SDR1 Flashcards

(32 cards)

1
Q

PREGUNTA ENARM 2023

¿ Cuál es el componente del factor surfactante y qué célula lo produce ?

A

Dipalmitoilfosfaditilcolina ; y es producido en los neumocitos tipo ll

How well did you know this?
1
Not at all
2
3
4
5
Perfectly
2
Q

PREGUNTA ENARM 2023

¿ Cuál es el sustrato fisiopatológico que afecta a los niños con SDR1?

A

Debido al déficit de factor surfactante , hay un incremento de la tensión superficial en los alveolos con disminución de la distensión pulmonar. Por lo cual se genera atelectasia

How well did you know this?
1
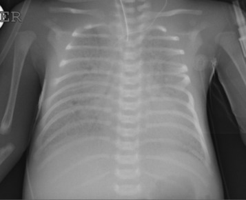
Not at all
2
3
4
5
Perfectly
3
Q

Factores de riesgo importantes para SDR1

A
  • Niño prematuro/ a menor edad gestacional
  • Asfixia Neonatal
  • Madre diabética
  • Masculino
  • Segundo gemelo
  • Madre sin esquema de maduración pulmonar
How well did you know this?
1
Not at all
2
3
4
5
Perfectly
4
Q

¿ Qué porcentaje de los RN <28 SDG presentan Sindrome de Dificultad Respiratoria ?

A

Hasta el 90%

How well did you know this?
1
Not at all
2
3
4
5
Perfectly
5
Q

¿ Con que puntaje según la escala de Silverman Andersen se cursa con dificultad respiratoria severa ?

A

Con 7 a 10 puntos

How well did you know this?
1
Not at all
2
3
4
5
Perfectly
6
Q

¿ Con que puntaje según la escala de Silverman Andersen se cursa con dificultad respiratoria leve?

A

1 a 3 puntos

How well did you know this?
1
Not at all
2
3
4
5
Perfectly
7
Q

¿ Con que puntaje según la escala de Silverman Andersen se cursa sin dificultad respiratoria ?

A

0 puntos

How well did you know this?
1
Not at all
2
3
4
5
Perfectly
8
Q

¿ Además de la clinica y prematurez que se requiere para confirmar el diagnóstico de Sindrome de Dificultad Respiratoria en el Recién nacido ?

A
  • Radiografia con patron reticular o vidrio esmerilado y broncograma aéreo
  • Pa02 <50 mm Hg
How well did you know this?
1
Not at all
2
3
4
5
Perfectly
9
Q

¿ Que datos clinicos apoyan el diagnóstico de SDR1?

A
  • Dificultad respiratoria
  • Cianosis
  • Polipnea
How well did you know this?
1
Not at all
2
3
4
5
Perfectly
10
Q

¿ Cuál es el tratamiento óptimo en recien nacidos con SDR1 ?

A

CPAP ( principal ) + Administración de factor surfactante

How well did you know this?
1
Not at all
2
3
4
5
Perfectly
11
Q

¿ A qué Fi02 y presión se inica el CPAPn en RN con SDR1?

A

-Fi02 al 21%
-Presion a 6cm H20 ( se recomienda CPAP de burbuja )

  • En <28 SDG FIO2 al 30%
  • Entre 29-31 SDG entre el 21-30%
  • > 32 SDG al 21%
How well did you know this?
1
Not at all
2
3
4
5
Perfectly
12
Q

¿ Cuáles son los criterios para adminisrtar surfactante en SDR1?

A

Cuando el CPAPn a los 30min requiere:
- Presion igual o mayor a 8 cm H20 o Fi01 igual o >30%
- Necesidad de intubación
- Incremento en el esfuerzo respiratorio

How well did you know this?
1
Not at all
2
3
4
5
Perfectly
13
Q

¿ A través de que via se administra el factor surfactante ?

A

Via Traqueal

How well did you know this?
1
Not at all
2
3
4
5
Perfectly
14
Q

¿ Cuál es el nombre comercial del Factor Surfactante Proactant Alfa ?

A

Curosurf ° porcine

How well did you know this?
1
Not at all
2
3
4
5
Perfectly
15
Q

¿ Cuál es la presentación de Factor Surfactante con mejor rendimiento ?

A

El factor surfactante exgógeno de origen natural proveniente de porcino

How well did you know this?
1
Not at all
2
3
4
5
Perfectly
16
Q

Nombre genérico del factor surfactante de primera linea

A

Proactant Alfa dosis de 200mg/kg

17
Q

Técnica de Primera Linea para administración de Surfactante

A

LISA ( Less Invasive Surfactant Administration )

2a opción . Técnica INSURE

18
Q

¿ Cuáles son las metas de Sat02 tras administrar CPAP en pacientes con SDR1?

19
Q

Criterios para administrar segunda dosis de surfactante

A
  • FIO2 >30% y CPAP con 8 cmH2O o más
20
Q

¿ Cuáles son los hallazgos a identificar en la placa de tórax en un RN con sospecha de SDR1 ?

21
Q

SDR Estadio l

A
  • Broncograma no sobrepasa silueta cardíaca
22
Q

SDR Estadio ll

A
  • Broncograma Aéreo sobrepasa la silueta cardiaca
23
Q

SDR Estadio lll

A
  • Infiltrado muy difusio , pero todavia se logra ver silueta cardiáca
24
Q

¿ A que clasificación radiológica de SDR corresponde esta placa ?

A

Estadio IV ( Muy Grave ) en “vidrio esmerilado”

25
SDR Estadio IV
- Opacidad total del tórax - " Imagen en vidrio esmerilado" - NO se distingue silueta cardiáca
26
Esquemas de Maduración Pulmonar
1. Betametasona IM 2 dosis de 12mg con intervalo de 24 hrs. 2. Dexametasona IM 4 dosis de 6mg con intervalo de 12 hrs.
27
¿ En que porcentaje disminuye la incidencia de SDR trás administración de ciclo de corticoides ?
( Reduce un 34%) - Entre 30-40%
28
Condiciones para administrar un segundo ciclo de corticoesteroides en una mujer que tuvo amenaza de parto pretérmino
- Si el primero fue 2-3 semanas antes del nacimiento - Si el primero fue <32 SDG
29
Temperatura de sala de parto en Recien Nacido Prematuro mayor de 28 SDG
23-25° - En <28 SDG : 25-26°
30
¿ A los cuantos segundos se recomienda el pinzamiento del cordón umbilical en Recien Nacidos Prematuros ?
A los 30-60 segundos
31
Indicaciones para administrar cafeina en Recién Nacidos son SDR1
- Peso < 2, 250 g que reciben apoyo ventilatorio con CPAP por 48 horas. - Riesgo de ventilación mecánica.
32