Normal vital signs in the newborn
A 28-year-old G1 P0 woman delivers a 3.9 kg male infant whose Apgar scores are 9 and 10 at 1 and 5 minutes respectively. The delivery was uncomplicated and both mother and child are in no acute distress. What is the most appropriate next step in management of this patient?
a. Intubate the child
b. Send cord blood for arterial blood gas (ABG)
c. Suction the mouth and nose
d. Nasogastric tube (NGT) placement
e. Give prophylactic antibiotics
Fischer, Conrad (2012-11-01). Master the Boards USMLE Step 2 CK (Page 403). Kaplan Medical Test Prep. Kindle Edition.
C. Once the child is delivered, the mouth and nose are suctioned, followed by clamping and cutting of the umbilical cord. The newborn is then dried, wrapped
in clean towels, and placed under a warmer as he has just descended from an environment of 98.6° F to approximately 65° F. Gentle rubbing or stimulating the heels of the newborn helps to stimulate crying and breathing. Intubation and ABG analysis of the
child are indicated only if the newborn is not breathing or is in respiratory distress. Nasogastric tube placement is indicated when GI decompression is needed. Antibiotics are indicated for sepsis.
Fischer, Conrad (2012-11-01). Master the Boards USMLE Step 2 CK (Page 403). Kaplan Medical Test Prep. Kindle Edition.
Outline the Rx given at delivery of the newborn
List screening tests to do before discharge
Apgar Score
The Apgar score delineates a quantifiable measurement for the need and effectiveness of resuscitation. The Apgar score does not predict mortality.
Fischer, Conrad (2012-11-01). Master the Boards USMLE Step 2 CK (Page 404). Kaplan Medical Test Prep. Kindle Edition.
Fischer, Conrad (2012-11-01). Master the Boards USMLE Step 2 CK (Page 404). Kaplan Medical Test Prep. Kindle Edition.
True or False:
A low score on the Apgar is associated with future cerebral palsy.
False
Fischer, Conrad (2012-11-01). Master the Boards USMLE Step 2 CK (Page 404). Kaplan Medical Test Prep. Kindle Edition.
A 3.9 kg male infant whose Apgar scores were 9 and 10 at 1 and 5 minutes, respectively, after delivery is brought in by his parents because his eyes are red.
The delivery was without any complications and both mother and child are in no acute distress. What is the most likely diagnosis at 1 day, at 2 to 7 days, and at >7 days?
a. Chemical irritation
b. Neisseria gonorrhoeae
c. Chlamydia trachomatis
d. Herpes simplex
e. All of the above
Fischer, Conrad (2012-11-01). Master the Boards USMLE Step 2 CK (Page 404). Kaplan Medical Test Prep. Kindle Edition.
E. To diagnose the cause of conjunctivitis in the newborn, you must consider when the redness and irritation begins.
Fischer, Conrad (2012-11-01). Master the Boards USMLE Step 2 CK (Page 404). Kaplan Medical Test Prep. Kindle Edition.
List the criteria of the Apgar Score
Acronym used is APGAR
Fischer, Conrad (2012-11-01). Master the Boards USMLE Step 2 CK (Page 404). Kaplan Medical Test Prep. Kindle Edition.
List the lab abnormalities of infant of a diabetic mother (IODM)
List the congenital abnormalities associated with IODM
True or False:
IODM is associated with an increased risk of developing diabetes and childhood obesity
True
A 1-week-old newborn is brought to the ED after a home delivery. His parents state they do not believe in vaccinations nor did they seek any medical attention
after delivery. They state they have noticed bright red blood per rectum from the infant and he is very lethargic. On examination the infant has unequal pupils and his diaper has gross red blood. What is the most likely diagnosis?
a. Cerebrovascular accident
b. Meckel’s diverticulum
c. Vitamin K deficient bleeding
d. Crohn disease
Fischer, Conrad (2012-11-01). Master the Boards USMLE Step 2 CK (Page 405). Kaplan Medical Test Prep. Kindle Edition.
C. As this child received no routine newborn care, it is very likely he is suffering from a vitamin K deficiency. Newborns are at most risk as their immature livers do not utilize vitamin K to develop the appropriate clotting factors. Breast milk typically has very low levels of vitamin K. The child’s lethargy is likely from intracranial bleeding, and the bright red blood per rectum is mucosal bleeding. The child’s age precludes a diagnosis of CVA, Crohn disease, or a Meckel’s diverticulum.
Fischer, Conrad (2012-11-01). Master the Boards USMLE Step 2 CK (Page 405). Kaplan Medical Test Prep. Kindle Edition.
Respiratory distress in the newborn
Meconium aspiration 1:
List the diagnostic test and the findings
CXR. Findings are;
Rx of meconium aspiration
How to prevent meconium aspiration?
endotracheal intubation and airway suction of depressed infants
Possible complications of meconium aspiration
Meconium plugs are seen in the lower colon. List the conditions associated with meconium plugs
Meconium ileus is seen in the lower ileum. List the condition in which it is associated with.
Cystic fibrosis
Best initial diagnostic test and Rx of meconium plug and ileus
Best initial test: Abdominal X-ray
Rx: Gastrografin enema
List the components of the VACTERL syndrome
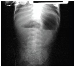
A premature infant is born by normal vaginal delivery without complication. There is no respiratory distress. Upon the first feed, she begins vomiting gastric and bilious material. CXR is shown. What is the most likely diagnosis?

Duodenal atresia. Half of infants with this condition are born prematurely, and the condition is associated with Down syndrome. Look for polyhydramnios in the prenatal exam. Treatment involves NG decompression and surgical correction. You must search for other abnormalities (VACTERL association) with X-ray of the spine, abdominal ultrasound, and echocardiogram
List the differential diagnosis of double-bubble seen on abdominal X-ray of newborn infants
When is hyperbilirubinemia considered pathological?