schizophrenia Flashcards

(45 cards)

1
Q

what is schizophrenia

A

-chronic, debilitating illness involving disturbances of thought, perception, speech, emotions, and behavior
-“Split Mind” – A split between intellect and affect
-profound distortion in one’s sense of external and internal reality

How well did you know this?
1
Not at all
2
3
4
5
Perfectly
2
Q

prevalence, onset, consequences of schizo

A

Prevalence: 1%, 3 million US pts, 20% of psychiatric beds in US
- m = f

onset: adolescence to young adulthood
- Men: 18-25
- Women: 22-32
- If sx presents at older age, think of organic causes!

Consequences:
- Increased prevalence of substance abuse
- Decreased overall health
- Decreased lifespan
- Increased suicide rate
- accounts for $85 billion in healthcare costs/yr

How well did you know this?
1
Not at all
2
3
4
5
Perfectly
3
Q

risk factors for schizo

A
  • Urban > Rural: Schizophrenia has a higher diagnosis rate in urban areas
  • winter effect (5-8%): more pts are born in winter and spring than other seasons -> evidence that exposure to viral infections during the second trimester increases risk
  • (higher incidence of infectious ds in fall/early winter)
  • M = F
  • Heritability: Schizophrenia is a familial disorder with heritability estimates ranging from 0.60 to 0.90
How well did you know this?
1
Not at all
2
3
4
5
Perfectly
4
Q

Schizophrenia Is Not Caused By:

A

Poor Parenting:
Poor Familial Relations:
Not Split Personality (Dissociative Identity Disorder)

How well did you know this?
1
Not at all
2
3
4
5
Perfectly
5
Q

history of schizophrenia

A

Emil Kraepelin (Austrian Psychiatrist):
- Described schizophrenia as an illness that develops early in life with a chronic deteriorating course resembling dementia.
- named it dementia praecox

Eugene Bleuler (Swiss Psychiatrist):
- Renamed Kraepelin’s dementia praecox to schizophrenia in 1911
- based on symptoms like paranoia, grandiose delusions, auditory hallucinations, abnormal emotional responses, and bizarre thoughts.
- The term schizophrenia comes from the Greek words meaning “split mind”

Kurt Schneider (German Psychiatrist):
- Emphasized “first-rank symptoms”: psychotic sx like delusions and hallucinations

How well did you know this?
1
Not at all
2
3
4
5
Perfectly
6
Q

schizophrenia DSM5

A

Two or more of the following symptoms, present for at least 1 month AND at least one symptom must be one of the ones below. The disturbances persist for at least 6 months

MUST HAVE at least one: “first rank” and 2+ total
- Delusions**
- Hallucinations **
- Disorganized Speech **
- Grossly disorganized or catatonic behavior
- Negative sx

impairment:
- must have significant impairment work, interpersonal relations, or self-care, since the onset of the disorder.

Duration:
- The disorder must persist for at least 6 months, which includes at least 1 month of active symptoms
- may include periods of residual sx: only negative sx present

must r/o:
- Schizoaffective disorder and bipolar or depressive disorder with psychotic
- physiological effects of substance or medical conditions
- pervasive developmental disorder/autism

How well did you know this?
1
Not at all
2
3
4
5
Perfectly
7
Q
A

idk

How well did you know this?
1
Not at all
2
3
4
5
Perfectly
8
Q

Traits of Schizophrenic Twin versus -Unaffected Twin:

A

-Lower birth weight
-More physiological distress
-More submissive, tearful, sensitive child
-Impaired motor coordination noted
-only one twin affected

How well did you know this?
1
Not at all
2
3
4
5
Perfectly
9
Q

Symptom Clusters

A

positive: Excesses or distortions of normal behavior
- Delusions, Hallucinations, Disorganized speech/thought and Behavior

Negative: Deficits in normal behavior
- Anhedonia, Asociality, Affect, Avolition (lack of motivation), Alogia

Cognitive: Deficits in intellectual processes
- Attention, Memory, Executive functions, Loss of abstract thought process

Mood: Lability in emotional state (laughing at funeral)
- Depression, Hopelessness, Agitation, Hostility, Suicidality

How well did you know this?
1
Not at all
2
3
4
5
Perfectly
10
Q

positive sx vs negative sx

A

positive:
- Hallucinations, most often auditory
- Delusions of grandeur, persecution
- Disordered thought processes
- bizarre behavior

Negative:
- Social Withdrawal
- flat affect* (blunted emotional response)
- anhedonia
- Reduced Motivation, Poor focus on tasks
- Alogia (reduced speech output)
- Catatonia (reduced movement)
-negative symptoms are not well treated

How well did you know this?
1
Not at all
2
3
4
5
Perfectly
11
Q

negative sx vs depression

A

Negative:
- Social Withdrawal
- flat affect* (blunted emotional response)
- anhedonia
- Reduced Motivation, Poor focus on tasks
- Alogia (reduced speech output)
- Catatonia (reduced movement)

Negative Schizo are socially withdrawn due to a psychotic feeling of a fear of getting hurt
Depression is characterized by an excessive wave of sadness

How well did you know this?
1
Not at all
2
3
4
5
Perfectly
12
Q

delusions definition and common types

A

Def: False beliefs that are not susceptible to argument and are inconsistent with the subject’s sociocultural background. Pt will hold firmly to belief regardless of evidence to the contrary
-Bizarre: strange and completely implausible
-Non bizarre: Possible but very unlikely

Common Types:
-Grandiose: Belief that one possesses special powers, wealth, skill, influence, or destiny.
-Paranoid/Persecutory: Belief that one is being harmed, watched, ridiculed, manipulated, discriminated against, plotted against.
-Somatic: Belief in some imaginary bodily abnormality, illness, or special attribute.

How well did you know this?
1
Not at all
2
3
4
5
Perfectly
13
Q

-Pt reports that he invented mathematics and that he is the “Chairman of Math and Science” at numerous universities. Patient presents clinician with what appears to be complex mathematical equation scribbled on napkin, but it is unclear whether this is an actual equation. He demands clinician solve it before he will answer his questions.”
-“Pt reports having nanotechnology placed in his ears by NASA so he can do ‘secret errands’ for them.”
-“Pt claims clinician is one of patient’s cousins. Clinician borrowed $227.00 at last family picnic and neglected to repay loan. Because of this offense, clinician (whom patient believes is cousin) is ‘due for a righteous beat down.’”

what are these

A

delusions examples

How well did you know this?
1
Not at all
2
3
4
5
Perfectly
14
Q

hallucinations definition and types

A

A perceptual disturbance that occurs in the absence of external stimuli.
-auditory (MC), visual (2nd MC), tactile, olfactory

Common Types:
-Command: A voice is heard instructing one’s behavior. The patient may act on them in order to relieve the stress.
-Derogatory: A voice is heard making insulting, criticizing, or threatening comments.

How well did you know this?
1
Not at all
2
3
4
5
Perfectly
15
Q

Pt complains of male voice telling him to ‘kill that bitch’ and ‘mess them up.’ He doesn’t know who the voices are referring to. Attempts to block out voices by listening to radio or watching TV, as he does not wish to follow these instructions.
Pt reports increasingly frequent dialogue between numerous voices unfamiliar to him. They call him ‘as**’ and say ‘You’re gonna get it!’”
Pt hit head against wall repeatedly while in solitary. Told to do so by ‘Max,’ a childhood friend who died when they were around 10 years old, but still ‘hangs out a lot.’ Max is the same age as patient (43 years) but is small in stature, ‘can’t grow a beard,’, and always wears jeans and a blue and red sweatshirt.”

A

hallucination examples

How well did you know this?
1
Not at all
2
3
4
5
Perfectly
16
Q

Disorganized speech/thought - what type of sx and types

A

positive sx: Disturbance in organizing ideas and speaking in a comprehensible fashion.

types:
- clanging
- flight of ideas
- neologisms
- word salad
- loose associations
- incoherence

How well did you know this?
1
Not at all
2
3
4
5
Perfectly
17
Q

” He went in entry in trying tying sighing dying ding-dong dangles dashing dancing ding-a-ling! “

” heard the bell. Well, hell, then I fell.”

what is this

A

clanging - disorganized thought

Clanging: Rhyming of words; thoughts are connected only due to the sound of the words expressed

How well did you know this?
1
Not at all
2
3
4
5
Perfectly
18
Q

“I own five cigars. I’ve been to Havana, She rose out of the water, in a bikini “

what is this

A

Flight of Ideas: Sequence of loose associations when speaker jumps to unrelated topics

How well did you know this?
1
Not at all
2
3
4
5
Perfectly
19
Q

I got so angry I threw a geshinker at the wall

what is this

A

Neologisms: Made up words that have meaning only to the patient

20
Q

Blue afraid you no carpet cat got fear bricks of orderly mess

A

Incoherence:
- Like loose associations, except the connections between thoughts are unappreciable
- Sentences are grammatically correct or close to correct, but meaning is lost.

(Loose Associations: Connections between thoughts are very weak)

21
Q

He went to the ballpark and bought Frank’s beer belly home in a bag of grass seed

A

Loose Associations: Connections between thoughts are very weak

22
Q

A comb makes a twirl in life, my box is broken help me blue elephant.

A

Word Salad: Nonsensical use of words
- no logical progression or connection between the phrases.

23
Q

disorganized/bizarre behavior: defintion, what type of sx and examples

A

definition
-Behavior that is socially inappropriate or out of context.
- positive sx

example:
-Taking clothes totally off before taking shower is normal.
-Taking clothes totally off in the middle of this lecture is abnormal
-“Pt covering himself in his own feces.”
-“Pt seated on floor in corner of room, rocking back and forth, talking and laughing to himself.”
-“Pt wearing towel around head like turban. Has fashioned a ‘smock’ out of a sheet and wears no clothes underneath. He has on socks but no shoes.
-“Pt presents in sexually preoccupied manner.”

24
Q

negative symptoms: what are they

A

-Anhedonia: Lack of pleasure in activities once enjoyed
-Asociality: Withdrawal from social interaction. Poor social skills, lack of friends or emotional attachments
-Affect (Flat): Face is completely devoid of emotion, yet patient still may experience them
-Avolition: Lack of interest, initiative, or ability to engage in even routine activities
-Alogia: Absence in amount or content of speech

25
Presentation of schizo: what are the three stages
Prodrome: - Gradual onset of behavioral disturbances, social withdrawal, academic decline - May become irritable, suspicious, disorganized, obsessed with odd hobbies or the occult - Age Onset: Teen years Acute: - Clinically significant signs and symptoms, causing great distress - Delusions and Hallucinations come on - May be episodic with transient remissions or chronic - Age Onset: 20-35 Residual: - Negative symptoms predominate - Appears withdrawn, preoccupied, flat or depressed - Impoverished speech and poor cognition
26
DDx for schizo: what are some common ones
Brief Psychotic Disorder: - Psychosis lasts no more than one month. Usually a definable stimulus. Schizophrenifom Disorder: - Psychosis lasts between one and six months. Mania: Increased energy, decreased sleep, euphoria, grandiosity, pressured speech -> if you treat mania schizophrenia goes away Depression with Psychotic Features: Mood Congruent delusions/hallucinations or catatonia -> if you tx depression psychosis goes away
27
DDx schizoaffective ds
Primary psychotic disorder with prominent mood episodes that comprise the majority of the time of illness - History must be positive for at least a 2-week period of psychosis WITHOUT mood disorder - Rules out mood disorder with psychosis
28
schizophrenia causes
-Genetics: Schizophrenia considered 50% genetic and 50% environmental Dopamine Hypothesis: -Positive Symptoms: An excess of Dopamine in the Limbic System of the brain, which regulates emotion, expression, and impulse control. -Negative Symptoms: A deficit of Dopamine in the Frontal Cortex, which regulates attention, executive function, and motivation.
29
schizophrenia risk factors
-Genetics: 15% risk with schizophrenic 1st degree relative; 50% risk with schizophrenic identical twin -Emotional Stress – Divorce, loss of job, scholastic difficulties, social difficulties, death of loved one -Physical Stress – Medical illness, substance abuse, head injury -Support System: Poor support system -OB/Perinatal Complications: Hypoxia, trauma to fetal brain, ischemic injuries -Season of Birth: Winter and early spring months
30
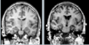
imaging findings on schizo + structural changes in brain
CT: - ventricles + brain tissue deficiency/neuronal loss -decreased gray matter and cortical volume - appears suddenly during late adolescence/early adulthood -Degrees of ventricular enlargement correlated with decrease in IQ -cortical atrophy (long-term brain damage) PET scan: -frontal lobe hypoperfusions
31
cortical atrophy - long term brain damage
32
hx of schizo tx
-Little could be done to treat psychotic patients until mid 1950’s-trials of horse tranquilizers, brain surgeries -Thorazine (chlorpromazine) introduced in the 1953 in the US-used because it calmed surgical patients (and horses) -Traditional tranquilizers did not show any benefit with schizophrenics during this period.
33
tx- psychopharmacology: Antipsychotics what is the difference betwen gen 1-3
Gen 1: dopamine antagonist - MOA: strong affinity to dopamine - decreases positive sx; does not effect negative sx (possibly worsen) Gen 2: serotonin/dopamine antagonist - strong affinity for serotonin, weak affinity to dopamine - decreases positive sx, possibly decreases negative sx Gen 3: partial dopamine agonist/antagonist - decreases dopamine when its too high and increases when its too low - decreases positive sx, possibly decreases negative sx - try a 3rd gen because the SE profile is the best compared to the other generations
34
antipsychotic pance notes
2nd gen: - Risperidone: greater incidence of movement ds, MC prescibed - olanzapine: WT GAIN, HYPERLIPIDEMIA/DM - quetiapine: lower incidence of movement ds 3rd gen: - Aripiprazole: less ADR but increased risk of akathisia - Ziprasidone: higher chance of prolonged QT 1st gen: - best for + sx but increased risk for EPS and NEUROLEPTIC MALIGNANT SYNDROME
35
Antipsychotics first second third gen names
1: - Haloperidol - Loxapine - Thioridazine - can cause: neuroleptic malignant syndrome fatal triad: fever, muscle rigidity, AMS 2: - Olanzapine (Zyprexa): wt gain, hyperglycemia, atypical antipsychotic - Quetiapine (Seroquel): drowsiness - Risperidone (Risperdal): increase tremor frequency 3: - Aripripazone (Abilify) - Ziprasidone (Geoden)
36
ADRs of antipsychotics
all 3 gens: - acute dystonia: muscle spasm, torticollis, tongue protrusion - Extrapyramidal sx: Parkinsonism, akathisia, dystonia - Tardive Dyskinesia: involuntary movements after long term antipsychotic therapy. Often begins with tongue or digits and progresses to face, limbs - Prolactinemia - Parkinsonism-rigidity, tremor, bradykinesia, masklike facies - Akathisia-restlessness, pacing, fidgeting, subjective jitteriness gen 1: - Neuroleptic Malignant Syndrome: Potentially fatal triad of fever, muscle rigidity (especially neck), AMS try gen 3 first!!! least ADRs
37
ADRs of antipsychotics: how to manage side effects
parkinsonism: - lower dose - change med - tx = anticholinergic: benztropine (cogentin), diphenydramine, trihexyphenidyl (artane) Akathisea: - lower dose - change med - consider propanol, benzodiazepine, benztropine acute dystonia: - tx: anticholinergics - IM diphenydramine or benztropine tardive dyskinesia: - lower dose - change med to atypical (quetiapine)
38
schizo: psychosocial tx - goal and treatment options
Goal: Minimize risk of relapse and optimize functioning among schizophrenic persons Tools: -Psychotherapy and Education – Deal with symptoms, secondary feelings of depression, anger, worthlessness -Family Therapy – Understand illness, recognize symptoms, reinforce importance of treatment adherence, remind family member he is not alone -Social skills training – Decrease sense of isolation, and improve self-esteem -Vocational training – Gain and hold regular employment -Case management – Follow progress of patient, identify and approach potential problems early on
39
relapse factors for schizo + long term outcome maximized by what
relapse factors: -Antipsychotics not effective, nonadherence, stressful life events, polysubstance abuse -Consequences of relapse include disruption of patients lives, dangerous behaviors, worse prognosis of illness, increased costs all around Long term outcome is maximized by: -1) Early diagnosis -2) Early intervention -3) Combined medication, therapy, education, skills training and availability of resources.
40
schizophrenia good vs bad prognosis
Good: - Acute onset ** - later age onset ** - rapid progression ** - positive symptoms * - female gender, clear precipitating stressor, early intervention, positive response to medication, stable social and occupational history, lack of family history Bad: - Insidious onset ** - slow progression ** - early age onset ** - negative symptoms ** - male gender, no clear precipitating stressor, late intervention, poor response to medication, unstable social or occupational history, family history
41
community approach
-Multidisciplinary teams -Staff ratios in inpatient/outpatient facilities -Outreach -Family education and support -Case managers -Vocational rehabilitation -Psychotherapy in addition to medication management
42
schizophobia: ddx Schizophrenia vs Schizophreniform
-Schizophrenia: Disorder of thought and perception lasting more than six months -Schizophreniform: Disorder of thought and perception lasting less than six months
43
schizophobia: ddx Schizophrenia vs Schizoaffective
-Schizoaffective: Schizophrenia + Mood Disorder (Depression/Mania/Bipolar) schizophrenia involves only thought and perception disturbances. (NO MOOD DS)
44
schizophobia: ddx Schizoid vs Schizotypal
Schizoid: Personality Disorder - detachment from social relationships and a restricted range of emotional expression - Lack of social desire. Schizotypal: Personality Disorder - acute discomfort with close relationships, cognitive and perceptual distortions, and behavioral eccentricities - Isolated due to paranoia
45
Schizophrenia is still a chronic and potentially debilitating disease but the long term outcome is much more optimistic than only a ______
decade ago