abnormally phosphorylated tau protein B. Beta amyloid deposition within the tunica media of vessels C. Thickened walls with subintimal lipid-rich hyaline deposits D. Deposition of antigen-antibody complexes and inflammatory cell infiltration E. Cholesterol deposits and fibrous plaques
B. Beta amyloid deposition within the tunica media of vessels
199
Based on the ISUIA study, surgical outcomes of this unruptured AComm aneurysm depends on: A. Age of patient B. Daughter sacs C. Aneurysm configuration D. History of prior SAH E. History of tobacco use
A. Age of patient
200
The Carotid Revascularization Endarderectomy vs. Stenting Trial (CREST) recently concluded that the risk of stroke within 4 years after undergoing carotid endarderectomy is no different than the risk of undergoing carotid artery stenting. What did the CREST study find with respect to heart attacks and stroke within 2 months of treatment and the impact of these events on quality of life? A. Patients undergoing carotid artery stenting suffered less strokes within 2 months of the procedure compared to patients undergoing carotid 0 endarderectomy and the study showed that stroke impacts quality of life less so than heart attack. B. Patients undergoing carotid endarderectomy suffered more heart attacks within 2 months of the procedure compared to patients undergoing carotid artery stenting and the study showed that heart attack impacts quality of life less so than stroke. C. Patients undergoing carotid artery stenting suffered more heart attacks 0 within 2 months of the procedure compared to patients undergoing carotid endarderectomy and the study showed that heart attack impacts quality of life more so than stroke. D. Patients undergoing carotid artery stenting suffered more strokes within 2 months of the procedure compared to patients undergoing Q carotid endarderectomy and the study showed that stroke impacts quality of more so than heart attack. E. Patients undergoing carotid endarderectomy suffered more heart attacks and within 2 months of the procedure compared to patients 0 undergoing carotid artery stenting and the study showed that heart attack impacts quality of life more so than stroke.
B. Patients undergoing carotid endarderectomy suffered more heart attacks within 2 months of the procedure compared to patients undergoing carotid artery stenting and the study showed that heart attack impacts quality of life less so than stroke.
201
The surgical approach to the lesion shown (Figure 1) that carries the LOWEST risk of neurological injury is: A. Pterional B. Far lateral suboccipital C. Orbitozygomatic D. Midline suboccipital E. Presigmoid
B. Far lateral suboccipital
202
There is typically a close association of an ophthalmic aneurysm with the optic nerve (see Figure}. Visual deficit is a risk with surgery on these lesions. Surgical strategies to prevent visual deficit include: A. Sectioning of small blood vessels to the nerve to allow access to the aneurysm neck. B. Early opening of the optic canal and falciform ligament to free the optic nerve. C. Retraction of the optic nerve to optimize visualization of the aneurysm dome. D. Early opening of the cavernous sinus to allow access to the most 0 common site of origin of the ophthalmic artery from the internal carotid artery. E. Resection of part of the gyrus rectus to allow better visualization.
B. Early opening of the optic canal and falciform ligament to free the optic nerve.
203
203
204
204
205
205
206
207
208
209
210
210
211
212
213
214
214
215
216
217
217
218
219
220
220
221
222
223
223
223
223
224
224
224
224
224
225
226
227
227
228
228
229
229
229
230
231
232
233
234
234
235
236
237
238
239
240