What does a sclerotic margin on a bone Xray mean?
Benign, slow growing neoplasm
What does an ill-defined margin on a bone Xray mean?
Malignant tumor
What does solid bone on a bone xray mean?
Malignant matrix forming tumors
What do rings/arcs on a bone xray mean?
Chondroid matrix forming tumors
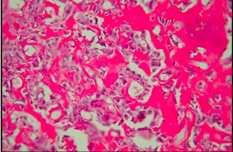
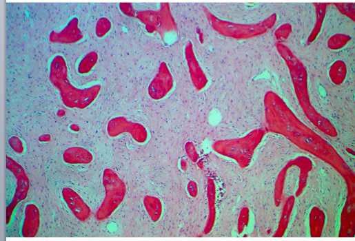
Ostoid osteoma

What is this?

Cells within an osteoid osteoma or osteoblastoma (hard to tell apart)
New bone cells forming
Osteoblastoma

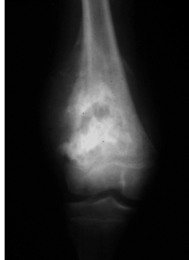
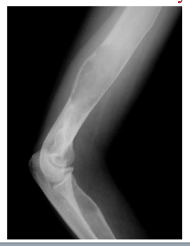
Osteosarcoma
Patho: mutant RB, p53 (Li Fraumeni), too much MDM2/INK4/p16, Paget disease/bone growth diseases, irradiation
Xray: Codman’s triangle; poorly defined, bone/cortical disruption into soft tissue
Prognosis: avg age 5 and 55-80, M>F; 60-65% live past 3-5 yr due to chemo and surgery

What is this?

Osteosarcoma
Cells in osteoid irregular, tripolar mitosis
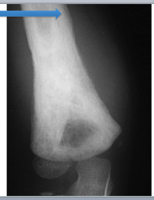
Osteochondroma
Clinically: little bleb off side of cortex with marrow and cartilage cap

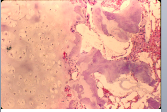
What is this?

Osteochondroma
Normal cartilage that has calcification and osteoid forming bone AND marrow
Endochondroma

What is this?

Endochondroma
Lobules of hyaline cartilage with minimal atypia (no bone formation)
Ollier’s Disease
Multiple enchodromata, regional lesions, skeleton malformation
Multiple chrondromatosis due to pt mutations in IDH1 or IDH2
Maffucci’s Sx
Multiple enchondromata AND angiomata
Skeletal malformation and higher risk for malignancy
Multiple chondromatosis–point mutations in IDH1 or IDH2
Chondrosarcoma
Imagining: medullary calcifications, cortical erosion/destruction, “popcorn”
Variant: de-differentiated=losing chondrad differentiation

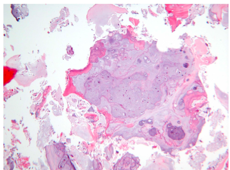
What is this?

Chondrosarcoma
More cellular/pleomorphic nuceli than enchondromas
Myoxid changed matrix
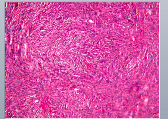
Non ossifying fibroma
Common developmental cortical defect

incidental finding in tibia, femur 0-30
related to eccentric/lytic/peripheral sclerosis
What is this?

Non-ossifying fibroma
Dense fibrous tissue with collagen
Fibrous Dysplasia
Developmental arrest of bone

Monostatic=adolescents (rib, mandible, femur)
Polyostatic=infancy/childhood (crippling deformities, facial)
*includes McCune Albright Sx
Clinical: expansile, circumsized, thin cortex; looks like ground glass
What is this?

Fibrous Dysplasia
Randomly orientated woven bone “chinese characters” surrounded by fibroblast stroma
McCune Albright Sx
Polystotic FD with endocrinopathies and cafe au lait spots
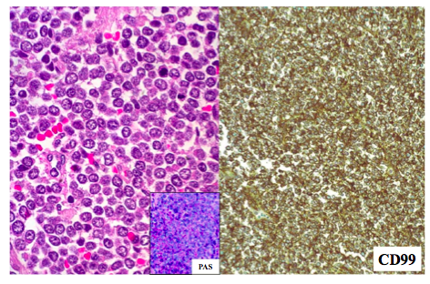
Ewing Sarcoma/PNET
Second most malignant bone tumor in kids

What is this?

Ewing Sarcoma/PNET
Small round blue cells with neural phenotype and glycogen that stain with CD99; no bone/cartilage matrix