LMP
1st day of last menstrual cycle (day 1 of menses)
2 weeks prior to conception
20-40% of females are uncertain
gravid
a pregnant woman
multigravida
A woman who has been pregnant 2 or more times
gravida
Written according to # of pregnancies including the current one
Example:
gravida 0 (nulligravida) G 0 gravida 1 = G1 gravida 2 = G2 gravida 3 = G3
para
Number of potentially viable births
Per Taber’s “A woman who has produced a potentially viable infant regardless of whether the infant is alive at birth
Weighing 500 grams or more or over 20 weeks gestation
Multiple births are considered to be a single parous experience.”
multipara
More than one potentially viable births
Written according to # of pregnancies
Example para 0 (nullipara) = P0 para 1 (primipara) = P1 para 2 = P2 para 3 = P3
*Multiple births are considered to be a single parous experience.” Taber’s
Parity numberic sequence
Describes the outcome of each gravid experience
Written P0000
1st 0 Place = Number of full term pregnancies
2nd 0 Place = Number of premature births
3rd 0 Place = Number of abortions
4th 0 Place = Number of living children
what would a currently pregnant female with history of 1 abortion, and a 2-year-old child is
G3, P1, Ab 1 or
G3, P1011
Gives the details why she is G3 P1: 1 full term, 0 premature births, 1 abortion & 1 living child
Currently pregnant female with history of 4 separate pregnancies yet, no live births is
G5 P0 or
G5 P0220
Gives the explanation for why she has no children despite being pregnant 5 times: 0 full term pregnancies, 2 premature births, 2 abortions and 0 living children
What do you need to find out about patient history before an exam?
Check chart, requisition or ask the following:
Reason for referral
LMP
Parity
H/O surgery?
Abdominal &/or pelvic
Latex allergy?
Pertinent family history
Disease &/or anomaly
H/O ART? (Assisted Reproductive Technology)
Pain?
Where?
Palpable mass?
When?
Type?
Sharp versus dull
Abnormal or irregular bleeding?
Lab’s related to current condition
Fever?
steps prior to performing an exam
Set up the room
Select & prepare transducer
Warm gel, K-Y jelly etc
Introduce yourself to patient
Inform patient of what to expect
Ask if patient has any questions
Patient is positioned appropriately for type of exam
Begin imaging
What 4 things must you follow when performing an exam?
Be methodical: Each & every exam done must be given importance and thoroughness
Answer the ordering MD’s suspicions
Include all measurements
Follow a standard routine: AIUM (American Institute of Ultrasound in Medicine) or other
what does US documentation need to have?
Clearly demonstrate a thorough series of images to document exam
Show anatomical relationships
Have labeled images with scan plane and area of body
Examples: Long ML (Longitudinal midline) Trans RT (Transverse right side of body)
What is another name for transvaginal?
endovaginal
benefits of TA
Provides a wider field of view than TV
Better visualization of superficial structures & structures far from the vagina
Use a full bladder
limitation of TA
Attenuation of the beam by the anterior wall
Inability to correlate areas of visible pathology with direct clinical palpation
Poor resolution of internal consistency of structures
benefits of TV
Allows high frequency transducer to be placed close to “target organs”
Provides anatomic details not obtained with TA
Want patient to empty bladder
Indications for TV (when to use)
Better evaluation of relatively small masses (5-10 cm)
Determine the presence or absence of a mass or normal pelvic structures
Determine origin of a mass: Ovarian,Uterine,Tubal
Detail consistency of masses
Better evaluation of endometrium and myometrium and their relationship to pelvic masses
Help determine mobility of masses
Ultrasound guided aspirations
limitatons of TV
Limited field of view (depth)
Patient’s history: Age limitations, Virginal patients, Abuse (rape)
Patient’s with inflammatory disease are very tender, may cause too much pain compared to TA
Male sonographer’s especially need a chaperone
When would you do both a TA and a TV
TA studies are used in a global fashion because of the restricted view of TV studies
If a relatively large mass is found on TA, TV may not be useful
If TA is technically satisfactory and answers clinical questions, TV may not be necessary
Serial exams of ovaries (esp. hormonal stimulation pt’s) TA may not be necessary
TA patient prep
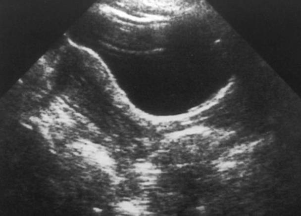
What didn’t the patient do based on this image?

fill her bladder
Do before barium studies Full bladder (32 oz of H2 O 1 hour prior to exam). Optimal when it covers fundus and flattens uterus enough to visualize it and adnexa well
Limitations: Pt’s unable to fill bladder, Incontinent patient, Infants, Obese

identify the bladder, fundus, body cervix and vaginal stripe


what are the scanning planes for TA
long, trans and oblique
TA Exam Protocol (long, trans,measurements)
Standard Routine
Longitudinal
Uterus from cervix to fundus, showing vaginal stripe & endometrial stripe
Cul-de-sacs
Right & left ovaries and adnexa
Transverse
Same as above
long measurements: Uterus and endometrial stripe (length, anterior-posterior (AP) dimension), Rt and Lt ovary (length + AP)