SANS Trauma Flashcards

(65 cards)

1
Q

What is another name for growing skull fractures ?

A

leptomeningeal cysts

How well did you know this?
1
Not at all
2
3
4
5
Perfectly
2
Q

Iw growing skull fractures, the radiological marker of dural laceration is diastasis of the edges of the fracture of

A

4 mm

How well did you know this?
1
Not at all
2
3
4
5
Perfectly
3
Q

Which symptomatic hormone deficiency is most common after pediatric moderate-to-severe traumatic brain injury?

A

The most common symptomatic hormone deficiency after pediatric moderate-to-severe TBI is growth hormone deficiency (GHD). Reviews of post-traumatic hypopituitarism consistently identify GH deficiency as the commonest pituitary hormone deficit in children and adolescents after TBI.

A useful nuance for exams: in the acute phase, the most immediately dangerous endocrine problems are ACTH/cortisol deficiency and diabetes insipidus, but the most common symptomatic chronic deficiency is GH deficiency.

So the best single answer is: Growth hormone deficiency.

How well did you know this?
1
Not at all
2
3
4
5
Perfectly
4
Q

Which cranial nerve injury is most likely to be associated with transvenous embolization of a cavernous-carotid fistula?

A

abducens CN 6

How well did you know this?
1
Not at all
2
3
4
5
Perfectly
5
Q

What is the most likely appearance of a chronic subdural hematoma on MRI?

A

Hyperintense on both T1 and T2

How well did you know this?
1
Not at all
2
3
4
5
Perfectly
6
Q

A 40 year old male develops left facial droop and left hemiparesis 48 hours after a motor vehicle accident despite initially being neurologically intact after the accident. A non-contrast head CT at the time of deterioration is negative. The most appropriate next diagnostic evaluation is:

A

CT angiogram of the cervical spine.

How well did you know this?
1
Not at all
2
3
4
5
Perfectly
7
Q

A 23-year-old male involved in motor vehicle accident exhibits neurological decline from an initial GCS of 15 to 8, with a neurological exam notable for left hemiparesis and right dilated pupil. What is the most appropriate initial step in management of this patient?

Hypertonic (3%) saline 250 mL bolus.
Intubation and HyperventilationCorrect
Fosphenytoin 15-18 mg/kg IV rapid infusion
Right temporal burr hole placement
Mannitol 1 mg/kg IV bolus.

A

Intubation and HyperventilationCorrect

How well did you know this?
1
Not at all
2
3
4
5
Perfectly
8
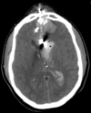
Q

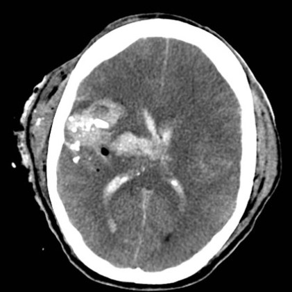
A patient initially presents after closed head injury with a GCS of 14. Head CT demonstrates a small amount of pneumocephalus. Two hours later, the patient becomes unresponsive (GCS 4). A repeat head CT is obtained (Fig. 1). What is the most appropriate next step in management?

Lumbar puncture to rule out meningitis.
Treatment with high flow oxygen.
Surgical evacuation of pneumocephalus.
Repeat head CT with fine cuts to identify a basal skull fracture.
Administer 1g/kg of mannitol.

A

Surgical evacuation of pneumocephalus.

Gas absorption can be facilitated by high flow oxygen but is not appropriate in the setting of acute neurological deterioration. Mannitol and lumbar puncture could exacerbate the scenario.

How well did you know this?
1
Not at all
2
3
4
5
Perfectly
9
Q

Decompressive craniectomy has been shown to have what effect in adult patients with severe traumatic brain injury and elevated intracranial pressure (ICP) values that are refractory to first-tier therapies?

Decrease rates of vegetative state
Increase mortality
Increase number of days in the ICU stay
Improved the rate of good outcome as assessed by the Extended Glasgow Outcome Scale at 6 months
Reduce ICP
A

Reduce ICP

There have been two randomized controlled trials assessing decompressive craniectomy in adult patients with severe traumatic brain injury, DECRA1 and RESCUEicp2. The median ICP was found to be decreased in both trials after craniectomy. ICU stay was decreased or similar to medical management with decompressive craniectomy in both trials. In the DECRA study, decompressive craniectomy decreased the numbers of days in the ICU from 18 days to 13 days. In the RESCUEicp trial, there was no evidence of a difference between the groups in the median values of time to ICU death or discharge. Vegatative state rates were increased or similar to medical management with decompressive craniectomy in both trials. In the DECRA trial, the percentage of patients in a vegetative state was increased with 12% in the craniectomy group and 2% in the standard-care group. In the RESCUEicp trial, there was also an increase in the craniectomy group with 6.2% being vegetative vs. 1.7 in the medical group. Mortality rates were found to be similar or decreased with decompressive craniectomy. In the DECRA trial, mortality rates at 6 months were similar in the craniectomy group (19%) and the standard-care group (18%). In the RESCUEicp trial, mortality rates were found to be decreased with 26.9% death among 201 patients in the surgical group versus 48.9% death among 188 patients in the medical group. In the DECRA trial, decompressive craniectomy was associated with a greater risk of an unfavorable outcome (odds ratio, 2.21; 95% CI, 1.14 to 4.26; P=0.02). In the RESCUEicp trial, the rate of good recovery was 4.0% in the surgical group and 6.9% in the medical group

How well did you know this?
1
Not at all
2
3
4
5
Perfectly
10
Q

A 25 year old male is brought to the emergency department after a motor vehicle crash. His blood pressure is low, requiring pressors. His Glasgow Coma Scale score is 5. A ventriculostomy is inserted and his intracranial pressure is found to be 35 mm Hg. What is the most appropriate immediate treatment for lowering his ICP?

Calcium Channel Blocker
Hyperventilation
CSF Drainage
Mannitol
Barbiturate Coma
A

CSF drainage

How well did you know this?
1
Not at all
2
3
4
5
Perfectly
11
Q

A 25 year-old man presents after assault with bilateral contusions and subarachnoid hemorrhage. His admission GCS is 4T, and an ICP monitor is placed. ICP steadily increases despite sedation, CSF diversion, hyperosmolar therapy, and hypothermia. What additional non-surgical intervention is most appropriate?

Increase PEEP > 10 mmHg
Acetazolamide
Maintain CPP > 60mmHg
10mg IV dexamethasone
Hyperventilate with goal PCO2 <30mmHg

A

Maintain CPP > 60mmHg

How well did you know this?
1
Not at all
2
3
4
5
Perfectly
12
Q

A 56 year old male suffered severe TBI after a MVA. Has refractory ICP and the decision was made to induce a pentobarbital coma. Which of the following is a potential mechanism of neuropotection from pentobarbital coma?

Decreased cerebral blood volume and decreased cerebral metabolic rate (CMRO2)
Increased intracerebral calcium
Decreased in intracerebral glucose energy store
Free radical scavenging
Increased nitrogen excretion

A

Decreased cerebral blood volume and decreased cerebral metabolic rate (CMRO2)

1) decrease in cerebral metabolic rate (CMRO2), from decrease in synaptic transmission; 2) decrease in CBV and ICP, due to increase in cerebrovascular resistance; 3) promote or induce hypothermia; 4) increase in intracerebral glucose, glucagon, and phosphocreatine energy store; 5) decrease in nitrogen excretion; 6) shunt blood from regions of normal perfusion to those of reduced CBF; 7) endogenous anticonvulsant function; 8) stabilization of lysosomal membranes; 9) decrease in excitatory neurotransmitters and intracerebral calcium; 10) free radical scavenging (thiopental only

How well did you know this?
1
Not at all
2
3
4
5
Perfectly
13
Q

An 18 year old man who was involved in a motor vehicle accident is admitted to the ICU and intubated and sedated on high dose continuous propofol infusion (4mg/kg/h). Ten days later, he is following command in all four extremities. Suddenly, on hospital day 12, he becomes acutely altered. CT head is stable from admission. Laboratory studies reveal a markedly profound hypertriglyceridemia, metabolic acidosis and rhabdomyolysis. Which one of the following is the next step in management?

A

Propofol infusion syndrome is a rare but potentially fatal complication associated with continuous propofol infusion. The symptoms altered mental status, hyperkalemia, hepatomegaly, lipemia, rhabdomyolysis, hypertriglyceridemia, metabolic acidosis, and kidney failure. If untreated, it can lead to cardiac failure and even death. Although it is first discovered in pediatric population, it can occur in any age. It is associated with high dose and long term propofol infusion use (> 4mg/kg/h over 24 hrs). Treatment is mainly supportive. Early recognition is the key as discontinuing propofol infusion can lead to significant reduction of mobility and mortality. In this scenario, while hemodialysis, CT- angio of chest, and 12 lead EKG with troponin may be possible answers, given that this patient had been on high dose propofol for prolonged time, propofol infusion syndrome should be the top of differential list and therefore propofol infusion should be stopped immediately. The patient has no signs of possible stroke.

How well did you know this?
1
Not at all
2
3
4
5
Perfectly
14
Q

A 56 year-old woman presents with diffuse traumatic subarachnoid hemorrhage on CT after a motor vehicle accident. On exam, she is flexor posturing, and initial ICP is 15mmHg. Her CPP is 50mmHg. What management strategy is recommended by the Brain Trauma Foundation Guidelines?
Maintain PCO2 less than 30 mm Hg
Maintain systolic blood pressure above 90mmHg
Maintain a minimum CPP of 60 mmHg
Monitor brain tissue oxygenation
Maintain ICP less than 20 mm Hg

A

The current Brain Trauma Foundation Guidelines recommends a CPP greater than 60mmHg.
Artificial elevation of CPP to greater than 70mmHg should be avoided due to the risk of ARDS.

ICP should be maintained less than 22mmHg.

Hypotension should be avoided as this may worsen neurological outcome, with more recent guidelines recommending maintaining systolic greater than 100 to 110mmHg depending on the patient’s age.

Hyperventilation to PCO2 to less than 30 mm Hg is not recommended due to risk of cerebral ischemia.

Multimodality monitoring and individualized CPP goals based on the autoregulatory status of the patient is a reasonable approach, but there is currently no formal guideline recommendation.

How well did you know this?
1
Not at all
2
3
4
5
Perfectly
15
Q

A 30-year-old male is brought to the emergency department after a motor vehicle crash. His Glasgow Coma Scale score is 13. He begins to have seizure activity in the emergency department and the seizure is continuing after several minutes. What is the pharmacologic treatment of choice for the seizure?

A

Lorazepam

How well did you know this?
1
Not at all
2
3
4
5
Perfectly
16
Q

An open, comminuted, and depressed skull fracture over what region of the dural venous sinus system has the lowest risk of venous infarct?
Posterior 1/3 of the superior sagittal sinus
Right sigmoid sinus
Anterior 1/3 of the superior sagittal sinus
Left transverse sinus
Middle 1/3 of the superior sagittal sinus

A
How well did you know this?
1
Not at all
2
3
4
5
Perfectly
17
Q

Which of the following is the most effective sedative for pediatric trauma with severe traumatic brain injury and increased intracranial pressure?
Thiopental
Dexmedetomidine
Fentanyl
Propofol
Sevoflurane

A

Fentanyl is the most effective sedative in this patient population. In patients with a severe traumatic brain injury (TBI), inadequate sedation leads to an overactive sympathetic nervous system. This may result in significant increases in intracranial blood volume. After TBI, the brain’s ability to compensate for this increase in blood volume is impaired and the intracranial pressure will rise

How well did you know this?
1
Not at all
2
3
4
5
Perfectly
18
Q

A 35 year-old man was found down for an unknown period of time after a generalized seizure. In the emergency department, he complains of pain in his thighs, shoulders, and calves. On exam, he is GCS 14 with confusion, and his imaging shows a small left frontal subarachnoid hemorrhage. Rhabdomyolysis is suspected. What finding is most consistent with this diagnosis?

Myoglobinuria

Hematuria

Normal serum creatinine

Hypokalemia

Normal CPK level

A
How well did you know this?
1
Not at all
2
3
4
5
Perfectly
19
Q

What monitoring modality has the greatest sensitivity for detection of a venous air embolus?
EKG
Pulmonary artery pressure
Precordial Doppler
Pulse oximetry
Transvenous intracardiac echocardiography

A

The correct answer is transvenous intracardiac echocardiography. The detection sensitivities for venous air embolus (VAE) with transvenous intracardiac echocardiography is as low as 0.002ml/kg.

Furthermore with moderate (2, 5 and 10 ml) VAE, transvenous intracardiac echocardiography image-guided aspiration-catheter manipulation recovered significantly more (34.1% vs. 17.2%, P < 0.0001) intracardiac air than without catheter manipulation.

How well did you know this?
1
Not at all
2
3
4
5
Perfectly
20
Q

A patient with a severe closed head injury exhibits a decreasing serum sodium over a 48 hour period to 125 mEq/l. Serum osmolality is diminished, urine sodium is elevated. What parameter is critical to understand in the ensuing management of this patient?
Hematocrit
Urine Osmolality
Blood pressure
Serum potassium
Circulating blood volume

A

The key parameter used to differentiate between SIADH and cerebral salt wasting, both of whichpresent with hyponatremia and decreased serum osmolality,is** circulating blood volum**e. In SIADH, free water is recaptured in the kidneys via the action of ADH. Thus blood volume is expanded, serum sodium is diluted; urine is concentrated, elevating urine sodium. Treatment requires fluid restriction. Cerebral salt wasting involves the loss of excess sodium in the kidneys thus pulling free water out of the blood with it. Blood volume diminishes with the loss of free water and sodium.

How well did you know this?
1
Not at all
2
3
4
5
Perfectly
21
Q

Based on the Guidelines for the Acute Management of Severe Traumatic Brain Injury, in patients with severe head injury, what should the cerebral perfusion pressure (CPP, mmHg) should be maintained between?
10-30
90-110
50-70
70-90
30-50

A

CPP should be maintained between 50 and 70 mmHg. Normal adult cerebral perfusion pressure (CPP) is >50 mmHg, therefore CPP < 50 mmHg should be avoided.

How well did you know this?
1
Not at all
2
3
4
5
Perfectly
22
Q

After a fall, a 20 year old skateboarder is asymptomatic but is found to have a non-displaced fracture involving the petrous portion of the left temporal bone. What is the most appropriate management of this fracture?
Surgical repair.
Steroid therapy.
Conservative management.
Lumbar drainage.
Prophylactic antibiotics.

A

Asymptomatic basilar skull fractures can be treated conservatively.

How well did you know this?
1
Not at all
2
3
4
5
Perfectly
23
Q

A 23 year old male sustains a gunshot wound to the head. On examination, his GCS is 3T, his pupils are bilaterally fixed and dilated, he has a weak gag and cough reflex, and he intermittently draws a spontaneous respiration. His non-contrast head CT demonstrates a transventricular bullet tract and a 3 mm right subdural hematoma. What is the most appropriate management for this patient?
Ventriculostomy
Evacuation of subdural hematoma
Debridement of bullet tract
Decompressive hemicraniectomy
Expectant care

A

There is little chance for a meaningful survival of gunshot wound victims with this level of GCS, bihemispheric involvement, and transventricular bullet tracts. Expectant care is appropriate even if the patient is not clinically brain dead.

How well did you know this?
1
Not at all
2
3
4
5
Perfectly
24
Q

A 50 year old male is admitted to the ICU after a fall from a scaffolding with severe diffuse TBI. ICP and BtpO2 monitors are placed. Despite sedation, pain control and hyperosmolar therapy, ICP remains at 25 mmHg and BtpO2 is 22 mmHg. His PaCO2 is 38 mmHg. The trauma service would like to hyperventilate the patient with a goal PaCO2 30 mmHg. When is hyperventilation indicated?
Within the first 24 hours
When brain oxygen is low
Only in conjunction with barbiturate coma
As temporizing measure
Never

A

There is no level I evidence regarding the use of hyperventilation. According to the guidelines hyperventilation should only be used as a temporizing measure such as en route to OR or while awaiting other interventions however it should be avoided during the first 24hrs after injury as is can lead to further vasoconstriction and decrease of cerebral blood flow.

How well did you know this?
1
Not at all
2
3
4
5
Perfectly
25
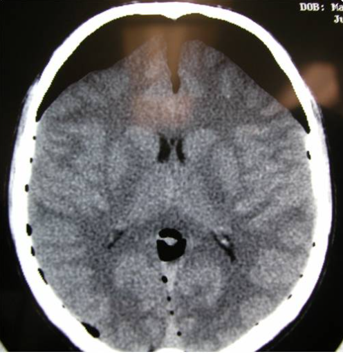
A 23 year-old man presents to the emergency department after an intoxicated fall and head injury. He has a moderate occipital headache and nausea without vomiting. On exam, the patient has normal vital signs and no focal neurological deficits. His non-contrast head CT is shown (Figure 1). The volume of the hematoma is measured to be 35 cm3. What is the most appropriate treatment for this patient?
Posterior fossa craniotomy for evacuation of hematoma
26
A head trauma patient on your service for the past 12 days has been in a coma. You notice that that his sleep-wake cycles have returned. However, he does not exhibit evidence of cognitive function. What term best describes this patient’s level of consciousness? Obtundation Minimally conscious state Lethargy Stupor Vegetative state
The vegetative state occurs in a subset of coma patients in which sleep-wake cycles have returned (or were preserved) but a total lack of cognitive functioning remains.
27
What is the **vegetative state**?
A condition in coma patients with sleep-wake cycles but no cognitive functioning ## Footnote It occurs in a subset of coma patients.
28
Who created the **diagnostic criteria** for vegetative state?
Multi-Society Task Force in 1991 ## Footnote This task force established specific criteria to diagnose the vegetative state.
29
List the **diagnostic criteria** for vegetative state.
* No awareness of self or environment * No purposeful responses to stimuli * No language comprehension or expression * Intermittent wakefulness * Preserved autonomic functions * Bowel and bladder incontinence * Variably preserved reflexes ## Footnote These criteria help differentiate vegetative state from other conditions.
30
What does the **minimally conscious state** describe?
Patients with severely altered consciousness but minimal evidence of awareness ## Footnote This state is distinct from vegetative state and remains controversial.
31
What is **stupor**?
A condition marked by alertness when stimulated but returns to somnolence when stimulation ceases ## Footnote It indicates a temporary state of awareness.
32
Differentiate between **lethargy** and **obtundation**.
* Lethargy: Mild reduction in alertness * Obtundation: Moderate reduction in alertness ## Footnote These terms represent a spectrum of reduced alertness.
33
What change in the intracranial pressure waveform is an early sign of elevated intracranial pressure? When P1 is higher than P3 When P2 is higher than P3 When P2 is higher than P1 When P1 is higher than P2 When P3 is higher than P1
C = when P2>P1
34
35
What are the components of a **normal ICP waveform**?
* P1 (Percussion wave) * P2 (Tidal wave) * P3 (Dicrotic wave) ## Footnote P1 represents arterial pulsation, P2 represents intracranial compliance, and P3 represents aortic valve closure.
36
In a normal ICP waveform, which component has the **highest upstroke**?
P1 ## Footnote P1 is the **Percussion wave** representing arterial pulsation.
37
When ICP is elevated and intracranial compliance decreased, which component is higher than P1?
P2 ## Footnote P2 is the **Tidal wave**, indicating decreased intracranial compliance.
38
Changes in ICP waveforms can help identify patients with decreased compensatory ability to maintain **ICP equilibrium**, also called _______.
intracranial compliance ## Footnote Decreased intracranial compliance increases the risk of disproportionate increases in ICP.
39
True or false: Decreased intracranial compliance increases the risk of developing disproportionate increases in ICP in response to various stimuli.
TRUE ## Footnote Stimuli include nursing care and laying flat for a head CT scan.
40
What should be taken into consideration when caring for patients with changes in the **ICP waveform**?
Changes in the ICP waveform ## Footnote These changes indicate the patient's ability to maintain ICP equilibrium.
41
A hypertensive 50 year-old man is found to have a blood pressure of 230/110 mmHg with a heart rate of 50 bpm. Physical exam reveals a fixed and dilated right pupil, and CT scan shows a large right subdural hematoma with midline shift. What is the most likely cause of the hypertension? Peripheral vasoconstriction and catecholamine release Decreased blood flow to the medulla Shunting of blood flow from the myocardium to the brain Exacerbation of baseline hypertension due to pain Failure to comply with antihypertensive regimen
The correct answer is peripheral vasoconstriction and catecholamine release
42
What are the **three classic symptoms** of Cushing's response?
* Hypertension * Bradycardia * Respiratory depression ## Footnote These symptoms occur in response to significant mass lesions causing intracranial hypertension.
43
What can cause severe **intracranial hypertension** and brainstem compression?
Significant mass lesions ## Footnote This condition can lead to ischemia, especially when intracranial pressure approaches mean arterial pressure.
44
What physiological response results in **hypertension** during Cushing's response?
Peripheral vasoconstriction and catecholamine release ## Footnote These mechanisms are part of the body's response to maintain cerebral blood flow.
45
What results in **bradycardia** during Cushing's response?
Medullary ischemia ## Footnote This occurs as a consequence of the body's response to severe intracranial hypertension.
46
During Cushing's response, blood flow is shunted from peripheral tissues to which organs?
* Myocardium * Adrenal glands ## Footnote This shunting is a vital mechanism to maintain adequate cerebral blood flow.
47
What may compromise cerebral blood flow and result in further neuronal loss?
Inappropriate administration of antihypertensive agents ## Footnote This can be particularly dangerous in the context of Cushing's response.
48
What are the **radiographic indicators** of intracranial hypertension suggesting a Cushing's Response?
* Presence of a large mass lesion * Cisternal compression ## Footnote These indicators, along with clinical examination, help diagnose intracranial hypertension.
49
True or false: A baseline hypertensive patient is likely to exhibit a **diminished response** in blood pressure to pain or lack of compliance.
FALSE ## Footnote Such patients are likely to exhibit an exacerbated response in blood pressure.
50
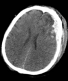
A 24 year-old man is brought to the emergency department following a single midline gunshot wound to the forehead. On arrival, he is GCS 7T with bilateral sluggishly reactive pupils and localizing in the left upper extremity to noxious stimulus. His non-contrast head CT is depicted (Figure 1). This patient is most at risk for what acute complication of penetrating brain injury? Arteriovenous malformation Traumatic intracranial aneurysm Venous sinus thrombosis Traumatic arterial dissection Cavernous-carotid fistula
The correct answer is traumatic intracranial aneurysm. These lesions may develop along any artery within the pathway of the penetrating foreign body and may increase in size or rupture with significant morbidity and mortality. Although cavernous-carotid fistula and arterial dissection may occur in both blunt and penetrating trauma, **traumatic pseudoaneurysms are more concerning in penetrating trauma**. Venous sinus thrombosis may be present after venous injury, but an arterovenous malformation would be an incidental finding.
51
After a motorcycle accident, a patient’s examination reveals eyes that open to stimulation, incomprehensible vocalization, and withdrawal to painful stimulus. Head CT scan demonstrates several punctate contusions and a 2mm right-sided subdural hematoma. After intubation, what is the next most appropriate step? Placement of ICP monitor Craniotomy for evacuation of subdural Repeat head CT within 1 hour Administration of mannitol Hyperventilation
ICP monitor
52
A high school football player gets speared by an opposing player. He never loses consciousness but is confused for approximately 30 minutes. The most appropriate recommendation regarding further play in the game is that the player: Should be excluded from play for the rest of the season. Can immediately return to play. Return to the game as soon as his confusion resolves. Should be removed from the rest of the game. Emergent head CT.
This player should be removed from the remainder of the contest as he has suffered a grade II concussion, defined as greater than 15 minutes. Players may only return to the game if symptoms resolve within 15 minutes of confusion without a loss of consciousness. Grade 1 concussions are characterized by transient confusion, no loss of consciousness, and resolution of concussion symptoms and mental status changes in fewer than 15 minutes. After a single grade 1 concussion, players can return to the game. These are referred to in the sports realm as getting ;dinged; or having one's ;bell rung.; For multiple grade 1 concussions or for higher grade concussions (grade 2 or 3), patients should be removed from the remainder of the contest.
53
What is a **grade II concussion** defined as?
Greater than 15 minutes ## Footnote Players may only return to the game if symptoms resolve within 15 minutes of confusion without a loss of consciousness.
54
What characterizes a **grade 1 concussion**?
* Transient confusion * No loss of consciousness * Resolution of symptoms in fewer than 15 minutes ## Footnote After a single grade 1 concussion, players can return to the game.
55
True or false: Players can return to the game after a **grade 1 concussion** if symptoms resolve within 15 minutes.
TRUE ## Footnote Grade 1 concussions are often referred to as getting 'dinged' or having one's 'bell rung.'
56
What should happen to players with **multiple grade 1 concussions** or higher grade concussions?
They should be removed from the remainder of the contest ## Footnote This applies to grade 2 or 3 concussions as well.
57
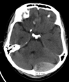
A 17 year old sustains a gunshot wound to the head. On examination, he has decorticate posturing on the right and he localizes on the left. His left pupil is 2 mm larger than the right but is still reactive. His non-contrast head CT (see figures) demonstrates metal and bone fragments within the left frontal region with an associated subdural hematoma with midline shift. What is the most appropriate management of this patient? Craniotomy, hematoma evacuation, superficial debridement Right frontal ventriculostomy placement Expectant care Craniotomy, hematoma evacuation, removal of all bone and metal fragments Superficial debridement of wound
The most appropriate management of this patient should include craniotomy, subdural hematoma evacuation, and superficial wound debridement. Gunshot wounds to the brain are often fatal and usually devastating. However, this patient's CT lacks significant negative prognostic factors, including bi-hemispheric injury, a bullet tract through the ventricles, or brainstem involvement. Neuroimaging does however reveal a space occupying acute subdural hematoma with midline shift. Thus hematoma evacuation might affect a significant improvement. The site of bullet entry should be superficially debrided but the literature suggests that aggressive debridement of the bullet tract offers no additional benefit unless containing an expansile hematoma. The patient is at significant risk of progression to brain death if the hematoma is not removed. Ventriculostomy does not ameliorate this situation. In this young, otherwise healthy patient with signs of cortical neurologic function, expectant management is inappropriate.
58
What finding on head CT is consistent with a mild concussion? Normal study. Subarachnoid hemorrhage. Loss of grey-white distinction. Diffuse edema. Hemorrhages within the corpus callosum.
Normal study
59
Which of these treatments influences the incidence of chronic subdural hematoma (cSDH) recurrence? Amount of irrigation Burr hole drainage Tranexamic Acid External subdural drain Craniotomy
The use of craniotomy or burr hole evacuation results in similar recurrence rate in chronic SDH. Also the amount of irrigation used during an operation does not correlate with recurrence rate. A randomized controlled trial showed that placement of an external subdural drain at the time of surgical evacuation decreased the recurrences needing re-drainage. Preliminary data show that administration of Tranexamic Acid – an anti-fibrinolytic medication used in obstetrics and cardiac surgery might decrease recurrence rates. However the administration of Tranexamic Acid is not considered standard of care at this point
60
What is the indication for repair of anterior wall frontal sinus fractures? CSF leak and resulting meningitis All of the above. Repair of cosmetic deformity Formation of mucocele. Acute and/or chronic sinusiti
Repair of cosmetic deformity Antérieur : pas de fuites ! f there is a question of cosmetic deformity in the future, the fracture may be explored for possible reduction and fixation.The anterior wall of the frontal sinus is the stronger of the two tables.The anterior wall is very rarely associated with CSF leak or injury to the drainage system.The key issues in the management of these fractures are to determine the extent of injuries.Specifically, to determine whether the posterior wall is involved and if there are associated injuries to the drainage system.If the injuries are isolated to the anterior wall, the issues of infection, mucocele formation, and sinusitis are less relevant to the management of these fractures.
61
A 21 year-old-man sustained blunt force trauma to his head, had brief loss-of-consciousness and was GCS 15 at initial evaluation, complaining of headaches, nausea and visual disturbance. CT is shown in figures. What is the best management of this patient? Evacuation of hematoma with placement of burr holes Cerebral angiogram and embolization of sinus Place ICP monitor and observe in the ICU Manage conservatively in the ICU with a f/u CT in 6 hrs. Take to the OR emergently for a combined Supra- and infratentorial approach
Take to the OR emergently for a combined Supra- and infratentorial approach
62
A 36 year old victim of a motor vehicle accident with a normal neurological examination is found to have a closed femur fracture and a small, focal area of subarachnoid hemorrhage without other cranial injury. After repair of his femur fracture, the patient does not arouse from anesthesia. A brain CT shows bilateral diffuse small hypodense lesions. What is the most likely etiology of the patient’s change in clinical status? Intraoperative hypotension Diffuse axonal injury Cerebral edema Carotid dissection with emboli Fat emboli
Fat emboli
63
In addition to the negative effects on cerebral blood flow, hyperventilation should be avoided in the management of severe closed head injury for which of the following reasons? Left shift of the hemoglobin-oxygen dissociation curve and potential CO2 removal impairment Left shift of the hemoglobin-oxygen dissociation curve and potential oxygen delivery impairment Right shift of hemoglobin-oxygen dissociation curve and potential CO2 removal impairment Increased pH and potential for increased oxygen delivery Right shift of hemoglobin-oxygen dissociation curve and potential oxygen delivery impairment
The correct answer is the left-shift of the hemoglobin-oxygen dissociation curve.
64
A 21 year-old man was admitted following a motorcycle crash with diffuse axonal injury. An ICP monitor and brain tissue oxygenation monitor are placed. After 24 hours, his brain partial pressure of oxygen decreases from 20mmHg to 10mmHg. What threshold for treatment of brain hypoxia is recommended by the most recent Brain Trauma Foundation Guidelines (4th edition)? 10 mmHg 20mmHg There is no recommended threshold for treatment 25 mmHg 15 mmHg
There is no recommendation Numerous recommendations regarding the threshold for treatment of brain hypoxia have been presented from several different organizations. Neurocritical Care Society’s Consensus Statements on Advanced Neuromonitoring recommends the threshold of 20mmHg while the Brain Trauma Foundation Guidelines 3rd edition recommends 15mmHg. The most recent 4th edition does not recommend a threshold as there is currently insufficient evidence to support one value over another. Given the multitude of recommendations, clinical judgment and experience are essential in the management of the patient.
65
A 26 year old male presents to the emergency room after a motor vehicle accident. He is orally intubated, does not open his eyes to verbal or painful stimuli but does localize briskly with his right upper extremity. What is this patient's GCS? 6T 7T 10T 5T 3T
7T The patient in this example is intubated orally and therefore **receives a 1T for verbal response.**